Hydrogel Nanofibers from Carboxymethyl Sago Pulp and Its Controlled Release Studies as a Methylene Blue Drug Carrier
Abstract
1. Introduction
2. Materials and Methods
2.1. Materials
2.2. Carboxymethylation of Sago Pulp
2.3. Preparation of CMSP/PEO Hydrogel Nanofibers
2.4. Swelling Studies of CMSP Hydrogel Nanofiber
2.5. Drug Controlled Release Studies
- Pt = Percentage release at time t (minutes)
- P (t − 1) = Percentage release previous to ‘t’
2.6. Fourier Transform Infrared (FTIR) Spectroscopy
2.7. Ultraviolet-Visible (UV-Vis) Spectrophotometer
2.8. Scanning Electron Microscopy (SEM)
3. Results and Discussion
3.1. Fourier Transform Infrared Spectroscopy Studies
3.2. Optimization of Electrospinning Parameters of CMSP Nanofibers
3.2.1. Effects of Weight Ratio of CMSP to PEO
3.2.2. Effects of Concentration of CMSP/PEO Solution
3.2.3. Effects of Flow Rate of Syringe Pump
3.3. Swelling Studies of CMSP Hydrogel Nanofibers
3.3.1. Effects of Percentage of Citric Acid
3.3.2. Effects of Curing Temperatures
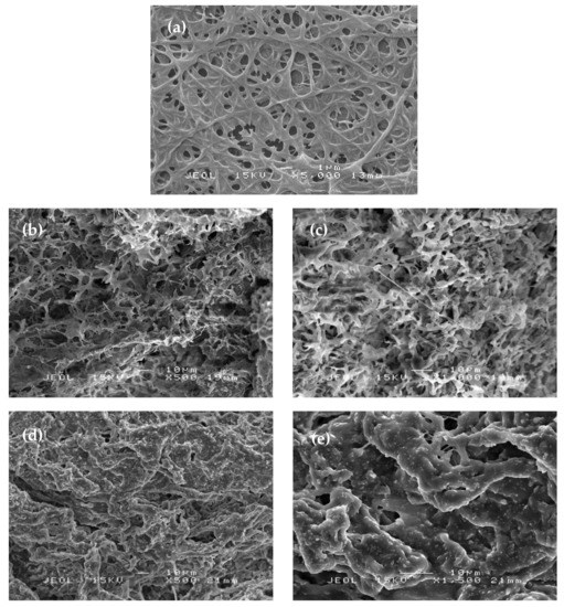
3.4. Morphology Studies
3.5. Drug Release Studies
4. Conclusions
Author Contributions
Funding
Acknowledgments
Conflicts of Interest
References
- Bujang, K.B.; Hassan, M.A. Recovery of Glucose from Residual Starch of Sago Hampas for Bioethanol Production. Biomed. Res. Int. 2013, 2013, 1–8. [Google Scholar]
- Pushpamalar, V.; Langford, S.J.; Ahmad, M.; Lim, Y.Y. Optimization of reaction conditions for preparing carboxymethyl cellulose from sago waste. Carbohydr. Polym. 2006, 64, 312–318. [Google Scholar] [CrossRef]
- Deparment of Agriculture Sarawak. Available online: https://www.doa.sarawak.gov.my (accessed on 30 July 2018).
- Veeramachineni, A.K.; Sathasivam, T.; Muniyandy, S. Optimizing Extraction of Cellulose and Synthesizing Pharmaceutical Grade Carboxymethyl Sago Cellulose from Malaysian Sago Pulp. Appl. Sci. 2016, 6, 170. [Google Scholar] [CrossRef]
- Frenot, A.; Henriksson, M.W.; Walkenstro, P. Electrospinning of Cellulose-Based Nanofibers. J. Appl. Polym. Sci. 2007, 103, 1473–1482. [Google Scholar] [CrossRef]
- Kanafi, N.M.; Rahman, N.A.; Rosdi, N.H. Citric acid cross-linking of highly porous carboxymethyl cellulose/poly (ethylene oxide) composite hydrogel films for controlled release applications. Mater Today Proc. 2019, 7, 721–731. [Google Scholar] [CrossRef]
- Shen, X.; Shamshina, J.L.; Berton, P.; Rogers, R.D. Hydrogels based on cellulose and chitin: Fabrication, properties and applications. Green Chem. 2015, 18, 53–75. [Google Scholar] [CrossRef]
- Tan, H.L.; Wong, Y.Y.; Muniyandy, S.; Hashim, K. Carboxymethyl sago pulp/carboxymethyl sago starch hydrogel: Effect of polymer mixing ratio and study of controlled drug release. J. Appl. Polym. Sci. 2016, 43652, 1–13. [Google Scholar] [CrossRef]
- Barbucci, R.; Magnani, A.; Consumi, M. Swelling Behavior of Carboxymethylcellulose Hydrogels in Relation to Cross-Linking pH and Charge Density. Macromolecules 2000, 33, 7475–7480. [Google Scholar] [CrossRef]
- Rizwan, M.; Yahya, R.; Hassan, A.; Yar, M.; Azzahari, A.; Selvanathan, V.; Sonsudin, F.; Abouloula, C. pH sensitive hydrogels in drug delivery: Brief history, properties, swelling, and release mechanism, material selection and applications. Polymers 2017, 9, 137. [Google Scholar] [CrossRef]
- Abrigo, M.; Mcarthur, S.L.; Kingshott, P. Electrospun Nanofibers as Dressings for Chronic Wound Care: Advances, Challenges, and Future Prospects. Macromol. Biosci. 2014, 14, 772–792. [Google Scholar] [CrossRef]
- Tavakoli, J.; Mirzaei, S.; Tang, Y. Cost-effective double-layer hydrogel composites for wound dressing applications. Polymers 2018, 10, 305. [Google Scholar] [CrossRef] [PubMed]
- Raucci, M.G.; Demitri, C.; Giugliano, D.; Benedictis, V.; de Sannino, A.; Ambrosio, L. Effect of citric acid crosslinking cellulose-based hydrogels on osteogenic differentiation. J. Biomed. Mater. Res. 2014, 103A, 2045–2056. [Google Scholar] [CrossRef] [PubMed]
- Arslan, N. Production of carboxymethyl cellulose from sugar beet pulp cellulose and rheological behaviour of carboxymethyl cellulose. Carbohydr. Polym. 2003, 54, 73–82. [Google Scholar]
- Biswas, A.; Kim, S.; Selling, G.W.; Cheng, H.N. Conversion of agricultural residues to carboxymethylcellulose and carboxymethylcellulose acetate. Ind. Crop. Prod. 2014, 60, 259–265. [Google Scholar] [CrossRef]
- Bono, A.; Ying, P.H.; Yan, F.Y.; Muei, C.L.; Sarbatly, R.; Krishnaiah, D. Synthesis and Characterization of Carboxymethyl Cellulose from Palm Kernel Cake. Adv. Nat. Appl. Sci. 2009, 3, 5–11. [Google Scholar]
- Rachtanapun, P.; Luangkamin, S.; Tanprasert, K.; Suriyatem, R. Carboxymethyl cellulose fi lm from durian rind. YFSTL 2012, 48, 52–58. [Google Scholar]
- Pushpamalar, V.; Langford, S.J.; Ahmad, M.; Hashim, K. Preparation of Carboxymethyl Sago Pulp Hydrogel from Sago Waste by Electron Beam Irradiation and Swelling Behavior in Water and Various pH Media. J. Appl. Polym. 2013, 128, 451–459. [Google Scholar] [CrossRef]
- Lyn, Y.; Muniyandy, S.; Kamaruddin, H.; Mansor, A.; Janarthanan, P. Radiation cross-linked carboxymethyl sago pulp hydrogels loaded with ciprofloxacin: Influence of irradiation on gel fraction, entrapped drug and in vitro release. Radiat. Phys. Chem. 2015, 106, 213–222. [Google Scholar]
- Thenapakiam, S.; Kumar, D.G.; Pushpamalar, J.; Saravanan, M. Aluminium and radiation cross-linked carboxymethyl sago pulp beads for colon targeted delivery. Carbohydr. Polym. 2013, 94, 356–363. [Google Scholar] [CrossRef]
- Rathinamoorthy, R.; Technology, F.; College, P.S.G. Nanofiber for drug delivery system. Pak Text J. 2012, 61, 45–48. [Google Scholar]
- Haider, A.; Haider, S.; Kang, I. A comprehensive review summarizing the effect of electrospinning parameters and potential applications of nanofibers in biomedical and biotechnology. Arab. J. Chem. 2015, 11, 015. [Google Scholar] [CrossRef]
- Teck, C. Progress in Polymer Science Nanofiber technology: Current status and emerging developments. Prog. Polym. Sci. 2017, 70, 1–17. [Google Scholar]
- Samadian, H.; Salehi, M.; Farzamfar, S.; Vaez, A.; Ehterami, A.; Sahrapeyma, H.; Goodarzi, A.; Ghorbani, S. In vitro and in vivo evaluation of electrospun cellulose acetate/gelatin/hydroxyapatite nanocomposite mats for wound dressing applications. Artif. Cells Nanomed. Biotechnol. 2018, 46, 964–974. [Google Scholar] [CrossRef] [PubMed]
- Basu, P.; Repanas, A.; Glasmacher, B.; Narendrakumar, U.; Manjubala, I. PEO-CMC blend nanofibers fabrication by electrospinning for soft tissue engineering applications. Mater. Lett. 2017, 195, 10–13. [Google Scholar] [CrossRef]
- Schirmer, R.H.; Coulibaly, B.; Stich, A.; Scheiwein, M.; Merkle, H.; Eubel, J.; Becker, H.; Muller, O.; Zich, T.; Schiek, W. Methylene blue as an antimalarial agent. Redox Rep. 2003, 8, 272–275. [Google Scholar] [CrossRef] [PubMed]
- Oz, M.; Lorke, D.E.; Petroianu, G.A. Methylene blue and Alzheimer’s disease. Biochem. Pharmacol. 2009, 78, 927–932. [Google Scholar] [CrossRef] [PubMed]
- Wendel, W.B. The control of methemoglobinemia with methylene blue. J. Clin. Investig. 1939, 18, 179–185. [Google Scholar] [CrossRef] [PubMed]
- Pillay, V.; Dott, C.; Choonara, Y.E.; Tyagi, C.; Tomar, L.; Kumar, P.; Ndesendo, V. MA Review of the Effect of Processing Variables on the Fabrication of Electrospun Nanofibers for Drug Delivery Applications. J. Nanomat. 2013, 2013, 1–22. [Google Scholar] [CrossRef]
- Dahlan, N.A.; Ng, S.L.; Pushpamalar, J. Adsorption of methylene blue onto powdered activated carbon immobilized in a carboxymethyl sago pulp hydrogel. J. Appl. Polym. Sci. 2017, 134. [Google Scholar] [CrossRef]
- Giani, G.; Fredi, S.; Barbucci, R. Hybrid magnetic hydrogel: A potential system for controlled drug delivery by means of alternating magnetic fields. Polymers 2012, 4, 1157–1169. [Google Scholar] [CrossRef]
- Foroutan, H.; Khodabakhsh, M.; Rabbani, M. Investigation of synthesis of PVP hydrogel by irradiation. Iran J. Radiat. Res. 2007, 5, 131–136. [Google Scholar]
- Huang, W.F.; Tsui, G.C.P.; Tang, C.Y.; Yang, M. Optimization Strategy for Encapsulation Efficiency and Size of Drug Loaded Silica Xerogel/Polymer Core-Shell Composite Nanoparticles Prepared by Gelation-Emulsion Method. Polym. Eng. Sci. 2017, 58, 742–751. [Google Scholar] [CrossRef]
- Shi, Y.; Wan, A.; Shi, Y.; Zhang, Y.; Chen, Y. Experimental and Mathematical Studies on the Drug Release Properties of Aspirin Loaded Chitosan Nanoparticles. BioMed. Res. Int. 2014, 2014. [Google Scholar] [CrossRef] [PubMed]
- Chandrasekaran, A.R.; Jia, C.Y.; Theng, C.S.; Muniandy, T.; Muralidharan, S.; Arumugam, S. Invitro studies and evaluation of metformin marketed tablets-Malaysia. J. Appl. Pharm. Sci. 2011, 1, 214–217. [Google Scholar]
- Bolio-López, G.I.; Ross-Alcudia, R.E.; Veleva, L.; Azamar, J.A.; Barrios, G.C.M.; Hernández-Villegas, M.M.; Córdova, S.S. Extraction and Characterization of Cellulose from Agroindustrial Waste of Pineapple (Ananas comosus L. Merrill) Crowns. Chem. Sci. Rev. Lett. 2016, 5, 198–204. [Google Scholar]
- Fernandes, J.G.; Correia, D.M.; Botelho, G.; Padrão, J.; Dourado, F. PHB-PEO electrospun fiber membranes containing chlorhexidine for drug delivery applications. Polym. Test. 2014, 34, 64–71. [Google Scholar] [CrossRef]
- Greiner, A.; Wendorff, JH. Electrospinning: A Fascinating Method for the Preparation of Ultrathin Fibers. Angew. Chem. Int. Ed. 2007, 46, 5670–5703. [Google Scholar] [CrossRef] [PubMed]
- Rogina, A. Applied Surface Science Electrospinning process: Versatile preparation method for biodegradable and natural polymers and biocomposite systems applied in tissue engineering and drug delivery. Appl. Surf. Sci. 2014, 296, 221–230. [Google Scholar] [CrossRef]
- Sadat, A.; Hamid, M.; Hajiesmaeilbaigi, F. Effect of electrospinning parameters on morphological properties of PVDF nanofibrous scaffolds. Prog. Biomater. 2017, 6, 113–123. [Google Scholar]
- Megelski, S.; Stephens, J.S.; Chase, D.B.; Rabolt, J.F. Micro and Nanostructured Surface Morphology on Electrospun Polymer Fibers. Macromolecules 2002, 35, 8456–8466. [Google Scholar] [CrossRef]
- Rodoplu, D.; Mutlu, M. Effects of Electrospinning Setup and Process Parameters on Nanofiber Morphology Intended for the Modification of Quartz Crystal Microbalance Surfaces. J. Eng. Fibers Fabr. 2012, 7, 118–123. [Google Scholar] [CrossRef]
- Kumar, S.U.; Matai, I.; Dubey, P.; Bhushan, B.; Sachdev, A. Supporting information Differentially cross-linkable core-shell nanofibers for tunable delivery of anticancer drugs: Synthesis, characterization and its anticancer efficacy. Electron. Suppl. Mat. 2014, 4, 38263–38272. [Google Scholar]
- Khan, S.; Ranjha, N.M. Effect of degree of cross-linking on swelling and on drug release of low viscous chitosan/poly(vinyl alcohol) hydrogels. Polym. Bull. 2014, 71, 2133–2158. [Google Scholar] [CrossRef]
- Reddy, N. Citric acid cross-linking of starch films. Food Chem. 2010, 118, 702–711. [Google Scholar] [CrossRef]
- Tavakoli, J.; Zhang, H.P.; Tang, B.Z.; Tang, Y. Aggregation-induced emission lights up the swelling process: A new technique for swelling characterisation of hydrogels. Mater. Chem. Front. 2019, 3, 664–667. [Google Scholar] [CrossRef]
- Bhattarai, N.; Gunn, J.; Zhang, M. Chitosan-based hydrogels for controlled, localized drug delivery. Adv. Drug Deliv. Rev. 2010, 62, 83–99. [Google Scholar] [CrossRef]
- George, M.; Abraham, T.E. pH sensitive alginate-guar gum hydrogel for the controlled delivery protein drugs. Int. J. Pharm. 2007, 335, 123–129. [Google Scholar] [CrossRef]
- Percival, S.L.; Mccarty, S.; Hunt, J.A.; Woods, E.J. The effects of pH on wound healing, biofilms and antimicrobial efficacy. Wound Rep. Reg. 2014, 22, 174–186. [Google Scholar] [CrossRef]









© 2019 by the authors. Licensee MDPI, Basel, Switzerland. This article is an open access article distributed under the terms and conditions of the Creative Commons Attribution (CC BY) license (http://creativecommons.org/licenses/by/4.0/).
Share and Cite
Mohd Kanafi, N.; Abdul Rahman, N.; Rosdi, N.H.; Bahruji, H.; Maarof, H. Hydrogel Nanofibers from Carboxymethyl Sago Pulp and Its Controlled Release Studies as a Methylene Blue Drug Carrier. Fibers 2019, 7, 56. https://doi.org/10.3390/fib7060056
Mohd Kanafi N, Abdul Rahman N, Rosdi NH, Bahruji H, Maarof H. Hydrogel Nanofibers from Carboxymethyl Sago Pulp and Its Controlled Release Studies as a Methylene Blue Drug Carrier. Fibers. 2019; 7(6):56. https://doi.org/10.3390/fib7060056
Chicago/Turabian StyleMohd Kanafi, Nafeesa, Norizah Abdul Rahman, Nurul Husna Rosdi, Hasliza Bahruji, and Hasmerya Maarof. 2019. "Hydrogel Nanofibers from Carboxymethyl Sago Pulp and Its Controlled Release Studies as a Methylene Blue Drug Carrier" Fibers 7, no. 6: 56. https://doi.org/10.3390/fib7060056
APA StyleMohd Kanafi, N., Abdul Rahman, N., Rosdi, N. H., Bahruji, H., & Maarof, H. (2019). Hydrogel Nanofibers from Carboxymethyl Sago Pulp and Its Controlled Release Studies as a Methylene Blue Drug Carrier. Fibers, 7(6), 56. https://doi.org/10.3390/fib7060056

