Microbial Transglutaminase-Mediated Modification of Heat-Denatured Whey Proteins for the Preparation of Bio-Based Materials
Abstract
1. Introduction
2. Materials and Methods
2.1. Materials
2.2. Microbial Transglutaminase (mTG)-Modification of WPs and Film Preparation
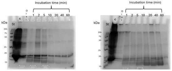
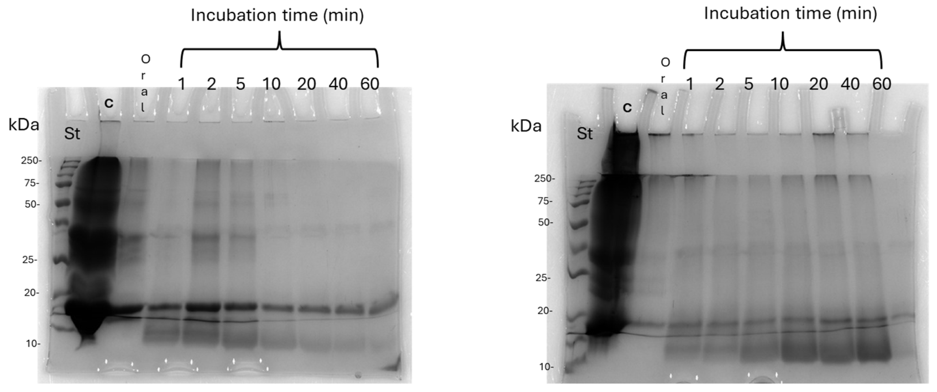
2.3. Sodium Dodecyl Sulphate Polyacrylamide Gel Electrophoresis (SDS-PAGE)
2.4. Zeta-Potential and Particle Size Measurements
2.5. Film Forming Solution Viscosity
2.6. Film Thickness
2.7. Film Mechanical Properties
2.8. Film Transmittance and Transparency
2.9. Film Gas and Water Vapor Barrier Properties
2.10. Film Moisture Content and Moisture Uptake
2.11. In Vitro Film Digestion
2.12. Statistical Analysis
3. Results and Discussion
3.1. Modification of WPs by Means of mTG
3.2. Zeta-Potential and Particle Size of Film Forming Solutions (FFSs)
3.3. Film Characterization
3.4. Film Digestibility
4. Conclusions
Author Contributions
Funding
Institutional Review Board Statement
Informed Consent Statement
Data Availability Statement
Acknowledgments
Conflicts of Interest
References
- Mariniello, L.; Giosafatto, C.V.L.; Di Pierro, P.; Sorrentino, A.; Porta, R. Swelling, mechanical, and barrier properties of albedo-based films prepared in the presence of phaseolin cross-linked or not by transglutaminase. Biomacromolecules 2010, 11, 2394–2398. [Google Scholar] [CrossRef] [PubMed]
- Zhang, W.; Hedayati, S.; Tarahi, M.; Can Karaca, M.; Hadidi, M.; Assadpour, E.; Jafari, S.M. Advances in transglutaminase cross-linked protein-based food packaging films: A review. Int. J. Biol. Macromol. 2023, 253, 127399. [Google Scholar] [CrossRef] [PubMed]
- Porta, R.; Di Pierro, P.; Rossi-Marquez, G.; Mariniello, L.; Kadivar, M.; Arabestani, A. Microstructure and properties of bitter vetch (Vicia ervilia) protein films reinforced by microbial transglutaminase. Food Hydrocoll. 2015, 50, 102–107. [Google Scholar] [CrossRef]
- Rachel, M.; Pelletier, J. Biotechnological applications of transglutaminases. Biomolecules 2013, 3, 870–888. [Google Scholar] [CrossRef]
- Kaewprachu, P.; Osako, K.; Tongdeesoontorn, W.; Rawdkuen, S. The effects of microbial transglutaminase on the properties of fish myofibrillar protein film. Food Packag. Shelf Life 2017, 12, 91–99. [Google Scholar] [CrossRef]
- Famiglietti, M.; Zannini, D.; Turco, R.; Mariniello, L. Mechanical, barrier, and thermal properties of amylose-argan proteins-based bioplastics in the presence of transglutaminase. Int. J. Mol. Sci. 2023, 24, 3405. [Google Scholar] [CrossRef]
- Peng, N.; Gu, L.; Li, J.; Liu, C.; Hu, J. Films based on egg white protein and succinylated casein cross-linked with transglutaminase. Food Bioprocess Technol. 2017, 10, 1422–1430. [Google Scholar] [CrossRef]
- Rostamzad, H.; Paighambari, S.Y.; Shabanpour, B.; Ojagh, S.M.; Mousavi, S.M. Improvement of fish protein film with nanoclay and transglutaminase for food packaging. Food Packag. Shelf Life 2016, 7, 1–7. [Google Scholar] [CrossRef]
- Motoki, M.; Seguro, K. Transglutaminase and its use for food processing. Trends Food Sci. Technol. 1998, 9, 204–210. [Google Scholar] [CrossRef]
- Kieliszek, M.; Misiewicz, A. Microbial transglutaminase and its application in the food industry: A review. Folia Microbiol. 2014, 59, 241–250. [Google Scholar] [CrossRef]
- Ando, H.; Adachi, M.; Umeda, K.; Matsuura, A.; Nonaka, M.; Uchio, R.; Tanaka, H.; Motoki, M. Technical approach to simplify the purification method and characterization of microbial transglutaminase produced from Streptoverticillium ladakanum. J. Food Sci. 2000, 65, 1183–1188. [Google Scholar]
- Zhu, Y.; Rinzema, A.; Tramper, J.; Bol, J. Microbial transglutaminase—A review of its production and application in food processing. Appl. Microbiol. Biotechnol. 1995, 44, 277–282. [Google Scholar] [CrossRef]
- Kikuchi, Y.; Tani, F.; Kamiya, N.; Yoshikawa, Y.; Kikuchi, T.; Kanie, S.; Morita, M. Properties and applications of microbial transglutaminase. Appl. Microbiol. Biotechnol. 2004, 64, 447–454. [Google Scholar]
- Gujral, H.S.; Rosell, C.M. Functionality of rice flour modified with a microbial transglutaminase. J. Cereal Sci. 2004, 39, 225–230. [Google Scholar] [CrossRef]
- Di Pierro, P.; Mariniello, L.; Giosafatto, C.V.L.; Esposito, M.; Sabbah, M.; Porta, R. Handbook of Food Bioengineering, Food Packaging and Preservation; Grumezescu, A.M., Holban, A.M., Eds.; Academic Press: Cambridge, MA, USA, 2018; pp. 439–456. [Google Scholar]
- Kolotylo, V.; Piwowarek, K.; Kieliszek, M. Microbiological transglutaminase: Biotechnological application in the food industry. Open Life Sci. 2023, 18, 20220737. [Google Scholar] [CrossRef]
- Rodriguez-Turienzo, L.; Cobos, A.; Diaz, O. Effects of microbial transglutaminase added edible coatings based on heated or ultrasound-treated whey proteins in physical and chemical parameters of frozen Atlantic salmon (Salmo salar). J. Food Eng. 2013, 119, 433–438. [Google Scholar] [CrossRef]
- Ercili-Cura, D.; Partanen, R.; Husband, F.; Ridout, M.; Macierzanka, A.; Lille, M.; Boer, H.; Lantto, R.; Buchert, J.; Mackie, A.R. Enzymatic cross-linking of β-lactoglobulin in solution and at air–water interface: Structural constraints. Food Hydrocoll. 2012, 28, 1–9. [Google Scholar] [CrossRef]
- Rossi Marquez, G.; Di Pierro, P.; Esposito, M.; Mariniello, L.; Porta, R. Application of transglutaminase-crosslinked whey protein/pectin films as water barrier coatings in fried and baked foods. Food Bioprocess Technol. 2014, 7, 447–455. [Google Scholar] [CrossRef]
- Gharibzahedi, S.M.T.; Roohinejad, S.; George, S.; Barba, F.J.; Greiner, R.; Barbosa-Cánovas, G.V.; Mallikarjunan, K. Innovative food processing technologies on the transglutaminase functionality in protein-based food products: Trends, opportunities and drawbacks. Trends Food Sci. Technol. 2018, 75, 194–205. [Google Scholar] [CrossRef]
- Cruz-Diaz, K.; Cobos, A.; Encarnación Fernández-Valle, M.; Díaz, O.; Cambero, M.I. Characterization of edible films from whey proteins treated with heat, ultrasounds and/or transglutaminase. Application in cheese slices packaging. Food Packag. Shelf Life 2019, 22, 100397. [Google Scholar] [CrossRef]
- Yildirim, M.; Hettiarachchy, N.S. Properties of films produced by cross-linking whey proteins and 11s globulin using transglutaminase. J. Food Sci. 1998, 63, 248–252. [Google Scholar] [CrossRef]
- Abdalrazeq, M.; D’Angelo, A.; Esposito, M.; Mariniello, L.; Porta, R.; Giosafatto, C.V.L. Glycerol-plasticized films obtained from whey proteins denatured at alkaline pH. Coatings 2019, 9, 322. [Google Scholar] [CrossRef]
- Djoullah, A.; Krechiche, G.; Husson, F.; Saurel, R. Size measuring techniques as tool to monitor pea proteins intramolecular crosslinking by transglutaminase treatment. Food Chem. 2016, 190, 197–200. [Google Scholar] [CrossRef]
- Giosafatto, C.V.L.; Al-Asmar, A.; D’Angelo, A.; Roviello, V.; Esposito, M.; Mariniello, L. Preparation and characterization of bioplastics from grass pea flour cast in the presence of microbial transglutaminase. Coatings 2018, 8, 435. [Google Scholar] [CrossRef]
- Laemmli, U. Cleavage of structural proteins during the assembly of the head of bacteriophage T4. Nature 1970, 227, 680–685. [Google Scholar] [CrossRef]
- Romano, K.A.; Vivas, E.I.; Amador-Noguez, D.; Rey, F.E. Intestinal microbiota composition modulates choline bioavailability from diet and accumulation of the proatherogenic metabolite trimethylamine-N-oxide. mBio 2015, 6, e02481. [Google Scholar] [CrossRef]
- ASTM D882-18; Standard Test Method for Tensile Properties of Thin Plastic Sheeting. ASTM: West Conshohocken, PA, USA, 1997. Available online: https://www.astm.org/Standards/D882 (accessed on 20 October 2024).
- Galus, S.; Kadzińska, J. Gas barrier and wetting properties of whey protein isolate-based emulsion films. Polym. Eng. Sci. 2019, 59, E375–E383. [Google Scholar] [CrossRef]
- ASTM D3985-05; Standard Test Method for Oxygen Gas Transmission Rate Through Plastic Film and Sheeting Using a Colorimetric Sensor. ASTM: West Conshohocken, PA, USA, 2010.
- ASTM F2476-13; Standard Test Method for the Determination of Carbon Dioxide Gas Transmission Rate Through Barrier Materials Using an Infrared Detector. ASTM: West Conshohocken, PA, USA, 2013.
- ASTM F1249-13; Standard Test Method for Water Vapor Transmission Rate Through Plastic Film and Sheeting Using a Modulated Infrared Sensor. ASTM International: West Conshohocken, PA, USA, 2013.
- Sartori, T.; Menegalli, F.C. Development and characterization of unripe banana starch films incorporated with solid lipid microparticles containing ascorbic acid. Food Hydrocoll. 2016, 55, 210–219. [Google Scholar] [CrossRef]
- Wang, Q.; Jin, Y.; Xiong, Y.L. Heating-aided pH shifting modifies hemp seed protein structure, cross-linking, and emulsify-ing properties. J. Agric. Food Chem. 2018, 66, 10827–10834. [Google Scholar] [CrossRef]
- Wang, Y.; Yang, F.; Wu, M.; Li, J.; Bai, Y.; Xu, W.; Qiu, S. Synergistic effect of pH shifting and mild heating in improving heat induced gel propertiesof peanut protein isolate. LWT-Food Sci. Technol. 2020, 131, 109812. [Google Scholar] [CrossRef]
- Liu, Y.; Weng, R.; Wang, W.; Wei, X.; Li, J.; Chen, X.; Liu, Y.; Lu, F.; Li, Y. Tunable physical and mechanical properties of gelatin hydrogel after transglutaminase crosslinking on two gelatin types. Int. J. Biol. Macromol. 2020, 162, 405–413. [Google Scholar] [CrossRef] [PubMed]
- Lee, R.; Pranata, M.; Ustunol, Z.; Almenar, E. Influence of glycerol and water activity on the properties of compressed egg white-based bioplastics. J. Food Eng. 2013, 118, 132–140. [Google Scholar] [CrossRef]
- Othman, S.H.; Edwal, S.A.M.; Risyon, N.P.; Basha, R.K.; Talib, R.A. Water sorption and water permeability properties of edible film made from potato peel waste. Food Sci. Technol. 2017, 37, 63–70. [Google Scholar] [CrossRef]
- Minekus, M.; Alminger, M.; Alvito, P.; Ballance, S.; Bohn, T.; Bourlieu, C.; Bourlieu, C.; Carrière, F.; Boutrou, R.; Boutrou, R.; et al. A standardised static in vitro digestion method suitable for food—An international consensus. Food Funct. 2014, 5, 1113–1124. [Google Scholar] [CrossRef]
- Arciello, A.; Panzella, L.; Dell’Olmo, E.; Abdalrazeq, M.; Moccia, F.; Gaglione, R.; Agustin-Salazar, S.; Napolitano, A.; Mariniello, L.; Giosafatto, C.V.L. Development and characterization of antimicrobial and antioxidant whey protein-based films functionalized with pecan (Carya illinoinensis) nut shell extract. Food Packag. Shelf Life 2021, 29, 100710. [Google Scholar] [CrossRef]
- Leng, J.; Jiang, Y.; Zhou, T.; Zhang, S.; Zhu, C.; Wang, B.; Li, L.; Zhao, W. Unveiling the slow digestion and peptide profiles of polymerised whey gel via heat and TGase crosslinking: An in vitro/vivo perspective. Food Chem. 2025, 464 Pt 3, 141829. [Google Scholar] [CrossRef]






| WP FFSs | Mean Particle Size (d.nm) | Zeta Potential (mV) |
|---|---|---|
| −mTG | 171 ± 7 a | −33 ± 2.5 a |
| +mTG (8 U/g) | 268 ± 11 b | −38.8 ± 1.4 b |
| +mTG (16 U/g) | 263 ± 17 b,c | −30.5 ± 1.8 a |
| +mTG (24 U/g) | 182 ± 7 a,c | −41.8 ± 2.8 b |
| +mTG (32 U/g) | 233 ± 12 d | −33.1 ± 2.2 a |
| WP Films | Tensile Strength (MPa) | Elongation at Break (%) | Young’s Modulus (MPa) | Thickness (μm) |
|---|---|---|---|---|
| −mTG | 2.4 ± 0.6 a | 10.4 ± 4.9 a | 164.7 ± 48.4 a | 112 ± 28 a,b |
| +mTG (8 U/g) | 1.1 ± 0.2 b | 16.7 ± 5.2 a,b | 33.9 ± 5.0 b | 92 ± 6 b |
| +mTG (16 U/g) | 0.8 ± 0.2 b | 19.1 ± 6.1 a,b | 25.7 ± 4.5 b | 150 ± 18 a |
| +mTG (24 U/g) | 0.8 ± 0.2 b | 27.6 ± 8.9 c | 26.6 ± 4.8 b | 122 ± 8 a,b |
| +mTG (32 U/g) | 0.9 ± 0.1 b | 17.9 ± 3.3 b | 28.6 ± 6.3 b | 156 ± 14 c |
| WP Films | Tensile Strength (MPa) | Elongation at Break (%) | Young’s Modulus (MPa) | Thickness (μm) |
|---|---|---|---|---|
| −mTG | 1.4 ± 0.2 a | 34.3 ± 3.9 a | 29.2 ± 4.9 a | 79 ± 2 a |
| +mTG (24 U/g) | 2.2 ± 0.1 b | 49.8 ± 5.3 b | 50.6 ± 2.6 b | 77 ± 1 a |
| WP Films | Moisture Content (%) | Moisture Uptake (%) |
Opacity (A600 * mm−1) | Permeability | ||
|---|---|---|---|---|---|---|
| CO2 | WV | O2 | ||||
| (cm3 mm m−2 day−1 kPa−1) | ||||||
| −mTG | 22.1 ± 0.9 a | 12.2 ± 0.9 a | 1.9 ± 0.6 a | 0.90 ± 0.06 a | 0.04 ± 0.01 a | 0.26 ± 0.02 a |
| +mTG (24 U/g) | 18.8 ± 1.0 b | 10.6 ± 0.5 b | 1.2 ± 0.1 b | 0.14 ± 0.02 b | 0.04 ± 0.01 b | 0.02 ± 0.01 b |
Disclaimer/Publisher’s Note: The statements, opinions and data contained in all publications are solely those of the individual author(s) and contributor(s) and not of MDPI and/or the editor(s). MDPI and/or the editor(s) disclaim responsibility for any injury to people or property resulting from any ideas, methods, instructions or products referred to in the content. |
© 2025 by the authors. Licensee MDPI, Basel, Switzerland. This article is an open access article distributed under the terms and conditions of the Creative Commons Attribution (CC BY) license (https://creativecommons.org/licenses/by/4.0/).
Share and Cite
Abdalrazeq, M.; Aref, D.; Mariniello, L.; Giosafatto, C.V.L. Microbial Transglutaminase-Mediated Modification of Heat-Denatured Whey Proteins for the Preparation of Bio-Based Materials. Coatings 2025, 15, 66. https://doi.org/10.3390/coatings15010066
Abdalrazeq M, Aref D, Mariniello L, Giosafatto CVL. Microbial Transglutaminase-Mediated Modification of Heat-Denatured Whey Proteins for the Preparation of Bio-Based Materials. Coatings. 2025; 15(1):66. https://doi.org/10.3390/coatings15010066
Chicago/Turabian StyleAbdalrazeq, Manar, Diaa Aref, Loredana Mariniello, and Concetta Valeria Lucia Giosafatto. 2025. "Microbial Transglutaminase-Mediated Modification of Heat-Denatured Whey Proteins for the Preparation of Bio-Based Materials" Coatings 15, no. 1: 66. https://doi.org/10.3390/coatings15010066
APA StyleAbdalrazeq, M., Aref, D., Mariniello, L., & Giosafatto, C. V. L. (2025). Microbial Transglutaminase-Mediated Modification of Heat-Denatured Whey Proteins for the Preparation of Bio-Based Materials. Coatings, 15(1), 66. https://doi.org/10.3390/coatings15010066

