Effect of Sintering Temperature on High-Entropy Alloy Particle Reinforced Aluminum Matrix Composites via Vacuum Hot-Pressing Sintering
Abstract
:1. Introduction
2. Experiment
3. Results and Discussion
3.1. Mechanical Properties of Composite at Different Sintering Temperatures
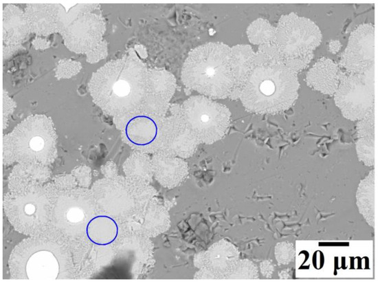
3.2. Interface Composition Analysis
3.3. Interface Micromechanical Properties
4. Conclusions
- (1)
- With the increase in sintering temperature, the density, strength and hardness of the composites increased at first and then decreased, while the plasticity decreased. The yield strength and compressive strength of the composites have maximum values of 117.3 MPa and 226.6 MPa at 650 °C. When the sintering temperature is lower than 700 °C, the prepared composites have a very good ductility, with the maximum values exceeding 60%.
- (2)
- With the increase in sintering temperature, there is an obvious transition layer in the composites, and the elements of the transition layer are mainly aluminum and high-entropy alloy. When the sintering temperature is below 700 °C, the thickness of the transition layer increases with the increase in temperature. The maximum thickness of the transition layer is ~6 μm. When the sintering temperature is 700 °C, the liquefaction phenomenon occurs in the sintering process of the composites, and the interface layer changes greatly.
- (3)
- The bonding mode between matrix and particles in the composites is related to the sintering temperature. Below 600 °C, the bonding mode is mainly mechanical bonding, and above 600 °C, the formation of the transition layer makes the bonding mode change to diffusion bonding. This has a significant effect on the mechanical properties of the composites.
Author Contributions
Funding
Institutional Review Board Statement
Informed Consent Statement
Data Availability Statement
Conflicts of Interest
References
- Pouraliakbar, H.; Monazzah, A.H.; Bagheri, R.; Reihani, S.; Khalaj, G.; Nazari, A.; Jandaghi, M. Toughness prediction in func-tionally graded Al6061/SiCp composites produced by roll-bonding. Ceram. Int. 2014, 40, 8809–8825. [Google Scholar] [CrossRef]
- Hu, Q.; Zhao, H.; Li, F. Microstructures and properties of SiC particles reinforced aluminum-matrix composites fabricated by vacuum-assisted high pressure die casting. Mater. Sci. Eng. A 2017, 680, 270–277. [Google Scholar] [CrossRef]
- Liu, Y.; Chen, J.; Li, Z.; Wang, X.; Fan, X.; Liu, J. Formation of transition layer and its effect on mechanical properties of AlCoCrFeNi high-entropy alloy/Al composites. J. Alloys Compd. 2019, 780, 558–564. [Google Scholar] [CrossRef]
- Zhang, Y.; Yang, X.; Liaw, P.K. Alloy Design and Properties Optimization of High-Entropy Alloys. JOM J. Miner. Met. Mater. Soc. 2012, 64, 830–838. [Google Scholar] [CrossRef]
- Senkov, O.N.; Scott, J.M.; Senkova, S.V.; Miracle, D.B.; Woodward, C.F. Microstructure and room temperature properties of a high-entropy TaNbHfZrTi alloy. J. Alloys Compd. 2011, 509, 6043–6048. [Google Scholar] [CrossRef]
- Zhang, Y.; Zuo, T.T.; Cheng, Y.Q.; Liaw, P.K. High-entropy Alloys with High Saturation Magnetization, Electrical Resistivity, and Malleability. Sci. Rep. 2013, 3, 1455. [Google Scholar] [CrossRef]
- Wang, Z.; Georgarakis, K.; Nakayama, K.S.; Li, Y.; Tsarkov, A.A.; Xie, G.; Dudina, D.; Louzguine-Luzgin, D.V.; Yavari, A.R. Microstructure and mechanical behavior of metallic glass fiber-reinforced Al alloy matrix composites. Sci. Rep. 2016, 6, 24384. [Google Scholar] [CrossRef]
- Karthik, G.M.; Panikar, S.; Ram, G.D.J.; Kottada, R.S. Additive manufacturing of an aluminum matrix composite reinforced with nanocrystalline high-entropy alloy particles. Mater. Sci. Eng. A 2017, 679, 193–203. [Google Scholar] [CrossRef]
- Prakash, K.S.; Gopal, P.M.; Purusothaman, M.; Sasikumar, M. Fabrication and Characterization of Metal-High Entropy Alloy Composites. Int. J. Met. 2020, 14, 547–555. [Google Scholar]
- Yuan, Z.; Liu, H.; Ma, Z.; Ma, X.; Wang, K.; Zhang, X. Microstructure and properties of high entropy alloy reinforced titanium matrix composites. Mater. Charact. 2022, 187, 111856. [Google Scholar] [CrossRef]
- Yuan, Z.; Liu, H.; Ma, Z.; Ma, X.; Wang, K.; Zhang, X. Effect of heat treatment on the microstructure and properties of CoCrFeNiMo0.2 particles reinforced titanium matrix composites. J. Alloys Compd. 2022, 928, 166985. [Google Scholar] [CrossRef]
- Luo, K.; Xiong, H.; Zhang, Y.; Gu, H.; Li, Z.; Kong, C.; Yu, H. AA1050 metal matrix composites reinforced by high-entropy alloy particles via stir casting and subsequent rolling. J. Alloys Compd. 2022, 893, 162370. [Google Scholar] [CrossRef]
- Wang, Z.W.; Yuan, Y.B.; Zheng, R.X.; Ameyama, K.; Ma, C.L. Microstructures and mechanical properties of extruded 2024 aluminum alloy reinforced by FeNiCrCoAl3 particles. Trans. Nonferrous Met. Soc. China 2014, 24, 2366–2373. [Google Scholar] [CrossRef]
- Chen, J.; Niu, P.; Wei, T.; Hao, L.; Liu, Y.; Wang, X.; Peng, Y. Fabrication and mechanical properties of AlCoNiCrFe high-entropy alloy particle reinforced Cu matrix composites. J. Alloys Compd. 2015, 649, 630–634. [Google Scholar] [CrossRef]
- Chen, W.; Li, Z.; Lu, T.; He, T.; Li, R.; Li, B.; Wan, B.; Fu, Z.; Scudino, S. Effect of ball milling on microstructure and mechanical properties of 6061Al matrix composites reinforced with high-entropy alloy particles. Mater. Sci. Eng. A 2019, 762, 138116. [Google Scholar] [CrossRef]
- Satyanarayana, P.V.; Sokkalingam, R.; Jena, P.K.; Sivaprasad, K.; Prashanth, K.G. Tungsten Matrix Composite Reinforced with CoCrFeMnNi High-Entropy Alloy: Impact of Processing Routes on Microstructure and Mechanical Properties. Metals 2019, 9, 992. [Google Scholar] [CrossRef]
- Tan, Z.; Wang, L.; Xue, Y.; Zhang, P.; Cao, T.; Cheng, X. High-entropy alloy particle reinforced Al-based amorphous alloy composite with ultrahigh strength prepared by spark plasma sintering. Mater. Des. 2016, 109, 219–226. [Google Scholar] [CrossRef]
- Yuan, Z.; Tian, W.; Li, F.; Fu, Q.; Hu, Y.; Wang, X. Microstructure and properties of high-entropy alloy reinforced aluminum matrix composites by spark plasma sintering. J. Alloys Compd. 2019, 806, 901–908. [Google Scholar] [CrossRef]
- Zhang, Z.H.; Liu, Z.F.; Lu, J.F.; Shen, X.B.; Wang, F.C.; Wang, Y.D. The sintering mechanism in spark plasma sintering–Proof of the occurrence of spark discharge. Scr. Mater. 2014, 81, 56–59. [Google Scholar] [CrossRef]
- Song, X.; Liu, X.; Zhang, J. Neck Formation and Self adjusting Mechanism of Neck Growth of Conducting Powders in Spark Plasma Sintering. J. Am. Ceram. Soc. 2006, 89, 494–500. [Google Scholar] [CrossRef]
- Yang, X.; Zhang, H.; Dong, P.; Yan, Z.; Wang, W. A study on the formation of multiple intermetallic compounds of friction stir processed high entropy alloy particles reinforced Al matrix composites. Mater. Charact. 2022, 183, 111646. [Google Scholar] [CrossRef]
- Liu, Y.G.; Li, M.Q.; Liu, H.J. Nanostructure and surface roughness in the processed surface layer of Ti-6Al-4V via shot peening. Mater. Charact. 2017, 123, 83–90. [Google Scholar] [CrossRef]
- Zhang, C.; Zhang, F.; Chen, S.; Cao, W. Computational Thermodynamics Aided High-Entropy Alloy Design. JOM J. Miner. Met. Mater. Soc. 2012, 64, 839–845. [Google Scholar] [CrossRef]
- Takeuchi, A.; Inoue, A. Classification of Bulk Metallic Glasses by Atomic Size Difference, Heat of Mixing and Period of Constituent Elements and Its Application to Characterization of the Main Alloying Element. Mater. Trans. 2005, 46, 2817–2829. [Google Scholar] [CrossRef]
- Niu, S.; Kou, H.; Zhang, Y.; Wang, J.; Li, J. The characteristics of serration in Al0.5CoCrFeNi high entropy alloy. Mater. Sci. Eng. A 2017, 702, 96–103. [Google Scholar] [CrossRef]
- Oliver, W.C.; Pharr, G.M. An improved technique for determining hardness and elastic modulus using load and displacement sensing indentation experiments. J. Mater. Res. 1992, 7, 1564–1583. [Google Scholar] [CrossRef]
- Oliver, W.C.; Pharr, G.M. Measurement of hardness and elastic modulus by instrumented indentation: Advances in understanding and refinements to methodology. J. Mater. Res. 2004, 19, 3–20. [Google Scholar] [CrossRef]











| Sintering Temperature (°C) | Actual Density (g/cm3) | Theoretical Density (g/cm3) | Relative Density (%) |
|---|---|---|---|
| 550 | 2.9086 | 3.0951 | 90.0 |
| 600 | 2.9937 | 3.0951 | 96.7 |
| 650 | 3.0019 | 3.0951 | 97.0 |
| 700 | 2.9398 | 3.0951 | 95.0 |
| Sintering Temperature (°C) | Yield Strength (MPa) | Compressive Strength (MPa) | Ductility (%) |
|---|---|---|---|
| 550 | 86.2 | 200 | 60.8 |
| 600 | 97.5 | 215 | 55.0 |
| 650 | 117.2 | 226 | 34.6 |
| 700 | 80.5 | 138 | 8.7 |
| Regions | Al | Fe | Mg | Si | Cr | Ni | Co |
|---|---|---|---|---|---|---|---|
| A | 74.25 | 5.41 | 3.1 | / | 3.55 | 7.24 | 6.45 |
| B | 74.85 | 5.57 | 2.32 | / | 3.97 | 6.58 | 6.71 |
| C | 72.89 | 6.79 | / | 0.89 | 7.62 | 5.16 | 6.65 |
| D | 72.77 | 7.09 | / | 0.79 | 7.20 | 5.10 | 7.05 |
| E | 37.44 | 15.59 | / | / | 16.43 | 14.46 | 16.08 |
| F | 12.56 | 20.73 | / | / | 22.39 | 21.58 | 22.74 |
Disclaimer/Publisher’s Note: The statements, opinions and data contained in all publications are solely those of the individual author(s) and contributor(s) and not of MDPI and/or the editor(s). MDPI and/or the editor(s) disclaim responsibility for any injury to people or property resulting from any ideas, methods, instructions or products referred to in the content. |
© 2023 by the authors. Licensee MDPI, Basel, Switzerland. This article is an open access article distributed under the terms and conditions of the Creative Commons Attribution (CC BY) license (https://creativecommons.org/licenses/by/4.0/).
Share and Cite
Zhang, L.; Fang, W.; Tian, W.; Yuan, Z. Effect of Sintering Temperature on High-Entropy Alloy Particle Reinforced Aluminum Matrix Composites via Vacuum Hot-Pressing Sintering. Coatings 2024, 14, 16. https://doi.org/10.3390/coatings14010016
Zhang L, Fang W, Tian W, Yuan Z. Effect of Sintering Temperature on High-Entropy Alloy Particle Reinforced Aluminum Matrix Composites via Vacuum Hot-Pressing Sintering. Coatings. 2024; 14(1):16. https://doi.org/10.3390/coatings14010016
Chicago/Turabian StyleZhang, Liang, Weilin Fang, Wenbin Tian, and Zhanwei Yuan. 2024. "Effect of Sintering Temperature on High-Entropy Alloy Particle Reinforced Aluminum Matrix Composites via Vacuum Hot-Pressing Sintering" Coatings 14, no. 1: 16. https://doi.org/10.3390/coatings14010016
APA StyleZhang, L., Fang, W., Tian, W., & Yuan, Z. (2024). Effect of Sintering Temperature on High-Entropy Alloy Particle Reinforced Aluminum Matrix Composites via Vacuum Hot-Pressing Sintering. Coatings, 14(1), 16. https://doi.org/10.3390/coatings14010016

