Next Article in Journal
Facile Hydrothermal Synthesis of Binder-Free Hexagonal MnO2 Nanoparticles for a High-Performance Supercapacitor’s Electrode Material
Next Article in Special Issue
Changes in the Oral Cavity Mucosal Surface under the Influence of Wearing Protective Face Masks—Nitric Oxide Concentration Analysis—Preliminary Report
Previous Article in Journal
Hybrid Tri-Cure Organo-Silicon Coatings for Monument Preservation
Previous Article in Special Issue
Adhesive Cementation of Zirconia Based Ceramics-Surface Modification Methods Literature Review
 
 
Font Type:
Arial Georgia Verdana
Font Size:
Aa Aa Aa
Line Spacing:
Column Width:
Background:
Article

Comparative Analysis of Implant Prosthesis Treatment Planning and Execution Following Bone Repair Procedures Using Dynamic Surgical Navigation in Augmented Areas

by
Kacper Wachol
1,*,†,
Tadeusz Morawiec
1,†,
Anna Nowak-Wachol
2,
Bartłomiej Kubaszek
1,
Teresa Kasprzyk-Kucewicz
3,
Domenico Baldi
4,
Agnieszka Machorowska-Pieniążek
5,
Małgorzata Skucha-Nowak
2 and
Armand Cholewka
3
1
Department of Oral Surgery, Division of Medical Sciences in Zabrze, Medical University of Silesia, 15 Poniatowskiego Street, 40-055 Katowice, Poland
2
Department of Dental Propedeutics, Division of Medical Sciences in Zabrze, Doctoral School, Medical University of Silesia in Katowice, 15 Poniatowskiego Street, 40-055 Katowice, Poland
3
Faculty of Science and Technology, University of Silesia, 12 Bankowa Street, 40-007 Katowice, Poland
4
Department of Surgical and Integrated Diagnostics Sciences, University of Genoa, Via Balbi 5, 16126 Genoa, Italy
5
Department of Orthodontics, Division of Medical Sciences in Zabrze, Medical University of Silesia, 15 Poniatowskiego Street, 40-055 Katowice, Poland
*
Author to whom correspondence should be addressed.
These authors contributed equally to this work.
Coatings 2022, 12(8), 1099; https://doi.org/10.3390/coatings12081099
Submission received: 9 June 2022 / Revised: 28 July 2022 / Accepted: 28 July 2022 / Published: 2 August 2022
(This article belongs to the Special Issue Advances and Innovations in Dental Materials and Coatings)

Abstract

:
Successful implant placement in augmented sites depends on the appropriate bone volume and quality, as well as careful planning of the procedure. Minimizing risks during the surgical and healing phases is also of great importance. A very promising technique has been introduced, which partially meets the above criteria. This technique is designed to increase the precision and reduce the invasiveness associated with surgical procedures during implantation. The aim of this clinical study was to analyze the accuracy of computer-guided implant surgery in augmented sites in patients treated with dental implants introduced using dynamic implant navigation. Eleven healthy patients who had planned and performed implant-prosthetic treatment after bone augmentation were analyzed. Twenty-three implants were placed with Navident dynamic navigation using the tissue punch flapless technique. This study evaluated the position of the inserted implant relative to the virtual plan and determined the correlation. The treatments were successful in all the treated patients, and the integration period (3 or 6 months) was uneventful and enabled implant-prosthetic treatment. The accuracy values provided in this study are comparable to, but not better than, data provided in the literature on dynamic and static computer-assisted surgery. Dynamic navigation may improve the quality and safety of surgical procedures and reduce the risk of complications.

1. Introduction

Implantology is one of the fastest growing branches of dentistry and aims to restore the function and aesthetics of traumatized or compromised teeth using a biomimetic approach. Implant-supported restoration has significant advantages over other restorations, such as dental bridges or removable dentures. It helps to restore missing teeth with the use of minimally invasive techniques, without requiring damage to adjacent teeth. Furthermore, implants stabilize the alveolar bone and prevent progredient soft tissue atrophy [1].
Implant placement is a complex procedure. The long-term effects of implant prosthesis treatment depend on many factors, such as the planned implant position, local anatomy, the amount and quality of bone tissue, surgical technique, implant type, and the type of prosthetic restoration used [2,3]. Modern dental implant prosthetics should be planned to ensure optimal occlusion and be focused on future prosthetic restoration [4]. The optimal position of the implant will enable a screw-retained prosthetic restoration, which has many advantages over cemented restorations, such as a lack of excess cement, which acts as a retention site for bacterial plaque; the possibility to perform periodic inspections of the base under the prosthetic; and the possibility of repairing the prosthetic after it has been unscrewed [5].
Tooth loss, and the processes that follow, contribute to the three-dimensional resorption of the alveolar ridge. This process progresses throughout life, can have a chronic nature, is physiologically irreversible, and accumulates. It is most intense in the first 12 months following tooth loss, with an average 50% reduction in the width of the alveolar crest with mucosa (on average, 12 mm to 5.9 mm), where two-thirds of the width loss occurs in the first 3 months. The tissue-healing process after tooth loss contributes to a greater resorption of the buccal or labial wall than the palatal or lingual, and greater atrophy in molars than premolars [6,7].
The implant placement procedure must be preceded by guided bone regeneration. Bone grafts are widely used in orthopedic surgery, neurosurgery, plastic surgery, maxillofacial surgery, and periodontology [8,9]. A prerequisite for proper bone repair is the interaction between four elements: (1) osteogenic cells (osteoblasts or stem cells), (2) osteoinductive signals provided by growth factors, (3) osteoconductive matrix (providing an effective scaffold), and (4) blood and nutrient supply [10]. The restoration procedure enables implantation in areas where the bone tissue did not initially allow for this procedure to be executed. Other indicators for GBR treatment include mechanical trauma, developmental defects, inflammatory processes, or regeneration after iatrogenic injury [11]. The materials used for augmentation (bone repair) can be divided into autogenous (transplants made from patient’s own tissue), allogenic (human tissue from a tissue bank matched with the patient), xenogeneic (of animal material origin), or alloplastic (material of synthetic or natural origin) [12].
Proper planning is extremely important in implant-prosthesis treatment, based on medical history, clinical examination, and CBCT imaging diagnosis, which has become the gold standard for the pre-treatment planning. This examination provides us with the necessary imaging data regarding the quantity and quality of bone tissue and the distribution of anatomical structures, which is relevant for the treatment of the maxillary sinuses, nasal cavity, incisive canal, mandibular canal, and mental foramen [13,14]. On this basis, we can accurately plan the implant position and, at the time of surgery, transfer it to the operative site using a surgical template (static navigation), or use dynamic guided surgery with real-time feedback and precisely execute the previously planned position of the implant while performing the dental procedure [15,16].
Dynamic navigation does not require the use of previously prepared templates: the doctor prepares the treatment plan based on the CBCT scans taken in a single visit before the surgery, if possible. Digital planning helps to optimize the implant position, considering the bone condition, the adjacent anatomical structures and the requirements for future prosthetic restoration [17]. The use of dynamic navigation ensures the precise execution of a treatment plan and allows for intraoperative changes to the digital plan, if necessary (e.g., chairside decisions on quantity, position and size of the implant, if intraoperative conditions differ from those planned on the basis of the preoperative CBCT examination). Dynamic navigation also allows for flapless implant surgery, if necessary, which reduces trauma and discomfort for the patient and shortens the surgical procedure and healing time [18]. The available literature confirms that surgery with the use of flapless techniques provides a lower temperature for the operated area and bone bed, which contributes to improved healing and a reduced probability of perioperative complications [19,20].
Dynamic navigation combined with the flapless approach lowers the risk of atrophy in previously augmented bone tissues compared with the procedure involving the elevation of mucoperiosteal flap because bone atrophy, due to changes in periosteal vascularization following flap elevation, is often unpredictable [21].
Due to the increasing frequency of treatment of missing teeth with dental implants—the opening of a single missing teeth and the use of implants in very difficult anatomical conditions, which require increased precision and prior preparation of the conditions for correct implantation—achieving high precision is crucial. The issues of an ageing population, increasing aesthetic expectations, and patient awareness of restorative treatment methods are not insignificant.
The null hypothesis is the use of dynamic surgical navigation in the process of implant-prosthesis treatment planning imparts no benefits over other techniques.
The aim of this study was to evaluate the accuracy of dynamic navigation in implant treatment planning and execution following a bone augmentation procedure.

2. Materials and Methods

Dental implant treatment was performed in the patients, who presented themselves between July 2019 and September 2020 to rehabilitate lost dentition. The patients received a clinical examination and CBCT scans were taken (Carestream Dental CS 8100 3d). Patients aged 18–65 years without concomitant systemic disease and with good oral hygiene (API < 15%), were eligible for the study. Patients who required bone augmentation in the regions to be implanted were included in the study. Patients with severe systemic disease (ASA III-IV) with generalized immunodeficiency or who had clinically and radiologically diagnosed inflammatory conditions or smoked more than 10 cigarettes a day were excluded from the study. Out of a total of 54 patients, 11 (7 men, 4 women) were finally enrolled to participate in the study, and 23 implants were placed. All the participants were informed of the study’s purpose and methodology, and provided written informed consent. The approval of the Bioethics Committees of the Silesian Medical Chamber in Katowice was obtained (Resolution no. 24/2019 as of 25 June 2019).
Based on the CBCT scans, a team (supported by an experienced dental surgeon and a prosthodontist) planned implant placement, respecting not only the anatomical limitations, but also the occlusal surfaces of the opposing teeth. To this end, a dedicated software was used, offering improved identification and marking of important anatomical structures, such as the alveolar nerve canal and the maxillary sinus; the use of any dental implant system; and virtual planning of the prosthetic restoration, including identification of the access to the implant body.
The surgical procedures were performed using the Navident dynamic navigation system shown in Figure 1 (Navident, ClaroNav, Toronto, ON, Canada). The surgeries were planned and performed using pre-treatment CBCT assessment. Immediately prior to the procedure, 3–6 landmarks (such as teeth, implants, bone edge or bone screws) were selected and registered to the patient using a dedicated mapping tool (tracer tool) equipped with an optical marker (head tracker).
The implant placement procedure was performed by a team of two dental surgeons with over 20 years of clinical experience. The procedures were performed under local infiltration anesthesia and block anesthesia using 4% articaine as anesthetic. The implant bed preparation was performed using a flapless approach. Each of the rotary instruments, including the punch, was calibrated and detected by the navigation system before being introduced into the surgical field, as shown in Figure 2.The drilling sequence for the Camlog implant system was used for the surgery, while the implant placement protocol was followed. The implants, as well as the surgical instruments, were calibrated and inserted under navigation guidance. The procedure was completed by securing the implant body with a locking screw, there was no need to suture a wound-Figure 3.
After the integration time, which was 4–6 months for the maxilla and 3 months for the mandible, a clinical and radiological follow-up was performed. Each patient was postoperatively CBCT scanned with the same exposure setting as used for the preoperative evaluation. Further treatment included exposure of the implants and the fitting of healing screws, and the final screw-retained ceramic restorations (Figure 4) were received using digital impressions with a Carestream Dental CS 3600 intraoral scanner.
The postoperative CT scans provided information about the actual position of the implants and allowed for a comparison of the deviation between the planned implant position and the achieved position of the inserted implant. For this purpose, the EvaluNav (ClaroNav, Toronto, ON, Canada) software application, merged into the Navident system, was used. After loading and recording the preoperative and postoperative scans, the exact position of each implant was detected on the postoperative CT image and then compared with the planned position on the preoperative scan, as in Figure 5. If there was a discrepancy in the marking of a particular implant, the marking was modified manually.
Deviations at the entry point, at the apex and for angle deviations were automatically calculated and presented graphically and numerically. Data were collected in tabular form and statistically analyzed with the use of the Statistica v13.1 software (StatSoft Polska, Kraków, Poland).
The following results were included in the study:
-
Error at the entry (arm) of the implant in mm;
-
Error at implant apex in mm;
-
Error of implant insertion depth in mm;
-
Angular error in degrees;
-
Total implant positioning error.

3. Results

The comparison (Figure 6) of the total error values at the entry point and at the apex of the implant showed no statistically significant discrepancies. However, when observing the exact mean values (1.33 mm for the entry point and 1.18 mm for the apex point), some tendency for a discrepancy between the values can be observed, as the discrepancy was over 11%, which, considering how accurate the procedure is, may significantly affect the correct implant placement.
Figure 6. Comparison of the TOTAL ERROR parameter at the entry point (ENTRY) and at the apex of the implant (APEX). For a deeper analysis of the dependence of the total error (TE) at APEX from TE at ENTRY, the correlation of the values was verified, and is presented in Figure 7.
Figure 6. Comparison of the TOTAL ERROR parameter at the entry point (ENTRY) and at the apex of the implant (APEX). For a deeper analysis of the dependence of the total error (TE) at APEX from TE at ENTRY, the correlation of the values was verified, and is presented in Figure 7.
Coatings 12 01099 g006
An average positive Pearson correlation coefficient of r = 0.51 was obtained. The relationship between the two variables shows statistical significance (p < 0.05). The obtained result clearly indicates that there is a relationship between the analyzed values, suggesting that a deviation at the entry point will result in a deviation at apex of the implant, which will, in turn, affect the correct performance of the procedure.
Thus, the larger the discrepancy at the entry, the statistically larger the discrepancy at the apex of the implant. This also emphasizes the importance of proper treatment planning and accurate implementation of the treatment plan at the initial stage of implantation, as the deviation at entry point implicates a larger deviation at the apex of the implant later in the procedure.
Therefore, it is of the utmost importance to minimize the entry error (ENTRY) and, consequently, to achieve the most accurate position of the implant apex, as close as possible to the planned one.
Another analysis that was carried out was the comparison of the TOTAL ERROR APEX VERTICAL value with the ∆ERROR (apex entry).
The difference between the mean vertical deviations (TE APEX VERTICAL) and the difference between errors at the entry point and at the apex (DE apex-entry) is shown in Figure 8. Although no statistically significant differences were found, the obtained results may suggest that the vertical error is larger than that at the entry and the apex and may depend on this value. Moreover, as shown in Figure 6 and Figure 7, the errors may depend on the first discrepancy between the planned and actual procedure. Thus, the entry determines the precision of the procedure.
For a deeper evaluation of the obtained results, a correlation was performed between the difference in errors at the entry and at the apex (DE apex-entry) and the vertical deviation (TE APEX VERTICAL), which shows a high statistical significance, p << 0.01, and the obtained Pearson correlation coefficient is r = 0.68, indicating a strong positive correlation—Figure 9.
These values indicate that there is a significant relationship between the deviation at the entry/apex of the implant and the vertical deviation. It appears that the higher the TE ENTRY component, the larger the vertical deviation from the planned position. This may affect the accuracy of the procedure.

4. Discussion

Based on CBCT scanning, a variety of surgical guides can be used in addition to surgical navigation, allowing for a precise, indirect or direct transfer of pre-operative planning into the operation room. The use of a surgical guide requires pre-treatment preparation. The guides need to be fabricated in advance, which extends the time needed to prepare for the procedure and generates additional costs. Moreover, once a surgical guide is fabricated, it cannot be corrected in the event that the implants need to be repositioned. Guiding the oral cavity during implantation limits the view of the operation site and the intraoperative measurement of bone quality, and may reduce cooling during bone bed preparation, leading to thermal injury of the bone tissue [22]. In some cases, the use of guides in the flapless technique poses the risk of incorrect implant placement, leading to dehiscence or perforation in the alveolar bone, which, in turn, requires augmentation of the lost tissue and re-implantation after the regeneration, extending the treatment time and adding to the health and economic burden on the patient [23].
In the past, the use of dynamic navigation involved a repeated CBCT scanning with a thermoformed surgical template equipped with a radiographic marker. Preparation of the template was possible on the day of surgery, but required a 30-min visit on average, was subject to error, and exposed the patient to additional ionizing radiation from an additional CT scan.
Implant placement accuracy can be assessed according to the deviation in position and angulation between the virtually planned and actually placed implants. Valente et al. classified a deviation above 2 mm as clinically relevant, because it is generally maintained that 2 mm is the recommended safety margin around vital structures [24].
Schulze et al. emphasizes that measurement results can vary depending on the CBCT scanner, exposure settings, voxel size, or imaging area [25]. At present, many devices from different manufacturers are used in dentistry to perform CBCT. Individual examinations may differ from each other, with a multitude of parameter settings and different sizes of the imaged field. It is difficult to compare results using different CBCT machines and different imaging fields, such as the comparison of the accuracy of implants designed to treat an edentulous jaw to those designed for a single missing tooth.
Full arch distance measurements using CBCT imaging can underestimate actual dimensions by up to 1 mm [26].
An important human variable is the surgeon’s dexterity: hand tremor and perception inaccuracies may cause deviations of up to 0.25 mm and 0.5 degrees in angulation [27].
Schelbert et al. evaluated the accuracy of navigation in template-guided implant surgery by placing 26 implants in 16 trauma patients. Eleven implantations had a prior bone augmentation. The mean central deviation obtained was 0.91 mm at the implant entry point (standard error (SE) = 0.11 mm; 95% confidence interval (CI) 95% = 0.69–1.13) and 1.22 mm at apex (SE = 0.11 mm; 95% CI: 0.99–1.45). Mean angulation deviation was 4.11 degrees (SE = 0.52 degrees; 95% CI = 3.04–5.17) and the average depth deviation was 0.65 mm (SE = 0.11 mm; 95% CI = 0.42–0.87. The authors underlined that great accuracy was obtained, particularly in advanced cases with prior bone augmentation. In all cases, a conventional flap technique was used [28].
Somogyi-Ganss et al. conducted a comparative study of four static computer-assisted surgery navigation systems with a prototype dynamic system. The study was conducted on phantom models mounted onto a training unit. A total of 400 osteotomies were prepared for each group. The average deviation varied depending on the navigation system: the entry position was 0.76–1.14 mm, entry at the apex of the implant was 0.99–1.74 mm, in-depth entry was 0.73–1.27 mm and the average deviation in angulation was between 2.99 and 8.95 degrees [29]. The results indicate the superior precision of dynamic navigation, which is comparable to static navigation systems that use surgical templates. Of note is the angular deviation of the osteotomies achieved in the dynamic navigation group in comparison to the other static guide methods. It was emphasized that the lateral accuracy values were clinically acceptable, within the 2 mm safety range that is recommended in most implant manufacturers’ protocols. The above values were obtained from in vitro tests in a simulated surgical environment and have no translation to the accuracy of a given navigation method in clinical practice.
Post-treatment care of the surgical and prosthetic patient is equally important. Clinical studies have demonstrated satisfactory efficacy in eliminating pathological oral flora using therapeutic preparations of natural origin, such as tea tree oil and the ethanolic extract of propolis [30,31].
For surgical templates, accuracy is affected by the method of template support (teeth, bone, and mucosa), the number of templates used, the use and number of fixation pins used to secure and ensure stability of the templates, and anatomy-related or patient-dependent considerations such as soft tissue thickness and pliability, retraction width (minimum 35 mm), or tension in the buccinator muscle [32].
A study by Block et al. shows the accuracy of the X-Guide dynamic navigation system, where values were confirmed to be close to the values achieved by tooth-supported surgical templates. The deviation was 1.37 mm at the entry position, 0.93 mm at the implant apex, and 1.59 mm in depth, and mean angularity deviation was 3.62 degrees. It was underlined that the accuracy of dynamic navigation was better when compared with free-hand implant placement [33].
Surgeon’s navigation skills are key to ensuring accuracy. Golob Deeb et al. [34] recruited 14 students with no surgical experience. Within the first three attempts to place implants on simulation models using dynamic navigation, novice operators significantly improved in terms of angular deviation and speed. In clinical trials, Stefanelli et al. [35] placed 231 implants using dynamic navigation and retrospectively compared the results of the first 50 and the final 50 implants: the latter had better results in terms of angular deviation, total deviation, and error in preparation depth.
Block et al. found that image-guided surgical navigation had a learning curve and that a surgeon needed to perform at least 20 surgical implant placements to achieve surgical competence [36].
Pellegrini et al. conducted a pilot clinical study to evaluate the accuracy of the new dynamic navigation system and postoperative clinical outcomes. As part of the study, 18 implants were placed in 10 patients: ten implants were placed using the flapless technique, and eight implant sites were prepared using the combined piezo drill method. The deviation between the actual implant position from the CBCT and the planned one was measured. The mean deviation was 1.19 + 0.54 mm. The mean deviation measured at the entry point was 1.04 + 0.47 mm and that at the apex was 1.35 ± 0.56 mm. The depth error was 0.43 + 0.34 mm. The axis deviation was 6.46 ± 3.95 degrees. There were no significant differences between the flapless and open approaches, or between conventional and piezoelectric techniques [37].

5. Conclusions

The use of dynamic surgical navigation seems to have potential in becoming a useful tool in dental surgery and implantology.
The analysis and correlation between error values show that accurate planning and precise execution of the implantation procedure at the initial or entry stage will contribute to obtaining the desired or planned total effect.
It is worth noting that there are many potential sources of error when dynamic navigation is used, some of them independent of the operator.
The accuracy values provided in this study are comparable to, but not better than, data provided in the literature on dynamic and static computer-assisted surgery. Dynamic navigation may improve the quality and safety of surgery procedures and reduce the risk of complications compared to freehand implant placement.

Author Contributions

Conceptualization, K.W. and T.M.; methodology, K.W., T.M. and B.K.; software, T.K.-K. and A.C.; validation, A.M.-P., M.S.-N. and D.B.; formal analysis, T.K.-K. and A.C.; investigation, K.W., A.N.-W. and D.B.; resources K.W. and T.M.; data curation, A.N.-W., T.K.-K. and A.C.; writing—original draft preparation, K.W., T.M. and A.N.-W.; writing—review and editing, K.W., T.M. and D.B.; visualization, K.W., A.N.-W. and B.K.; supervision, T.M., A.M.-P. and M.S.-N.; project administration, T.M.; funding acquisition, K.W. and T.M. All authors have read and agreed to the published version of the manuscript.

Funding

This research was funded by the Medical University of Silesia in Katowice, research numbers PCN-2-032/N/0/K and PCN-1-066/N/0/O.

Institutional Review Board Statement

The study was conducted according to the guidelines of the Declaration of Helsinki and approved by the Bioethics Committees of the Silesian Medical Chamber in Katowice (Resolution no. 24/2019 as of 25 June 2019).

Informed Consent Statement

Informed consent was obtained from all subjects involved in the study.

Data Availability Statement

The data presented in this study are available from the corresponding authors.

Conflicts of Interest

The authors declare no conflict of interest.

References

  1. Emery, R.W.; Merritt, S.A.; Lank, K.; Gibbs, J.D. Accuracy of Dynamic Navigation for Dental Implant Placement-Model-Based Evaluation. J. Oral Implant. 2016, 42, 399–405. [Google Scholar] [CrossRef]
  2. Schnutenhaus, S.; Wagner, M.; Edelmann, C.; Luthardt, R.G.; Rudolph, H. Factors Influencing the Accuracy of Freehand Implant Placement: A Prospective Clinical Study. Dent. J. 2021, 9, 54. [Google Scholar] [CrossRef] [PubMed]
  3. Elias, C.N. Factors Affecting the Success of Dental Implants. In Implant Dentistry—A Rapidly Evolving Practice; IntechOpen: London, UK, 2011; Available online: https://www.intechopen.com/chapters/18426 (accessed on 1 May 2022).
  4. Sharma, M.S.; Pandey, V.; Vartak, V.; Bondekar, V. Prosthetic Driven Implantology—A Review. Int. J. Res. Health Allied. Sci. 2016, 2, 21–25. [Google Scholar]
  5. Hamed, M.T.; Abdullah Mously, H.; Khalid Alamoudi, S.; Hossam Hashem, A.B.; Hussein Naguib, G. A Systematic Review of Screw versus Cement-Retained Fixed Implant Supported Reconstructions. Clin. Cosmet. Investig. Dent. 2020, 12, 9–16. [Google Scholar] [CrossRef] [PubMed] [Green Version]
  6. Araújo, M.G.; Lindhe, J. Dimensional ridge alterations following tooth extraction. An experimental study in the dog. J. Clin. Periodontol. 2005, 32, 212–218. [Google Scholar] [CrossRef] [PubMed]
  7. Araújo, M.G.; Lindhe, J. Ridge alterations following tooth extraction with and without flap elevation: An experimental study in the dog. Clin. Oral Implant. Res. 2009, 20, 545–549. [Google Scholar] [CrossRef]
  8. Ananth, H.; Kundapur, V.; Mohammed, H.S.; Anand, M.; Amarnath, G.S.; Mankar, S. A Review on Biomaterials in Dental Implantology. Int. J. Biomed. Sci. 2015, 11, 113–120. [Google Scholar]
  9. Zhao, R.; Yang, R.; Cooper, P.R.; Khurshid, Z.; Shavandi, A.; Ratnayake, J. Bone Grafts and Substitutes in Dentistry: A Review of Current Trends and Developments. Molecules 2021, 26, 3007. [Google Scholar] [CrossRef] [PubMed]
  10. Koźlik, M.; Wójcicki, P.; Rychlik, D. Bone Graft Substitutes. Dent. Med. Probl. 2011, 48, 547–553. [Google Scholar]
  11. Liu, J.; Kerns, D.G. Mechanisms of guided bone regeneration: A review. Open Dent. J. 2014, 8, 56–65. [Google Scholar] [CrossRef] [PubMed] [Green Version]
  12. Elgali, I.; Omar, O.; Dahlin, C.; Thomsen, P. Guided bone regeneration: Materials and biological mechanisms revisited. Eur. J. Oral Sci. 2017, 125, 315–337. [Google Scholar] [CrossRef]
  13. Widmann, G.; Bale, R.J. Accuracy in computer-aided implant surgery—A review. Int. J. Oral Maxillofac. Implant. 2006, 21, 305–313. [Google Scholar]
  14. Vercruyssen, M.; Laleman, I.; Jacobs, R.; Quirynen, M. Computer-supported implant planning and guided surgery: A narrative review. Clin. Oral Implant. Res. 2015, 26 (Suppl. S11), 69–76. [Google Scholar] [CrossRef] [PubMed]
  15. Bover-Ramos, F.; Viña-Almunia, J.; Cervera-Ballester, J.; Peñarrocha-Diago, M.; García-Mira, B. Accuracy of Implant Placement with Computer-Guided Surgery: A Systematic Review and Meta-Analysis Comparing Cadaver, Clinical, and In Vitro Studies. Int. J. Oral Maxillofac. Implant. 2018, 33, 101–115. [Google Scholar] [CrossRef] [PubMed]
  16. Shepard, W.K.; Ducar, J.P.; London, R.M. Planning for implant placement. J. Calif. Dent. Assoc. 1995, 23, 14–18. [Google Scholar] [PubMed]
  17. Flügge, T.; Kramer, J.; Nelson, K.; Nahles, S.; Kernen, F. Digital implantology—A review of virtual planning software for guided implant surgery. Part II: Prosthetic set-up and virtual implant planning. BMC Oral Health 2022, 22, 23. [Google Scholar] [CrossRef]
  18. Romero-Ruiz, M.M.; Mosquera-Perez, R.; Gutierrez-Perez, J.L.; Torres-Lagares, D. Flapless implant surgery: A review of the literature and 3 case reports. J. Clin. Exp. Dent. 2015, 7, e146–e152. [Google Scholar] [CrossRef] [PubMed]
  19. Kasprzyk-Kucewicz, T.; Cholewka, A.; Bałamut, K.; Kownacki, P.; Kaszuba, N.; Kaszuba, M.; Stanek, A.; Sieroń, K.; Stransky, J.; Pasz, A.; et al. The Applications of Infrared Thermography in Surgical Removal of Retained Teeth Effects Assessment. J. Therm. Anal. Calorim. 2021, 144, 139–144. [Google Scholar] [CrossRef] [Green Version]
  20. Kaszuba, N.; Kasprzyk-Kucewicz, T.; Szurko, A.; Wziątek-Kuczmik, D.; Stanek, A.; Morawiec, T.; Cholewka, A. How to use thermal imaging in selected surgical dental procedures? Thermol. Int. 2021, 31, 172–181. [Google Scholar]
  21. Wood, D.L.; Hoag, P.M.; Donnenfeld, O.W.; Rosenfeld, L.D. Alveolar crest reduction following full and partial thickness flaps. J. Periodontol. 1972, 43, 141–144. [Google Scholar] [CrossRef] [PubMed]
  22. Unsal, G.S.; Turkyilmaz, I.; Lakhia, S. Advantages and limitations of implant surgery with CAD/CAM surgical guides: A literature review. J. Clin. Exp. Dent. 2020, 12, e409–e417. [Google Scholar] [CrossRef] [PubMed]
  23. Chrcanovic, B.R.; Albrektsson, T.; Wennerberg, A. Flapless versus conventional flapped dental implant surgery: A meta-analysis. PLoS ONE 2014, 9, e100624. [Google Scholar] [CrossRef] [PubMed]
  24. Valente, F.; Schiroli, G.; Sbrenna, A. Accuracy of computer-aided oral implant surgery: A clinical and radiographic study. Int. J. Oral Maxillofac. Implant. 2009, 24, 234–242. [Google Scholar]
  25. Schulze, R.; Heil, U.; Gross, D.; Bruellmann, D.D.; Dranischnikow, E.; Schwanecke, U.; Schoemer, E. Artefacts in CBCT: A review. Dentomaxillofacial Radiol. 2011, 40, 265–273. [Google Scholar] [CrossRef] [PubMed] [Green Version]
  26. Baumgaertel, S.; Palomo, J.M.; Palomo, L.; Hans, M.G. Reliability and accuracy of cone-beam computed tomography dental measurements. Am. J. Orthod. Dentofac. Orthop. 2009, 136, 19–25, discussion 25–28. [Google Scholar] [CrossRef]
  27. Ruppin, J.; Popovic, A.; Strauss, M.; Spüntrup, E.; Steiner, A.; Stoll, C. Evaluation of the accuracy of three different computer-aided surgery systems in dental implantology: Optical tracking vs. stereolithographic splint systems. Clin. Oral Implant. Res. 2008, 19, 709–716. [Google Scholar] [CrossRef] [PubMed]
  28. Schelbert, T.; Gander, T.; Blumer, M.; Jung, R.; Rücker, M.; Rostetter, C. Accuracy of Computer-Guided Template-Based Implant Surgery: A Computed Tomography-Based Clinical Follow-Up Study. Implant Dent. 2019, 28, 556–563. [Google Scholar] [CrossRef] [PubMed]
  29. Somogyi-Ganss, E.; Holmes, H.I.; Jokstad, A. Accuracy of a novel prototype dynamic computer-assisted surgery system. Clin. Oral Implant. Res. 2015, 26, 882–890. [Google Scholar] [CrossRef]
  30. Morawiec, T.; Dziedzic, A.; Niedzielska, I.; Mertas, A.; Tanasiewicz, M.; Skaba, D.; Kasperski, J.; Machorowska-Pieniążek, A.; Kucharzewski, M.; Szaniawska, K.; et al. The biological activity of propolis-containing toothpaste on oral health environment in patients who underwent implant-supported prosthodontic rehabilitation. Evid. Based Complement. Altern. Med. 2013, 2013, 704947. [Google Scholar] [CrossRef] [PubMed] [Green Version]
  31. Wiatrak, K.; Morawiec, T.; Rój, R.; Kownacki, P.; Nitecka-Buchta, A.; Niedzielski, D.; Wychowański, P.; Machorowska-Pieniążek, A.; Cholewka, A.; Baldi, D.; et al. Evaluation of Effectiveness of a Toothpaste Containing Tea Tree Oil and Ethanolic Extract of Propolis on the Improvement of Oral Health in Patients Using Removable Partial Dentures. Molecules 2021, 26, 4071. [Google Scholar] [CrossRef] [PubMed]
  32. Cassetta, M.; Giansanti, M.; Di Mambro, A.; Calasso, S.; Barbato, E. Accuracy of two stereolithographic surgical templates: A retrospective study. Clin. Implant Dent. Relat. Res. 2013, 15, 448–459. [Google Scholar] [CrossRef] [PubMed]
  33. Block, M.S.; Emery, R.W.; Cullum, D.R.; Sheikh, A. Implant Placement Is More Accurate Using Dynamic Navigation. J. Oral Maxillofac. Surg. 2017, 75, 1377–1386. [Google Scholar] [CrossRef]
  34. Golob Deeb, J.; Bencharit, S.; Carrico, C.K.; Lukic, M.; Hawkins, D.; Rener-Sitar, K.; Deeb, G.R. Exploring training dental implant placement using computer-guided implant navigation system for predoctoral students: A pilot study. Eur. J. Dent. Educ. 2019, 23, 415–423. [Google Scholar] [CrossRef] [PubMed]
  35. Stefanelli, L.; DeGroot, B.; Lipton, D.; Mandelaris, G. Accuracy of a dynamic dental implant navigation system in a private practice. Int. J. Oral Maxillofac. Implant. 2018, 34, 205–213. [Google Scholar] [CrossRef] [PubMed]
  36. Block, M.; Emery, R.; Lank, K.; Ryan, J. Implant placement accuracy using dynamic navigation. Int. J. Oral Maxillofac. Implant. 2016, 32, 92–99. [Google Scholar] [CrossRef] [PubMed]
  37. Pellegrino, G.; Taraschi, V.; Andrea, Z.; Ferri, A.; Marchetti, C. Dynamic navigation: A prospective clinical trial to evaluate the accuracy of implant placement. Int. J. Comput. Dent. 2019, 22, 139–147. [Google Scholar] [PubMed]
Figure 1. The dynamic navigation system in use—a surgeon performing a flapless implantation.
Figure 1. The dynamic navigation system in use—a surgeon performing a flapless implantation.
Coatings 12 01099 g001
Figure 2. Calibrating the soft tissue punch during operation- with this procedure, the navigation system precisely locates each surgical instrument in 3D.
Figure 2. Calibrating the soft tissue punch during operation- with this procedure, the navigation system precisely locates each surgical instrument in 3D.
Coatings 12 01099 g002
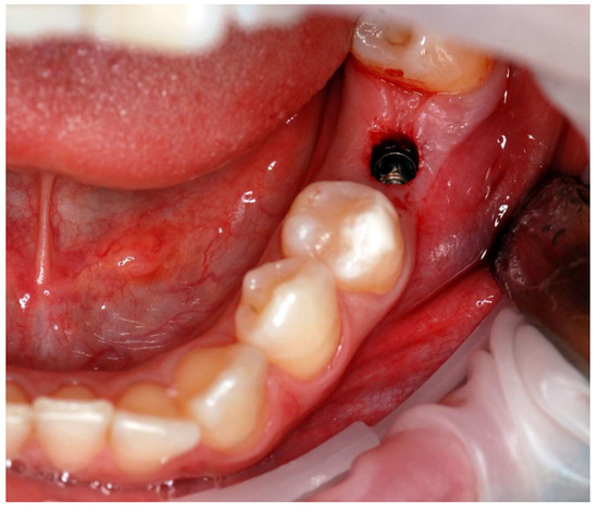
Figure 3. Tissue status immediately after implantation in the flapless technique—no need for wound suturing.
Figure 3. Tissue status immediately after implantation in the flapless technique—no need for wound suturing.
Coatings 12 01099 g003
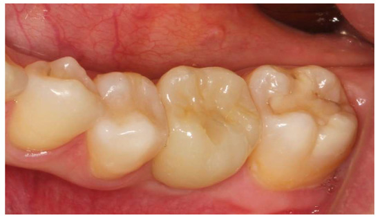
Figure 4. The screw-retained ceramic crown of tooth 36.
Figure 4. The screw-retained ceramic crown of tooth 36.
Coatings 12 01099 g004
Figure 5. Comparison between planning (yellow) and actual implant position (red) based on preoperative and post-operative CBCT scans.
Figure 5. Comparison between planning (yellow) and actual implant position (red) based on preoperative and post-operative CBCT scans.
Coatings 12 01099 g005
Figure 7. The dependence of the total error (TE) at APEX from TE at ENTRY.
Figure 7. The dependence of the total error (TE) at APEX from TE at ENTRY.
Coatings 12 01099 g007
Figure 8. The comparison of TOTAL ERROR APEX VERTICAL value with ∆ERROR (apex-entry).
Figure 8. The comparison of TOTAL ERROR APEX VERTICAL value with ∆ERROR (apex-entry).
Coatings 12 01099 g008
Figure 9. The correlation between the difference in errors at the entry and at the apex (DE apex-entry) and the vertical deviation (TE APEX VERTICAL).
Figure 9. The correlation between the difference in errors at the entry and at the apex (DE apex-entry) and the vertical deviation (TE APEX VERTICAL).
Coatings 12 01099 g009
Publisher’s Note: MDPI stays neutral with regard to jurisdictional claims in published maps and institutional affiliations.

Share and Cite

MDPI and ACS Style

Wachol, K.; Morawiec, T.; Nowak-Wachol, A.; Kubaszek, B.; Kasprzyk-Kucewicz, T.; Baldi, D.; Machorowska-Pieniążek, A.; Skucha-Nowak, M.; Cholewka, A. Comparative Analysis of Implant Prosthesis Treatment Planning and Execution Following Bone Repair Procedures Using Dynamic Surgical Navigation in Augmented Areas. Coatings 2022, 12, 1099. https://doi.org/10.3390/coatings12081099

AMA Style

Wachol K, Morawiec T, Nowak-Wachol A, Kubaszek B, Kasprzyk-Kucewicz T, Baldi D, Machorowska-Pieniążek A, Skucha-Nowak M, Cholewka A. Comparative Analysis of Implant Prosthesis Treatment Planning and Execution Following Bone Repair Procedures Using Dynamic Surgical Navigation in Augmented Areas. Coatings. 2022; 12(8):1099. https://doi.org/10.3390/coatings12081099

Chicago/Turabian Style

Wachol, Kacper, Tadeusz Morawiec, Anna Nowak-Wachol, Bartłomiej Kubaszek, Teresa Kasprzyk-Kucewicz, Domenico Baldi, Agnieszka Machorowska-Pieniążek, Małgorzata Skucha-Nowak, and Armand Cholewka. 2022. "Comparative Analysis of Implant Prosthesis Treatment Planning and Execution Following Bone Repair Procedures Using Dynamic Surgical Navigation in Augmented Areas" Coatings 12, no. 8: 1099. https://doi.org/10.3390/coatings12081099

APA Style

Wachol, K., Morawiec, T., Nowak-Wachol, A., Kubaszek, B., Kasprzyk-Kucewicz, T., Baldi, D., Machorowska-Pieniążek, A., Skucha-Nowak, M., & Cholewka, A. (2022). Comparative Analysis of Implant Prosthesis Treatment Planning and Execution Following Bone Repair Procedures Using Dynamic Surgical Navigation in Augmented Areas. Coatings, 12(8), 1099. https://doi.org/10.3390/coatings12081099

Note that from the first issue of 2016, this journal uses article numbers instead of page numbers. See further details here.

Article Metrics

Back to TopTop