Antioxidant, Antigenotoxic, and Hepatic Ameliorative Effects of Quercetin/Zinc Complex on Cadmium-Induced Hepatotoxicity and Alterations in Hepatic Tissue Structure
Abstract
1. Introduction
2. Materials and Methods
2.1. Chemicals and Analyses
2.2. Synthesis of Zn/Q Complex
2.3. Experimental Animals
2.4. Experimental Protocol
2.5. Blood Sample Collection
2.6. Preparation of Homogenate of the Hepatic Tissues
2.7. Determination of the Oxidative Stress Biomarkers
2.8. Transmission Electron Microscopic Study (TEM)
2.9. Comet Assay of the Hepatic Tissues
2.10. Histological Analysis of Liver Tissues
2.11. RNA Isolation and Semiquantitative Ploymerase Chain Reaction (PCR)
2.12. Statistical Analysis
3. Results
3.1. Characterization and Interpretations of (Zn/Q)
3.2. TEM Examination of Zn/Q Complex
3.3. Hepatic Effect of (Zn/Q) Complex
3.4. Enzymatic and Nonenzymatic Antioxidant Biomarkers
3.5. Histological Examination
3.6. TEM Examination of the Hepatic Tissues of the Treated Groups
3.7. Comet Assay of the Hepatic Tissues
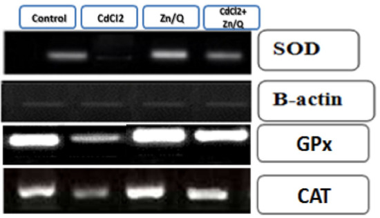
3.8. Gene Expression in the Liver
4. Discussion
5. Conclusions
Author Contributions
Funding
Institutional Review Board Statement
Informed Consent Statement
Data Availability Statement
Acknowledgments
Conflicts of Interest
References
- Nna, V.U.; Ujah, G.A.; Mohamed, M.; Etim, K.B.; Igba, B.O.; Augustine, E.R.; Osim, E.E. Cadmium chloride–induced testicular toxicity in male wistar rats; prophylactic effect of quercetin, and assessment of testicular recovery following cadmium chloride withdrawal. Biomed. Pharmacother. 2017, 94, 109–123. [Google Scholar] [CrossRef] [PubMed]
- McLellan, J.S.; Flanagan, P.R.; Chamberlain, M.J.; Valberg, L.S. Measurement of dietary cadmium absorption in humans. J. Toxicol. Environ. Health Part A 1978, 4, 131–138. [Google Scholar] [CrossRef] [PubMed]
- Nwokocha, C.R.; Owu, D.U.; Nwokocha, M.I.; Ufearo, C.S.; Iwuala, M.O. Comparative study on the efficacy of Allium sativum (garlic) in reducing some heavy metal accumulation in liver of wistar rats. Food Chem. Toxicol. 2012, 50, 222–226. [Google Scholar] [CrossRef] [PubMed]
- Valko, M.; Morris, H.; Cronin, M.T.D. Metals, Toxicity and Oxidative Stress. Curr. Med. Chem. 2005, 12, 1161–1208. [Google Scholar] [CrossRef]
- Patra, R.C.; Rautray, A.K.; Swarup, D. Oxidative Stress in Lead and Cadmium Toxicity and Its Amelioration. Vet. Med. Int. 2011, 2011, 1–9. [Google Scholar] [CrossRef]
- Eleawa, S.M.; Alkhateeb, M.A.; Alhashem, F.H.; Bin-Jaliah, I.; Sakr, H.F.; Elrefaey, H.M.; Elkarib, A.O.; Alessa, R.M.; Haidara, M.A.; Shatoor, A.S.; et al. Resveratrol reverses cadmium chloride-induced testicular damage and subfertility by downregu-lating p53 and Bax and upregulating gonadotropins and Bcl-2 gene expression. J. Reprod. Dev. 2014, 60, 115–127. [Google Scholar] [CrossRef]
- Lafuente, A.; Márquez, N.; Pérez-Lorenzo, M.; Pazo, D.; Esquifino, A.I. Pubertal and postpubertal cadmium exposure differen-tially affects the hypothalamic– pituitary–testicular axis function in the rat. Food Chem. Toxicol. 2000, 38, 913–923. [Google Scholar] [CrossRef]
- Akinloye, O.; O Arowojolu, A.; Shittu, O.B.; I Anetor, J. Cadmium toxicity: A possible cause of male infertility in Nigeria. Reprod. Biol. 2006, 6, 17–30. [Google Scholar]
- Amara, S.; Abdelmelek, H.; Garrel, C.; Guiraud, P.; Douki, T.; Ravanat, J.-L.; Favier, A.; Sakly, M.; BEN Rhouma, K. Preventive Effect of Zinc Against Cadmium-induced Oxidative Stress in the Rat Testis. J. Reprod. Dev. 2008, 54, 129–134. [Google Scholar] [CrossRef]
- Abu-El-Zahab, H.S.; Hamza, R.Z.; Montaser, M.M.; El-Mahdi, M.M.; Al-Harthi, W.A. Antioxidant, antiapoptotic, antigenotoxic, and hepatic ameliorative effects of L-carnitine and selenium on cadmium-induced hepatotoxicity and alterations in liver cell structure in male mice. Ecotoxicol. Environ. Saf. 2019, 173, 419–428. [Google Scholar] [CrossRef]
- Rinaldi, M.; Micali, A.; Marini, H.R.; Adamo, E.B.; Puzzolo, D.; Pisani, A.; Trichilo, V.; Altavilla, D.; Squadrito, F.; Minutoli, L. Cadmium, Organ Toxicity and Therapeutic Approaches: A Review on Brain, Kidney and Testis Damage. Curr. Med. Chem. 2017, 24, 3879–3893. [Google Scholar] [CrossRef] [PubMed]
- Bu, T.; Mi, Y.; Zeng, W.; Zhang, C. Protective Effect of Quercetin on Cadmium-Induced Oxidative Toxicity on Germ Cells in Male Mice. Anat. Rec. Adv. Integr. Anat. Evol. Biol. 2010, 294, 520–526. [Google Scholar] [CrossRef]
- Hamza, R.Z.; Hillal, E.A.; Abdulkader, S.O. The Antioxidant Activity of Quercetin and its Effect on Acrylamide Hepato-toxicity in Liver of Rats. Lat. Am. J. Pharm. 2019, 38, 2057–2062. [Google Scholar]
- Hamza, R.Z.; El-Shenawy, N.S.; Ismail, H.A. Protective effects of blackberry and quercetin on sodium fluoride-induced oxidative stress and histological changes in the hepatic, renal, testis and brain tissue of male rat. J. Basic Clin. Physiol. Pharmacol. 2014, 26, 237–251. [Google Scholar] [CrossRef]
- Nawrot, T.S.; Staessen, J.A.; Roels, H.A.; Munters, E.; Cuypers, A.; Richart, T.; Ruttens, A.; Smeets, K.; Clijsters, H.; Vangronsveld, J. Cadmium exposure in the population: Fromhealth risks to strategies of prevention. Biometals 2010, 23, 769–782. [Google Scholar] [CrossRef]
- De Coster, S.; Van Larebeke, N. Endocrine-disrupting chemicals: Associated disorders and mechanisms of action. J. Environ. Public Health 2012, 2012, 713696. [Google Scholar] [CrossRef] [PubMed]
- Refat, M.S.; Hamza, R.Z.; Adam, A.M.A.; Saad, H.A.; Gobouri, A.A.; Al-Harbi, F.S.; Al-Salmi, F.A.; Altalhi, T.; El-Megharbel, S.M. Quercetin/Zinc complex and stem cells: A new drug therapy to ameliorate glycometabolic control and pulmonary dysfunction in diabetes mellitus: Structural characterization and genetic studies. PLoS ONE 2021, 16, e0246265. [Google Scholar] [CrossRef]
- Ayako, F.; Yoshio, F. Role of Zinc Homeostasis in the Pathogenesis of Diabetes and Obesity. Int. J. Mol. Sci. 2018, 19, 476. [Google Scholar] [CrossRef]
- Prasad, A.S. Discovery of Human Zinc Deficiency: Its Impact on Human Health and Disease. Adv. Nutr. 2013, 4, 176–190. [Google Scholar] [CrossRef]
- Lassi, Z.S.; Haider, B.A.; Bhutta, Z.A. Zinc supplementation for the prevention of pneumonia in children aged 2 months to 59 months. Cochrane Database Syst. Rev. 2010, 2016, CD005978. [Google Scholar] [CrossRef]
- El-Megharbel, S.M.; Hamza, R.Z.; Gobouri, A.A.; Refat, M.S. Synthesis of new antidiabetic agent by complexity between vanadyl (II) sulfate and vitamin B1: Structural, characterization, anti-DNA damage, structural alterations and antioxidative damage studies. Appl. Organomet. Chem. 2019, 33, e4892. [Google Scholar] [CrossRef]
- Sedlak, J.; Lindsay, R.H. Estimation of Total, Protein-Bound, and Nonprotein Sulfhydryl Groups in Tissue with Ellman’s Reagent. Anal. Biochem. 1968, 25, 192. [Google Scholar] [CrossRef]
- Ohkawa, H.; Ohishi, N.; Yagi, K. Assay for lipid peroxides in animal tissues by thiobarbituric acid reaction. Anal. Biochem. 1979, 95, 351. [Google Scholar] [CrossRef]
- Beers, J.R.; Sizer, I.W. A Spectrophotometric Method for Measuring the Breakdown of Hydrogen Peroxide by Catalase. J. Biol. Chem. 1952, 195, 133. [Google Scholar] [CrossRef]
- Hayat, M.A. Basic Techniques for Transmission Electron Microscopy, 1st ed.; Hayat, M.A., Ed.; Macmillan Press: New York, NY, USA, 1986; ISBN 9780123339263. [Google Scholar]
- Singh, N.P.; McCoy, M.T.; Tice, R.R.; Schneider, E.L. A simple technique for quantitation of low levels of DNA damage in individual cells. Exp. Cell Res. 1988, 175, 184–191. [Google Scholar] [CrossRef]
- Dean, A.; Sullivan, K.; Soe, M. OpenEpi: Open Source Epidemiologic Statistics for Public Health. 2013. Available online: https://www.OpenEpi.com (accessed on 6 May 2013).
- Martynov, A.; Sushama, L.; Laprise, R. Simulation of temperate freezing lakes by one-dimensional lake models: Performance assessment for interactive coupling with regional climate models. Boreal Environ. Res. 2010, 15, 143–164. [Google Scholar] [CrossRef]
- Alharthi, W.A.; Hamza, R.Z.; Elmahdi, M.M.; Abuelzahab, H.S.H.; Saleh, H. Selenium and L-Carnitine Ameliorate Reproductive Toxicity Induced by Cadmium in Male Mice. Biol. Trace Elem. Res. 2020, 197, 619–627. [Google Scholar] [CrossRef] [PubMed]
- Chawla, R. Practical Clinical Biochemistry: Methods and Interpretations, 4th ed.; JP Medical Ltd.: London, UK, 2014. [Google Scholar]
- Gaskill, C.L.; Miller, L.M.; Mattoon, J.S.; Hoffmann, W.E.; Burton, S.A.; Gelens, H.C.J.; Ihle, S.L.; Miller, J.B.; Shaw, D.H.; Cribb, A.E. Liver Histopathology and Liver and Serum Alanine Aminotransferase and Alkaline Phosphatase Activities in Epileptic Dogs Receiving Phenobarbital. Vet. Pathol. 2005, 42, 147–160. [Google Scholar] [CrossRef]
- Morales, A.I.; Vicente-Sanchez, C.; Sandoval, J.S.; Egido, J.; Mayoral, P.; Arévalo, M.A.; Fernández-Tagarro, M.; López-Novoa, J.M.; Pérez-Barriocanal, F. Protective effect of quercetin on experimental chronic cadmium nephrotoxicity in rats is based on its an-tioxidant properties. Food Chem. Toxicol. 2006, 44, 2092–2100. [Google Scholar] [CrossRef]
- Renugadevi, J.; Prabu, S.M. Quercetin protects against oxidative stress-related renal dysfunction by cadmium in rats. Exp. Toxicol. Pathol. 2010, 62, 471–481. [Google Scholar] [CrossRef]
- Newairy, A.A.; El-Sharaky, A.S.; Badreldeen, M.M.; Eweda, S.M.; Sheweita, S.A. The hepatoprotective effects of sele-nium against cadmium toxicity in rats. Toxicology 2007, 242, 23–30. [Google Scholar] [CrossRef]
- Renugadevi, J.; Prabu, S.M. Cadmium-induced hepatotoxicity in rats and the protective effect of naringenin. Exp. Toxicol. Pathol. 2010, 62, 171–181. [Google Scholar] [CrossRef] [PubMed]
- Lakshmi, G.D.; Kumar, P.R.; Bharavi, K.; Annapurna, P.; Rajendar, B.; Patel, P.T.; Kumar, C.S.V.S.; Rao, G.S. Protective effect of Tribulus terrestris linn on liver and kidney in cadmium intoxicated rats. Indian J. Exp. Boil. 2012, 50, 141–146. [Google Scholar]
- Mathur, N.; Pandey, G.; Jain, G. Male Reproductive Toxicity of Some Selected Metals: A Review. J. Biol. Sci. 2010, 10, 396–404. [Google Scholar] [CrossRef]
- Erkekoglu, P.; Rachidi, W.; Yuzugullu, O.G.; Giray, B.; Favier, A.; Ozturk, M.; Hincal, F. Evaluation of cytotoxicity and oxidative DNA damaging effects of di (2-ethylhexyl)-phthalate (DEHP) and mono (2-ethylhexyl)-phthalate (MEHP) on MA-10 Leydig cells and protection by selenium. Toxicol. Appl. Pharmacol. 2010, 248, 52–62. [Google Scholar] [CrossRef]
- Al-Baqami, N.; Hamza, R. Synergistic antioxidant capacities of vanillin and chitosan nanoparticles against reactive oxygen species, hepatotoxicity, and genotoxicity induced by aging in male Wistar rats. Hum. Exp. Toxicol. 2021, 40, 183–202. [Google Scholar] [CrossRef] [PubMed]
- Hamza, R.Z.; El-Megharbel, S.M.; Altalhi, T.; Gobouri, A.A.; Alrogi, A.A. Hypolipidemic and hepato-protective synergistic effects of selenium nanoparticles and vitamin. E against acrylamide induced hepatic alterations in male albino mice. Appl. Organomet. Chem. 2020, 34, e5458. [Google Scholar] [CrossRef]
- Hamza, R.Z.; Al-Salmi, F.A.; El-Shenawy, N.S. Chitosan and Lecithin Ameliorate Osteoarthritis Symptoms Induced by Monoiodoacetate in a Rat Model. Molecules 2020, 25, 5738. [Google Scholar] [CrossRef]
- Hamza, R.Z.; Diab, A.E.A.A. Testicular protective and antioxidant effects of selenium nanoparticles on mon-osodium glutamate-induced testicular structure alterations in male mice. Toxicol. Reports 2020, 7, 254–260. [Google Scholar] [CrossRef] [PubMed]
- Jahan, S.; Khan, M.; Ahmed, S.; Ullah, H. Comparative analysis of antioxidants against cadmium induced reproductive toxicity in adult male rats. Syst. Biol. Reprod. Med. 2013, 60, 28–34. [Google Scholar] [CrossRef]
- Arroyo, V.; Flores, K.M.; Ortiz, L.B.; Quiroz, L.E.G.; Gutierrez-Ruiz, M.C. Liver and cadmium toxicity. J. Drug. Metab. Toxicol. 2012, 5, 1–7. [Google Scholar]
- Ramadan, L.A.; Abd-Allah, A.R.; Aly, H.A.; Saad-El-Din, A.A. Testicular toxicity effects of magnetic field exposure and prophylactic role of coenzyme Q10 and L-carnitine in mice. Pharmacol. Res. 2002, 46, 363–370. [Google Scholar] [CrossRef]
- Chang, B.; Nishikawa, M.; Sato, E.; Utsumi, K.; Inoue, M. L-Carnitine inhibits cisplatin-induced injury of the kidney and small intestine. Arch. Biochem. Biophys. 2002, 405, 55–64. [Google Scholar] [CrossRef]
- Garcia, C.L.; Filippi, S. The protective effect of L-carnitine in peripheral blood human lymphocytes exposed to oxidative agents. Mutagenesis 2005, 21, 21–27. [Google Scholar] [CrossRef][Green Version]
- Jiang, L.; Cao, J.; An, Y.; Geng, C.; Qu, S.; Jiang, L.; Zhong, L. Genotoxicity of acrylamide in human hepatoma G2 (HepG2) cells. Toxicol. Vitr. 2007, 21, 1486–1492. [Google Scholar] [CrossRef] [PubMed]
- Farombi, E.O.; Adedara, I.A.; Akinrinde, S.A.; Ojo, O.O.; Eboh, A.S. Protective effects of kolaviron and quercetin on cadmi-um-induced testicular damage and endocrine pathology in rats. Andrologia 2012, 44, 273–284. [Google Scholar] [CrossRef] [PubMed]
- Philip, G.R.; Boyd, L.O. The effect of zinc deficiency on glucose metabolism in meal-fed rats. Br. J. Nutr. 1983, 49, 441. [Google Scholar]
- Olechnowicz, J.; Tinkov, A.; Skalny, A.; Suliburska, J. Zinc status is associated with inflammation, oxidative stress, lipid, and glucose metabolism. J. Physiol. Sci. 2018, 68, 19–31. [Google Scholar] [CrossRef] [PubMed]


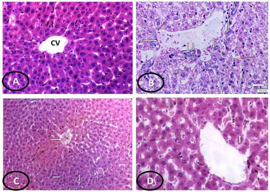
), hypertrophy of hepatocytes with the appearance of binucleated hepatocytes and hydropic degeneration of hepatocytes with vesicular nuclei (
), Ductular reaction with new bile duct formation (
), appearance of mummified cells (
), and infiltration by inflammatory cells (
) (H&EX400). Figure (C): Zn/Q-treated group showing normal hepatic structure with normal nuclei (H&EX400). Figure (D): CdCl2 and Zn/Q-treated group showing great improvement and restoration of hepatic structures with mild changes in the form of hypertrophy of hepatocytes with granular eosinophilic cytoplasm and vesicular nuclei and appearance of some binucleated cells (
), with a slightly dilated central vein lined by endothelial cells and dilated congested blood sinusoids (
), some of which have been infiltrated by mononuclear inflammatory cells (
) (H&EX400). The histological index for scoring the hepatic structural alterations is shown in Table 4.
), hypertrophy of hepatocytes with the appearance of binucleated hepatocytes and hydropic degeneration of hepatocytes with vesicular nuclei (
), Ductular reaction with new bile duct formation (
), appearance of mummified cells (
), and infiltration by inflammatory cells (
) (H&EX400). Figure (C): Zn/Q-treated group showing normal hepatic structure with normal nuclei (H&EX400). Figure (D): CdCl2 and Zn/Q-treated group showing great improvement and restoration of hepatic structures with mild changes in the form of hypertrophy of hepatocytes with granular eosinophilic cytoplasm and vesicular nuclei and appearance of some binucleated cells (
), with a slightly dilated central vein lined by endothelial cells and dilated congested blood sinusoids (
), some of which have been infiltrated by mononuclear inflammatory cells (
) (H&EX400). The histological index for scoring the hepatic structural alterations is shown in Table 4.
) with the degeneration of nuclear contents (***) and reduced mitochondrial size (scale bar = 5 µm). (C) Zn/Q group showing normal appearance of the hepatic structures, normal round echo-chromatic nucleus (N), and normal sized mitochondria (M) (scale bar = 5 µm). (D) CdCl2+Zn/Q group showing normal hepatic structures with the appearance of normal nucleus (N) and mitochondria (M) (scale bar = 5 µm).
) with the degeneration of nuclear contents (***) and reduced mitochondrial size (scale bar = 5 µm). (C) Zn/Q group showing normal appearance of the hepatic structures, normal round echo-chromatic nucleus (N), and normal sized mitochondria (M) (scale bar = 5 µm). (D) CdCl2+Zn/Q group showing normal hepatic structures with the appearance of normal nucleus (N) and mitochondria (M) (scale bar = 5 µm).


| Gene Name | Primer Sequence (5′–3′) | Product Size | Accession Number |
|---|---|---|---|
| SOD | Forward—GGAGAGCAGCGGTCGT | BC066063.1 | |
| Reverse—TGTGGTATTGGAGGTTGGGTC | 631 bp | ||
| β-actin | Forward—TATAAAACCCGGCGGCGCA | NM_007393 | |
| Reverse—ATGGCTACGTACATGGCTGG | 516 bp | ||
| GPx | Forward—CGGTTTCCCGTGCAATCAGT Reverse—ACACCGGGGACCAAATGATG | 670 bp | NM_017006 |
| CAT | Forward—GCCAATGGCAATTACCCGTC Reverse—AGAATGTCCGCACCTGAGTG | 532 bp | NM_012520 |
| Groups | ALT (U/mL) | AST (U/mL) | LDH (U/L) | Total Protein (g/dL) |
|---|---|---|---|---|
| 1—Control group | 12.42 ± 1.08 | 14.16 ± 1.75 | 130.28 ± 4.58 | 8.16 ± 1.82 |
| 2—CdCl2 group | 162.06 ± 4.65 ab | 182.28 ± 4.05 ab | 897.19 ± 5.25 ab | 4.19 ± 0.25 ab |
| 3—Zn/Q group | 12.52 ± 0.49 | 13.49 ± 1.15 | 127.39 ± 3.02 | 8.75 ± 1.55 |
| 4—CdCl2 + Zn/Q | 25.25 ± 2.65 a | 32.45 ± 4.02 a | 147.16 ± 4.58 a | 7.48 ± 1.69 |
| LSD | 1.9 | 1.4 | 4.3 | 1.7 |
| Groups | SOD (U/g Tissue) | CAT (U/g Tissue) | GPx (mg/g Tissue) | MDA (nmol/g Tissue) |
|---|---|---|---|---|
| 1—Control group | 54.36 ± 3.52 | 29.36 ± 2.03 | 15.36 ± 1.66 | 8.36 ± 1.02 |
| 2—CdCl2 group | 10.69 ± 1.25 ab | 8.36 ± 1.36 ab | 2.36 ± 0.25 ab | 140.36 ± 4.69 ab |
| 3—Zn/Q group | 60.9 ± 3.65 a | 30.25 ± 1.69 | 16.58 ± 1.25 | 6.25 ± 2.36 a |
| 4—CdCl2 + Zn/Q | 44.69 ± 2.69 a | 24.03 ± 1.69 a | 12.05 ± 1.69 a | 30.36 ± 1.02 a |
| LSD | 3.3 | 1.7 | 1.6 | 1.7 |
| Findings | Control Group | CdCl2 Group | Zn/Q Group | CdCl2+Zn/Q |
|---|---|---|---|---|
| Normal hepatic tissues | ++++ | ------ | ++++ | ++++ |
| Detached hepatic tissues | ------ | ++++ | ------ | ------ |
| Normal sized nuclei | ++++ | ------ | ++++ | -+++ |
| Inflammatory cells | ------ | ++++ | - - - + | - - - + |
Publisher’s Note: MDPI stays neutral with regard to jurisdictional claims in published maps and institutional affiliations. |
© 2021 by the authors. Licensee MDPI, Basel, Switzerland. This article is an open access article distributed under the terms and conditions of the Creative Commons Attribution (CC BY) license (https://creativecommons.org/licenses/by/4.0/).
Share and Cite
Refat, M.S.; Hamza, R.Z.; A. Adam, A.M.; Saad, H.A.; Gobouri, A.A.; Azab, E.; Al-Salmi, F.A.; Altalhi, T.A.; Khojah, E.; Gaber, A.; et al. Antioxidant, Antigenotoxic, and Hepatic Ameliorative Effects of Quercetin/Zinc Complex on Cadmium-Induced Hepatotoxicity and Alterations in Hepatic Tissue Structure. Coatings 2021, 11, 501. https://doi.org/10.3390/coatings11050501
Refat MS, Hamza RZ, A. Adam AM, Saad HA, Gobouri AA, Azab E, Al-Salmi FA, Altalhi TA, Khojah E, Gaber A, et al. Antioxidant, Antigenotoxic, and Hepatic Ameliorative Effects of Quercetin/Zinc Complex on Cadmium-Induced Hepatotoxicity and Alterations in Hepatic Tissue Structure. Coatings. 2021; 11(5):501. https://doi.org/10.3390/coatings11050501
Chicago/Turabian StyleRefat, Moamen S., Reham Z. Hamza, Abdel Majid A. Adam, Hosam A. Saad, Adil A. Gobouri, Ehab Azab, Fawziah A. Al-Salmi, Tariq A. Altalhi, Ebtihal Khojah, Ahmed Gaber, and et al. 2021. "Antioxidant, Antigenotoxic, and Hepatic Ameliorative Effects of Quercetin/Zinc Complex on Cadmium-Induced Hepatotoxicity and Alterations in Hepatic Tissue Structure" Coatings 11, no. 5: 501. https://doi.org/10.3390/coatings11050501
APA StyleRefat, M. S., Hamza, R. Z., A. Adam, A. M., Saad, H. A., Gobouri, A. A., Azab, E., Al-Salmi, F. A., Altalhi, T. A., Khojah, E., Gaber, A., & El-Megharbel, S. M. (2021). Antioxidant, Antigenotoxic, and Hepatic Ameliorative Effects of Quercetin/Zinc Complex on Cadmium-Induced Hepatotoxicity and Alterations in Hepatic Tissue Structure. Coatings, 11(5), 501. https://doi.org/10.3390/coatings11050501

