Mycobacterium szulgai Lung Disease or Breast Cancer Relapse—Case Report
Abstract
1. Introduction
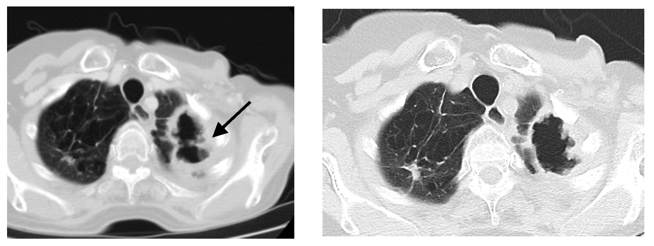
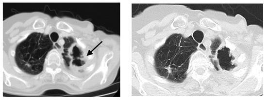
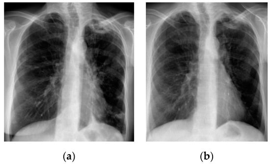
2. Case Report
3. Discussion
4. Conclusions
Author Contributions
Funding
Acknowledgments
Conflicts of Interest
References
- Chin, K.L.; Sarmiento, M.E.; Alvarez-Cabrera, N.; Norazmi, M.N.; Acosta, A. Pulmonary non-tuberculous mycobacterial infections: Current state and future management. Eur. J. Clin. Microbiol. Infect. Dis. 2020, 39, 799–826. [Google Scholar] [CrossRef]
- Griffith, D.E.; Aksamit, T.; Brown-Elliott, B.A.; Catanzaro, A.; Daley, C.; Gordin, F.; Holland, S.M.; Horsburgh, R.; Huitt, G.; Iademarco, M.F.; et al. ATS Mycobacterial Diseases Subcommittee; American Thoracic Society; Infectious Disease Society of America. An official ATS/IDSA statement: Diagnosis, treatment, and prevention of nontuberculous mycobacterial diseases. Am. J. Respir. Respir. Crit. Care Med. 2007, 175, 367–416. [Google Scholar] [CrossRef] [PubMed]
- Chen, Y.M.; Lin, C.H.; Chen, H.H.; Chao, W.C.; Chen, D.Y.; Lin, C.C.; Liao, T.L. Risk of mycobacterial disease among cancer patients: A population-based cohort study in a TB endemic area. Cancer Epidemiol. 2019, 59, 64–70. [Google Scholar] [CrossRef] [PubMed]
- Lai, C.C.; Tan, C.K.; Cheng, A.; Chung, K.P.; Chen, C.Y.; Liao, C.H.; Huang, Y.T.; Hsueh, P.R. Nontuberculous mycobacterial infections in cancer patients in a medical center in Taiwan, 2005–2008. Diagn. Microbiol. Infect. Dis. 2012, 72, 161–165. [Google Scholar] [CrossRef] [PubMed]
- Hong, S.J.; Kim, T.J.; Lee, J.H.; Park, J. Nontuberculous mycobacterial pulmonary disease mimicking lung cancer: Clinicoradiologic features and diagnostic implications. Medicine 2016, 95, e3978. [Google Scholar] [CrossRef] [PubMed]
- Wyrostkiewicz, D.; Szturmowicz, M.; Bartoszuk, I.; Siemion-Szczesniak, I.; Jakubowska, L.; Augustynowicz-Kopec, E.; Kus, J. Nontuberculous mycobacterial lung disease in a patient with COPD and bronchiectasis, with radiological signs of lung tumor. Adv. Respir. Med. 2018, 86, 17–22. [Google Scholar] [CrossRef] [PubMed]
- Taira, N.; Kawasaki, H.; Takahara, S.; Chibana, K.; Atsumi, E.; Kawabata, T. The Presence of Coexisting Lung Cancer and Non-Tuberculous Mycobacterium in a Solitary Mass. Am. J. Case Rep. 2018, 19, 748–751. [Google Scholar] [CrossRef] [PubMed]
- Hoefsloot, W.; van Ingen, J.; Andrejak, C.; Angeby, K.; Bauriaud, R.; Bemer, P.; Beylis, N.; Boeree, M.J.; Cacho, J.; Chihota, V.; et al. The geographic diversity of nontuberculous mycobacteria isolated from pulmonary samples: An NTM-NET collaborative study. Eur. Respir. J. 2013, 42, 1604–1613. [Google Scholar] [CrossRef] [PubMed]
- Marks, J.; Jenkins, P.A.; Tsukamura, M. Mycobacterium Szulgai—A new pathogen. Tubercle 1972, 53, 210–214. [Google Scholar] [CrossRef]
- Kwiatkowska, S.; Augustynowicz-Kopec, E.; Korzeniewska-Kosela, M.; Filipczak, D.; Gruszczynski, P.; Zabost, A.; Klatt, M.; Sadkowska-Todys, M. Nontuberculous mycobacteria strains isolated from patients between 2013 and 2017 in Poland. Our data with respect to the global trends. Adv. Respir. Med. 2018, 86, 291–298. [Google Scholar] [CrossRef] [PubMed]
- Van Ingen, J.; Boeree, M.J.; de Lange, W.C.; de Haas, P.E.; Dekhuijzen, P.N.; van Soolingen, D. Clinical relevance of Mycobacterium szulgai in The Netherlands. CID 2008, 46, 1200–1205. [Google Scholar] [CrossRef] [PubMed]
- Yoo, H.; Jeon, K.; Kim, S.Y.; Jeong, B.H.; Park, H.Y.; Ki, C.S.; Lee, N.Y.; Shin, S.J.; Koh, W.J. Clinical significance of Mycobacterium szulgai isolates from respiratory specimens. Scand. J. Infect. Dis. 2014, 46, 169–174. [Google Scholar] [CrossRef] [PubMed]
- Sánchez-Alarcos, J.M.; De Miguel-Díez, J.; Bonilla, I.; Sicilia, J.J.; Alvarez-Sala, J.L. Pulmonary infection due to Mycobacterium szulgai. Respiration 2003, 70, 533–536. [Google Scholar] [CrossRef] [PubMed]
- Opoka, L.M.; Szturmowicz, M.; Oniszh, K.; Korzybski, D.; Podgajny, Z.; Błasińska-Przerwa, K.; Szołkowska, M.; Bestry, I. CT imaging features of thin-walled cavitary squamous cell lung cancer. Adv. Respir. Med. 2019, 87, 114–117. [Google Scholar] [CrossRef] [PubMed]
- Pesapane, F.; Downey, K.; Rotili, A.; Cassano, E.; Koh, D.-M. Imaging Diagnosis of Metastatic Breast Cancer. Insights Imag. 2020, 11, 79. [Google Scholar] [CrossRef] [PubMed]
- Figueroa, C.J.; Riedel, E.; Glickman, M.S. Clinical and radiographic differentiation of lung nodules caused by mycobacteria and lung cancer: A case-control study. BMC Infect. Dis. 2015, 15, 482. [Google Scholar] [CrossRef] [PubMed]
- Taralli, S.; Scolozzi, V.; Foti, M.; Ricciardi, S.; Forcione, A.R.; Cardillo, G.; Calcagni, M.L. 18F-FDG PET/CT Diagnostic performance in solitary and multiple pulmonary nodules detected in patients with previous cancer history: Reports of 182 nodules. Eur. J. Nucl. Med. Mol. Imag. 2019, 46, 429–436. [Google Scholar] [CrossRef] [PubMed]
- Gido, R.; Wojciechowski, A.L.; Bajwa, R.P. Pulmonary infection with Mycobacterium szulgai: A case report. SAGE Open Med. Case Rep. 2019, 7. [Google Scholar] [CrossRef]





© 2020 by the authors. Licensee MDPI, Basel, Switzerland. This article is an open access article distributed under the terms and conditions of the Creative Commons Attribution (CC BY) license (http://creativecommons.org/licenses/by/4.0/).
Share and Cite
Kempisty, A.; Augustynowicz-Kopec, E.; Opoka, L.; Szturmowicz, M. Mycobacterium szulgai Lung Disease or Breast Cancer Relapse—Case Report. Antibiotics 2020, 9, 482. https://doi.org/10.3390/antibiotics9080482
Kempisty A, Augustynowicz-Kopec E, Opoka L, Szturmowicz M. Mycobacterium szulgai Lung Disease or Breast Cancer Relapse—Case Report. Antibiotics. 2020; 9(8):482. https://doi.org/10.3390/antibiotics9080482
Chicago/Turabian StyleKempisty, Anna, Ewa Augustynowicz-Kopec, Lucyna Opoka, and Monika Szturmowicz. 2020. "Mycobacterium szulgai Lung Disease or Breast Cancer Relapse—Case Report" Antibiotics 9, no. 8: 482. https://doi.org/10.3390/antibiotics9080482
APA StyleKempisty, A., Augustynowicz-Kopec, E., Opoka, L., & Szturmowicz, M. (2020). Mycobacterium szulgai Lung Disease or Breast Cancer Relapse—Case Report. Antibiotics, 9(8), 482. https://doi.org/10.3390/antibiotics9080482
