Understanding Daptomycin Resistance Mechanisms and Treatment Challenges in Enterococcus faecium Infection: A Case Series
Abstract
1. Introduction
1.1. The History of Antimicrobial Resistance
1.2. The Emergence of Daptomycin Resistance
2. Cases Presentations
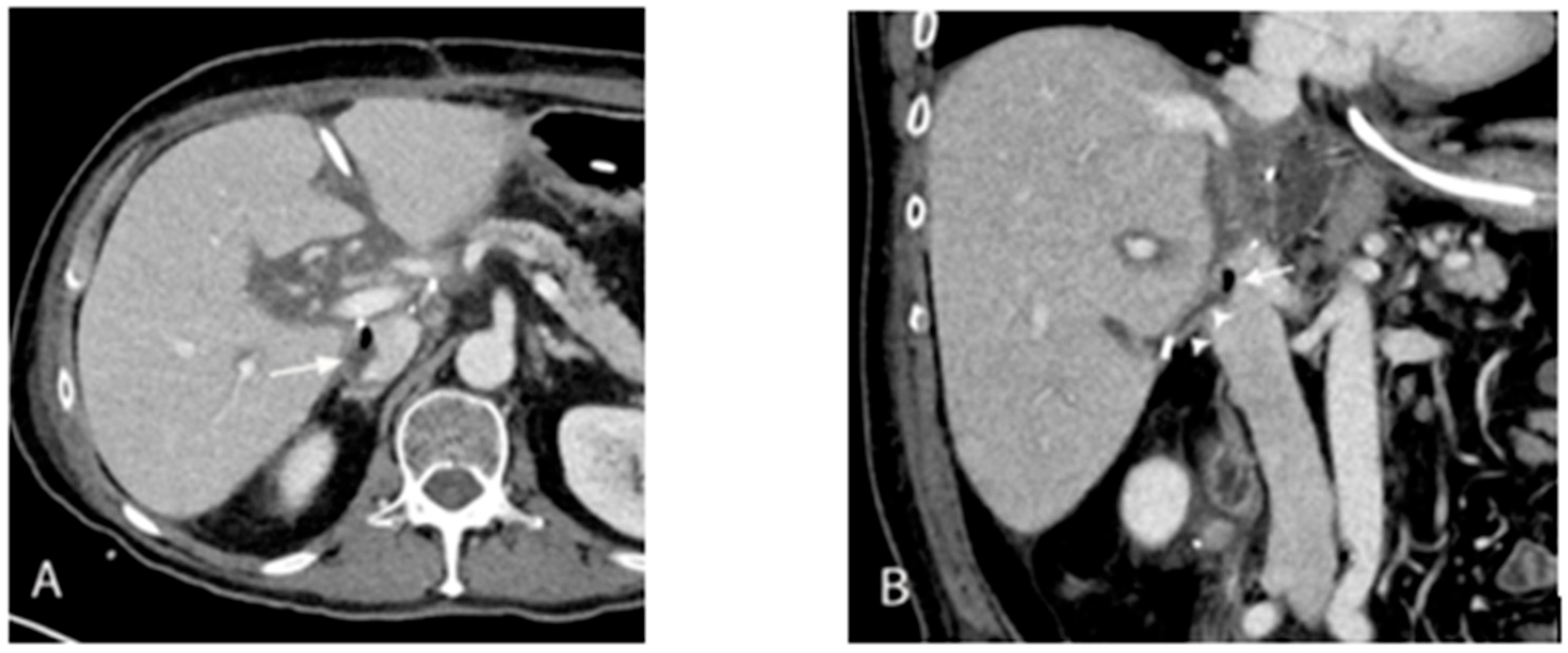
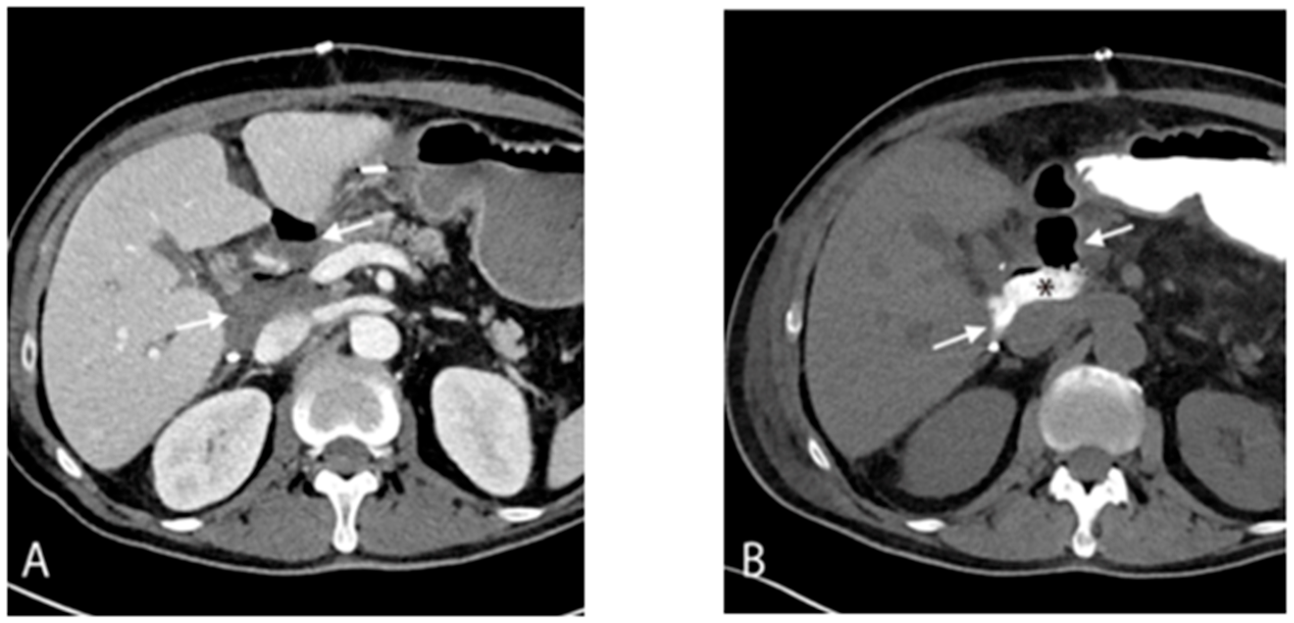
2.1. Case #1
2.2. Case #2
2.3. Case #3
3. Discussion
3.1. Mechanism of the Development of Daptomycin Resistance
3.2. Impact of Metabolic and Immunosuppressive Factors on Daptomycin Resistance
3.2.1. Role of Immunosuppression in POST-OLT Subgroup
3.2.2. Pharmacokinetics of Daptomycin
3.3. Role of Sequestered Foci and Biofilm Formation
3.4. Role of Rifaximin in Daptomycin Resistance
3.5. Novel Therapies of DRE Management and Prospects
3.6. Daptomycin vs. Tigecycline for Vancomycin-Resistant Enterococcus
3.7. Limitation
4. Conclusions
Author Contributions
Funding
Institutional Review Board Statement
Informed Consent Statement
Data Availability Statement
Conflicts of Interest
References
- Schleifer, K.H.; Kilpper-Bälz, R. Transfer of Streptococcus faecalis and Streptococcus faecium to the genus Enterococcus nom. rev. as Enterococcus faecalis comb. nov. and Enterococcus faecium comb. nov. Int. J. Syst. Evol. Microbiol. 1984, 34, 31–34. [Google Scholar] [CrossRef]
- Weiner, L.M.; Webb, A.K.; Limbago, B.; Dudeck, M.A.; Patel, J.; Kallen, A.J.; Edwards, J.R.; Sievert, D.M. Antimicrobial-Resistant Pathogens Associated with Healthcare-Associated Infections: Summary of Data Reported to the National Healthcare Safety Network at the Centers for Disease Control and Prevention, 2011–2014. Infect. Control Hosp. Epidemiol. 2016, 37, 1288–1301. [Google Scholar] [CrossRef]
- Gold, H.S. Vancomycin-resistant enterococci: Mechanisms and clinical observations. Clin. Infect. Dis. 2001, 33, 210–219. [Google Scholar] [CrossRef]
- Bush, L.M.; Calmon, J.; Cherney, C.L.; Wendeler, M.; Pitsakis, P.; Poupard, J.; Levison, M.E.; Johnson, C.C. High-level penicillin resistance among isolates of Enterococci: Implications for treatment of enterococcal infections. Ann. Intern. Med. 1989, 110, 515–520. [Google Scholar] [CrossRef]
- Montealegre, M.C.; Roh, J.H.; Rae, M.; Davlieva, M.G.; Singh, K.V.; Shamoo, Y.; Murray, B.E. Differential Penicillin-Binding Protein 5 (PBP5) Levels in the Enterococcus faecium Clades with Different Levels of Ampicillin Resistance. Antimicrob. Agents Chemother. 2016, 61, e02034-16. [Google Scholar] [CrossRef]
- Boccella, M.; Santella, B.; Pagliano, P.; De Filippis, A.; Casolaro, V.; Galdiero, M.; Borrelli, A.; Capunzo, M.; Boccia, G.; Franci, G. Prevalence and Antimicrobial Resistance of Enterococcus Species: A Retrospective Cohort Study in Italy. Antibiotics 2021, 10, 1552. [Google Scholar] [CrossRef] [PubMed]
- Sattari-Maraji, A.; Jabalameli, F.; Node Farahani, N.; Beigverdi, R.; Emaneini, M. Antimicrobial resistance pattern, virulence determinants and molecular analysis of Enterococcus faecium isolated from children infections in Iran. BMC Microbiol. 2019, 19, 156. [Google Scholar] [CrossRef]
- Almeida-Santos, A.C.; Novais, C.; Peixe, L.; Freitas, A.R. Vancomycin-resistant Enterococcus faecium: A current perspective on resilience, adaptation, and the urgent need for novel strategies. J. Glob. Antimicrob. Resist. 2025, 41, 233–252. [Google Scholar] [CrossRef] [PubMed]
- Huang, S.T.; Yang, J.L.; Lin, C.Y.; Huang, S.H.; Wang, J.T.; Chuang, Y.C.; Chen, Y.C.; Chang, S.C. Risk factors for mortality after linezolid treatment of vancomycin-resistant Enterococcus bloodstream infection. Int. J. Infect. Dis. 2023, 129, 96–102. [Google Scholar] [CrossRef] [PubMed]
- Kamboj, M.; Cohen, N.; Gilhuley, K.; Babady, N.E.; Seo, S.K.; Sepkowitz, K.A. Emergence of daptomycin-resistant VRE: Experience of a single institution. Infect. Control Hosp. Epidemiol. 2011, 32, 391–394. [Google Scholar] [CrossRef] [PubMed] [PubMed Central]
- Mishra, N.N.; Bayer, A.S.; Tran, T.T.; Shamoo, Y.; Mileykovskaya, E.; Dowhan, W.; Guan, Z.; Arias, C.A. Daptomycin resistance in Enterococci is associated with distinct alterations of cell membrane phospholipid content. PLoS ONE 2012, 7, e43958. [Google Scholar] [CrossRef]
- Tran, T.T.; Munita, J.M.; Arias, C.A. Mechanisms of drug resistance: Daptomycin resistance. Ann. N. Y. Acad. Sci. 2015, 1354, 32–53. [Google Scholar] [CrossRef] [PubMed] [PubMed Central]
- Humphries, R.M. The New, New Daptomycin Breakpoint for Enterococcus spp. J. Clin. Microbiol. 2019, 57, e00600-19. [Google Scholar] [CrossRef] [PubMed] [PubMed Central]
- Sabol, K.; Patterson, J.E.; Lewis, J.S., II; Owens, A.; Cadena, J.; Jorgensen, J.H. Emergence of daptomycin resistance in Enterococcus faecium during daptomycin therapy. Antimicrob. Agents Chemother. 2005, 49, 1664–1665, Erratum in Antimicrob. Agents Chemother. 2005, 49, 2152. [Google Scholar] [CrossRef] [PubMed] [PubMed Central]
- Munoz-Price, L.S.; Lolans, K.; Quinn, J.P. Emergence of Resistance to Daptomycin during treatment of vancomycin resistant Enterococcus faecalis infection. Clin. Infect. Dis. 2005, 41, 565–566. [Google Scholar] [CrossRef]
- Dadashi, M.; Sharifian, P.; Bostanshirin, N.; Hajikhani, B.; Bostanghadiri, N.; Khosravi-Dehaghi, N.; van Belkum, A.; Darban-Sarokhalil, D. The Global Prevalence of Daptomycin, Tigecycline, and Linezolid-Resistant Enterococcus faecalis and Enterococcus faecium Strains From Human Clinical Samples: A Systematic Review and Meta-Analysis. Front. Med. 2021, 8, 720647. [Google Scholar] [CrossRef]
- Pincus, N.B.; Joshi, T.; Gatesy, S.W.M.; Al-Heeti, O.; Moore, W.J.; Bachta, K.E.R. Breakthrough daptomycin-, linezolid-, vancomycin-resistant Enterococcus faecium bacteremia during protracted daptomycin therapy: A case report. IDCases 2022, 29, e01593. [Google Scholar] [CrossRef]
- Davlieva, M.; Wu, C.; Zhou, Y.; Arias, C.A.; Shamoo, Y. Two Mutations Commonly Associated with Daptomycin Resistance in Enterococcus faecium LiaST120A and LiaRW73C Appear To Function Epistatically in LiaFSR Signaling. Biochemistry 2018, 57, 6797–6805. [Google Scholar] [CrossRef] [PubMed]
- Kelesidis, T.; Humphries, R.; Uslan, D.Z.; Pegues, D. De novo daptomycin-nonsusceptible enterococcal infections. Emerg. Infect. Dis. 2012, 18, 674–676. [Google Scholar] [CrossRef] [PubMed]
- Patel, G.; Snydman, D.R. the AST Infectious Diseases Community of Practice. Vancomycin-resistant Enterococcus infections in solid organ transplantation. Am. J. Transplant. 2013, 13, 59–67. [Google Scholar] [CrossRef] [PubMed]
- Barajas-Ochoa, A.; Hess, O.; Smith, T.; Ambrosio, M.; Morales, M.; Yakubu, I.; Thomas, L.; Bruno, D.; Vissichelli, N. Management of vancomycin-resistant Enterococci and daptomycin-resistant Enterococci infections in liver transplant recipients in a single academic center. Transpl. Infect. Dis. 2024, 26, e14387. [Google Scholar] [CrossRef]
- Chiang, D.; Dingle, T.C.; Belga, S.; Kabbani, D.; Bhanji, R.A.; Walter, J.; Abraldes, J.G.; Cervera, C. Association between gut colonization of vancomycin-resistant enterococci and liver transplant outcomes. Transpl. Infect. Dis. 2022, 24, e13821. [Google Scholar] [CrossRef]
- King, S.T.; Usery, J.B.; Holloway, K.; Koeth, L.; Cleveland, K.O.; Gelfand, M.S. Successful therapy of treatment-emergent, non-clonal daptomycin-non-susceptible Enterococcus faecium infections. J. Antimicrob. Chemother. 2011, 66, 2673–2675. [Google Scholar] [CrossRef] [PubMed]
- van Delden, C.; Stampf, S.; Hirsch, H.H.; Manuel, O.; Meylan, P.; Cusini, A.; Hirzel, C.; Khanna, N.; Weisser, M.; Garzoni, C.; et al. Burden and Timeline of Infectious Diseases in the First Year After Solid Organ Transplantation in the Swiss Transplant Cohort Study. Clin. Infect. Dis. 2020, 71, e159–e169. [Google Scholar] [CrossRef] [PubMed]
- Lewis, J.D.; Barros, A.J.; Sifri, C.D. Comparison of risk factors and outcomes of daptomycin-susceptible and -nonsusceptible vancomycin-resistant Enterococcus faecium infections in liver transplant recipients: A reply to Jorgenson et al. Transpl. Infect. Dis. 2019, 21, e13028. [Google Scholar] [CrossRef] [PubMed]
- Tascini, C.; Di Paolo, A.; Polillo, M.; Ferrari, M.; Lambelet, P.; Danesi, R.; Menichetti, F. Case report of a successful treatment of methicillin-resistant Staphylococcus aureus (MRSA) bacteremia and MRSA/vancomycin-resistant Enterococcus faecium cholecystitis by daptomycin. Antimicrob. Agents Chemother. 2011, 55, 2458–2459. [Google Scholar] [CrossRef]
- Pacheco, M.P.; Carneiro-D’Albuquerque, L.A.; Mazo, D.F. Current aspects of renal dysfunction after liver transplantation. World J. Hepatol. 2022, 14, 45–61. [Google Scholar] [CrossRef]
- Antachopoulos, C.; Ilia, S.; Kadiltzoglou, P.; Baira, E.; Dokoumetzidis, A.; Gikas, E.; Volakli, E.; Sdougka, M.; Briassoulis, G.; Roilides, E. Pharmacokinetics of Daptomycin in Critically Ill Pediatric Patients. Antimicrob. Agents Chemother. 2018, 62, e02462-17. [Google Scholar] [CrossRef]
- Fedoravicius, A.; Charlton, M. Abnormal liver tests after liver transplantation. Clin. Liver Dis. 2016, 7, 73–79. [Google Scholar] [CrossRef]
- Balice, G.; Passino, C.; Bongiorni, M.G.; Segreti, L.; Russo, A.; Lastella, M.; Luci, G.; Falcone, M.; Di Paolo, A. Daptomycin Population Pharmacokinetics in Patients Affected by Severe Gram-Positive Infections: An Update. Antibiotics 2022, 11, 914. [Google Scholar] [CrossRef]
- Bender, J.K.; Cattoir, V.; Hegstad, K.; Sadowy, E.; Coque, T.M.; Westh, H.; Hammerum, A.M.; Schaffer, K.; Burns, K.; Murchan, S.; et al. Update on prevalence and mechanisms of resistance to linezolid, tigecycline and daptomycin in enterococci in Europe: Towards a common nomenclature. Drug Resist. Updat. 2018, 40, 25–39. [Google Scholar] [CrossRef]
- Soltani, S.; Arshadi, M.; Getso, M.I.; Aminharati, F.; Mahmoudi, M.; Pourmand, M.R. Prevalence of virulence genes and their association with biofilm formation in VRE faecium isolates from Ahvaz, Iran. J. Infect. Dev. Ctries. 2018, 12, 970–977. [Google Scholar] [CrossRef]
- Srinivasan, R.; Santhakumari, S.; Poonguzhali, P.; Geetha, M.; Dyavaiah, M.; Xiangmin, L. Bacterial Biofilm Inhibition: A Focused Review on Recent Therapeutic Strategies for Combating the Biofilm Mediated Infections. Front. Microbiol. 2021, 12, 676458. [Google Scholar] [CrossRef]
- Lee, Y. Biofilm Formation and Antimicrobial Resistance in Enterococcus. Infect. Chemother. 2017, 49, 236–237. [Google Scholar] [CrossRef]
- Fallah, F.; Yousefi, M.; Pourmand, M.R.; Hashemi, A.; Nazari Alam, A.; Afshar, D. Phenotypic and genotypic study of biofilm formation in Enterococci isolated from urinary tract infections. Microb. Pathog. 2017, 108, 85–90. [Google Scholar] [CrossRef] [PubMed]
- Miller, W.R.; Murray, B.E.; Rice, L.B.; Arias, C.A. Resistance in Vancomycin-Resistant Enterococci. Infect. Dis. Clin. N. Am. 2020, 34, 751–771. [Google Scholar] [CrossRef] [PubMed]
- Ch’ng, J.H.; Chong, K.K.L.; Lam, L.N.; Wong, J.J.; Kline, K.A. Biofilm-associated infection by Enterococci. Nat. Rev. Microbiol. 2019, 17, 82–94, Correction in Nat. Rev. Microbiol. 2019, 17, 124. https://doi.org/10.1038/s41579-018-0128-7. [Google Scholar] [CrossRef]
- Dale, J.L.; Cagnazzo, J.; Phan, C.Q.; Barnes, A.M.T.; Dunny, G.M. Multiple roles for Enterococcus faecalis glycosyltransferases in biofilm-associated antibiotic resistance, cell envelope integrity, and conjugative transfer. Antimicrob. Agents Chemother. 2015, 59, 4094–4105. [Google Scholar] [CrossRef] [PubMed]
- Jones, T.W.; Jun, A.H.; Michal, J.L.; Olney, W.J. High-Dose Daptomycin and Clinical Applications. Ann. Pharmacother. 2021, 55, 1363–1378. [Google Scholar] [CrossRef] [PubMed] [PubMed Central]
- Chuang, Y.C.; Lin, H.Y.; Chen, P.Y.; Lin, C.Y.; Wang, J.T.; Chang, S.C. Daptomycin versus linezolid for the treatment of vancomycin-resistant enterococcal bacteraemia: Implications of daptomycin dose. Clin. Microbiol. Infect. 2016, 22, 890.e1–890.e7. [Google Scholar] [CrossRef]
- Yim, J.; Smith, J.R.; Rybak, M.J. Role of Combination Antimicrobial Therapy for Vancomycin-Resistant Enterococcus faecium Infections: Review of the Current Evidence. Pharmacotherapy 2017, 37, 579–592. [Google Scholar] [CrossRef] [PubMed]
- Lee, R.A.; Goldman, J.; Haidar, G.; Lewis, J.; Arif, S.; Hand, J.; La Hoz, R.M.; Pouch, S.; Holaday, E.; Clauss, H.; et al. Daptomycin-Resistant Enterococcus Bacteremia Is Associated With Prior Daptomycin Use and Increased Mortality After Liver Transplantation. Open Forum Infect. Dis. 2022, 9, ofab659. [Google Scholar] [CrossRef] [PubMed]
- Turner, A.M.; Li, L.; Monk, I.R.; Lee, J.Y.H.; Ingle, D.J.; Portelli, S.; Sherry, N.L.; Isles, N.; Seemann, T.; Sharkey, L.K.; et al. Rifaximin prophylaxis causes resistance to the last-resort antibiotic daptomycin. Nature 2024, 635, 969–977. [Google Scholar] [CrossRef]
- Tsai, H.Y.; Lee, Y.L.; Liu, P.Y.; Lu, M.C.; Shao, P.L.; Lu, P.L.; Cheng, S.H.; Ko, W.C.; Lin, C.Y.; Wu, T.S.; et al. Antimicrobial susceptibility of bacteremic vancomycin-resistant Enterococcus faecium to eravacycline, omadacycline, lipoglycopeptides, and other comparator antibiotics: Results from the 2019–2020 Nationwide Surveillance of Multicenter Antimicrobial Resistance in Taiwan (SMART). Int. J. Antimicrob. Agents 2021, 58, 106353. [Google Scholar] [CrossRef] [PubMed]
- Clark, R.B.; Hunt, D.K.; He, M.; Achorn, C.; Chen, C.-L.; Deng, Y.; Fyfe, C.; Grossman, T.H.; Hogan, P.C.; O’Brien, W.J.; et al. Fluorocyclines. 2. Optimization of the C-9 side-chain for antibacterial activity and oral efficacy. J. Med. Chem. 2012, 55, 606–622. [Google Scholar] [CrossRef]
- Anderson, S.D.; Gums, J.G. Ceftobiprole: An extended-spectrum anti-methicillin resistant Staphylococus aureus cefphalosporin. Ann. Pharmacother. 2008, 42, 806–816. [Google Scholar] [CrossRef]
- Allen, G.P.; Cha, R.; Rybak, M.J. In vitro activities of quinupristin-dalfopristin and cefepime, alone and in combination with various antimicrobials, against multidrug-resistant staphylococci and enterococci in an in vitro pharmacodynamic model. Antimicrob. Agents Chemother. 2002, 46, 2606–2612. [Google Scholar] [CrossRef] [PubMed] [PubMed Central]
- Belley, A.; Arhin, F.F.; Moeck, G. Evaluation of Oritavancin Dosing Strategies against Vancomycin-Resistant Enterococcus faecium Isolates with or without Reduced Susceptibility to Daptomycin in an In Vitro Pharmacokinetic/Pharmacodynamic Model. Antimicrob. Agents Chemother. 2017, 62, e01873-17. [Google Scholar] [CrossRef] [PubMed] [PubMed Central]
- Smith, J.R.; Barber, K.E.; Raut, A.; Aboutaleb, M.; Sakoulas, G.; Rybak, M.J. β-Lactam combinations with daptomycin provide synergy against vancomycin-resistant Enterococcus faecalis and Enterococcus faecium. J. Antimicrob. Chemother. 2015, 70, 1738–1743. [Google Scholar] [CrossRef] [PubMed] [PubMed Central]
- Huang, Y.T.; Liao, C.H.; Teng, L.J.; Hsueh, P.R. Comparative bactericidal activities of daptomycin, glycopeptides, linezolid and tigecycline against blood isolates of Gram-positive bacteria in Taiwan. Clin. Microbiol. Infect. 2008, 14, 124–129. [Google Scholar] [CrossRef][Green Version]
- Rathe, M.; Kristensen, L.; Ellermann-Eriksen, S.; Thomsen, M.K.; Schumacher, H. Vancomycin-resistant Enterococcus spp.: Validation of susceptibility testing and in vitro activity of vancomycin, linezolid, tigecycline and daptomycin. APMIS 2010, 118, 66–73. [Google Scholar] [CrossRef] [PubMed]
- U.S. Food and Drug Administration; FDA Drug Safety Communication. FDA Warns of Increased Risk of Death with IV Antibacterial Tygacil (Tigecycline) and Approves New Boxed Warning. FDA. Published Online 21 June 2019. Available online: https://www.fda.gov/drugs/drug-safety-and-availability/fda-drug-safety-communication-fda-warns-increased-risk-death-iv-antibacterial-tygacil-tigecycline (accessed on 6 February 2026).
- CDC. Daptomycin-Resistant Enterococcus faecium. Available online: https://arpsp.cdc.gov/profile/antibiotic-resistance/daptomycin-resistant-enterococcus-faecium (accessed on 12 December 2024).



| Antimicrobial Agent | Pre-Transplant: Explanted Liver, MICs | Pre-Transplant: Blood Culture, MICs | 1 Month Post-OLT: Blood Culture, MICs |
|---|---|---|---|
| Ampicillin | ≤2 µg/mL (Susceptible) | Not tested | >8 µg/mL (Resistant) |
| Daptomycin | ≤0.5 µg/mL (Susceptible) | Not tested | 8 µg/mL (Resistant) |
| Linezolid | ≤2 µg/mL (Susceptible) | ≤2 µg/mL (Susceptible) | >4 µg/mL (Resistant) |
| Vancomycin | >16 µg/mL (Resistant) | >16 µg/mL (Resistant) | >16 µg/mL (Resistant) |
| Penicillin | Not tested | >8 µg/mL (Resistant) | Not tested |
| Gentamicin (High-level synergy) | Not tested | ≤500 µg/mL (Susceptible) | Not tested |
| Approx. Date (Hospital Day) | Event/Intervention | Microbiology/Cultures |
|---|---|---|
| July 2023 (admission) (Day 1) | Orthotopic liver transplant (OLT); explanted liver sent for culture | Explant culture: VRE isolated; daptomycin MIC = 0.5 µg/mL. |
| Late July (Day 9) | Initial daptomycin therapy (6 mg/kg IV daily) → clinical stabilization → discharged | — |
| Early August (3 days after discharge) (Day 13) | Return with neutrophilic leukocytosis → ED → sepsis next day; blood cultures drawn | Blood cultures: polymicrobial growth (VRE, C. glabrata, MDR C. freundii). |
| Mid-August (Day 30) | Antimicrobial escalation (daptomycin dose increased, meropenem, gentamicin, caspofungin); IR drainage of subhepatic collection | IR aspirate culture: same organisms (VRE, C. glabrata, MDR C. freundii). |
| Mid-August (Day 33) | CT: septic thrombophlebitis/enterocaval fistula from duodenal perforation → endoscopic closure with surgical clip | Bloodstream isolates showed daptomycin resistance on susceptibility testing. |
| Mid- to late-August (Day 36) | Ceftaroline 600 mg IV q8h added (in consultation); continued high-dose daptomycin | After addition of ceftaroline and endoscopic closure, surveillance blood cultures became persistently negative. |
| Mid-September (Day 57) | Completed extended 21-day combination course (daptomycin + ceftaroline); remained hospitalized during this period. | Sustained absence of daptomycin-resistant E. faecium on surveillance cultures. |
| Mid-October (Day 96) | Patient discharged by the Transplant & Primary care team | Sustained absence of DRE on surveillance cultures. |
| Antimicrobial Agent | 4 m Post-OLT: Blood Culture | 4.1 m Post-OLT: Blood Culture | 5 m Post-OLT: Aspirated Abdominal Fluid | 6.5 Months Post-OLT Aspirated Liver Abscess Fluid | |
|---|---|---|---|---|---|
| Isolate 1 | Isolate 2 | ||||
| Ampicillin | ≤2 µg/mL (Susceptible) | >8 µg/mL (Resistant) | >8 µg/mL (Resistant) | >8 µg/mL (Resistant) | >8 µg/mL (Resistant) |
| Daptomycin | Not tested | 4 µg/mL (Susceptible) | ≤0.5 µg/mL (Susceptible) | 4 µg/mL (Susceptible) | 8 µg/mL (Resistant) |
| Linezolid | Not tested | ≤2 µg/mL (Susceptible) | ≤2 µg/mL (Susceptible) | ≤1 µg/mL (Susceptible) | ≤1 µg/mL (Susceptible) |
| Vancomycin | 4 µg/mL (Susceptible) | >16 µg/mL (Resistant) | >16 µg/mL (Resistant) | >16 µg/mL (Resistant) | >16 µg/mL (Resistant) |
| Gentamicin (High-level synergy) | ≤500 µg/mL (Susceptible) | ≤500 µg/mL (Susceptible) | Not tested | Not tested | Not tested |
| Streptomycin (High-level synergy) | ≤1000 µg/mL (Susceptible) | ≤1000 µg/mL (Susceptible) | Not tested | Not tested | Not tested |
| Tetracycline | Not tested | Not tested | Not tested | ≤4 µg/mL (Susceptible) | >8 µg/mL (Resistant) |
| Eravacycline | Not tested | Not tested | Not tested | 0.008 µg/mL (Susceptible) | 0.008 µg/mL (Susceptible) |
| Antimicrobial Agent | 4 Days Post–Ex-Laparotomy: Aspirated Abdominal Fluid | 10 Days Post–Ex-Laparotomy: Aspirated Abscess Fluid | 10 Months Post–Initial Colectomy: Aspirated Abdominal Fluid | 2.5 Years Post–Initial Colectomy: Aspirated Abdominal Fluid | 2.5 Years + 10 Days Post–Initial Colectomy (Repeat): Aspirated Abscess Fluid |
|---|---|---|---|---|---|
| Ampicillin | >8 µg/mL (Resistant) | Not tested | >8 µg/mL (Resistant) | >8 µg/mL (Resistant) | Not tested |
| Daptomycin | 2 µg/mL (Susceptible) | 8 µg/mL (Resistant) | 2 µg/mL (Susceptible) | 2 µg/mL (Susceptible) | 8 µg/mL (Resistant) |
| Linezolid | 2 µg/mL (Susceptible) | Not tested | 2 µg/mL (Susceptible) | 2 µg/mL (Susceptible) | Not tested |
| Vancomycin | >16 µg/mL (Resistant) | Not tested | >16 µg/mL (Resistant) | >16 µg/mL (Resistant) | Not tested |
| Gentamicin | Not tested | Not tested | Not tested | Not tested | Not tested |
| Ciprofloxacin | Not tested | Not tested | Not tested | Not tested | Not tested |
| Meropenem | Not tested | Not tested | Not tested | Not tested | Not tested |
| Piperacillin–Tazobactam | Not tested | Not tested | Not tested | Not tested | Not tested |
Disclaimer/Publisher’s Note: The statements, opinions and data contained in all publications are solely those of the individual author(s) and contributor(s) and not of MDPI and/or the editor(s). MDPI and/or the editor(s) disclaim responsibility for any injury to people or property resulting from any ideas, methods, instructions or products referred to in the content. |
© 2026 by the authors. Licensee MDPI, Basel, Switzerland. This article is an open access article distributed under the terms and conditions of the Creative Commons Attribution (CC BY) license.
Share and Cite
Nair-Collins, S.; Godart, G.; Patel, N.; Yadav, V.; Larimore, K.; LeGout, J.D.; Chitale, R.; Durvasula, R.; Oring, J. Understanding Daptomycin Resistance Mechanisms and Treatment Challenges in Enterococcus faecium Infection: A Case Series. Antibiotics 2026, 15, 243. https://doi.org/10.3390/antibiotics15030243
Nair-Collins S, Godart G, Patel N, Yadav V, Larimore K, LeGout JD, Chitale R, Durvasula R, Oring J. Understanding Daptomycin Resistance Mechanisms and Treatment Challenges in Enterococcus faecium Infection: A Case Series. Antibiotics. 2026; 15(3):243. https://doi.org/10.3390/antibiotics15030243
Chicago/Turabian StyleNair-Collins, Sangeeta, Gabriel Godart, Nipakumari Patel, Vidit Yadav, Kelly Larimore, Jordan D. LeGout, Rohit Chitale, Ravi Durvasula, and Justin Oring. 2026. "Understanding Daptomycin Resistance Mechanisms and Treatment Challenges in Enterococcus faecium Infection: A Case Series" Antibiotics 15, no. 3: 243. https://doi.org/10.3390/antibiotics15030243
APA StyleNair-Collins, S., Godart, G., Patel, N., Yadav, V., Larimore, K., LeGout, J. D., Chitale, R., Durvasula, R., & Oring, J. (2026). Understanding Daptomycin Resistance Mechanisms and Treatment Challenges in Enterococcus faecium Infection: A Case Series. Antibiotics, 15(3), 243. https://doi.org/10.3390/antibiotics15030243

