Antibiotics in Mucogingival Surgery for Recession Treatment: A Narrative Review
Abstract
1. Introduction
2. Materials and Methods
3. Defining Indications for Systemic Antibiotics in Mucogingival Surgery for the Treatment of Gingival Recession
3.1. Antibiotic Prophylaxis in Patients at High Risk of Infective Endocarditis
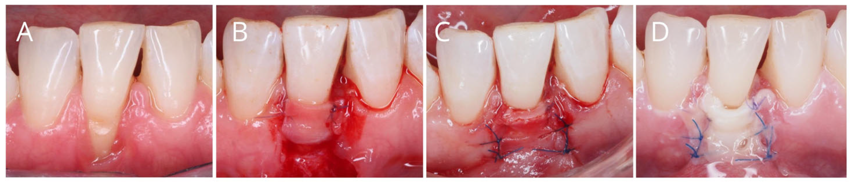
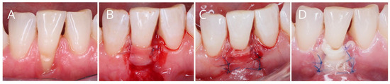
3.2. The Specific Nature of Recession Coverage Procedures in the Context of Potential Postoperative Infection
3.3. Identification of Patients at Higher Risk of Surgical Site Infection and Decision-Making Regarding Antibiotic Therapy
3.4. Antibiotic Prophylaxis for Surgical Site Infection in Systemically Healthy Patients
4. Asepsis, Antisepsis, and Preoperative Optimization of Local Tissue Health
5. Discussion
6. Limitations
7. Conclusions
Author Contributions
Funding
Institutional Review Board Statement
Informed Consent Statement
Data Availability Statement
Conflicts of Interest
Abbreviations
| STI | Surgical site infection |
| CVD | Cardiovascular disease patients |
| CAF | Coronally advanced flap |
| SCTG | Subepithelial connective tissue graft |
References
- Cortellini, P.; Bissada, N.F. Mucogingival Conditions in the Natural Dentition: Narrative Review, Case Definitions, and Diagnostic Considerations. J. Periodontol. 2018, 89 (Suppl. S1), S204–S213. [Google Scholar] [CrossRef] [PubMed]
- Yadav, V.S.; Gumber, B.; Makker, K.; Gupta, V.; Tewari, N.; Khanduja, P.; Yadav, R. Global Prevalence of Gingival Recession: A Systematic Review and Meta-Analysis. Oral Dis. 2023, 29, 2993–3002. [Google Scholar] [CrossRef] [PubMed]
- Kim, D.M.; Neiva, R. Periodontal Soft Tissue Non-Root Coverage Procedures: A Systematic Review from the AAP Regeneration Workshop. J. Periodontol. 2015, 86 (Suppl. S2), S56–S72. [Google Scholar] [CrossRef] [PubMed]
- Zucchelli, G. Mucogingival Esthetic Surgery; Quintessence Publishing: Milan, Italy, 2010. [Google Scholar]
- Löe, H.; Ånerud, Å.; Boysen, H. The Natural History of Periodontal Disease in Man: Prevalence, Severity, and Extent of Gingival Recession. J. Periodontol. 1992, 63, 489–495. [Google Scholar] [CrossRef]
- Bælum, V.; Fejerskov, O.; Karring, T. Oral Hygiene, Gingivitis and Periodontal Breakdown in Adult Tanzanians. J. Periodontal Res. 1986, 21, 221–232. [Google Scholar] [CrossRef]
- Sangnes, G.; Gjermo, P. Prevalence of Oral Soft and Hard Tissue Lesions Related to Mechanical Toothcleansing Procedures. Community Dent. Oral Epidemiol. 1976, 4, 77–83. [Google Scholar] [CrossRef]
- Loos, B.G.; Needleman, I. Endpoints of Active Periodontal Therapy. J. Clin. Periodontol. 2020, 47 (Suppl. S22), 61–71. [Google Scholar] [CrossRef]
- Löst, C. Depth of Alveolar Bone Dehiscences in Relation to Gingival Recessions. J. Clin. Periodontol. 1984, 11, 583–589. [Google Scholar] [CrossRef]
- Vehkalahti, M. Occurrence of Gingival Recession in Adults. J. Periodontol. 1989, 60, 599–603. [Google Scholar] [CrossRef]
- Boyd, R.L. Mucogingival Considerations and Their Relationship to Orthodontics. J. Periodontol. 1978, 49, 67–76. [Google Scholar] [CrossRef]
- Checchi, L.; Daprile, G.; Gatto, M.R.; Pelliccioni, G.A. Gingival Recession and Toothbrushing in an Italian School of Dentistry: A Pilot Study. J. Clin. Periodontol. 1999, 26, 276–280. [Google Scholar] [CrossRef]
- Kassab, M.M.; Cohen, R.E. The Etiology and Prevalence of Gingival Recession. J. Am. Dent. Assoc. 2003, 134, 220–225. [Google Scholar] [CrossRef]
- Lindhe, J.; Lang, N.P.; Karring, T. Clinical Periodontology and Implant Dentistry, 5th ed.; Blackwell-Munksgaard: Copenhagen, Denmark, 2008. [Google Scholar]
- Polish Dental Association. National Program for Antibiotic Protection. In Recommendations for the Use of Antibiotics in Dentistry; National Institute of Medicines: Warsaw, Poland, 2019; ISBN 978-83-949636-1-3. [Google Scholar]
- Delgado, V.; Ajmone Marsan, N.; de Waha, S.; Bonaros, N.; Brida, M.; Burri, H.; Caselli, S.; Doenst, T.; Ederhy, S.; Erba, P.A.; et al. 2023 ESC Guidelines for the management of endocarditis: Developed by the task force on the management of endocarditis of the European Society of Cardiology (ESC) Endorsed by the European Association for Cardio-Thoracic Surgery (EACTS) and the European Association of Nuclear Medicine (EANM). Eur. Heart J. 2023, 44, 3948–4042. [Google Scholar] [CrossRef]
- Wilson, W.R.; Gewitz, M.; Lockhart, P.B.; Bolger, A.F.; DeSimone, D.C.; Kazi, D.S.; Couper, D.J.; Beaton, A.; Kilmartin, C.; Miro, J.M.; et al. Prevention of Viridans Group Streptococcal Infective Endocarditis: A Scientific Statement from the American Heart Association. Circulation 2021, 143, e963–e978. [Google Scholar] [CrossRef] [PubMed]
- Burkhardt, R.; Lang, N.P. Fundamental Principles in Periodontal Plastic Surgery and Mucosal Augmentation—A Narrative Review. J. Clin. Periodontol. 2014, 41 (Suppl. S15), S98–S107. [Google Scholar] [CrossRef] [PubMed]
- Sartelli, M.; Boermeester, M.A.; Cainzos, M.; Coccolini, F.; de Jonge, S.W.; Rasa, K.; Dellinger, E.P.; McNamara, D.A.; Fry, D.E.; Cui, Y.; et al. Six Long-Standing Questions about Antibiotic Prophylaxis in Surgery. Antibiotics 2023, 12, 908. [Google Scholar] [CrossRef] [PubMed]
- Ling, M.L.; Apisarnthanarak, A.; Abbas, A.; Morikane, K.; Lee, K.Y.; Warrier, A.; Yamada, K. APSIC Guidelines for the Prevention of Surgical Site Infections. Antimicrob. Resist. Infect. Control 2019, 8, 174. [Google Scholar] [CrossRef]
- Mazzotti, C.; Mounssif, I.; Rendón, A.; Mele, M.; Sangiorgi, M.; Stefanini, M.; Zucchelli, G. Complications and Treatment Errors in Root Coverage Procedures. Periodontol. 2000 2023, 92, e12468. [Google Scholar] [CrossRef]
- Momtazmanesh, S.; Saeedi Moghaddam, S.; Malakan Rad, E.; Azadnajafabad, S.; Ebrahimi, N.; Mohammadi, E.; Rouhifard, M.; Rezaei, N.; Masinaei, M.; Rezaei, N.; et al. Global, Regional, and National Burden and Quality of Care Index of Endocarditis: The Global Burden of Disease Study 1990–2019. Eur. J. Prev. Cardiol. 2022, 29, 1287–1297. [Google Scholar] [CrossRef]
- Chen, H.; Zhan, Y.; Zhang, K.; Gao, Y.; Chen, L.; Zhan, J.; Chen, Z.; Zeng, Z. The Global, Regional, and National Burden and Trends of Infective Endocarditis from 1990 to 2019: Results from the Global Burden of Disease Study 2019. Front. Med. 2022, 9, 774224. [Google Scholar] [CrossRef]
- Thornhill, M.H.; Crum, A.; Campbell, R.; Stone, T.; Lee, E.C.; Bradburn, M.; Fibisan, V.; Dayer, M.; Prendergast, B.D.; Lockhart, P.; et al. Temporal Association between Invasive Procedures and Infective Endocarditis. Heart 2023, 109, 223–231. [Google Scholar] [CrossRef] [PubMed]
- Duval, X.; Millot, S.; Chirouze, C.; Selton-Suty, C.; Moby, V.; Tattevin, P.; Strady, C.; Euvrard, E.; Agrinier, N.; Thomas, D.; et al. Oral streptococcal endocarditis, oral hygiene habits, and recent dental procedures: A case-control study. Clin. Infect. Dis. 2017, 64, 1678–1685. [Google Scholar] [CrossRef] [PubMed]
- Lockhart, P.B.; Brennan, M.T.; Thornhill, M.; Michalowicz, B.S.; Noll, J.; Bahrani-Mougeot, F.K.; Sasser, H.C. Poor oral hygiene as a risk factor for infective endocarditis-related bacteremia. J. Am. Dent. Assoc. 2009, 140, 1238–1244. [Google Scholar] [CrossRef] [PubMed]
- Thornhill, M.H.; Gibson, T.B.; Yoon, F.; Dayer, M.J.; Prendergast, B.D.; Lockhart, P.B.; O’Gara, P.T.; Baddour, L.M. Antibiotic prophylaxis against infective endocarditis before invasive dental procedures. J. Am. Coll. Cardiol. 2022, 80, 1029–1041. [Google Scholar] [CrossRef]
- Cahill, T.J.; Harrison, J.L.; Jewell, P.; Onakpoya, I.; Chambers, J.B.; Dayer, M.; Lockhart, P.; Roberts, N.; Shanson, D.; Thornhill, M.; et al. Antibiotic prophylaxis for infective endocarditis: A systematic review and meta-analysis. Heart 2017, 103, 937–944. [Google Scholar] [CrossRef]
- Quan, T.P.; Muller-Pebody, B.; Fawcett, N.; Young, B.C.; Minaji, M.; Sandoe, J.; Hopkins, S.; Crook, D.; Peto, T.; Johnson, A.P.; et al. Investigation of the impact of the NICE guidelines regarding antibiotic prophylaxis during invasive dental procedures on the incidence of infective endocarditis in England: An electronic health records study. BMC Med. 2020, 18, 84. [Google Scholar] [CrossRef]
- Vähäsarja, N.; Lund, B.; Ternhag, A.; Götrick, B.; Olaison, L.; Hultin, M.; Krüger Weiner, C.; Naimi-Akbar, A. Incidence of infective endocarditis caused by viridans group streptococci in Sweden—Effect of cessation of antibiotic prophylaxis in dentistry for risk individuals. J. Oral Microbiol. 2020, 12, 1768342. [Google Scholar] [CrossRef]
- Williams, M.L.; Doyle, M.P.; McNamara, N.; Tardo, D.; Mathew, M.; Robinson, B. Epidemiology of infective endocarditis before versus after change of international guidelines: A systematic review. Ther. Adv. Cardiovasc. Dis. 2021, 15, 17539447211002687. [Google Scholar] [CrossRef]
- Tubiana, S.; Blotière, P.O.; Hoen, B.; Lesclous, P.; Millot, S.; Rudant, J.; Weill, A.; Coste, J.; Alla, F.; Duval, X. Dental procedures, antibiotic prophylaxis, and endocarditis among people with prosthetic heart valves: Nationwide population-based cohort and a case crossover study. BMJ 2017, 358, j3776. [Google Scholar] [CrossRef]
- Habib, G.; Lancellotti, P.; Antunes, M.J.; Bongiorni, M.G.; Casalta, J.-P.; Del Zotti, F.; Dulgheru, R.; El Khoury, G.; Erba, P.A.; Iung, B.; et al. 2015 ESC guidelines for the management of infective endocarditis: The Task Force for the Management of Infective Endocarditis of the European Society of Cardiology (ESC). Endorsed by: European Association for Cardio-Thoracic Surgery (EACTS), the European Association of Nuclear Medicine (EANM). Eur. Heart J. 2015, 36, 3075–3128. [Google Scholar] [CrossRef]
- Thornhill, M.H.; Dayer, M.J.; Nicholl, J.; Prendergast, B.D.; Lockhart, P.B.; Baddour, L.M. An alarming rise in incidence of infective endocarditis in England since 2009: Why? Lancet 2020, 395, 1325–1327. [Google Scholar] [CrossRef]
- Glauser, M.P.; Francioli, P. Relevance of animal models to the prophylaxis of infective endocarditis. J. Antimicrob. Chemother. 1987, 20 (Suppl. A), 87–98. [Google Scholar] [CrossRef][Green Version]
- Lafaurie, G.I.; Noriega, L.A.; Torres, C.C.; Castillo, Y.; Moscoso, S.B.; Mosquera, S.; Díaz-Báez, D.; Chambrone, L. Impact of antibiotic prophylaxis on the incidence, nature, magnitude, and duration of bacteremia associated with dental procedures: A systematic review. J. Am. Dent. Assoc. 2019, 150, 948–959.e4. [Google Scholar] [CrossRef]
- Overholser, C.D.; Moreillon, P.; Glauser, M.P. Experimental bacterial endocarditis after dental extractions in rats with periodontitis. J. Infect. Dis. 1987, 155, 107–112. [Google Scholar] [CrossRef] [PubMed]
- Veloso, T.R.; Amiguet, M.; Rousson, V.; Giddey, M.; Vouillamoz, J.; Moreillon, P.; Entenza, J.M. Induction of experimental endocarditis by continuous low-grade bacteremia mimicking spontaneous bacteremia in humans. Infect. Immun. 2011, 79, 2006–2011. [Google Scholar] [CrossRef] [PubMed]
- Wilson, W.; Taubert, K.A.; Gewitz, M.; Lockhart, P.B.; Baddour, L.M.; Levison, M.; Bolger, A.; Cabell, C.H.; Takahashi, M.; Baltimore, R.S.; et al. Prevention of infective endocarditis: Guidelines from the American Heart Association: A guideline from the American Heart Association Rheumatic Fever, Endocarditis, and Kawasaki Disease Committee, Council on Cardiovascular Disease in the Young, and the Council on Clinical Cardiology, Council on Cardiovascular Surgery and Anesthesia, and the Quality of Care and Outcomes Research Interdisciplinary Working Group. Circulation 2007, 116, 1736–1754. [Google Scholar] [CrossRef]
- Richey, R.; Wray, D.; Stokes, T. Guideline Development Group. Prophylaxis against infective endocarditis: Summary of NICE guidance. BMJ 2008, 336, 770–771. [Google Scholar] [CrossRef] [PubMed]
- Dayer, M.J.; Jones, S.; Prendergast, B.; Baddour, L.M.; Lockhart, P.B.; Thornhill, M.H. Incidence of infective endocarditis in England, 2000–2013: A secular trend, interrupted time-series analysis. Lancet 2015, 385, 1219–1228. [Google Scholar] [CrossRef]
- Tubiana, S.; Duval, X.; Alla, F.; Selton-Suty, C.; Tattevin, P.; Delahaye, F.; Piroth, L.; Chirouze, C.; Lavigne, J.P.; Erpelding, M.L.; et al. The VIRSTA score, a prediction score to estimate risk of infective endocarditis and determine priority for echocardiography in patients with Staphylococcus aureus bacteremia. J. Infect. 2016, 72, 544–553. [Google Scholar] [CrossRef]
- Zuhr, O.; Hürzeler, M.B. Plastic-Esthetic Periodontal and Implant Surgery; Quintessence Publishing: Hanover Park, IL, USA, 2012. [Google Scholar]
- Wikesjö, U.M.; Nilvéus, R.E.; Selvig, K.A. Significance of Early Healing Events on Periodontal Repair: A Review. J. Periodontol. 1992, 63, 158–165. [Google Scholar] [CrossRef]
- Edlich, R.F.; Rodeheaver, G.T.; Thacker, J.G.; Winn, H.R.; Edgerton, M.T. Management of Soft Tissue Injury. Clin. Plast. Surg. 1977, 4, 191–198. [Google Scholar] [CrossRef] [PubMed]
- Askar, H.; Di Gianfilippo, R.; Ravida, A.; Tattan, M.; Majzoub, J.; Wang, H.L. Incidence and Severity of Postoperative Complications Following Oral, Periodontal, and Implant Surgeries: A Retrospective Study. J. Periodontol. 2019, 90, 1270–1278. [Google Scholar] [CrossRef] [PubMed]
- Powell, C.A.; Mealey, B.L.; Deas, D.E.; McDonnell, H.T.; Moritz, A.J. Post-Surgical Infections: Prevalence Associated with Various Periodontal Surgical Procedures. J. Periodontol. 2005, 76, 329–333. [Google Scholar] [CrossRef] [PubMed]
- Chambrone, L.; Salinas Ortega, M.A.; Sukekava, F.; Rotundo, R.; Kalemaj, Z.; Buti, J.; Pini Prato, G.P. Root Coverage Procedures for Treating Localised and Multiple Recession-Type Defects. Cochrane Database Syst. Rev. 2018, 10, CD007161. [Google Scholar] [CrossRef]
- Harris, R.J.; Miller, R.; Miller, L.H.; Harris, C. Complications with Surgical Procedures Utilizing Connective Tissue Grafts: A Follow-up of 500 Consecutively Treated Cases. Int. J. Periodontics Restor. Dent. 2005, 25, 449–459. [Google Scholar]
- Aguirre-Zorzano, L.A.; Garcia-De La Fuente, A.M.; Estefania-Fresco, R.; Marichalar-Mendia, X. Complications of Harvesting a Connective Tissue Graft from the Palate. A Retrospective Study and Description of a New Technique. J. Clin. Exp. Dent. 2017, 9, e1439–e1445. [Google Scholar] [CrossRef]
- Dropulic, L.K.; Lederman, H.M. Overview of Infections in the Immunocompromised Host. Microbiol. Spectr. 2016, 4, 1–50. [Google Scholar] [CrossRef]
- Coccolini, F.; Improta, M.; Cicuttin, E.; Catena, F.; Sartelli, M.; Bova, R.; De’ Angelis, N.; Gitto, S.; Tartaglia, D.; Cremonini, C.; et al. Surgical Site Infection Prevention and Management in Immunocompromised Patients: A Systematic Review of the Literature. World J. Emerg. Surg. 2021, 16, 33. [Google Scholar] [CrossRef]
- Mealey, B.L.; Ocampo, G.L. Diabetes Mellitus and Periodontal Disease. Periodontol. 2000 2007, 44, 127–153. [Google Scholar] [CrossRef]
- Cheadle, W.G. Risk Factors for Surgical Site Infection. Surg. Infect. 2006, 7 (Suppl. S1), S7–S11. [Google Scholar] [CrossRef]
- Kanmaz, M.; Kanmaz, B.; Buduneli, N. Periodontal Treatment Outcomes in Smokers: A Narrative Review. Tob. Induc. Dis. 2021, 19, 77. [Google Scholar] [CrossRef]
- Tso, T.V.; Park, S.S.; Miller, J.A. A Targeted Approach to Dental Treatment for Patients Prior To and After Head and Neck Radiation. Spec. Care Dentist. 2025, 45, e70042. [Google Scholar] [CrossRef]
- Pack, P.D.; Haber, J. The Incidence of Clinical Infection after Periodontal Surgery. A Retrospective Study. J. Periodontol. 1983, 54, 441–443. [Google Scholar] [CrossRef] [PubMed]
- Surgical Site Infections: Prevention and Treatment; National Institute for Health and Care Excellence (NICE): London, UK, 2020. [PubMed]
- Brecx, M.; Theilade, J. Effect of chlorhexidine rinses on the morphology of early dental plaque formed on plastic film. J. Clin. Periodontol. 1984, 11, 553–564. [Google Scholar] [CrossRef]
- Brecx, M.; Brownstone, E.; MacDonald, L.; Gelskey, S.; Cheang, M. Efficacy of Listerine, Meridol and chlorhexidine mouth-rinses as supplements to regular tooth cleaning measures. J. Clin. Periodontol. 1992, 19, 202–207. [Google Scholar] [CrossRef] [PubMed]
- Brecx, M.; Netuschil, L.; Reichert, B.; Schreil, G. Efficacy of Listerine, Meridol and chlorhexidine mouthrinses on plaque, gingivitis and plaque bacteria vitality. J. Clin. Periodontol. 1990, 17, 292–297. [Google Scholar] [CrossRef] [PubMed]
- Sanz, M.; Newman, M.G.; Anderson, L.; Matoska, W.; Otomo-Corgel, J.; Saltini, C. Clinical enhancement of post-periodontal surgical therapy by a 0.12% chlorhexidine gluconate mouthrinse. J. Periodontol. 1989, 60, 570–576. [Google Scholar] [CrossRef]
- GBD 2021 Antimicrobial Resistance Collaborators. Global burden of bacterial antimicrobial resistance 1990–2021: A systematic analysis with forecasts to 2050. Lancet 2024, 404, 1199–1226. [Google Scholar] [CrossRef]
- Antimicrobial Resistance Collaborators. Global burden of bacterial antimicrobial resistance in 2019: A systematic analysis. Lancet 2022, 399, 629–655. [Google Scholar] [CrossRef]
- Oliveira, M.; Antunes, W.; Mota, S.; Madureira-Carvalho, Á.; Dinis-Oliveira, R.J.; Dias da Silva, D. An Overview of the Recent Advances in Antimicrobial Resistance. Microorganisms 2024, 12, 1920. [Google Scholar] [CrossRef]
- Yang, X.; Li, X.; Qiu, S.; Liu, C.; Chen, S.; Xia, H.; Zeng, Y.; Shi, L.; Chen, J.; Zheng, J.; et al. Global Antimicrobial Resistance and Antibiotic Use in COVID-19 Patients within Health Facilities: A Systematic Review and Meta-Analysis of Aggregated Participant Data. J. Infect. 2024, 89, 106183. [Google Scholar] [CrossRef]
- Ho, C.S.; Wong, C.T.H.; Aung, T.T.; Lakshminarayanan, R.; Mehta, J.S.; Rauz, S.; McNally, A.; Kintses, B.; Peacock, S.J.; de la Fuente-Nunez, C.; et al. Antimicrobial Resistance: A Concise Update. Lancet Microbe 2025, 6, 100947. [Google Scholar] [CrossRef] [PubMed]
- Singh Gill, A.; Morrissey, H.; Rahman, A. A Systematic Review and Meta-Analysis Evaluating Antibiotic Prophylaxis in Dental Implants and Extraction Procedures. Medicina 2018, 54, 95. [Google Scholar] [CrossRef] [PubMed]
- Arteagoitia, M.I.; Barbier, L.; Santamaría, J.; Santamaría, G.; Ramos, E. Efficacy of Amoxicillin and Amoxicillin/Clavulanic Acid in the Prevention of Infection and Dry Socket after Third Molar Extraction. A Systematic Review and Meta-Analysis. Med. Oral Patol. Oral Cir. Bucal 2016, 21, e494–e504. [Google Scholar] [CrossRef]





Disclaimer/Publisher’s Note: The statements, opinions and data contained in all publications are solely those of the individual author(s) and contributor(s) and not of MDPI and/or the editor(s). MDPI and/or the editor(s) disclaim responsibility for any injury to people or property resulting from any ideas, methods, instructions or products referred to in the content. |
© 2025 by the authors. Licensee MDPI, Basel, Switzerland. This article is an open access article distributed under the terms and conditions of the Creative Commons Attribution (CC BY) license (https://creativecommons.org/licenses/by/4.0/).
Share and Cite
Latkowska-Wiśniewska, M.; Jakubowska, S.; Górski, B. Antibiotics in Mucogingival Surgery for Recession Treatment: A Narrative Review. Antibiotics 2025, 14, 769. https://doi.org/10.3390/antibiotics14080769
Latkowska-Wiśniewska M, Jakubowska S, Górski B. Antibiotics in Mucogingival Surgery for Recession Treatment: A Narrative Review. Antibiotics. 2025; 14(8):769. https://doi.org/10.3390/antibiotics14080769
Chicago/Turabian StyleLatkowska-Wiśniewska, Magdalena, Sylwia Jakubowska, and Bartłomiej Górski. 2025. "Antibiotics in Mucogingival Surgery for Recession Treatment: A Narrative Review" Antibiotics 14, no. 8: 769. https://doi.org/10.3390/antibiotics14080769
APA StyleLatkowska-Wiśniewska, M., Jakubowska, S., & Górski, B. (2025). Antibiotics in Mucogingival Surgery for Recession Treatment: A Narrative Review. Antibiotics, 14(8), 769. https://doi.org/10.3390/antibiotics14080769

