Antibacterial and Antibiofilm Activity of Chemically and Biologically Synthesized Silver Nanoparticles
Abstract
1. Introduction
2. Results and Discussion
2.1. AgNPs Synthesis and Optimization
2.1.1. Synthesis
2.1.2. Optimization of the AgNPs Synthesis

2.2. Characterization
2.2.1. UV–Vis Spectrophotometry
2.2.2. Fourier-Transform Infrared Spectroscopy
2.2.3. Dynamic Light Scattering
2.2.4. X-ray Diffraction
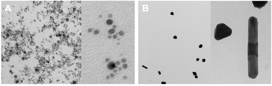
2.2.5. Transmission Electron Microscopy
2.3. Antibacterial Activity
2.3.1. Disk Diffusion Test
2.3.2. Minimum Inhibitory Concentration and Minimum Bactericidal Concentration
2.3.3. Biofilm Determination by the Congo Red Method
2.3.4. Antibiofilm Activity by Crystal Violet Method
2.3.5. Antibiofilm Activity in Lettuce Leaves
3. Materials and Methods
3.1. Synthesis and Optimization of AgNPs
3.1.1. Chemical and Biological Synthesis
3.1.2. Optimization of the Synthesis of AgNPs
3.2. Characterization of the AgNPs
3.2.1. Spectrophotometry UV–Vis
3.2.2. Fourier-Transform Infrared Spectroscopy
3.2.3. Dynamic Light Scattering
3.2.4. X-ray Diffraction (XRD) Analysis
3.2.5. Transmission Electron Microscopy
3.3. Antibacterial Activity of the AgNPs
3.3.1. Disk Diffusion Test
3.3.2. Determination of the Minimum Inhibitory Concentration (MIC) and Minimum Bactericidal Concentration (MBC)
3.3.3. Determination of Biofilm Formation by Congo Red
3.3.4. Microplate Antibiofilm Activity Method
3.3.5. Antibiofilm Activity on Fresh Lettuce
4. Conclusions
Author Contributions
Funding
Institutional Review Board Statement
Informed Consent Statement
Data Availability Statement
Conflicts of Interest
References
- Galie, S.; García-Gutiérrez, C.; Miguélez, E.M.; Villar, C.J.; Lombó, F. Biofilms in the food industry: Health aspects and control methods. Front. Microbiol. 2018, 9, 898. [Google Scholar] [CrossRef] [PubMed]
- Muhammad, M.H.; Idris, A.L.; Fan, X.; Guo, Y.; Yu, Y.; Jin, X.; Huang, T. Beyond risk: Bacterial biofilms and their regulating approaches. Front. Microbiol. 2020, 11, 928. [Google Scholar] [CrossRef] [PubMed]
- Das, P.; Ghosh, S.; Nayak, B. Phyto-fabricated nanoparticles and their anti-biofilm activity: Progress and current status. Front. Nanotechnol. 2021, 3, 76. [Google Scholar] [CrossRef]
- Chan, S.; Pullerits, K.; Keucken, A.; Persson, K.M.; Paul, C.J.; Rådström, P. Bacterial release from pipe biofilm in a full-scale drinking water distribution system. NPJ Biofilms Microbiomes 2019, 5, 9. [Google Scholar] [CrossRef] [PubMed]
- Dobretsov, S.; Abed, R.M.; Teplitski, M. Mini-review: Inhibition of biofouling by marine microorganisms. Biofouling 2013, 29, 423–441. [Google Scholar] [CrossRef]
- Percival, S.L.; Suleman, L.; Vuotto, C.; Donelli, G. Healthcare-associated infections, medical devices and biofilms: Risk, tolerance and control. J. Med. Microbiol. 2015, 64, 323–334. [Google Scholar] [CrossRef]
- Dunne, W.M. Bacterial adhesion: Seen any good biofilms lately? Clin. Microbiol. Rev. 2002, 15, 155–166. [Google Scholar] [CrossRef]
- Bogino, P.C.; Oliva, M.L.; Sorroche, F.G.; Giordano, W. The role of bacterial biofilms and surface components in plant-bacterial associations. Int. J. Mol. Sci. 2013, 14, 15838–15859. [Google Scholar] [CrossRef]
- Caruso, C.; Rizzo, C.; Mangano, S.; Poli, A.; Di Donato, P.; Finore, I.; Nicolaus, B.; Di Marco, G.; Michaud, L.; Lo Giudice, A. Production and biotechnological potential of extracellular polymeric substances from sponge-associated antarctic bacteria. Appl. Environ. Microbiol. 2018, 84, e01624-17. [Google Scholar] [CrossRef]
- Zameer, F.; Rukmangada, M.S.; Chauhan, J.B.; Khanum, S.A.; Kumar, P.; Devi, A.T.; Dhananjaya, B.L. Evaluation of adhesive and anti-adhesive properties of Pseudomonas aeruginosa biofilms and their inhibition by herbal plants. Iran J. Microbiol. 2016, 8, 108. [Google Scholar]
- Annous, B.A.; Smith, J.L.; Fratamico, P.M.; Solomon, E.B. Biofilms in fresh fruit and vegetables. In Biofilms in the Food and Beverage Industries; Woodhead Publishing: Sawston, UK, 2009; pp. 517–535. [Google Scholar]
- Srey, S.; Jahid, I.K.; Ha, S.D. Biofilm formation in food industries: A food safety concern. Food Control. 2013, 31, 572–585. [Google Scholar] [CrossRef]
- Ölmez, H.; Temur, S.D. Effects of different sanitizing treatments on biofilms and attachment of Escherichia coli and Listeria monocytogenes on green leaf lettuce. LWT-Food Sci. Technol. 2010, 43, 964–970. [Google Scholar] [CrossRef]
- Mohanta, Y.K.; Biswas, K.; Jena, S.K.; Hashem, A.; Abdallah, E.F.; Mohanta, T.K. Anti-biofilm and antibacterial activities of silver nanoparticles synthesized by the reducing activity of phytoconstituents present in the Indian medicinal plants. Front. Microbiol. 2020, 11, 1143. [Google Scholar] [CrossRef] [PubMed]
- Muthulakshmi, L.; Suganya, K.; Murugan, M.; Annaraj, J.; Duraipandiyan, V.; Al Farraj, D.A.; Arockiaraj, J. Antibiofilm efficacy of novel biogenic silver nanoparticles from Terminalia catappa against food-borne Listeria monocytogenes ATCC 15313 and mechanisms investigation in-vivo and in-vitro. J. King Saud. Univ. Sci. 2022, 34, 102083. [Google Scholar] [CrossRef]
- Hosnedlova, B.; Kabanov, D.; Kepinska, M.B.; Narayanan, V.H.; Parikesit, A.A.; Fernandez, C.; Kizek, R. Effect of Biosynthesized Silver Nanoparticles on Bacterial Biofilm Changes in S. aureus and E. coli. J. Nanomater. 2022, 12, 2183. [Google Scholar] [CrossRef]
- Simon, S.; Sibuyi, N.R.S.; Fadaka, A.O.; Meyer, S.; Josephs, J.; Onani, M.O.; Meyer, M.; Madiehe, A.M. Biomedical Applications of Plant Extract-Synthesized Silver Nanoparticles. Biomedicines 2022, 10, 2792. [Google Scholar] [CrossRef]
- Fouda, A.; Awad, M.A.; AL-Faifi, Z.E.; Gad, M.E.; Al-Khalaf, A.A.; Yahya, R.; Hamza, M.F. Aspergillus flavus-Mediated Green Synthesis of Silver Nanoparticles and Evaluation of Their Antibacterial, Anti-Candida, Acaricides, and Photocatalytic Activities. Catalysts 2022, 12, 462. [Google Scholar] [CrossRef]
- 20Awad, M.A.; Eid, A.M.; Elsheikh, T.M.Y.; Al-Faifi, Z.E.; Saad, N.; Sultan, M.H.; Selim, S.; Al-Khalaf, A.A.; Fouda, A. Mycosynthesis, Characterization, and Mosquitocidal Activity of Silver Nanoparticles Fabricated by Aspergillus niger Strain. J. Fungi 2022, 8, 396. [Google Scholar]
- Iravani, S.; Korbekandi, H.; Mirmohammadi, S.V.; Zolfaghari, B. Synthesis of silver nanoparticles: Chemical, physical and biological methods. Res. Pharm. Sci. 2014, 9, 385. [Google Scholar]
- Ajaykumar, A.P.; Mathew, A.; Chandni, A.P.; Varma, S.R.; Jayaraj, K.N.; Sabira, O.; Rasheed, V.A.; Binitha, V.S.; Swaminathan, T.R.; Basheer, V.S.; et al. Green Synthesis of Silver Nanoparticles Using the Leaf Extract of the Medicinal Plant, Uvaria narum and Its Antibacterial, Antiangiogenic, Anticancer and Catalytic Properties. Antibiotics 2023, 12, 564. [Google Scholar] [CrossRef]
- Naghmachi, M.; Raissi, A.; Baziyar, P.; Homayoonfar, F.; Amirmahani, F.; Danaei, M. Green synthesis of silver nanoparticles (AgNPs) by Pistacia terebinthus extract: Comprehensive evaluation of antimicrobial, antioxidant, and anticancer effects. Biochem. Biophys. Res. Commun. 2022, 608, 163–169. [Google Scholar] [CrossRef] [PubMed]
- Habeeb Rahuman, H.B.; Dhandapani, R.; Narayanan, S.; Palanivel, V.; Paramasivam, R.; Subbarayalu, R.; Thangavelu, S.; Muthupandian, S. Medicinal plants mediated the green synthesis of silver nanoparticles and their biomedical applications. IET Nanobiotechnol. 2022, 16, 115–144. [Google Scholar] [CrossRef]
- Gudikandula, K.; Charya Maringanti, S. Synthesis of silver nanoparticles by chemical and biological methods and their antimicrobial properties. J. Exp. Nanosci. 2016, 11, 714–721. [Google Scholar] [CrossRef]
- Aguirre-Becerra, H.; Pineda-Nieto, S.A.; García-Trejo, J.F.; Guevara-González, R.G.; Feregrino-Pérez, A.A.; Álvarez-Mayorga, B.L.; Rivera Pastrana, D.M. Jacaranda flower (Jacaranda mimosifolia) as an alternative for antioxidant and antimicrobial use. Heliyon 2020, 6, 05802. [Google Scholar] [CrossRef]
- Padilla-Camberos, E.; Sanchez-Hernandez, I.M.; Torres-Gonzalez, O.R.; Ramirez-Rodriguez, P.; Diaz, E.; Wille, H.; Flores-Fernandez, J.M. Biosynthesis of silver nanoparticles using Stenocereus queretaroensis fruit peel extract: Study of antimicrobial activity. J. Mater. 2021, 14, 4543. [Google Scholar] [CrossRef] [PubMed]
- Ranoszek-Soliwoda, K.; Tomaszewska, E.; Socha, E.; Krzyczmonik, P.; Ignaczak, A.; Orlowski, P.; Grobelny, J. The role of tannic acid and sodium citrate in the synthesis of silver nanoparticles. J. Nanopart. Res. 2017, 19, 1–15. [Google Scholar] [CrossRef] [PubMed]
- Yerragopu, P.S.; Hiregoudar, S.; Nidoni, U.; Ramappa, K.T.; Sreenivas, A.G.; Doddagoudar, S.R. Chemical synthesis of silver nanoparticles using tri-sodium citrate, stability study and their characterization. Int. Res. J. Pure Appl. Chem. 2020, 21, 37–50. [Google Scholar] [CrossRef]
- Dong, X.; Ji, X.; Jing, J.; Li, M.; Li, J.; Yang, W. Synthesis of triangular silver nanoprisms by stepwise reduction of sodium borohydride and trisodium citrate. J. Phys. Chem. C 2010, 114, 2070–2074. [Google Scholar] [CrossRef]
- Infrared Spectroscopy for Everyone. Available online: https://ciatej.mx/files/divulgacion/divulgacion_5a43b7c09fdc1.pdf (accessed on 25 November 2022).
- NIST Silver Nitrate. Available online: https://webbook.nist.gov/cgi/cbook.cgi?ID=B6000530&Mask=80 (accessed on 25 November 2022).
- Ang, J.J.; Wong, T.W.; Karim, Z.A. Synthesis and characterization of two-stage curing reactive bio-based polymers. MJFAS 2018, 14, 403–407. [Google Scholar] [CrossRef]
- Noah, N. Green synthesis: Characterization and application of silver and gold nanoparticles. In Green Synthesis, Characterization and Applications of Nanoparticles; Shukla, A.K., Iravani, S., Eds.; Elsevier: Amsterdam, The Netherlands, 2019; pp. 111–135. [Google Scholar]
- Lancheros, R.J.; Beleño, J.A.; Guerrero, C.A.; Godoy-Silva, R.D. Production of PLGA nanoparticles by the emulsion and evaporation method to encapsulate N-Acetylcysteine (NAC). Univ. Sci. 2014, 19, 162–168. [Google Scholar]
- Pereira, T.M.; Polez, V.L.P.; Sousa, M.H.; Silva, L.P. Modulating physical, chemical, and biological properties of silver nanoparticles obtained by green synthesis using different parts of the tree Handroanthus heptaphyllus (Vell.) Mattos. Colloids Interface Sci. Commun. 2020, 34, 100224. [Google Scholar] [CrossRef]
- Hasnain, M.S.; Javed, M.N.; Alam, M.S.; Rishishwar, P.; Rishishwar, S.; Ali, S.; Beg, S. Purple heart plant leaves extract-mediated silver nanoparticle synthesis: Optimization by Box-Behnken design. Mater. Sci. Eng. C 2019, 99, 1105–1114. [Google Scholar] [CrossRef] [PubMed]
- Vinothini, K.; Rajan, M. Mechanism for the Nano-Based Drug Delivery System. In Characterization and Biology of Nanomaterials for Drug Delivery; Mohapatra, S.S., Ranjan, S., Dasgupta, N., Mishra, R.K., Thomas, S., Eds.; Elsevier: Amsterdam, The Netherlands, 2019; pp. 219–263. [Google Scholar]
- Malvern. Zeta Potential in Salt Solution (or Any Other Ions)—Materials Talks. Available online: https://www.materials-talks.com/zeta-potential-in-salt-solution-or-any-other-ions/ (accessed on 25 November 2022).
- Chaitanyakumar, A.; Yadav, K.K.; Gomez, L.A.; Somu, P.; Senthoor, S.; Choudhury, P.J.; Jena, S.; Karua, C.S.; Prasad, R.; Prasad, S.; et al. Biogenically engineered silver nanoparticles using bael leaf extract and evaluation of its therapeutic potential. Mater. Technol. 2022, 37, 1617–1628. [Google Scholar] [CrossRef]
- Ferreyra Maillard, A.P.V.; Espeche, J.C.; Maturana, P.; Cutro, A.C.; Hollmann, A. Zeta potential beyond materials science: Applications to bacterial systems and to the development of novel antimicrobials. Biochim. Biophys. Acta Biomembr. 2021, 1863, 183597. [Google Scholar] [CrossRef]
- Mani, M.; Chang, J.H.; Dhanesh Gandhi, A.; Kayal Vizhi, D.; Pavithra, S.; Mohanraj, K.; Mohanbabu, B.; Babu, B.; Balachandran, S.; Kumaresan, S. Environmental and biomedical applications of AgNPs synthesized using the aqueous extract of Solanum surattense leaf. Inorg. Chem. Commun. 2020, 121, 108228. [Google Scholar] [CrossRef]
- Seil, J.T.; Webster, T.J. Antimicrobial applications of nanotechnology: Methods and literature. Int. J. Nanomed. 2012, 7, 2767–2781. [Google Scholar]
- Ali, I.A.M.; Ahmed, A.B.; Al-Ahmed, H.I. Green synthesis and characterization of silver nanoparticles for reducing the damage to sperm parameters in diabetic compared to metformin. Sci. Rep. 2023, 13, 2256. [Google Scholar] [CrossRef]
- de Menezes, B.R.C.; Ribas, R.G.; Schatkoski, V.M.; do Amaral Montanheiro, T.L.; Koga-Ito, C.Y.; Thim, G.P. Synthesis of β-AgVO3 nanowires by hydrothermal and precipitation routes: A comparative study. SN Appl. Sci. 2019, 1, 1327. [Google Scholar] [CrossRef]
- Martins, C.S.M.; Sousa, H.B.A.; Prior, J.A.V. From Impure to Purified Silver Nanoparticles: Advances and Timeline in Separation Methods. J. Nanomater. 2021, 11, 3407. [Google Scholar] [CrossRef]
- Kakkar, R.; Sherly, E.D.; Madgula, K.; Devi, D.K.; Sreedhar, B. Synergetic effect of sodium citrate and starch in the synthesis of silver nanoparticles. J. Appl. Polym. Sci. 2012, 126 (Suppl. S1), E154–E161. [Google Scholar] [CrossRef]
- CLSI. M100-S25 Performance Standards for Antimicrobial Susceptibility Testing; Twenty-Fifth Informational Supplement. Available online: https://file.qums.ac.ir/repository/mmrc/CLSI2015.pdf (accessed on 22 May 2023).
- Barabadi, H.; Mojab, F.; Vahidi, H.; Marashi, B.; Talank, N.; Hosseini, O.; Saravanan, M. Green synthesis, characterization, antibacterial and biofilm inhibitory activity of silver nanoparticles compared to commercial silver nanoparticles. Inorg. Chem. Commun. 2021, 129, 108647. [Google Scholar] [CrossRef]
- John, M.S.; Nagoth, J.A.; Ramasamy, K.P.; Mancini, A.; Giuli, G.; Natalello, A.; Ballarini, P.; Miceli, C.; Pucciarelli, S. Synthesis of Bioactive Silver Nanoparticles by a Pseudomonas Strain Associated with the Antarctic Psychrophilic Protozoon Euplotes focardii. Mar. Drugs. 2020, 18, 38. [Google Scholar] [CrossRef] [PubMed]
- Mohan, S.; Oluwafemi, O.S.; George, S.C.; Jayachandran, V.P.; Lewu, F.B.; Songca, S.P.; Thomas, S. Completely green synthesis of dextrose reduced silver nanoparticles, its antimicrobial and sensing properties. Carbohydr. Polym. 2014, 106, 469–474. [Google Scholar] [CrossRef] [PubMed]
- Liao, S.; Zhang, Y.; Pan, X.; Zhu, F.; Jiang, C.; Liu, Q.; Chen, L. Antibacterial activity and mechanism of silver nanoparticles against multidrug-resistant Pseudomonas aeruginosa. Int. J. Nanomed. 2019, 14, 1469. [Google Scholar] [CrossRef] [PubMed]
- Gurunathan, S.; Han, J.W.; Kwon, D.N.; Kim, J.H. Enhanced antibacterial and anti-biofilm activities of silver nanoparticles against Gram-negative and Gram-positive bacteria. Nanoscale Res. Lett. 2014, 9, 373. [Google Scholar] [CrossRef] [PubMed]
- Loo, Y.Y.; Rukayadi, Y.; Nor-Khaizura, M.A.R.; Kuan, C.H.; Chieng, B.W.; Nishibuchi, M.; Radu, S. In vitro antimicrobial activity of green synthesized silver nanoparticles against selected Gram-negative foodborne pathogens. Front. Microbiol. 2018, 9, 1555. [Google Scholar] [CrossRef]
- Thuc, D.T.; Huy, T.Q.; Hoang, L.H.; Tien, B.C.; Van-Chung, P.; Thuy, N.T.; Le, A.T. Green synthesis of colloidal silver nanoparticles through electrochemical method and their antibacterial activity. Mater. Lett. 2016, 181, 173–177. [Google Scholar] [CrossRef]
- Arsène, M.M.; Podoprigora, I.V.; Davares, A.K.; Razan, M.; Das, M.S.; Senyagin, A.N. Antibacterial activity of grapefruit peel extracts and green-synthesized silver nanoparticles. Vet. World 2021, 14, 1330. [Google Scholar] [CrossRef]
- Kalishwaralal, K.; Barath-Mani-Kanth, S.; Pandian, S.R.K.; Deepak, V.; Gurunathan, S. Silver nanoparticles prevent biofilm formation by Pseudomonas aeruginosa and Staphylococcus epidermidis. Colloids Surf. B 2010, 79, 340–344. [Google Scholar] [CrossRef]
- Kaiser, T.D.L.; Pereira, E.M.; Dos Santos, K.R.N.; Maciel, E.L.N.; Schuenck, R.P.; Nunes, A.P.F. Modification of the Congo red agar method to detect biofilm production by Staphylococcus epidermidis. Diagn. Microbiol. Infect. Dis. 2013, 75, 235–239. [Google Scholar] [CrossRef]
- Leshem, T.; Schnall, B.S.; Azrad, M.; Baum, M.; Rokney, A.; Peretz, A. Incidence of biofilm formation among MRSA and MSSA clinical isolates from hospitalized patients in Israel. J. Appl. Microbiol. 2022, 133, 922–929. [Google Scholar] [CrossRef] [PubMed]
- Ghotaslou, R.; Bahari, Z.; Aliloo, A.; Gholizadeh, P.; Eshlaghi, B.S. The in vitro effects of silver nanoparticles on bacterial biofilms. J. Microbiol. Biotechnol. Food Sci. 2021, 2021, 1077–1080. [Google Scholar] [CrossRef]
- Ansari, M.A.; Khan, H.M.; Khan, A.A.; Cameotra, S.S.; Alzohairy, M.A. Anti-biofilm efficacy of silver nanoparticles against MRSA and MRSE isolated from wounds in a tertiary care hospital. Indian J. Med. Microbiol. 2015, 33, 101–109. [Google Scholar] [CrossRef] [PubMed]
- Qais, F.A.; Shafiq, A.; Ahmad, I.; Husain, F.M.; Khan, R.A.; Hassan, I. Green synthesis of silver nanoparticles using Carum copticum: Assessment of its quorum sensing and biofilm inhibitory potential against Gram negative bacterial pathogens. Microb. Pathog. 2020, 144, 104172. [Google Scholar] [CrossRef] [PubMed]
- Lewis-Oscar, F.; Nithya, C.; Vismaya, S.; Arunkumar, M.; Pugazhendhi, A.; Nguyen-Tri, P.; Thajuddin, N. In vitro analysis of green fabricated silver nanoparticles (AgNPs) against Pseudomonas aeruginosa PA14 biofilm formation, their application on urinary catheter. Prog. Org. Coat. 2021, 151, 106058. [Google Scholar] [CrossRef]
- Mariadoss, A.V.A.; Ramachandran, V.; Shalini, V.; Agilan, B.; Franklin, J.H.; Sanjay, K.; Ernest, D. Green synthesis, characterization and antibacterial activity of silver nanoparticles by Malus domestica and its cytotoxic effect on (MCF-7) cell line. Microb. Pathog. 2019, 135, 103609. [Google Scholar] [CrossRef]
- Singh, P.; Pandit, S.; Garnaes, J.; Tunjic, S.; Mokkapati, V.R.S.S.; Sultan, A.; Mijakovic, I. Green synthesis of gold and silver nanoparticles from Cannabis sativa (industrial hemp) and their capacity for biofilm inhibition. Int. J. Nanomed. 2018, 13, 3571–3591. [Google Scholar] [CrossRef]
- Bharathi, D.; Vasantharaj, S.; Bhuvaneshwari, V. Green synthesis of silver nanoparticles using Cordia dichotoma fruit extract and its enhanced antibacterial, anti-biofilm and photo catalytic activity. Mater. Res. Express 2018, 5, 055404. [Google Scholar] [CrossRef]
- Hussain, M.S.; Kwon, M.; Park, E.J.; Seheli, K.; Huque, R.; Oh, D.H. Disinfection of Bacillus cereus biofilms on leafy green vegetables with slightly acidic electrolyzed water, ultrasound and mild heat. LWT 2019, 116, 108582. [Google Scholar] [CrossRef]
- Srey, S.; Park, S.Y.; Jahid, I.K.; Ha, S.D. Reduction effect of the selected chemical and physical treatments to reduce L. monocytogenes biofilms formed on lettuce and cabbage. Food Res. Int. 2014, 62, 484–491. [Google Scholar] [CrossRef]
- Šileikaitė, A.; Puišo, J.; Prosyčevas, I.; Tamulevičius, S. Investigation of silver nanoparticles formation kinetics during reduction of silver nitrate with sodium citrate. J. Mater. Sci. 2009, 15, 21–27. [Google Scholar]
- Periaswamy-Sivagnanam, S.; Tilahun Getachew, A.; Choi, J.H.; Park, Y.B.; Woo, H.C.; Chun, B.S. Green synthesis of silver nanoparticles from deoiled brown algal extract via Box-Behnken based design and their antimicrobial and sensing properties. Green Process. Synth. 2017, 6, 147–160. [Google Scholar] [CrossRef]
- Veisi, H.; Hemmati, S.; Shirvani, H.; Veisi, H. Green synthesis and characterization of monodispersed silver nanoparticles obtained using oak fruit bark extract and their antibacterial activity. Appl. Organomet. Chem. 2016, 30, 387–391. [Google Scholar] [CrossRef]
- Rahim-Khalid, A.; Abdel, A.; Ahmed-Mohamed, A.M. Bactericidal and antibiotic synergistic effect of nanosilver against methicillin-resistant Staphylococcus aureus. Jundishapur J. Microbiol. 2015, 8, 11. [Google Scholar]
- Turhan, E.U.; Polat, S.; Erginkaya, Z.; Konuray, G. Investigation of synergistic antibacterial effect of organic acids and ultrasound against pathogen biofilms on lettuce. Food Biosci. 2022, 47, 101643. [Google Scholar] [CrossRef]
- Klug, T.V.; Novello, J.; Laranja, D.C.; Aguirre, T.A.; de-Oliveira-Rios, A.; Tondo, E.C.; Bender, R.J. Effect of tannin extracts on biofilms and attachment of Escherichia coli on lettuce leaves. Food Bioproc. 2017, 10, 275–283. [Google Scholar] [CrossRef]











| Biological Synthesis | ||||
|---|---|---|---|---|
| Combination | pH | Concentration | Temperature | Absorbance 420 nm |
| Extract | AgNO3 (mM) | °C | ||
| 1 | 6 | 1 | 75 | 0.772 |
| 2 | 9 | 5.5 | 75 | 1.106 |
| 3 | 9 | 1 | 60 | 0.816 |
| 4 | 9 | 5.5 | 75 | 1.127 |
| 5 | 12 | 5.5 | 60 | 2.045 |
| 6 | 9 | 1 | 90 | 1.064 |
| 7 | 9 | 10 | 90 | 1.568 |
| 8 | 9 | 10 | 60 | 1.051 |
| 9 | 9 | 5.5 | 75 | 1.106 |
| 10 | 12 | 1 | 75 | 2.111 |
| 11 | 6 | 10 | 75 | 1.054 |
| 12 | 6 | 5.5 | 90 | 1.288 |
| 13 | 12 | 10 | 75 | 2.863 |
| 14 | 12 | 5.5 | 90 | 3.249 |
| 15 | 6 | 5.5 | 60 | 0.719 |
| Chemical Synthesis | ||||
| Combination | Concentration | Time Reaction | Temperature | Absorbance 420 nm |
| AgNO3 (mM) | Min | °C | ||
| 1 | 3 | 75 | 90 | 1.243 |
| 2 | 1 | 120 | 90 | 0.673 |
| 3 | 3 | 75 | 90 | 1.252 |
| 4 | 3 | 75 | 90 | 1.344 |
| 5 | 1 | 30 | 90 | 3.413 |
| 6 | 3 | 30 | 80 | 2.555 |
| 7 | 1 | 75 | 100 | 3.303 |
| 8 | 3 | 30 | 100 | 2466 |
| 9 | 3 | 120 | 80 | 0.654 |
| 10 | 5 | 120 | 90 | 3.693 |
| 11 | 5 | 75 | 80 | 3.864 |
| 12 | 3 | 120 | 100 | 1.756 |
| 13 | 5 | 75 | 100 | 2.507 |
| 14 | 1 | 75 | 80 | 1.982 |
| 15 | 5 | 30 | 90 | 2.826 |
| Bacteria | Control+ | Control− | JAgNPs | QAgNPs | ||
|---|---|---|---|---|---|---|
| 342 | 171 | 235 | 117.5 | |||
| S. aureus | 8.35 ± 0.07 A | 0.05 ± 0.007 B | 2.1 ± 0.1 C | 1.5 ± 1.32 C | 0.2 ± 0.1 C | 0.2 ± 0.1 C |
| P. aeruginosa | 5.2 ± 0.14 a | 0.05 ± 0.0007 c | 1.6 ± 0.51 c | 1.13 ± 0.32 c | 0.2 ± 0.1 c | 0.2 ± 0.1 c |
| Bacteria | JAgNPs | QAgNPs | ||
|---|---|---|---|---|
| MIC | MBC | MIC | MBC | |
| S. aureus | 5.3 | 10.7 | 117.5 | 235 |
| P. aeruginosa | 5.3 | 10.7 | 117.5 | 235 |
Disclaimer/Publisher’s Note: The statements, opinions and data contained in all publications are solely those of the individual author(s) and contributor(s) and not of MDPI and/or the editor(s). MDPI and/or the editor(s) disclaim responsibility for any injury to people or property resulting from any ideas, methods, instructions or products referred to in the content. |
© 2023 by the authors. Licensee MDPI, Basel, Switzerland. This article is an open access article distributed under the terms and conditions of the Creative Commons Attribution (CC BY) license (https://creativecommons.org/licenses/by/4.0/).
Share and Cite
Verduzco-Chavira, K.; Vallejo-Cardona, A.A.; González-Garibay, A.S.; Torres-González, O.R.; Sánchez-Hernández, I.M.; Flores-Fernández, J.M.; Padilla-Camberos, E. Antibacterial and Antibiofilm Activity of Chemically and Biologically Synthesized Silver Nanoparticles. Antibiotics 2023, 12, 1084. https://doi.org/10.3390/antibiotics12071084
Verduzco-Chavira K, Vallejo-Cardona AA, González-Garibay AS, Torres-González OR, Sánchez-Hernández IM, Flores-Fernández JM, Padilla-Camberos E. Antibacterial and Antibiofilm Activity of Chemically and Biologically Synthesized Silver Nanoparticles. Antibiotics. 2023; 12(7):1084. https://doi.org/10.3390/antibiotics12071084
Chicago/Turabian StyleVerduzco-Chavira, Karen, Alba Adriana Vallejo-Cardona, Angélica Sofía González-Garibay, Omar Ricardo Torres-González, Iván Moisés Sánchez-Hernández, Jose Miguel Flores-Fernández, and Eduardo Padilla-Camberos. 2023. "Antibacterial and Antibiofilm Activity of Chemically and Biologically Synthesized Silver Nanoparticles" Antibiotics 12, no. 7: 1084. https://doi.org/10.3390/antibiotics12071084
APA StyleVerduzco-Chavira, K., Vallejo-Cardona, A. A., González-Garibay, A. S., Torres-González, O. R., Sánchez-Hernández, I. M., Flores-Fernández, J. M., & Padilla-Camberos, E. (2023). Antibacterial and Antibiofilm Activity of Chemically and Biologically Synthesized Silver Nanoparticles. Antibiotics, 12(7), 1084. https://doi.org/10.3390/antibiotics12071084

