Acute Cholecystitis from Biliary Lithiasis: Diagnosis, Management and Treatment
Abstract
1. Introduction
2. Pathophysiology
3. Symptoms
Complications
- o
- Mirizzi’s syndrome [40]: rarely, a stone impinges on the cystic duct and compresses and obstructs the common bile duct, causing cholestasis.
- o
- o
- Cholecystoenteric fistula: rarely, a large stone erodes the wall of the gallbladder, leading to the creation of a fistula with a loop of the small intestine (or elsewhere in the abdominal cavity); the stone may progress freely or obstruct the small intestine leading to a biliary ileus condition.
4. Disease Course and Tokyo Guidelines
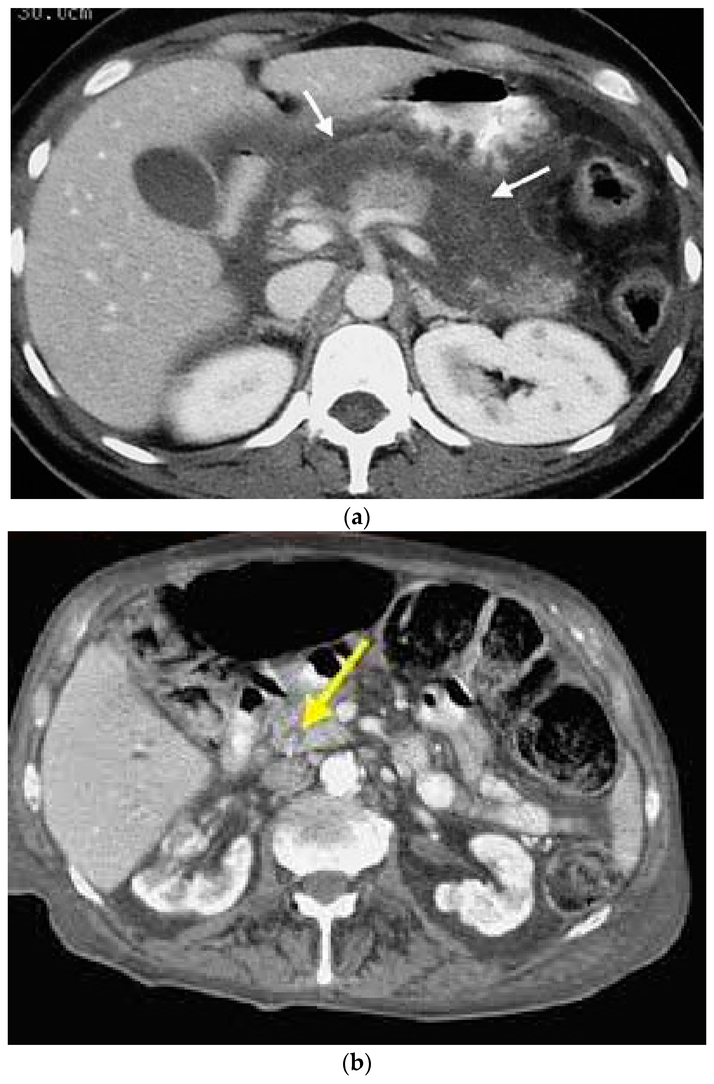
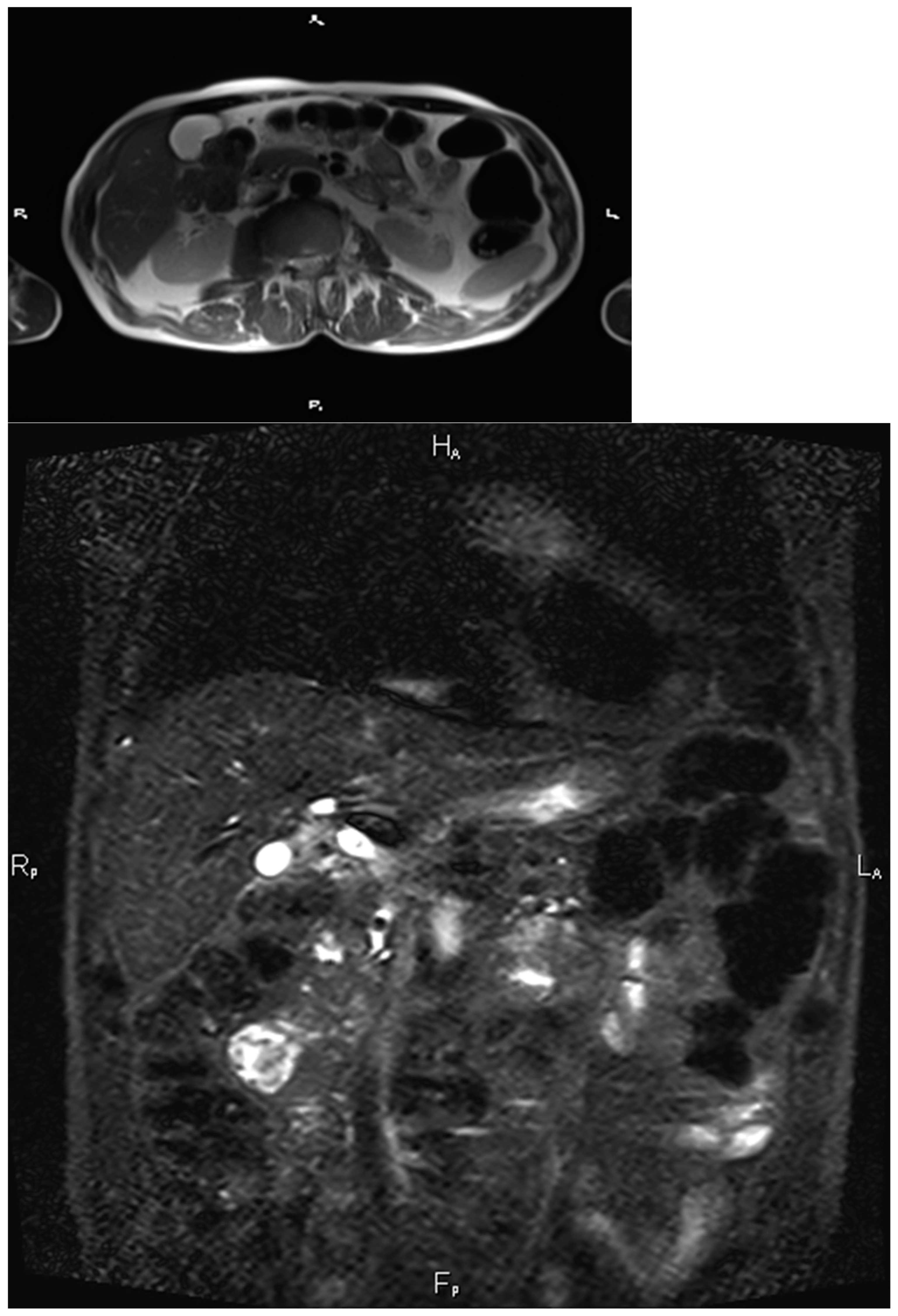
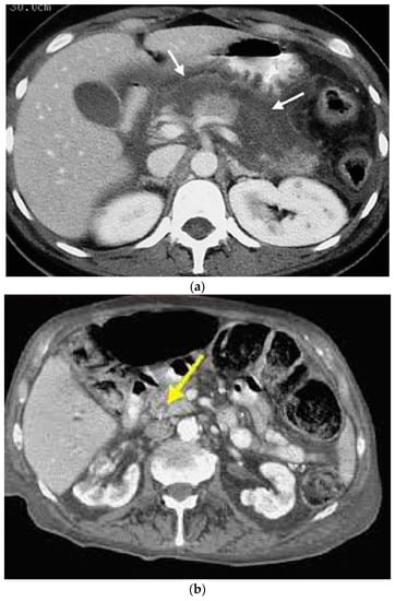
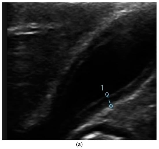
5. Diagnosis
6. Antibiotic Treatment
| Class I/Clean | An uninfected operative wound where there is no inflammation; the respiratory, alimentary, genital, or uninfected urinary tract is not entered. In addition, clean wounds are primarily closed and, if necessary, drained with closed drainage. Operative incisional wounds that follow no penetrating (blunt) trauma should be included in this class, whether it meets the criteria or not. |
| Class II/Clean-Contaminated | An operative wound in which the respiratory, alimentary, genital, or urinary systems are under controlled conditions and without unusual contamination. Specifically, in this category, biliary tract, vagina, appendix, and oropharynx surgery can be included, provided no evidence of infection or major break in a sterile technique is encountered. |
| Class III/Contaminated | This is the class that considers wounds contaminated. Fresh, open wounds, which may result from an insult to sterile techniques or leakage from the gastrointestinal tract into the wound, belong to this class. In addition, incisions that result in acute purulent inflammation or without pus are to be considered Class 3 wounds. |
| Class IV/Dirty-Infected | Wounds considered absolutely infected. These are typically traumatic wounds that have been treated incorrectly and in an inappropriate manner. They are characterized by devitalized tissue and are most commonly caused by microorganisms present in perforated viscera or in the surgical field. |
Choosing the Right Antibiotic
7. Surgical Treatment
8. Conclusions
Author Contributions
Funding
Institutional Review Board Statement
Informed Consent Statement
Data Availability Statement
Conflicts of Interest
Abbreviations
| AC | Acute cholecystitis |
| AP | Acute pancreatitis |
| ACC | Acute cholecystitis |
| CBD | Common bile duct |
| CBDS | Common bile duct stones |
| CCY | Cholecystectomy |
| CCK | Cholecystokinin |
| CDL | Choledocholithiasis |
| ERCP | Endoscopic retrograde cholangiopancreatography |
| EUS | Endoscopic ultrasound |
| LC | Laparoscopic cholecystectomy |
| LERV | Laparo-endoscopic rendezvous |
| LFT | Liver function test |
| MRI | Magnetic resonance imaging |
| US | Ultrasound |
References
- Collins, C.; Maguire, D.; Ireland, A.; Fitzgerald, E.; O’Sullivan, G.C. A prospective study of common bile duct calculi in patients undergoing laparoscopic cholecystectomy. Ann. Surg. 2004, 239, 28–33. [Google Scholar] [CrossRef]
- Wang, L.; Mirzaie, S.; Dunnsiri, T.; Chen, F.; Wilhalme, H.; MacQueen, I.T.; Cryer, H.; Eastoak-Siletz, A.; Guan, M.; Cuff, C.; et al. Systematic review and meta-analysis of the 2010 ASGE non-invasive predictors of choledocholithiasis and comparison to the 2019 ASGE predictors. Clin. J. Gastroenterol. 2022, 15, 286–300. [Google Scholar] [CrossRef]
- Peery, A.F.; Crockett, S.D.; Murphy, C.C.; Lund, J.L.; Dellon, E.S.; Williams, J.L.; Jensen, E.T.; Shaheen, N.J.; Barritt, A.S.; Lieber, S.R.; et al. Burden and Cost of Gastrointestinal, Liver, and Pancreatic Diseases in the United States: Update 2018. Gastroenterology 2019, 156, 254–272.e11. [Google Scholar] [CrossRef]
- Frossard, J.L.; Hadengue, A.; Amouyal, G.; Choury, A.; Marty, O.; Giostra, E.; Sivignon, F.; Sosa, L.; Amouyal, P. Choledocholithiasis: A prospective study of spontaneous common bile duct stone migration. Gastrointest. Endosc. 2000, 51, 175–179. [Google Scholar] [CrossRef]
- Johnson, A.G.; Hosking, S.W. Appraisal of the management of bile duct stones. Br. J. Surg. 1987, 74, 555–560. [Google Scholar] [CrossRef]
- Everhart, J.E.; Khare, M.; Hill, M.; Maurer, K.R. Prevalence and ethnic differences in gallbladder disease in the United States. Gastroenterology 1999, 117, 632–639. [Google Scholar]
- Gracie, W.A.; Ransohoff, D.F. The natural history of silent gallstones: The innocent gallstone is not a myth. N. Engl. J. Med. 1982, 307, 798–800. [Google Scholar] [CrossRef]
- Baloyiannis, I.; Tzovaras, G. Current status of laparoendoscopic ren- dezvous in the treatment of cholelithiasis with concomitant chole- docholithiasis. World J. Gastrointest. Endosc. 2015, 7, 714–719. [Google Scholar] [CrossRef]
- Tarantino, G.; Magistri, P.; Ballarin, R.; Assirati, G.; Di Cataldo, A.; Di Benedetto, F. Surgery in biliary lithi-asis: From the traditional “open” approach to laparoscopy and the “rendezvous” technique. Hepatobiliary Pancreat. Dis. Int. 2017, 16, 595–601. [Google Scholar] [CrossRef]
- Santambrogio, R.; Bianchi, P.; Opocher, E.; Verga, M.; Montorsi, M. Prevalence and lapa-roscopic ultrasound patterns of choledocholithiasis and biliary sludge during cholecystectomy. Surg. Laparosc. Endosc. Percutan. Tech. 1999, 9, 129–134. [Google Scholar] [CrossRef]
- Bansal, V.K.; Misra, M.C.; Rajan, K.; Kilambi, R.; Kumar, S.; Krishna, A.; Kumar, A.; Pandav, C.S.; Subramaniam, R.; Arora, M.K.; et al. Single-stage laparoscopic common bile duct exploration and cholecystectomy versus two-stage endoscopic stone extraction followed by laparoscopic chol-ecystectomy for patients with concomitant gallbladder stones and common bile duct stones: A randomized controlled trial. Surg. Endosc. 2014, 28, 875–885. [Google Scholar]
- Lam, R.; Zakko, A.; Petrov, J.C.; Kumar, P.; Duffy, A.J.; Muniraj, T. Gallbladder Disorders: A Comprehensive Review. Dis. Mon. 2021, 67, 101130. [Google Scholar] [CrossRef]
- Japan-Gallstone-Study-Group. National survey for gallstone in Japan. J. Jpn Biliary Assoc. 1998, 12, 276–293. [Google Scholar]
- Williams, E.J.; Green, J.; Beckingham, I.; Parks, R.; Martin, D.; Lombard, M. Guidelines on the management of common bile duct stones (CBDS). Gut 2008, 57, 1004–1021. [Google Scholar] [CrossRef]
- Van Dijk, A.H.; de Reuver, P.R.; Besselink, M.G.; van Laarhoven, K.J.; Harrison, E.M.; Wigmore, S.J.; Hugh, T.J.; Boermeester, M.A. Assessment of available evidence in the management of gallbladder and bile duct stones: A systematic review of international guidelines. HPB 2017, 19, 297–309. [Google Scholar] [CrossRef]
- Jinfeng, Z.; Yin, Y.; Chi, Z.; Junye, G. Management of impacted common bile duct stones during a laparoscopic procedure: A retrospective cohort study of 377 consecutive patients. Int. J. Surg. 2016, 32, 1–5. [Google Scholar] [CrossRef]
- Bjorvatn, B. Cholecystitis-etiology treatment-microbiological aspects. Scand J. Gastroenterol. Suppl. 1984, 90, 65–70. [Google Scholar]
- Watson, J.F. The role of bacterial infection in acute cholecystitis: A prospective clinical study. Mil. Med. 1969, 134, 416–426. [Google Scholar] [CrossRef]
- Claesson, B.; Holmlund, D.; Matzsh, T. Biliary microflora in acute cholecystitis and the clinical implications. Acta Chir. Scand. 1989, 150, 229–237. [Google Scholar]
- Csendes, A.; Burdiles, P.; Maluenda, F.; Diaz, J.C.; Csendes, P.; Mitru, N. Simultaneous bacteriologic assessment of bile from gallbladder and common bile duct in control subjects and patients with gallstones and common duct stones. Arch. Surg. 1996, 131, 389–394. [Google Scholar] [CrossRef]
- Chang, W.T.; Lee, K.T.; Wang, S.R.; Chuang, S.C.; Kuo, K.K.; Chen, J.S.; Sheen, P.C. Bacteriology and antimicro-bial susceptibility in biliary tract disease: An audit of 10-year’s experience. Kaohsiung J. Med. Sci. 2002, 18, 221–228. [Google Scholar]
- Maluenda, F.; Csendes, A.; Burdiles, P.; Diaz, J. Bacteriological study of choledochal bile in patients with common bile duct stones, with or without acute suppurative cholangitis. Hepato-Gastroenterology 1989, 36, 132–135. [Google Scholar]
- Kanafani, Z.A.; Khalife, N.; Kanj, S.S.; Araj, G.F.; Khalifeh, M.; Sharara, A.I. Antibiotic use in acute cholecystitis: Practice patterns in the absence of evidence-based guidelines. J. Infect. 2005, 5, 128–134. [Google Scholar] [CrossRef]
- Truedson, H.; Elmros, T.; Holm, S. The incidence of bacteria in gallbladder bile at acute and elective cholecystectomy. Acta Chir. Scand. 1983, 149, 307–313. [Google Scholar]
- Thompson, E., Jr.; Bennion, R.S.; Doty, J.E.; Muller, E.L.; Pitt, H.A. Predictive factors for bactibilia in acute cholecystitis. Arch. Surg. 1990, 125, 261–264. [Google Scholar] [CrossRef]
- Jarvinen, H.J. Biliary bacterema at various stages of acute cholecystitis. Acta Chir. Scand. 1980, 146, 427–430. [Google Scholar]
- Acosta, J.M.; Ledesma, C.L. Gallstone migration as a cause of acute pancreatitis. N. Engl. J. Med. 1974, 290, 484–487. [Google Scholar] [CrossRef]
- European Association for the Study of the Liver. EASL Clinical Practice Guidelines on the prevention, diagnosis and treatment of gallstones. J. Hepatol. 2016, 65, 146–181. [Google Scholar] [CrossRef]
- Tazuma, S. Gallstone disease: Epidemiology, pathogenesis, and classification of biliary stones (common bile duct and intrahepatic). Best Pract. Res. Clin. Gastroenterol. 2006, 20, 1075–1083. [Google Scholar] [CrossRef]
- Lammert, F.; Gurusamy, K.; Ko, C.W.; Miquel, J.F.; Méndez-Sánchez, N.; Portincasa, P.; van Erpecum, K.J.; van Laarhoven, C.J.; Wang, D.Q. Gallstones. Nat. Rev. Dis. Primers 2016, 2, 16024. [Google Scholar] [CrossRef]
- Halpin, V. Acute cholecystitis. BMJ Clin. Evid. 2014, 2014, 0411. [Google Scholar]
- Menezes, N.; Marson, L.P.; de Beaux, A.C.; Muir, I.M.; Auld, C.D. Prospective analy- sis of a scoring system to predict choledocholithiasis. Br. J. Surg. 2000, 87, 1176–1181. [Google Scholar] [CrossRef]
- Davidson, B.R.; Neoptolemos, J.P.; Carr-Locke, D.L. Endoscopic sphincterotomy for common bile duct calculi in patients with gall bladder in situ considered unfit for surgery. Gut 1988, 29, 114–120. [Google Scholar] [CrossRef]
- Fiore, N.; Ledniczky, G.; Wiebke, E.; Broadie, T.A.; Pruitt, A.L.; Goulet, R.J.; Grosfeld, J.L.; Canal, D.F. An analysis of periopera- tive cholangiography in one thousand laparoscopic cholecystectomies. Surgery 1997, 122, 817–823. [Google Scholar] [CrossRef]
- Yadav, D.; Agarwal, N.; Pitchumoni, C.S. A critical evaluation of laboratory tests in acute pancreatitis. Am. J. Gastroenterol. 2002, 97, 1309–1318. [Google Scholar] [CrossRef]
- Lee, S.O.; Yim, S.K. Management of Acute Cholecystitis. Korean J. Gastroenterol. 2018, 71, 264–268. [Google Scholar] [CrossRef]
- Alemi, F.; Seiser, N.; Ayloo, S. Gallstone Disease: Cholecystitis, Mirizzi Syndrome, Bouveret Syndrome, Gallstone Ileus. Surg. Clin. N. Am. 2019, 99, 231–244. [Google Scholar] [CrossRef]
- Chen, H.; Siwo, E.A.; Khu, M.; Tian, Y. Current trends in the management of Mirizzi Syndrome: A review of literature. Medicine 2018, 97, e9691. [Google Scholar] [CrossRef]
- Bougard, M.; Barbier, L.; Godart, B.; Le Bayon-Bréard, A.G.; Marques, F.; Salamé, E. Management of biliary acute pancreatitis. J. Visc. Surg. 2019, 156, 113–125. [Google Scholar] [CrossRef]
- Jarrar, M.S.; Chouchène, I.; Fadhl, H.; Ghrissi, R.; Elghali, A.; Ferhi, F.; Mraidha, H.; Hamila, F.; Letaief, R. Early versus delayed laparoscopic cholecystectomy for lithiasic acute cholecystitis during emergency admissions. Results of a monocentric experience and review of the literature. Tunis Med. 2016, 94, 519–524. [Google Scholar]
- Tokunaga, Y.; Nakayama, N.; Ishikawa, Y.; Ishikawa, Y.; Nishitai, R.; Irie, A.; Kaganoi, J.; Ohsumi, K.; Higo, T. Surgical risks of acute cholecystitis in elderly. Hepato-Gastroenterology 1997, 44, 671–676. [Google Scholar]
- Bickel, A.; Rappaport, A.; Kanievski, V.; Vaksman, I.; Haj, M.; Geron, N.; Eitan, A. Laparoscopic management of acute cholecystitis. Prognostic factors for success. Surg. Endosc. 1996, 10, 1045–1049. [Google Scholar] [CrossRef]
- Mayumi, T.; Takada, T.; Kawarada, Y.; Nimura, Y.; Yoshida, M.; Sekimoto, M.; Miura, F.; Wada, K.; Hirota, M.; Yamashita, Y.; et al. Results of the Tokyo consensus meeting Tokyo guidelines. J. Hepatobiliary Pancreat. Surg. 2007, 14, 114–121. [Google Scholar] [CrossRef] [PubMed]
- Yokoe, M.; Takada, T.; Strasberg, S.M.; Solomkin, J.S.; Mayumi, T.; Gomi, H.; Pitt, H.A.; Gouma, D.J.; Garden, O.J.; Büchler, M.W.; et al. New diagnostic criteria and severity assessment of acute cholecystitis in revised Tokyo guidelines. J. Hepatobiliary Pancreat. Sci. 2012, 19, 578–585. [Google Scholar] [CrossRef]
- González-Muñoz, J.I.; Franch-Arcas, G.; Angoso-Clavijo, M.; Sánchez-Hernández, M.; García-Plaza, A.; Caraballo-Angeli, M.; Muñoz-Bellvís, L. Risk-adjusted treatment selection and outcome of patients with acute cholecystitis. Langenbeck’s Arch. Surg. 2017, 402, 607–614. [Google Scholar] [CrossRef]
- Paul Wright, G.; Stilwell, K.; Johnson, J.; Hefty, M.T.; Chung, M.H. Predicting length of stay and conversion to open cholecystectomy for acute cholecystitis using the 2013 Tokyo Guidelines in a US population. J. Hepatobiliary Pancreat. Sci. 2015, 22, 795–801. [Google Scholar] [CrossRef] [PubMed]
- Ambe, P.C.; Christ, H.; Wassenberg, D. Does the Tokyo guidelines predict the extent of gallbladder inflammation in patients with acute cholecystitis? A single center retrospective analysis. BMC Gastroenterol. 2015, 15, 42. [Google Scholar] [CrossRef] [PubMed]
- Renzulli, M.; Caretti, D.; Pettinari, I.; Biselli, M.; Brocchi, S.; Sergenti, A.; Brandi, N.; Golfieri, R. Optimization of pineapple juice amount used as a negative oral contrast agent in magnetic resonance cholangiopancreatography. Sci. Rep. 2022, 12, 531. [Google Scholar] [CrossRef] [PubMed]
- Lin, Y.N.; Wu, Y.T.; Fu, C.Y.; Liao, C.H.; Cheng, C.T.; Wang, S.Y.; Lin, B.C.; Hsu, Y.P.; Kang, S.C.; Liu, E.H.; et al. Evaluating the advantages of treating acute cholecystitis by following the Tokyo Guidelines 2018 (TG18): A study emphasizing clinical outcomes and medical expenditures. Surg. Endosc. 2021, 35, 6623–6632. [Google Scholar] [CrossRef]
- Kirkendoll, S.D.; Kelly, E.; Kramer, K.; Alouidor, R.; Winston, E.; Putnam, T.; Ryb, G.; Jabbour, N.; Perez Coulter, A.; Kamine, T. Optimal Timing of Cholecystectomy for Acute Cholecystitis: A Retrospective Cohort Study. Cureus 2022, 14, e28548. [Google Scholar] [CrossRef]
- ASGE Standards of Practice Committee; Buxbaum, J.L.; Fehmi, S.M.A.; Sultan, S.; Fishman, D.S.; Qumseya, B.J.; Cortessis, V.K.; Schilperoort, H.; Kysh, L.; Matsuoka, L.; et al. ASGE guideline on the role of endoscopy in the evaluation and management of choledocholithiasis. Gastrointest. Endosc. 2019, 89, 1075–1105.e15. [Google Scholar] [CrossRef] [PubMed]
- Kamalapurkar, D.; Pang, T.C.; Siriwardhane, M.; Hollands, M.; Johnston, E.; Pleass, H.; Richardson, A.; Lam, V.W. Index cholecystectomy in grade II and III acute calculous cholecystitis is feasible and safe. ANZ J. Surg. 2015, 85, 854–859. [Google Scholar] [CrossRef]
- Amirthalingam, V.; Low, J.K.; Woon, W.; Shelat, V. Tokyo Guidelines 2013 may be too restrictive and patients with moderate and severe acute cholecystitis can be managed by early cholecystectomy too. Surg. Endosc. 2017, 31, 2892–2900. [Google Scholar] [CrossRef]
- Endo, I.; Takada, T.; Hwang, T.L.; Akazawa, K.; Mori, R.; Miura, F.; Yokoe, M.; Itoi, T.; Gomi, H.; Chen, M.F.; et al. Optimal treatment strategy for acute cholecystitis based on predictive factors: Japan-Taiwan multicenter cohort study. J. Hepatobiliary Pancreat. Sci. 2017, 24, 346–361. [Google Scholar] [CrossRef] [PubMed]
- Jang, J.W.; Lee, S.S.; Song, T.J.; Hyun, Y.S.; Park, D.H.; Seo, D.W.; Lee, S.K.; Kim, M.H.; Yun, S.C. Endoscopic ultrasound-guided transmural and percutaneous transhepatic gallbladder drainage are comparable for acute cholecystitis. Gastroenterology 2012, 142, 805–811. [Google Scholar] [CrossRef] [PubMed]
- Tanaka, K.; Katanuma, A.; Hayashi, T.; Kin, T.; Takahashi, K. Role of endoscopic ultrasound for gallbladder disease. J. Med. Ultrasonics 2021, 48, 187–198. [Google Scholar] [CrossRef]
- Yoshida, M.; Takada, T.; Kawarada, Y.; Tanaka, A.; Nimura, Y.; Gomi, H.; Hirota, M.; Miura, F.; Wada, K.; Mayumi, T.; et al. Antimicrobial therapy for acute cholecystitis: Tokyo guidelines. J. Hepatobiliary Pancreat. Surg. 2007, 14, 83–90, Erratum in: J. Hepatobiliary Pancreat. Sci. 2017, 24, 492–493. Erratum in: J. Hepatobiliary Pancreat. Sci. 2018, 25, 283–284. [Google Scholar] [CrossRef] [PubMed]
- Mori, Y.; Itoi, T.; Baron, T.H.; Takada, T.; Strasberg, S.M.; Pitt, H.A.; Ukai, T.; Shikata, S.; Noguchi, Y.; Teoh, A.Y.B.; et al. Tokyo Guidelines 2018: Management strategies for gallbladder drainage in patients with acute cholecystitis (with videos). J. Hepatobiliary Pancreat. Sci. 2018, 25, 87–95. [Google Scholar] [CrossRef] [PubMed]
- Lykkegaard Nielsen, M.; Moesgaard, F.; Justesen, T.; Scheibel, J.H.; Lindenberg, S. Wound sepsis after elective cholecystectomy. Restriction of prophylactic antibiotics to risk groups. Scand. J. Gastroenterol. 1981, 16, 937–940. [Google Scholar] [CrossRef]
- Grande, M.; Torquati, A.; Farinon, A.M. Wound infection after cholecystectomy. Correlation between bacteria in bile and wound infection after operation on the gallbladder for acute and chronic gallstone disease. Eur. J. Surg. 1992, 158, 109–112. [Google Scholar]
- Pitt, H.; Postier, R.; Cameron, J. Consequences of preoperative cholangitis and its treatment on the outcome of operation for choledocholithiasis. Surgery 1983, 94, 447–452. [Google Scholar] [PubMed]
- Walczak-Galezewska, M.K.; Skrypnik, D.; Szulinska, M.; Skrypnik, K.; Bogdanski, P. Conservative management of acute calculous cholecystitis complicated by pancreatitis in an elderly woman: A case report. Medicine (Baltimore) 2018, 97, e11200. [Google Scholar] [CrossRef] [PubMed]
- van Dijk, A.H.; de Reuver, P.R.; Tasma, T.N.; van Dieren, S.; Hugh, T.J.; Boermeester, M.A. Systematic review of antibiotic treatment for acute calculous cholecystitis. Br. J. Surg. 2016, 103, 797–811. [Google Scholar] [CrossRef]
- Shinya, S.; Yamashita, Y.; Takada, T. The impact of the Japanese clinical guidelines on the clinical management of patients with acute cholecystitis. J. Hepatobiliary Pancreat. Sci. 2013, 20, 611–619. [Google Scholar] [CrossRef]
- Mazeh, H.; Mizrahi, I.; Dior, U.; Simanovsky, N.; Shapiro, M.; Freund, H.R.; Eid, A. Role of antibiotic therapy in mild acute calculus cholecystitis: A prospective randomized controlled trial. World J. Surg. 2012, 36, 1750–1759. [Google Scholar] [CrossRef] [PubMed]
- Yokoe, M.; Hata, J.; Takada, T.; Strasberg, S.M.; Asbun, H.J.; Wakabayashi, G.; Kozaka, K.; Endo, I.; Deziel, D.J.; Miura, F.; et al. Tokyo Guidelines 2018: Diagnostic criteria and severity grading of acute cholecystitis (with videos). J. Hepatobiliary Pancreat. Sci. 2018, 25, 41–54. [Google Scholar] [CrossRef] [PubMed]
- Dupont, H. Contrôle de la source et antibiothérapie des infections graves. In Annales Francaises D’anesthesie et de Reanimation; Elsevier Masson: Issy Les Moulineaux, France, 2005; Volume 26, pp. 263–269. [Google Scholar]
- Onyekwelu, I.; Yakkanti, R.; Protzer, L.; Pinkston, C.M.; Tucker, C.; Seligson, D. Surgical Wound Classification and Surgical Site Infections in the Orthopaedic Patient. J. Am. Acad. Orthop. Surg. Glob. Res. Rev. 2017, 1, e022. [Google Scholar] [CrossRef]
- van Braak, W.G.; Ponten, J.E.; Loozen, C.S.; Schots, J.P.; van Geloven, A.A.; Donkervoort, S.C.; Nieuwenhuijzen, G.A.; Besselink, M.G.; van Heek, T.N.; de Reuver, P.R.; et al. Antibiotic prophylaxis for acute cholecystectomy: PEANUTS II multicentre randomized non-inferiority clinical trial. Br. J. Surg. 2022, 109, 267–273. [Google Scholar] [CrossRef]
- Loozen, C.S.; van Santvoort, H.C.; van Geloven, A.A.W.; Nieuwenhuijzen, G.A.P.; de Reuver, P.R.; Besselink, M.H.G.; Vlaminckx, B.; Kelder, J.C.; Knibbe, C.A.J.; Boerma, D. Perioperative antibiotic prophylaxis in the treatment of acute cholecystitis (PEANUTS II trial): Study protocol for a randomized controlled trial. Trials 2017, 18, 390. [Google Scholar] [CrossRef]
- Kapoor, V.K.; Sikora, S.S.; Bal, S. Current practice in biliary surgery: The Indian scenario. Indian J. Gastroenterol. 1994, 13, 49–51. [Google Scholar]
- Prevot, F.; Fuks, D.; Cosse, C.; Pautrat, K.; Msika, S.; Mathonnet, M.; Khalil, H.; Mauvais, F.; FRENCH Cholecystitis Working Group; Regimbeau, J.M. The Value of Abdominal Drainage After Laparoscopic Cholecystectomy for Mild or Moderate Acute Calculous Cholecystitis: A Post Hoc Analysis of a Randomized Clinical Trial. World J. Surg. 2016, 40, 2726–2734. [Google Scholar] [CrossRef]
- Garnacho-Montero, J.; Sa-Borges, M.; Sole-Violan, J.; Barcenilla, F.; Escoresca-Ortega, A.; Ochoa, M.; Cayuela, A.; Rello, J. Optimal management therapy for Pseudomonas aeruginosa ventilator-associated pneumonia: An observational, multicenter study comparing monotherapy with combination antibiotic therapy. Crit. Care Med. 2007, 35, 1888–1895. [Google Scholar] [CrossRef] [PubMed]
- Kollef, M.H.; Sherman, G.; Ward, S.; Fraser, V.J. Inadequate antimicrobial treatment of infections: A risk factor for hospital mortality among critically ill patients. Chest 1999, 115, 462–474. [Google Scholar] [CrossRef] [PubMed]
- Gouin, P.; Veber, B. Gestion raisonnée des antibiotiques en réanimation. In 51ème Congrès National D’anesthésie et de Reanimation; 2009; Available online: https://sofia.medicalistes.fr/spip/IMG/pdf/gestion_raisonnee_des_antibiotiques_en_reanimation.pdf (accessed on 31 January 2023).
- Ansaloni, L.; Pisano, M.; Coccolini, F.; Peitzmann, A.B.; Fingerhut, A.; Catena, F.; Agresta, F.; Allegri, A.; Bailey, I.; Balogh, Z.J.; et al. 2016 WSES guidelines on acute calculous cholecystitis. World J. Emerg. Surg. 2016, 11, 25. [Google Scholar] [CrossRef] [PubMed]
- Havig, O.; Hertzberg, J. Effect of ampicillin, chloramphenicol and pencillin-streptomycin in acute cholecystitis. Scand. J. Gastroenterol. 1973, 8, 55–58. [Google Scholar] [CrossRef] [PubMed]
- Kune, G.A.; Burdon, J.G. Are antibiotics necessary in acute cholecystitis? Med. J. Aust. 1975, 2, 627–630. [Google Scholar] [CrossRef]
- Sartelli, M.; Viale, P.; Koike, K.; Pea, F.; Tumietto, F.; van Goor, H.; Guercioni, G.; Nespoli, A.; Tranà, C.; Catena, F.; et al. WSES consensus conference: Guidelines for first-line management of intra-abdominal infections. World J. Emerg. Surg. 2011, 6, 2. [Google Scholar] [CrossRef]
- Groezinger, K.H. Prophylactic use of mezlocillin in acute cholecystitis. Chemotherapy 1987, 6 (Suppl. 2), 590. [Google Scholar]
- Solomkin, J.S.; Mazuski, J.E.; Baron, E.J.; Sawyer, R.G.; Nathens, A.B.; DiPiro, J.T.; Buchman, T.; Dellinger, E.P.; Jernigan, J.; Gorbach, S.; et al. Infectious Diseases Society of America. Guidelines for the selection of anti-infective agents for complicated intra-abdominal infections. Clin. Infect. Dis. 2003, 37, 997–1005. [Google Scholar] [CrossRef]
- Solomkin, J.S.; Mazuski, J.E.; Bradley, J.S.; Rodvold, K.A.; Goldstein, E.J.; Baron, E.J.; O’Neill, P.J.; Chow, A.W.; Dellinger, E.P.; Eachempati, S.R.; et al. Diagnosis and management of complicated intra-abdominal infection in adults and children: Guidelines by the Surgical Infection Society and the Infectious Diseases Society of America. Surg. Infect. 2010, 11, 79–109. [Google Scholar] [CrossRef]
- Lau, W.Y.; Yuen, W.K.; Chu, K.W.; Chong, K.K.; Li, A.K. Systemic antibiotic regimens for acute cholecystitis treated by early cholecystectomy. Aust. N. Z. J. Surg. 1990, 60, 539–543. [Google Scholar] [CrossRef] [PubMed]
- Agence nationale d’accréditation et d’évaluation en santé (Anaes). Stratégie d’antibiothérapie et prévention des résistances bactériennes en établissement de santé. Ann. Fr. Anesth Reanim 2008, 27, 772–788. [Google Scholar] [CrossRef] [PubMed]
- Vaccari, S.; Minghetti, M.; Lauro, A.; Bellini, M.I.; Ussia, A.; Khouzam, S.; Marino, I.R.; Cervellera, M.; D’Andrea, V.; Tonini, V. Destiny for Rendezvous: Is Cholecysto/Choledocholithiasis Better Treated with Dual- or Single-Step Procedures? Dig. Dis. Sci. 2022, 67, 1116–1127. [Google Scholar] [CrossRef] [PubMed]
- Loozen, C.S.; van Santvoort, H.C.; van Duijvendijk, P.; Besselink, M.G.; Gouma, D.J.; Nieuwenhuijzen, G.A.; Kelder, J.C.; Donkervoort, S.C.; van Geloven, A.A.; Kruyt, P.M.; et al. Laparoscopic cholecystectomy versus percutaneous catheter drainage for acute cholecystitis in high risk patients (CHOCOLATE): Multicentre randomised clinical trial. BMJ 2018, 363, k3965. [Google Scholar] [CrossRef] [PubMed]
- Sanjay, P.; Mittapalli, D.; Marioud, A.; White, R.D.; Ram, R.; Alijani, A. Clinical outcomes of a percutaneous cholecystostomy for acute cholecystitis: A multicentre analysis. HPB 2013, 15, 511–516. [Google Scholar] [CrossRef]
- Thomson, D.R.; Baldwin, M.J.; Bellini, M.I.; Silva, M.A. Improving the quality of operative notes for laparoscopic cholecystectomy: Assessing the impact of a standardized operation note proforma. Int. J. Surg. 2016, 27, 17–20. [Google Scholar] [CrossRef] [PubMed]
- Palma, G.D.D. Minimally invasive treatment of cholecysto-choledo- cal lithiasis: The point of view of the surgical endoscopist. World J. Gastrointest. Surg. 2013, 5, 161–166. [Google Scholar] [CrossRef]
- Nassar, A.H.M.; Hodson, J.; Ng, H.J.; Vohra, R.S.; Katbeh, T.; Zino, S.; Griffiths, E.A.; CholeS Study Group; West Midlands Research Collaborative. Predicting the difficult laparoscopic cholecystectomy: Development and validation of a pre-operative risk score using an objective operative difficulty grading system. Surg. Endosc. 2020, 34, 4549–4561. [Google Scholar] [CrossRef]
- Griffiths, E.A.; Hodson, J.; Vohra, R.S.; Marriott, P.; Katbeh, T.; Zino, S.; Nassar, A.H.M.; CholeS Study Group; West Midlands Research Collaborative. Correction to: Utilisation of an operative difficulty grading scale for laparoscopic cholecystectomy. Surg. Endosc. 2019, 33, 122–125, Erratum for: Surg. Endosc. 2019, 33, 110–121. [Google Scholar] [CrossRef]
- Bharamgoudar, R.; Sonsale, A.; Hodson, J.; Griffiths, E.; CholeS Study Group; West Midlands Research Collaborative. The development and validation of a scoring tool to predict the operative duration of elective laparoscopic cholecystectomy. Surg. Endosc. 2018, 32, 3149–3157. [Google Scholar] [CrossRef]
- Sutcliffe, R.P.; Hollyman, M.; Hodson, J.; Bonney, G.; Vohra, R.S.; Griffiths, E.A.; CholeS Study Group; West Midlands Research Collaborative. Preoperative risk factors for conversion from laparoscopic to open cholecystectomy: A validated risk score derived from a prospective U.K. database of 8820 patients. HPB 2016, 18, 922–928. [Google Scholar] [CrossRef]
- El-Sharkawy, A.M.; Tewari, N.; Vohra, R.S.; CholeS Study Group; West Midlands Research Collaborative. The Cholecystectomy As A Day Case (CAAD) Score: A Validated Score of Preoperative Predictors of Successful Day-Case Cholecystectomy Using the CholeS Data Set. World J. Surg. 2019, 43, 1928–1934, Erratum in: World J. Surg. 2023. [Google Scholar] [CrossRef]
- CholeS Study Group, West Midlands Research Collaborative. Population-based cohort study of variation in the use of emergency cholecystectomy for benign gallbladder diseases. Br. J. Surg. 2016, 103, 1716–1726. [Google Scholar] [CrossRef] [PubMed]
- CholeS Study Group, West Midlands Research Collaborative. Population-based cohort study of outcomes following cholecystectomy for benign gallbladder diseases. Br. J. Surg. 2016, 103, 1704–1715, Erratum in: Br. J. Surg. 2018, 105, 1222. [Google Scholar] [CrossRef] [PubMed]
- Sutton, A.J.; Vohra, R.S.; Hollyman, M.; Marriott, P.J.; Buja, A.; Alderson, D.; Pasquali, S.; Griffiths, E.A.; CholeS Study Group; The West Midlands Research Collaborative. Cost-effectiveness of emergency versus delayed laparoscopic cholecystectomy for acute gallbladder pathology. Br. J. Surg. 2017, 104, 98–107. [Google Scholar] [CrossRef] [PubMed]




| Grade | Description |
|---|---|
| Mild | Patient with acute cholecystitis with no organ dysfunction and mild gallbladder inflammation. |
| Moderate | The presence of one or more factors among: Increased white blood cells (>18.000 cells/mm3); Palpable mass in the right upper quadrant of the abdomen (between hypochondrium and flank); Pain duration > 72 h; Signs of local inflammation, i.e., pericholecystic abscess, hepatic abscess, biliary peritonitis, gangrenous cholecystitis, emphysematous cholecystitis. |
| Severe | The presence of one or more factors among: Neurological disorders; Cardiovascular disorders (hypotension requiring treatment with dopamine 5 μg/kg per minute or any dosing of dobutamine). |
| Immediate Indications for Antibiotic Therapy for Acute Cholecystitis |
|---|
|
|
|
|
|
|
Disclaimer/Publisher’s Note: The statements, opinions and data contained in all publications are solely those of the individual author(s) and contributor(s) and not of MDPI and/or the editor(s). MDPI and/or the editor(s) disclaim responsibility for any injury to people or property resulting from any ideas, methods, instructions or products referred to in the content. |
© 2023 by the authors. Licensee MDPI, Basel, Switzerland. This article is an open access article distributed under the terms and conditions of the Creative Commons Attribution (CC BY) license (https://creativecommons.org/licenses/by/4.0/).
Share and Cite
Costanzo, M.L.; D’Andrea, V.; Lauro, A.; Bellini, M.I. Acute Cholecystitis from Biliary Lithiasis: Diagnosis, Management and Treatment. Antibiotics 2023, 12, 482. https://doi.org/10.3390/antibiotics12030482
Costanzo ML, D’Andrea V, Lauro A, Bellini MI. Acute Cholecystitis from Biliary Lithiasis: Diagnosis, Management and Treatment. Antibiotics. 2023; 12(3):482. https://doi.org/10.3390/antibiotics12030482
Chicago/Turabian StyleCostanzo, Maria Ludovica, Vito D’Andrea, Augusto Lauro, and Maria Irene Bellini. 2023. "Acute Cholecystitis from Biliary Lithiasis: Diagnosis, Management and Treatment" Antibiotics 12, no. 3: 482. https://doi.org/10.3390/antibiotics12030482
APA StyleCostanzo, M. L., D’Andrea, V., Lauro, A., & Bellini, M. I. (2023). Acute Cholecystitis from Biliary Lithiasis: Diagnosis, Management and Treatment. Antibiotics, 12(3), 482. https://doi.org/10.3390/antibiotics12030482

