Pomegranate Peel Extract Is a Potential Alternative Therapeutic for Giardiasis
Abstract
1. Introduction
2. Materials and Methods
2.1. Plant Material
2.2. Preparation of Pomegranate Extract
2.3. Collection of Cysts
2.4. In Vitro Test of the Effect of Pomegranate Ethanolic Extract on G. lamblia Cysts
2.5. Animal Experiments
2.6. Assessment of the In Vivo Efficacy of the Extract
2.6.1. Determination of Cysts and Trophozoite Counts
2.6.2. Quantification of Proinflammatory Cytokines and NO
2.6.3. Histological Studies
Hematoxylin and Eosin Staining
Immunohistochemistry
Immunohistochemical Scoring
2.6.4. Scanning and Transmission Electron Microscopy (SEM)
2.7. Statistical Analysis
3. Results
3.1. Pomegranate Extract Effectively Killed G. lamblia Cysts
3.2. Pomegranate Extract Reduced Cysts and Trophozoite Counts in G. lamblia-Infected Animals
3.3. Treatment with Pomegranate Extract Reduced the Levels of Proinflammatory Cytokines and Increased NO Production in G. lamblia-Infected Animals
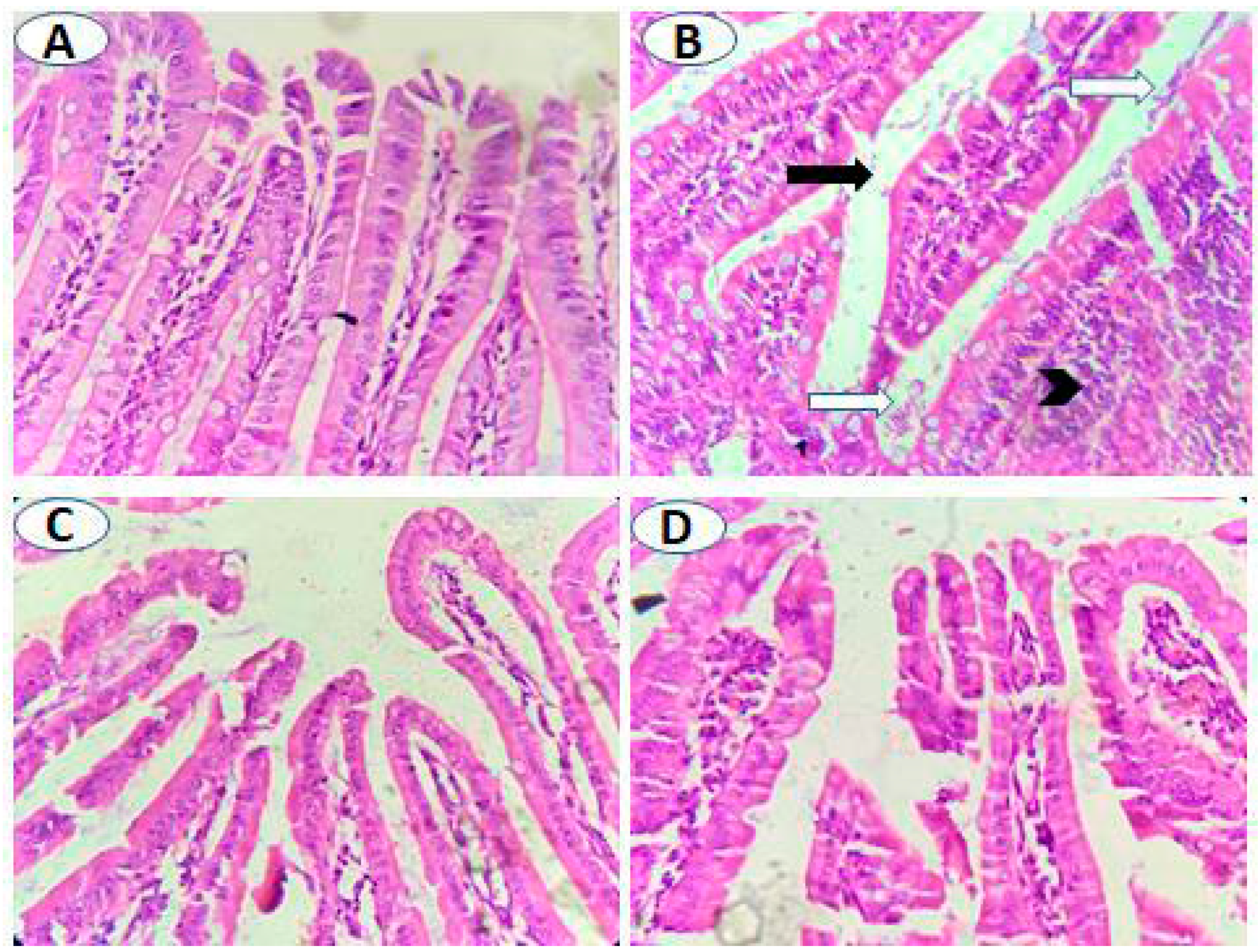
3.4. Treatment with Pomegranate Extract Reduced Lymphocyte Infiltration and Protected the Intestinal Villi from Infection-Induced Pathology
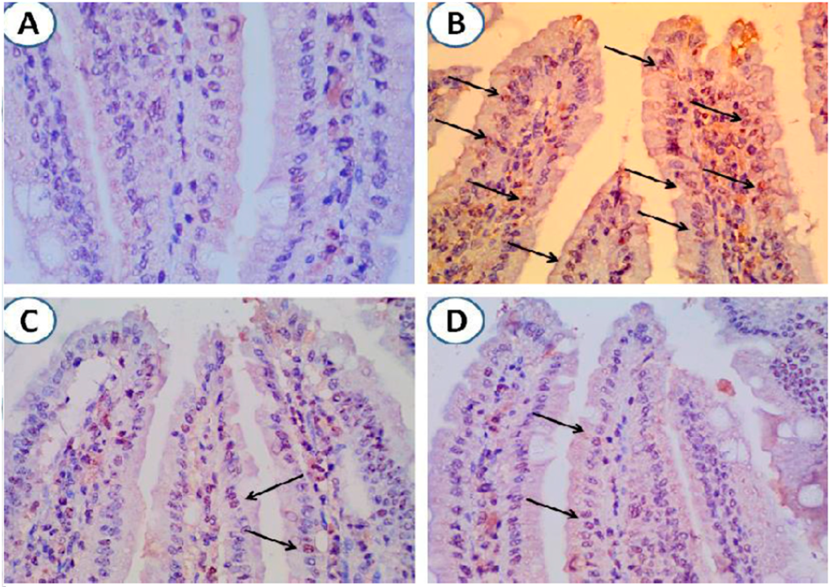
3.5. Pomegranate Extract Treatment Protected Intestinal Tissue from Apoptotic Cell Death Following G. lamblia Infection
3.6. Scanning Electron Microscopy (SEM) Showed Marked Ability of Pomegranate Extract to Kill G. lamblia Trophozoites and Protect Intestinal Tissue from G. lamblia Infection
4. Discussion
5. Conclusions
Author Contributions
Funding
Institutional Review Board Statement
Informed Consent Statement
Data Availability Statement
Conflicts of Interest
References
- Gardner, T.B.; Hill, D.R. Treatment of giardiasis. Clin. Microbiol. Rev. 2001, 14, 114–128. [Google Scholar] [CrossRef]
- Savioli, L.; Smith, H.; Thompson, A. Giardia and Cryptosporidium join the “Neglected Diseases Initiative”. Trends Parasitol. 2006, 22, 203–208. [Google Scholar] [CrossRef]
- Lane, S.; Lloyd, D. Current trends in research into the waterborne parasite Giardia. Crit. Rev. Microbiol. 2002, 28, 123–147. [Google Scholar] [CrossRef] [PubMed]
- Thompson, R.A. The zoonotic significance and molecular epidemiology of Giardia and giardiasis. Vet. Parasitol. 2004, 126, 15–35. [Google Scholar] [CrossRef]
- Younas, M.; Shah, S.; Talaat, A. Frequency of Giardia lamblia infection in children with recurrent abdominal pain. J. Pak. Med. Assoc. 2008, 58, 171–174. [Google Scholar] [CrossRef] [PubMed]
- Bayoumy, A.M.; Mohammed, K.A.; Shahat, S.A.; Ghannam, M.M.; Gazy, M.S. Role of parasites among chronic diarrheic patients. J. Egypt Soc. Parasitol. 2010, 40, 679–698. [Google Scholar]
- Porter, J.D.; Gaffney, C.; Heymann, D.; Parkin, W. Food-borne outbreak of Giardia lamblia. Am. J. Public Health 1990, 80, 1259–1260. [Google Scholar] [CrossRef]
- Robertson, L.J.; Forberg, T.; Gjerde, B.K. Giardia cysts in sewage influent in Bergen, Norway 15–23 months after an extensive waterborne outbreak of giardiasis. J. Appl. Microbiol. 2004, 126, 15–35. [Google Scholar] [CrossRef] [PubMed]
- Ryu, H.; Alum, A.; Mena, K.D.; Abbaszadegan, M. Assessment of the risk of infection by Cryptosporidium and Giardia in non-potable reclaimed water. Water Sci. Technol. J. Int. Assoc. Water Pollut. Res. 2007, 55, 283–290. [Google Scholar] [CrossRef]
- Dizdar, V.; Gilja, O.H.; Hausken, T. Increased visceral sensitivity in Giardia-induced postinfectious irritable bowel syndrome and functional dyspepsia: Effect of the 5HT3-antagonist ondansetron. Neurogastroenterol. Motil. Off. J. Eur. Gastrointest. Motil. Soc. 2007, 19, 977–982. [Google Scholar] [CrossRef] [PubMed]
- Penrose, A.S.; Wells, E.V.; Aiello, A.E. Infectious causation of chronic disease: Examining the relationship between Giardia lamblia infection and irritable bowel syndrome. World J. Gastroenterol. 2007, 13, 4574–4578. [Google Scholar] [CrossRef] [PubMed]
- Simsek, Z.; Zeyrek, F.; Kurcer, M.A. Effect of Giardia infection on growth and psychomotor development of children aged 0–5 years. J. Trop. Pediatr. 2004, 50, 90–93. [Google Scholar] [CrossRef][Green Version]
- Scott, K.G.; Logan, M.R.; Klammer, G.M.; Teoh, D.A.; Buret, A.G. Jejunal brush border microvillous alterations in Giardia muris-infected mice: Role of T lymphocytes and interleukin-6. Infect. Immun. 2000, 68, 3412–3418. [Google Scholar] [CrossRef] [PubMed][Green Version]
- Daniels, C.W.; Belosevic, M. Disaccharidase activity in the small intestine of susceptible and resistant mice after primary and challenge infections with Giardia muris. Am. J. Trop. Med. Hyg. 1992, 46, 382–390. [Google Scholar] [CrossRef]
- Chin, A.C.; Teoh, D.A.; Scott, K.G.-E.; Meddings, J.B.; Macnaughton, W.K.; Buret, A.G. Strain-dependent induction of enterocyte apoptosis by Giardia lamblia disrupts epithelial barrier function in a caspase-3-dependent manner. Infect. Immun. 2002, 70, 3673–3680. [Google Scholar] [CrossRef]
- Panaro, M.A.; Cianciulli, A.; Mitolo, V.; Mitolo, C.I.; Acquafredda, A.; Brandonisio, O.; Cavallo, P. Caspase-dependent apoptosis of the HCT-8 epithelial cell line induced by the parasite Giardia intestinalis. FEMS Immunol. Med. Microbiol. 2007, 51, 302–309. [Google Scholar] [CrossRef]
- Roxström-Lindquist, K.; Ringqvist, E.; Palm, D.; Svärd, S. Giardia lamblia-induced changes in gene expression in differentiated Caco-2 human intestinal epithelial cells. Infect. Immun. 2005, 73, 8204–8208. [Google Scholar] [CrossRef] [PubMed]
- Gitter, A.H.; Bendfeldt, K.; Schulzke, J.D.; Fromm, M. Leaks in the epithelial barrier caused by spontaneous and TNF-alpha-induced single-cell apoptosis. FASEB J. Off. Publ. Fed. Am. Soc. Exp. Biol. 2000, 14, 1749–1753. [Google Scholar] [CrossRef]
- Hill, D.R. Giardiasis: Issues in diagnosis and management. Infect. Dis. Clin. N. Am. 1993, 7, 503–525. [Google Scholar] [CrossRef]
- Beyhan, Y.E.; Hökelek, M. Giardia muris infection in laboratory rats (Rattus norvegicus) and treatment with metronidazole. Turkiye Parazitolojii Dergisi 2014, 38, 181–184. [Google Scholar] [CrossRef]
- Lau, A.H.; Lam, N.P.; Piscitelli, S.C.; Wilkes, L.; Danziger, L.H. Clinical pharmacokinetics of metronidazole and other nitroimidazole anti-infectives. Clin. Pharmacokinet. 1992, 23, 328–364. [Google Scholar] [CrossRef]
- Leitsch, D. Drug Resistance in the Microaerophilic Parasite Giardia lamblia. Curr. Trop. Med. Rep. 2015, 2, 128–135. [Google Scholar] [CrossRef] [PubMed]
- Kusumi, R.K.; Plouffe, J.F.; Wyatt, R.H.; Fass, R.J. Central nervous system toxicity associated with metronidazole therapy. Ann. Intern. Med. 1980, 93, 59–60. [Google Scholar] [CrossRef]
- Levi, G.C.; de Avila, C.A.; Amato Neto, V. Efficacy of various drugs for treatment of giardiasis: A comparative study. Am. J. Trop. Med. Hyg. 1977, 26, 564–565. [Google Scholar] [CrossRef] [PubMed]
- Rustia, M.; Shubik, P. Experimental induction of hepatomas, mammary tumors, and other tumors with metronidazole in noninbred Sas:MRC(WI)BR rats. J. Natl. Cancer Inst. 1979, 63, 863–868. [Google Scholar] [CrossRef]
- Rustia, M.; Shubik, P. Induction of lung tumors and malignant lymphomas in mice by metronidazole. J. Natl. Cancer Inst. 1972, 48, 721–729. [Google Scholar]
- Golami, S.; Rahimi-Esboei, B.; Mousavi, P.; Marhaba, Z.; Youssefi, M.R.; Rahimi, M.T. Survey on efficacy of chloroformic extract of Artemisia annua against Giardia lamblia trophozoite and cyst in vitro. J. Parasit. Dis. 2016, 40, 88–92. [Google Scholar] [CrossRef]
- Abdel Moneim, A.E. Evaluating the potential role of pomegranate peel in aluminum-induced oxidative stress and histopathological alterations in brain of female rats. Biol. Trace Elem. Res. 2012, 150, 328–336. [Google Scholar] [CrossRef]
- Reddy, M.K.; Gupta, S.K.; Jacob, M.R.; Khan, S.I.; Ferreira, D. Antioxidant, antimalarial and antimicrobial activities of tannin-rich fractions, ellagitannins and phenolic acids from Punica granatum L. Planta Med. 2007, 73, 461–467. [Google Scholar] [CrossRef]
- Foss, S.R.; Nakamura, C.V.; Ueda-Nakamura, T.; Cortez, D.A.G.; Endo, E.H.; Dias Filho, B.P. Antifungal activity of pomegranate peel extract and isolated compound punicalagin against dermatophytes. Ann. Clin. Microbiol. Antimicrob. 2014, 13, 32. [Google Scholar] [CrossRef]
- Al-Mathal, E.M.; Alsalem, A.M. Pomegranate (Punica granatum) peel is effective in a murine model of experimental Cryptosporidium parvum. Exp. Parasitol. 2012, 131, 350–357. [Google Scholar] [CrossRef]
- Al-Megrin, W.A.I. Efficacy of pomegranate (Punica granatum) peel extract against Hymenolepis nana in infections mice. Biosci. Biotechnol. Res. Asia 2016, 13, 103–108. [Google Scholar] [CrossRef]
- Calzada, F.; Yépez-Mulia, L.; Aguilar, A. In vitro susceptibility of Entamoeba histolytica and Giardia lamblia to plants used in Mexican traditional medicine for the treatment of gastrointestinal disorders. J. Ethnopharmacol. 2006, 108, 367–370. [Google Scholar] [CrossRef]
- Dell’Agli, M.; Galli, G.V.; Corbett, Y.; Taramelli, D.; Lucantoni, L.; Habluetzel, A.; Maschi, O.; Caruso, D.; Giavarini, F.; Romeo, S.; et al. Antiplasmodial activity of Punica granatum L. fruit rind. J. Ethnopharmacol. 2009, 125, 279–285. [Google Scholar] [CrossRef]
- Fernandes, P.; Assreuy, J. Role of nitric oxide and superoxide in Giardia lamblia killing. Braz. J. Med. Biol. Res. 1997, 30, 93–99. [Google Scholar] [CrossRef] [PubMed]
- Fernandes, R.M.; Rodrigues, M.D.L.D.A.; Borba, H.R.; Fernandes, M.Z.D.L.C.M.; De Amorim, A. Ausencia da atividade anti-helmintica de plantas em frangos de corte naturalmente infectados com Heterakis gallinarum (Schranck, 1788) Madsen, 1949. Ciencia Rural 2004, 34, 1629–1632. [Google Scholar] [CrossRef][Green Version]
- Castagna, F.; Britti, D.; Oliverio, M.; Bosco, A.; Bonacci, S.; Iriti, G.; Ragusa, M.; Musolino, V.; Rinaldi, L.; Palma, E.; et al. In Vitro Anthelminthic Efficacy of Aqueous Pomegranate (Punica granatum L.) Extracts against Gastrointestinal Nematodes of Sheep. Pathogens 2020, 9, 1063. [Google Scholar] [CrossRef]
- Brandelli, C.L.C.; Giordani, R.B.; De Carli, G.A.; Tasca, T. Indigenous traditional medicine: In vitro anti-giardial activity of plants used in the treatment of diarrhea. Parasitol. Res. 2009, 104, 1345–1349. [Google Scholar] [CrossRef]
- Al-Kaissi, I.N. The effect of Aqueous some plants Extract on Giardia lamblia in vitro. Al-Anbar J. Vet. Sci. 2010, 3, 1–58. [Google Scholar]
- Rahimi-Esboei, B.; Ebrahimzadeh, M.A.; Gholami, S.; Falah-Omrani, V. Anti-giardial activity of Sambucus ebulus. Eur. Rev. Med. Pharmacol. Sci. 2013, 17, 2047–2050. [Google Scholar]
- Abdalla, S.F.; Ramadan, N.I.; Mohamed, A.A.; El-Deeb, H.K.; Al-Khadrawy, F.M.; Badawy, A.F. A study on the effect of Myrtus communis and Olibanum on Giardia lamblia infection in Egypt. Parasitol. United J. 2011, 4, 89–100. [Google Scholar]
- Oyetayo, O.; Adetuyi, F.C.; Akinyosoye, F.A. Safety and protective effect of Lactobacillus acidophilus and Lactobacillus casei used as probiotic agent in vivo. Afr. J. Biotechnol. 2003, 2, 448–452. [Google Scholar] [CrossRef]
- Rayan, P.; Stenzel, D.; McDonnell, P.A. The effects of saturated fatty acids on Giardia duodenalis trophozoites in vitro. Parasitol. Res. 2005, 97, 191–200. [Google Scholar] [CrossRef]
- Zhou, P.; Li, E.; Shea-Donohue, T.; Singer, S.M. Tumour necrosis factor alpha contributes to protection against Giardia lamblia infection in mice. Parasite Immunol. 2007, 29, 367–374. [Google Scholar] [CrossRef] [PubMed]
- Liu, P.-F.; Hu, Y.-C.; Kang, B.-H.; Tseng, Y.-K.; Wu, P.-C.; Liang, C.-C.; Hou, Y.-Y.; Fu, T.-Y.; Liou, H.-H.; Hsieh, I.-C.; et al. Expression levels of cleaved caspase-3 and caspase-3 in tumorigenesis and prognosis of oral tongue squamous cell carcinoma. PLoS ONE 2017, 12, e0180620. [Google Scholar] [CrossRef]
- Hayat, M. Principles and Technique of Electron Microscopy, 2nd ed.; University Park Press: New Jersey, NJ, USA, 1981; Volume 1. [Google Scholar]
- Tanaka, T.; Nonaka, G.; Nishioka, I. Tannins and Related Compounds. C.: Reaction of Dehydrohexahydroxydiphenic Acid Esters with Bases, and Its Application to the Structure Determination of Pomegranate Tannins, Granatins A and B. Chem. Pharm. Bull. 1990, 38, 2424–2428. [Google Scholar] [CrossRef]
- Amakura, Y.; Okada, M.; Tsuji, S.; Tonogai, Y. High-performance liquid chromatographic determination with photodiode array detection of ellagic acid in fresh and processed fruits. J. Chromatogr. A 2000, 896, 87–93. [Google Scholar] [CrossRef]
- Satomi, H.; Umemura, K.; Ueno, A.; Hatano, T.; Okuda, T.; Noro, T. Carbonic anhydrase inhibitors from the pericarps of Punica granatum L. Biol. Pharm. Bull. 1993, 16, 787–790. [Google Scholar] [CrossRef]
- Lansky, E.P.; Newman, R.A. Punica granatum (pomegranate) and its potential for prevention and treatment of inflammation and cancer. J. Ethnopharmacol. 2007, 109, 177–206. [Google Scholar] [CrossRef]
- Plumb, G.W.; de Pascual-Teresa, S.; Santos-Buelga, C.; Rivas-Gonzalo, J.C.; Williamson, G. Antioxidant properties of gallocatechin and prodelphinidins from pomegranate peel. Redox Rep. 2002, 7, 41–46. [Google Scholar] [CrossRef]
- Li, E.; Zhou, P.; Singer, S.M. Neuronal nitric oxide synthase is necessary for elimination of Giardia lamblia infections in mice. J. Immunol. 2006, 176, 516–521. [Google Scholar] [CrossRef] [PubMed]
- Liew, F.Y.; Wei, X.Q.; Proudfoot, L. Cytokines and nitric oxide as effector molecules against parasitic infections. Philos. Trans. R. Soc. Lond. Ser. B Biol. Sci. 1997, 352, 1311–1315. [Google Scholar] [CrossRef]
- Brown, D.M.; Upcroft, J.A.; Edwards, M.R.; Upcroft, P. Anaerobic bacterial metabolism in the ancient eukaryote Giardia duodenalis. Int. J. Parasitol. 1998, 28, 149–164. [Google Scholar] [CrossRef]
- Maloney, J.; Keselman, A.; Li, E.; Singer, S.M. Macrophages expressing arginase 1 and nitric oxide synthase 2 accumulate in the small intestine during Giardia lamblia infection. Microbes Infect. 2015, 17, 462–467. [Google Scholar] [CrossRef] [PubMed]
- Stadelmann, B.; Hanevik, K.; Andersson, M.K.; Bruserud, O.; Svärd, S.G. The role of arginine and arginine-metabolizing enzymes during Giardia—Host cell interactions in vitro. BMC Microbiol. 2013, 13, 256. [Google Scholar] [CrossRef]
- He, Q.; Leitch, G.J.; Visvesvara, G.S.; Wallace, S. Effects of nifedipine, metronidazole, and nitric oxide donors on spore germination and cell culture infection of the microsporidia Encephalitozoon hellem and Encephalitozoon intestinalis. Antimicrob. Agents Chemother. 1996, 40, 179–185. [Google Scholar] [CrossRef]
- Wink, D.A.; Miranda, K.M.; Espey, M.G. Effects of oxidative and nitrosative stress in cytotoxicity. Semin. Perinatol. 2000, 24, 20–23. [Google Scholar] [CrossRef]
- Zhou, P.; Li, E.; Zhu, N.; Robertson, J.; Nash, T.; Singer, S.M. Role of interleukin-6 in the control of acute and chronic Giardia lamblia infections in mice. Infect. Immun. 2003, 71, 1566–1568. [Google Scholar] [CrossRef]
- Matowicka-Karna, J.; Dymicka-Piekarska, V.; Kemona, H. IFN-gamma, IL-5, IL-6 and IgE in patients infected with Giardia intestinalis. Folia Histochem. Cytobiol. 2009, 47, 93–97. [Google Scholar] [CrossRef]
- Kamda, J.D.; Singer, S.M. Phosphoinositide 3-kinase-dependent inhibition of dendritic cell interleukin-12 production by Giardia lamblia. Infect. Immun. 2009, 77, 685–693. [Google Scholar] [CrossRef] [PubMed]
- Bienz, M.; Dai, W.J.; Welle, M.; Gottstein, B.; Müller, N. Interleukin-6-deficient mice are highly susceptible to Giardia lamblia infection but exhibit normal intestinal immunoglobulin A responses against the parasite. Infect. Immun. 2003, 71, 1569–1573. [Google Scholar] [CrossRef] [PubMed]
- Kuhn, K.A.; Manieri, N.A.; Liu, T.-C.; Stappenbeck, T.S. IL-6 stimulates intestinal epithelial proliferation and repair after injury. PLoS ONE 2014, 9, e114195. [Google Scholar] [CrossRef] [PubMed]
- Rietdijk, S.T.; D’Haens, G.R. Recent developments in the treatment of inflammatory bowel disease. J. Dig. Dis. 2013, 14, 282–287. [Google Scholar] [CrossRef][Green Version]
- Abdel-Fattah, N.S.; Nada, O.H. Effect of propolis versus metronidazole and their combined use in treatment of acute experimental giardiasis. J. Egypt Soc. Parasitol. 2007, 37, 691–710. [Google Scholar]
- Slee, E.A.; Harte, M.T.; Kluck, R.M.; Wolf, B.B.; Casiano, C.A.; Newmeyer, D.D.; Wang, H.G.; Reed, J.C.; Nicholson, D.W.; Alnemri, E.S.; et al. Ordering the cytochrome c-initiated caspase cascade: Hierarchical activation of caspases-2, -3, -6, -7, -8, and -10 in a caspase-9-dependent manner. J. Cell Biol. 1999, 144, 281–292. [Google Scholar] [CrossRef]
- Podolsky, D.K. Inflammatory bowel disease. N. Engl. J. Med. 2002, 347, 417–429. [Google Scholar] [CrossRef]
- Rogler, G.; Andus, T. Cytokines in inflammatory bowel disease. World J. Surg. 1998, 22, 382–389. [Google Scholar] [CrossRef]
- Khanna, R.; Joshi, K.; Kum, K.; Malik, A.K.; Vinayak, V.K. An ultrastructural analysis of changes in surface architecture of intestinal mucosa following Giardia lamblia infection in mice. Gastroenterol. Jpn. 1990, 25, 649–658. [Google Scholar] [CrossRef] [PubMed]
- Buret, A.; Gall, D.G.; Olson, M.E. Effects of murine giardiasis on growth, intestinal morphology, and disaccharidase activity. J. Parasitol. 1990, 76, 403–409. [Google Scholar] [CrossRef] [PubMed]






| Exposure Time | Pomegranate Extract | Metronidazole | Control | ||
|---|---|---|---|---|---|
| 1 mg/mL | 10 mg/mL | 50 mg/mL | 50 μg/mL | ||
| 5 min | 51 ± 2.7 * | 53 ± 2.1 * | 59 ± 1.6 * | 59 ± 0.7 * | 2 ± 0.2 |
| 10 min | 63 ± 1.9 * | 64 ± 2.1 * | 71 ± 1.3 * | 60 ± 1.3 * | 2 ± 0.4 |
| 30 min | 71 ± 2.4 * | 75 ± 2.6 * | 77 ± 1.7 * | 77 ± 1.5 * | 4 ± 1.4 |
| 60 min | 84 ± 3.4 * | 88 ± 3.1 * | 98 ± 1.2 * | 91 ± 2.3 * | 6 ± 1.8 |
| Animal Group | Atrophy of Intestinal Villi | p-Value | |||
|---|---|---|---|---|---|
| Absent | Mild | Moderate | Marked | ||
| Uninfected untreated | 8 (100%) | 0 (0%) | 0 (0%) | 0 (0%) | 0.001 |
| Infected untreated | 0 (0%) | 1 (12.5%) | 3 (37.5%) | 4 (50%) | |
| Pomegranate treatment | 4 (50%) | 2 (25%) | 2 (25%) | 0 (0%) | |
| Metronidazole treatment | 5 (62.5%) | 3 (37.5%) | 0 (0%) | 0 (0%) | |
| Animal Group | Lymphocytic Infiltration | p-Value | ||
|---|---|---|---|---|
| Mild | Moderate | Marked | ||
| Uninfected untreated | 6 (75%) | 2 (25%) | 0 (0%) | 0.005 |
| Infected untreated | 0 (0%) | 3 (37.5%) | 5 (62.5%) | |
| Pomegranate treatment | 6 (75%) | 1 (12.5%) | 1 (12.5%) | |
| Metronidazole treatment | 6 (75%) | 2 (25%) | 0 (0%) | |
| Animal Group | Caspase-3 Levels | p-Value | ||
| Negative | Low | High | ||
| Uninfected untreated | 4 (50%) | 3 (37.5%) | 1 (12.5%) | 0.001 |
| Infected untreated | 1 (12.5%) | 2 (25%) | 5 (62.5%) | |
| Pomegranate treatment | 2 (25%) | 5 (62.5%) | 1 (12.5%) | |
| Metronidazole treatment | 1 (12.5%) | 5 (62.5%) | 2 (25%) | |
Publisher’s Note: MDPI stays neutral with regard to jurisdictional claims in published maps and institutional affiliations. |
© 2021 by the authors. Licensee MDPI, Basel, Switzerland. This article is an open access article distributed under the terms and conditions of the Creative Commons Attribution (CC BY) license (https://creativecommons.org/licenses/by/4.0/).
Share and Cite
El-Kady, A.M.; Abdel-Rahman, I.A.M.; Fouad, S.S.; Allemailem, K.S.; Istivan, T.; Ahmed, S.F.M.; Hasan, A.S.; Osman, H.A.; Elshabrawy, H.A. Pomegranate Peel Extract Is a Potential Alternative Therapeutic for Giardiasis. Antibiotics 2021, 10, 705. https://doi.org/10.3390/antibiotics10060705
El-Kady AM, Abdel-Rahman IAM, Fouad SS, Allemailem KS, Istivan T, Ahmed SFM, Hasan AS, Osman HA, Elshabrawy HA. Pomegranate Peel Extract Is a Potential Alternative Therapeutic for Giardiasis. Antibiotics. 2021; 10(6):705. https://doi.org/10.3390/antibiotics10060705
Chicago/Turabian StyleEl-Kady, Asmaa M., Iman A. M. Abdel-Rahman, Samer S. Fouad, Khaled S. Allemailem, Taghrid Istivan, Sheren F. M. Ahmed, Al Shaimaa Hasan, Heba A. Osman, and Hatem A. Elshabrawy. 2021. "Pomegranate Peel Extract Is a Potential Alternative Therapeutic for Giardiasis" Antibiotics 10, no. 6: 705. https://doi.org/10.3390/antibiotics10060705
APA StyleEl-Kady, A. M., Abdel-Rahman, I. A. M., Fouad, S. S., Allemailem, K. S., Istivan, T., Ahmed, S. F. M., Hasan, A. S., Osman, H. A., & Elshabrawy, H. A. (2021). Pomegranate Peel Extract Is a Potential Alternative Therapeutic for Giardiasis. Antibiotics, 10(6), 705. https://doi.org/10.3390/antibiotics10060705

