Beyond Spheres: Evaluating Gold Nano-Flowers and Gold Nano-Stars for Enhanced Aflatoxin B1 Detection in Lateral Flow Immunoassays
Abstract
1. Introduction
2. Materials and Methods
2.1. Materials
2.2. Instrumentation
2.3. Synthesis of Spherical Gold Nanoparticles (AuNPs)
2.4. Synthesis of Gold Nano-Flowers (AuNFs)
2.5. Synthesis of Gold Nano-Stars (AuNSs)
2.6. Preparation of AuNPs/AuNSs/ AuNFs Bioconjugates
2.7. Synthesis of Aflatoxin–BSA Hapten
2.8. Assembling Lateral Flow Assay Immunochromatographic Assay (LFIA) Strips
2.9. Analytical Performance of LFIA
2.10. Spiked Sample Analysis in Wheat Matrix
3. Results and Discussion
3.1. Characterization of Hierarchical Nano-Labels
3.2. Optimization of LFIA Procedure
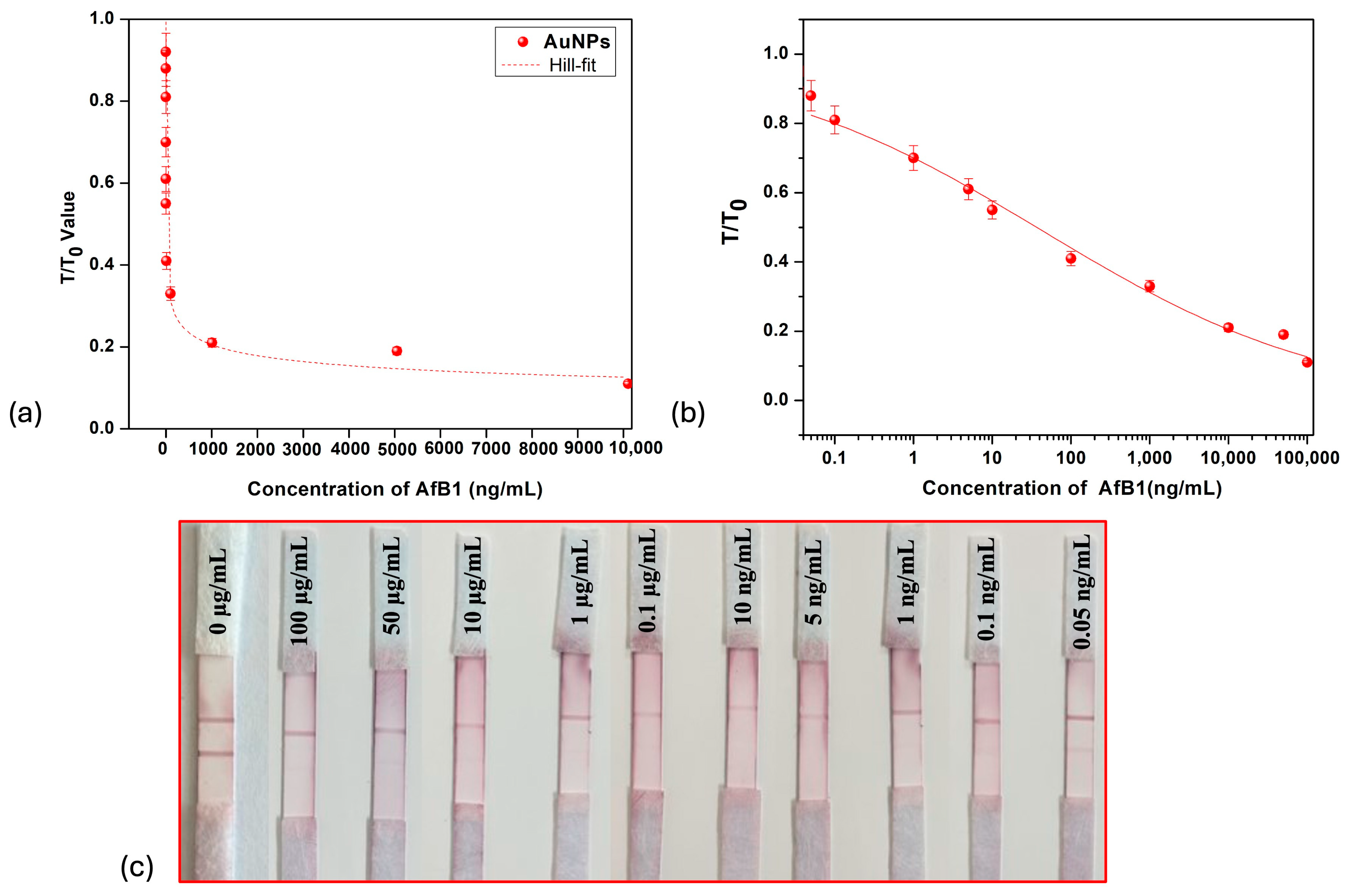
3.3. Comparison of Analytical Performance and Sensitivity for Different Nano-Labels and Spiked Sample Analysis
4. Conclusions
Supplementary Materials
Author Contributions
Funding
Institutional Review Board Statement
Informed Consent Statement
Data Availability Statement
Conflicts of Interest
References
- Kakkar, S.; Gupta, P.; Yadav, S.P.S.; Raj, D.; Singh, G.; Chauhan, S.; Mishra, M.K.; Martín-Ortega, E.; Chiussi, S.; Kant, K. Lateral flow assays: Progress and evolution of recent trends in point-of-care applications. Mater. Today Bio 2024, 28, 101188. [Google Scholar] [CrossRef]
- Bahadır, E.B.; Sezgintürk, M.K. Lateral flow assays: Principles, designs and labels. TrAC Trends Anal. Chem. 2016, 82, 286–306. [Google Scholar] [CrossRef]
- Nguyen, V.-T.; Song, S.; Park, S.; Joo, C. Recent advances in high-sensitivity detection methods for paper-based lateral-flow assay. Biosens. Bioelectron. 2020, 152, 112015. [Google Scholar] [CrossRef]
- Pedreira-Rincón, J.; Rivas, L.; Comenge, J.; Skouridou, V.; Camprubí-Ferrer, D.; Muñoz, J.; O’SUllivan, C.K.; Chamorro-Garcia, A.; Parolo, C. A comprehensive review of competitive lateral flow assays over the past decade. Lab A Chip 2025, 25, 2578–2608. [Google Scholar] [CrossRef] [PubMed]
- Lin, Y.-Y.; Wang, J.; Liu, G.; Wu, H.; Wai, C.; Lin, Y. A nanoparticle label/immunochromatographic electrochemical biosensor for rapid and sensitive detection of prostate-specific antigen. Biosens. Bioelectron. 2008, 23, 1659–1665. [Google Scholar] [CrossRef] [PubMed]
- Chen, C.; Wu, J. A Fast and Sensitive Quantitative Lateral Flow Immunoassay for Cry1Ab Based on a Novel Signal Amplification Conjugate. Sensors 2012, 12, 11684–11696. [Google Scholar] [CrossRef]
- Goryacheva, I.Y.; Lenain, P.; De Saeger, S. Nanosized labels for rapid immunotests. TrAC Trends Anal. Chem. 2013, 46, 30–43. [Google Scholar] [CrossRef]
- Beloglazova, N.V.; Goryacheva, I.Y.; Niessner, R.; Knopp, D. A comparison of horseradish peroxidase, gold nanoparticles and qantum dots as labels in non-instrumental gel-based immunoassay. Microchim. Acta 2011, 175, 361–367. [Google Scholar] [CrossRef]
- Borse, V.; Konwar, A.N. Synthesis and characterization of gold nanoparticles as a sensing tool for the lateral flow immunoassay development. Sensors Int. 2020, 1, 100051. [Google Scholar] [CrossRef]
- Byzova, N.A.; Zherdev, A.V.; Khlebtsov, B.N.; Burov, A.M.; Khlebtsov, N.G.; Dzantiev, B.B. Advantages of Highly Spherical Gold Nanoparticles as Labels for Lateral Flow Immunoassay. Sensors 2020, 20, 3608. [Google Scholar] [CrossRef]
- Huang, X.; El-Sayed, M.A. Gold nanoparticles: Optical properties and implementations in cancer diagnosis and photothermal therapy. J. Adv. Res. 2010, 1, 13–28. [Google Scholar] [CrossRef]
- Omidfar, K.; Kia, S.; Kashanian, S.; Paknejad, M.; Besharatie, A.; Kashanian, S.; Larijani, B. Colloidal Nanogold-Based Immunochromatographic Strip Test for the Detection of Digoxin Toxicity. Appl. Biochem. Biotechnol. 2009, 160, 843–855. [Google Scholar] [CrossRef]
- Yu, Q.; Zhang, J.; Qiu, W.; Li, K.; Qian, L.; Zhang, X.; Liu, G. Gold nanorods-based lateral flow biosensors for sensitive detection of nucleic acids. Microchim. Acta 2021, 188, 133. [Google Scholar] [CrossRef]
- Liang, R.; Wang, F.; Li, S.; Niu, Y.; Sun, Y.; Hong, S.; Fan, A. A sensitive gold nanoflower-based lateral flow assay coupled with gold staining technique for the detection of SARS-CoV-2 antigen. Microchim. Acta 2024, 191, 434. [Google Scholar] [CrossRef]
- Atta, S.; Canning, A.J.; Odion, R.; Wang, H.-N.; Hau, D.; Devadhasan, J.P.; Summers, A.J.; Gates-Hollingsworth, M.A.; Pflughoeft, K.J.; Gu, J.; et al. Sharp Branched Gold Nanostar-Based Lateral-Flow Immunoassay for Detection of Yersinia pestis. ACS Appl. Nano Mater. 2023, 6, 3884–3892. [Google Scholar] [CrossRef]
- Munyayi, T.A.; Vorster, B.C.; Mulder, D.W. The Effect of Capping Agents on Gold Nanostar Stability, Functionalization, and Colorimetric Biosensing Capability. Nanomaterials 2022, 12, 2470. [Google Scholar] [CrossRef]
- Delgado-Corrales, B.J.; Chopra, V.; Chauhan, G. Gold nanostars and nanourchins for enhanced photothermal therapy, bioimaging, and theranostics. J. Mater. Chem. B 2024, 13, 399–428. [Google Scholar] [CrossRef] [PubMed]
- Lai, W.; Xiong, Z.; Huang, Y.; Su, F.; Zhang, G.; Huang, Z.; Peng, J.; Liu, D. Gold nanoflowers labelled lateral flow assay integrated with smartphone for highly sensitive detection of clenbuterol in swine urine. Food Agric. Immunol. 2019, 30, 1225–1238. [Google Scholar] [CrossRef]
- Petrakova, A.V.; Urusov, A.E.; Zherdev, A.V.; Dzantiev, B.B. Gold nanoparticles of different shape for bicolor lateral flow test. Anal. Biochem. 2019, 568, 7–13. [Google Scholar] [CrossRef] [PubMed]
- Khlebtsov, B.N.; Tumskiy, R.S.; Burov, A.M.; Pylaev, T.E.; Khlebtsov, N.G. Quantifying the Numbers of Gold Nanoparticles in the Test Zone of Lateral Flow Immunoassay Strips. ACS Appl. Nano Mater. 2019, 2, 5020–5028. [Google Scholar] [CrossRef]
- Kim, D.S.; Kim, Y.T.; Hong, S.B.; Kim, J.; Heo, N.S.; Lee, M.-K.; Lee, S.J.; Kim, B.I.; Kim, I.S.; Huh, Y.S.; et al. Development of Lateral Flow Assay Based on Size-Controlled Gold Nanoparticles for Detection of Hepatitis B Surface Antigen. Sensors 2016, 16, 2154. [Google Scholar] [CrossRef]
- Serebrennikova, K.V.; Samsonova, J.V.; Osipov, A.P.; Senapati, D.; Kuznetsov, D.V. Gold Nanoflowers and Gold Nanospheres as Labels in Lateral Flow Immunoassay of Procalcitonin. Nano Hybrids Compos. 2017, 13, 47–53. [Google Scholar] [CrossRef]
- Wang, R.; Wang, J.; Liu, H.; Gao, Y.; Zhao, Q.; Ling, S.; Wang, S. Sensitive immunoassays based on specific monoclonal IgG for determination of bovine lactoferrin in cow milk samples. Food Chem. 2021, 338, 127820. [Google Scholar] [CrossRef]
- D, P.N.; Sinha, R.K. Shape-controlled Synthesis and Bulk Refractive Index Sensitivity Studies of Gold Nanoparticles for LSPR-based Sensing. Plasmonics 2024, 20, 1351–1364. [Google Scholar] [CrossRef]
- Atta, S.; Zhao, Y.; Sanchez, S.; Seedial, D.; Devadhasan, J.P.; Summers, A.J.; Gates-Hollingsworth, M.A.; Pflughoeft, K.J.; Gu, J.; Montgomery, D.C.; et al. Plasmonic-Enhanced Colorimetric Lateral Flow Immunoassays Using Bimetallic Silver-Coated Gold Nanostars. ACS Appl. Mater. Interfaces 2024, 16, 54907–54918. [Google Scholar] [CrossRef]
- Prakashan, D.; Kolhe, P.; Gandhi, S. Design and fabrication of a competitive lateral flow assay using gold nanoparticle as capture probe for the rapid and on-site detection of penicillin antibiotic in food samples. Food Chem. 2023, 439, 138120. [Google Scholar] [CrossRef]
- Açar, Y.; Akbulut, G. Evaluation of Aflatoxins Occurrence and Exposure in Cereal-Based Baby Foods: An Update Review. Curr. Nutr. Rep. 2024, 13, 59–68. [Google Scholar] [CrossRef]
- Krska, R.; Schubert-Ullrich, P.; Molinelli, A.; Sulyok, M.; MacDonald, S.; Crews, C. Mycotoxin analysis: An update. Food Addit. Contam. Part A 2008, 25, 152–163. [Google Scholar] [CrossRef] [PubMed]
- Neme, K.; Mohammed, A. Mycotoxin occurrence in grains and the role of postharvest management as a mitigation strategies. A review. Food Control 2017, 78, 412–425. [Google Scholar] [CrossRef]
- Sadeghi, P.; Sohrabi, H.; Majidi, M.R.; Eftekhari, A.; Zargari, F.; de la Guardia, M.; Mokhtarzadeh, A.A. Mycotoxins detection in food samples through lateral flow assays (LFAs)—An update for status and prospect. TrAC Trends Anal. Chem. 2024, 176, 117722. [Google Scholar] [CrossRef]
- Anfossi, L.; Giovannoli, C.; Baggiani, C. Mycotoxin detection. Curr. Opin. Biotechnol. 2016, 37, 120–126. [Google Scholar] [CrossRef]
- Zhang, W.; Duan, H.; Chen, R.; Ma, T.; Zeng, L.; Leng, Y.; Xiong, Y. Effect of different-sized gold nanoflowers on the detection performance of immunochromatographic assay for human chorionic gonadotropin detection. Talanta 2019, 194, 604–610. [Google Scholar] [CrossRef]
- Li, J.; Wu, J.; Zhang, X.; Liu, Y.; Zhou, D.; Sun, H.; Zhang, H.; Yang, B. Controllable Synthesis of Stable Urchin-like Gold Nanoparticles Using Hydroquinone to Tune the Reactivity of Gold Chloride. J. Phys. Chem. C 2011, 115, 3630–3637. [Google Scholar] [CrossRef]
- Mulder, D.W.; Phiri, M.M.; Jordaan, A.; Vorster, B.C. Modified HEPES one-pot synthetic strategy for gold nanostars. R. Soc. Open Sci. 2019, 6, 190160. [Google Scholar] [CrossRef] [PubMed]
- Ackerson, C.J.; Jadzinsky, P.D.; Jensen, G.J.; Kornberg, R.D. Rigid, Specific, and Discrete Gold Nanoparticle/Antibody Conjugates. J. Am. Chem. Soc. 2006, 128, 2635–2640. [Google Scholar] [CrossRef] [PubMed]
- Busch, R.T.; Karim, F.; Weis, J.; Sun, Y.; Zhao, C.; Vasquez, E.S. Optimization and Structural Stability of Gold Nanoparticle–Antibody Bioconjugates. ACS Omega 2019, 4, 15269–15279. [Google Scholar] [CrossRef]
- Sharma, V.; Javed, B.; Byrne, H.J.; Tian, F. Mycotoxin Detection through Colorimetric Immunoprobing with Gold Nanoparticle Antibody Conjugates. Biosensors 2024, 14, 491. [Google Scholar] [CrossRef]
- Zhou, H.; He, C.; Li, Z.; Huo, J.; Xue, Y.; Xu, X.; Qi, M.; Chen, L.; Hammock, B.D.; Zhang, J. Development of a Rapid Gold Nanoparticle Immunochromatographic Strip Based on the Nanobody for Detecting 2,4-DichloRophenoxyacetic Acid. Biosensors 2022, 12, 84. [Google Scholar] [CrossRef] [PubMed]
- Tabassum, H.; Maity, A.; Singh, K.; Bagchi, D.; Nath, P.; Kumar, N.; Choudhury, S.; Vishwakarma, S.; Chakraborty, A. Elucidating Antibody Conjugation and Orientation Dynamics on Phenylalanine-Functionalized Gold Nanoparticles: The Role of Lipid Coating and Other Physiological Conditions. Langmuir 2025, 41, 12967–12980. [Google Scholar] [CrossRef]
- Han, S.; Yang, Y.; Chen, T.; Yang, B.; Ding, M.; Wen, H.; Xiao, J.; Cheng, G.; Tao, Y.; Hao, H.; et al. Quantitative Determination of Aflatoxin B1 in Maize and Feed by ELISA and Time-Resolved Fluorescent Immunoassay Based on Monoclonal Antibodies. Foods 2024, 13, 319. [Google Scholar] [CrossRef]
- Sukumaran, A.; Thomas, T.; Thomas, R.; Thomas, R.E.; Paul, J.K.; Vasudevan, D.M. Development and Troubleshooting in Lateral Flow Immunochromatography Assays. Indian J. Clin. Biochem. 2020, 36, 208–212. [Google Scholar] [CrossRef] [PubMed]
- Wang, D.; Zhu, J.; Zhang, Z.; Zhang, Q.; Zhang, W.; Yu, L.; Jiang, J.; Chen, X.; Wang, X.; Li, P. Simultaneous Lateral Flow Immunoassay for Multi-Class Chemical Contaminants in Maize and Peanut with One-Stop Sample Preparation. Toxins 2019, 11, 56. [Google Scholar] [CrossRef]
- Zhang, Y.; Chen, G.; Chen, X.; Wei, X.; Shen, X.-A.; Jiang, H.; Li, X.; Xiong, Y.; Huang, X. Aggregation-induced emission nanoparticles facilitating multicolor lateral flow immunoassay for rapid and simultaneous detection of aflatoxin B1 and zearalenone. Food Chem. 2024, 447, 138997. [Google Scholar] [CrossRef]
- Sharma, V.; Javed, B.; Estrada, G.; Byrne, H.J.; Tian, F. In situ tuning and investigating the growth process of size controllable gold nanoparticles and statistical size prediction analysis. Colloids Surfaces A Physicochem. Eng. Asp. 2023, 681, 132733. [Google Scholar] [CrossRef]
- Siegel, A.L.; Baker, G.A. Bespoke nanostars: Synthetic strategies, tactics, and uses of tailored branched gold nanoparticles. Nanoscale Adv. 2021, 3, 3980–4004. [Google Scholar] [CrossRef]
- Daniel, M.; Astruc, D. Gold Nanoparticles: Assembly, Supramolecular Chemistry, Quantum-Size-Related Properties, and Applications toward Biology, Catalysis, and Nanotechnology. Chem. Rev. 2004, 104, 293–346. [Google Scholar] [CrossRef]
- Khakbiz, M.; Shakibania, S.; Ghazanfari, L.; Zhao, S.; Tavakoli, M.; Chen, Z. Engineered nanoflowers, nanotrees, nanostars, nanodendrites, and nanoleaves for biomedical applications. Nanotechnol. Rev. 2023, 12, 20220523. [Google Scholar] [CrossRef]
- Wu, Y.; Yang, Q.; Chen, J.; Bi, L.; Zhang, Z.; Zhou, N.; Ostovan, A.; Arabi, M.; Chen, L.; Choo, J. Surface-Enhanced Raman Scattering-Based Lateral Flow Assay Strips Using Highly Symmetric Gold Nanostars. ACS Appl. Nano Mater. 2024, 7, 27134–27141. [Google Scholar] [CrossRef]
- Zhan, L.; Guo, S.-Z.; Song, F.; Gong, Y.; Xu, F.; Boulware, D.R.; McAlpine, M.C.; Chan, W.C.W.; Bischof, J.C. The Role of Nanoparticle Design in Determining Analytical Performance of Lateral Flow Immunoassays. Nano Lett. 2017, 17, 7207–7212. [Google Scholar] [CrossRef]
- Posthuma-Trumpie, G.A.; Korf, J.; van Amerongen, A. Lateral flow (immuno)assay: Its strengths, weaknesses, opportunities and threats. A literature survey. Anal. Bioanal. Chem. 2008, 393, 569–582. [Google Scholar] [CrossRef]
- Ayawei, N.; Ebelegi, A.N.; Wankasi, D. Modelling and Interpretation of Adsorption Isotherms. J. Chem. 2017, 2017, 3039817. [Google Scholar] [CrossRef]
- Fabris, L. Gold Nanostars in Biology and Medicine: Understanding Physicochemical Properties to Broaden Applicability. J. Phys. Chem. C 2020, 124, 26540–26553. [Google Scholar] [CrossRef]
- Jain, P.K.; Lee, K.S.; El-Sayed, I.H.; El-Sayed, M.A. Calculated Absorption and Scattering Properties of Gold Nanoparticles of Different Size, Shape, and Composition: Applications in Biological Imaging and Biomedicine. J. Phys. Chem. B 2006, 110, 7238–7248. [Google Scholar] [CrossRef]
- Lu, Z.-Y.; Chan, Y.-H. The importance of antibody orientation for enhancing sensitivity and selectivity in lateral flow immunoassays. Sensors Diagn. 2024, 3, 1613–1634. [Google Scholar] [CrossRef]







| Type of Gold Nanoparticle | Hydrodynamic Size (nm) | Hydrodynamic Size (nm) After AFB1-mAb Immobilization | Change in UV-VIS/NIR Peak Wavelength (λmax) | Change in Zeta Potential (mV) |
|---|---|---|---|---|
| AuNPs | 33.2 ± 1.5 nm | 78.4 ± 1.8 nm | 526 to 530 nm | −33.7 to −20.7 mV |
| AuNFs | 40.7 ± 1.8 nm | 90.1 ± 1.7 nm | 559 to 564 nm | −30.3 to −22.4 mV |
| AuNSs | 30.7 ± 1.2 nm | 106.2 ± 1.3 nm | 681 to 684 nm | −35.2 to −19.6 mV |
| Hill-Fit Parameters | AuNPs | AuNFs | AuNSs |
|---|---|---|---|
| Start (minimum signal) | 0.993 | 0.982 | 1.07 |
| End (maximum signal) | 0.01 | 0.09 | 0.03 |
| k (half maximum concentration) | 43.97 ng/mL | 26.90 ng/mL | 2.84 ng/mL |
| Hill coefficient (n) | 0.235 | 0.239 | 0.264 |
| Dynamic range | 0.1 ng/mL–100 µg/mL | 0.1 ng/mL–100 µg/mL | 0.01 ng/mL–100 µg/mL |
| R2 | 0.968 | 0.987 | 0.973 |
| LOD | 0.1 ng/mL | 0.1 ng/mL | 0.01 ng/mL |
Disclaimer/Publisher’s Note: The statements, opinions and data contained in all publications are solely those of the individual author(s) and contributor(s) and not of MDPI and/or the editor(s). MDPI and/or the editor(s) disclaim responsibility for any injury to people or property resulting from any ideas, methods, instructions or products referred to in the content. |
© 2025 by the authors. Licensee MDPI, Basel, Switzerland. This article is an open access article distributed under the terms and conditions of the Creative Commons Attribution (CC BY) license (https://creativecommons.org/licenses/by/4.0/).
Share and Cite
Sharma, V.; Javed, B.; Byrne, H.J.; Tian, F. Beyond Spheres: Evaluating Gold Nano-Flowers and Gold Nano-Stars for Enhanced Aflatoxin B1 Detection in Lateral Flow Immunoassays. Biosensors 2025, 15, 495. https://doi.org/10.3390/bios15080495
Sharma V, Javed B, Byrne HJ, Tian F. Beyond Spheres: Evaluating Gold Nano-Flowers and Gold Nano-Stars for Enhanced Aflatoxin B1 Detection in Lateral Flow Immunoassays. Biosensors. 2025; 15(8):495. https://doi.org/10.3390/bios15080495
Chicago/Turabian StyleSharma, Vinayak, Bilal Javed, Hugh J. Byrne, and Furong Tian. 2025. "Beyond Spheres: Evaluating Gold Nano-Flowers and Gold Nano-Stars for Enhanced Aflatoxin B1 Detection in Lateral Flow Immunoassays" Biosensors 15, no. 8: 495. https://doi.org/10.3390/bios15080495
APA StyleSharma, V., Javed, B., Byrne, H. J., & Tian, F. (2025). Beyond Spheres: Evaluating Gold Nano-Flowers and Gold Nano-Stars for Enhanced Aflatoxin B1 Detection in Lateral Flow Immunoassays. Biosensors, 15(8), 495. https://doi.org/10.3390/bios15080495

