The Influence of the Type of Metal-on-Metal Hip Endoprosthesis on the Clinical, Biochemical, and Oxidative Balance Status—A Comparison of Resurfacing and Metaphyseal Implants
Abstract
1. Introduction
2. Materials and Methods
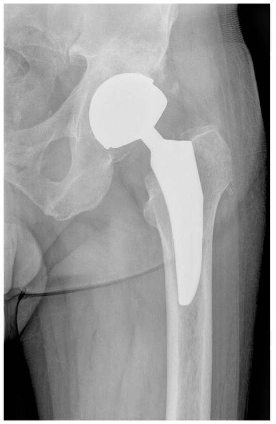
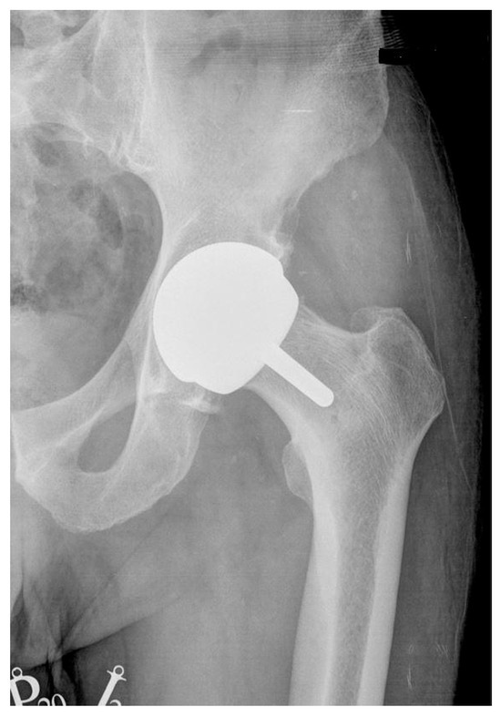
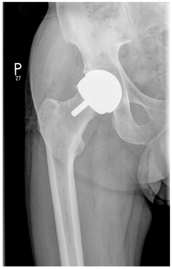
2.1. Description of the Studied Groups and Implants Used
2.2. Research Methodology
2.2.1. Clinical Evaluation
2.2.2. Biochemical Evaluation
2.3. Statistical Analysis
3. Results
| Parameter | Group I | Group II | Change % | p-Value | ||
|---|---|---|---|---|---|---|
| n = 26 | n = 35 | |||||
| Mean | SD | Mean | SD | |||
| Body weight (kg) | 93.2 | 18.8 | 91.6 | 16.9 | −2% | 0.743 |
| Height (m) | 1.78 | 0.07 | 1.75 | 0.06 | −2% | 0.060 |
| BMI (kg/m2) | 29.3 | 5.01 | 30.0 | 4.85 | 2% | 0.640 |
| Time after surgery (months) | 64.1 | 6.4 | 61.6 | 5.88 | −4% | 0.112 |
| Age at the time of surgery (years) | 54.2 | 9.1 | 59.7 | 9.5 | 10% | 0.027 |
| Age at the time of control visit (years) | 59.6 | 9.21 | 64.7 | 9.46 | 8% | 0.042 |
| Head size diameter (mm) | 52.9 | 1.98 | 50.2 | 3.04 | −5% | <0.001 |
| Cup size diameter (mm) | 58.9 | 1.98 | 56.1 | 3.09 | −5% | <0.001 |
| Parameter | Group I | Group II | Change % | p-Value | ||
|---|---|---|---|---|---|---|
| n = 26 | n = 35 | |||||
| Mean | SD | Mean | SD | |||
| Flexion | 108.5 | 14.0 | 106.0 | 12.2 | −2% | 0.467 |
| Abduction | 38.8 | 5.0 | 36.1 | 6.4 | −7% | 0.079 |
| External rotation | 27.5 | 7.2 | 29.7 | 8.2 | 8% | 0.279 |
| Internal rotation | 16.2 | 9.4 | 13.6 | 8.0 | −16% | 0.252 |
| Adduction | 31.2 | 7.8 | 29.9 | 6.2 | −4% | 0.473 |
| HHS sum | 85.6 | 15.1 | 81.3 | 19.4 | −5% | 0.355 |
| Symmetry/asymmetry | −0.42 | 0.77 | 0.56 | 1.53 | - | 0.004 |
| Lovett muscle strength | 4.81 | 0.49 | 4.89 | 0.32 | 2% | 0.458 |
| Parameter | Group I | Group II | Change % | p-Value | ||
|---|---|---|---|---|---|---|
| n = 26 | n = 35 | |||||
| Mean | SD | Mean | SD | |||
| WOMAC stiffness | 0.83 | 1.20 | 1.13 | 1.78 | 36% | 0.457 |
| WOMAC pain | 2.71 | 3.52 | 3.07 | 4.43 | 31% | 0.483 |
| WOMAC daily activity | 11.2 | 15.1 | 11.3 | 15.8 | 14% | 0.711 |
| WOMAC-sum | 14.9 | 19.3 | 14.5 | 21.7 | 19% | 0.632 |
| SF12-physical health | 15.8 | 3.31 | 15.1 | 3.70 | −4% | 0.497 |
| SF12-mental health | 22.9 | 3.48 | 21.1 | 4.56 | −8% | 0.102 |
| VAS 1–10 | 1.40 | 1.40 | 1.67 | 1.90 | 19% | 0.547 |
| Six-point pain scale | 0.65 | 0.80 | 0.91 | 0.95 | 40% | 0.262 |
| Parameter | Group I | Group II | p-Value | |||
|---|---|---|---|---|---|---|
| n = 26 | n = 35 | |||||
| Mean | SD | Mean | SD | |||
| Cr ions | 4.09 | 7.66 | 2.04 | 1.31 | 0.019 | |
| Co ions | 2.69 | 3.69 | 1.58 | 0.93 | 0.009 | |
| Parameter | Group I | Group II | Change % | p-Value | ||
|---|---|---|---|---|---|---|
| n = 26 | n = 35 | |||||
| Mean | SD | Mean | SD | |||
| CER (mg/dL)—serum | 35.3 | 8.09 | 34.8 | 6.81 | −1% | 0.788 |
| SH (umol/L)—serum | 209 | 41.0 | 243 | 76.2 | 16% | 0.033 |
| TAC (mmol/L)—serum | 0.99 | 0.10 | 1.06 | 0.16 | 6% | 0.085 |
| TOS (umol/L)—serum | 8.62 | 2.92 | 7.55 | 3.01 | −12% | 0.170 |
| LPH (umol/L)—serum | 4.55 | 1.60 | 4.04 | 2.07 | −11% | 0.301 |
| MDA (umol/g)—erythrocytes | 0.40 | 0.05 | 0.36 | 0.06 | −9% | 0.014 |
| LPS (RF)—serum | 810 | 221 | 586 | 257 | −28% | 0.001 |
| LPS (RF/g)—erythrocytes | 1565 | 573 | 725 | 192 | −54% | <0.001 |
| SOD (NU/mL)—serum | 18.2 | 1.58 | 18.3 | 1.48 | 1% | 0.796 |
| SOD (NU/mg)—erythrocytes | 165 | 21.6 | 162 | 17.87 | −2% | 0.528 |
| MnSOD (NU/mL)—serum | 10.8 | 1.93 | 10.1 | 0.99 | −6% | 0.077 |
| CuZnSOD (NU/mL)—serum | 7.40 | 1.24 | 8.18 | 1.40 | 11% | 0.027 |
| CAT (IU/g)—erythrocytes | 547 | 98.7 | 413 | 57.5 | −25% | <0.001 |
| GR (IU/g)—erythrocytes | 7.66 | 1.42 | 8.09 | 1.74 | 6% | 0.311 |
| GST (IU/g)—erythrocytes | 0.19 | 0.05 | 0.17 | 0.04 | −11% | 0.118 |
| GPX (IU/g)—erythrocytes | 54.4 | 9.69 | 67.0 | 4.75 | 23% | 0.000 |
| Parameter | Cr (μg/L) | Co (μg/L) |
|---|---|---|
| SH (μmol/g)—serum | 0.26 | NS |
| CAT (IU/g)—erythrocytes | NS | 0.32 |
| LPS (RF)—erythrocytes | NS | 0.35 |
| GPX (IU/g)—erythrocytes | NS | −0.35 |



4. Discussion
5. Conclusions
Author Contributions
Funding
Institutional Review Board Statement
Data Availability Statement
Conflicts of Interest
References
- Amstutz, H.C.; Grigoris, P. Metal on metal bearings in hip arthroplasty. Clin. Orthop. Relat. Res. 1996, 329, S11–S34. [Google Scholar] [CrossRef] [PubMed]
- Daniel, J.; Pynsent, P.B.; McMinn, D.J.W. Metal-on-metal resurfacing of the hip in patients under the age of 55 years with osteoarthritis. J. Bone Jt. Surg. Br. 2004, 86, 177–184. [Google Scholar] [CrossRef]
- Gross, T.P.; Liu, F. Hip resurfacing with the Biomet Hybrid ReCap-Magnum system: 7-year results. J. Arthroplast. 2012, 27, 1683–1689.e2. [Google Scholar] [CrossRef]
- Kordás, G.; Baxter, J.; Parsons, N.; Costa, M.L.; Krikler, S.J. Minimum 5-year follow-up after Cormet hip resurfacing. A single surgeon series of 234 hips. Hip Int. 2012, 22, 189–194. [Google Scholar] [CrossRef] [PubMed]
- Pandit, H.; Glyn-Jones, S.; McLardy-Smith, P.; Gundle, R.; Whitwell, D.; Gibbons, C.L.M.; Ostlere, S.; Athanasou, N.; Gill, H.S.; Murray, D.W. Pseudotumours associated with metal-on-metal hip resurfacings. J. Bone Jt. Surg. Br. 2008, 90, 847–851. [Google Scholar] [CrossRef]
- Hartmann, A.; Hannemann, F.; Lützner, J.; Seidler, A.; Drexler, H.; Günther, K.-P.; Schmitt, J. Metal ion concentrations in body fluids after implantation of hip replacements with metal-on-metal bearing—Systematic review of clinical and epidemiological studies. PLoS ONE 2013, 8, e70359. [Google Scholar] [CrossRef]
- Pozzuoli, A.; Berizzi, A.; Crimì, A.; Belluzzi, E.; Frigo, A.C.; Conti, G.; Nicolli, A.; Trevisan, A.; Biz, C.; Ruggieri, P. Metal Ion Release, Clinical and Radiological Outcomes in Large Diameter Metal-on-Metal Total Hip Arthroplasty at Long-Term Follow-Up. Diagnostics 2020, 10, 941. [Google Scholar] [CrossRef]
- Bitar, C.; Krupic, F.; Felländer-Tsai, L.; Crnalic, S.; Wretenberg, P. Living with a recalled implant: A qualitative study of patients’ experiences with ASR hip resurfacing arthroplasty. Patient Saf. Surg. 2021, 15, 2. [Google Scholar] [CrossRef]
- Klug, A.; Gramlich, Y.; Hoffmann, R.; Pfeil, J.; Drees, P.; Kutzner, K.P. Trends in Total Hip Arthroplasty in Germany from 2007 to 2016: What Has Changed and Where Are We Now? Z. Orthop. Unfall. 2021, 159, 173–180. [Google Scholar] [CrossRef] [PubMed]
- Bijukumar, D.R.; Segu, A.; Souza, J.C.M.; Li, X.; Barba, M.; Mercuri, L.G.; Jacobs, J.J.; Mathew, M.T. Systemic and local toxicity of metal debris released from hip prostheses: A review of experimental approaches. Nanomedicine 2018, 14, 951–963. [Google Scholar] [CrossRef]
- Granchi, D.; Savarino, L.M.; Ciapetti, G.; Baldini, N. Biological effects of metal degradation in hip arthroplasties. Crit. Rev. Toxicol. 2018, 48, 170–193. [Google Scholar] [CrossRef]
- Daniel, J.; Pradhan, C.; Ziaee, H.; Pynsent, P.B.; McMinn, D.J. Results of Birmingham hip resurfacing at 12 to 15 years: A single-surgeon series. Bone Jt. J. 2014, 96, 1298–1306. [Google Scholar] [CrossRef]
- Molli, R.G.; Lombardi AVJr Berend, K.R.; Adams, J.B.; Sneller, M.A. A short tapered stem reduces intraoperative complications in primary total hip arthroplasty. Clin. Orthop. Relat. Res. 2012, 470, 450–461. [Google Scholar] [CrossRef] [PubMed]
- Conner-Spady, B.L.; Marshall, D.A.; Bohm, E.; Dunbar, M.J.; Noseworthy, T.W. Comparing the validity and responsiveness of the EQ-5D-5L to the Oxford hip and knee scores and SF-12 in osteoarthritis patients 1 year following total joint replacement. Qual. Life Res. 2018, 27, 1311–1322. [Google Scholar] [CrossRef] [PubMed]
- Ramadanov, N.; Voss, M.; Hable, R.; Hakam, H.T.; Prill, R.; Salzmann, M.; Dimitrov, D.; Becker, R. Postoperative Harris Hip Score Versus Harris Hip Score Difference in Hip Replacement: What to Report? Orthop. Surg. 2025, 17, 3–21. [Google Scholar] [CrossRef] [PubMed]
- Kuklinski, D.; Marques, C.J.; Bohlen, K.; Westphal, K.C.; Lampe, F.; Geissler, A. Thresholds for meaningful improvement in WOMAC scores need to be adjusted to patient characteristics after hip and knee replacement. J. Orthop. 2022, 29, 50–59. [Google Scholar] [CrossRef]
- He, S.; Renne, A.; Argandykov, D.; Convissar, D.; Lee, J. Comparison of an Emoji-Based Visual Analog Scale with a Numeric Rating Scale for Pain Assessment. JAMA 2022, 328, 208–209. [Google Scholar] [CrossRef]
- Ribeiro, A.S.; Vieira, M.A.; da Silva, A.F.; Borges, D.L.G.; Welz, B.; Heitmann, U.; Curtius, A.J. Determination of cobalt in biological samples by line-source and high-resolution continuum source graphite furnace atomic absorption spectrometry using solid sampling or alkaline treatment. Spectrochim. Acta Part B At. Spectrosc. 2005, 60, 693–698. [Google Scholar] [CrossRef]
- Huang, Y.L.; Chuang, I.C.; Pan, C.H.; Hsiech, C.; Shi, T.S.; Lin, T.H. Determination of chromium in whole blood and urine by graphite furnace AAS. At. Spectrosc. 2000, 21, 10–16. [Google Scholar]
- Richterich, R. Clinical Chemistry: Theory and Practice; PZWL: Warsaw, Poland, 1971. [Google Scholar]
- Koster, J.F.; Biemond, P.; Swaak, A.J. Intracellular and extracellular sulphydryl levels in rheumatoid arthritis. Ann. Rheum. Dis. 1986, 45, 44–46. [Google Scholar] [CrossRef]
- Erel, O. A novel automated direct measurement method for total antioxidant capacity using a new generation, more stable ABTS radical cation. Clin. Biochem. 2004, 37, 277–285. [Google Scholar] [CrossRef] [PubMed]
- Erel, O. A new automated colorimetric method for measuring total oxidant status. Clin. Biochem. 2005, 38, 1103–1111. [Google Scholar] [CrossRef]
- Arab, K.; Steghens, J.P. Plasma lipid hydroperoxides measurement by an automated xylenol orange method. Anal. Biochem. 2004, 325, 158–163. [Google Scholar] [CrossRef] [PubMed]
- Ohkawa, H.; Ohishi, N.; Yagi, K. Assay for lipid peroxides in animal tissues by thiobarbituric acid reaction. Anal. Biochem. 1979, 95, 351–358. [Google Scholar] [CrossRef]
- Tsuchida, M.; Miura, T.; Mizutani, K.; Aibara, K. Fluorescent substances in mouse and human sera as a parameter of in vivo lipid peroxidation. Biochem. Biophys. Acta 1985, 834, 196–204. [Google Scholar] [CrossRef]
- Oyanagui, Y. Reevaluation of assay methods and establishment of kit for superoxide dismutase activity. Anal. Biochem. 1984, 142, 290–296. [Google Scholar] [CrossRef]
- Johansson, L.H.; Håkan Borg, L.A. A spectrophotometric method for determination of catalase activity in small tissue samples. Anal. Biochem. 1988, 174, 331–336. [Google Scholar] [CrossRef]
- Habig, W.H.; Pabst, M.J.; Jakoby, W.B. Glutathione S-transferases. The first enzymatic step in mercapturic acid formation. J. Biol. Chem. 1974, 249, 7130–7139. [Google Scholar] [CrossRef]
- Paglia, D.E.; Valentine, W.N. Studies on the quantitative and qualitative characterization of erythrocyte glutathione peroxidase. J. Lab. Clin. Med. 1967, 70, 158–169. [Google Scholar] [PubMed]
- Matharu, G.S.; Culliford, D.J.; Blom, A.W.; Judge, A. Projections for primary hip and knee replacement surgery up to the year 2060: An analysis based on data from The National Joint Registry for England, Wales, Northern Ireland and the Isle of Man. Ann. R. Coll. Surg. Engl. 2022, 104, 443–448. [Google Scholar] [CrossRef]
- Smith, A.J.; Dieppe, P.; Howard, P.W.; Blom, A.W.; National Joint Registry for England and Wales. Failure rates of metal-on-metal hip resurfacings: Analysis of data from the National Joint Registry for England and Wales. Lancet 2012, 380, 1759–1766. [Google Scholar] [CrossRef]
- Halawi, M.J.; Oak, S.R.; Brigati, D.; Siggers, A.; Messner, W.; Brooks, P.J. Birmingham hip resurfacing versus cementless total hip arthroplasty in patients 55 years or younger: A minimum five-year follow-up. J. Clin. Orthop. Trauma 2018, 9, 285–288. [Google Scholar] [CrossRef]
- Augustyn, A.; Stołtny, T.; Rokicka, D.; Wróbel, M.; Pająk, J.; Werner, K.; Ochocki, K.; Strojek, K.; Koczy, B. Revision arthroplasty using a custom-made implant in the course of acetabular loosening of the J&J DePuy ASR replacement system—Case report. Medicine 2022, 101, e28475. [Google Scholar]
- Parry, M.C.; Povey, J.; Blom, A.W.; Whitehouse, M.R. Comparison of Acetabular Bone Resection, Offset, Leg Length and Post Operative Function Between Hip Resurfacing Arthroplasty and Total Hip Arthroplasty. J. Arthroplast. 2015, 30, 1799–1803. [Google Scholar] [CrossRef]
- Ford, M.C.; Hellman, M.D.; Kazarian, G.S.; Clohisy, J.C.; Nunley, R.M.; Barrack, R.L. Five to Ten-Year Results of the Birmingham Hip Resurfacing Implant in the U.S.: A Single Institution’s Experience. J. Bone Jt. Surg. Am. 2018, 100, 1879–1887. [Google Scholar] [CrossRef]
- Kiran, M.; Santhapuri, S.; Moeen, S.; Merchant, I.; Arvinte, D.; Sood, M. 10-year results of ReCap hip resurfacing arthroplasty: A non-designer case series. Hip Int. 2019, 29, 393–397. [Google Scholar] [CrossRef]
- Miguela Alvarez, S.M.; Luna Gutiérrez, R.; Surroca, M.; Bartra Ylla, A.; Angles Crespo, F. [Translated article] Metal on metal total hip arthroplasty: Correlation between inclination of the acetabular and metal ion levels. Rev. Esp. Cir. Ortop. Y Traumatol. 2023, 67, T233–T239. [Google Scholar] [CrossRef]
- Matharu, G.S.; Berryman, F.; Brash, L.; Pynsent, P.B.; Treacy, R.B.; Dunlop, D.J. Influence of implant design on blood metal ion concentrations in metal-on-metal total hip replacement patients. Int. Orthop. 2015, 39, 1803–1811. [Google Scholar] [CrossRef] [PubMed]
- Berniyanti, T.; Palupi, R.; Kriswandini, I.L.; Bramantoro, T.; Putri, I.L. Suitability of MDA, 8-OHdG and wild-type p53 as genotoxic biomarkers in metal (Co, Ni and Cr) exposed dental technicians: A cross-sectional study. BMC Oral Health 2020, 20, 65. [Google Scholar] [CrossRef] [PubMed]
- Salloum, Z.; Lehoux, E.A.; Harper, M.E.; Catelas, I. Effects of cobalt and chromium ions on oxidative stress and energy metabolism in macrophages in vitro. J. Orthop. Res. 2018, 36, 3178–3187. [Google Scholar] [CrossRef]
- Singh, V.; Singh, N.; Verma, M.; Kamal, R.; Tiwari, R.; Sanjay Chivate, M.; Rai, S.N.; Kumar, A.; Singh, A.; Singh, M.P.; et al. Hexavalent-Chromium-Induced Oxidative Stress and the Protective Role of Antioxidants against Cellular Toxicity. Antioxidants 2022, 11, 2375. [Google Scholar] [CrossRef]
- Sule, K.; Umbsaar, J.; Prenner, E.J. Mechanisms of Co, Ni, and Mn toxicity: From exposure and homeostasis to their interactions with and impact on lipids and biomembranes. Biochim. Biophys. Acta Biomembr. 2020, 1862, 183250. [Google Scholar] [CrossRef]
- Song, S.B.; Shim, W.; Hwang, E.S. Lipofuscin Granule Accumulation Requires Autophagy Activation. Mol. Cells 2023, 46, 486–495. [Google Scholar] [CrossRef]
- Mas-Bargues, C.; Escrivá, C.; Dromant, M.; Borrás, C.; Viña, J. Lipid peroxidation as measured by chromatographic determination of malondialdehyde. Human plasma reference values in health and disease. Arch. Biochem. Biophys. 2021, 709, 108941. [Google Scholar] [CrossRef]
- Calabrese, E.J.; Osakabe, N.; Di Paola, R.; Siracusa, R.; Fusco, R.; D’Amico, R.; Impellizzeri, D.; Cuzzocrea, S.; Fritsch, T.; Abdelhameed, A.S.; et al. Hormesis defines the limits of lifespan. Ageing Res. Rev. 2023, 91, 102074. [Google Scholar] [CrossRef] [PubMed]
- Garavaglia, M.L.; Giustarini, D.; Colombo, G.; Reggiani, F.; Finazzi, S.; Calatroni, M.; Landoni, L.; Portinaro, N.M.; Milzani, A.; Badalamenti, S.; et al. Blood Thiol Redox State in Chronic Kidney Disease. Int. J. Mol. Sci. 2022, 23, 2853. [Google Scholar] [CrossRef] [PubMed]
- Scharf, B.; Clement, C.C.; Zolla, V.; Perino, G.; Yan, B.; Elci, S.G.; Purdue, E.; Goldring, S.; Macaluso, F.; Cobelli, N.; et al. Molecular analysis of chromium and cobalt-related toxicity. Sci. Rep. 2014, 4, 5729. [Google Scholar] [CrossRef] [PubMed]
- Guo, Y.; Xu, L.; Liu, A. Boosting the Peroxidase-like Activity of Cobalt Ions by Amino Acid-based Biological Species and Its Applications. Chem. Asian J. 2020, 15, 1067–1073. [Google Scholar] [CrossRef]
Disclaimer/Publisher’s Note: The statements, opinions and data contained in all publications are solely those of the individual author(s) and contributor(s) and not of MDPI and/or the editor(s). MDPI and/or the editor(s) disclaim responsibility for any injury to people or property resulting from any ideas, methods, instructions or products referred to in the content. |
© 2025 by the authors. Licensee MDPI, Basel, Switzerland. This article is an open access article distributed under the terms and conditions of the Creative Commons Attribution (CC BY) license (https://creativecommons.org/licenses/by/4.0/).
Share and Cite
Augustyn, A.; Dobrakowski, M.; Rokicka, D.; Wróbel, M.; Kasperczyk, S.; Strojek, K.; Koczy, B.; Stołtny, T. The Influence of the Type of Metal-on-Metal Hip Endoprosthesis on the Clinical, Biochemical, and Oxidative Balance Status—A Comparison of Resurfacing and Metaphyseal Implants. Nanomaterials 2025, 15, 1258. https://doi.org/10.3390/nano15161258
Augustyn A, Dobrakowski M, Rokicka D, Wróbel M, Kasperczyk S, Strojek K, Koczy B, Stołtny T. The Influence of the Type of Metal-on-Metal Hip Endoprosthesis on the Clinical, Biochemical, and Oxidative Balance Status—A Comparison of Resurfacing and Metaphyseal Implants. Nanomaterials. 2025; 15(16):1258. https://doi.org/10.3390/nano15161258
Chicago/Turabian StyleAugustyn, Aleksander, Michał Dobrakowski, Dominika Rokicka, Marta Wróbel, Sławomir Kasperczyk, Krzysztof Strojek, Bogdan Koczy, and Tomasz Stołtny. 2025. "The Influence of the Type of Metal-on-Metal Hip Endoprosthesis on the Clinical, Biochemical, and Oxidative Balance Status—A Comparison of Resurfacing and Metaphyseal Implants" Nanomaterials 15, no. 16: 1258. https://doi.org/10.3390/nano15161258
APA StyleAugustyn, A., Dobrakowski, M., Rokicka, D., Wróbel, M., Kasperczyk, S., Strojek, K., Koczy, B., & Stołtny, T. (2025). The Influence of the Type of Metal-on-Metal Hip Endoprosthesis on the Clinical, Biochemical, and Oxidative Balance Status—A Comparison of Resurfacing and Metaphyseal Implants. Nanomaterials, 15(16), 1258. https://doi.org/10.3390/nano15161258

