Is There an Ideal Concentration of Ozonized Oil for the Prevention and Modulation of Zoledronate-Induced Mandibular Osteonecrosis? A Study on Senescent Rats
Abstract
1. Introduction
2. Materials and Methods
2.1. Animals
2.2. Outline of the Surgical Procedure
2.3. Euthanasia
2.4. Analyses
2.4.1. Clinical Analysis
2.4.2. Analysis and Processing of Calcified Tissues: Micro-Computed Tomography (Micro-CT)
2.4.3. Laboratory Processing of Parts
2.4.4. Microscopic Analysis and Microscopic Area of Interest (AMI)
2.4.5. Bone Tissue Histometry: Neoformed Bone Tissue (NFBT) and Non-Vital Bone Tissue (NVBT)
2.4.6. Anatomopathological Analysis of Metabolizing Organs
2.5. Statistical Analysis
3. Results
3.1. Clinical Analysis
3.2. Micro-CT
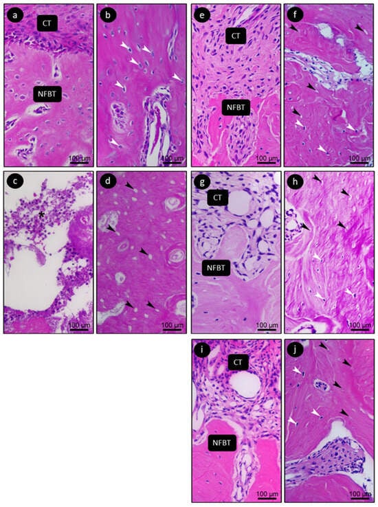
3.3. Histological Analysis
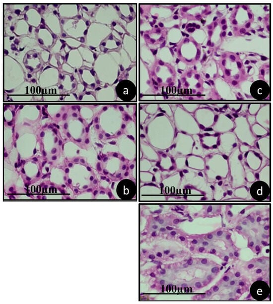
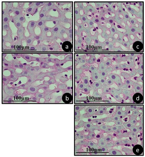
3.4. Pathology of Metabolizing Organs
3.5. Bone Tissue Histometry: NFBT and NVBT
4. Discussion
5. Conclusions
Author Contributions
Funding
Institutional Review Board Statement
Informed Consent Statement
Data Availability Statement
Acknowledgments
Conflicts of Interest
References
- Ruggiero, S.L.; Dodson, T.B.; Fantasia, J.; Goodday, R.; Aghaloo, T.; Mehrotra, B.; O’Ryan, F. American Association of Oral and Maxillofacial Surgeons position paper on medication-related osteonecrosis of the jaw—2014 update. J. Oral Maxillofac. Surg. 2014, 72, 1938–1956. [Google Scholar] [CrossRef] [PubMed]
- Jamalpour, M.R.; Shahabi, S.; Baghestani, M.; Shokri, A.; Jamshidi, S.; Khazaei, S. Complementarity of surgical therapy, photobiomodulation, A-PRF and L-PRF for management of medication-related osteonecrosis of the jaw (MRONJ): An animal study. BMC Oral Health 2022, 22, 241. [Google Scholar] [CrossRef] [PubMed]
- Marx, R.E.; Cillo, J.E., Jr.; Ulloa, J.J. Oral bisphosphonate-induced osteonecrosis: Risk factors, prediction of risk using serum CTX testing, prevention, and treatment. J. Oral Maxillofac. Surg. 2007, 65, 2397–2410. [Google Scholar] [CrossRef] [PubMed]
- McGowan, K.; McGowan, T.; Ivanovski, S. Risk factors for medication-related osteonecrosis of the jaws: A systematic review. Oral Dis. 2018, 24, 527–536. [Google Scholar] [CrossRef]
- Ruggiero, S.L.; Mehrotra, B.; Rosenberg, T.J.; Engroff, S.L. Osteonecrosis of the jaws associated with the use of bisphosphonates: A review of 63 cases. J. Oral Maxillofac. Surg. 2004, 62, 527–534. [Google Scholar] [CrossRef] [PubMed]
- Mendes, V.; Dos Santos, G.; Calasans-Maia, M.; Granjeiro, J.; Moraschini, V. Impact of bisphosphonate therapy on dental implant outcomes: An overview of systematic review evidence. Int. J. Oral Maxillofac. Surg. 2019, 48, 373–381. [Google Scholar] [CrossRef]
- Aljohani, S.; Fliefel, R.; Ihbe, J.; Kühnisch, J.; Ehrenfeld, M.; Otto, S. What is the effect of anti-resorptive drugs (ARDs) on the development of medication-related osteonecrosis of the jaw (MRONJ) in osteoporosis patients: A systematic review. J. Craniomaxillofac. Surg. 2017, 45, 1493–1502. [Google Scholar] [CrossRef]
- de-Freitas, N.R.; Lima, L.B.; de-Moura, M.B.; Veloso-Guedes, C.d.C.F.; Simamoto-Júnior, P.C.; de-Magalhães, D. Bisphosphonate treatment and dental implants: A systematic review. Med. Oral Patol. Oral Cir. Bucal. 2016, 21, e644. [Google Scholar] [CrossRef]
- Ervolino, E.; Statkievicz, C.; Toro, L.F.; de Mello-Neto, J.M.; Cavazana, T.P.; Issa, J.P.M.; Dornelles, R.C.M.; de Almeida, J.M.; Nagata, M.J.H.; Okamoto, R.; et al. Antimicrobial photodynamic therapy improves the alveolar repair process and prevents the occurrence of osteonecrosis of the jaws after tooth extraction in senile rats treated with zoledronate. Bone 2019, 120, 101–113. [Google Scholar] [CrossRef]
- Gómez Font, R.; Martínez García, M.L.; Olmos Martínez, J.M. Osteochemonecrosis of the jaws due to bisphosphonate treatments: Update. Med. Oral Patol. Oral Cir. Bucal. 2008, 13, E318–E324. [Google Scholar] [PubMed]
- Aghaloo, T.; Hazboun, R.; Tetradis, S. Pathophysiology of osteonecrosis of the jaws. Oral Maxillofac. Surg. Clin. N. Am. 2015, 27, 489–496. [Google Scholar] [CrossRef]
- Song, M.; Alshaikh, A.; Kim, T.; Kim, S.; Dang, M.; Mehrazarin, S.; Shin, K.H.; Kang, M.; Park, N.H.; Kim, R.H. Preexisting periapical inflammatory condition exacerbates tooth extraction–induced bisphosphonate-related osteonecrosis of the jaw lesions in mice. J. Endod. 2016, 42, 1641–1646. [Google Scholar] [CrossRef]
- Thumbigere-Math, V.; Michalowicz, B.S.; Hodges, J.S.; Tsai, M.L.; Swenson, K.K.; Rockwell, L.; Gopalakrishnan, R. Periodontal disease as a risk factor for bisphosphonate-related osteonecrosis of the jaw. J. Periodontol. 2014, 85, 226–233. [Google Scholar] [CrossRef]
- Otto, S.; Schnödt, E.M.; Haidari, S.; Brunner, T.F.; Aljohani, S.; Mosleh, M.; Ristow, O.; Troeltzsch, M.; Pautke, C.; Ehrenfeld, M.; et al. Autofluorescence-guided surgery for the treatment of medication-related osteonecrosis of the jaw (MRONJ): A retrospective single-center study. Oral Surg. Oral Med. Oral Pathol. Oral Radiol. 2021, 131, 519–526. [Google Scholar] [CrossRef]
- Toker, H. The effects of allograft combined with ozone therapy on regeneration of calvarial defects in rats. Cumhur. Dent. J. 2016, 19, 205–213. [Google Scholar] [CrossRef]
- Heifetz-Li, J.J.; Abdelsamie, S.; Campbell, C.B.; Roth, S.; Fielding, A.F.; Mulligan, J.P. Systematic review of the use of pentoxifylline and tocopherol for the treatment of medication-related osteonecrosis of the jaw. Oral Surg. Oral Med. Oral Pathol. Oral Radiol. 2019, 128, 491–497.e2. [Google Scholar] [CrossRef]
- Li, F.L.; Wu, C.B.; Sun, H.J.; Zhou, Q. Effectiveness of laser-assisted treatments for medication-related osteonecrosis of the jaw: A systematic review. Br. J. Oral Maxillofac. Surg. 2020, 58, 256–267. [Google Scholar] [CrossRef] [PubMed]
- Bocci, V.A. Scientific and medical aspects of ozone therapy. State of the art. Arch. Med. Res. 2006, 37, 425–435. [Google Scholar] [CrossRef] [PubMed]
- Mauceri, R.; Panzarella, V.; Pizzo, G.; Oteri, G.; Cervino, G.; Mazzola, G.; Di Fede, O.; Campisi, G. Platelet-Rich Plasma (PRP) in Dental Extraction of Patients at Risk of Bisphosphonate-Related Osteonecrosis of the Jaws: A Two-Year Longitudinal Study. Appl. Sci. 2020, 10, 4487. [Google Scholar] [CrossRef]
- Monteiro, C.; Vieira, E.; Emerick, C.; Azevedo, R.; Pascoal, V.; Homsi, N.; Lins, R.X. Ozonated oil effect for prevention of medication-related osteonecrosis of the jaw (MRONJ) in rats undergoing zoledronic acid therapy. Clin. Oral Investig. 2021, 25, 6653–6659. [Google Scholar] [CrossRef] [PubMed]
- Ripamonti, C.I.; Cislaghi, E.; Mariani, L.; Maniezzo, M. Efficacy and safety of medical ozone (O3) delivered in oil suspension applications for the treatment of osteonecrosis of the jaw in patients with bone metastases treated with bisphosphonates: Preliminary results of a phase I–II study. Oral Oncol. 2011, 47, 185–190. [Google Scholar] [CrossRef] [PubMed]
- Xiao, W.; Tang, H.; Wu, M.; Liao, Y.; Li, K.; Li, L.; Xu, X. Ozone oil promotes wound healing by increasing the migration of fibroblasts via PI3K/Akt/mTOR signaling pathway. Biosci. Rep. 2017, 37, BSR20170658. [Google Scholar] [CrossRef]
- Erdemci, F.; Gunaydin, Y.; Sencimen, M.; Bassorgun, I.; Ozler, M.; Oter, S.; Gulses, A.; Gunal, A.; Sezgin, S.; Bayar, G.R.; et al. Histomorphometric evaluation of the effect of systemic and topical ozone on alveolar bone healing following tooth extraction in rats. Int. J. Oral Maxillofac. Surg. 2014, 43, 777–783. [Google Scholar] [CrossRef] [PubMed]
- Kan, B.; Sencimen, M.; Bayar, G.R.; Korkusuz, P.; Coskun, A.T.; Korkmaz, A.; Bahador, E.; Zerener, T. Histomorphometric and microtomographic evaluation of the effects of hyperbaric oxygen and systemic ozone, used alone and in combination, on calvarial defect healing in rats. J. Oral Maxillofac. Surg. 2015, 73, 1231.e1–1231.e10. [Google Scholar] [CrossRef]
- Dourado, A.L.T.; dos Santos, A.F.L.; da Cruz Rocha, R. Aplicações clínicas do ozônio na odontologia: Revisão de literatura. Rev. Ciênci. Odontol. 2021, 5, 46–56. [Google Scholar]
- Lim, Y.; Lee, H.; Woodby, B.; Valacchi, G. Ozonated Oils and Cutaneous Wound Healing. Curr. Pharm. Des. 2019, 25, 2264–2278. [Google Scholar] [CrossRef]
- Lima-Neto, T.J.; Delanora, L.A.; Eloise, M.; Henderson, K.; Matsumoto, M.A.; Jefferson, M.; Shibli, J.A.; Ervolino, E.; Faverani, L.P. Ozone improved bone dynamic of female rats using zoledronate. Tissue Eng. Part. C Methods 2024, 30, 1–14. [Google Scholar] [CrossRef]
- Percie du Sert, N.; Hurst, V.; Ahluwalia, A.; Alam, S.; Avey, M.T.; Baker, M.; Browne, W.J.; Clark, A.; Cuthill, I.C.; Dirnagl, U.; et al. The ARRIVE guidelines 2.0: Updated guidelines for reporting animal research. J. Cereb. Blood Flow. Metab. 2020, 40, e3000410. [Google Scholar] [CrossRef] [PubMed]
- Rogers, M.; Mönkkönen, J.; Munoz, M.A. Molecular mechanisms of action of bisphosphonates and new insights into their effects outside the skeleton. Bone 2020, 139, 115493. [Google Scholar] [CrossRef]
- Piozzi, R.; Ribeiro, D.A.; Padovan, L.E.; Nary Filho, H.; Matsumoto, M.A. Genotoxicity and cytotoxicity in multiple organs induced by titanium miniplates in Wistar rats. J. Biomed. Mater. Res. Part A 2009, 88, 342–347. [Google Scholar] [CrossRef]
- Ruggiero, S.L.; Dodson, T.B.; Aghaloo, T.; Carlson, E.R.; Ward, B.B.; Kademani, D. American Association of Oral and Maxillofacial Surgeons’ Position Paper on Medication-Related Osteonecrosis of the Jaw–2022 Update. J. Oral Maxillofac. Surg. 2022, 80, 920–943. [Google Scholar] [CrossRef] [PubMed]
- Zavras, A.I.; Zhu, S. Bisphosphonates are associated with increased risk for jaw surgery in medical claims data: Is it osteonecrosis? J. Oral Maxillofac. Surg. 2006, 64, 917–923. [Google Scholar] [CrossRef] [PubMed]
- Fitzpatrick, S.G.; Stavropoulos, M.F.; Bowers, L.M.; Neuman, A.N.; Hinkson, D.W.; Green, J.G.; Bhattacharyya, I.; Cohen, D.M. Bisphosphonate-related osteonecrosis of jaws in 3 osteoporotic patients with history of oral bisphosphonate use treated with single yearly zoledronic acid infusion. J. Oral Maxillofac. Surg. 2012, 70, 325–330. [Google Scholar] [CrossRef] [PubMed]
- Khan, A.A.; Morrison, A.; Hanley, D.A.; Felsenberg, D.; McCauley, L.K.; O’Ryan, F.; Reid, I.R.; Ruggiero, S.L.; Taguchi, A.; Tetradis, S.; et al. Diagnosis and management of osteonecrosis of the jaw: A systematic review and international consensus. J. Bone Miner. Res. 2015, 30, 3–23. [Google Scholar] [CrossRef]
- Travagli, V.; Zanardi, I.; Valacchi, G.; Bocci, V. Ozone and ozonated oils in skin diseases: A review. Mediat. Inflamm. 2010, 2010, 610418. [Google Scholar] [CrossRef]
- Valacchi, G.; De Luca, C.; Wertz, P.W. Lipid mediators in skin inflammation: Updates and current views. Mediat. Inflamm. 2010, 2010, 398926. [Google Scholar] [CrossRef][Green Version]









| Groups | BV (mm) | Po.Tot (%) |
|---|---|---|
| SAL | 0.35 ± 0.07 | 61.12 ± 4.62 |
| ZOL | 0.03 ± 0.01 | 54 ± 3.43 |
| ZOL+OZ500 | 0.25 ± 0.13 b | 52.5 ± 3.13 |
| ZOL+OZ600 | 0.39 ± 0.05 abc | 61.21 ± 4.45 |
| ZOL+OZ700 | 0.24 ± 0.05 abd | 57.85 ± 9.9 |
| Groups | Tb.N (1/mm) | Tb.Sp (mm) | Tb.Th (mm) |
|---|---|---|---|
| SAL | 5.301 ± 4.47 | 1.9 ± 4.62 | 0.09 ± 0.01 |
| ZOL | 3.46 ± 9.02 | 54 ± 3.43 a | 0.09 ± 0.08 |
| ZOL+OZ500 | 2.29 ± 7.36 a | 52.50 ± 3.13 b | 0.102 ± 0.01 |
| ZOL+OZ600 | 3.95 ± 8.86 | 61.21 ± 4.45 b | 0.10 ± 0.01 |
| ZOL+OZ700 | 2.19 ± 7.84 a | 57.85 ± 9.90 | 0.11 ± 0.02 |
Disclaimer/Publisher’s Note: The statements, opinions and data contained in all publications are solely those of the individual author(s) and contributor(s) and not of MDPI and/or the editor(s). MDPI and/or the editor(s) disclaim responsibility for any injury to people or property resulting from any ideas, methods, instructions or products referred to in the content. |
© 2024 by the authors. Licensee MDPI, Basel, Switzerland. This article is an open access article distributed under the terms and conditions of the Creative Commons Attribution (CC BY) license (https://creativecommons.org/licenses/by/4.0/).
Share and Cite
Silva, M.C.; Delamura, I.F.; de Sá Simon, M.E.; Barbosa, S.; Ting, D.T.; Bechara, K.; Shibli, J.A.; Mourão, C.F.; Bassi, A.P.F.; Ervolino, E.; et al. Is There an Ideal Concentration of Ozonized Oil for the Prevention and Modulation of Zoledronate-Induced Mandibular Osteonecrosis? A Study on Senescent Rats. J. Funct. Biomater. 2024, 15, 353. https://doi.org/10.3390/jfb15120353
Silva MC, Delamura IF, de Sá Simon ME, Barbosa S, Ting DT, Bechara K, Shibli JA, Mourão CF, Bassi APF, Ervolino E, et al. Is There an Ideal Concentration of Ozonized Oil for the Prevention and Modulation of Zoledronate-Induced Mandibular Osteonecrosis? A Study on Senescent Rats. Journal of Functional Biomaterials. 2024; 15(12):353. https://doi.org/10.3390/jfb15120353
Chicago/Turabian StyleSilva, Mirela Caroline, Izabela Fornazari Delamura, Maria Eloise de Sá Simon, Stefany Barbosa, David Tawei Ting, Karen Bechara, Jamil Awad Shibli, Carlos Fernando Mourão, Ana Paula Farnezi Bassi, Edilson Ervolino, and et al. 2024. "Is There an Ideal Concentration of Ozonized Oil for the Prevention and Modulation of Zoledronate-Induced Mandibular Osteonecrosis? A Study on Senescent Rats" Journal of Functional Biomaterials 15, no. 12: 353. https://doi.org/10.3390/jfb15120353
APA StyleSilva, M. C., Delamura, I. F., de Sá Simon, M. E., Barbosa, S., Ting, D. T., Bechara, K., Shibli, J. A., Mourão, C. F., Bassi, A. P. F., Ervolino, E., & Faverani, L. P. (2024). Is There an Ideal Concentration of Ozonized Oil for the Prevention and Modulation of Zoledronate-Induced Mandibular Osteonecrosis? A Study on Senescent Rats. Journal of Functional Biomaterials, 15(12), 353. https://doi.org/10.3390/jfb15120353

