Biocompatibility, Biomineralization and Induction of Collagen Maturation with the Use of Calcium Hydroxide and Iodoform Intracanal Dressing
Abstract
1. Introduction
2. Materials and Methods
2.1. Animals
2.2. Surgical Procedures
2.3. Histological Analysis
2.4. Statistical Analysis
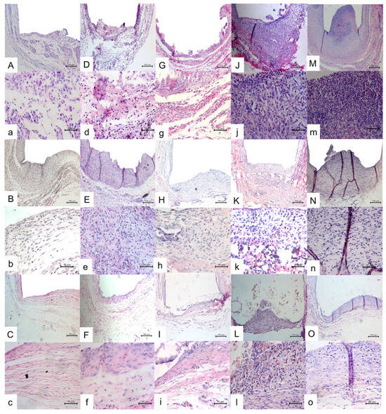
3. Results
3.1. Control Group [C]
3.2. Calcium Hydroxide + Propylene Glycol Group [CH+P]
3.3. Calcium Hydroxide + Propylene Glycol + Iodoform Group [CH+P+I]
3.4. Iodoform + Carbowax Group [I+Cwax]
3.5. Carbowax Group [Cwax]
3.6. Comparison among Groups
4. Discussion
5. Conclusions
Author Contributions
Funding
Institutional Review Board Statement
Informed Consent Statement
Data Availability Statement
Acknowledgments
Conflicts of Interest
References
- Tibúrcio-Machado, C.S.; Michelon, C.; Zanatta, F.B.; Gomes, M.S.; Marin, J.A.; Bier, C.A. The global prevalence of apical periodontitis: A systematic review and meta-analysis. Int. Endod. J. 2021, 54, 712–735. [Google Scholar] [CrossRef] [PubMed]
- Turk, B.T.; Shen, B.H.; Ozturk, T. In Vitro antimicrobial activity of calcium hydroxide mixed with different vehicles against Enterococcus faecalis and Candida albicans. Oral Surg. Oral Med. Oral Pathol. Oral Radiol. Endod. 2009, 108, 297–301. [Google Scholar] [CrossRef] [PubMed]
- Zancan, R.F.; Vivan, R.R.; Milanda Lopes, M.R.; Weckwerth, P.H.; de Andrade, F.B.; Ponce, J.B.; Duarte, M.A.H. Antimicrobial Activity and Physicochemical Properties of Calcium Hydroxide Pastes Used as Intracanal Medication. J. Endod. 2016, 42, 1822–1828. [Google Scholar] [CrossRef] [PubMed]
- Nascimento, G.G.; Rabello, D.G.D.; Corazza, B.J.M.; Gomes, A.P.M.; Silva, E.G.; Martinho, F.C. Comparison of the effectiveness of single- and multiple-sessions disinfection protocols against endotoxins in root canal infections: Systematic review and meta-analysis. Sci. Rep. 2021, 11, 1226. [Google Scholar] [CrossRef] [PubMed]
- Fernandes, P.O.F.; Freire, L.G.; Iglecias, E.F.; Vieira, B.R.; Zuolo, M.L.; Gavini, G. Assessment of mechanical root canal preparation with centric reciprocating or eccentric rotary kinematics: A micro-computed tomography study. J. Endod. 2020, 46, 1309–1316. [Google Scholar] [CrossRef]
- Santos, J.M.; Palma, P.J.; Ramos, J.C.; Cabrita, A.S.; Friedman, S. Periapical inflammation subsequent to coronal inoculation of dog teeth root filled with Resilon/ Epiphany in 1 or 2 treatment sessions with chlorhexidine medication. J. Endod. 2014, 40, 837–841. [Google Scholar] [CrossRef]
- Sharma, G.; Ahmed, H.M.A.; Zilm, P.S.; Rossi-Fedele, G. Antimicrobial properties of calcium hydroxide dressing when used for long-term application: A systematic review. Aust. Endod. J. 2018, 44, 60–65. [Google Scholar] [CrossRef]
- Borza, R.C.; Ignat-Romanul, I.M. Calcium Hydroxide—A Biomaterial Used in the Infectious Therapy in Dental Medicine. Key Eng. Mater. 2016, 695, 55–58. [Google Scholar] [CrossRef]
- Estrela, C.; Cintra, L.T.A.; Duarte, M.A.H.; Rossi-Fedele, G.; Gavini, G.; Sousa-Neto, M.D. Mechanism of action of Bioactive Endodontic Materials. Braz. Dent. J. 2023, 34, 1–11. [Google Scholar] [CrossRef]
- Duarte, M.A.; Midena, R.Z.; Zeferino, M.A.; Vivan, R.R.; Weckwerth, P.H.; Dos Santos, F.; Guerreiro-Tanomaru, J.M.; Tanomaru-Filho, M. Evaluation of pH and calcium ion release of calcium hydroxide pastes containing different substances. J. Endod. 2009, 35, 1274–1277. [Google Scholar] [CrossRef]
- Delgado, R.J.; Gasparoto, T.H.; Sipert, C.R.; Pinheiro, C.R.; Moraes, I.G.; Garcia, R.B.; Bramante, C.M.; Campanelli, A.P.; Bernardineli, N. Antimicrobial Effects of Calcium Hydroxide and Chlorhexidine on Enterococcus faecalis. J. Endod. 2010, 36, 1389–1393. [Google Scholar] [CrossRef] [PubMed]
- Vidal, S.; Leão, D.A.; Guimarães, F.M.; Gonçalves, M.O.; Pinheiro, R.F.; Cunha, T.C.R.; Duarte, M.A.H.; Duque, J.A. Influence of the calcium hydroxide paste vehicle on penetration into lateral canals. Braz. Dent. Sci. 2018, 21, 282–287. [Google Scholar] [CrossRef][Green Version]
- Estrela, C.; Estrela, C.R.A.; Hollanda, A.C.B.; Decurcio, D.A.; Pecora, J.D. Influence of iodoform on antimicrobial potential of calcium hydroxide. J. Appl. Oral Sci. 2006, 14, 33–37. [Google Scholar] [CrossRef] [PubMed]
- Ordinola-Zapata, R.; Bramante, C.M.; García-godoy, F.; Moldauer, B.I.; Minotti, P.G.; Tercília Grizzo, L.; Duarte, M.A.H. The effect of radiopacifiers agents on pH, calcium release, radiopacity, and antimicrobial properties of different calcium hydroxide dressings. Microsc. Res. Tech. 2015, 78, 620–625. [Google Scholar] [CrossRef] [PubMed]
- Cwikla, S.J.; Belanger, M.; Giguere, S.; Progulske-Fox, A.; Vertucci, F.J. Dentinal tubule disinfection using three calcium hydroxide formulations. J. Endod. 2005, 31, 50–52. [Google Scholar] [CrossRef]
- Pallotta, R.C.; de Lima Machado, M.E.; dos Reis, N.S.; Martins, G.H.R.; Nabeshima, C.K. Tissue inflammatory response to implantation of calcium hydroxide and iodoform in the back of rats. Rev. Odonto Ciênc 2010, 25, 59–64. [Google Scholar] [CrossRef]
- Machado, M.E.D.L.; Martins, G.H.R.; Carreira, K.; Peixoto, K.T.; Nabeshima, C.K.; Gales, A.C. Antimicrobial effect of two endodontic medicaments with different exposure times, and the morphologic alterations caused to Enterococcus faecalis. Rev. Odonto Ciênc. 2011, 26, 336–340. [Google Scholar] [CrossRef]
- ANVISA Website. Available online: https://consultas.anvisa.gov.br/#/saude/25351584389201901/?cnpj=01953085000195&numeroProcesso=25351584389201901&nomeProduto=PASTA%20MACHADO&numeroRegistro=80013980041 (accessed on 9 October 2023).
- Manufacturer Website. Available online: https://formulaeacao.com.br/produto/pasta-machado-2g/ (accessed on 9 October 2023).
- ISO/TC 194 10993-6; Biological Evaluation of Medical Devices. Part 6: Tests for Local Effects after Implantation. International Organization for Standardization (ISO): Geneva, Switzerland, 2016.
- Cosme-Silva, L.; Gomes-Filho, J.E.; Benetti, F.; Dal-Fabbro, R.; Sakai, V.T.; Cintra, L.T.A.; Ervolino, E.; Viola, N.V. Biocompatibility and immunohistochemical evaluation of a new calcium silicate-based cement, Bio-C Pulpo. Int. Endod. J. 2019, 52, 689–700. [Google Scholar] [CrossRef]
- Percie du Sert, N.; Hurst, V.; Ahluwalia, A.; Alam, S.; Avey, M.T.; Baker, M.; Browne, W.J.; Clark, A.; Cuthill, I.C.; Dirnagl, U.; et al. The ARRIVE guidelines 2.0: Updated guidelines for reporting animal research. PLoS Biol. 2020, 18, e3000410. [Google Scholar]
- Bueno, C.R.E.; Benetti, F.; Cury, M.T.S.; Vasques, A.M.V.; Cosme-Silva, L.; Queiroz, Í.O.A.; da Silva, A.C.R.; Jacinto, R.C.; Cintra, L.T.A.; Dezan-Junior, E. Biological investigation of resinous endodontic sealers containing calcium hydroxide. PLoS ONE 2023, 18, e0287890. [Google Scholar] [CrossRef]
- Cintra, L.T.A.; Benetti, F.; Queiroz, Í.O.A.; Ferreira, L.L.; Massunari, L.; Bueno, C.R.E.; Oliveira, S.H.P.; Gomes-Filho, J.E. Evaluation of the Cytotoxicity and Biocompatibility of New Resin Epoxy–based Endodontic Sealer Containing Calcium Hydroxide. J. Endod. 2017, 43, 2088–2092. [Google Scholar] [CrossRef] [PubMed]
- Edanami, N.; Belal, R.S.; Takenaka, S.; Yoshiba, K.; Gutierrez, R.E.B.; Takahara, S.; Yoshiba, N.; Ohkura, N.; Noiri, Y. In Vivo Assessment of the Calcium Salt-Forming Ability of a New Calcium Silicate-Based Intracanal Medicament: Bio-C Temp. Dent. J. 2023, 11, 91. [Google Scholar] [CrossRef] [PubMed]
- Benetti, F.; Bueno, C.R.E.; Reis-Prado, A.H.; Souza, M.T.; Goto, J.; Camargo, J.M.P.; Duarte, M.A.H.; Dezan-Júnior, E.; Zanotto, E.D.; Cintra, L.T.A. Biocompatibility, Biomineralization, and Maturation of Collagen by RTR®, Bioglass and DM Bone® Materials. Braz. Dent. J. 2020, 31, 477–484. [Google Scholar] [CrossRef] [PubMed]
- de Oliveira Gonzalez, A.C.; Costa, T.F.; de Araújo Andrade, Z.; Medrado, A.R.A.P. Wound healing—A literature review. An. Bras. Dermatol. 2016, 91, 614–620. [Google Scholar] [CrossRef] [PubMed]
- Kayaoglu, G.; Erten, H.; Alacam, T.; Orstavik, D. Short-term antibacterial activity of root canal sealers towards Enterococcus faecalis. Int. Endod. J. 2005, 38, 483–488. [Google Scholar] [CrossRef]
- Holland, R.; Souza, V.; Tagliavini, R.L.; Milanezi, L.A. Healing process of teeth with open apices: Histological study. Bull. Tokyo Dent. Coll. 1971, 12, 333–338. [Google Scholar]
- Kuga, M.C.; Faria, G.; So, M.V.; Keine, K.C.; Santos, A.D.; Duarte, M.A.H.; Kopper, P.M.P. The impact of the addition of iodoform on the physicochemical properties of an epoxy-based endodontic sealer. J. Appl. Oral Sci. 2014, 22, 125–130. [Google Scholar] [CrossRef]
- Holland, R.; Souza, V. Ability of a new calcium hydroxide root canal filling material to induce hard tissue formation. J. Endod. 1985, 11, 535–543. [Google Scholar] [CrossRef]
- Silva, L.A.B.D.; Lopes, Z.M.S.; Sá, R.C.; Novaes Júnior, A.B.; Romualdo, P.C.; Lucisano, M.P.; Nelson-Filho, P.; Silva, R.A.B.D. Comparison of apical periodontitis repair in endodontic treatment with calcium hydroxide-dressing and aPDT. Braz. Oral Res. 2019, 33, e092. [Google Scholar] [CrossRef]
- Montes, G.S.; Junqueira, L.C. The use of the Picrosirius-polarization method for the study of the biopathology of collagen. Memórias Inst. Oswaldo Cruz 1991, 86 (Suppl. 3), 1–11. [Google Scholar] [CrossRef]
- de Morais, C.A.; Bernardineli, N.; Garcia, R.B.; Duarte, M.A.H.; Guerisoli, D.M. Evaluation of tissue response to MTA and Portland cement with iodoform. Oral Surg. Oral Med. Oral Pathol. Oral Radiol. Endod. 2006, 102, 417–421. [Google Scholar] [CrossRef] [PubMed]
- Lourenco-Neto, N.; Marques, N.C.; Fernandes, A.P.; Duarte, M.A.H.; Abdo, R.C.; Machado, M.A.; Oliveira, T.M. Clinical and radiographic evaluation of Portland cement added to radiopacifying agents in primary molar pulpotomies. Eur. Arch. Paediatr. Dent. 2015, 16, 377–382. [Google Scholar] [CrossRef] [PubMed]
- Marques, N.; Lourenco Neto, N.; Fernandes, A.P.; Rodini, C.; Duarte, M.A.H.; Rios, D.; Machado, M.A.; Oliveira, T. Pulp tissue response to Portland cement associated with different radio pacifying agents on pulpotomy of human primary molars. J. Microsc. 2015, 260, 281–286. [Google Scholar] [CrossRef]
- Holland, R.; Souza, V.; Nery, M.J.; Bernabé, F.; Filho, J.A.; Dezan Junior, E.; Murata, S.S. Calcium salts deposition in rat connective tissue after implantation of calcium hydroxide-containing sealers. J. Endod. 2002, 28, 173–176. [Google Scholar] [CrossRef]
- Murray, P.E. Review of guidance for the selection of regenerative endodontics, apexogenesis, apexification, pulpotomy, and other endodontic treatments for immature permanent teeth. Int. Endod. J. 2023, 56 (Suppl. 2), 188–199. [Google Scholar] [CrossRef] [PubMed]
- American Association of Endodontics. American Association of Endodontics Clinical Considerations for a Regenerative Procedure. Available online: https://www.aae.org/specialty/wp-content/uploads/sites/2/2017/06/currentregenerativeendodonticconsiderations.pdf (accessed on 9 October 2023).
- Galler, K.M.; Krastl, G.; Simon, S.; Van Gorp, G.; Meschi, N.; Vahedi, B.; Lambrechts, P. European Society of Endodontology position statement: Revitalization procedures. Int. Endod. J. 2016, 49, 717–723. [Google Scholar] [CrossRef] [PubMed]
- Kandemir Demirci, G.; Kaval, M.E.; Güneri, P.; Çalışkan, M.K. Treatment of immature teeth with nonvital pulps in adults: A prospective comparative clinical study comparing MTA with Ca(OH)2. Int. Endod. J. 2020, 53, 5–18. [Google Scholar] [CrossRef] [PubMed]
- Ajram, J.; Khalil, I.; Gergi, R.; Zogheib, C. Management of an Immature Necrotic Permanent Molar with Apical Periodontitis Treated by Regenerative Endodontic Protocol Using Calcium Hydroxide and MM-MTA: A Case Report with Two Years Follow up. Dent. J. 2019, 7, 1. [Google Scholar] [CrossRef] [PubMed]
- Bose, R.; Nummikoski, P.; Hargreaves, K. A retrospective evaluation of radiographic outcomes in immature teeth with necrotic root canal systems treated with regenerative endodontic procedures. J. Endod. 2009, 35, 1343–1349. [Google Scholar] [CrossRef]
- Santos, J.M.; Coelho, C.M.; Sequeira, D.; Marques, J.A.; Pereira, J.F.; Sousa, V.; Palma, P.J.; Santos, A.C. Subcutaneous Implantation Assessment of New Calcium-Silicate Based Sealer for Warm Obturation. Biomedicines 2021, 9, 24. [Google Scholar] [CrossRef]
- Duarte, M.A.H.; de O. Demarchi, A.C.C.; de Moraes, I.G. Determination of pH and calcium ion release provided by pure and calcium hydroxide-containing AHPlus. Int. Endod. J. 2004, 37, 42–45. [Google Scholar] [CrossRef] [PubMed]



| Inflammatory Score | Median | Fibrous Capsule | Biomineralization | ||||||
|---|---|---|---|---|---|---|---|---|---|
| 0 | 1 | 2 | 3 | Thick | Thin | VK | PL | ||
| 7 days | |||||||||
| C | 0 | 1 | 4 | 1 | 2 a | 6 | 0 | − | − | 
| CH+P | 0 | 1 | 4 | 1 | 2 a | 6 | 0 | + | + | 
| CH+P+I | 0 | 0 | 5 | 1 | 2 a | 6 | 0 | + | + | 
| I+Cwax | 0 | 0 | 4 | 2 | 2 a | 6 | 0 | − | − | 
| Cwax | 0 | 0 | 2 | 4 | 3 b | 6 | 0 | − | − | 
| 15 days | |||||||||
| C | 0 | 2 | 3 | 1 | 2 a | 6 | 0 | − | − | 
| CH+P | 0 | 1 | 5 | 0 | 2 a | 4 | 2 | + | + | 
| CH+P+I | 0 | 1 | 4 | 1 | 2 a | 3 | 3 | + | + | 
| I+Cwax | 0 | 0 | 4 | 2 | 2 a | 5 | 1 | − | − | 
| Cwax | 0 | 0 | 4 | 2 | 2 a | 3 | 3 | − | − | 
| 30 days | |||||||||
| C | 1 | 5 | 0 | 0 | 1 a | 0 | 6 | − | − | 
| CH+P | 0 | 4 | 2 | 0 | 1 a | 0 | 6 | + | + | 
| CH+P+I | 0 | 3 | 3 | 0 | 1.5 a | 0 | 6 | + | + | 
| I+Cwax | 0 | 4 | 2 | 0 | 1 a | 0 | 6 | − | − | 
| Cwax | 0 | 4 | 2 | 0 | 1 a | 0 | 6 | − | − | 
| Groups | 7D | 15D | 30D | 
|---|---|---|---|
| C | 0.619 ± 0.237 a,b | 0.805 ± 0.189 a | 0.724 ± 0.556 a,b | 
| CH+P | 0.357 ± 0.365 a | 0.400 ± 0.254 a,b | 1.539 ± 0.707 a,* | 
| CH+P+I | 0.486 ± 0.604 a,b | 0.394 ± 0.473 a,b | 0.559 ± 0.396 b | 
| I+Cwax | 0.874 ± 1.450 b | 0.321 ± 0.2075 b | 0.605 ± 0.393 a,b | 
| Cwax | 0.408 ± 0.506 a | 0.601 ± 0.315 a,b | 0.088 ± 0.405 b | 
| Disclaimer/Publisher’s Note: The statements, opinions and data contained in all publications are solely those of the individual author(s) and contributor(s) and not of MDPI and/or the editor(s). MDPI and/or the editor(s) disclaim responsibility for any injury to people or property resulting from any ideas, methods, instructions or products referred to in the content. | 
© 2023 by the authors. Licensee MDPI, Basel, Switzerland. This article is an open access article distributed under the terms and conditions of the Creative Commons Attribution (CC BY) license (https://creativecommons.org/licenses/by/4.0/).
Share and Cite
Bueno, C.R.E.; Sarmiento, J.L.; Vasques, A.M.V.; da Silva, A.C.R.; Cintra, L.T.A.; Santos, J.M.M.; Dezan-Júnior, E. Biocompatibility, Biomineralization and Induction of Collagen Maturation with the Use of Calcium Hydroxide and Iodoform Intracanal Dressing. J. Funct. Biomater. 2023, 14, 507. https://doi.org/10.3390/jfb14100507
Bueno CRE, Sarmiento JL, Vasques AMV, da Silva ACR, Cintra LTA, Santos JMM, Dezan-Júnior E. Biocompatibility, Biomineralization and Induction of Collagen Maturation with the Use of Calcium Hydroxide and Iodoform Intracanal Dressing. Journal of Functional Biomaterials. 2023; 14(10):507. https://doi.org/10.3390/jfb14100507
Chicago/Turabian StyleBueno, Carlos Roberto Emerenciano, Jimena Lama Sarmiento, Ana Maria Veiga Vasques, Ana Cláudia Rodrigues da Silva, Luciano Tavares Angelo Cintra, João Miguel Marques Santos, and Eloi Dezan-Júnior. 2023. "Biocompatibility, Biomineralization and Induction of Collagen Maturation with the Use of Calcium Hydroxide and Iodoform Intracanal Dressing" Journal of Functional Biomaterials 14, no. 10: 507. https://doi.org/10.3390/jfb14100507
APA StyleBueno, C. R. E., Sarmiento, J. L., Vasques, A. M. V., da Silva, A. C. R., Cintra, L. T. A., Santos, J. M. M., & Dezan-Júnior, E. (2023). Biocompatibility, Biomineralization and Induction of Collagen Maturation with the Use of Calcium Hydroxide and Iodoform Intracanal Dressing. Journal of Functional Biomaterials, 14(10), 507. https://doi.org/10.3390/jfb14100507
 
        



 
       