Aesthetic Outcomes and Peri-Implant Health of Angled Screw Retained Implant Restorations Compared with Cement Retained Crowns: Medium Term Follow-Up
Abstract
:1. Introduction
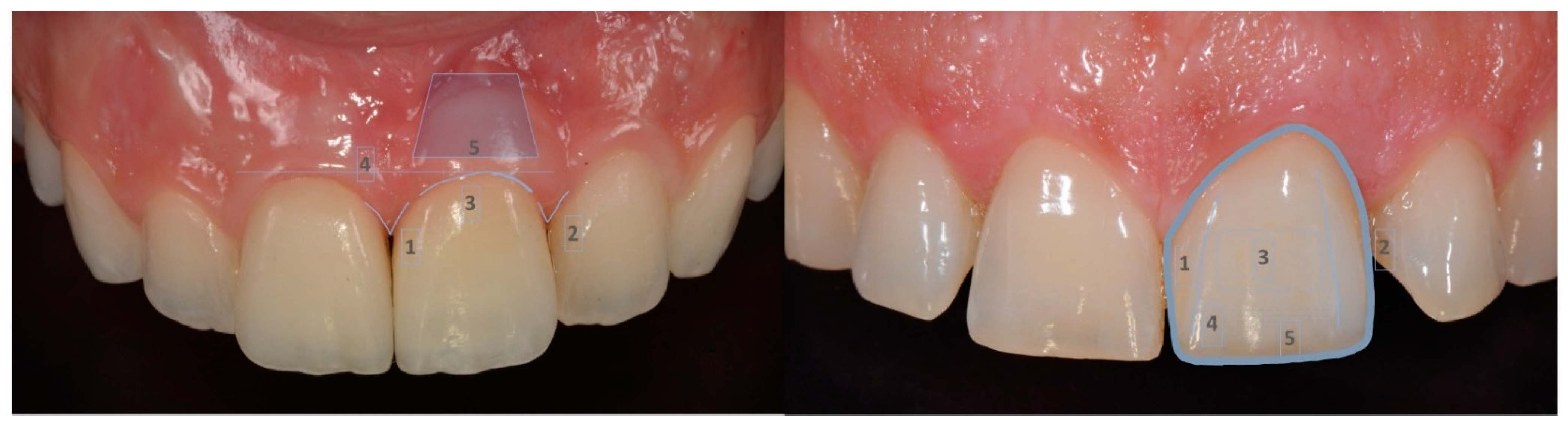
2. Materials and Methods
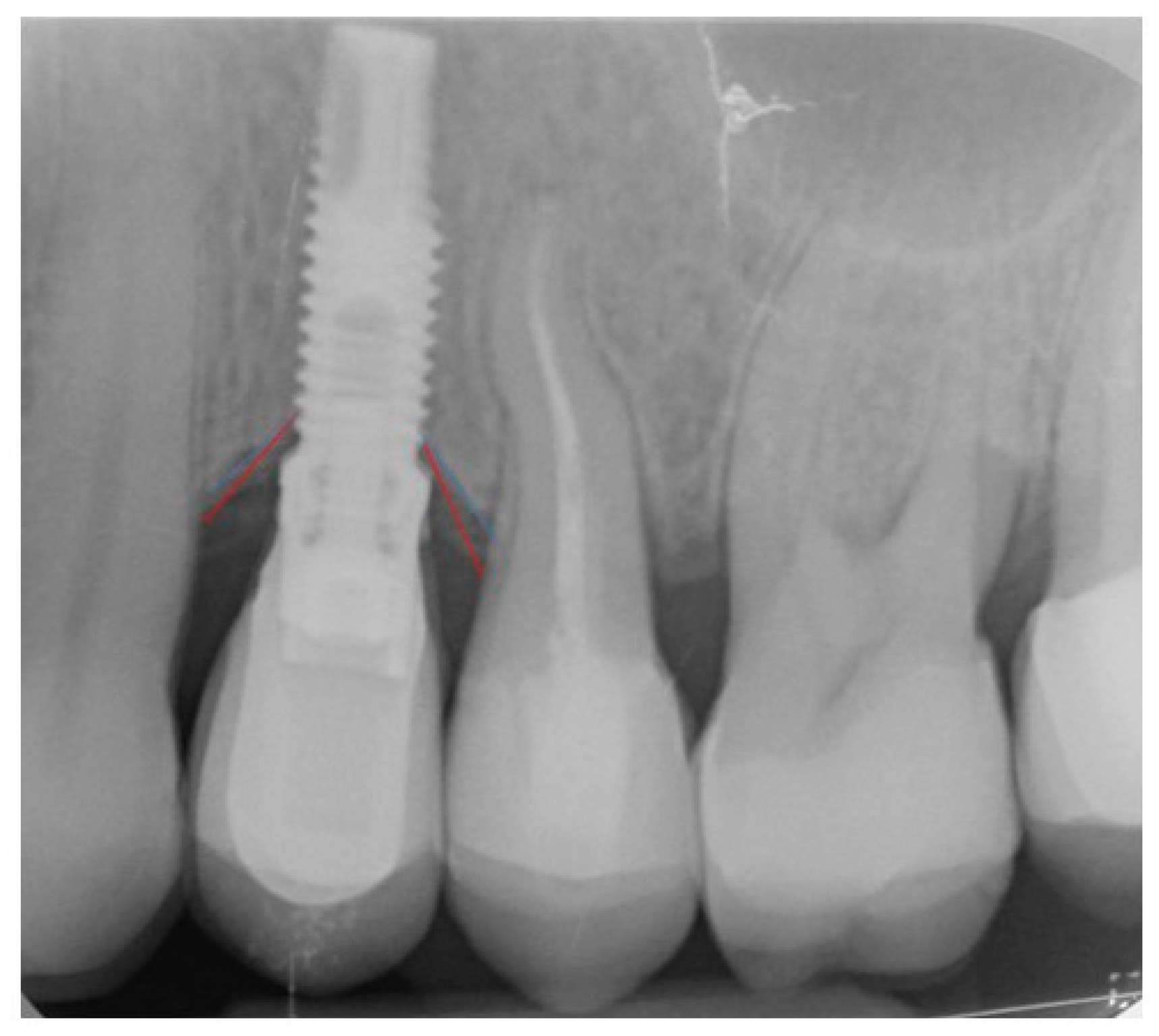
3. Results
4. Discussion
Author Contributions
Funding
Institutional Review Board Statement
Informed Consent Statement
Data Availability Statement
Conflicts of Interest
References
- Shadid, R.; Sadaqa, N. A Comparison between Screw-and Cement-Retained Implant Prostheses. A Literature Review. J. Oral Implantol. 2012, 38, 298–307. [Google Scholar] [CrossRef] [Green Version]
- Wittneben, J.G.; Joda, T.; Weber, H.P.; Brägger, U. Screw Retained vs. Cement Retained Implant-Supported Fixed Dental Prosthesis. Periodontology 2000 2017, 73, 141–151. [Google Scholar] [CrossRef]
- Chee, W.; Jivraj, S. Screw versus Cemented Implant Supported Restorations. Br. Dent. J. 2006, 201, 501–507. [Google Scholar] [CrossRef] [PubMed] [Green Version]
- Giovannoli, J.-L.; Roccuzzo, M.; Albouy, J.-P.; Duffau, F.; Lin, G.-H.; Serino, G. Local Risk Indicators—Consensus Report of Working Group 2. Int. Dent. J. 2019, 69, 7–11. [Google Scholar] [CrossRef] [Green Version]
- Hebel, K.S.; Gajjar, R.C. Cement-Retained versus Screw-Retained Implant Restorations: Achieving Optimal Occlusion and Esthetics in Implant Dentistry. J. Prosthet. Dent. 1997, 77, 28–35. [Google Scholar] [CrossRef]
- Michalakis, K.X.; Hirayama, H.; Garefis, P.D. Cement-Retained versus Screw-Retained Implant Restorations: A Critical Review. Int. J. Oral Maxillofac. Implants 2003, 18, 719–728. [Google Scholar] [PubMed]
- Yalçin Ülker, G.M.; Takc, Ö.; Gürpinar, B. The Use of Angulated Screw Channel Abutment System for Anterior Single-Implant Restorations: A Clinical Report. Eur. J. Res. Dent. 2020, 1, 40–44. [Google Scholar] [CrossRef]
- Opler, R.; Wadhwani, C.; Chung, K.-H. The Effect of Screwdriver Angle Variation on the Off-Axis Implant Abutment System and Hexalobular Screw. J. Prosthet. Dent. 2020, 123, 524–528. [Google Scholar] [CrossRef]
- Hu, E.; Petrich, A.; Imamura, G.; Hamlin, C. Effect of Screw Channel Angulation on Reverse Torque Values of Dental Implant Abutment Screws. J. Prosthodont. Off. J. Am. Coll. Prosthodont. 2019, 28, 969–972. [Google Scholar] [CrossRef] [PubMed]
- Swamidass, R.S.; Kan, J.Y.K.; Kattadiyil, M.T.; Goodacre, C.J.; Lozada, J. Abutment Screw Torque Changes with Straight and Angled Screw-Access Channels. J. Prosthet. Dent. 2021, 125, 675–681. [Google Scholar] [CrossRef] [PubMed]
- Belser, U.C.; Grütter, L.; Vailati, F.; Bornstein, M.M.; Weber, H.-P.; Buser, D. Outcome Evaluation of Early Placed Maxillary Anterior Single-Tooth Implants Using Objective Esthetic Criteria: A Cross-Sectional, Retrospective Study in 45 Patients with a 2- to 4-Year Follow-up Using Pink and White Esthetic Scores. J. Periodontol. 2009, 80, 140–151. [Google Scholar] [CrossRef] [PubMed]
- Shi, J.-Y.; Lv, X.-L.; Gu, Y.-X.; Lai, H.-C. Angulated Screw-Retained and Cemented Implant Crowns Following Flapless Immediate Implant Placement in the Aesthetic Region: A 1-Year Prospective Cohort Study. Int. J. Oral Implantol. 2020, 13, 269–277. [Google Scholar]
- Gjelvold, B.; Kisch, J.; Chrcanovic, B.R. A Randomized Clinical Trial Comparing Immediate Loading and Delayed Loading of Single-Tooth Implants: 5-Year Results. J. Clin. Med. 2021, 10, 1077. [Google Scholar] [CrossRef]
- Garcia-Gazaui, S.; Razzoog, M.; Sierraalta, M.; Saglik, B. Fabrication of a Screw-Retained Restoration Avoiding the Facial Access Hole: A Clinical Report. J. Prosthet. Dent. 2015, 114, 621–624. [Google Scholar] [CrossRef]
- Wittneben, J.-G.; Millen, C.; Brägger, U. Clinical Performance of Screw- Versus Cement-Retained Fixed Implant-Supported Reconstructions—A Systematic Review. Int. J. Oral Maxillofac. Implants 2014, 29, 84–98. [Google Scholar] [CrossRef] [Green Version]
- Pol, C.W.P.; Raghoebar, G.M.; Maragkou, Z.; Cune, M.S.; Meijer, H.J.A. Full-Zirconia Single-Tooth Molar Implant-Supported Restorations with Angulated Screw Channel Abutments: A 1-Year Prospective Case Series Study. Clin. Implant Dent. Relat. Res. 2020, 22, 138–144. [Google Scholar] [CrossRef] [Green Version]
- Greer, A.C.; Hoyle, P.J.; Vere, J.W.; Wragg, P.F. Mechanical Complications Associated with Angled Screw Channel Restorations. Int. J. Prosthodont. 2017, 30, 258–259. [Google Scholar] [CrossRef] [Green Version]
- Kim, Y.-T.; Lim, G.-H.; Lee, J.-H.; Jeong, S.-N. Marginal Bone Level Changes in Association with Different Vertical Implant Positions: A 3-Year Retrospective Study. J. Periodont. Implant Sci. 2017, 47, 231–239. [Google Scholar] [CrossRef]
- Segal, P.; Makhoul, A.; Eger, M.; Lucchina, A.G.; Winocur, E.; Mijiritsky, E. Preliminary Study to Evaluate Marginal Bone Loss in Cases of 2- and 3-Implant-Supported Fixed Partial Prostheses of the Posterior Mandible. J. Craniofac. Surg. 2019, 30, 1068–1072. [Google Scholar] [CrossRef]
- Anitua, E.; Fernández-de-Retana, S.; Alkhraisat, M.H. Survival and Marginal Bone Loss of Dental Implants Supporting Cad-Cam Angled Channel Restorations: A Split-Mouth Retrospective Study. Eur. J. Dent. 2020, 14, 194–199. [Google Scholar] [CrossRef]
- Vigolo, P.; Mutinelli, S.; Givani, A.; Stellini, E. Cemented versus Screw-Retained Implant-Supported Single-Tooth Crowns: A 10-Year Randomised Controlled Trial. Eur. J. Oral Implantol. 2012, 5, 355–364. [Google Scholar]
- Gjelvold, B.; Sohrabi, M.M.; Chrcanovic, B.R. Angled Screw Channel: An Alternative to Cemented Single-Implant Restorations—Three Clinical Examples. Int. J. Prosthodont. 2016, 29, 74–76. [Google Scholar] [CrossRef]
- Afrashtehfar, K.I.; Assery, M.K.A.; Bryant, S.R. Aesthetic Parameters and Patient-Perspective Assessment Tools for Maxillary Anterior Single Implants. Int. J. Dent. 2021, 2021, 6684028. [Google Scholar] [CrossRef]




| Type of Retention | Mean Patient Age (Years) | Regeneration Needed | Mean Follow-Up (Months; ±SD) | Mean WES (Baseline; ±SD) | Mean PES (Baseline; ±SD) | Mean WES (Follow-Up; ±SD) | Mean PES (Follow-Up; ±SD) |
|---|---|---|---|---|---|---|---|
| Angled Screw Channel crowns | 42.8 | 6/10 | 36.4 (±10.3) | 8.7 (±1.5) | 7.9 (±0.73) | 8.5 (±1.35) | 7.7 (±0.82) |
| Cemented Crowns | 51.9 | 3/10 | 52.3 (±5.7) | 8.3 (±0.9) | 9(±0.66) | 8.3 (±0.94) | 8.8 (±0.63) |
| p = (* < 0.05) | 1.7 | 0.369 § | * < 0.0005 | 0.48 | * 0.026 | 0.7 | * 0.036 |
| Type of Retention | Mean PD Baseline (mm; ±SD) | p Follow Up (mm; ±SD) | BOP Baseline (+/Total) | BOP Follow Up (+/Total) | MBL (Follow Up vs. Baseline, mm; ±SD) |
|---|---|---|---|---|---|
| Angled Screw Channel Crowns | 3.7 (±0.48) | 4 (±0.66) | 0/10 | 2/10 | −0.25 (±0.15) |
| Cemented Crowns | 3.3 (±0.48) | 3.7 (±0.82) | 2/10 | 2/10 | −0.29 (±0.11) |
| p = (* < 0.05) | 0.08 | 0.383 | 0.446 § | 0.32 | |
Publisher’s Note: MDPI stays neutral with regard to jurisdictional claims in published maps and institutional affiliations. |
© 2021 by the authors. Licensee MDPI, Basel, Switzerland. This article is an open access article distributed under the terms and conditions of the Creative Commons Attribution (CC BY) license (https://creativecommons.org/licenses/by/4.0/).
Share and Cite
Nastri, L.; Nucci, L.; Grassia, V.; Miraldi, R. Aesthetic Outcomes and Peri-Implant Health of Angled Screw Retained Implant Restorations Compared with Cement Retained Crowns: Medium Term Follow-Up. J. Funct. Biomater. 2021, 12, 35. https://doi.org/10.3390/jfb12020035
Nastri L, Nucci L, Grassia V, Miraldi R. Aesthetic Outcomes and Peri-Implant Health of Angled Screw Retained Implant Restorations Compared with Cement Retained Crowns: Medium Term Follow-Up. Journal of Functional Biomaterials. 2021; 12(2):35. https://doi.org/10.3390/jfb12020035
Chicago/Turabian StyleNastri, Livia, Ludovica Nucci, Vincenzo Grassia, and Rino Miraldi. 2021. "Aesthetic Outcomes and Peri-Implant Health of Angled Screw Retained Implant Restorations Compared with Cement Retained Crowns: Medium Term Follow-Up" Journal of Functional Biomaterials 12, no. 2: 35. https://doi.org/10.3390/jfb12020035
APA StyleNastri, L., Nucci, L., Grassia, V., & Miraldi, R. (2021). Aesthetic Outcomes and Peri-Implant Health of Angled Screw Retained Implant Restorations Compared with Cement Retained Crowns: Medium Term Follow-Up. Journal of Functional Biomaterials, 12(2), 35. https://doi.org/10.3390/jfb12020035

