Using an Improved Regularization Method and Rigid Transformation for Super-Resolution Applied to MRI Data
Abstract
1. Introduction
2. Materials and Methods
- is the full set of low resolution (LR) frames, described as , where are the p LR images. Each observed LR image is of size . Let the kth LR image be denoted in lexicographic notation as , for and .
- is the desired high-resolution (HR) image, of size , written in lexicographical notation as the vector , where and and represent the up-sampling factors in the horizontal and vertical directions, respectively.
- , where is the noise vector for frame k and contains independent zero-mean Gaussian random variables.
- is the degradation matrix, which performs the operations of blur, rigid transformation and subsampling.
- The first step of our algorithm is to evaluate the term from the Equation (3), by using rigid registration. Rigid registration, also known as rigid body registration or rigid transformation, is a fundamental technique in medical image processing and computer vision. It is used to align two images by performing translations and rotations while preserving the shape and size of the structures within the images [21].In a 2D plane, a rigid transformation can be represented using a matrix, often referred to as the transformation matrix. For example, a 2D translation can be represented as [22]Rotation and reflection matrices can also be formulated similarly. The result of the rigid transformation is represented as an affine transformation matrix. This matrix captures the translation and rotation parameters applied to the original image [22].We assume that one of the LR images, (typically the middle one), is produced from the HR image by applying only downsampling, without transformation. Thus, . Rigid transformation is calculated between and the rest of the LR images. Following that, we obtain for the remaining images.
- The subsequent phase is centered on employing the PnP-ADMM technique. We execute the PnP-ADMM, adhering to the procedure outlined in Algorithm 1, until reaching convergence, in order to minimize the problem described by Equation (4). The initial HR image guess, , is generated from using the pseudo-inverse of . Here, D represents the denoising operator, introduced and discussed in Section 2.1, and g is formulated as .
| Algorithm 1 PnP -ADMM [23] |
| 1: |
| 2: for k = 1, 2,…,t do |
| 3: |
| 4: |
| 5: |
| 6: end for |
| 7: return |
2.1. The Denoising Algorithm
2.1.1. The Prior Distribution
2.1.2. Denoising in PnP-ADMM
| Algorithm 2 Variational Bayes Patch Similarity Denoising |
Input: Noisy image . |
Output: Denoised image . |
Initialization: |
Image initial estimate: Set , where is the regularization parameter obtained from [24]. Then, set , where is the super-resolved image obtained after setting . Parameter selection: Set , and , , , , and err . |
|
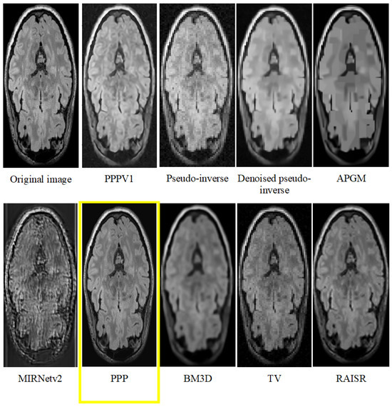
3. Results
4. Discussion
- The experimental results demonstrate the superiority of our approach over existing techniques, underscoring its potential for clinical applications in neuroimaging.
- The practical implications of our results suggest that our method holds great promise for applications where MRI slice quality enhancement is paramount.
- An advantage of our method lies in its computational simplicity. Unlike deep-neural-network-based methods, our approach does not rely on neural networks or require training, which reduces resource demands. However, we acknowledge that the runtime of our method per frame is 14 s, as measured on Google Colab with a T4 GPU. While this runtime may not be suitable for real-time applications, it provides a balance between computational efficiency and the quality of the output, especially for tasks where real-time processing is not a critical requirement.
Author Contributions
Funding
Institutional Review Board Statement
Informed Consent Statement
Data Availability Statement
Conflicts of Interest
References
- Aguena, M.L.S.; Mascarenhas, N.D.A.; Anacleto, J.C.; Fels, S.S. MRI Iterative Super Resolution with Wiener Filter Regularization. In Proceedings of the 2013 XXVI Conference on Graphics, Patterns and Images, Arequipa, Peru, 5–8 August 2013. [Google Scholar]
- Babu, M.G.; Panda, S.S.; Bandela, H.B. Super Resolution Image Reconstruction Using Iterative Regularization Method and Feed-Forward Neural Networks. J. Phys. Conf. Ser. 2019, 1228, 12021. [Google Scholar] [CrossRef]
- Ahmadi, K.; Salari, E. Edge-Preserving MRI Super Resolution Using a High Frequency Regularization Technique; University of Toledo: Toledo, OH, USA, 2019. [Google Scholar]
- Ben-Ezra, A.; Greenspan, H.; Rubner, Y. Regularized Super-Resolution of Brain MRI. In Proceedings of the 2009 IEEE International Symposium on Biomedical Imaging: From Nano to Macro, Boston, MA, USA, 28 June–1 July 2009. [Google Scholar]
- Kawamura, N.; Yokota, T.; Hontani, H. Super-Resolution of Magnetic Resonance Images via Convex Optimization. Int. J. Biomed. Imaging 2018, 2018, 9262847. [Google Scholar] [CrossRef] [PubMed]
- Peled, S.; Yeshurun, Y. Super-resolution in MRI: Application to human white matter fiber tract visualization by diffusion tensor imaging. Magn. Reson. Med. 2001, 45, 29–35. [Google Scholar] [CrossRef] [PubMed]
- Scheffler, K. Super-resolution MRI: Strategies and applications. NeuroImage 2003, 15, 91–103. [Google Scholar]
- Liu, C.; Sun, D. On Bayesian Adaptive Video Super Resolution. IEEE Trans. Pattern Anal. Mach. Intell. 2014, 36, 346–360. [Google Scholar] [CrossRef]
- Galatsanos, N.P.; Mesarović, V.Z.; Molina, R.; Katsaggelos, A.K. Hierarchical Bayesian image restoration from partially known blurs. IEEE Trans. Image Process. 2000, 9, 1784–1797. [Google Scholar] [CrossRef] [PubMed]
- Zomet, A.; Rav-Acha, A.; Peleg, S. Robust super-resolution. In Proceedings of the 2001 IEEE Computer Society Conference on Computer Vision and Pattern Recognition, CVPR 2001, Kauai, HI, USA, 8–14 December 2001; Volume 1, pp. 645–650. [Google Scholar] [CrossRef]
- Farsiu, S.; Robinson, D.; Elad, M.; Milanfar, P. Robust Shift and Add Approach to Super-Resolution. Proc. Spie Int. Soc. Opt. Eng. 2003, 5203, 121–130. [Google Scholar] [CrossRef]
- Farsiu, S.; Robinson, M.D.; Elad, M.; Milanfar, P. Fast and robust multiframe super resolution. IEEE Trans. Image Process. 2004, 13, 1327–1344. [Google Scholar] [CrossRef]
- Kamilov, U.S.; Bouman, C.A.; Buzzard, G.T.; Wohlberg, B. Plug-and-Play Methods for Integrating Physical and Learned Models in Computational Imaging: Theory, algorithms, and applications. IEEE Signal Process. Mag. 2023, 40, 85–97. [Google Scholar] [CrossRef]
- Dabov, K.; Foi, A.; Katkovnik, V.; Egiazarian, K. Image restoration by sparse 3D transform-domain collaborative filtering. Proc. Image Process. Algorithms Syst. VI 2008, 6812, 681207. [Google Scholar] [CrossRef]
- Gu, S.; Zhang, L.; Zuo, W.; Feng, X. Weighted Nuclear Norm Minimization with Application to Image Denoising. In Proceedings of the 2014 IEEE Conference on Computer Vision and Pattern Recognition (CVPR), Columbus, OH, USA, 23–28 June 2014; pp. 2862–2869. [Google Scholar] [CrossRef]
- Rudin, L.I.; Osher, S.; Fatemi, E. Nonlinear total variation based noise removal algorithms. Phys. Nonlinear Phenom. 1992, 60, 259–268. [Google Scholar] [CrossRef]
- Romano, Y.; Isidoro, J.; Milanfar, P. RAISR: Rapid and Accurate Image Super-Resolution. IEEE Trans. Comput. Imaging 2017, 3, 7744595. [Google Scholar] [CrossRef]
- Zerva, M.C.; Kondi, L.P. Video super-resolution using Plug-and-Play priors. IEEE Access 2024, 12, 11963–11971. [Google Scholar] [CrossRef]
- Park, S.C.; Park, M.K.; Kang, M.G. Super-resolution image reconstruction: A technical overview. IEEE Signal Process. Mag. 2003, 20, 21–36. [Google Scholar] [CrossRef]
- Chantas, G.; Nikolopoulos, S.; Kompatsiaris, I. Heavy-Tailed Self-Similarity Modeling for Single Image Super Resolution. IEEE Trans. Image Process. 2020, 30, 838–852. [Google Scholar] [CrossRef]
- Anjyo, K.; Ochiai, H. Rigid Transformation. In Mathematical Basics of Motion and Deformation in Computer Graphics, 2nd ed.; Springer International Publishing: Cham, Switzerland, 2017; pp. 5–21. [Google Scholar]
- Szeliski, R. Computer Vision: Algorithms and Applications, 1st ed.; Springer: Berlin/Heidelberg, Germany, 2010; ISBN 1848829345. [Google Scholar]
- Kamilov, U.S.; Mansour, H.; Wohlberg, B. A Plug-and-Play priors approach for solving nonlinear imaging inverse problems. IEEE Signal Process. Lett. 2017, 24, 1872–1876. [Google Scholar] [CrossRef]
- Chantas, G.K.; Galatsanos, N.P.; Woods, N.A. Super-resolution based on fast registration and maximum a posteriori reconstruction. IEEE Trans. Image Process. 2007, 16, 1821–1830. [Google Scholar] [CrossRef]
- Balke, T.; Davis, F.R.; Garcia-Cardona, C.; McCann, M.; Pfister, L.; Wohlberg, B.E. Scientific Computational Imaging Code (SCICO). J. Open Source Softw. 2022, 7, 1898364. [Google Scholar] [CrossRef]
- Clark, K.; Vendt, B.; Smith, K.; Freymann, J.; Kirby, J.; Koppel, P.; Moore, S.; Phillips, S.; Maffitt, D.; Pringle, M.; et al. The Cancer Imaging Archive (TCIA): Maintaining and Operating a Public Information Repository. J. Digit. Imaging 2013, 26, 1045–1057. [Google Scholar] [CrossRef] [PubMed]
- Raja, S.P.; Suruli, I.A. Image compression using WDR & ASWDR techniques with different wavelet codecs. ACEEE Int. J. Inform. Technol. 2011, 1, 23–26. [Google Scholar]
- Zamir, S.W.; Arora, A.; Khan, S.H.; Munawar, H.; Khan, F.S.; Yang, M.H.; Shao, L. Learning Enriched Features for Fast Image Restoration and Enhancement. IEEE Trans. Pattern Anal. Mach. Intell. 2022, 45, 1934–1948. [Google Scholar] [CrossRef]
- Wu, L.; Zhang, X.; Chen, H.; Wang, D.; Deng, J. VP-NIQE: An opinion-unaware visual perception natural image quality evaluator. Neurocomputing 2021, 463, 17–28. [Google Scholar] [CrossRef]





| Dataset 1 | Dataset 2 | |||
|---|---|---|---|---|
| Average | St.Dev | Average | St.Dev | |
| PPPV1 | 22.49 | 0.44 | 25.26 | 0.25 |
| Pseudo-inverse | 19.52 | 0.56 | 22.81 | 0.26 |
| Denoised pseudo-inverse | 20.36 | 0.51 | 23.73 | 0.28 |
| APGM | 19.91 | 0.34 | 23.78 | 0.22 |
| MIRNetv2 | 14.05 | 0.27 | 14.26 | 0.18 |
| PPP | 26.59 | 0.49 | 25.67 | 0.65 |
| BM3D | 20.58 | 0.82 | 23.72 | 0.36 |
| TV | 22.48 | 0.44 | 23.50 | 0.29 |
| RAISR | 21.99 | 0.43 | 25.77 | 0.32 |
| Dataset 1 | Dataset 2 | |||
|---|---|---|---|---|
| Average | St.Dev | Average | St.Dev | |
| PPPV1 | 6.14 | 0.15 | 6.66 | 0.17 |
| PPP | 5.82 | 0.15 | 6.39 | 0.16 |
| Pseudo-inverse | 14.13 | 0.36 | 14.08 | 0.35 |
| Denoised pseudo-inverse | 14.13 | 0.36 | 14.08 | 0.35 |
| APGM | 13.86 | 0.35 | 13.03 | 0.33 |
| BM3D | 10.66 | 0.27 | 11.92 | 0.30 |
| TV | 12.22 | 0.31 | 12.82 | 0.32 |
| RAISR | 5.87 | 0.15 | 9.61 | 0.24 |
| MIRNetv2 | 7.18 | 0.18 | 7.95 | 0.20 |
Disclaimer/Publisher’s Note: The statements, opinions and data contained in all publications are solely those of the individual author(s) and contributor(s) and not of MDPI and/or the editor(s). MDPI and/or the editor(s) disclaim responsibility for any injury to people or property resulting from any ideas, methods, instructions or products referred to in the content. |
© 2024 by the authors. Licensee MDPI, Basel, Switzerland. This article is an open access article distributed under the terms and conditions of the Creative Commons Attribution (CC BY) license (https://creativecommons.org/licenses/by/4.0/).
Share and Cite
Zerva, M.C.; Chantas, G.; Kondi, L.P. Using an Improved Regularization Method and Rigid Transformation for Super-Resolution Applied to MRI Data. Information 2024, 15, 770. https://doi.org/10.3390/info15120770
Zerva MC, Chantas G, Kondi LP. Using an Improved Regularization Method and Rigid Transformation for Super-Resolution Applied to MRI Data. Information. 2024; 15(12):770. https://doi.org/10.3390/info15120770
Chicago/Turabian StyleZerva, Matina Christina, Giannis Chantas, and Lisimachos Paul Kondi. 2024. "Using an Improved Regularization Method and Rigid Transformation for Super-Resolution Applied to MRI Data" Information 15, no. 12: 770. https://doi.org/10.3390/info15120770
APA StyleZerva, M. C., Chantas, G., & Kondi, L. P. (2024). Using an Improved Regularization Method and Rigid Transformation for Super-Resolution Applied to MRI Data. Information, 15(12), 770. https://doi.org/10.3390/info15120770

