Development of Multiplex RT-PCR Assay for the Simultaneous Detection of Four Systemic Diseases Infecting Citrus
Abstract
1. Introduction
2. Materials and Methods
2.1. Plant Materials and Pathogen Sources
2.2. Total Nucleic Acid Isolation
2.3. Primer Design
2.4. RT-PCR Assay
2.5. Cloning of Amplicons
3. Results
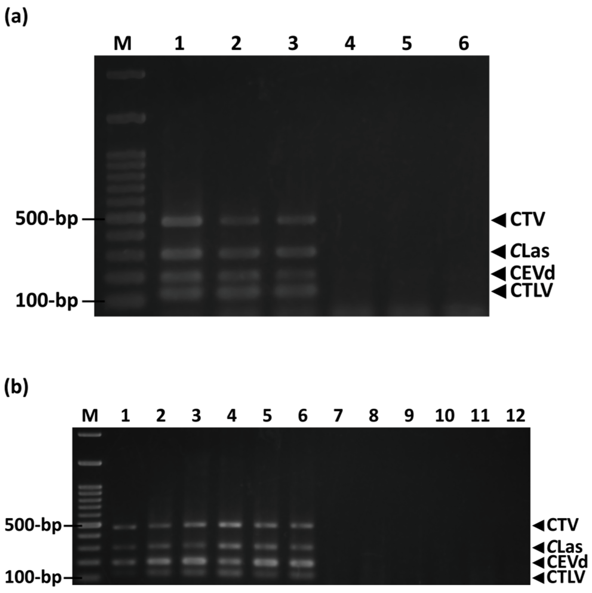
3.1. Development and Optimization of Multiplex RT-PCR
3.2. Sensitivity Test
3.3. Detection of CLas, CTV, CTLV, and CEVd from Field Samples
3.4. Detection of CLas, CTV, CTLV, and CEVd from Citrus Seedling Samples
4. Discussion
Supplementary Materials
Author Contributions
Funding
Institutional Review Board Statement
Data Availability Statement
Acknowledgments
Conflicts of Interest
References
- Food and Agriculture Organization of the United Nations. Citrus. Available online: https://www.fao.org/markets-and-trade/commodities/citrus/en/ (accessed on 28 December 2022).
- Food and Agriculture Organization of the United Nations. Citrus Fruit Statistical Compendium 2020. Available online: https://www.fao.org/markets-and-trade/publications/detail/en/c/1438250/ (accessed on 28 December 2022).
- Council of Agriculture. Agricultural Statistics Yearbook; Council of Agriculture: Taipei, Taiwan, 2021; pp. 74–81.
- Su, H.J. Production and Cultivation of Virus-Free Citrus Saplings for Citrus Rehabilitation in Taiwan; Asia-Pacific Consortium on Agricultural Biotechnology and Asia-Pacific Association of Agricultural Research Institutions: Bangkok, Thailand, 2008. [Google Scholar]
- Huang, A.L. Electronmicroscopical Studies on the Morphology and Population Dynamic of Fastidious Bacteria Causing Citrus Likubin. Ph.D. Thesis, National Taiwan University, Taipei, Taiwan, 1987. [Google Scholar]
- Bové, J.M. Huanglongbing: A destructive, newly-emerging, century-old disease of citrus. J. Plant Pathol. 2006, 88, 7–37. [Google Scholar]
- Su, H.J. Research and health management of citrus Huanglongbing in Taiwan. In Proceedings of the International Research Conference on Huanglongbing, Orlando, FL, USA, 1–5 December 2008. [Google Scholar]
- Capoor, S.P.; Rao, D.G.; Viswanath, S.M. Diaphorina citri Kuwayama, a vector of the greening disease of citrus in India. Indian J. Agric. Sci. 1967, 37, 572–576. [Google Scholar]
- Tsai, C.H.; Hung, T.H.; Su, H.J. Strain identification and distribution of citrus Huanglongbing bacteria in Taiwan. Bot. Stud. 2008, 49, 49–56. [Google Scholar]
- Karasev, A.V.; Boyko, V.P.; Gowda, S.; Nikolaeva, O.V.; Hilf, M.E.; Koonin, E.V.; Niblett, C.L.; Cline, K.; Gumpf, D.J.; Lee, R.F.; et al. Complete sequence of the citrus tristeza virus RNA genome. Virology 1995, 208, 511–520. [Google Scholar] [CrossRef] [PubMed]
- Bar-Joseph, M.; Marcus, R.; Lee, R.F. The continuous challenge of citrus tristeza virus control. Annu. Rev. Phytopathol. 1989, 27, 291–316. [Google Scholar] [CrossRef]
- Martelli, G.P.; Abou Ghanem-Sabanadzovic, N.; Agranovsky, A.A.; Al Rwahnih, M.; Dolja, V.V.; Dovas, C.I.; Fuchs, M.; Gugerli, P.; Hu, J.S.; Jelkmann, W.; et al. Taxonomic revision of the family Closteroviridae with special reference to the grapevine leafroll-associated members of the genus Ampelovirus and the putative species unassigned to the family. J. Plant Pathol. 2012, 94, 7–19. [Google Scholar]
- Folimonova, S.Y. Citrus tristeza virus: A large RNA virus with complex biology turned into a valuable tool for crop protection. PLoS Pathog. 2020, 16, e1008416. [Google Scholar] [CrossRef]
- Martelli, G.P.; Adams, M.J.; Kreuze, J.F.; Dolja, V.V. Family Flexiviridae: A case study in virion and genome plasticity. Annu. Rev. Phytopathol. 2007, 45, 73–100. [Google Scholar] [CrossRef]
- Tatineni, S.; Afunian, M.R.; Hilf, M.E.; Gowda, S.; Dawson, W.O.; Garnsey, S.M. Molecular characterization of Citrus tatter leaf virus historically associated with Meyer lemon tree: Complete genome sequence and development of biologically active in vitro transcripts. Phytopathology 2009, 99, 423–431. [Google Scholar] [CrossRef] [PubMed]
- Garnsey, S.M. Mechanical transmission of a virus that produces tatter leaf symptoms in Citrus excelsa. In Proceedings of the 6th Conference of the International Organization of Citrus Virologists; Weathers, L.G., Cohen, M., Eds.; IOCV: Riverside, CA, USA, 1974; p. 137. [Google Scholar]
- Zhang, T.M.; Liang, X.Y.; Roistacher, C.N. Occurrence and detection of citrus tatter leaf virus (CTLV) in Huangyan, Zhejiang Province, China. Plant Dis. 1988, 72, 543–545. [Google Scholar] [CrossRef]
- Lin, C.Y.; Wu, M.L.; Shen, T.L.; Yeh, H.H.; Hung, T.H. Multiplex detection, distribution, and genetic diversity of Hop stunt viroid and Citrus exocortis viroid infecting citrus in Taiwan. Virol. J. 2015, 12, 11. [Google Scholar] [CrossRef]
- Duran-Vila, N.; Flores, R.; Semancik, J.S. Characterization of viroidlike RNAs associated with the citrus exocortis syndrome. Virology 1986, 150, 75–84. [Google Scholar] [CrossRef]
- Tsai, M.C.; Su, H.J. Development and characterization of monoclonal antibodies to citrus tristeza virus (CTV) strains in Taiwan. In Proceedings of the 11th Conference of the International Organization of Citrus Virologists; Brlansky, R.H., Lee, R.F., Eds.; IOCV: Riverside, CA, USA, 1991; pp. 46–50. [Google Scholar]
- Hung, T.H.; Wu, M.L.; Su, H.J. Development of a rapid method for the diagnosis of citrus greening disease using the polymerase chain reaction. J. Phytopathol. 1999, 147, 599–604. [Google Scholar] [CrossRef]
- Hung, T.H.; Wu, M.L.; Su, H.J. A rapid method based on the one-step reverse transcriptase-polymerase chain reaction (RT-PCR) technique for detection of different strains of citrus tristeza virus. J. Phytopathol. 2000, 148, 469–475. [Google Scholar] [CrossRef]
- Lin, C.Y.; Chang, L.; Lin, Y.H.; Cheng, H.L.; Wu, M.L.; Hung, T.H. Biological and molecular characterization of citrus tatter leaf virus in Taiwan. Plant Pathol. 2018, 67, 995–1008. [Google Scholar] [CrossRef]
- Garnsey, S.M.; Cambra, M. Enzyme-linked immunosorbent assay (ELISA) for citrus pathogens. In Graft Transmissible Diseases of Citrus. Handbook for Detection and Diagnosis; Roistacher, C.N., Ed.; FAO: Rome, Italy, 1991; pp. 193–216. [Google Scholar]
- Pallás, V.; Sánchez-Navarro, J.A.; James, D. Recent advances on the multiplex molecular detection of plant viruses and viroids. Front. Microbiol. 2018, 9, 2087. [Google Scholar] [CrossRef]
- Roy, A.; Fayad, A.; Barthe, G.; Brlansky, R.H. A multiplex polymerase chain reaction method for reliable, sensitive and simultaneous detection of multiple viruses in citrus trees. J. Virol. Meth. 2005, 129, 47–55. [Google Scholar] [CrossRef] [PubMed]
- Digiaro, M.; Elbeaino, T.; Martelli, G.P. Development of degenerate and species-specific primers for the differential and simultaneous RT-PCR detection of grapevine-infecting nepoviruses of subgroup A, B and C. J. Virol. Meth. 2007, 141, 34–40. [Google Scholar] [CrossRef] [PubMed]
- Dai, J.; Cheng, J.; Huang, T.; Zheng, X.; Wu, Y. A multiplex reverse transcription PCR assay for simultaneous detection of five tobacco viruses in tobacco plants. J. Virol. Meth. 2012, 183, 57–62. [Google Scholar] [CrossRef] [PubMed]
- Tuo, D.; Shen, W.; Yang, Y.; Yan, P.; Li, X.; Zhou, P. Development and validation of a multiplex reverse transcription PCR assay for simultaneous detection of three papaya virus. Viruses 2014, 6, 3893–3906. [Google Scholar] [CrossRef]
- Hyun, J.W.; Hwang, R.Y.; Jung, K.E. Development of multiplex PCR for simultaneous detection of citrus viruses and incidence of citrus viral diseases in late-maturity citrus trees in Jeju Island. Plant Pathol. J. 2017, 33, 307–317. [Google Scholar] [CrossRef]
- Lai, Q.J. Study on the Important Citrus Cultivars Co-Infected by Candidatus Liberibacter Asiaticus and Citrus Tristeza Virus in Taiwan. Master’s Thesis, National Taiwan University, Taipei, Taiwan, 2014. [Google Scholar]
- Okuda, M.; Matsumoto, M.; Tanaka, Y.; Subandiyah, S.; Iwanami, T. Characterization of the tufB-secE-nusG-rplKAJL-rpoB gene cluster of the citrus greening organism and detection by loop-mediated isothermal amplification. Plant Dis. 2005, 89, 705–711. [Google Scholar] [CrossRef] [PubMed]
- Tomimura, K.; Miyata, S.; Furuya, N.; Kubota, K.; Okuda, M.; Subandiyah, S.; Hung, T.H.; Su, H.J.; Iwanami, T. Evaluation of genetic diversity of ‘Candidatus Liberibacter asiaticus’ isolates collected in Southeast Asia. Phytopathology 2009, 99, 1062–1069. [Google Scholar] [CrossRef]
- Feng, Y.C.; Tsai, C.H.; Vung, S.; Hung, T.H.; Su, H.J. Cochin China atalantia (Atalantia citroides) as a new alternative host of the bacterium causing citrus Huanglongbing. Australas. Plant Pathol. 2015, 44, 71–80. [Google Scholar] [CrossRef]
- Chen, J.; Pu, X.; Liu, S.; Li, H.; Civerolo, E. A phytoplasma related to “Candidatus Phytoplasma asteris” detected in citrus showing huanglongbing (yellow shoot disease) symptoms in Guangdong, PR China. Phytopathology 2009, 99, 236–242. [Google Scholar] [CrossRef]
- Lou, B.H.; Bai, X.J.; Bai, Y.; Deng, C.L.; RoyChowdhury, M.; Chen, C.W.; Song, Y.Q. Detection and molecular characterization of a 16SrII-A* phytoplasma in grapefruit (Citrus paradisi) with huanglongbing-like symptoms in China. J. Phytopathol. 2014, 162, 387–395. [Google Scholar] [CrossRef]
- Feng, Y.C.; Hung, T.H.; Su, H.J. Detection and inoculation of peanut witches’ broom phytoplasma (16SrII-A) and periwinkle leaf yellowing phytoplasma (16SrI-B) in citrus cultivars in Taiwan. J. Phytopathol. 2015, 163, 364–375. [Google Scholar] [CrossRef]
- Wei, T.; Lu, G.; Clover, G. Novel approaches to mitigate primer interaction and eliminate inhibitors in multiplex PCR, demonstrated using an assay for detection of three strawberry viruses. J. Virol. Methods 2008, 151, 132–139. [Google Scholar] [CrossRef] [PubMed]
- Elnifro, E.M.; Ashshi, A.M.; Cooper, R.J.; Klapper, P.E. Multiplex PCR: Optimization and application in diagnostic virology. Clin. Microbiol. Rev. 2000, 13, 559–570. [Google Scholar] [CrossRef]
- Li, S.F.; Onodera, S.; Sano, T.; Yoshida, K.; Wang, G.P.; Shikata, E. Gene diagnosis of viroids: Comparisons of return-PAGE and hybridization using DIG-labeled DNA and RNA probes for practical diagnosis of Hop stunt, Citrus exocortis and Apple scar skin viroids in their natural host plants. Ann. Phytopathol. Soc. Jpn. 1995, 61, 381–390. [Google Scholar] [CrossRef]
- Li, W.B.; Levy, L.; Hartung, J.S. Quantitative distribution of ‘Candidatus Liberibacter asiaticus’ in citrus plants with citrus huanglongbing. Phytopathology 2009, 99, 139–144. [Google Scholar] [CrossRef]
- Fu, S.; Shao, J.; Paul, C.; Zhou, C.; Hartung, J.S. Transcriptional analysis of sweet orange trees co-infected with ‘Candidatus Liberibacter asiaticus’ and mild or severe strains of Citrus tristeza virus. BMC Genom. 2017, 18, 837. [Google Scholar] [CrossRef]
- Serra, P.; Hashemian, S.M.B.; Fagoaga, C.; Romero, J.; Ruiz-Ruiz, S.; Gorris, M.T.; Bertolini, E.; Duran-Vila, N. Virus-viroid interactions: Citrus tristeza virus enhances the accumulation of Citrus dwarfing viroid in Mexican lime via virus-encoded silencing suppressors. J. Virol. 2014, 88, 1394–1397. [Google Scholar] [CrossRef]
- Wintermantel, W.M.; Gilbertson, R.L.; McCreight, J.D.; Natwick, E.T. Host-specific relationship between virus titer and whitefly transmission of Cucurbit yellow stunting disorder virus. Plant Dis. 2016, 100, 92–98. [Google Scholar] [CrossRef]
- Lin, C.Y.; Tsai, C.H.; Tien, H.J.; Wu, M.L.; Su, H.J.; Hung, T.H. Quantification and ecological study of ‘Candidatus Liberibacter asiaticus’ in citrus hosts, rootstocks and the Asian citrus psyllid. Plant Pathol. 2017, 66, 1555–1568. [Google Scholar] [CrossRef]
- Canning, E.S.; Penrose, M.J.; Barker, I.; Coates, D. Improved detection of Barley yellow dwarf virus in single aphids using RT-PCR. J. Virol. Methods 1996, 56, 191–197. [Google Scholar] [CrossRef]
- Martin, R.R.; James, D.; Lévesque, C.A. Impacts of molecular diagnostic technologies on plant disease management. Annu. Rev. Phytopathol. 2000, 38, 207–239. [Google Scholar] [CrossRef] [PubMed]
- Saponari, M.; Manjunath, K.; Yokomi, R.K. Quantitative detection of Citrus tristeza virus in citrus and aphids by real-time reverse transcription-PCR (TaqMan®). J. Virol. Methods 2008, 147, 43–53. [Google Scholar] [CrossRef] [PubMed]
- Achachi, A.; Jijakli, M.H.; Fahime, E.E.; Soulaymani, A.; Ibriz, M. Detection of Citrus psorosis virus using an improved one-step RT-PCR. Arab. J. Sci. Eng. 2015, 40, 7–13. [Google Scholar] [CrossRef]
- Gottwald, T.R. Current epidemiological understanding of citrus Huanglongbing. Annu. Rev. Phytopathol. 2010, 48, 119–139. [Google Scholar] [CrossRef] [PubMed]
- Ito, T.; Ieki, H.; Ozaki, K. Simultaneous detection of six citrus viroids and apple stem grooving virus from citrus plants by multiplex reverse transcription polymerase chain reaction. J. Virol. Methods 2002, 106, 235–239. [Google Scholar] [CrossRef]
- Meena, R.P.; Baranwal, V.K. Development of multiplex polymerase chain reaction assay for simultaneous detection of clostero-, badna- and mandari-viruses along with huanglongbing bacterium in citrus trees. J. Virol. Methods 2016, 235, 58–64. [Google Scholar] [CrossRef] [PubMed]
- Saponari, M.; Loconsole, G.; Liao, H.H.; Jiang, B.; Savino, V.; Yokomi, R.K. Validation of high-throughput real time polymerase chain reaction assays for simultaneous detection of invasive citrus pathogens. J. Virol. Methods 2013, 193, 478–486. [Google Scholar] [CrossRef] [PubMed]
- Osman, F.; Hodzic, E.; Kwon, S.J.; Wang, J.; Vidalakis, G. Development and validation of a multiplex reverse transcription quantitative PCR (RT-qPCR) assay for the rapid detection of Citrus tristeza virus, Citrus psorosis virus, and Citrus leaf blotch virus. J. Virol. Methods 2015, 220, 64–75. [Google Scholar] [PubMed]
- Osman, F.; Dang, T.; Bodaghi, S.; Vidalakis, G. One-step multiplex RT-qPCR detects three citrus viroids from different genera in a wide range of hosts. J. Virol. Methods 2017, 245, 40–52. [Google Scholar] [CrossRef] [PubMed]
- Maheshwari, Y.; Selvaraj, V.; Godfrey, K.; Hajeri, S.; Yokomi, R. Multiplex detection of “Candidatus Liberibacter asiaticus” and Spiroplasma citri by qPCR and droplet digital PCR. PLoS ONE 2021, 16, e0242392. [Google Scholar]






| Target a | Primer Name b | Sequence (5′ to 3′) | Amplicon Size (bp) | Reference |
|---|---|---|---|---|
| CLas | CLas-295F | CGGATGTTCCAAGGGGTAGG | 295 | This study |
| CLas-295R | GTCTTTCCTCCTTCACGCA | |||
| CTV | CTV-468F | GGTTACGAGGAAGCAACCG | 468 | [31] |
| CTV-468R | CGAGTGTACGTTATGCCCG | |||
| CTLV | CTLV-120F c | GGAGTCGTTTAAAATTCCGC | 120 | [23] |
| CTLV-120R | AGAAAAACCACACTAACCCG | |||
| CEVd | CEVd-196F | TTTCGCTGCTGGCTCCACA | 196 | [18] |
| CEVd-196R | ACCTCAAGAAAGATCCCGA |
| Cultivar a | No. of Samples | No. of Positive Detection (Multiplex RT-PCR/Published assays) b | |||
|---|---|---|---|---|---|
| CLas | CTV | CTLV | CEVd | ||
| EL | 40 | 12/10 | 9/9 | 15/14 | 8/8 |
| TK | 37 | 10/9 | 17/17 | 18/16 | 2/2 |
| PK | 32 | 14/10 | 11/11 | 13/12 | 1/1 |
| Mur | 38 | 9/9 | 16/16 | 11/10 | 8/8 |
| LSO | 45 | 13/11 | 19/19 | 20/15 | 6/6 |
| WP | 35 | 12/9 | 5/5 | 15/12 | 3/3 |
| U | 3 | 0/0 | 0/0 | 0/0 | 0/0 |
| Total | 230 | 70/58 | 77/77 | 92/79 | 28/28 |
| Cultivar a | No. of Samples | CLas Only | CTV Only | CTLV Only | CEVd Only | Mixed Infection | |||||
|---|---|---|---|---|---|---|---|---|---|---|---|
| CLas + CTV | CLas + CTLV | CLas + CEVd | CTV + CTLV | CLas + CTV + CTLV | CTV + CTLV + CEVd | ||||||
| EL | 40 | 12.5% (5/40) | 7.5% (3/40) | 17.5% (7/40) | 15.0% (6/40) | 2.5% (1/40) | 7.5% (3/40) | 5.0% (2/40) | 10.0% (4/40) | 2.5% (1/40) | 0.0% (0/40) |
| TK | 37 | 2.7% (1/37) | 18.9% (7/37) | 32.4% (12/37) | 0.0% (0/37) | 13.5% (5/37) | 2.7% (1/37) | 2.7% (1/37) | 5.4% (2/37) | 5.4% (2/37) | 2.7% (1/37) |
| PK | 32 | 18.8% (6/32) | 12.5% (4/32) | 21.9% (7/32) | 0.0% (0/32) | 12.5% (4/32) | 9.4% (3/32) | 0.0% (0/32) | 3.1% (1/32) | 3.1% (1/32) | 3.1% (1/32) |
| Mur | 38 | 5.3% (2/38) | 23.7% (9/38) | 10.5% (4/38) | 13.2% (5/38) | 5.3% (2/38) | 5.3% (2/38) | 7.9% (3/38) | 13.2% (5/38) | 0.0% (0/38) | 0.0% (0/38) |
| LSO | 45 | 4.4% (2/45) | 11.1% (5/45) | 24.4% (11/45) | 13.3% (6/45) | 15.6% (7/45) | 4.4% (2/45) | 0.0% (0/45) | 11.1% (5/45) | 4.4% (2/45) | 0.0% (0/45) |
| WP | 35 | 17.1% (6/35) | 5.7% (2/35) | 28.6% (10/35) | 2.9% (1/35) | 2.9% (1/35) | 8.6% (3/35) | 5.7% (2/35) | 5.7% (2/35) | 0.0% (0/35) | 0.0% (0/35) |
| U | 3 | 0.0% (0/3) | 0.0% (0/3) | 0.0% (0/3) | 0.0% (0/3) | 0.0% (0/3) | 0.0% (0/3) | 0.0% (0/3) | 0.0% (0/3) | 0.0% (0/3) | 0.0% (0/3) |
| Total | 230 | 9.6% (22/230) | 13.0% (30/230) | 22.2% (51/230) | 7.8% (18/230) | 8.7% (20/230) | 6.1% (14/230) | 3.5% (8/230) | 8.3% (19/230) | 2.6% (6/230) | 0.9% (2/230) |
| Cultivar a | No. of Samples | No. of Positive Detection | ||||||||
|---|---|---|---|---|---|---|---|---|---|---|
| CLas Only | CTV Only | CTLV Only | CEVd Only | CLas + CTV | CLas + CTLV | CLas + CEVd | CTV + CTLV | |||
| Seedling orchard 1 | PK | 20 | 2 | 5 | 3 | 0 | 1 | 0 | 0 | 1 |
| WP | 20 | 3 | 0 | 3 | 1 | 0 | 1 | 1 | 0 | |
| Seedling orchard 2 | PK | 20 | 0 | 1 | 1 | 0 | 0 | 0 | 0 | 0 |
| WP | 20 | 1 | 0 | 0 | 0 | 0 | 0 | 0 | 0 | |
| Seedling orchard 3 | EL | 20 | 2 | 7 | 0 | 0 | 0 | 0 | 0 | 1 |
| Total | 100 | 8 | 13 | 7 | 1 | 1 | 1 | 1 | 2 | |
Disclaimer/Publisher’s Note: The statements, opinions and data contained in all publications are solely those of the individual author(s) and contributor(s) and not of MDPI and/or the editor(s). MDPI and/or the editor(s) disclaim responsibility for any injury to people or property resulting from any ideas, methods, instructions or products referred to in the content. |
© 2023 by the authors. Licensee MDPI, Basel, Switzerland. This article is an open access article distributed under the terms and conditions of the Creative Commons Attribution (CC BY) license (https://creativecommons.org/licenses/by/4.0/).
Share and Cite
Yao, S.-M.; Wu, M.-L.; Hung, T.-H. Development of Multiplex RT-PCR Assay for the Simultaneous Detection of Four Systemic Diseases Infecting Citrus. Agriculture 2023, 13, 1227. https://doi.org/10.3390/agriculture13061227
Yao S-M, Wu M-L, Hung T-H. Development of Multiplex RT-PCR Assay for the Simultaneous Detection of Four Systemic Diseases Infecting Citrus. Agriculture. 2023; 13(6):1227. https://doi.org/10.3390/agriculture13061227
Chicago/Turabian StyleYao, Shun-Min, Meng-Ling Wu, and Ting-Hsuan Hung. 2023. "Development of Multiplex RT-PCR Assay for the Simultaneous Detection of Four Systemic Diseases Infecting Citrus" Agriculture 13, no. 6: 1227. https://doi.org/10.3390/agriculture13061227
APA StyleYao, S.-M., Wu, M.-L., & Hung, T.-H. (2023). Development of Multiplex RT-PCR Assay for the Simultaneous Detection of Four Systemic Diseases Infecting Citrus. Agriculture, 13(6), 1227. https://doi.org/10.3390/agriculture13061227

