Involvement of IGFBP5 in the Development of Goose Fatty Liver via p38 Mitogen-Activated Protein Kinase (MAPK)
Abstract
1. Introduction
2. Materials and Methods
2.1. Experimental Animals and Sample Collection
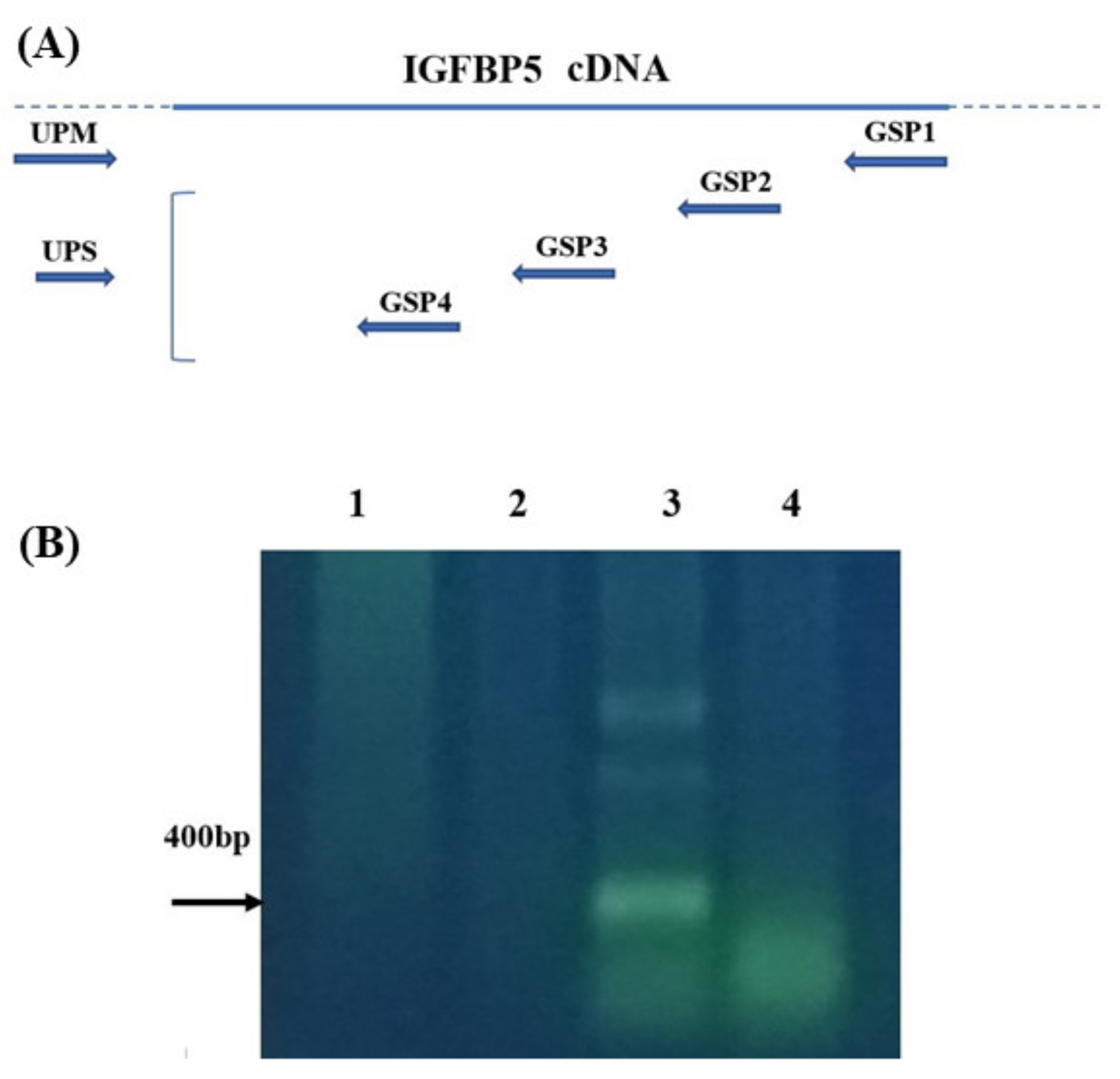
2.2. Primer Design
2.3. Isolation of Genomic DNA (gDNA)
2.4. General PCR and Product Separation by Electrophoresis
2.5. Total RNA Isolation and 5′ Rapid Amplification of cDNA Ends (RACE)
2.6. Cloning of PCR Product
2.7. Bioinformatics Analysis of Goose IGFBP5 mRNA Sequence
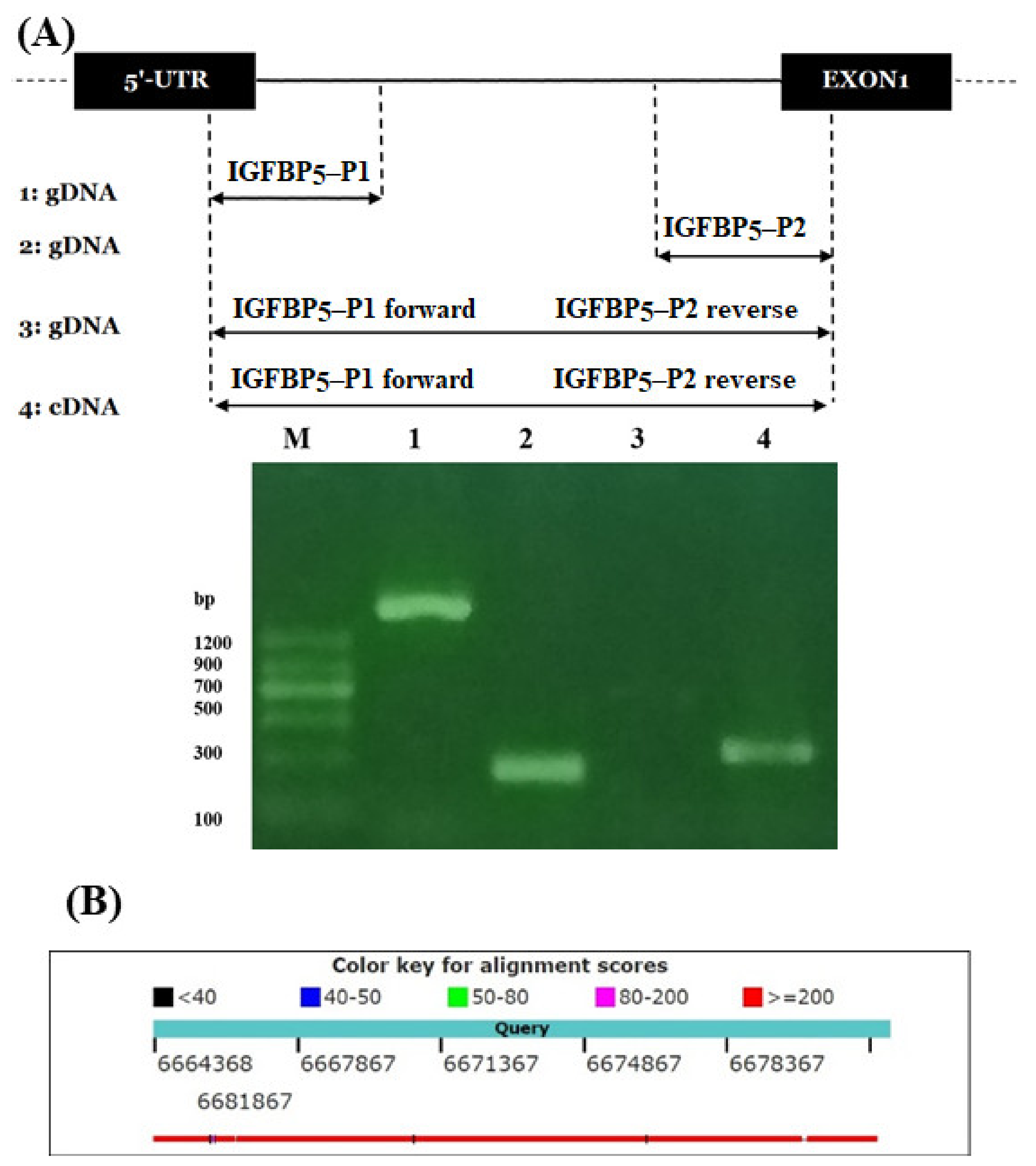
2.8. Acquiring the Missing Part of the First Intron Sequence of Goose IGFBP5 Gene
2.9. Western Blot Analysis
2.10. Quantitative PCR Analysis
2.11. Isolation and Treatment of Goose Primary Hepatocytes
2.12. Transcriptome Analysis
2.13. Statistical Analysis
3. Results
3.1. Acquiring the Full Length of Goose IGFBP5 mRNA
3.2. Bioinformatics Analysis of Goose IGFBP5 mRNA Sequence
3.3. Acquiring the Full Length of the Goose IGFBP5 Genomic Sequence
3.4. Expression of IGFBP5 Was Suppressed in Goose Fatty Liver vs. Normal Liver
3.5. Identification of Genes and Pathways Affected by IGFBP5 Overexpression in Goose Primary Hepatocytes
3.6. Association of Total p38 MAPK Protein Levels with IGFBP5 Expression
4. Discussion
5. Conclusions
Supplementary Materials
Author Contributions
Funding
Institutional Review Board Statement
Data Availability Statement
Conflicts of Interest
References
- Bohannon-Stewart, A.; Kelley, G.; Kimathi, B.; Subramanya, S.H.K.; Donkor, J.; Darris, C.; Tyus, J.; Payne, A.; Byers, S.; Hui, D.; et al. Expression of potential regu-latory genes in abdominal adipose tissue of broiler chickens during early development. Genet. Res. Int. 2014, 2014, 318304. [Google Scholar]
- Zheng, Y.; Jiang, S.; Zhang, Y.; Zhang, R.; Gong, D. Detection of miR-33 expression and the verification of its target genes in the fatty liver of geese. Int. J. Mol. Sci. 2015, 16, 12737–12752. [Google Scholar] [CrossRef]
- Adamek, A.; Kasprzak, A. Insulin-like growth factor (IGF) system in liver diseases. Int. J. Mol. Sci. 2018, 19, 1308. [Google Scholar] [CrossRef] [PubMed]
- Chen, F.; Zhang, H.; Li, J.; Tian, Y.; Xu, J.; Chen, L.; Wei, J.; Zhao, N.; Yang, X.; Zhang, W.; et al. Identification of differentially expressed miRNAs in the fatty liver of Landes goose (Anser anser). Sci. Rep. 2017, 7, 16296. [Google Scholar] [CrossRef] [PubMed]
- Kammel, A.; Saussenthaler, S.; Jähnert, M.; Jonas, W.; Stirm, L.; Hoeflich, A.; Staiger, H.; Fritsche, A.; Haring, H.; Joost, H.; et al. Early hypermethylation of hepatic Igfbp2 results in its reduced expression preceding fatty liver in mice. Hum. Mol. Genet. 2016, 25, 2588–2599. [Google Scholar]
- Liu, L.; Zhao, X.; Wang, Q.; Sun, X.; Xia, L.; Wang, Q.; Yang, B.; Zhang, Y.; Montgomery, S.; Meng, H.; et al. Prosteatotic and protective components in a unique model of fatty liver: Gut microbiota and suppressed complement system. Sci. Rep. 2016, 6, 31763. [Google Scholar] [CrossRef]
- Cheng, Y.; Huang, L.; Ping, J.; Chen, T.; Chen, J. MicroRNA-199a-3p attenuates hepatic lipogenesis by targeting Sp1. Am. J. Transl. Res. 2017, 9, 1905–1913. [Google Scholar] [PubMed]
- Osman, R.H.; Shao, D.; Liu, L.; Xia, L.; Sun, X.; Zheng, Y.; Wang, L.; Zhang, R.; Zhang, Y.; Zhang, J.; et al. Expression of mitochondria-related genes is elevated in over-feeding-induced goose fatty liver. Comp. Biochem. Physiol. B Biochem. 2016, 192, 30–37. [Google Scholar] [CrossRef]
- Ding, H.; Wu, T. Insulin-like growth factor binding proteins in autoimmune diseases. Front. Endocrinol. 2018, 9, 449–458. [Google Scholar] [CrossRef] [PubMed]
- Leng, L.; Wang, S.; Li, Z.; Wang, Q.; Li, H. A polymorphism in the 3′-flanking region of insulin-like growth factor binding protein 2 gene associated with abdominal fat in chickens. Poult. Sci. 2009, 88, 938–942. [Google Scholar] [CrossRef]
- Dikshit, A.; Gao, C.; Small, C.; Hales, K.; Hales, D.B. Flaxseed and its components differentially affect estrogen targets in pre-neoplastic hen ovaries. J. Steroid Biochem. Mol. Biol. 2016, 159, 73–85. [Google Scholar] [CrossRef] [PubMed][Green Version]
- Wang, X.; Shi, J.; Yang, J.; Liang, Y.; Wang, Y.; Wu, M.; Li, S.; Guo, X.; Wang, Z.; Liu, D. Molecular characterization and expression pattern of gene IGFBP-5 in the Cashmere Goat (Capra hircus). Asian-Australas. J. Anim. Sci. 2012, 25, 606–612. [Google Scholar] [CrossRef]
- Bach, L.A. Insulin-like growth factor binding proteins 4–6. Best Pract. Res. Clin. Endocrinol. Metab. 2015, 29, 713–722. [Google Scholar] [CrossRef] [PubMed]
- Colak, Y.; Senates, E.; Ozturk, O.; Yilmaz, Y.; Zemheri, E.; Enc, F.Y.; Ulasoglua, C.; Aksaraye, S.; Bozbeyogluc, S.; Kiziltas, S.; et al. Serum concentrations of human insulin-like growth factor-1 and levels of insulin-like growth factor-binding protein-5 in patients with nonalcoholic fatty liver disease: Association with liver histology. Eur. J. Gastroenterol. Hepatol. 2012, 24, 255–261. [Google Scholar] [CrossRef] [PubMed]
- Weber, M.M.; Spoöttl, G.; Goössl, C.; Engelhardt, D. Characterization of human insulin-like growth factor-binding proteins by two-dimensional polyacrylamide gel electrophoresis and Western ligand blot analysis. J. Clin. Endocrinol. Metab. 1999, 84, 1679–1684. [Google Scholar] [CrossRef]
- Osman, R.H.; Liu, L.; Xia, L.; Zhao, X.; Wang, Q.; Sun, X.; Zhang, Y.; Yang, B.; Zheng, Y.; Gong, D.; et al. Fads1 and 2 are promoted to meet instant need for long-chain polyunsaturated fatty acids in goose fatty liver. Mol. Cell. Biochem. 2016, 418, 103–117. [Google Scholar] [CrossRef]
- Geng, T.; Zhao, X.; Xia, L.; Liu, L.; Li, F.; Yang, B.; Wang, Q.; Montgomery, S.; Cui, H.; Gong, D. Supplementing dietary sugar promotes endoplasmic reticulum stress-independent insulin resistance and fatty liver in goose. Biochem. Biophys. Res. Commun. 2016, 476, 665–669. [Google Scholar] [CrossRef]
- Zhang, R.; Zhu, L.; Zhang, Y.; Shao, D.; Wang, L.; Gong, D. cDNA cloning and the response to overfeeding in the expression of stearoyl-CoA desaturase 1 gene in Landes goose. Gene 2013, 512, 464–469. [Google Scholar] [CrossRef]
- Livak, K.J.; Schmittgen, T.D. Analysis of relative gene expression data using real-time quantitative PCR and the 2 −ΔΔCT method. Methods 2001, 25, 402–408. [Google Scholar] [CrossRef]
- Liu, L.; Wang, Q.; Wang, Q.; Zhao, X.; Zhao, P.; Geng, T.; Gong, D. Role of miR29c in goose fatty liver is mediated by its target genes that are involved in energy homeostasis and cell growth. BMC Vet. Res. 2018, 14, 325. [Google Scholar] [CrossRef]
- Molina, F.; Bouanani, M.; Pau, B.; Granier, C. Characterization of the type-1 repeat from thyroglobulin, a cysteine-rich module found in proteins from different families. Eur. J. Biochem. 1996, 240, 125–133. [Google Scholar] [CrossRef] [PubMed]
- Allander, S.V.; Larsson, C.; Ehrenborg, E.; Suwanichkul, A.; Weber, G.; Morris, S.L.; Bajalica, S.; Kiefer, M.; Luthman, H.; Powell, D. Characterization of the chromosomal gene and promoter for human insulin-like growth factor binding protein-5. J. Biol. Chem. 1994, 269, 10891–10898. [Google Scholar] [CrossRef]
- Sokolović, A.; Montenegro-Miranda, P.S.; de Waart, D.R.; Cappai, R.M.; Duijst, S.; Sokolović, M.; Bosma, P. Overexpression of insulin like growth factor binding protein 5 reduces liver fibrosis in chronic cholangiopathy. Biochim. Biophys. Acta Mol. Basis Dis. 2012, 1822, 996–1003. [Google Scholar] [CrossRef]
- Xiao, Z.; Chu, Y.; Qin, W. IGFBP5 modulates lipid metabolism and insulin sensitivity through activating AMPK pathway in non-alcoholic fatty liver disease. Life Sci. 2020, 256, 117997–118006. [Google Scholar] [CrossRef]
- Daculsi, R.; Rémy-Zolghadri, M.; Grellier, M.; Conrad, V.; Fernandez, P.; Bareille, R.; Bordenave, L. Signal transduction and procoagulant state of human cord blood--progenitor-derived endothelial cells after interleukin-1alpha stimulation. Endothel. J. Endothel. Cell Res. 2007, 14, 163–171. [Google Scholar]
- Kuriyama, M.; Taniguchi, T.; Shirai, Y.; Sasaki, A.; Yoshimura, A.; Saito, N. Activation and translocation of PKCδ is necessary for VEGF-induced ERK activation through KDR in HEK293T cells. Biochem. Biophys. Res. Commun. 2004, 325, 843–851. [Google Scholar] [CrossRef] [PubMed]
- Cai, J.; Du, S.; Wang, H.; Xin, B.; Wang, J.; Shen, W.; Wei, W.; Guo, Z.; Shen, X. Tenascin-C induces migration and invasion through JNK/c-Jun signalling in pancreatic cancer. Oncotarget 2017, 8, 74406–74422. [Google Scholar] [CrossRef] [PubMed]
- Junttila, M.R.; Li, S.P.; Westermarck, J. Phosphatase-mediated crosstalk between MAPK signaling pathways in the reg-ulation of cell survival. FASEB J. 2008, 22, 954–965. [Google Scholar] [CrossRef]
- Umemura, A.; Itoh, Y.; Itoh, K.; Yamaguchi, K.; Nakajima, T.; Higashitsuji, H.; Onoue, H.; Fukumoto, M.; Okanoue, T.; Fujita, J. Association of gankyrin protein expression with early clinical stages and insulin-like growth factor-binding protein 5 expression in human hepatocellular carcinoma. Hepatology 2008, 47, 493–502. [Google Scholar] [CrossRef]
- Hu, C.; Zhao, L.; Tao, J.; Li, L. Protective role of melatonin in early-stage and end-stage liver cirrhosis. J. Cell. Mol. Med. 2019, 23, 7151–7162. [Google Scholar] [CrossRef]
- Jalal, S.; Shi, S.; Acharya, V.; Huang, R.Y.J.; Viasnoff, V.; Bershadsky, A.D.; Tee, Y.H. Actin cytoskeleton self-organization in single epithelial cells and fibroblasts under isotropic confinement. J. Cell Sci. 2019, 132, jcs220780. [Google Scholar] [CrossRef] [PubMed]
- Panera, N.; Crudele, A.; Romito, I.; Gnani, D.; Alisi, A. Focal adhesion kinase: Insight into molecular roles and functions in hepatocellular carcinoma. Int. J. Mol. Sci. 2017, 18, 99. [Google Scholar] [CrossRef] [PubMed]
- Glaser, S.; Han, Y.; Francis, H.; Alpini, G. Melatonin regulation of biliary functions. Hepatobiliary Surg. Nutr. 2014, 3, 35–43. [Google Scholar] [PubMed]
- McMillin, M.; DeMorrow, S.; Glaser, S.; Venter, J.; Kyritsi, K.; Zhou, T.; Grant, S.; Giang, T.; Greene, J.; Wu, N.; et al. Liver and Biliary Tract Physiology/Pathophysiology: Melatonin inhibits hypothalamic gonadotropin-releasing hormone release and reduces biliary hyperplasia and fibrosis in cho-lestatic rats. Am. J. Physiol. Gastrointest. Liver Physiol. 2017, 313, G410–G418. [Google Scholar] [CrossRef]
- McCaig, C.; Perks, C.M.; Holly, J.M. Intrinsic actions of IGFBP-3 and IGFBP-5 on Hs578T breast cancer epithelial cells: Inhibition or accentuation of attachment and survival is dependent upon the presence of fibronectin. J. Cell Sci. 2002, 115, 4293–4303. [Google Scholar] [CrossRef]








| Name | Sequence (5′-3′) 2 | Tm (°C) | Purpose 1 |
|---|---|---|---|
| IGFBP5-UPM | Forward: TAATACGACTCACTATAGGGCAAGCAGTGGTATCAACGCAGAGT | 68 | For 5′-RACE |
| IGFBP5-GSP1 | Reverse 2: GATTACGCCAAGCTTGACACTCAGGTCTCCGCTCAGGTA | 68 | |
| IGFBP5-UPS | Forward: CTAATACGACTCACTATAGGGC | 68 | For the nested PCR |
| IGFBP5-GSP2 | Reverse 2: GATTACGCCAAGCTTATGCCGTATTTGTCCACGCACCAAC | 68 | |
| IGFBP5-GSP3 | Reverse 2: GATTACGCCAAGCTTCGGGGATGTGCCGTGTTCTCCGC | 68 | |
| IGFBP5-GSP4 | Reverse2: GATTACGCCAAGCTTGTGCTTGGGCCGGTAGGCCTTGG | 68 | |
| ACTN1 | Forward: CCGTCCAACACACCCTTCTT Reverse: GTGGCGTTTTGTTGTTGTTTGG | 60 | For DNA contamination |
| IGFBP5-P1 | Forward: TTCGTGCAGTGCGAGCCTGCGA Reverse: AGGACCCAGAAGTGGGAGTT | 60 | For the missing sequence |
| IGFBP5-P2 | Forward: TACCAGGAGAGAGACCTGGGG Reverse: GTGCTTGGGCCGTAGGCCTTGG | 60 |
| Gene 1 | Forward (5′-3′) | Reverse (5′-3′) |
|---|---|---|
| IGFBP5 | GAGTTTGAGCTGGGCCCTTG | ATGCCGTATTTGTCCACGCA |
| DBI | GCAAATACGGGATCTGAGGA | GATACACGACCTCCCCTGAA |
| COX3 | TCACACTCCCACAGTCCAAA | CGCCTGAGGCTAGTAGGATG |
| RPL37 | TTCAGACGAAGGGTACGTCA | GCGTCTCTTAGCCTTTGCAC |
| LOC106044214 | CCTTGAAGAAGTCCCTGCTG | ATTTTCCAGGGCTTCCTTGT |
| LOC106036132 | TGGAGCAAGTAAACGCCTCT | TTCAGGCACTGGTAGGCTTT |
| PTEN | TCATAGGGATGTAGCCAGGAGT | TAGGCGAGAACACAGCTAATGA |
| KDR | TCGCTGAATATGGAAGAGGATT | CTGTTTGGTTTTCCTCCTGAAC |
| TNC | GAAAGTGACCCCATGAAAGAAG | GTGTAGCTCTGGTTGTTGCTTG |
| WASL | GATACCGCGTGTTTAGGAGAAC | CTCCTGCTCCCACAATAATTTC |
| LOC106042804 | CGGCATCTACTACGACACCA | GCGGGTGTTGATCTTTGTCT |
| PAK2 | TGAATTACTGGCCCTTCTGTTT | TGCAAGAGATCAGCAGGTAAAA |
| GAPDH | GCCATCAATGATCCCTTCAT | CTGGGGTCACGCTCCTG |
| Species | GenBank Accession Number | Length (Nucleotide or Amino Acid) | Identity (%) |
|---|---|---|---|
| mRNA sequence | |||
| Duck (Anas platyrhynchos) | XM_027461440.2 | 1301 | 96.81 |
| Chicken (Gallus gallus) | XM_040676652.1 | 5939 | 92.99 |
| Quail (Coturnix japonica) | XM_015868794.2 | 5737 | 91.78 |
| Human (Homo sapiens) | NM_000599.4 | 6239 | 80.79 |
| Mouse (Mus musculus) | NM_010518.2 | 5854 | 79.05 |
| Cattle (Bos taurus) | NM_001105327.2 | 999 | 77.23 |
| Protein sequence | |||
| Duck (Anas platyrhynchos) | XP_027317241.1 | 269 | 99.62 |
| Chicken (Gallus gallus) | XP_422069.4 | 269 | 99.23 |
| Quail (Coturnix japonica) | XP_015724280.1 | 269 | 99.23 |
| Human (Homo sapiens) | NP_000590.1 | 272 | 82.94 |
| Mouse (Mus musculus) | NP_034648.2 | 271 | 82.94 |
| Cattle (Bos taurus) | XP_010800619.1 | 271 | 78.07 |
| Sample 1 | Raw Reads (bp) | Clean Reads (bp) | Q20 (%) 2 | Q30 (%) 3 | GC (%) |
|---|---|---|---|---|---|
| IGFBP5-S1 | 48408700 | 47080062 | 97.88 | 93.93 | 53.07 |
| IGFBP5-S2 | 42676458 | 41820000 | 98.12 | 94.36 | 51.63 |
| Control-S1 | 40127434 | 39297108 | 98.14 | 94.42 | 51.09 |
| Control-S2 | 45093268 | 44222734 | 97.31 | 92.59 | 50.71 |
| Gene Symbol 1 | Gene Description | Chromosome | log2 (FoldChange) | p-Value 1 |
|---|---|---|---|---|
| LOC106036132 | interferon-induced GTP-binding protein Mx transcript variant X1 | NW_013185698.1 | −2.46 | 3.26 × 10−54 |
| RPL37 | ribosomal protein L37 | NW_013185700.1 | −1.26 | 9.71 × 10−48 |
| LOC106044214 | interferon-induced protein with tetratricopeptide repeats 5-like | NW_013185654.1 | −2.57 | 6.01 × 10−34 |
| COX3 | cytochrome c oxidase subunit III | NC_023832.1 | −1.04 | 4.24 × 10−30 |
| DBI | diazepam binding inhibitor (GABA receptor modulator acyl-CoA binding protein) | NW_013185731.1 | −1.16 | 5.48 × 10−25 |
| COX2 | PF02790:cytochrome C oxidase subunit II, transmembrane domain | NC_023832.1 | −1.02 | 2.45 × 10−17 |
| LOC106042804 | 2′-5′-oligoadenylate synthase-like protein 2 | NW_013185786.1 | −1.48 | 1.30 × 10−14 |
| LOC106049678 | uncharacterized LOC106049678 | NW_013186071.1 | −1.02 | 2.71 × 10−13 |
| EPSTI1 | epithelial stromal interaction 1 (breast) | NW_013185688.1 | −2.32 | 4.19 × 10−8 |
| NDUFA12 | NADH dehydrogenase (ubiquinone) 1 alpha subcomplex 12 | NW_013185706.1 | −1.02 | 5.59 × 10−8 |
| Gene Symbol 1 | Gene Description | Chromosome | log2 (FoldChange) | p-Value 1 |
|---|---|---|---|---|
| FLNB | filamin B beta transcript variant X1 | NW_013185716.1 | 1.65 | 1.89 × 10−29 |
| PLEC | plectin | NW_013185977.1 | 1.36 | 4.05 × 10−27 |
| FN1 | fibronectin 1 | NW_013185684.1 | 1.33 | 1.90 × 10−24 |
| MACF1 | microtubule-actin crosslinking factor 1 | NW_013185716.1 | 1.77 | 1.84 × 10−18 |
| LAMC1 | laminin gamma 1 (formerly LAMB2) | NW_013185779.1 | 1.11 | 3.17 × 10−15 |
| VCL | vinculin | NW_013185654.1 | 1.78 | 5.40 × 10−15 |
| LRP1 | low density lipoprotein receptor-related protein 1 | NW_013185999.1 | 1.36 | 7.27 × 10−14 |
| LOC106029425 | endogenous retrovirus group K member 18 Pol protein-like | NW_013186168.1 | 1.86 | 8.87 × 10−14 |
| SPTAN1 | spectrin alpha non-erythrocytic transcript variant X6 | NW_013185903.1 | 1.05 | 2.19 × 10−9 |
| LARP1 | La ribonucleoprotein domain family member transcript variant X1 | NW_013185674.1 | 1.78 | 6.68 × 10−9 |
Publisher’s Note: MDPI stays neutral with regard to jurisdictional claims in published maps and institutional affiliations. |
© 2022 by the authors. Licensee MDPI, Basel, Switzerland. This article is an open access article distributed under the terms and conditions of the Creative Commons Attribution (CC BY) license (https://creativecommons.org/licenses/by/4.0/).
Share and Cite
Jauregui, D.; Khogali, M.K.; Xing, Y.; Fan, X.; Wen, K.; Liu, L.; Zhao, M.; Geng, T.; Gong, D. Involvement of IGFBP5 in the Development of Goose Fatty Liver via p38 Mitogen-Activated Protein Kinase (MAPK). Agriculture 2022, 12, 347. https://doi.org/10.3390/agriculture12030347
Jauregui D, Khogali MK, Xing Y, Fan X, Wen K, Liu L, Zhao M, Geng T, Gong D. Involvement of IGFBP5 in the Development of Goose Fatty Liver via p38 Mitogen-Activated Protein Kinase (MAPK). Agriculture. 2022; 12(3):347. https://doi.org/10.3390/agriculture12030347
Chicago/Turabian StyleJauregui, Diego, Mawahib K. Khogali, Ya Xing, Xiang Fan, Kang Wen, Long Liu, Minmeng Zhao, Tuoyu Geng, and Daoqing Gong. 2022. "Involvement of IGFBP5 in the Development of Goose Fatty Liver via p38 Mitogen-Activated Protein Kinase (MAPK)" Agriculture 12, no. 3: 347. https://doi.org/10.3390/agriculture12030347
APA StyleJauregui, D., Khogali, M. K., Xing, Y., Fan, X., Wen, K., Liu, L., Zhao, M., Geng, T., & Gong, D. (2022). Involvement of IGFBP5 in the Development of Goose Fatty Liver via p38 Mitogen-Activated Protein Kinase (MAPK). Agriculture, 12(3), 347. https://doi.org/10.3390/agriculture12030347

