Isolation and Some Basic Characteristics of Lactic Acid Bacteria from Honeybee (Apis mellifera L.) Environment—A Preliminary Study
Abstract
1. Introduction
2. Materials and Methods
2.1. Research Material
2.2. Isolation of Lactic Acid Bacteria Strains
2.3. Cultivation of Isolated Strains of LAB, Propagation, Freezing, and Storage
2.4. Assessment of Carbon Dioxide Production Ability
2.5. Assessment of Biomass Productivity
2.6. Assessment of Lactic Acid Production
2.7. API 50 CH Biochemical Tests
2.8. MALDI-TOF Mass Spectrometry Analysis
3. Results and Discussion
3.1. LAB Isolates Obtained from Flowers and Honeybee Products
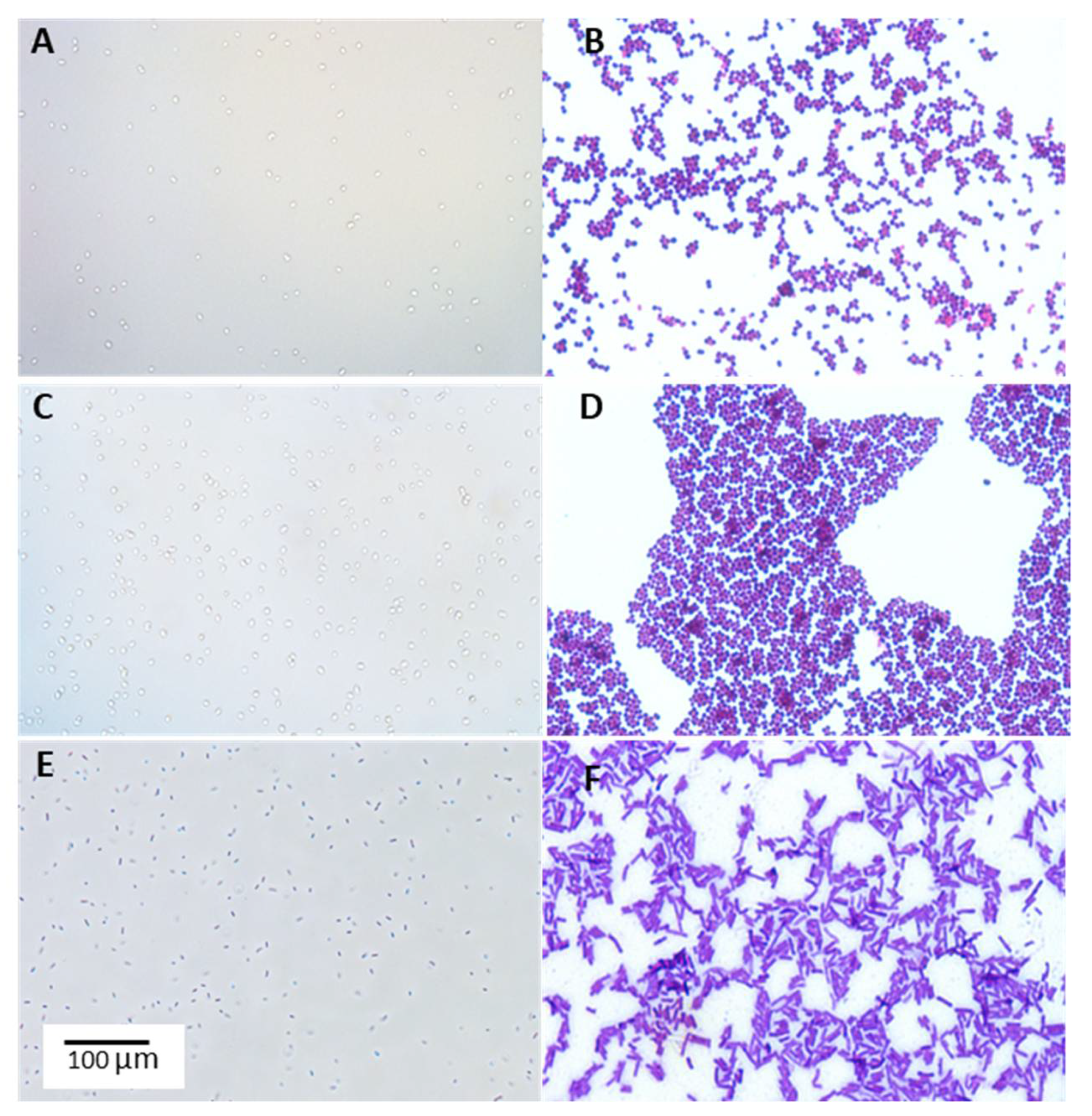
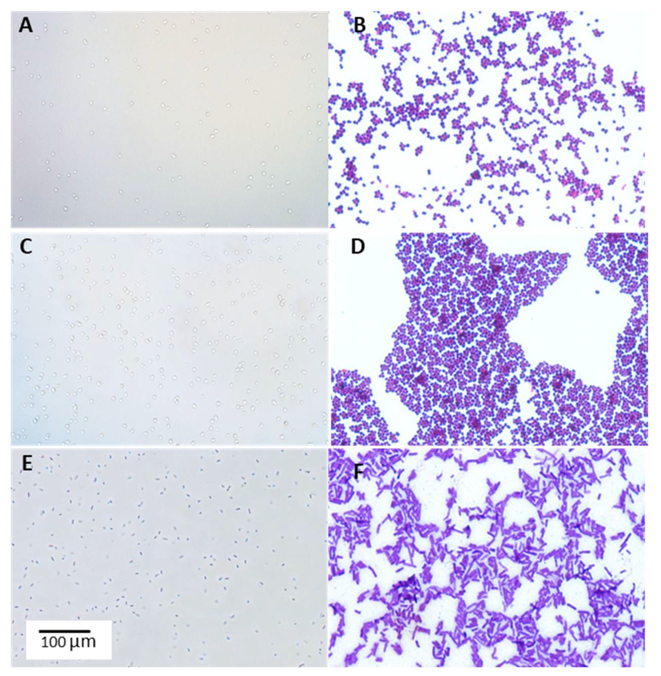
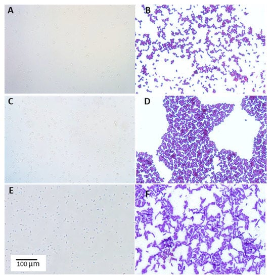
3.2. Characteristics of Isolated LAB
3.3. Identification of Isolated LAB Strains
3.4. Carbohydrate Assimilation Pattern
4. Conclusions
Author Contributions
Funding
Institutional Review Board Statement
Informed Consent Statement
Data Availability Statement
Acknowledgments
Conflicts of Interest
References
- Teneva-Angelova, T.; Hristova, I.; Pavlov, A.; Beshkova, D. Lactic Acid Bacteria—From Nature Through Food to Health. In Advances in Biotechnology for Food Industry; Academic Press: Cambridge, MA, USA, 2018; pp. 91–133. [Google Scholar] [CrossRef]
- Ruiz Rodríguez, L.; Mohamed, F.; Bleckwedel, J.; Medina, R.; de Vuyst, L.; Hebert, E.M.; Mozzi, F. Diversity and Functional Properties of Lactic Acid Bacteria Isolated from Wild Fruits and Flowers Present in Northern Argentina. Front Microbiol. 2019, 10, 1091. [Google Scholar] [CrossRef] [PubMed]
- Pessione, E. Lactic acid bacteria contribution to gut microbiota complexity: Lights and shadows. Front Cell Infect Microbiol. 2012, 2, 86. [Google Scholar] [CrossRef] [PubMed]
- Ruas-Madiedo, P.; Salazar, N.; de los Reyes-Gavilán, C. Exopolysaccharides produced by lactic acid bacteria in food and probiotic applications. In Microbial Glycobiology; Academic Press: Cambridge, MA, USA, 2010; pp. 885–902. [Google Scholar] [CrossRef]
- Azhari Ali, A. Isolation and Identification of Lactic Acid Bacteria from Raw Cow Milk in Khartoum State, Sudan. Int. J. Dairy Sci. 2010, 6, 66–71. [Google Scholar] [CrossRef][Green Version]
- Rasika, D.M.D.; Vidanarachchi, J.K.; Luiz, S.F.; Azeredo, D.R.P.; Cruz, A.G.; Ranadheera, C.S. Probiotic Delivery through Non-Dairy Plant-Based Food Matrices. Agriculture 2021, 11, 599. [Google Scholar] [CrossRef]
- Hill, C.; Guarner, F.; Reid, G.; Gibson, G.R.; Merenstein, D.J.; Pot, B.; Morelli, L.; Canani, R.B.; Flint, H.J.; Salminen, S.; et al. The International Scientific Association for Probiotics and Prebiotics consensus statement on the scope and appropriate use of the term probiotic. Nat. Rev. Gastroenterol. Hepatol. 2014, 11, 506–514. [Google Scholar] [CrossRef] [PubMed]
- Kechagia, M.; Basoulis, D.; Konstantopoulou, S.; Dimitriadi, D.; Gyftopoulou, K.; Skarmoutsou, N.; Fakiri, E.M. Health Benefits of Probiotics: A Review. ISRN Nutr. 2013, 2013, 1–7. [Google Scholar] [CrossRef]
- Zhu, W.; Lyu, F.; Naumovski, N.; Ajlouni, S.; Ranadheera, C.S. Functional Efficacy of Probiotic Lactobacillus sanfranciscensis in Apple, Orange and Tomato Juices with Special Reference to Storage Stability and In Vitro Gastrointestinal Survival. Beverages 2020, 6, 13. [Google Scholar] [CrossRef]
- Hardy, H.; Harris, J.; Lyon, E.; Beal, J.; Foey, A. Probiotics, Prebiotics and Immunomodulation of Gut Mucosal Defences: Homeostasis and Immunopathology. Nutrients 2013, 5, 1869–1912. [Google Scholar] [CrossRef]
- Yadav, R.; Puniya, A.; Shukla, P. Probiotic Properties of Lactobacillus plantarum RYPR1 from an Indigenous Fermented Beverage Raabadi. Front Microbiol. 2016, 7, 1683. [Google Scholar] [CrossRef]
- Chen, J.; Pang, H.; Wang, L.; Ma, C.; Wu, G.; Liu, Y.; Guan, Y.; Zhang, M.; Qin, G.; Tan, Z. Bacteriocin-Producing Lactic Acid Bacteria Strains with Antimicrobial Activity Screened from Bamei Pig Feces. Foods 2022, 11, 709. [Google Scholar] [CrossRef]
- Fu, C.; Yang, Z.; Yu, J.; Wei, M. The interaction between gut microbiome and anti-tumor drug therapy. Am. J. Cancer Res. 2021, 11, 5812–5832. [Google Scholar] [PubMed]
- Montalban-Lopez, M.; Sanchez-Hidalgo, M.; Valdivia, E.; Martinez-Bueno, M.; Maqueda, M. Are Bacteriocins Underexploited? NOVEL Applications for OLD Antimicrobials. Curr. Pharm. Biotechnol. 2011, 12, 1205–1220. [Google Scholar] [CrossRef] [PubMed]
- Zommiti, M.; Feuilloley, M.; Connil, N. Update of Probiotics in Human World: A Nonstop Source of Benefactions till the End of Time. Microorganisms 2020, 8, 1907. [Google Scholar] [CrossRef] [PubMed]
- Nowak, A.; Szczuka, D.; Górczyńska, A.; Motyl, I.; Kręgiel, D. Characterization of Apis mellifera Gastrointestinal Microbiota and Lactic Acid Bacteria for Honeybee Protection—A Review. Cells 2021, 10, 701. [Google Scholar] [CrossRef] [PubMed]
- Endo, A.; Salminen, S. Honeybees and beehives are rich sources for fructophilic lactic acid bacteria. Syst. Appl. Microbiol. 2013, 36, 444–448. [Google Scholar] [CrossRef]
- Kwong, W.; Moran, N. Gut microbial communities of social bees. Nat. Rev. Microbiol. 2016, 14, 374–384. [Google Scholar] [CrossRef]
- Niode, N.; Salaki, C.; Rumokoy, L.; Tallei, T. Lactic Acid Bacteria from Honey Bees Digestive Tract and Their Potential as Probiotics. In Proceedings of the International Conference and the 10th Congress of the Entomological Society of Indonesia (ICCESI 2019), Bali, Indonesia, 6–9 October 2020. [Google Scholar] [CrossRef]
- Iorizzo, M.; Letizia, F.; Ganassi, S.; Testa, B.; Petrarca, S.; Albanese, G.; di Criscio, D.; de Cristofaro, A. Functional Properties and Antimicrobial Activity from Lactic Acid Bacteria as Resources to Improve the Health and Welfare of Honey Bees. Insects 2022, 13, 308. [Google Scholar] [CrossRef]
- Vásquez, A.; Forsgren, E.; Fries, I.; Paxton, R.J.; Flaberg, E.; Szekely, L.; Olofsson, T.C. Symbionts as Major Modulators of Insect Health: Lactic Acid Bacteria and Honeybees. PLoS ONE 2012, 7, e33188. [Google Scholar] [CrossRef]
- Forsgren, E.; Olofsson, T.; Vásquez, A.; Fries, I. Novel lactic acid bacteria inhibiting Paenibacillus larvae in honey bee larvae. Apidologie 2009, 41, 99–108. [Google Scholar] [CrossRef]
- Lamei, S.; Stephan, J.; Riesbeck, K.; Vasquez, A.; Olofsson, T.; Nilson, B.; de Miranda, J.R.; Forsgren, E. The secretome of honey bee-specific lactic acid bacteria inhibits Paenibacillus larvae growth. J. Apic. Res. 2019, 58, 405–412. [Google Scholar] [CrossRef]
- Aizen, M.A.; Harder, L.D. The global stock of domesticated honey bees is growing slower than agricultural demand for pollination. Curr. Biol. 2009, 19, 915–918. [Google Scholar] [CrossRef] [PubMed]
- Van Engelsdorp, D.; Hayes, J., Jr.; Underwood, R.M.; Pettis, J. A survey of honey bee colony losses in the U.S., fall 2007 to spring 2008. PLoS ONE 2008, 3, e4071. [Google Scholar]
- Leska, A.; Nowak, A.; Nowak, I.; Górczyńska, A. Effects of Insecticides and Microbiological Contaminants on Apis mellifera Health. Molecules 2021, 26, 5080. [Google Scholar] [CrossRef] [PubMed]
- Wang, S.; Wang, L.; Fan, X.; Yu, C.; Feng, L.; Yi, L. An Insight into Diversity and Functionalities of Gut Microbiota in Insects. Curr. Microbiol. 2020, 77, 1976–1986. [Google Scholar] [CrossRef] [PubMed]
- Pernice, M.; Simpson, S.; Ponton, F. Towards an integrated understanding of gut microbiota using insects as model systems. J. Insect Physiol. 2014, 69, 12–18. [Google Scholar] [CrossRef]
- Saleh, G.M. Isolation and characterization of unique fructophilic lactic acid bacteria from different flower sources. Iraqi J. Agric. Sci. 2020, 51, 508–518. [Google Scholar] [CrossRef]
- Teneva-Angelova, T.; Beshkova, D. Non-traditional sources for isolation of lactic acid bacteria. Ann. Microbiol. 2015, 66, 449–459. [Google Scholar] [CrossRef]
- Feizabadi, F.; Sharifan, A.; Tajabadi, N. Isolation and identification of lactic acid bacteria from stored Apis mellifera honey. J. Apic. Res. 2020, 60, 421–426. [Google Scholar] [CrossRef]
- Lashani, E.; Davoodabadi, A.; Soltan Dallal, M.M. Some probiotic properties of Lactobacillus species isolated from honey and their antimicrobial activity against foodborne pathogens. Vet. Res. Forum. 2020, 11, 121–126. [Google Scholar] [CrossRef]
- Alvarez-Pérez, S.; Herrera, C.M.; de Vega, C. Zooming-in on floral nectar: A first exploration of nectar-associated bacteria in wild plant communities. FEMS Microbiol. Ecol. 2012, 80, 591–602. [Google Scholar] [CrossRef] [PubMed]
- Di Cagno, R.; Coda, R.; De Angelis, M.; Gobbetti, M. Exploitation of vegetables and fruits through lactic acid fermentation. Food Microbiol. 2013, 33, 1–10. [Google Scholar] [CrossRef] [PubMed]
- Kawasaki, S.; Kurosawa, K.; Miyazaki, M.; Yagi, C.; Kitajima, Y.; Tanaka, S.; Irisawa, T.; Okada, S.; Sakamoto, M.; Ohkuma, M.; et al. Lactobacillus floricola sp. nov., lactic acid bacteria isolated from mountain flowers. Int. J. Syst. Evol. Microbiol. 2011, 61, 1356–1359. [Google Scholar] [CrossRef] [PubMed]
- Sakandar, H.; Kubow, S.; Sadiq, F. Isolation and in-vitro probiotic characterization of fructophilic lactic acid bacteria from Chinese fruits and flowers. LWT 2019, 104, 70–75. [Google Scholar] [CrossRef]
- Wang, Y.; Wu, J.; Lv, M.; Shao, Z.; Hungwe, M.; Wang, J.; Bai, X.; Xie, J.; Wang, Y.; Geng, W. Metabolism Characteristics of Lactic Acid Bacteria and the Expanding Applications in Food Industry. Front Bioeng. Biotechnol. 2021, 9, 612285. [Google Scholar] [CrossRef]
- Drinan, D.F.; Robin, S.; Cogan, T.M. Citric acid metabolism in hetero- and homofermentative lactic acid bacteria. Appl. Environ. Microbiol. 1976, 31, 481–486. [Google Scholar] [CrossRef] [PubMed] [PubMed Central]
- Berisvil, A.; Astesana, D.; Zimmermann, J.; Frizzo, L.; Rossler, E.; Romero-Scharpen, A.; Olivero, C.; Zbrun, M.V.; Signorini, M.; Sequeira, G.J.; et al. Low-cost culture medium for biomass production of lactic acid bacteria with probiotic potential destined to broilers. FAVE Sección Cienc. Vet. 2020, 20, 1–9. [Google Scholar] [CrossRef]
- Upadhyaya, B.P.; DeVeaux, L.C.; Christopher, L.P. Metabolic engineering as a tool for enhanced lactic acid production. Trends Biotechnol. 2014, 32, 637–644. [Google Scholar] [CrossRef] [PubMed]
- Kylä-Nikkilä, K.; Hujanen, M.; Leisola, M.; Palva, A. Metabolic engineering of Lactobacillus helveticus CNRZ32 for production of pure L-(+)-lactic acid. Appl. Environ. Microbiol. 2000, 66, 3835–3841. [Google Scholar] [CrossRef]
- Abedi, E.; Hashemi, S.M.B. Lactic acid production—Producing microorganisms and substrates sources-state of art. Heliyon 2020, 6, e04974. [Google Scholar] [CrossRef]
- Garcia, E.; Xavier, D.; Costa, W.; de Carvalho, R.J.; Campana, E.H.; Picão, R.C.; Magnani, M.; Saarela, M.; de Souza, E.L. Identification of Lactic Acid Bacteria Isolated From Fruits and Industrial Byproducts of Fruits Through the Maldi-Tof Technique. In Proceedings of the XII Latin American Congress on Food Microbiology and Hygiene, Foz do Iguacu, Brazil, 12–15 October 2014. [Google Scholar] [CrossRef][Green Version]
- Buron-Moles, G.; Chailyan, A.; Dolejs, I.; Forster, J.; Mikš, M. Uncovering carbohydrate metabolism through a genotype-phenotype association study of 56 lactic acid bacteria genomes. Appl. Microbiol. Biotechnol. 2019, 103, 3135–3152. [Google Scholar] [CrossRef]
- Ni, K.; Wang, Y.; Li, D.; Cai, Y.; Pang, H. Characterization, Identification and Application of Lactic Acid Bacteria Isolated from Forage Paddy Rice Silage. PLoS ONE 2015, 10, e0121967. [Google Scholar] [CrossRef] [PubMed]



| Research Material | Place of Origin |
|---|---|
| Flanders poppy (Papaver rhoeas L.) | Przedborski Landscape Park |
| Red clover (Trifolium pratense L.) | |
| Mock orange (Philadelphus coronaries L.) | |
| Elderberry (Sambucus nigra L.) | |
| Wild mustard (Sinapis arvensis L.) Brown knapweed (Centaurea jacea L.) | |
| Catalpa (Catalpa Scop.) | Bukowiec |
| Rape (Brassica napus L.) | |
| Common lavender (Lavandula augustifolia L.) | |
| Weigela (Weigela florida DC.) Peony (Peonia officinalis L.) European smoke tree (Cotinus coggygria L.) Black locust (Robinia pseudoaccacia L.) | |
| Small-leaved lime 1 (Tilia cordata L.) | Wielkopolska National Park |
| Common lavender (Lavandula augustifolia L.) | Łódź Hills Landscape Park |
| Butterfly bush (Buddleja davidii L.) Small-leaved lime 2 (Tilia cordata L.) Indian cress (Tropaeolum majus L.) | |
| Heather (Calluna vulgaris L.) | Łagiewnicki Forest in Łódź |
| Phacelia honey | Gospodarstwo Pszelarskie in Stara Barć |
| Forest honey | |
| Clover honey | Bartnik Mazurski in Kętrzyn |
| Goldenrod honey | |
| Melilotus meadow honey | |
| Hawthorn honey | |
| Honey with the addition of other honeybee products | Sądecki Bartnik company |
| Bee pollen Bee bread | |
| Freshly harvested fermented honey (multiflora) | Hajnówka |
| Royal jelly | Bartpol company |
| Meadow marsh honey | Pasieka u Alfreda |
| Spring honey | Gospodarstwo Pasieczne Kaszubskie Miody in Brusy |
| Lime honey | Gospodarstwo Pasieczne “Kószka II” in Czaplinek |
| Nectar honey | Pasieka Czerlonka in Hajnówka |
| Coniferous honeydew honey | Gospodarstwo Pasieczne Ceremuga in Skawica |
| Honeydew honey | Sądziejowice Pasieka z Tradycjami |
| Heather-nectar honey | Pasieka Gaudynki in Orzysz |
| Cornflower honey | Pasieka Rodzinna Grycuków in Hajnówka |
| Dandelion honey | Bratoszewice |
| The Symbol of Isolated Strain | Research Material | Number of Isolates |
|---|---|---|
| 1/4 | Large Indian cress (Tropaeolum majus L.) | 1 |
| 2/1, 2/2, 2/3 | Peony (Peonia officinalis L.) | 3 |
| 3/1 | European smoketree (Cotinus coggygria L.) | 1 |
| 4/1 | Black locust (Robinia pseudoaccacia L.) | 1 |
| 5/1, 5/2, 5/4 | Weigela (Weigela florida DC.) | 3 |
| 6/1, 6/2, 6/3, 6/4, 6/5 | Brown knapweed (Centaurea jacea L.) | 5 |
| 7/1, 7/2, 7/3 | Flanders poppy (Papaver rhoeas L.) | 3 |
| 8/1, 8/2, 8/3, 8/4, 8/5 | Wild mustard (Sinapis arvensis L.) | 5 |
| 9/1, 9/2, 9/3, 9/4 | Red clover (Trifolium pratense L.) | 4 |
| 10/1,10/2 | Elderberry (Sambucus nigra L.) | 2 |
| 11/1, 11/2, 11/3, 11/4, 11/5 | Mock orange (Philadelphus coronaries L.) | 5 |
| 12/1, 12/2 | Small-leaved lime 1 (Tilia cordata L.) | 2 |
| 13/2, 13/3 | Small-leaved lime 2 (Tilia cordata L.) | 2 |
| 14/1, 14/2, 14/3, 14/4 | Common lavender (Lavandula augustifolia L.) | 4 |
| 15/1, 15/2, 15/3 | Catalpa (Catalpa Scop.) | 3 |
| 17/1, 17/2, 17/3, 17/4 | Common lavender (Lavandula augustifolia L.) | 4 |
| 18/1 | Butterfly bush (Buddleja davidii L.) | 1 |
| 19/1 | Heather (Calluna vulgaris L.) | 1 |
| 39/1 | Rape (Brassica napus L.) | 1 |
| The Symbol of Isolated Strain | Research Material | Number of Isolates |
|---|---|---|
| 16/1, 16/2, 16/3, 16/4, 16/5, 16/6 | Bee pollen | 6 |
| 20/1 | Honey with the addition of other honeybee products | 1 |
| 21/1 | Freshly harvested fermented honey | 1 |
| 22/1 | Royal jelly | 1 |
| 23/1 | Bee bread | 1 |
| 24/1 | Honeydew honey | 1 |
| 25/1 | Heather-nectar honey | 1 |
| 26/1 | Cornflower honey | 1 |
| 27/1 | Dandelion honey | 1 |
| 28/1 | Phacelia honey | 1 |
| 29/1 | Hawthorn honey | 1 |
| 30/1 | Forest honey | 1 |
| 31/1 | Meadow marsh honey | 1 |
| 32/1 | Spring honey | 1 |
| 33/1 | Clover honey | 1 |
| 34/1 | Lime honey | 1 |
| 35/1 | Goldenrod honey | 1 |
| 36/1 | Nectar honey | 1 |
| 37/1 | Coniferous honeydew honey | 1 |
| 38/1 | Melilotus meadow honey | 1 |
| The Symbol of Isolated Strain | Carbon Dioxide Production | Biomass Productivity (Amean) | Amount of Lactic Acid Produced [g of Lactic Acid/100 mL of Culture] |
|---|---|---|---|
| 1/4 | Absent | 1.412 | 1.560 |
| 2/1 | Absent | 1.409 | 0.840 |
| 2/2 | Absent | 1.457 | 1.390 |
| 2/3 | Present | 1.440 | 1.190 |
| 3/1 | Absent | 1.460 | 0.990 |
| 4/1 | Present | 1.387 | 1.576 |
| 5/1 | Present | 1.995 | 2.165 |
| 5/2 | Present | 1.900 | 1.726 |
| 5/4 | Present | 1.859 | 1.555 |
| 6/1 | Present | 1.453 | 0.604 |
| 6/2 | Present | 1.550 | 1.067 |
| 6/3 | Absent | 1.498 | 1.560 |
| 6/4 | Present | 1.433 | 1.320 |
| 6/5 | Present | 1.407 | 1.087 |
| 7/1 | Present | 1.968 | 1.745 |
| 7/2 | Present | 1.788 | 1.392 |
| 7/3 | Present | 1.960 | 1.860 |
| 8/1 | Absent | 1.758 | 1.510 |
| 8/2 | Absent | 1.847 | 1.510 |
| 8/3 | Absent | 1.772 | 1.208 |
| 8/4 | Present | 1.841 | 1.258 |
| 8/5 | Absent | 1.786 | 1.107 |
| 9/1 | Present | 2.100 | 1.640 |
| 9/2 | Present | 1.972 | 1.745 |
| 9/3 | Present | 1.935 | 1.478 |
| 9/4 | Present | 1.924 | 1.812 |
| 10/1 | Absent | 1.736 | 1.579 |
| 10/2 | Absent | 1.901 | 1.786 |
| 11/1 | Present | 1.909 | 1.721 |
| 11/2 | Absent | 1.813 | 1.721 |
| 11/3 | Present | 1.829 | 1.178 |
| 11/4 | Absent | 1.814 | 1.649 |
| 11/5 | Present | 1.855 | 1.359 |
| 12/1 | Present | 1.196 | 1.576 |
| 12/2 | Present | 1.239 | 1.649 |
| 13/2 | Absent | 1.314 | 1.450 |
| 13/3 | Present | 1.453 | 1.903 |
| 14/1 | Absent | 1.838 | 1.605 |
| 14/2 | Present | 1.841 | 1.527 |
| 14/3 | Absent | 1.884 | 1.786 |
| 14/4 | Present | 1.818 | 1.812 |
| 15/1 | Present | 1.695 | 1.208 |
| 15/2 | Present | 1.736 | 1.611 |
| 15/3 | Absent | 1.826 | 1.208 |
| 16/1 | Present | 1.295 | 1.540 |
| 16/2 | Present | 1.362 | 1.558 |
| 16/3 | Present | 1.395 | 1.830 |
| 16/4 | Absent | 1.394 | 1.667 |
| 16/5 | Present | 1.409 | 1.794 |
| 16/6 | Present | 1.299 | 1.613 |
| 17/1 | Present | 1.725 | 1.208 |
| 17/2 | Present | 1.723 | 1.117 |
| 17/3 | Present | 1.682 | 1.208 |
| 17/4 | Absent | 1.720 | 1.208 |
| 18/1 | Absent | 1.743 | 1.006 |
| 19/1 | Present | 1.679 | 1.319 |
| 20/1 | Absent | 1.707 | 1.611 |
| 21/1 | Absent | 1.886 | 1.651 |
| 22/1 | Present | 1.804 | 1.812 |
| 23/1 | Present | 1.801 | 1.767 |
| 24/1 | Present | 1.676 | 1.076 |
| 25/1 | Present | 1.683 | 1.201 |
| 26/1 | Present | 1.957 | 1.812 |
| 27/1 | Present | 1.544 | 1.869 |
| 28/1 | Present | 1.715 | 1.529 |
| 29/1 | Present | 1.828 | 2.265 |
| 30/1 | Present | 1.903 | 1.812 |
| 31/1 | Present | 1.689 | 2.295 |
| 32/1 | Absent | 1.831 | 1.755 |
| 33/1 | Present | 1.775 | 1.472 |
| 34/1 | Present | 1.708 | 1.872 |
| 35/1 | Present | 1.633 | 2.718 |
| 36/1 | Absent | 1.634 | 1.611 |
| 37/1 | Present | 1.691 | 1.510 |
| 38/1 | Present | 1.941 | 2.164 |
| 39/1 | Present | 1.515 | 1.963 |
| The Symbol of Isolated Strain | Bacterial Cell Shape | Identification Index Value | Identified Bacterial Strain |
|---|---|---|---|
| 1/4 | coccus | 2.12 | Pediococcus acidilactici |
| 2/1 | coccus | 2.27 | Pediococcus acidilactici |
| 2/2 | bacillus | 1.80 | Lactiplantibacillus plantarum |
| 2/3 | bacillus | 2.16 | Lactiplantibacillus plantarum |
| 3/1 | bacillus | 2.06 | Lactiplantibacillus plantarum |
| 4/1 | coccus | 2.15 | Pediococcus acidilactici |
| 5/1 | bacillus | 2.20 | Lactiplantibacillus plantarum |
| 5/2 | coccus | 2.10 | Pediococcus acidilactici |
| 5/4 | coccus | 2.26 | Pediococcus acidilactici |
| 6/1 | coccus | 1.93 | Pediococcus acidilactici |
| 6/2 | coccus | 1.81 | Pediococcus acidilactici |
| 6/3 | coccus | 2.24 | Pediococcus pentosaceus |
| 6/4 | coccus | 2.16 | Pediococcus acidilactici |
| 6/5 | coccus | 2.20 | Pediococcus acidilactici |
| 7/1 | coccus | 2.13 | Pediococcus acidilactici |
| 7/2 | coccus | 2.30 | Pediococcus acidilactici |
| 7/3 | coccus | 2.25 | Pediococcus acidilactici |
| 8/1 | coccus | 1.91 | Pediococcus acidilactici |
| 8/2 | coccus | 1.95 | Pediococcus pentosaceus |
| 8/3 | coccus | 2.26 | Pediococcus pentosaceus |
| 8/4 | bacillus | 2.05 | Lactiplantibacillus plantarum |
| 8/5 | coccus | 2.09 | Pediococcus pentosaceus |
| 9/1 | coccus | 2.21 | Pediococcus acidilactici |
| 9/2 | coccus | 2.10 | Pediococcus acidilactici |
| 9/3 | coccus | 2.31 | Pediococcus pentosaceus |
| 9/4 | coccus | 1.82 | Pediococcus acidilactici |
| 10/1 | coccus | 2.12 | Pediococcus pentosaceus |
| 10/2 | bacillus | 2.22 | Lactiplantibacillus plantarum |
| 11/1 | bacillus | 2.19 | Lactiplantibacillus plantarum |
| 11/2 | bacillus | 2.06 | Lactiplantibacillus plantarum |
| 11/3 | coccus | 2.17 | Pediococcus pentosaceus |
| 11/4 | bacillus | 2.05 | Lactiplantibacillus plantarum |
| 11/5 | coccus | 2.19 | Pediococcus pentosaceus |
| 12/1 | coccus | 2.26 | Pediococcus pentosaceus |
| 12/2 | coccus | 2.27 | Pediococcus pentosaceus |
| 13/2 | coccus | 1.99 | Pediococcus pentosaceus |
| 13/3 | coccus | 2.23 | Pediococcus pentosaceus |
| 14/1 | coccus | 2.20 | Pediococcus pentosaceus |
| 14/2 | coccus | 2.10 | Pediococcus pentosaceus |
| 14/3 | bacillus | 2.11 | Lactiplantibacillus plantarum |
| 14/4 | coccus | 2.00 | Pediococcus pentosaceus |
| 15/1 | coccus | 2.21 | Pediococcus pentosaceus |
| 15/2 | bacillus | 2.25 | Lactiplantibacillus plantarum |
| 15/3 | coccus | 2.22 | Pediococcus pentosaceus |
| 16/1 | coccus | 2.21 | Pediococcus pentosaceus |
| 16/2 | coccus | 2.08 | Pediococcus pentosaceus |
| 16/3 | coccus | 2.26 | Pediococcus pentosaceus |
| 16/4 | coccus | 2.27 | Pediococcus acidilactici |
| 16/5 | coccus | 2.00 | Pediococcus pentosaceus |
| 16/6 | coccus | 2.04 | Pediococcus acidilactici |
| 17/1 | bacillus | 1.99 | Lactiplantibacillus plantarum |
| 17/2 | bacillus | 1.76 | Lactiplantibacillus plantarum |
| 17/3 | coccus | 2.19 | Pediococcus pentosaceus |
| 17/4 | bacillus | 2.22 | Lactiplantibacillus plantarum |
| 18/1 | bacillus | 2.16 | Lactiplantibacillus plantarum |
| 19/1 | coccus | 2.23 | Pediococcus pentosaceus |
| 20/1 | bacillus | 2.16 | Lactiplantibacillus plantarum |
| 21/1 | bacillus | 2.29 | Lactiplantibacillus plantarum |
| 22/1 | coccus | 2.27 | Pediococcus acidilactici |
| 23/1 | coccus | 2.29 | Pediococcus acidilactici |
| 24/1 | coccus | 2.26 | Pediococcus acidilactici |
| 25/1 | coccus | 2.29 | Pediococcus acidilactici |
| 26/1 | coccus | 2.14 | Pediococcus pentosaceus |
| 27/1 | coccus | 2.05 | Pediococcus acidilactici |
| 28/1 | coccus | 2.05 | Pediococcus pentosaceus |
| 29/1 | bacillus | 2.21 | Lactiplantibacillus plantarum |
| 30/1 | coccus | 2.11 | Pediococcus pentosaceus |
| 31/1 | coccus | 2.26 | Pediococcus pentosaceus |
| 32/1 | coccus | 2.21 | Pediococcus pentosaceus |
| 33/1 | bacillus | 2.11 | Lactiplantibacillus plantarum |
| 34/1 | coccus | 2.25 | Pediococcus pentosaceus |
| 35/1 | coccus | 2.13 | Pediococcus acidilactici |
| 36/1 | coccus | 2.07 | Pediococcus acidilactici |
| 37/1 | coccus | 2.33 | Pediococcus acidilactici |
| 38/1 | coccus | 2.27 | Pediococcus pentosaceus |
| 39/1 | coccus | 2.24 | Pediococcus pentosaceus |
Publisher’s Note: MDPI stays neutral with regard to jurisdictional claims in published maps and institutional affiliations. |
© 2022 by the authors. Licensee MDPI, Basel, Switzerland. This article is an open access article distributed under the terms and conditions of the Creative Commons Attribution (CC BY) license (https://creativecommons.org/licenses/by/4.0/).
Share and Cite
Leska, A.; Nowak, A.; Motyl, I. Isolation and Some Basic Characteristics of Lactic Acid Bacteria from Honeybee (Apis mellifera L.) Environment—A Preliminary Study. Agriculture 2022, 12, 1562. https://doi.org/10.3390/agriculture12101562
Leska A, Nowak A, Motyl I. Isolation and Some Basic Characteristics of Lactic Acid Bacteria from Honeybee (Apis mellifera L.) Environment—A Preliminary Study. Agriculture. 2022; 12(10):1562. https://doi.org/10.3390/agriculture12101562
Chicago/Turabian StyleLeska, Aleksandra, Adriana Nowak, and Ilona Motyl. 2022. "Isolation and Some Basic Characteristics of Lactic Acid Bacteria from Honeybee (Apis mellifera L.) Environment—A Preliminary Study" Agriculture 12, no. 10: 1562. https://doi.org/10.3390/agriculture12101562
APA StyleLeska, A., Nowak, A., & Motyl, I. (2022). Isolation and Some Basic Characteristics of Lactic Acid Bacteria from Honeybee (Apis mellifera L.) Environment—A Preliminary Study. Agriculture, 12(10), 1562. https://doi.org/10.3390/agriculture12101562

