Tacrolimus Prevents TWEAK-Induced PLA2R Expression in Cultured Human Podocytes
Abstract
1. Introduction
2. Materials and Methods
2.1. Data Mining and Overall Experimental Design
2.2. Animal Models
2.3. Cells and Reagents
2.4. Western Blot
2.5. Quantitative Reverse Transcription-Polymerase Chain Reaction
2.6. Immunohistochemistry
2.7. Southwestern Histochemistry
2.8. Statistics
3. Results
3.1. Fn14 (Tnfrsf12a) Is among the Top TNFRSF Members Expressed by Podocytes In Vivo
3.2. Glomerular Fn14 Is Upregulated in Human MN
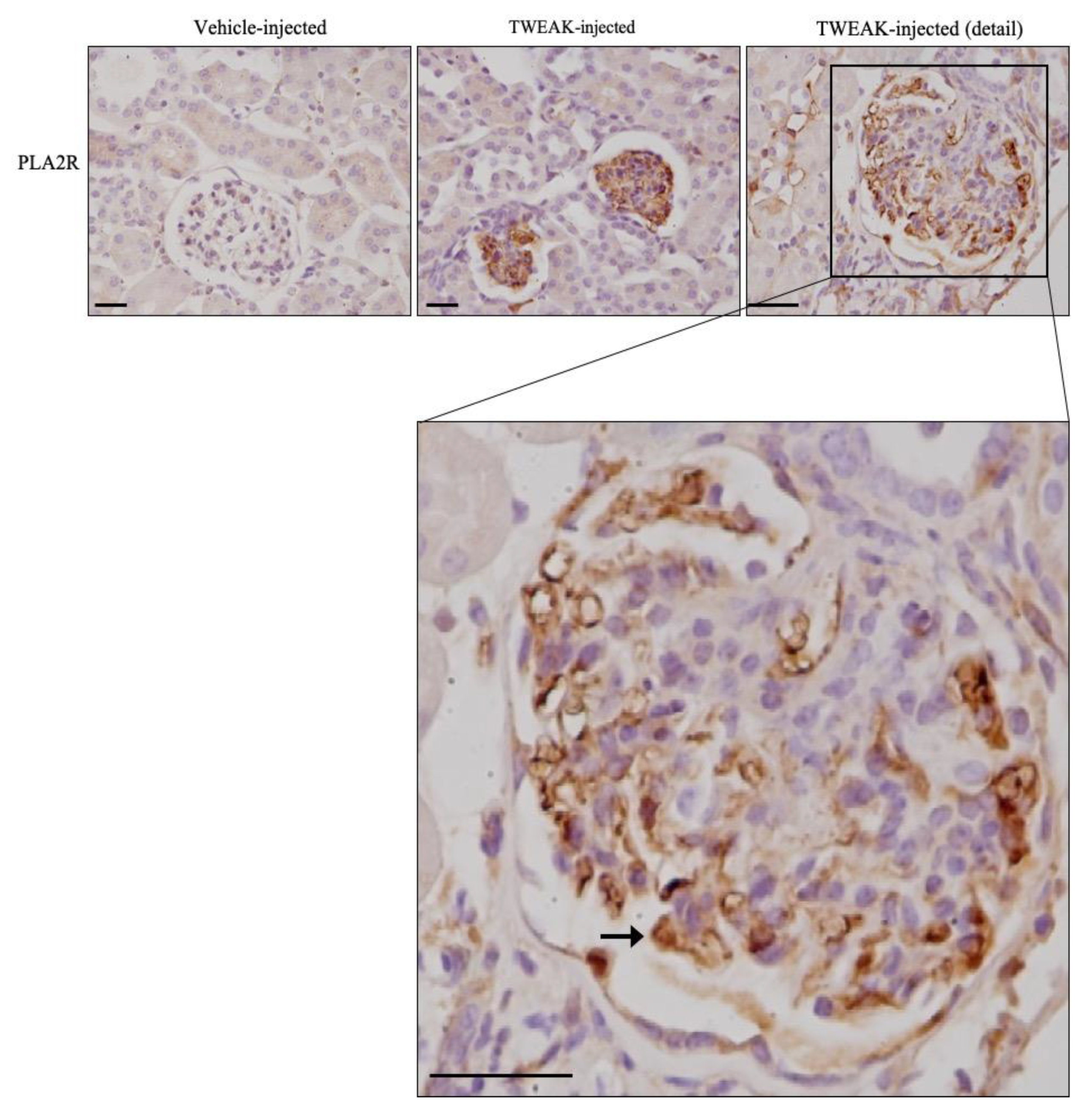
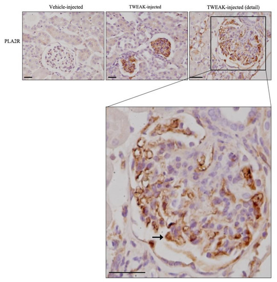
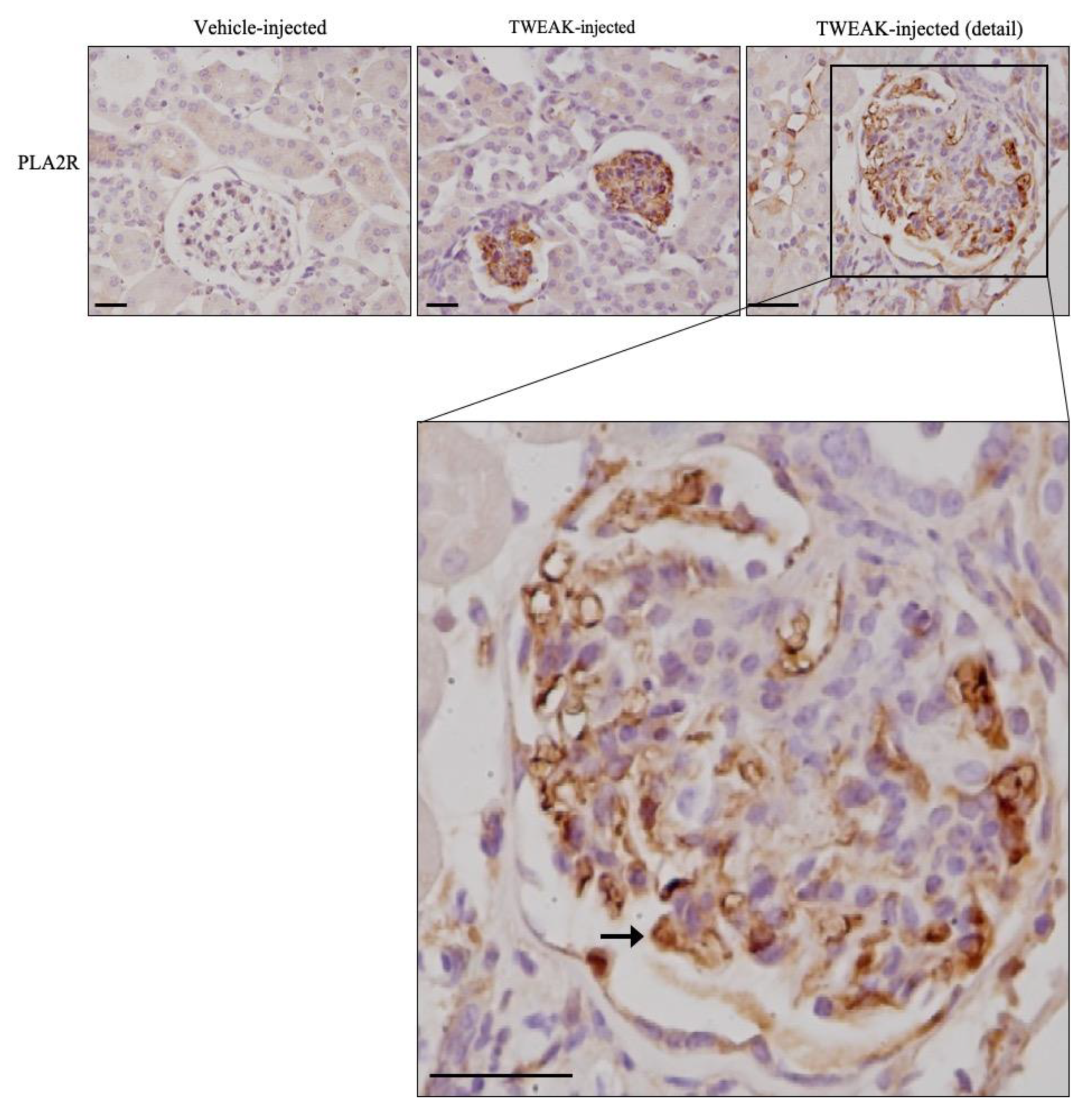
3.3. TWEAK Increases PLA2R Expression in Podocytes In Vivo
3.4. TWEAK Increases PLA2R Expression in Cultured Human Podocytes and This Is Inhibited by Tacrolimus
4. Discussion
Supplementary Materials
Author Contributions
Funding
Acknowledgments
Conflicts of Interest
References
- Couser, W.G. Primary membranous nephropathy. Clin. J. Am. Soc. Nephrol. 2017, 12, 983–997. [Google Scholar] [CrossRef] [PubMed]
- Furness, P.N. The formation and fate of glomerular immune complex deposits. J. Pathol. 1991, 164, 195–202. [Google Scholar] [CrossRef] [PubMed]
- De Vriese, A.S.; Glassock, R.J.; Nath, K.A.; Sethi, S.; Fervenza, F.C. A Proposal for a Serology-Based Approach to Membranous Nephropathy. J. Am. Soc. Nephrol. 2017, 28, 421–430. [Google Scholar] [CrossRef] [PubMed]
- Makker, S.P.; Tramontano, A. Idiopathic Membranous Nephropathy: An Autoimmune Disease. Semin. Nephrol. 2011, 31, 333–340. [Google Scholar] [CrossRef]
- Beck, L.H.; Bonegio, R.; Lambeau, G.; Beck, D.M.; Powell, D.W.; Cummins, T.D.; Klein, J.B.; Salant, D.J. M-type phospholipase A2 receptor as target antigen in idiopathic membranous nephropathy. N. Engl. J. Med. 2009, 361, 11–21. [Google Scholar] [CrossRef] [PubMed]
- Rojas-Rivera, J.E.; Carriazo, S.; Ortiz, A. Treatment of idiopathic membranous nephropathy in adults: KDIGO 2012, cyclophosphamide and cyclosporine A are out, rituximab is the new normal. Clin. Kidney J. 2019, 12, 629–638. [Google Scholar] [CrossRef] [PubMed]
- Dong, Y.; Cao, L.; Tang, H.; Shi, X.; He, Y. Structure of Human M-type Phospholipase A2 Receptor Revealed by Cryo-Electron Microscopy. J. Mol. Biol. 2017, 429, 3825–3835. [Google Scholar] [CrossRef]
- Napper, C.E.; Drickamer, K.; Taylor, M.E. Collagen binding by the mannose receptor mediated through the fibronectin type II domain. Biochem. J. 2006, 395, 579–586. [Google Scholar] [CrossRef]
- Beck, L.H. PLA2R and THSD7A: Disparate Paths to the Same Disease? J. Am. Soc. Nephrol. 2017, 28, 2579–2589. [Google Scholar] [CrossRef]
- Salant, D.J. Genetic Variants in Membranous Nephropathy: Perhaps a Perfect Storm Rather than a Straightforward Conformeropathy? J. Am. Soc. Nephrol. 2013, 24, 525–528. [Google Scholar] [CrossRef]
- Liu, W.; Gao, C.; Dai, H.; Zheng, Y.; Dong, Z.; Gao, Y.; Liu, F.; Zhang, Z.; Liu, Z.; Liu, W.; et al. Immunological Pathogenesis of Membranous Nephropathy: Focus on PLA2R1 and Its Role. Front. Immunol. 2019, 10, 1809. [Google Scholar] [CrossRef] [PubMed]
- Cattran, D.; Brenchley, P. Membranous nephropathy: Thinking through the therapeutic options.-PubMed-NCBI. Nephrol. Dial. Transplant. 2017, 32 (Suppl. 1), i22–i29. [Google Scholar] [CrossRef] [PubMed][Green Version]
- Manabe, S.; Nitta, K.; Nagata, M. Direct Effects of Immunomodulatory Agents on Podocytes in Immune-Mediated Glomerular Diseases. Contrib. Nephrol. 2018, 195, 131–142. [Google Scholar] [PubMed]
- Qin, H.-Z.; Liu, L.; Liang, S.; Shi, J.-S.; Zheng, C.; Hou, Q.; Lu, Y.-H.; Le, W.-B. Evaluating tacrolimus treatment in idiopathic membranous nephropathy in a cohort of 408 patients. BMC Nephrol. 2017, 18, 1–9. [Google Scholar] [CrossRef]
- Sanchez-Niño, M.D.; Martin, A.B.; Gonçalves, S.; Sanz, A.B.; Ucero, A.; Izquierdo, M.C.; Ramos, A.M.; Berzal, S.; Selgas, R.; Ruiz-Ortega, M.; et al. TNF superfamily: A growing saga of kidney injury modulators. Mediat. Inflamm. 2010, 2010. [Google Scholar] [CrossRef] [PubMed]
- Xie, J.; Liu, L.; Mladkova, N.; Li, Y.; Ren, H.; Wang, W.; Cui, Z.; Lin, L.; Hu, X.; Yu, X.; et al. The genetic architecture of membranous nephropathy and its potential to improve non-invasive diagnosis. Nat. Commun. 2020, 11, 1–18. [Google Scholar] [CrossRef] [PubMed]
- Park, J.; Shrestha, R.; Qiu, C.; Kondo, A.; Huang, S.; Werth, M.; Li, M.; Barasch, J.; Susztak, K. Single-cell transcriptomics of the mouse kidney reveals potential cellular targets of kidney disease. Science 2018, 360, 758–763. [Google Scholar] [CrossRef] [PubMed]
- Valiño-Rivas, L.; Cuarental, L.; Agustin, M.; Husi, H.; Cannata-Ortiz, P.; Sanz, A.; Mischak, H.; Ortiz, A.; Sanchez-Niño, M.D. MAGE genes in the kidney: Identification of MAGED2 as upregulated during kidney injury and in stressed tubular cells. Nephrol. Dial. Transplant. 2019, 34, 1498–1507. [Google Scholar] [CrossRef]
- Gil, R.B.; Ortiz, A.; Sanchez-Niño, M.D.; Markoska, K.; Schepers, E.; Vanholder, R.; Glorieux, G.; Schmitt-Kopplin, P.; Heinzmann, S.S. Increased urinary osmolyte excretion indicates chronic kidney disease severity and progression rate. Nephrol. Dial. Transplant. 2018, 33, 2156–2164. [Google Scholar] [CrossRef]
- Ju, W.; Greene, C.S.; Eichinger, F.; Nair, V.; Hodgin, J.B.; Bitzer, M.; Lee, Y.-S.; Zhu, Q.; Kehata, M.; Li, M.; et al. Defining cell-type specificity at the transcriptional level in human disease. Genome Res. 2013, 23, 1862–1873. [Google Scholar] [CrossRef]
- Sampson, M.G.; Robertson, C.; Martini, S.; Mariani, L.H.; Lemley, K.V.; Gillies, C.E.; A Otto, E.; Kopp, J.B.; Randolph, A.; Vega-Warner, V.; et al. Integrative Genomics Identifies Novel Associations with APOL1 Risk Genotypes in Black NEPTUNE Subjects. J. Am. Soc. Nephrol. 2015, 27, 814–823. [Google Scholar] [CrossRef] [PubMed]
- Sanz, A.; Justo, P.; Sanchez-Niño, M.D.; Blanco-Colio, L.M.; Winkles, J.A.; Kreztler, M.; Jakubowski, A.; Blanco, J.; Egido, J.; Ruiz-Ortega, M.; et al. The cytokine TWEAK modulates renal tubulointerstitial inflammation. J. Am. Soc. Nephrol. 2008, 19, 695–703. [Google Scholar] [CrossRef] [PubMed]
- Sanz, A.; Sanchez-Niño, M.D.; Izquierdo, M.C.; Jakubowski, A.; Justo, P.; Blanco-Colio, L.M.; Ruiz-Ortega, M.; Egido, J.; Ortiz, A. Tweak induces proliferation in renal tubular epithelium: A role in uninephrectomy induced renal hyperplasia. J. Cell. Mol. Med. 2009, 13, 3329–3342. [Google Scholar] [CrossRef] [PubMed]
- Moreno, J.A.; Izquierdo, M.C.; Sanchez-Niño, M.D.; Suárez-Alvarez, B.; Lopez-Larrea, C.; Jakubowski, A.; Blanco, J.; Ramirez, R.; Selgas, R.; Ruiz-Ortega, M.; et al. The inflammatory cytokines TWEAK and TNFα reduce renal klotho expression through NFκB. J. Am. Soc. Nephrol. 2011, 22, 1315–1325. [Google Scholar] [CrossRef] [PubMed]
- Andres, O.R.; Suárez-Álvarez, B.; Sanchez-Ramos, C.; Monsalve, M.; Sanchez-Niño, M.D.; Ruiz-Ortega, M.; Egido, J.; Ortiz, A.; Sanz, A.; Ortiz, A. The inflammatory cytokine TWEAK decreases PGC-1α expression and mitochondrial function in acute kidney injury. Kidney Int. 2016, 89, 399–410. [Google Scholar] [CrossRef]
- Valiño-Rivas, L.; Cuarental, L.; Graña, O.; Bucala, R.; Leng, L.; Sanz, A.; Gómez, G.; Ortiz, A.; Sanchez-Niño, M.D. TWEAK increases CD74 expression and sensitizes to DDT proinflammatory actions in tubular cells. PLoS ONE 2018, 13, e0199391. [Google Scholar] [CrossRef]
- Poveda, J.; Sanz, A.; Carrasco, S.; Ruiz-Ortega, M.; Cannata-Ortiz, P.; Sanchez-Niño, M.D.; Ortiz, A. Bcl3: A regulator of NF-κB inducible by TWEAK in acute kidney injury with anti-inflammatory and antiapoptotic properties in tubular cells. Exp. Mol. Med. 2017, 49, e352. [Google Scholar] [CrossRef]
- Sanchez-Niño, M.D.; Sanz, A.; Carrasco, S.; Saleem, M.A.; Mathieson, P.W.; Valdivielso, J.; Ruiz-Ortega, M.; Egido, J.; Ortiz, A.; Ortiz, A. Globotriaosylsphingosine actions on human glomerular podocytes: Implications for Fabry nephropathy. Nephrol. Dial. Transplant. 2010, 26, 1797–1802. [Google Scholar] [CrossRef]
- Saleem, M.A.; O’Hare, M.J.; Reiser, J.; Coward, R.J.; Inward, C.D.; Farren, T.; Xing, C.Y.; Ni, L.; Mathieson, P.W.; Mundel, P. A conditionally immortalized human podocyte cell line demonstrating nephrin and podocin expression. J. Am. Soc. Nephrol. 2002, 13, 630–638. [Google Scholar]
- Sanchez-Niño, M.D.; Carpio, D.; Sanz, A.B.; Ruiz-Ortega, M.; Mezzano, S.; Ortiz, A. Lyso-Gb3 activates Notch1 in human podocytes. Hum. Mol. Genet. 2015, 24, 5720–5732. [Google Scholar]
- Sanchez-Niño, M.D.; Poveda, J.; Sanz, A.; Mezzano, S.; Carrasco, S.; Fernandez-Fernandez, B.; Burkly, L.C.; Nair, V.; Kretzler, M.; Hodgin, J.; et al. Fn14 in podocytes and proteinuric kidney disease. Biochim. Biophys. Acta (BBA) Mol. Basis Dis. 2013, 1832, 2232–2243. [Google Scholar] [CrossRef] [PubMed]
- Valiño-Rivas, L.; Cuarental, L.; Nuñez, G.; Sanz, A.B.; Ortiz, A.; Sanchez-Niño, M.D. Loss of NLRP6 expression increases the severity of acute kidney injury. Nephrol. Dial. Transplant. 2020, 35, 587–598. [Google Scholar]
- Fernandez-Fernandez, B.; Izquierdo, M.C.; Valiño-Rivas, L.; Nastou, D.; Sanz, A.B.; Ortiz, A.; Sanchez-Niño, M.D. Albumin downregulates Klotho in tubular cells. Nephrol. Dial. Transplant. 2018, 33, 1712–1722. [Google Scholar] [CrossRef] [PubMed]
- Mezzano, S.A.; Barría, M.; Droguett, A.; Burgos, M.E.; Ardiles, L.; Flores, C.; Egido, J. Tubular NF-κB and AP-1 activation in human proteinuric renal disease. Kidney Int. 2001, 60, 1366–1377. [Google Scholar] [CrossRef]
- Lorz, C.; Martin, A.B.; Boucherot, A.; Ucero, A.; Rastaldi, M.P.; Henger, A.; Armelloni, S.; Santamaría, B.; Berthier, C.C.; Kretzler, M.; et al. The Death Ligand TRAIL in Diabetic Nephropathy. J. Am. Soc. Nephrol. 2008, 19, 904–914. [Google Scholar] [CrossRef]
- Sanz, A.; Izquierdo, M.C.; Sanchez-Niño, M.D.; Ucero, A.; Egido, J.; Ruiz-Ortega, M.; Ramos, A.M.; Putterman, C.; Ortiz, A. TWEAK and the progression of renal disease: Clinical translation. Nephrol. Dial. Transplant. 2014, 29, i54–i62. [Google Scholar] [CrossRef]
- Mamane, Y.; Sharma, S.; Petropoulos, L.; Rongtuan, L.; Hiscott, J. Posttranslational regulation of IRF-4 activity by the immunophilin FKBP52. Immunity 2000, 12, 129–140. [Google Scholar] [CrossRef]
- Tang, T.; Lu, Q.; Yang, X.; Liu, X.; Liao, R.; Zhang, Y.; Yang, Z. Roles of the tacrolimus-dependent transcription factor IRF4 in acute rejection after liver transplantation. Int. Immunopharmacol. 2015, 28, 257–263. [Google Scholar] [CrossRef]
- Matsuyama, T.; Grossman, A.; Mittrücker, H.-W.; Siderovski, D.P.; Kiefer, F.; Kawakami, T.; Richardson, C.D.; Taniguchi, T.; Yoshinaga, S.K.; Mak, T.W. Molecular cloning ofLSIRF, a lymphoid-specific member of the interferon regulatory factor family that binds the interferon-stimulated response element (ISRE). Nucleic Acids Res. 1995, 23, 2127–2136. [Google Scholar] [CrossRef]
- Fervenza, F.C.; Appel, G.B.; Barbour, S.J.; Rovin, B.H.; Lafayette, R.A.; Aslam, N.; Jefferson, J.A.; Gipson, P.E.; Rizk, D.V.; Sedor, J.R.; et al. Rituximab or Cyclosporine in the Treatment of Membranous Nephropathy. N. Engl. J. Med. 2019, 381, 36–46. [Google Scholar] [CrossRef]
- Rojas-Rivera, J.; Fernández-Juárez, G.; Ortiz, A.; Hofstra, J.; Gesualdo, L.; Tesar, V.; Wetzels, J.; Segarra, A.; Egido, J.; Praga, M. A European multicentre and open-label controlled randomized trial to evaluate the efficacy of Sequential treatment with TAcrolimus-Rituximab versus steroids plus cyclophosphamide in patients with primary MEmbranous Nephropathy: The STARMEN study. Clin. Kidney J. 2015, 8, 503–510. [Google Scholar] [CrossRef] [PubMed]





© 2020 by the authors. Licensee MDPI, Basel, Switzerland. This article is an open access article distributed under the terms and conditions of the Creative Commons Attribution (CC BY) license (http://creativecommons.org/licenses/by/4.0/).
Share and Cite
Cuarental, L.; Valiño-Rivas, L.; Mendonça, L.; Saleem, M.; Mezzano, S.; Sanz, A.B.; Ortiz, A.; Sanchez-Niño, M.D. Tacrolimus Prevents TWEAK-Induced PLA2R Expression in Cultured Human Podocytes. J. Clin. Med. 2020, 9, 2178. https://doi.org/10.3390/jcm9072178
Cuarental L, Valiño-Rivas L, Mendonça L, Saleem M, Mezzano S, Sanz AB, Ortiz A, Sanchez-Niño MD. Tacrolimus Prevents TWEAK-Induced PLA2R Expression in Cultured Human Podocytes. Journal of Clinical Medicine. 2020; 9(7):2178. https://doi.org/10.3390/jcm9072178
Chicago/Turabian StyleCuarental, Leticia, Lara Valiño-Rivas, Luis Mendonça, Moin Saleem, Sergio Mezzano, Ana Belen Sanz, Alberto Ortiz, and Maria Dolores Sanchez-Niño. 2020. "Tacrolimus Prevents TWEAK-Induced PLA2R Expression in Cultured Human Podocytes" Journal of Clinical Medicine 9, no. 7: 2178. https://doi.org/10.3390/jcm9072178
APA StyleCuarental, L., Valiño-Rivas, L., Mendonça, L., Saleem, M., Mezzano, S., Sanz, A. B., Ortiz, A., & Sanchez-Niño, M. D. (2020). Tacrolimus Prevents TWEAK-Induced PLA2R Expression in Cultured Human Podocytes. Journal of Clinical Medicine, 9(7), 2178. https://doi.org/10.3390/jcm9072178

