Prevalence of Coronary Artery Calcification on Pre-Atrial Fibrillation Ablation CT Pulmonary Venograms and its Impact on Selection for Statin Therapy
Abstract
1. Introduction
2. Materials and Methods
3. Results
3.1. Baseline Population
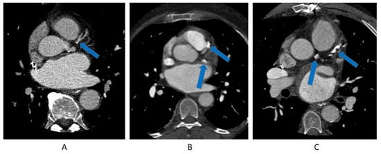
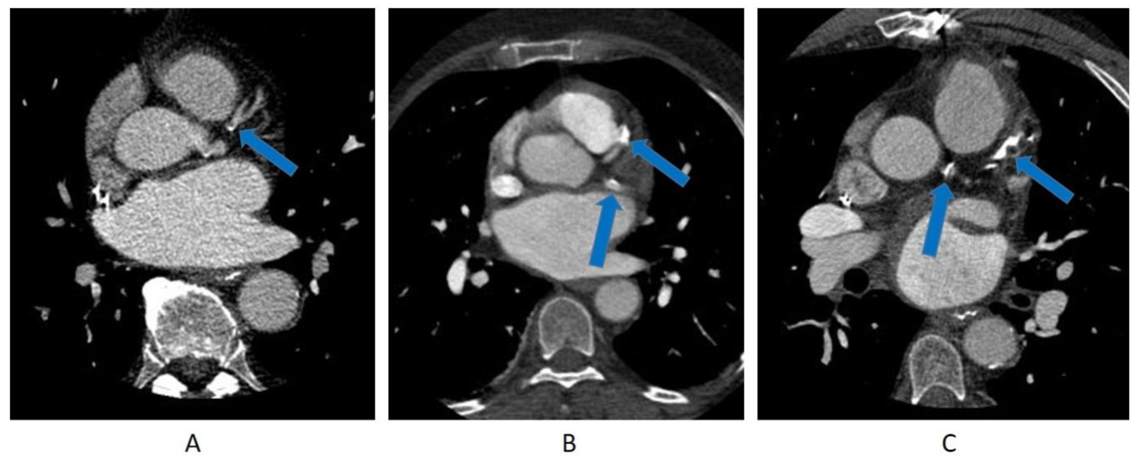
3.2. CAC Findings on CTPV
3.3. Statin Therapy Details
3.4. Statin Prescription on Discharge
4. Discussion
5. Conclusions
Author Contributions
Funding
Conflicts of Interest
References
- Colilla, S.; Crow, A.; Petkun, W.; Singer, D.E.; Simon, T.; Liu, X. Estimates of current and future incidence and prevalence of atrial fibrillation in the U.S. adult population. Am. J. Cardiol. 2013, 112, 1142–1147. [Google Scholar] [CrossRef] [PubMed]
- Hosseini, S.M.; Rozen, G.; Saleh, A.; Vaid, J.; Biton, Y.; Moazzami, K.; Heist, E.K.; Mansour, M.C.; Kaadan, M.I.; Vangel, M.; et al. Catheter ablation for cardiac arrhythmias: Utilization and in-hospital complications, 2000 to 2013. JACC Clin. Electrophysiol. 2017, 3, 1240–1248. [Google Scholar] [CrossRef] [PubMed]
- Kneeland, P.P.; Fang, M.C. Trends in catheter ablation for atrial fibrillation in the United States. J. Hosp. Med. 2009, 4, E1–E5. [Google Scholar] [CrossRef] [PubMed]
- Kumar, S.; Walters, T.E.; Halloran, K.; Morton, J.B.; Hepworth, G.; Wong, C.X.; Kistler, P.M.; Sanders, P.; Kalman, J.M. Ten-year trends in the use of catheter ablation for treatment of atrial fibrillation vs. the use of coronary intervention for the treatment of ischaemic heart disease in Australia. EP Europace. 2013, 15, 1702–1709. [Google Scholar] [CrossRef] [PubMed]
- Arad, Y.; Spadaro, L.A.; Goodman, K.; Lledo-Perez, A.; Sherman, S.; Lerner, G.; Guerci, A.D. Predictive value of electron beam computed tomography of the coronary arteries: 19-month follow-up of 1173 asymptomatic subjects. Circulation 1996, 93, 1951–1953. [Google Scholar] [CrossRef] [PubMed]
- Arad, Y.; Goodman, K.J.; Roth, M.; Newstein, D.; Guerci, A.D. Coronary calcification, coronary disease risk factors, C-reactive protein, and atherosclerotic cardiovascular disease events. J. Am. Coll. Cardiol. 2005, 46, 158–165. [Google Scholar] [CrossRef]
- Kondos, G.T.; Hoff, J.A.; Sevrukov, A.; Daviglus, M.L.; Garside, D.B.; Devries, S.S.; Chomka, E.V.; Liu, K. Electron-beam tomography coronary artery calcium and cardiac events: A 37-month follow-up of 5635 initially asymptomatic low-to intermediate-risk adults. Circulation 2003, 107, 2571–2576. [Google Scholar] [CrossRef]
- Nasir, K.; Bittencourt, M.S.; Blaha, M.J.; Blankstein, R.; Agatson, A.S.; Rivera, J.J.; Miedema, M.D.; Sibley, C.T.; Shaw, L.J.; Blumenthal, R.S.; et al. Implications of coronary artery calcium testing among statin candidates according to American College of Cardiology/American Heart Association cholesterol management guidelines: MESA (multi-ethnic study of atherosclerosis). J. Am. Coll. Cardiol. 2015, 66, 1657–1668. [Google Scholar] [CrossRef]
- Mortensen, M.B.; Falk, E.; Li, D.; Nasir, K.; Blaha, M.J.; Sandfort, V.; Rodriguez, C.J.; Ouyang, P.; Budoff, M. Statin trials, cardiovascular events, and Coronary artery calcification: Implications for a trial-based approach to statin therapy in MESA. JACC Cardiovasc. Imaging 2018, 11 Pt 1, 221–230. [Google Scholar] [CrossRef]
- Nasir, K.; Rubin, J.; Blaha, M.J.; Shaw, L.J.; Blankstein, R.; Rivera, J.J.; Khan, A.N.; Berman, D.; Raggi, P.; Callister, T.; et al. Interplay of coronary artery calcification and traditional risk factors for the prediction of all-cause mortality in asymptomatic individuals. Circ. Cardiovasc. Imaging 2015, 5, 467–473. [Google Scholar] [CrossRef]
- Martin, S.S.; Blaha, M.J.; Blankstein, R.; Agatston, A.; Rivera, J.J.; Virani, S.S.; Ouyang, P.; Jones, S.R.; Blumenthal, R.S.; Budoff, M.J.; et al. Dyslipidemia, coronary artery calcium, and incident atherosclerotic cardiovascular disease: Implications for statin therapy from the multi-ethnic study of atherosclerosis. Circulation 2014, 129, 77–86. [Google Scholar] [CrossRef] [PubMed]
- Agatston, A.S.; Janowitz, W.R.; Hildner, F.J.; Zusmer, N.R.; Viamonte Jr, M.; Detrano, R. Quantification of coronary artery calcium using ultrafast computed tomography. J. Am. Coll. Cardiol. 1990, 15, 827–832. [Google Scholar] [CrossRef]
- Mylonas, I.; Alam, M.; Amily, N.; Small, G.; Chen, L.; Yam, Y.; Hibbert, B.; Chow, B.J. Quantifying coronary artery calcification from a contrast-enhanced cardiac computed tomography angiography study. Eur. Heart J. Cardiovasc. Imaging 2014, 15, 210–215. [Google Scholar] [CrossRef] [PubMed]
- Otton, J.M.; Lønborg, J.T.; Boshell, D.; Feneley, M.; Hayen, A.; Sammel, N.; Sesel, K.; Bester, L.; McCrohon, J. A method for coronary artery calcium scoring using contrast-enhanced computed tomography. J. Cardiovasc. Comput. Tomogr. 2012, 6, 37–44. [Google Scholar] [CrossRef] [PubMed]
- Bischoff, B.; Kantert, C.; Meyer, T.; Hadamitzky, M.; Martinoff, S.; Schömig, A.; Hausleiter, J. Cardiovascular risk assessment based on the quantification of coronary calcium in contrast-enhanced coronary computed tomography angiography. Eur. Heart J. Cardiovasc. Imaging 2012, 13, 468–475. [Google Scholar] [CrossRef] [PubMed][Green Version]
- Hecht, H.S.; Cronin, P.; Blaha, M.J.; Budoff, M.J.; Kazerooni, E.A.; Narula, J.; Yankelevitz, D.; Abbara, S. 2016 SCCT/STR guidelines for coronary artery calcium scoring of noncontrast noncardiac chest CT scans: A report of the Society of Cardiovascular Computed Tomography and Society of Thoracic Radiology. J. Cardiovasc. Comput. Tomogr. 2016, 11, 74–84. [Google Scholar] [CrossRef] [PubMed]
- Williams, K.A.; Kim, J.T.; Holohan, K.M. Frequency of unrecognized, unreported, or underreported coronary artery and cardiovascular calcification on noncardiac chest CT. J. Cardiovasc. Comput. Tomogr. 2013, 7, 167–172. [Google Scholar] [CrossRef] [PubMed]
- Uretsky, S.; Chokshi, N.; Kobrinski, T.; Agarwal, S.K.; Po, J.R.; Awan, H.; Jagarlamudi, A.; Gudiwada, S.P.; D’Avino, R.C.; Rozanski, A. The interplay of physician awareness and reporting of incidentally found coronary artery calcium on the clinical management of patients who underwent noncontrast chest computed tomography. Am. J. Cardiol. 2015, 115, 1513–1517. [Google Scholar] [CrossRef] [PubMed]
- Phillips, W.J.; Johnson, C.; Law, A.; Turek, M.; Small, A.R.; Inacio, J.R.; Dent, S.; Ruddy, T.; Beanlands, R.S.; Chow, B.J.; et al. Reporting of coronary artery calcification on chest CT studies in breast cancer patients at high risk of cancer therapy related cardiac events. IJC Heart Vasc. 2018, 18, 12–16. [Google Scholar] [CrossRef]
- Stone, N.J.; Robinson, J.G.; Lichtenstein, A.H.; Merz, C.B.; Blum, C.B.; Eckel, R.H. 2013 ACC/AHA guideline on the treatment of blood cholesterol to reduce atherosclerotic cardiovascular risk in adults: A report of the American College of Cardiology/American Heart Association task force on practice guidelines. Circulation 2014, 129 (Suppl. 2), S1–S45. [Google Scholar] [CrossRef]
- Grundy, S.M.; Stone, N.J.; Bailey, A.L.; Beam, C.; Birtcher, K.K.; Blumenthal, R.S.; Braun, L.T.; de Ferranti, S.; Faiella-Tommasino, J.; Forman, D.E.; et al. 2018 AHA/ACC/AACVPR/AAPA/ABC/ACPM/ADA/AGS/APhA/ASPC/NLA/PCNA guideline on the management of blood cholesterol. J. Am. Coll. Cardiol. 2019, 73, e285–e350. [Google Scholar] [CrossRef] [PubMed]
- Goff, D.C., Jr.; Lloyd-Jones, D.M.; Bennett, G.; Coady, S.; D’Agostino, R.B., Sr.; Gibbons, R.; Greenland, P.; Lackland, D.T.; Levy, D.; O’Donnell, C.J.; et al. 2013 ACC/AHA guideline on the assessment of cardiovascular risk: A report of the American College of Cardiology/American Heart Association task force on practice guidelines. Circulation 2014, 129 (Suppl. 2), S49–S73. [Google Scholar] [CrossRef]
- Chiles, C.; Duan, F.; Gladish, G.W.; Ravenel, J.G.; Baginski, S.G.; Snyder, B.S.; DeMello, S.; Desjardins, S.S.; Munden, R.F.; NLST Study Team. Association of coronary artery calcification and mortality in the national lung screening trial: A comparison of three scoring methods. Radiology 2015, 276, 82–90. [Google Scholar] [CrossRef] [PubMed]
- Kirsch, J.; Martinez, F.; Lopez, D.; Novaro, G.; Asher, C. National trends among radiologists in reporting coronary artery calcium in non-gated chest computed tomography. Int. J. Cardiovasc. Imaging 2017, 33, 251–257. [Google Scholar] [CrossRef] [PubMed]
- Affirm Investigators. Baseline characteristics of patients with atrial fibrillation: The AFFIRM study. Am. Heart J. 2002, 143, 991–1001. [Google Scholar] [CrossRef] [PubMed]
- Krahn, A.D.; Manfreda, J.; Tate, R.B.; Mathewson, F.A.L.; Cuddy, T.E. The natural history of atrial fibrillation: Incidence, risk factors, and prognosis in the manitoba follow-up study. Am. J. Med. 1995, 98, 476–484. [Google Scholar] [CrossRef]
- Stewart, S.; Hart, C.L.; Hole, D.J.; McMurray, J.J.V. A population-based study of the long-term risks associated with atrial fibrillation: 20-year follow-up of the renfrew/paisley study. Am. J. Med. 2002, 113, 359–364. [Google Scholar] [CrossRef]
- Gomez-Outes, A.; Lagunar-Ruiz, J.; Terleira-Fernandez, A.I.; Calvo-Rojas, G.; Suárez-Gea, M.L.; Vargas-Castrillon, E. Causes of death in anticoagulated patients with atrial fibrillation. J. Am. Coll. Cardiol. 2016, 68, 2508–2521. [Google Scholar] [CrossRef]
- Salami, J.A.; Warraich, H.; Valero-Elizondo, J.; Spatz, E.S.; Desai, N.R.; Rana, J.S.; Virani, S.S.; Blankstein, R.; Khera, A.; Blaha, M.J.; et al. National trends in statin use and expenditures in the US adult population from 2002 to 2013: Insights from the medical expenditure panel survey. JAMA Cardiol. 2017, 2, 56–65. [Google Scholar] [CrossRef]
- Tran, H.V.; Waring, M.E.; McManus, D.D.; Erskine, N.; Do, V.T.; Kiefe, C.I.; Goldberg, R.J. Underuse of effective cardiac medications among women, middle-aged adults, and racial/ethnic minorities with coronary artery disease (from the national health and nutrition examination survey 2005 to 2014). Am. J. Cardiol. 2017, 120, 1223–1229. [Google Scholar] [CrossRef]
- Curl, K.; LeBude, B.; Ruggiero, N.; Fischman, D.; Rose, A.; Patel, S.; Ogilby, D.; Walinsky, P.; Jasti, B.; Savage, M. Frequency of use of statins and aspirin in patients with previous coronary artery bypass grafting. Am. J. Cardiol. 2016, 118, 40–43. [Google Scholar] [CrossRef] [PubMed]
- Kalia, N.K.; Miller, L.G.; Nasir, K.; Blumenthal, R.S.; Agrawal, N.; Budoff, M.J. Visualizing coronary calcium is associated with improvements in adherence to statin therapy. Atherosclerosis 2006, 185, 394–399. [Google Scholar] [CrossRef] [PubMed]
- Gupta, A.; Lau, E.; Varshney, R.; Hulten, E.A.; Cheezum, M.; Bittencourt, M.S.; Blaha, M.J.; Wong, N.D.; Blumenthal, R.S.; Budoff, M.J.; et al. The identification of calcified coronary plaque is associated with initiation and continuation of pharmacological and lifestyle preventive therapies: A systematic review and meta-analysis. JACC Cardiovasc. Imaging 2017, 10, 833–842. [Google Scholar] [CrossRef] [PubMed]
- Engbers, E.M.; Timmer, J.R.; Mouden, M.; Knollema, S.; Jager, P.L.; Ottervanger, J.P. Changes in cardiovascular medication after coronary artery calcium scanning and normal single photon emission computed tomography myocardial perfusion imaging in symptomatic patients. Am. Heart J. 2017, 186, 56–62. [Google Scholar] [CrossRef] [PubMed]
- Taylor, A.J.; Bindeman, J.; Feuerstein, I.; Le, T.; Bauer, K.; Byrd, C.; Wu, H.; O’Malley, P.G. Community-based provision of statin and aspirin after the detection of coronary artery calcium within a community-based screening cohort. J. Am. Coll. Cardiol. 2008, 51, 1337–1341. [Google Scholar] [CrossRef]




| Characteristics | Total Population | No Prior ASCVD | Prior ASCVD | p-Value |
|---|---|---|---|---|
| Population, N | 638 | 384 (60.4) | 252 (39.6) | |
| Age, years | 63.3 ± 10.8 | 61.3 ± 11.7 | 66.3 ± 8.6 | <0.0001 |
| Female, N (%) | 220 (34.5) | 140 (63.6) | 80 (36.4) | 0.22 |
| Race (white), N (%) | 606 (95) | 368 (60.8) | 237 (39.2) | 0.48 |
| Body mass index kg/m2 | 32.9±12.9 | 33.4 ±15.7 | 32.4 ± 7.3 | 0.72 |
| CT scanning mode, N (%) | ||||
| Non-ECG-gated, spiral | 455 (71.8) | 261 (68.1) | 194 (77.3) | 0.01 |
| Prospective ECG-gated | 179 (28.2) | 122(31.9) | 57 (22.7) | |
| Smoking status, N (%) | <0.0001 | |||
| Never | 335 (52.8) | 228 (59.7) | 105 (42) | |
| Current | 44 (6.9) | 28 (7.3) | 16 (6.4) | |
| Former | 255 (40) | 126 (33) | 129 (51.6) | |
| Cardiovascular History, N (%) | ||||
| Hypertension | 496 (77.7) | 266 (53.9) | 228 (46.1) | <0.0001 |
| Diabetes mellitus | 149 (23.4) | 65 (43.9) | 83 (56.1) | <0.0001 |
| Baseline Cardiovascular Examination | ||||
| LVEF, % | 54.7 ± 9 | 55.9 ± 7.6 | 53.0 ± 10.4 | 0.0002 |
| EF < 50%, N (%) | 117 (18.8) | 52 (13.9) | 64 (25.7) | 0.0002 |
| Baseline Labs | ||||
| Creatinine, mg/dL | 1.01 ± 0.46 | 0.95 ± 0.2 | 1.09 ± 0.67 | 0.03 |
| LDL-C, mg/dL | 88.9 ± 35 | 97.4 ± 39.9 | 78.8 ± 36.9 | <0.0001 |
| ASCVD History, N (%) | ||||
| Clinical CAD | 219 (34.4) | 219 (86.9) | ||
| PAD | 12 (1.9) | 12 (4.8) | ||
| Stroke | 38 (6) | 38 (15.1) | ||
| TIAStroke and/or TIA | 47 (7.4)66 (10.3) | 47 (18.7)66 (26.2) | ||
| Carotid Artery Disease | 21 (3.3) | 21 (8.3) | ||
| 10-year ASCVD Risk Score, N (%) ** | ||||
| Total | 15.3 ± 12.1 | 12.9 ± 10.4 | 19.3 ± 13.7 | <0.0001 |
| Low risk < 5% | 45 (15.5) | 37 (20.7) | 8 (7.3) | |
| Borderline risk 5% to < 7.5% | 41 (14.1) | 33 (18.4) | 8 (7.3) | |
| Intermediate risk 7.5% to 20% | 131 (45.2) | 72 (40.2) | 58 (52.7) | |
| High risk ≥ 20% | 73 (25.2) | 37 (20.7) | 36 (32.7) | |
| Statin therapy on admission, N (%) | ||||
| YES | 336 (52.8) | 133 (34.7) | 201 (80.1) | <0.0001 |
| NO | 300 (47.2) | 250 (65.3) | 50 (19.9) | |
| Statin intensity, N (%) | ||||
| High intensity | 131 (20.6) | 32 (8.4) | 97 (38.6) | <0.0001 |
| Moderate intensity | 179 (28.2) | 87 (22.8) | 92 (36.7) | |
| Low intensity | 25 (4.0) | 13 (3.4) | 12 (4.8) | |
| CAC Detection, N (%) | ||||
| CAC Positive | 447 (70.1) | 223 (58.1) | 222 (88.1) | <0.0001 |
| CAC Negative | 191 (29.9) | 161 (41.9) | 30 (11.9) | |
| CAC Grading, N (%) | ||||
| 0 (none), N (%) | 191 (29.5) | 161 (41.9) | 30 (11.9) | <0.0001 |
| 1 (mild), N (%) | 183 (28.7) | 131 (34.1) | 51 (20.2) | |
| 3 (moderate), N (%) | 138 (21.6) | 63 (16.4) | 75 (29.8) | |
| 5 (severe), N (%) | 126 (19.7) | 29 (7.6) | 96 (38.1) | |
| CAC Reported, N (%) † | 414 (92.6) | 202 (90.6) | 210 (94.6) | <0.0001 |
© 2020 by the authors. Licensee MDPI, Basel, Switzerland. This article is an open access article distributed under the terms and conditions of the Creative Commons Attribution (CC BY) license (http://creativecommons.org/licenses/by/4.0/).
Share and Cite
Dunleavy, M.P.; Guha, A.; Cardona, A.; Fortuna, C.; Daoud, E.G.; Raman, S.V.; Harfi, T.T. Prevalence of Coronary Artery Calcification on Pre-Atrial Fibrillation Ablation CT Pulmonary Venograms and its Impact on Selection for Statin Therapy. J. Clin. Med. 2020, 9, 1631. https://doi.org/10.3390/jcm9061631
Dunleavy MP, Guha A, Cardona A, Fortuna C, Daoud EG, Raman SV, Harfi TT. Prevalence of Coronary Artery Calcification on Pre-Atrial Fibrillation Ablation CT Pulmonary Venograms and its Impact on Selection for Statin Therapy. Journal of Clinical Medicine. 2020; 9(6):1631. https://doi.org/10.3390/jcm9061631
Chicago/Turabian StyleDunleavy, Michael P., Avirup Guha, Andrea Cardona, Christopher Fortuna, Emile G. Daoud, Subha V. Raman, and Thura T. Harfi. 2020. "Prevalence of Coronary Artery Calcification on Pre-Atrial Fibrillation Ablation CT Pulmonary Venograms and its Impact on Selection for Statin Therapy" Journal of Clinical Medicine 9, no. 6: 1631. https://doi.org/10.3390/jcm9061631
APA StyleDunleavy, M. P., Guha, A., Cardona, A., Fortuna, C., Daoud, E. G., Raman, S. V., & Harfi, T. T. (2020). Prevalence of Coronary Artery Calcification on Pre-Atrial Fibrillation Ablation CT Pulmonary Venograms and its Impact on Selection for Statin Therapy. Journal of Clinical Medicine, 9(6), 1631. https://doi.org/10.3390/jcm9061631
