En-Bloc Resection of Metastases of the Proximal Femur and Reconstruction by Modular Arthroplasty is Not Only Justified in Patients with a Curative Treatment Option—An Observational Study of a Consecutive Series of 45 Patients
Abstract
1. Introduction
2. Patients and Methods
2.1. Inclusion Criteria and Surgical Algorithm
2.2. Indication for Surgery and Methods
2.3. Surgical Technique and Postoperative Care
3. Results
3.1. Complications and Reoperations
3.2. Functional Evaluation
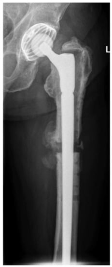
3.3. Radiographic Evaluation
3.4. Survival Analysis
4. Discussion
4.1. Background, Principle Considerations for En-Bloc Resection and Functional Outcome
4.2. Complications and Survivorship of Patients and Implants
- Simple osteosynthesis by intramedullary nail is justified in cases with a very poor prognosis of a few months (≈ less than six) and a tumor localization clearly below the intertrochanteric region (meta- and/or diaphysis).
- Intralesional curettage and implantation of a primary stem is justified in patients with a very limited life expectancy and a localization proximal to the intertrochanteric line/femoral neck in tumors with a good response to radiotherapy.
- Intralesional curettage and implantation of a long-stemmed, cemented prosthesis can be performed in patients with very limited life expectancy in biomechanical situations not suitable for osteosynthesis and/or a cemented primary stem and in patients with additional metastasis more distally.
- All other cases should be treated by en-bloc resection (wide or marginal) and endoprosthetic reconstruction.
- A cemented reconstruction should be performed in patients with necessary potential postoperative radiotherapy (R1, intralesional) and/or additional metastasis distally; all other cases can be treated with cementless devices.
- A tube for soft tissue attachment and prevention of dislocation is not necessary when the capsule can be preserved.
5. Conclusions
Author Contributions
Funding
Acknowledgments
Conflicts of Interest
References
- Böhm, P.; Huber, J. The surgical treatment of bony metastases of the spine and limbs. J. Bone Jt. Surg. Br. 2002, 84, 521–529. [Google Scholar] [CrossRef]
- Mirels, H. Metastatic disease in long bones. A proposed scoring system for diagnosing impending pathologic fractures. Clin. Orthop. Relat. Res. 1989, 1989, 256–264. [Google Scholar] [CrossRef]
- Toma, C.D.; Dominkus, M.; Nedelcu, T.; Abdolvahab, F.; Assadian, O.; Krepler, P.; Kotz, R. Metastatic bone disease: A 36-year single centre trend-analysis of patients admitted to a tertiary orthopaedic surgical department. J. Surg. Oncol. 2007, 96, 404–410. [Google Scholar] [CrossRef] [PubMed]
- Fuchs, B.; Trousdale, R.T.; Rock, M.G. Solitary bony metastasis from renal cell carcinoma: Significance of surgical treatment. Clin. Orthop. Relat. Res. 2005, 2005, 187–192. [Google Scholar] [CrossRef] [PubMed]
- Wedin, R.; Bauer, H.C. Surgical treatment of skeletal metastatic lesions of the proximal femur: Endoprosthesis or reconstruction nail? J. Bone Jt. Surg. Br. 2005, 87, 1653–1657. [Google Scholar] [CrossRef]
- Yazawa, Y.; Frassica, F.J.; Chao, E.Y.; Pritchard, D.J.; Sim, F.H.; Shives, T.C. Metastatic bone disease. A study of the surgical treatment of 166 pathologic humeral and femoral fractures. Clin. Orthop. Relat. Res. 1990, 1990, 213–219. [Google Scholar]
- Forsberg, J.A.; Wedin, R.; Bauer, H. Which implant is best after failed treatment for pathologic femur fractures? Clin. Orthop. Relat. Res. 2013, 471, 735–740. [Google Scholar] [CrossRef]
- Morishige, M.; Muramatsu, K.; Tominaga, Y.; Hashimoto, T.; Taguchi, T. Surgical treatment of metastatic femoral fractures: Achieving an improved quality of life for cancer patients. Anticancer Res. 2015, 35, 427–432. [Google Scholar]
- Haentjens, P.; de Neve, W.; Casteleyn, P.P.; Opdecam, P. Massive resection and prosthetic replacement for the treatment of metastases of the trochanteric and subtrochanteric femoral region bipolar arthroplasty versus total hip arthroplasty. Acta Orthop. Belg. 1993, 59, 367–371. [Google Scholar]
- Mavrogenis, A.F.; Pala, E.; Romagnoli, C.; Romantini, M.; Calabro, T.; Ruggieri, P. Survival analysis of patients with femoral metastases. J. Surg. Oncol. 2012, 105, 135–141. [Google Scholar] [CrossRef]
- Potter, B.K.; Chow, V.E.; Adams, S.C.; Letson, G.D.; Temple, H.T. Endoprosthetic proximal femur replacement: Metastatic versus primary tumors. Surg. Oncol. 2009, 18, 343–349. [Google Scholar] [CrossRef] [PubMed]
- Karnofsky, D.A.A.W.; Craver, L.F.; Burchenal, J.H. The use of the nitrogen mustards in the palliative treatment of carcinoma. With particular reference to bronchogenic carcinoma. Cancer 1948, 1, 634–656. [Google Scholar] [CrossRef]
- Enneking, W.F.; Dunham, W.; Gebhardt, M.C.; Malawar, M.; Pritchard, D.J. A system for the functional evaluation of reconstructive procedures after surgical treatment of tumors of the musculoskeletal system. Clin. Orthop. Relat. Res. 1993, 1993, 241–246. [Google Scholar] [CrossRef]
- Callaghan, J.J.; Salvati, E.A.; Pellicci, P.M.; Wilson, P.D., Jr.; Ranawat, C.S. Results of revision for mechanical failure after cemented total hip replacement, 1979 to 1982. A two to five-year follow-up. J. Bone Jt. Surg. Am. Vol. 1985, 67, 1074–1085. [Google Scholar] [CrossRef]
- Talbot, M.; Turcotte, R.E.; Isler, M.; Normandin, D.; Iannuzzi, D.; Downer, P. Function and health status in surgically treated bone metastases. Clin. Orthop. Relat. Res. 2005, 438, 215–220. [Google Scholar] [CrossRef] [PubMed]
- Roder, D.; Karapetis, C.S.; Wattchow, D.; Moore, J.; Singhal, N.; Joshi, R.; Keefe, D.; Fusco, K.; Buranyi-Trevarton, D.; Sharplin, G.; et al. Metastatic Colorectal Cancer Treatment and Survival: The Experience of Major Public Hospitals in South Australia Over Three Decades. Asian Pac. J. Cancer Prev. 2015, 16, 5923–5931. [Google Scholar] [CrossRef] [PubMed]
- Holzel, D.; Eckel, R.; Bauerfeind, I.; Baier, B.; Beck, T.; Braun, M.; Ettl, J.; Hamann, U.; Harbeck, N.; Kiechle, M.; et al. Survival of de novo stage IV breast cancer patients over three decades. J. Cancer Res. Clin. Oncol. 2016, 143, 509–519. [Google Scholar] [CrossRef]
- Dijstra, S.; Wiggers, T.; van Geel, B.N.; Boxma, H. Impending and actual pathological fractures in patients with bone metastases of the long bones. A retrospective study of 233 surgically treated fractures. Eur. J. Surg. Acta Chir. 1994, 160, 535–542. [Google Scholar]
- Harvey, N.; Ahlmann, E.R.; Allison, D.C.; Wang, L.; Menendez, L.R. Endoprostheses last longer than intramedullary devices in proximal femur metastases. Clin. Orthop. Relat. Res. 2012, 470, 684–691. [Google Scholar] [CrossRef]
- Steensma, M.; Boland, P.J.; Morris, C.D.; Athanasian, E.; Healey, J.H. Endoprosthetic treatment is more durable for pathologic proximal femur fractures. Clin. Orthop. Relat. Res. 2012, 470, 920–926. [Google Scholar] [CrossRef]
- Meeuse, J.J.; van der Linden, Y.M.; van Tienhoven, G.; Gans, R.O.; Leer, J.W.; Reyners, A.K. Efficacy of radiotherapy for painful bone metastases during the last 12 weeks of life: Results from the Dutch Bone Metastasis Study. Cancer 2010, 116, 2716–2725. [Google Scholar] [CrossRef] [PubMed]
- Bischel, O.E.; Böhm, P.M. The use of a femoral revision stem in the treatment of primary or secondary bone tumours of the proximal femur: A prospective study of 31 cases. J. Bone Jt. Surg. Br. 2010, 92, 1435–1441. [Google Scholar] [CrossRef] [PubMed]
- Les, K.A.; Nicholas, R.W.; Rougraff, B.; Wurtz, D.; Vogelzang, N.J.; Simon, M.A.; Peabody, T.D. Local progression after operative treatment of metastatic kidney cancer. Clin. Orthop. Relat. Res. 2001, 390, 206–211. [Google Scholar] [CrossRef] [PubMed]
- Kabukcuoglu, Y.; Grimer, R.J.; Tillman, R.M.; Carter, S.R. Endoprosthetic replacement for primary malignant tumors of the proximal femur. Clin. Orthop. Relat. Res. 1999, 358, 8–14. [Google Scholar] [CrossRef]
- Mittermayer, F.; Krepler, P.; Dominkus, M.; Schwameis, E.; Sluga, M.; Heinzl, H.; Kotz, R. Long-term followup of uncemented tumor endoprostheses for the lower extremity. Clin. Orthop. Relat. Res. 2001, 388, 167–177. [Google Scholar] [CrossRef]
- Morris, H.G.; Capanna, R.; Del Ben, M.; Campanacci, D. Prosthetic reconstruction of the proximal femur after resection for bone tumors. J. Arthroplast. 1995, 10, 293–299. [Google Scholar] [CrossRef]
- Zehr, R.J.; Enneking, W.F.; Scarborough, M.T. Allograft-prosthesis composite versus megaprosthesis in proximal femoral reconstruction. Clin. Orthop. Relat. Res. 1996, 322, 207–223. [Google Scholar] [CrossRef]
- Hansen, B.H.; Keller, J.; Laitinen, M.; Berg, P.; Skjeldal, S.; Trovik, C.; Nilsson, J.; Walloe, A.; Kalén, A.; Wedin, R. The Scandinavian Sarcoma Group Skeletal Metastasis Register. Survival after surgery for bone metastases in the pelvis and extremities. Acta Orthop. Scand. Suppl. 2004, 75, 11–15. [Google Scholar] [CrossRef]
- Katagiri, H.; Takahashi, M.; Wakai, K.; Sugiura, H.; Kataoka, T.; Nakanishi, K. Prognostic factors and a scoring system for patients with skeletal metastasis. J. Bone Jt. Surg. Br. 2005, 87, 698–703. [Google Scholar] [CrossRef]
- Chandrasekar, C.R.; Grimer, R.J.; Carter, S.R.; Tillman, R.M.; Abudu, A.T. Modular endoprosthetic replacement for metastatic tumours of the proximal femur. J. Orthop. Surg. Res. 2008, 3, 50. [Google Scholar] [CrossRef]
- Jacofsky, D.J.; Haidukewych, G.J.; Zhang, H.; Sim, F.H. Complications and results of arthroplasty for salvage of failed treatment of malignant pathologic fractures of the hip. Clin. Orthop. Relat. Res. 2004, 427, 52–56. [Google Scholar] [CrossRef] [PubMed]
- Morris, H.G.; Capanna, R.; Campanacci, D.; Del Ben, M.; Gasbarrini, A. Modular endoprosthetic replacement after total resection of the femur for malignant tumour. Int. Orthop. 1994, 18, 90–95. [Google Scholar] [CrossRef] [PubMed]
- Torbert, J.T.; Fox, E.J.; Hosalkar, H.S.; Ogilvie, C.M.; Lackman, R.D. Endoprosthetic reconstructions: Results of long-term followup of 139 patients. Clin. Orthop. Relat. Res. 2005, 438, 51–59. [Google Scholar] [CrossRef] [PubMed]
- Henderson, E.R.; Jennings, J.M.; Marulanda, G.A.; Palumbo, B.T.; Cheong, D.; Letson, G.D. Purse-string capsule repair to reduce proximal femoral arthroplasty dislocation for tumor--a novel technique with results. J. Arthroplast. 2010, 25, 654–657. [Google Scholar] [CrossRef] [PubMed]
- Rompe, J.D.; Eysel, P.; Hopf, C.; Heine, J. Metastatic instability at the proximal end of the femur. Comparison of endoprosthetic replacement and plate osteosynthesis. Arch. Orthop. Trauma Surg. 1994, 113, 260–264. [Google Scholar] [CrossRef]
- Masterson, E.L.; Ferracini, R.; Griffin, A.M.; Wunder, J.S.; Bell, R.S. Capsular replacement with synthetic mesh: Effectiveness in preventing postoperative dislocation after wide resection of proximal femoral tumors and prosthetic reconstruction. J. Arthroplast. 1998, 13, 860–866. [Google Scholar] [CrossRef]
- Gosheger, G.; Hillmann, A.; Lindner, N.; Rodl, R.; Hoffmann, C.; Burger, H.; Winkelmann, W. Soft tissue reconstruction of megaprostheses using a trevira tube. Clin. Orthop. Relat. Res. 2001, 393, 264–271. [Google Scholar] [CrossRef]
- Marulanda, G.A.; Henderson, E.; Cheong, D.; Letson, G.D. Proximal and total humerus reconstruction with the use of an aortograft mesh. Clin. Orthop. Relat. Res. 2010, 468, 2896–2903. [Google Scholar] [CrossRef]
- Xing, Z.; Moon, B.S.; Satcher, R.L.; Lin, P.P.; Lewis, V.O. A long femoral stem is not always required in hip arthroplasty for patients with proximal femur metastases. Clin. Orthop. Relat. Res. 2013, 471, 1622–1627. [Google Scholar] [CrossRef]







| Diagnosis and Staging at Index Operation | Number of Patients (45), Solitary/Disseminated |
|---|---|
| Bronchial Carcinoma | 9 (5/4) |
| Leiomyosarcoma | 1 (1/0) |
| Liposarcoma | 1 (0/1) |
| Melanoma | 1 (0/1) |
| Breast Carcinoma | 13 (1/12) |
| Plasmacytoma | 1 (0/1) |
| Oral Carcinoma | 2 (0/2) |
| Renal Carcinoma | 9 (4/5) |
| Paraganglioma | 2 (0/2) |
| Pheochromocytoma | 1 (1/0) |
| Prostate Cancer | 1 (1/0) |
| Colorectal Cancer | 1 (1/0) |
| Thyroidal Carcinoma | 1 (0/1) |
| Urothelial Carcinoma | 2 (1/1) |
| Indication for Operative Treatment | No. of Cases (n = 45) |
|---|---|
| Impending Fracture 1 | 23 |
| Impending Fracture/Loosening after THA 2 | 1 |
| Pathologic Fracture | 17 |
| Pathologic Fracture after Osteosynthesis 3 | 4 |
| Surgical Margins/Histopathology | Number | ||
|---|---|---|---|
| Planned Surgical Procedure | Extralesional (R0) | Intralesional (R1/2) | |
| En-bloc Resection | 37 | 4/1 | 42 |
| Curettage Distally | 0 | 2/1 | 3 |
| Total | 37 | 8 | 45 |
© 2020 by the authors. Licensee MDPI, Basel, Switzerland. This article is an open access article distributed under the terms and conditions of the Creative Commons Attribution (CC BY) license (http://creativecommons.org/licenses/by/4.0/).
Share and Cite
Bischel, O.E.; Suda, A.J.; Böhm, P.M.; Lehner, B.; Bitsch, R.G.; Seeger, J.B. En-Bloc Resection of Metastases of the Proximal Femur and Reconstruction by Modular Arthroplasty is Not Only Justified in Patients with a Curative Treatment Option—An Observational Study of a Consecutive Series of 45 Patients. J. Clin. Med. 2020, 9, 758. https://doi.org/10.3390/jcm9030758
Bischel OE, Suda AJ, Böhm PM, Lehner B, Bitsch RG, Seeger JB. En-Bloc Resection of Metastases of the Proximal Femur and Reconstruction by Modular Arthroplasty is Not Only Justified in Patients with a Curative Treatment Option—An Observational Study of a Consecutive Series of 45 Patients. Journal of Clinical Medicine. 2020; 9(3):758. https://doi.org/10.3390/jcm9030758
Chicago/Turabian StyleBischel, Oliver E., Arnold J. Suda, Paul M. Böhm, Burkhard Lehner, Rudi G. Bitsch, and Jörn B. Seeger. 2020. "En-Bloc Resection of Metastases of the Proximal Femur and Reconstruction by Modular Arthroplasty is Not Only Justified in Patients with a Curative Treatment Option—An Observational Study of a Consecutive Series of 45 Patients" Journal of Clinical Medicine 9, no. 3: 758. https://doi.org/10.3390/jcm9030758
APA StyleBischel, O. E., Suda, A. J., Böhm, P. M., Lehner, B., Bitsch, R. G., & Seeger, J. B. (2020). En-Bloc Resection of Metastases of the Proximal Femur and Reconstruction by Modular Arthroplasty is Not Only Justified in Patients with a Curative Treatment Option—An Observational Study of a Consecutive Series of 45 Patients. Journal of Clinical Medicine, 9(3), 758. https://doi.org/10.3390/jcm9030758

