Use of Cytology in the Diagnosis of Basal Cell Carcinoma Subtypes
Abstract
1. Introduction
2. Material and Methods
3. Results
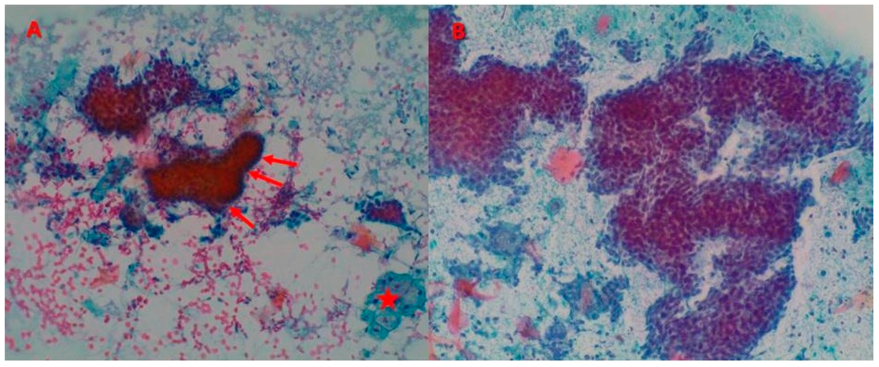
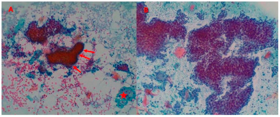
3.1. Superficial BCC Features
3.2. Non-Superficial BCC Features
4. Discussion
5. Conclusions
Author Contributions
Funding
Conflicts of Interest
References
- U.S. Department of Health and Human Services. Incidence of Nonmelanoma Skin Cancer in the United States. Available online: http://www.ciesin.org/docs/001-526/001-526.html (accessed on 31 October 2017).
- Christenson, L.J.; Borrowman, T.A.; Vachon, C.M.; Tollefson, M.M.; Otley, C.C.; Weaver, A.L.; Roenigk, R.K. Incidence of basal cell and squamous cell carcinomas in a population younger than 40 years. JAMA 2005, 294, 681–690. [Google Scholar] [CrossRef] [PubMed]
- Lever, W.F.; Elder, D.E. Lever’s Histopathology of the Skin, 10th ed.; Lippincott Williams & Wilkins: Philadelphia, PA, USA, 2009. [Google Scholar]
- Trakatelli, M.; Morton, C.; Nagore, E.; Ulrich, C.; Del Marmol, V.; Peris, K.; Basset-Seguin, N. Update of the European guidelines for basal cell carcinoma management. Eur. J. Dermatol. 2014, 24, 312–329. [Google Scholar] [CrossRef] [PubMed]
- Longo, C.; Borsari, S.; Benati, E.; Moscarella, E.; Alfano, R.; Argenziano, G. Dermoscopy and Reflectance Confocal Microscopy for Monitoring the Treatment of Actinic Keratosis with Ingenol Mebutate Gel: Report of Two Cases. Dermatol. Ther. (Heidelb) 2016, 6, 81–87. [Google Scholar] [CrossRef] [PubMed]
- Altamura, D.; Menzies, S.W.; Argenziano, G.; Zalaudek, I.; Soyer, H.P.; Sera, F.; Avramidis, M.; DeAmbrosis, K.; Fargnoli, M.C.; Peris, K. Dermatoscopy of basal cell carcinoma: Morphologic variability of global and local features and accuracy of diagnosis. J. Am. Acad. Dermatol. 2010, 62, 67–75. [Google Scholar] [CrossRef] [PubMed]
- Yélamos, O.; Braun, R.P.; Liopyris, K.; Wolner, Z.J.; Kerl, K.; Gerami, P.; Marghoob, A.A. Dermoscopy and dermatopathology correlates of cutaneous neoplasms. J. Am. Acad. Dermatol. 2019, 80, 341–363. [Google Scholar] [CrossRef] [PubMed]
- Villarreal-Martinez, A.; Bennàssar, A.; Gonzalez, S.; Malvehy, J.; Puig, S. Application of in vivo reflectance confocal microscopy and ex vivo fluorescence confocal microscopy in the most common subtypes of basal cell carcinoma and correlation with histopathology. Br. J. Dermatol. 2018, 178, 1215–1217. [Google Scholar] [CrossRef] [PubMed]
- Fortuño-Mar, A. Cytology. In Skin Cancer: A Practical Approach (Current Clinical Pathology); Springer: New York, NY, USA; Heidelberg, Germany; Dordrecht, The Netherlands; London, UK, 2014; pp. 213–219. [Google Scholar]
- Oram, Y.; Turhan, O.; Aydin, N.E. Diagnostic value of cytology in basal cell and squamous cell carcinomas. Int. J. Dermatol. 1997, 36, 156–157. [Google Scholar] [CrossRef] [PubMed]
- Bakis, S.; Irwig, L.; Wood, G.; Wong, D. Exfoliative cytology as a diagnostic test for basal cell carcinoma: A meta-analysis. Br. J. Dermatol. 2004, 150, 829–836. [Google Scholar] [CrossRef] [PubMed]
- Vega-Memije, E.; De Larios, N.M.; Waxtein, L.M.; Dominguez-Soto, L. Cytodiagnosis of cutaneous basal and squamous cell carcinoma. Int. J. Dermatol. 2000, 39, 116–120. [Google Scholar] [CrossRef] [PubMed]
- Gordon, L.A.; Orell, S.R. Evaluation of cytodiagnosis of cutaneous basal cell carcinoma. J. Am. Acad. Dermatol. 1984, 11, 1082–1086. [Google Scholar] [CrossRef]
- Brown, C.L.; Klaber, M.R.; Robertson, M.G. Rapid cytological diagnosis of basal cell carcinoma of the skin. J. Clin. Pathol. 1979, 32, 361–367. [Google Scholar] [CrossRef] [PubMed]
- Rege, J.; Shet, T. Aspiration cytology in the diagnosis of primary tumors of skin adnexa. Acta Cytol. 2001, 45, 715–722. [Google Scholar] [CrossRef] [PubMed]
- McCormack, C.J.; Kelly, J.W.; Dorevitch, A.P. Differences in age and body site distribution of the histological subtypes of basal cell carcinoma. A possible indicator of differing causes. Arch. Dermatol. 1997, 133, 593–596. [Google Scholar] [CrossRef] [PubMed]
- Pyne, J.H.; Myint, E.; Barr, E.M.; Clark, S.P.; David, M.; Na, R.; Hou, R. Superficial basal cell carcinoma: A comparison of superficial only subtype with superficial combined with other subtypes by age, sex and anatomic site in 3150 cases. J. Cutan. Pathol. 2017, 44, 677–683. [Google Scholar] [CrossRef] [PubMed]
- Pyne, J.H.; Myint, E.; Barr, E.M.; Clark, S.P.; Hou, R. Basal cell carcinoma: Variation in invasion depth by subtype, sex, and anatomic site in 4,565 cases. Dermatol. Pract. Concept. 2018, 8, 314–319. [Google Scholar] [CrossRef] [PubMed]
- Segurado-Miravalles, G.; Jiménez-Gómez, N.; Muñoz Moreno-Arrones, O.; Alarcón-Salazar, I.; Alegre-Sánchez, A.; Saceda-Corralo, D.; Jaén-Olasolo, P.; González-Rodríguez, S. Assessment of the Effect of 3% Diclofenac Sodium on Photodamaged Skin by Means of Reflectance Confocal Microscopy. Acta Derm. Venereol. 2018, 98, 963–969. [Google Scholar] [CrossRef] [PubMed]



| Item | Definition | Score/Code | ||
|---|---|---|---|---|
| Basal cells | Cellularity | Total presence of basal cell clusters (plaques and/or groups) in the two extensions performed in each case (homogeneous behavior) | None | 0 |
| Poor: <20 | 1 | |||
| Moderate: 20–100 | 2 | |||
| High: >100 | 3 | |||
| Groups | Three-dimensional cell clusters | Absence | 0 | |
| Presence | 1 | |||
| Sheets | Two-dimensional cell clusters | Absence | 0 | |
| Presence | 1 | |||
| Size | Size of cell clusters observed counted over 50 clusters in random fields. The percentages of the three groups add up 100% | Large clusters: >100 cells | 0–100 | |
| Medium clusters: 20–100 cells | 0–100 | |||
| Small clusters: <20 cells | 0–100 | |||
| Dehiscence | Quality of the peripheral cells of the cluster to be released from the primary cluster and remained isolated | Absence | 0 | |
| Presence | 1 | |||
| Atypia | Abnormality in cells | Mild | 1 | |
| Moderate | 2 | |||
| Severe | 3 | |||
| Squamous cells | Cellularity | Presence of squamous cellularity in the sample counted on 10HPF * | None | 0 |
| Poor: <3 | 1 | |||
| Moderate: 4–6 | 2 | |||
| High: >6 | 3 | |||
| Isolated cells | Quantity of dispersed single cells in the sample counted on 10HPF | 0 | 0 | |
| <3 | 1 | |||
| 4–6 | 2 | |||
| >6 | 3 | |||
| Clustered cells | Quantity of clustered cells in the sample counted on 10HPF | None | 0 | |
| <3 | 1 | |||
| 4–6 | 2 | |||
| >6 | 3 | |||
| Other findings | Palisade | Peripheral cells of the cluster disposed as palisade cells | Absence | 0 |
| Presence | 1 | |||
| Mucin | Absence | 0 | ||
| Presence | 1 | |||
| Stroma | Presence of stromal fragments (Fibrous, fibromyxoid, fibrovascular) loose or attached to other cell groups. Valued over the entire sample | None | 0 | |
| <5 groups | 1 | |||
| 6–10 groups | 2 | |||
| >10 groups | 3 | |||
| Clear cells | Presence of clear sebaceous cells | Absence | 0 | |
| Presence | 1 | |||
| Cytological Feature | Category | Superficial BCC (n = 29) | Non-Superficial BCC (n = 55) | p Value | ||
|---|---|---|---|---|---|---|
| Mean (95% CI) | Frequency | Mean (95% CI) | Frequency | |||
| Basal cells | ||||||
| Cellularity | None | 2.38 (2.09–2.67) | 0% | 2.64 (2.34–2.94) | 0% | 0.08 |
| Poor | 3.4% | 10.9% | ||||
| Moderate | 55.2% | 14.5% | ||||
| High | 41.4% | 74.6% | ||||
| Groups | Absence | 1.00 (0.70–1.30) | 0% | 1.34 (1.04–1.64) | 1.8% | 0.02 |
| Presence | 100% | 98.2% | ||||
| Sheets | Absence | 0.62 (0.40–0.84) | 37.9% | 0.60 (0.38–0.82) | 40% | 0.86 |
| Presence | 62.1% | 60% | ||||
| Size | Large clusters | 33.8 (23.7–43.9) | 46.8 (36.7–56.9) | 0.01 | ||
| Medium clusters | 34.3 (28.4–40.2) | 22.7 (16.8–28.6) | 0.01 | |||
| Small clusters | 31.9 (22.3–41.5) | 30.45 (20.8–40.1) | 0.77 | |||
| Dehiscence | Absence | 0.10 (−0.09–0.29) | 89.7% | 0.34 (0.15–0.53) | 65.5% | 0.02 |
| Presence | 11.3% | 34.5% | ||||
| Atypia | Mild | 1.14 (0.87–1.41) | 86.2% | 1.73 (1.46–2.00) | 36.4% | <0.0001 |
| Moderate | 13.8% | 52.7% | ||||
| Severe | 0% | 10.9% | ||||
| Squamous cells | ||||||
| Cellularity | None | 1.66 (1.17–2.15) | 17.2% | 1.38 (0.89–1.87) | 25.5% | 0.17 |
| Poor | 20.7% | 32.7% | ||||
| Moderate | 41.4% | 20% | ||||
| High | 20.7% | 21.8% | ||||
| Isolated cells | 0 | 2.48 (1.88–3.08) | 17.2% | 2.02 (1.42–2.62) | 29.1% | 0.13 |
| <3 | 0% | 5.5% | ||||
| 4–6 | 0% | 0% | ||||
| >6 | 82.8% | 64.4% | ||||
| Clustered cells | None | 1.52 (0.95–2.09) | 34.5% | 0.96 (0.39–1.53) | 50.9% | 0.04 |
| <3 | 13.8% | 25.5% | ||||
| 4–6 | 17.2% | 0% | ||||
| >6 | 34.5% | 23.6% | ||||
| Other findings | ||||||
| Palisade | Absence | 0.69 (0.46–0.92) | 31% | 0.56 (0.33–0.79) | 43.6% | 0.27 |
| Presence | 69% | 56.4% | ||||
| Mucin | Absence | 0.07 (−0.11–0.25) | 93.1% | 0.25 (0.07–0.43) | 74.5% | 0.04 |
| Presence | 6.9% | 25.5% | ||||
| Stroma | None | 1.62 (1.12–2.12) | 27.6% | 1.42 (0.92–1.92) | 18.2% | 0.37 |
| <5 groups | 20.7% | 38.2% | ||||
| 6–10 groups | 13.8% | 27.3% | ||||
| >10 groups | 37.9% | 16.3% | ||||
| Clear cells | Absence | 0.45 (0.30–0.60) | 55.2% | 0.02 (−0.13–0.17) | 98.2% | <0.0001 |
| Presence | 44.8% | 1.8% | ||||
| Histopathology | ||
|---|---|---|
| Cytology | Superficial BCC | Non-Superficial BCC |
| Superficial BCC | 29 | 0 |
| Non-superficial BCC | 1 | 55 |
© 2020 by the authors. Licensee MDPI, Basel, Switzerland. This article is an open access article distributed under the terms and conditions of the Creative Commons Attribution (CC BY) license (http://creativecommons.org/licenses/by/4.0/).
Share and Cite
Pasquali, P.; Segurado-Miravalles, G.; Castillo, M.; Fortuño, Á.; Puig, S.; González, S. Use of Cytology in the Diagnosis of Basal Cell Carcinoma Subtypes. J. Clin. Med. 2020, 9, 612. https://doi.org/10.3390/jcm9030612
Pasquali P, Segurado-Miravalles G, Castillo M, Fortuño Á, Puig S, González S. Use of Cytology in the Diagnosis of Basal Cell Carcinoma Subtypes. Journal of Clinical Medicine. 2020; 9(3):612. https://doi.org/10.3390/jcm9030612
Chicago/Turabian StylePasquali, Paola, Gonzalo Segurado-Miravalles, Mar Castillo, Ángeles Fortuño, Susana Puig, and Salvador González. 2020. "Use of Cytology in the Diagnosis of Basal Cell Carcinoma Subtypes" Journal of Clinical Medicine 9, no. 3: 612. https://doi.org/10.3390/jcm9030612
APA StylePasquali, P., Segurado-Miravalles, G., Castillo, M., Fortuño, Á., Puig, S., & González, S. (2020). Use of Cytology in the Diagnosis of Basal Cell Carcinoma Subtypes. Journal of Clinical Medicine, 9(3), 612. https://doi.org/10.3390/jcm9030612

