Cardiovascular and Lung Involvement in Patients with Autoimmune Pancreatitis
Abstract
1. Introduction
2. Patients and Methods
2.1. Ethics
2.2. Statistics
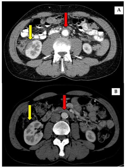
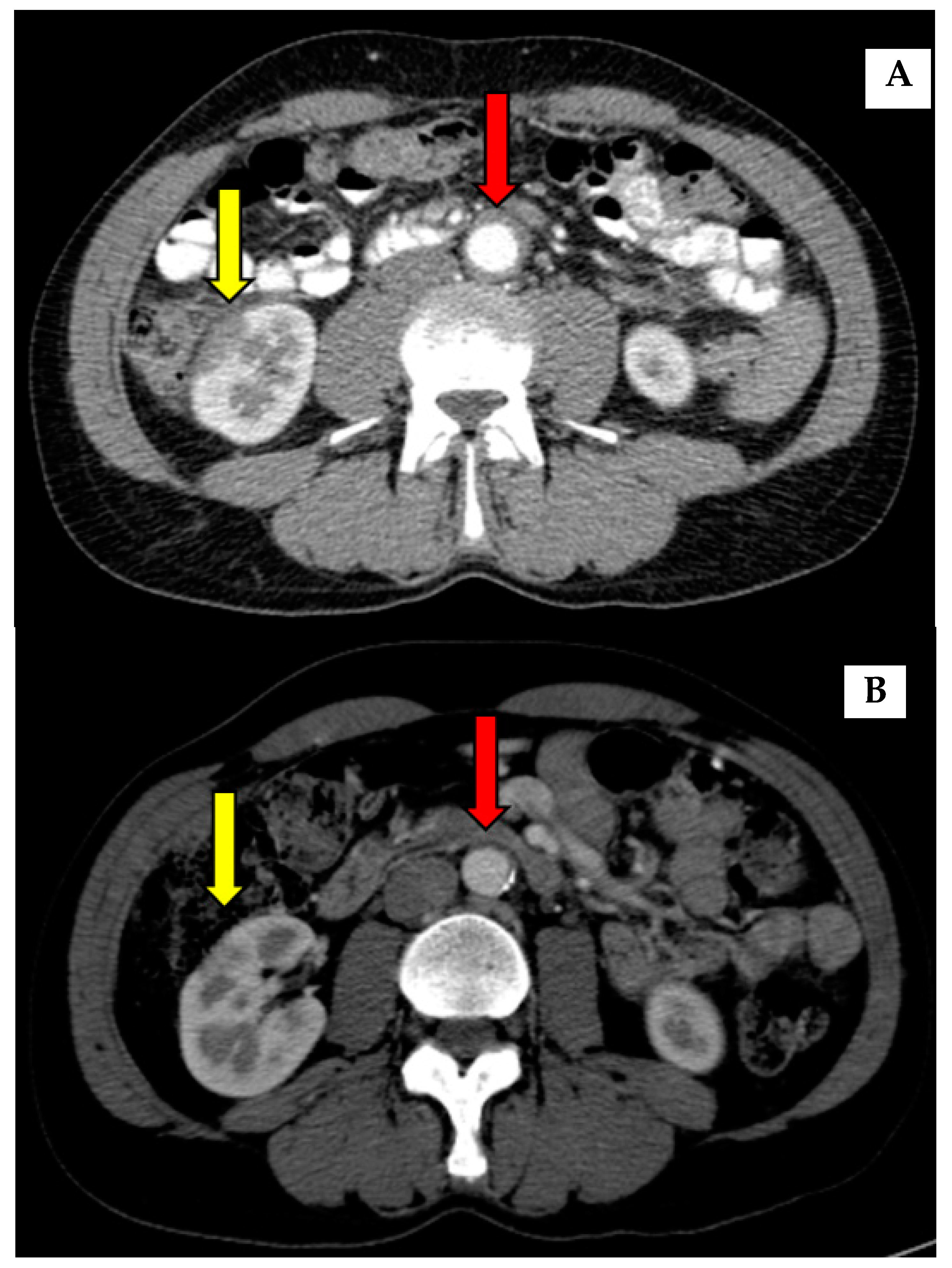
3. Results
4. Discussion
5. Conclusions
Author Contributions
Funding
Conflicts of Interest
References
- Stone, J.H.; Zen, Y.; Deshpande, V. IgG4-related disease. N. Engl. J. Med. 2012, 366, 539–551. [Google Scholar] [CrossRef] [PubMed]
- Klöppel, G.; Luttges, J.; Löhr, M.; Zamboni, G.; Longnecker, D. Autoimmune pancreatitis: Pathological, clinical, and immunological features. Pancreas 2003, 27, 14–19. [Google Scholar] [CrossRef] [PubMed]
- Shimosegawa, T.; Chari, S.T.; Frulloni, L.; Kamisawa, T.; Kawa, S.; Mino-Kenudson, M. International consensus diagnostic criteria for autoimmune pancreatitis: Guidelines of the International Association of Pancreatology. Pancreas 2011, 40, 352–358. [Google Scholar] [CrossRef] [PubMed]
- Brito-Zeron, P.; Ramos-Casals, M.; Bosch, X.; Stone, J.H. The clinical spectrum of IgG4-related disease. Autoimmun. Rev. 2014, 13, 1203–1210. [Google Scholar] [CrossRef] [PubMed]
- Vujasinovic, M.; Valente, R.; Maier, P.; von Beckerath, V.; Haas, S.L.; Arnelo, U. Diagnosis, treatment and long-term outcome of autoimmune pancreatitis in Sweden. Pancreatology 2018, 18, 900–904. [Google Scholar] [CrossRef] [PubMed]
- Frulloni, L.; Scattolini, C.; Falconi, M.; Zamboni, G.; Capelli, P.; Manfredi, R. Autoimmune pancreatitis: Differences between the focal and diffuse forms in 87 patients. Am. J. Gastroenterol. 2009, 104, 2288–2294. [Google Scholar] [CrossRef]
- Czako, L.; Gyokeres, T.; Topa, L.; Sahin, P.; Takacs, T.; Vincze, A. Autoimmune pancreatitis in Hungary: A multicenter nationwide study. Pancreatology 2011, 11, 261–267. [Google Scholar] [CrossRef]
- Church, N.I.; Pereira, S.P.; Deheragoda, M.G.; Sandanayake, N.; Amin, Z.; Lees, W.R. Autoimmune pancreatitis: Clinical and radiological features and objective response to steroid therapy in a UK series. Am. J. Gastroenterol. 2007, 102, 2417–2425. [Google Scholar] [CrossRef]
- Lopez-Serrano, A.; Crespo, J.; Pascual, I.; Salord, S.; Bolado, F.; Del-Pozo-Garcia, A.J. Diagnosis, treatment and long-term outcomes of autoimmune pancreatitis in Spain based on the International Consensus Diagnostic Criteria: A multi-centre study. Pancreatology 2016, 16, 382–390. [Google Scholar] [CrossRef]
- Mukherjee, M.; Nair, P. Autoimmune Responses in Severe Asthma. Allergy Asthma Immunol. Res. 2018, 10, 428–447. [Google Scholar] [CrossRef]
- Ryu, J.H.; Yi, E.S. Immunoglobulin G4-Related Disease and the Lung. Clin. Chest Med. 2016, 37, 569–578. [Google Scholar] [CrossRef] [PubMed]
- Zen, Y.; Nakanuma, Y. IgG4-related disease: A cross-sectional study of 114 cases. Am. J. Surg. Pathol. 2010, 34, 1812–1819. [Google Scholar] [CrossRef] [PubMed]
- Zen, Y.; Inoue, D.; Kitao, A.; Onodera, M.; Abo, H.; Miyayama, S. IgG4-related lung and pleural disease: A clinicopathologic study of 21 cases. Am. J. Surg. Pathol. 2009, 33, 1886–1893. [Google Scholar] [CrossRef] [PubMed]
- Zen, Y.; Kitagawa, S.; Minato, H.; Kurumaya, H.; Katayanagi, K.; Masuda, S. IgG4-positive plasma cells in inflammatory pseudotumor (plasma cell granuloma) of the lung. Hum. Pathol. 2005, 36, 710–717. [Google Scholar] [CrossRef] [PubMed]
- Taniguchi, T.; Ko, M.; Seko, S.; Nishida, O.; Inoue, F.; Kobayashi, H. Interstitial pneumonia associated with autoimmune pancreatitis. Gut 2004, 53, 770. [Google Scholar]
- Yamashita, K.; Haga, H.; Kobashi, Y.; Miyagawa-Hayashino, A.; Yoshizawa, A.; Manabe, T. Lung involvement in IgG4-related lymphoplasmacytic vasculitis and interstitial fibrosis: Report of 3 cases and review of the literature. Am. J. Surg. Pathol. 2008, 32, 1620–1626. [Google Scholar] [CrossRef]
- Matsui, S.; Hebisawa, A.; Sakai, F.; Yamamoto, H.; Terasaki, Y.; Kurihara, Y. Immunoglobulin G4-related lung disease: Clinicoradiological and pathological features. Respirology 2013, 18, 480–487. [Google Scholar] [CrossRef]
- Ebbo, M.; Daniel, L.; Pavic, M.; Seve, P.; Hamidou, M.; Andres, E. IgG4-related systemic disease: Features and treatment response in a french cohort: Results of a multicenter registry. Medicine (Baltimore) 2012, 91, 49–56. [Google Scholar] [CrossRef]
- Yoo, J.; Ahn, S.S.; Jung, S.M.; Song, J.J.; Park, Y.B.; Lee, S.W. No overlap between IgG4-related disease and microscopic polyangiitis and granulomatosis with polyangiitis despite elevated serum IgG4 at diagnosis: A retrospective monocentric study. Clinical. Rheumatol. 2019, 38, 1147–1154. [Google Scholar] [CrossRef]
- Ozawa, M.; Fujinaga, Y.; Asano, J.; Nakamura, A.; Watanabe, T.; Ito, T. Clinical features of IgG4-related periaortitis/periarteritis based on the analysis of 179 patients with IgG4-related disease: A case-control study. Arthritis Res. Ther. 2017, 19, 223. [Google Scholar] [CrossRef]
- Perugino, C.A.; Wallace, Z.S.; Meyersohn, N.; Oliveira, G.; Stone, J.R.; Stone, J.H. Large vessel involvement by IgG4-related disease. Medicine (Baltimore) 2016, 95, e3344. [Google Scholar] [CrossRef] [PubMed]
- Yabusaki, S.; Oyama-Manabe, N.; Manabe, O.; Hirata, K.; Kato, F.; Miyamoto, N. Characteristics of immunoglobulin G4-related aortitis/periaortitis and periarteritis on fluorodeoxyglucose positron emission tomography/computed tomography co-registered with contrast-enhanced computed tomography. EJNMMI. Res. 2017, 7, 20. [Google Scholar] [CrossRef] [PubMed]
- Inoue, D.; Yoshida, K.; Yoneda, N.; Ozaki, K.; Matsubara, T.; Nagai, K. IgG4-related disease: Dataset of 235 consecutive patients. Medicine (Baltimore) 2015, 94, e680. [Google Scholar] [CrossRef] [PubMed]
- Fernandez-Codina, A.; Martinez-Valle, F.; Pinilla, B.; Lopez, C.; DeTorres, I.; Solans-Laque, R. IgG4-related disease: Results from a multicenter spanish registry. Medicine (Baltimore) 2015, 94, e1275. [Google Scholar] [CrossRef]
- Mukherjee, M.; Svenningsen, S.; Nair, P. Glucocortiosteroid subsensitivity and asthma severity. Curr. Opin. Pulm. Med. 2017, 23, 78–88. [Google Scholar] [CrossRef]
- Ito, S.; Ko, S.B.; Morioka, M.; Imaizumi, K.; Kondo, M.; Mizuno, N. Three cases of bronchial asthma preceding IgG4-related autoimmune pancreatitis. Allergol. Int. 2012, 61, 171–174. [Google Scholar] [CrossRef]
- Hemminki, K.; Li, X.; Sundquist, J.; Sundquist, K. Subsequent autoimmune or related disease in asthma patients: Clustering of diseases or medical care? Ann. Epidemiol. 2010, 20, 217–222. [Google Scholar] [CrossRef]
- Wenniger, L.J.; Culver, E.L.; Beuers, U. Exposure to occupational antigens might predispose to IgG4-related disease. Hepatology 2014, 60, 1453–1454. [Google Scholar] [CrossRef]



| Parameter | AIP with Vascular/Lung Involvement | AIP without Vascular/Lung Involvement | p |
|---|---|---|---|
| Number (%) | 17 (13.4%) | 110 (86.1%) | |
| AIP type | 0.457 | ||
| Type 1 | 15 (88.2%) | 83 (75.4%) | |
| Type 2 | 1 (5.9%) | 19 (17.3%) | |
| Not otherwise specified | 1 (5.9%) | 8 (7.3%) | |
| Gender | 0.960 | ||
| Female | 7 (41.2%) | 46 (41.8%) | |
| Male | 10 (58.8%) | 64 (58.2%) | |
| Age * | 59.76 ± 16.36 | 51.00 ± 19.58 | 0.083 |
| Follow-up ** (months) | 60.43 ± 52.60 | 45.88 ± 44.51 | 0.223 |
| N | Gender | Age | Type of AIP | Onset and Type of Lung Involvement | Treatment | Smoking Status |
|---|---|---|---|---|---|---|
| 1 | female | 53 | Type 1 | 1 year after AIP diagnosis: “ground-glass” appearance; relapse after 12 years of AIP diagnosis with pleura thickening and mediastinal lymph nodes enlargement | No treatment | Former (13 PY) |
| 2 * | male | 66 | Type 1 | 4 years after AIP diagnosis: non-specific infiltrates in both lung lobes | Azathioprine and CST 10 mg | Never |
| 3 * | male | 66 | Type 1 | 9 months after AIP diagnosis: nodular lesions in lungs | Rituximab and CST 2.5 mg | Never |
| 4 * | female | 65 | Type 1 | 2 months after AIP diagnosis: nodular lesions in lungs | Rituximab | Never |
| 5 * | male | 85 | Type 1 | At the time of AIP diagnosis: non-specific infiltrates in both lung lobes | Previously treated with CST, currently no treatment | Former (10 PY) |
| 6 * | female | 24 | Type 1 | At the time of AIP diagnosis: infiltrates in both lung lobes with pleural effusion | Previously treated with CST, currently no treatment | Never |
| 7 * | male | 50 | Type 1 | 5 years before AIP diagnosis: Churg Strauss syndrome, lung infiltrates, patients also had Erdheim Chester disease and hyper eosinophilic syndrome | Rituximab | Never |
| 8 | female | 73 | Type 1 | 5 months after AIP diagnosis: nodular lesions in lungs | Previously treated with CST, currently no treatment | Never |
| 9 | female | 39 | Type 1 | At the time of AIP diagnosis: lesions in lungs and pleural effusion | No treatment | Former (2 PY) |
| 10 | female | 60 | Type 1 | 3 years after AIP diagnosis: “ground-glass” appearance and pleura thickening | Previously treated with CST, currently no treatment | Former (10 PY) |
| 11 | male | 69 | Type 1 | 5 years after AIP diagnosis: nodular lesions in lungs | Previously treated with CST, currently no treatment | Never |
| N | Gender | Age | Type of AIP | Onset and Type of Vasculitis | Treatment | Smoking Status |
|---|---|---|---|---|---|---|
| 1 | male | 75 | Type 1 | 4 years after AIP diagnosis: asymmetric thickening of aorta wall (up till 5 mm) in infrarenal part of aorta | Rituximab and CST 10 mg | Former (30 PY) |
| 2 * | male | 66 | Type 1 | 4 years after AIP diagnosis: thickening of aorta wall over the bifurcation | Azathioprine and CST 10 mg | Never |
| 3 | male | 57 | Type 1 | At the time of AIP diagnosis: circumferential thickening of aorta wall | Rituximab | Never |
| 4 * | male | 66 | Type 1 | GPA 9 months after AIP: diagnosis with lung and bowel involvement | Rituximab and CST 2.5 mg | Never |
| 5 * | female | 65 | Type 1 | GPA 2 months after AIP: diagnosis with lung involvement | Rituximab | Never |
| 6 | male | 65 | Type 1 | 1 year after AIP diagnosis: mild thickening in infrarenal part of aorta | No treatment so far | Never |
| 7 | male | 68 | Type 1 | 3 months after AIP diagnosis: vasculitis in form of skin changes | Previously treated with CST and now hematologic treatment with lenalidomide (multiple myeloma) | Former (8 PY) |
| 8 * | male | 85 | Type 1 | At the time of AIP diagnosis: imaging signs of periaortitis | Previously treated with CST, currently no treatment | Former (10 PY) |
| 9 * | female | 24 | Type 1 | At the time of AIP diagnosis: eosinophilic myocarditis | Previously with CST, currently no treatment | Never |
| 10 * | male | 50 | Type 1 | 5 years before AIP diagnosis: Churg Strauss syndrome, pericarditis and eosinophilic myocarditis, patients also had Erdheim Chester disease and hyper eosinophilic syndrome | Rituximab | Never |
| Author | Year | Country | Patients | Age/ Gender | Vascular Involvement |
|---|---|---|---|---|---|
| Ozawa [20] | 2017 | Japan | 179 patients with IgG4-RD | 67 years/ 73.2% male | Periaortitis/periarteritis: 36.3% |
| Perugino [21] | 2015 | USA | 160 patients with IgG4-RD | 54.6 years/ 78% male | Large-vessel involvement: 22.5% |
| Yabusaki [22] | 2017 | Japan | 37 patients with IgG4-RD | 68 years/ 64.9% male | Aortitis: 41% |
| Inoue [23] | 2015 | Japan (8 centres) | 235 patients with IgG4-RD | 67 years/ 80.4% male | Aorta involvement: 8.5% |
| Brito-Zeron [4] | 2014 | Review (North America, Europe and Asia) | 3482 reported cases of IgG4-RD | Not reported | Aortic involvement: 35/375 (9%) in systemic series 5/313 (2%) in pancreatobiliary series 36/268 (13%) in other series |
| Presenting study | 2019 | Sweden | 98 patients with autoimmune pancreatitis type 1 | 55.4 years/ 60.9% male | 10.2% |
| Author | Year | Country | Patients | Age/ Gender | Lung Involvement |
|---|---|---|---|---|---|
| Wallace | 2015 | USA | 125 patients with IgG4-RD | 50.3 years/ 61% male | 17.6% |
| Zen [12] | 2010 | Japan | 114 patients with IgG4-RD | 65 years/ 76.3% male | 9.6% |
| Brito-Zeron [4] | 2014 | Review (North America, Europe and Asia) | 3482 reported cases of IgG4-RD | Not reported | 75/620 (12%) in systemic series 18/237 (8%) in glandular series 6/313 (2%) in pancreatobiliary series 75/253 (30%) in other series |
| Fernandez-Codina [24] | 2015 | Spain (14 centres) | 55 patients with IgG4-RD | 53 years/ 69.1% male | 9% |
| Inoue [23] | 2015 | Japan (8 centres) | 235 patients with IgG4-RD | 67 years/ 80.4% male | 5.5% |
| Ogoshi | 2015 | Japan | 35 patients with autoimmune pancreatitis | 67 years/ 68.6% male | 40% |
| Presenting study | 2019 | Sweden | 98 patients with autoimmune pancreatitis type 1 | 55.4 years/ 60.9% male | 11.2% |
© 2020 by the authors. Licensee MDPI, Basel, Switzerland. This article is an open access article distributed under the terms and conditions of the Creative Commons Attribution (CC BY) license (http://creativecommons.org/licenses/by/4.0/).
Share and Cite
Nikolic, S.; Brehmer, K.; Panic, N.; Valente, R.; Löhr, J.-M.; Vujasinovic, M. Cardiovascular and Lung Involvement in Patients with Autoimmune Pancreatitis. J. Clin. Med. 2020, 9, 409. https://doi.org/10.3390/jcm9020409
Nikolic S, Brehmer K, Panic N, Valente R, Löhr J-M, Vujasinovic M. Cardiovascular and Lung Involvement in Patients with Autoimmune Pancreatitis. Journal of Clinical Medicine. 2020; 9(2):409. https://doi.org/10.3390/jcm9020409
Chicago/Turabian StyleNikolic, Sara, Katharina Brehmer, Nikola Panic, Roberto Valente, J.-Matthias Löhr, and Miroslav Vujasinovic. 2020. "Cardiovascular and Lung Involvement in Patients with Autoimmune Pancreatitis" Journal of Clinical Medicine 9, no. 2: 409. https://doi.org/10.3390/jcm9020409
APA StyleNikolic, S., Brehmer, K., Panic, N., Valente, R., Löhr, J.-M., & Vujasinovic, M. (2020). Cardiovascular and Lung Involvement in Patients with Autoimmune Pancreatitis. Journal of Clinical Medicine, 9(2), 409. https://doi.org/10.3390/jcm9020409

