Quality Assessment of CEUS in Individuals with Small Renal Masses—Which Individual Factors Are Associated with High Image Quality?
Abstract
1. Introduction
2. Materials and Methods
2.1. Study Population
2.2. CEUS Examination
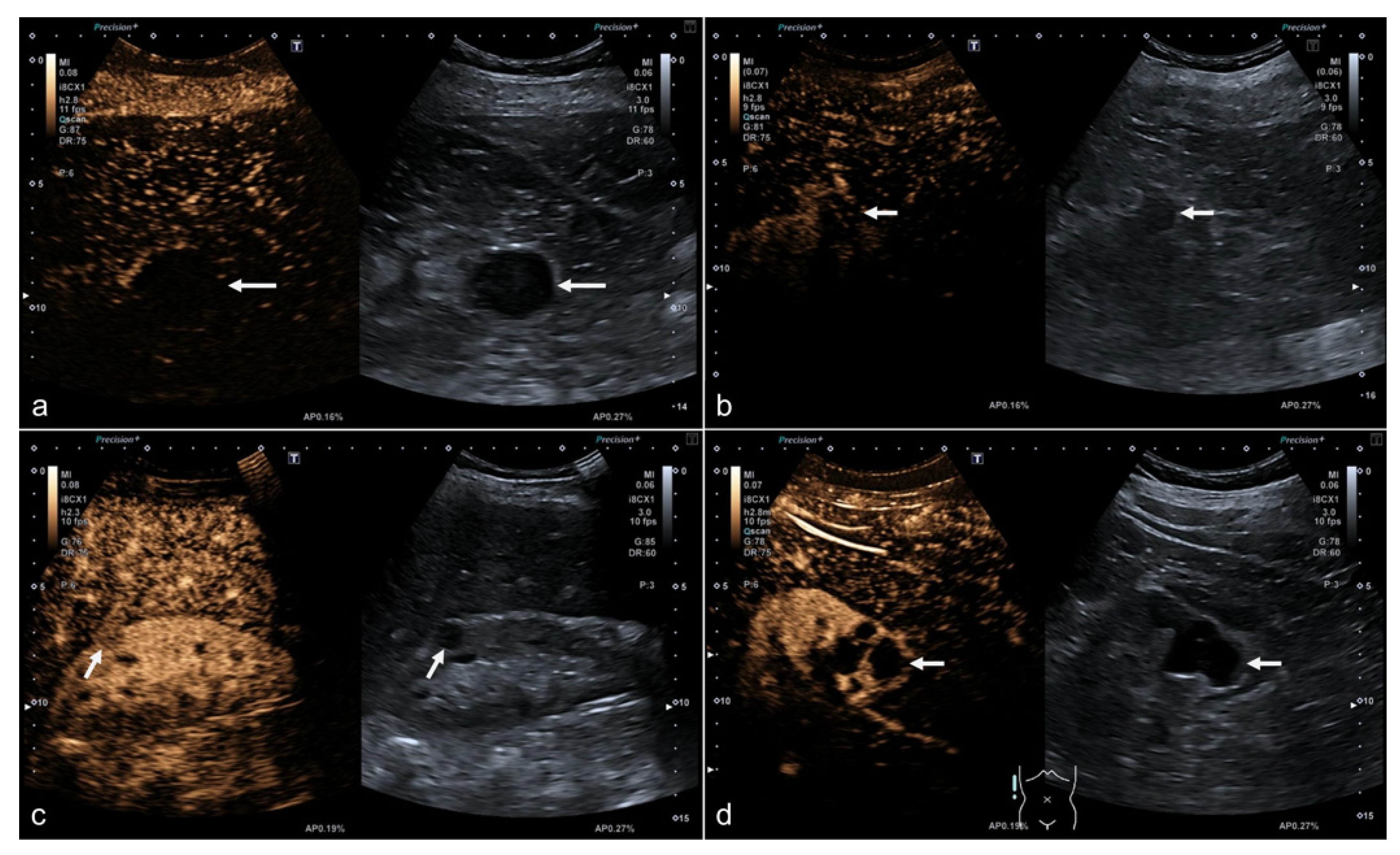
2.3. Assessment of Image Quality
2.4. Statistical Analysis
3. Results
3.1. Study Population
3.2. Assessment of Image Quality
3.3. Post Hoc Tests
3.4. ROC Analysis
3.5. Combined ROC Analysis
4. Discussion
4.1. Limitations
4.2. Conclusions
Author Contributions
Funding
Acknowledgments
Conflicts of Interest
Abbreviations
| ANOVA | analysis of variance |
| AUC | area under the curve |
| BMI | body mass index |
| CEUS | contrast-enhanced ultrasound |
| ceCT | contrast-enhanced computed tomography |
| ceMRI | contrast-enhanced magnetic resonance imaging |
| CI | confidence interval |
| IQR | interquartile range |
| ROC | receiver operating characteristics |
| SRM | small renal mass |
| US | ultrasound |
References
- Gill, I.S.; Aron, M.; Gervais, D.A.; Jewett, M.A.S. Clinical practice. Small renal mass. N. Engl. J. Med. 2010, 362, 624–634. [Google Scholar] [CrossRef]
- Hara, A.K.; Johnson, C.D.; MacCarty, R.L.; Welch, T.J. Incidental extracolonic findings at CT colonography. Radiology 2000, 215, 353–357. [Google Scholar] [CrossRef]
- Tada, S.; Yamagishi, J.; Kobayashi, H.; Hata, Y.; Kobari, T. The incidence of simple renal cyst by computed tomography. Clin. Radiol. 1983, 34, 437–439. [Google Scholar] [CrossRef]
- Turner, R.M., 2nd; Morgan, T.M.; Jacobs, B.L. Epidemiology of the Small Renal Mass and the Treatment Disconnect Phenomenon. Urol. Clin. N. Am. 2017, 44, 147–154. [Google Scholar] [CrossRef] [PubMed]
- Hollingsworth, J.M.; Miller, D.C.; Daignault, S.; Hollenbeck, B.K. Rising incidence of small renal masses: A need to reassess treatment effect. J. Natl. Cancer Inst. 2006, 98, 1331–1334. [Google Scholar] [CrossRef] [PubMed]
- Patel, H.D.; Semerjian, A.; Gupta, M.; Pavlovich, C.P.; Johnson, M.H.; Gorin, M.A.; Allaf, M.E.; Pierorazio, P.M. Surgical removal of renal tumors with low metastatic potential based on clinical radiographic size: A systematic review of the literature. Urol. Oncol. 2019, 37, 519–524. [Google Scholar] [CrossRef] [PubMed]
- Kutikov, A.; Fossett, L.K.; Ramchandani, P.; Tomaszewski, J.E.; Siegelman, E.S.; Banner, M.P.; Van Arsdalen, K.N.; Wein, A.J.; Malkowicz, S.B. Incidence of benign pathologic findings at partial nephrectomy for solitary renal mass presumed to be renal cell carcinoma on preoperative imaging. Urology 2006, 68, 737–740. [Google Scholar] [CrossRef] [PubMed]
- Frank, I.; Blute, M.L.; Cheville, J.C.; Lohse, C.M.; Weaver, A.L.; Zincke, H. Solid renal tumors: An analysis of pathological features related to tumor size. J. Urol. 2003, 170, 2217–2220. [Google Scholar] [CrossRef]
- Vogel, C.; Ziegelmuller, B.; Ljungberg, B.; Bensalah, K.; Bex, A.; Canfield, S.; Giles, R.H.; Hora, M.; Kuczyk, M.A.; Merseburger, A.S.; et al. Imaging in Suspected Renal-Cell Carcinoma: Systematic Review. Clin. Genitourin. Cancer 2019, 17, e345–e355. [Google Scholar] [CrossRef]
- Rossi, S.H.; Prezzi, D.; Kelly-Morland, C.; Goh, V. Imaging for the diagnosis and response assessment of renal tumours. World J. Urol. 2018, 36, 1927–1942. [Google Scholar] [CrossRef]
- Putz, F.J.; Verloh, N.; Erlmeier, A.; Schelker, R.C.; Schreyer, A.G.; Hautmann, M.G.; Stroszczynski, C.; Banas, B.; Jung, E.M. Influence of limited examination conditions on contrast-enhanced sonography for characterising liver lesions. Clin. Hemorheol. Microcirc. 2019, 71, 267–276. [Google Scholar] [CrossRef] [PubMed]
- Sidhu, P.S.; Cantisani, V.; Dietrich, C.F.; Gilja, O.H.; Saftoiu, A.; Bartels, E.; Bertolotto, M.; Calliada, F.; Clevert, D.-A.D.-A.; Cosgrove, D.; et al. The EFSUMB Guidelines and Recommendations for the Clinical Practice of Contrast-Enhanced Ultrasound (CEUS) in Non-Hepatic Applications: Update 2017 (Long Version). Ultraschall Med. 2018, 39, e2–e44. [Google Scholar] [CrossRef] [PubMed]
- Fetzer, D.T.; Rafailidis, V.; Peterson, C.; Grant, E.G.; Sidhu, P.; Barr, R.G. Artifacts in contrast-enhanced ultrasound: A pictorial essay. Abdom. Radiol. 2018, 43, 977–997. [Google Scholar] [CrossRef] [PubMed]
- Dietrich, C.F.; Ignee, A.; Greis, C.; Cui, X.W.; Schreiber-Dietrich, D.G.; Hocke, M. Artifacts and pitfalls in contrast-enhanced ultrasound of the liver. Ultraschall Med. 2014, 35, 107–108. [Google Scholar] [CrossRef] [PubMed]
- Piscaglia, F.; Bolondi, L. The safety of Sonovue in abdominal applications: Retrospective analysis of 23188 investigations. Ultrasound Med. Biol. 2006, 32, 1369–1375. [Google Scholar] [CrossRef]
- Schwarze, V.; Marschner, C.; Negrão de Figueiredo, G.; Rübenthaler, J.; Clevert, D.-A. Single-Center Study: Evaluating the Diagnostic Performance and Safety of Contrast-Enhanced Ultrasound (CEUS) in Pregnant Women to Assess Hepatic Lesions. Ultraschall Med. 2020, 41, 29–35. [Google Scholar] [CrossRef]
- Olson, M.C.; Abel, E.J.; Mankowski Gettle, L. Contrast-Enhanced Ultrasound in Renal Imaging and Intervention. Curr. Urol. Rep. 2019, 20, 73. [Google Scholar] [CrossRef]
- Harvey, C.J.; Alsafi, A.; Kuzmich, S.; Ngo, A.; Papadopoulou, I.; Lakhani, A.; Berkowitz, Y.; Moser, S.; Sidhu, P.S.; Cosgrove, D.O. Role of US Contrast Agents in the Assessment of Indeterminate Solid and Cystic Lesions in Native and Transplant Kidneys. Radiographics 2015, 35, 1419–1430. [Google Scholar] [CrossRef]
- Park, B.K.; Kim, B.; Kim, S.H.; Ko, K.; Lee, H.M.; Choi, H.Y. Assessment of cystic renal masses based on Bosniak classification: Comparison of CT and contrast-enhanced US. Eur. J. Radiol. 2007, 61, 310–314. [Google Scholar] [CrossRef]
- Thorpe, S.; Salkovskis, P.M.; Dittner, A. Claustrophobia in MRI: The role of cognitions. Magn. Reson. Imaging 2008, 26, 1081–1088. [Google Scholar] [CrossRef]
- Gulani, V.; Calamante, F.; Shellock, F.G.; Kanal, E.; Reeder, S.B. Gadolinium deposition in the brain: Summary of evidence and recommendations. Lancet. Neurol. 2017, 16, 564–570. [Google Scholar] [CrossRef]
- Kahn, J.; Posch, H.; Steffen, I.G.; Geisel, D.; Bauknecht, C.; Liebig, T.; Denecke, T. Is There Long-term Signal Intensity Increase in the Central Nervous System on T1-weighted Images after MR Imaging with the Hepatospecific Contrast Agent Gadoxetic Acid? A Cross-sectional Study in 91 Patients. Radiology 2017, 282, 708–716. [Google Scholar] [CrossRef] [PubMed]
- van der Molen, A.J.; Reimer, P.; Dekkers, I.A.; Bongartz, G.; Bellin, M.-F.; Bertolotto, M.; Clement, O.; Heinz-Peer, G.; Stacul, F.; Webb, J.A.W.; et al. Post-contrast acute kidney injury-Part 1: Definition, clinical features, incidence, role of contrast medium and risk factors: Recommendations for updated ESUR Contrast Medium Safety Committee guidelines. Eur. Radiol. 2018, 28, 2845–2855. [Google Scholar] [CrossRef] [PubMed]
- Moos, S.I.; van Vemde, D.N.H.; Stoker, J.; Bipat, S. Contrast induced nephropathy in patients undergoing intravenous (IV) contrast enhanced computed tomography (CECT) and the relationship with risk factors: A meta-analysis. Eur. J. Radiol. 2013, 82, e387–e399. [Google Scholar] [CrossRef]
- Kooiman, J.; Pasha, S.M.; Zondag, W.; Sijpkens, Y.W.J.; van der Molen, A.J.; Huisman, M.V.; Dekkers, O.M. Meta-analysis: Serum creatinine changes following contrast enhanced CT imaging. Eur. J. Radiol. 2012, 81, 2554–2561. [Google Scholar] [CrossRef]
- Silverman, S.G.; Pedrosa, I.; Ellis, J.H.; Hindman, N.M.; Schieda, N.; Smith, A.D.; Remer, E.M.; Shinagare, A.B.; Curci, N.E.; Raman, S.S.; et al. Bosniak Classification of Cystic Renal Masses, Version 2019: An Update Proposal and Needs Assessment. Radiology 2019, 292, 475–488. [Google Scholar] [CrossRef]
- Rogosnitzky, M.; Branch, S. Gadolinium-based contrast agent toxicity: A review of known and proposed mechanisms. Biometals 2016, 29, 365–376. [Google Scholar] [CrossRef]



| Variable | Value |
|---|---|
| Characteristics of the patients | |
| Age [years] | 62 (52–75) |
| Female sex | 43/143 (30.1%) |
| Characteristics of the kidney | |
| Kidney depth [mm] | 48 (39–62) |
| Shrunken kidney | 37/143 (25.9%) |
| Reduced cortical thickness | 40/143 (28.0%) |
| Characteristics of the lesion | |
| Cystic | 112/143 (78.3%) |
| Solid | 31/143 (21.7%) |
| Depth of renal lesion [mm] | 61 (46–74) |
| Largest lesion diameter [mm] | 20 (14–26) |
| Left side | 72/143 (50.3%) |
| Right side | 71/143 (49.7%) |
| Upper third | 45/143 (31.5%) |
| Middle third | 65/143 (45.5%) |
| Lower third | 33/143 (23.1%) |
| Exophytic lesion growth | 60/143 (42.0%) |
| Variable | Focal Quality | Overall Quality | ||
|---|---|---|---|---|
| Nonparametric test | ANOVA | Nonparametric test | ANOVA | |
| Age | 0.750 2 | 0.809 | 0.387 2 | 0.460 |
| Sex | 0.290 1 | 0.296 | 0.426 1 | 0.434 |
| Entity 3 | 0.433 1 | 0.441 | 0.134 1 | 0.135 |
| Reduced parenchymal thickness | 0.807 1 | 0.814 | 0.275 1 | 0.280 |
| Shrunken kidney | <0.001 1 | <0.001 | <0.001 1 | <0.001 |
| Kidney depth | <0.001 2 | <0.001 | <0.001 2 | <0.001 |
| Lesion depth | <0.001 2 | <0.001 | <0.001 2 | <0.001 |
| Lesion size | 0.006 2 | 0.004 | 0.385 2 | 0.494 |
| Exophytic lesion growth | 0.043 1 | 0.042 | 0.021 1 | 0.020 |
| Side | 0.321 1 | 0.328 | 0.923 1 | 0.926 |
| Intrarenal third | 0.064 1 | 0.040 | 0.156 1 | 0.211 |
| Variable | Focal Quality | Overall Quality | ||||
|---|---|---|---|---|---|---|
| AUC | Asymptotic significance | Asymptotic 95%-CI | AUC | Asymptotic significance | Asymptotic 95%-CI | |
| Shrunken kidney | 0.684 | <0.001 | 0.593–0.776 | 0.748 | <0.001 | 0.664–0.832 |
| Kidney depth | 0.744 | <0.001 | 0.661–0.827 | 0.776 | <0.001 | 0.696–0.856 |
| Lesion depth | 0.800 | <0.001 | 0.727–0.873 | 0.695 | <0.001 | 0.609–0.781 |
| Lesion size | 0.625 | 0.011 | 0.534–0.715 | – | – | – |
| Exophytic lesion growth | 0.614 | 0.020 | 0.521–0.707 | 0.502 | 0.049 | 0.406–0.597 |
| No. | Combined Variables | ROC Analysis | ||||||
|---|---|---|---|---|---|---|---|---|
| Shrunken kidney | Kidney depth | Lesion depth | Lesion size | Exophytic lesion growth | AUC | Asymptotic significance | Asymptotic 95%-CI | |
| 1 | X | X | 0.812 | <0.001 | 0.741–0.883 | |||
| 2 | X | X | X | 0.863 | <0.001 | 0.805–0.921 | ||
| 3 | X | X | 0.773 | <0.001 | 0.697–0.850 | |||
| 4 | X | X | X | 0.843 | <0.001 | 0.777–0.909 | ||
| 5 | X | X | 0.834 | <0.001 | 0.767–0.902 | |||
| 6 | X | X | X | 0.893 | <0.001 | 0.841–0.945 | ||
| 7 | X | X | X | X | 0.851 | <0.001 | 0.787–0.915 | |
| 8 | X | X | X | X | 0.870 | <0.001 | 0.812–0.928 | |
| 9 | X | X | X | X | 0.910 | <0.001 | 0.863–0.958 | |
| 10 | X | X | X | X | X | 0.910 | <0.001 | 0.863–0.957 |
| 11 | X | X | X | 0.842 | <0.001 | 0.777–0.907 | ||
Publisher’s Note: MDPI stays neutral with regard to jurisdictional claims in published maps and institutional affiliations. |
© 2020 by the authors. Licensee MDPI, Basel, Switzerland. This article is an open access article distributed under the terms and conditions of the Creative Commons Attribution (CC BY) license (http://creativecommons.org/licenses/by/4.0/).
Share and Cite
Spiesecke, P.; Fischer, T.; Friedersdorff, F.; Hamm, B.; Lerchbaumer, M.H. Quality Assessment of CEUS in Individuals with Small Renal Masses—Which Individual Factors Are Associated with High Image Quality? J. Clin. Med. 2020, 9, 4081. https://doi.org/10.3390/jcm9124081
Spiesecke P, Fischer T, Friedersdorff F, Hamm B, Lerchbaumer MH. Quality Assessment of CEUS in Individuals with Small Renal Masses—Which Individual Factors Are Associated with High Image Quality? Journal of Clinical Medicine. 2020; 9(12):4081. https://doi.org/10.3390/jcm9124081
Chicago/Turabian StyleSpiesecke, Paul, Thomas Fischer, Frank Friedersdorff, Bernd Hamm, and Markus Herbert Lerchbaumer. 2020. "Quality Assessment of CEUS in Individuals with Small Renal Masses—Which Individual Factors Are Associated with High Image Quality?" Journal of Clinical Medicine 9, no. 12: 4081. https://doi.org/10.3390/jcm9124081
APA StyleSpiesecke, P., Fischer, T., Friedersdorff, F., Hamm, B., & Lerchbaumer, M. H. (2020). Quality Assessment of CEUS in Individuals with Small Renal Masses—Which Individual Factors Are Associated with High Image Quality? Journal of Clinical Medicine, 9(12), 4081. https://doi.org/10.3390/jcm9124081

