First Successful Delivery after Uterus Transplantation in MHC-Defined Cynomolgus Macaques
Abstract
1. Introduction
2. Materials and Methods
2.1. Animals
2.2. MHC Typing
2.3. Uterus Transplantation
2.4. Immunosuppressive Management
2.5. Flow Cytometry
2.6. Mixed Lymphocyte Reaction (MLR)
2.7. Donor-Specific Antibody
2.8. Postoperative Observation
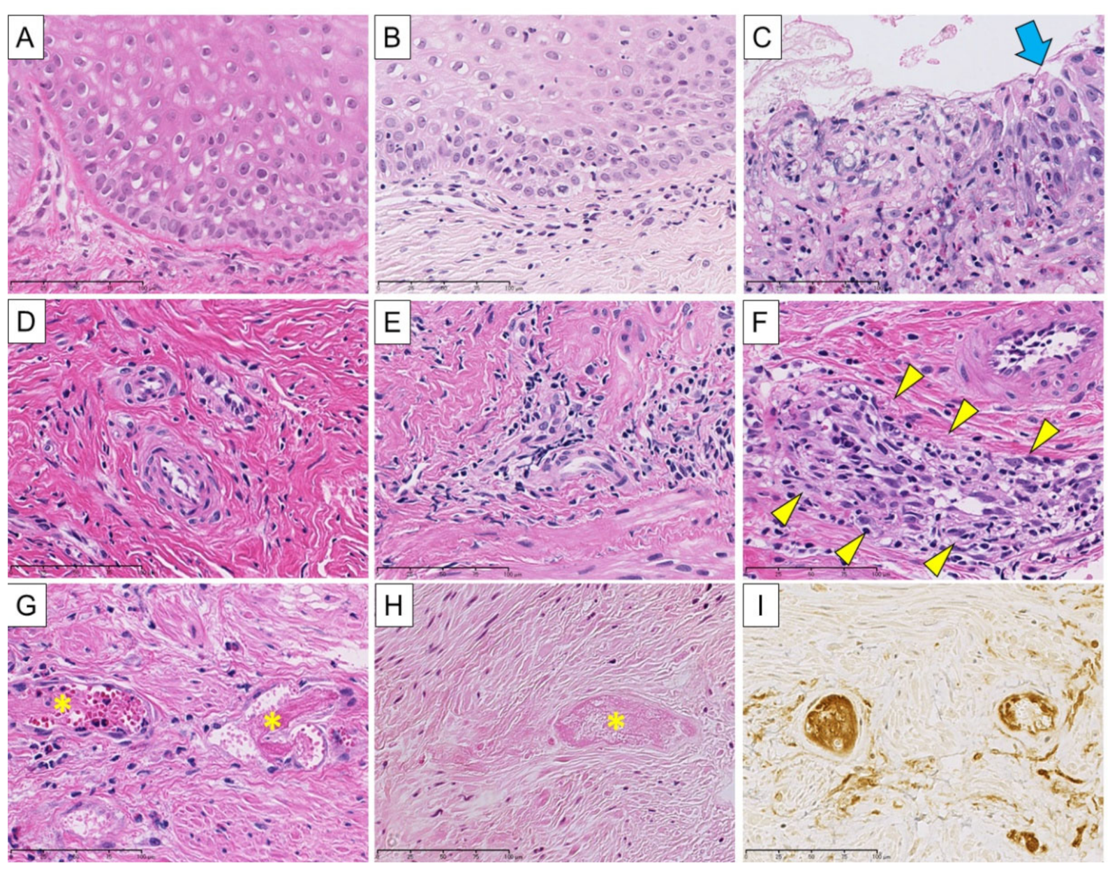
2.9. Histological Evaluation and Rejection Criteria
2.10. Intracytoplasmic Sperm Injection and Embryo Transfer
3. Results
3.1. Surgical Outcomes of Uterus Transplantation
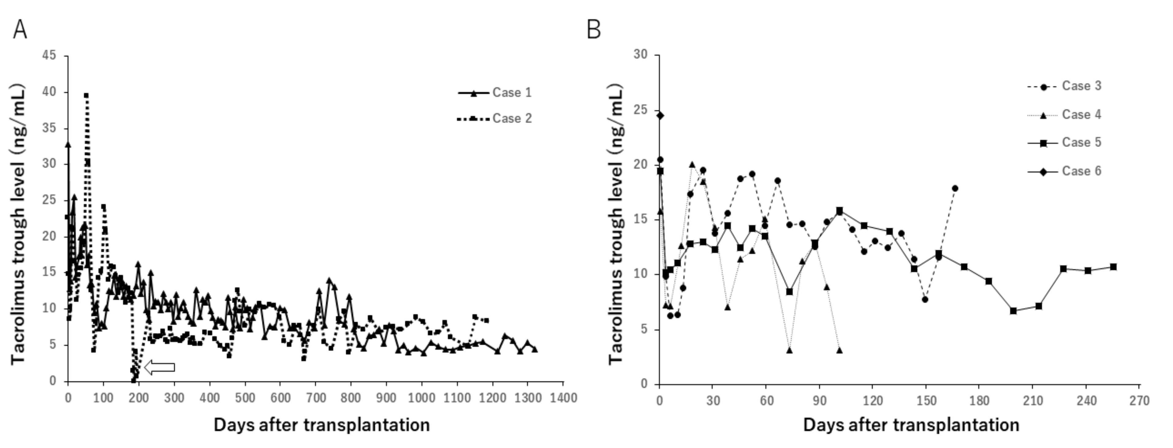
3.2. Changes of Trough Levels of Immunosuppressants
3.3. Rejection Episodes and Immunosuppressive Treatment
3.4. Post-Transplant Lymphoproliferative Disorder
3.5. Immunological Studies
3.5.1. Changes in Peripheral Lymphocyte Counts
3.5.2. DSA
3.5.3. MLR
3.6. Pregnancy and Delivery
4. Discussion
5. Conclusions
Supplementary Materials
Author Contributions
Funding
Conflicts of Interest
References
- Brännström, M.; Johannesson, L.; Bokström, H.; Kvarnström, N.; Mölne, J.; Dahm-Kähler, P.; Enskog, A.; Milenkovic, M.; Ekberg, J.; Diaz-Garcia, C.; et al. Livebirth after uterus transplantation. Lancet 2015, 385, 607–616. [Google Scholar] [CrossRef]
- Kisu, I.; Banno, K.; Mihara, M.; Suganuma, N.; Aoki, D. Current status of uterus transplantation in primates and issues for clinical application. Fertil. Steril. 2013, 100, 280–294. [Google Scholar] [CrossRef] [PubMed]
- Brännström, M. Uterus transplantation and beyond. J. Mater. Sci. Mater. Med. 2017, 28, 70. [Google Scholar] [CrossRef] [PubMed]
- Fageeh, W.; Raffa, H.; Jabbad, H.; Marzouki, A. Transplantation of the human uterus. Int. J. Gynecol. Obstet. 2002, 76, 245–251. [Google Scholar] [CrossRef]
- Enskog, A.; Johannesson, L.; Chai, D.C.; Dahm-Kahler, P.; Marcickiewicz, J.; Nyachieo, A.; Mwenda, J.M.; Brannstrom, M. Uterus transplantation in the baboon: Methodology and long-term function after auto-transplantation. Hum. Reprod. 2010, 25, 1980–1987. [Google Scholar] [CrossRef]
- Johannesson, L.; Enskog, A.; Dahm-Kahler, P.; Hanafy, A.; Chai, D.C.; Mwenda, J.M.; Diaz-Garcia, C.; Olausson, M.; Brannstrom, M. Uterus transplantation in a non-human primate: Long-term follow-up after autologous transplantation. Hum. Reprod. 2012, 27, 1640–1648. [Google Scholar] [CrossRef]
- Johannesson, L.; Enskog, A.; Molne, J.; Diaz-Garcia, C.; Hanafy, A.; Dahm-Kahler, P.; Tekin, A.; Tryphonopoulos, P.; Morales, P.; Rivas, K.; et al. Preclinical report on allogeneic uterus transplantation in non-human primates. Hum. Reprod. 2012, 28, 189–198. [Google Scholar] [CrossRef]
- Tryphonopoulos, P.; Tzakis, A.G.; Tekin, A.; Johannesson, L.; Rivas, K.; Morales, P.R.; Wagner, J.; Mölne, J.; Enskog, A.; Diaz-Garcia, C.; et al. Allogeneic Uterus Transplantation in Baboons. Transplantation 2014, 98, e51–e56. [Google Scholar] [CrossRef]
- Shockley, M.; Arnolds, K.; Beran, B.; Rivas, K.; Escobar, P.; Tzakis, A.; Falcone, T.; Sprague, M.L.; Zimberg, S. Uterine viability in the baboon after ligation of uterine vasculature: A pilot study to assess alternative perfusion and venous return for uterine transplantation. Fertil. Steril. 2017, 107, 1078–1082. [Google Scholar] [CrossRef][Green Version]
- Beran, B.; Arnolds, K.; Shockley, M.; Rivas, K.; Medina, M.; Escobar, P.F.; Tzakis, A.; Falcone, T.; Sprague, M.L.; Zimberg, S. Livebirth and utero-placental insufficiency in Papio hamadryas baboons with uterus angiosome perfused by bilateral utero-ovarian microsurgical anastomoses alone. Hum. Reprod. 2017, 32, 1819–1826. [Google Scholar] [CrossRef]
- Del Priore, G.; Schlatt, S.; Malanowska-Stega, J. Uterus transplant techniques in primates: 10 years’ experience. Exp. Clin. Transplant. 2008, 6, 87–94. [Google Scholar] [PubMed]
- Kisu, I.; Banno, K.; Matoba, Y.; Adachi, M.; Aoki, D. Basic research on uterus transplantation in nonhuman primates in Japan. J. Obstet. Gynaecol. Res. 2018, 44, 1871–1881. [Google Scholar] [CrossRef] [PubMed]
- Kisu, I.; Liu, Y.; Chen, G.; Song, M.J.; Chang, C.Y.-Y.; Koon, T.H.; Banno, K.; Aoki, D. Current Progress in Uterus Transplantation Research in Asia. J. Clin. Med. 2019, 8, 245. [Google Scholar] [CrossRef] [PubMed]
- Kisu, I.; Ishigaki, H.; Emoto, K.; Kato, Y.; Yamada, Y.; Matsubara, K.; Obara, H.; Masugi, Y.; Matoba, Y.; Adachi, M.; et al. Long-Term Outcome and Rejection After Allogeneic Uterus Transplantation in Cynomolgus Macaques. J. Clin. Med. 2019, 8, 1572. [Google Scholar] [CrossRef] [PubMed]
- Díaz-García, C.; Johannesson, L.; Shao, R.; Bilig, H.; Brännström, M. Pregnancy after allogeneic uterus transplantation in the rat: Perinatal outcome and growth trajectory. Fertil. Steril. 2014, 102, 1545–1552. [Google Scholar] [CrossRef]
- Ramirez, E.; Nessetti, D.K.R.; Nessetti, M.B.; Khatamee, M.; Wolfson, M.R.; Shaffer, T.H.; Ramirez, V.Z.; Ramirez, H.A. Pregnancy and Outcome of Uterine Allotransplantation and Assisted Reproduction in Sheep. J. Minim. Invasive Gynecol. 2011, 18, 238–245. [Google Scholar] [CrossRef]
- Shiina, T.; Blancher, A. The Cynomolgus Macaque MHC Polymorphism in Experimental Medicine. Cells 2019, 8, 978. [Google Scholar] [CrossRef]
- Mihara, M.; Kisu, I.; Hara, H.; Iida, T.; Araki, J.; Shim, T.; Narushima, M.; Yamamoto, T.; Moriguchi, H.; Kato, Y.; et al. Uterine autotransplantation in cynomolgus macaques: The first case of pregnancy and delivery. Hum. Reprod. 2012, 27, 2332–2340. [Google Scholar] [CrossRef]
- Sheldon, S.; Poulton, K.; Philip, H.; Marlene, R. HLA Typing and Its Influence on Organ Transplantation. Transplant. Immunol. 2006, 333, 157–174. [Google Scholar] [CrossRef]
- Opelz, G.; Döhler, B. Effect of Human Leukocyte Antigen Compatibility on Kidney Graft Survival: Comparative Analysis of Two Decades. Transplantation 2007, 84, 137–143. [Google Scholar] [CrossRef]
- Opelz, G.; Döhler, B. Pediatric Kidney Transplantation: Analysis of Donor Age, HLA Match, and Posttransplant Non-Hodgkin Lymphoma: A Collaborative Transplant Study Report. Transplantation 2010, 90, 292–297. [Google Scholar] [CrossRef] [PubMed]
- Ishigaki, H.; Shiina, T.; Ogasawara, K. MHC-identical and transgenic cynomolgus macaques for preclinical studies. Inflamm. Regen. 2018, 38, 30. [Google Scholar] [CrossRef] [PubMed]
- Shiina, T.; Yamada, Y.; Aarnink, A.; Suzuki, S.; Masuya, A.; Ito, S.; Ido, D.; Yamanaka, H.; Iwatani, C.; Tsuchiya, H.; et al. Discovery of novel MHC-class I alleles and haplotypes in Filipino cynomolgus macaques (Macaca fascicularis) by pyrosequencing and Sanger sequencing. Immunogenetics 2015, 67, 563–578. [Google Scholar] [CrossRef] [PubMed]
- Shiba, Y.; Gomibuchi, T.; Seto, T.; Wada, Y.; Ichimura, H.; Tanaka, Y.; Ogasawara, T.; Okada, K.; Shiba, N.; Sakamoto, K.; et al. Allogeneic transplantation of iPS cell-derived cardiomyocytes regenerates primate hearts. Nat. Cell Biol. 2016, 538, 388–391. [Google Scholar] [CrossRef] [PubMed]
- Maccari, G.; Robinson, J.; Ballingall, K.; Guethlein, L.A.; Grimholt, U.; Kaufman, J.; Ho, C.S.; De Groot, N.G.; Flicek, P.; Bontrop, R.E.; et al. IPD-MHC 2.0: An improved inter-species database for the study of the major histocompatibility complex. Nucleic Acids Res. 2017, 45, D860–D864. [Google Scholar] [CrossRef]
- Mihara, M.; Kisu, I.; Hara, H.; Iida, T.; Yamamoto, T.; Araki, J.; Hayashi, Y.; Moriguchi, H.; Narushima, M.; Banno, K.; et al. Uterus autotransplantation in cynomolgus macaques: Intraoperative evaluation of uterine blood flow using indocyanine green. Hum. Reprod. 2011, 26, 3019–3027. [Google Scholar] [CrossRef]
- Mölne, J.; Broecker, V.; Ekberg, J.; Nilsson, O.; Dahm-Kähler, P.; Brännström, M. Monitoring of Human Uterus Transplantation with Cervical Biopsies: A Provisional Scoring System for Rejection. Arab. Archaeol. Epigr. 2017, 17, 1628–1636. [Google Scholar] [CrossRef]
- Yamasaki, J.; Iwatani, C.; Tsuchiya, H.; Okahara, J.; Sankai, T.; Torii, R. Vitrification and transfer of cynomolgus monkey (Macaca fascicularis) embryos fertilized by intracytoplasmic sperm injection. Theriogenology 2011, 76, 33–38. [Google Scholar] [CrossRef]
- Nakamura, T.; Okamoto, I.; Sasaki, K.; Yabuta, Y.; Iwatani, C.; Tsuchiya, H.; Seita, Y.; Nakamura, S.; Yamamoto, T.; Saitou, M. A developmental coordinate of pluripotency among mice, monkeys and humans. Nat. Cell Biol. 2016, 537, 57–62. [Google Scholar] [CrossRef]
- Ma, Y.; Li, J.; Wang, G.; Ke, Q.; Qiu, S.; Gao, L.; Wan, H.; Zhou, Y.; Xiang, A.P.; Huang, Q.; et al. Efficient production of cynomolgus monkeys with a toolbox of enhanced assisted reproductive technologies. Sci. Rep. 2016, 6, 25888. [Google Scholar] [CrossRef]
- Tzakis, A.G. Nonhuman primates as models for transplantation of the uterus. Fertil. Steril. 2013, 100, 61. [Google Scholar] [CrossRef]
- Kisu, I.; Banno, K.; Mihara, M.; Aoki, D. Uterus transplantation in nonhuman primates. Fertil. Steril. 2013, 100, e3. [Google Scholar] [CrossRef] [PubMed]
- Loren, A.W.; Porter, D.L.; Stadtmauer, E.A.; Tsai, D.E. Post-transplant lymphoproliferative disorder: A review. Bone Marrow Transplant. 2003, 31, 145–155. [Google Scholar] [CrossRef] [PubMed]
- Jagadeesh, D.; Woda, B.A.; Draper, J.; Evens, A.M. Post Transplant Lymphoproliferative Disorders: Risk, Classification, and Therapeutic Recommendations. Curr. Treat. Options Oncol. 2012, 13, 122–136. [Google Scholar] [CrossRef] [PubMed]
- Taylor, A.L.; Marcus, R.; Bradley, J.A. Post-transplant lymphoproliferative disorders (PTLD) after solid organ transplantation. Crit. Rev. Oncol. 2005, 56, 155–167. [Google Scholar] [CrossRef]
- Schmidtko, J.; Wang, R.; Wu, C.-L.; Mauiyyedi, S.; Harris, N.L.; Della Pelle, P.; Brousaides, N.; Zagachin, L.; Ferry, J.A.; Wang, F.; et al. Posttransplant lymphoproliferative disorder associated with an epstein-barr-related virus in cynomolgus monkeys1. Transplantation 2002, 73, 1431–1439. [Google Scholar] [CrossRef] [PubMed]
- Cavicchioli, L.; Ferraresso, S.; Westmoreland, S.; Kaliyaperumal, S.; Knight, H.; Crossan, C.; Scobie, L.; Danesi, A.; Vadori, M.; Trez, D.; et al. Posttransplant Lymphoproliferative Disorders in Neuronal Xenotransplanted Macaques. Vet. Pathol. 2016, 54, 336–344. [Google Scholar] [CrossRef]
- Barth, R.N.; Nam, A.J.; Stanwix, M.G.; Kukuruga, D.; Drachenberg, C.I.; Bluebond-Langner, R.; Hui-Chou, H.; Shipley, S.T.; Bartlett, S.T.; Rodriguez, E.D. Prolonged Survival of Composite Facial Allografts in Non-Human Primates Associated With Posttransplant Lymphoproliferative Disorder. Transplantation 2009, 88, 1242–1250. [Google Scholar] [CrossRef]
- Dierickx, D.; Habermann, T.M. Post-Transplantation Lymphoproliferative Disorders in Adults. N. Engl. J. Med. 2018, 378, 549–562. [Google Scholar] [CrossRef]
- Flyckt, R.; Falcone, T.; Quintini, C.; Perni, U.; Eghtesad, B.; Richards, E.G.; Farrell, R.M.; Hashimoto, K.; Miller, C.; Ricci, S.; et al. First birth from a deceased donor uterus in the United States: From severe graft rejection to successful cesarean delivery. Am. J. Obstet. Gynecol. 2020, 223, 143–151. [Google Scholar] [CrossRef]
- Jauniaux, E.; Chantraine, F.; Silver, R.M.; Langhoff-Roos, J.; for the FIGO Placenta Accreta Diagnosis and Management Expert Consensus Panel. FIGO consensus guidelines on placenta accreta spectrum disorders: Epidemiology. Int. J. Gynecol. Obstet. 2018, 140, 265–273. [Google Scholar] [CrossRef] [PubMed]












| Case | Donor | Recipient | MHC Compatibility between Donor and Recipient | |||||||||
|---|---|---|---|---|---|---|---|---|---|---|---|---|
| Blood Type | Age (Years) | Weight (kg) | Parity | EBV IgG Antibody | Blood Type | Age (Years) | Weight (kg) | Parity | DSA | EBV IgG Antibody | ||
| 1 | A | 6 | 3.22 | no | + | A | 10 | 3.64 | no | − | + | mismatched* |
| 2 | B | 9 | 3.39 | no | + | B | 9 | 3.7 | no | − | + | halpoidentical |
| 3 | B | 5 | 4.07 | no | + | B | 7 | 3.45 | no | − | + | halpoidentical |
| 4 | B | 12 | 3.76 | one | + | B | 13 | 3.34 | no | − | + | mismatched |
| 5 | AB | 5 | 2.87 | no | + | AB | 6 | 3.56 | no | − | + | mismatched |
| 6 | B | 6 | 2.67 | no | + | B | 6 | 3.09 | no | − | + | mismatched |
| Donor/Recipient | Donor | Recipient | ||
|---|---|---|---|---|
| Origin | Filipino | Filipino | ||
| Mafa-A | A1*089:03 | A1*094:01 | A1*089:03 | A1*094:01 |
| A2*05:50 | A2*05:04 | A2*05:50 | A2*05:04 | |
| A3*13:03 | - | A3*13:03 | - | |
| Mafa-B | B*033:02 | B*045:05 | B*033:02 | B*041:01 |
| B*095:01 | B*098:08 | B*095:01 | B*048:03 | |
| B*099:01 | B*060:02 | |||
| B*108:01 | B*089:01 | |||
| Mafa-DRB | DRB1*03:21 | DRB1*03:07 | DRB1*03:21 | DRB*W53:01 |
| DRB1*10:07 | DRB1*10:06 | DRB1*10:07 | DRB*W54:01 | |
| Mafa-DQB1 | DQB1*06:08 | DQB1*06:25 | DQB1*06:08 | DQB1*06:35 |
| Mafa-DPB1 | DPB1*15:04 | DPB1*19:03 | DPB1*15:04 | DPB1*03:04 |
| Rituximab | Antithymocyte Globulin | Tacrolimus | Mycophenolate Mofetil | Methylprednisolone | Azathioprine | |
|---|---|---|---|---|---|---|
| Three weeks before surgery | 2 mg/kg | |||||
| ⋮ | ||||||
| day-5 | ↓ | ↓ | ||||
| ⋮ | ↓ | ↓ | ||||
| day 0 a | 2 mg/kg | 20 mg/kg | ↓ | ↓ | 10 mg/kg | |
| day 1 | ↓ | ↓ | 10 mg/kg | |||
| day 2 | 20 mg/kg | ↓ | ↓ | 5 mg/kg | ||
| ⋮ | administered with target trough levels of 15 to 20 mg/mL during first month and tapered thereafter as required | administered orally twice daily and adjusted thereafter to exceed trough levels of at least 1 µg/mL | gradually tapered and continuously administered at daily doses of 0.2–0.4 mg/kg, until the end of observation | Mycophenolate mofetil was replaced with azathioprine (1–2 mg/kg) before impregnation was attempted |
| A. Criteria for Cellular Rejection | ||
|---|---|---|
| Histologic Decision | Stromal Features | Epithelial Features * |
| Not rejection | None or focal perivascular inflammation. <S0> | No significant findings. <E0> |
| Borderline change | Diffuse perivascular inflammation without endotheliitis. <S1> | Focal or diffuse vacuolar alteration of the basal cell layer with or without small foci indicative of junctional inflammation. <E1> |
| Cellular rejection, low-grade | Inflammation with focal endotheliitis. <S2> | Dyskeratotic squamous cells in the epidermis with basal vacuolar alteration. <E2> |
| Cellular rejection, high-grade | Inflammation with diffuse endotheliitis. <S3> | Subepidermal cleft, or complete separation of epithelium from the stroma. <E3> |
| B. Criteria for Humoral Rejection | ||
| Histologic Decision | Arterial Features | |
| Not rejection | None or focal perivascular inflammation. <A0> | |
| Humoral rejection, low-grade | A few fibrin thrombi and/or fibrinoid change of the small vessels without tissue necrosis. <A1> | |
| Humoral rejection, high-grade | Marked fibrin thrombi with tissue necrosis. <A2> | |
| Case | Survival (Days) | Recovery of Menstruation | Method of Impregnation | Pregnancy/Delivery | Maximum Cellular Rejection Episode | Humoral Rejection | DSA Production | MLR Stimulation Indexes (Pretransplant; Maximum) | Cause of Sacrifice |
|---|---|---|---|---|---|---|---|---|---|
| 1 | 1400 < on going | Periodic | AI ICSI-ET | − | low-grade cellular rejection | − | − | 6.6; 14.7 | N/A |
| 2 | 1184 | Periodic | AI ICSI-ET | 2 abortions/ 1 livebirth | low-grade cellular rejection | − | + | 22.9; 22.9 | Upon cesarean section |
| 3 | 170 | Periodic | AI | − | Borderline | − | − | 3.9; 12.8 | Sudden death induced by PTLD and hyperpotassemia |
| 4 | 103 | Temporary | − | − | − | high-grade humoral rejection | + | 9.2; 11.3 | Humoral rejection |
| 5 | 265 | Periodic | − | − | − | high-grade humoral rejection | + | 4.7; 24.7 | Humoral rejection |
| 6 | 0 | N/A | N/A | N/A | N/A | N/A | N/A | 2.9; N/A | Infusion associated reaction |
Publisher’s Note: MDPI stays neutral with regard to jurisdictional claims in published maps and institutional affiliations. |
© 2020 by the authors. Licensee MDPI, Basel, Switzerland. This article is an open access article distributed under the terms and conditions of the Creative Commons Attribution (CC BY) license (http://creativecommons.org/licenses/by/4.0/).
Share and Cite
Kisu, I.; Kato, Y.; Masugi, Y.; Ishigaki, H.; Yamada, Y.; Matsubara, K.; Obara, H.; Emoto, K.; Matoba, Y.; Adachi, M.; et al. First Successful Delivery after Uterus Transplantation in MHC-Defined Cynomolgus Macaques. J. Clin. Med. 2020, 9, 3694. https://doi.org/10.3390/jcm9113694
Kisu I, Kato Y, Masugi Y, Ishigaki H, Yamada Y, Matsubara K, Obara H, Emoto K, Matoba Y, Adachi M, et al. First Successful Delivery after Uterus Transplantation in MHC-Defined Cynomolgus Macaques. Journal of Clinical Medicine. 2020; 9(11):3694. https://doi.org/10.3390/jcm9113694
Chicago/Turabian StyleKisu, Iori, Yojiro Kato, Yohei Masugi, Hirohito Ishigaki, Yohei Yamada, Kentaro Matsubara, Hideaki Obara, Katsura Emoto, Yusuke Matoba, Masataka Adachi, and et al. 2020. "First Successful Delivery after Uterus Transplantation in MHC-Defined Cynomolgus Macaques" Journal of Clinical Medicine 9, no. 11: 3694. https://doi.org/10.3390/jcm9113694
APA StyleKisu, I., Kato, Y., Masugi, Y., Ishigaki, H., Yamada, Y., Matsubara, K., Obara, H., Emoto, K., Matoba, Y., Adachi, M., Banno, K., Saiki, Y., Sasamura, T., Itagaki, I., Kawamoto, I., Iwatani, C., Nakagawa, T., Murase, M., Tsuchiya, H., ... Shiina, T. (2020). First Successful Delivery after Uterus Transplantation in MHC-Defined Cynomolgus Macaques. Journal of Clinical Medicine, 9(11), 3694. https://doi.org/10.3390/jcm9113694

