Changes in Gene Expression Associated with Collagen Regeneration and Remodeling of Extracellular Matrix after Percutaneous Electrolysis on Collagenase-Induced Achilles Tendinopathy in an Experimental Animal Model: A Pilot Study
Abstract
1. Introduction
2. Methods
2.1. Experimental Design
2.2. Collagenase Experimentally Induced Tendinopathy
2.3. Percutaneous Electrolysis
2.4. Control Needling
2.5. Tissue Sampling Preparation
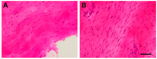
2.6. Histological Analysis
2.7. Genetic Analysis
3. Results
3.1. Changes after Collagenase Injection (C vs. T1)
3.2. Percutaneous Electrolysis on Experimentally Induced Achilles Tendon
4. Discussion
4.1. Experimentally Induced Tendinopathy with Collagenase Injection
4.2. Gene Expression Changes after Percutaneous Electrolysis
4.3. Clinical Implications
4.4. Limitations
5. Conclusions
Author Contributions
Funding
Conflicts of Interest
References
- Sobhani, S.; Dekker, R.; Postema, K.; Dijkstra, P.U. Epidemiology of ankle and foot overuse injuries in sports: A systematic review. Scand. J. Med. Sci. Sports 2013, 23, 669–686. [Google Scholar] [CrossRef]
- Waldecker, U.; Hofmann, G.; Drewitz, S. Epidemiologic investigation of 1394 feet: Coincidence of hindfoot malalignment and Achilles tendon disorders. Foot Ankle Surg. 2012, 18, 119–123. [Google Scholar] [CrossRef]
- Cook, J.L.; Rio, E.; Purdam, C.R.; Docking, S.I. Revisiting the continuum model of tendon pathology: What is its merit in clinical practice and research? Br. J. Sports Med. 2016, 50, 1187–1191. [Google Scholar] [CrossRef]
- Xu, Y.; Murrell, G.A. The Basic Science of Tendinopathy. Clin. Orthop. Relat. Res. 2008, 466, 1528–1538. [Google Scholar] [CrossRef]
- Wu, F.; Nerlich, M.; Docheva, D. Tendon injuries: Basic science and new repair proposals. EFORT. Open. Rev. 2017, 2, 332–342. [Google Scholar] [CrossRef]
- Järvinen, T.A. Neovascularisation in tendinopathy: From eradication to stabilisation? Br. J. Sports Med. 2020, 54, 1–2. [Google Scholar] [CrossRef]
- Jacobsen, E.; Dart, A.J.; Mondori, T.; Horadogoda, N.; Jeffcott, L.B.; Little, C.; Smith, M.M. Focal Experimental Injury Leads to Widespread Gene Expression and Histologic Changes in Equine Flexor Tendons. PLoS ONE 2015, 10, e122220. [Google Scholar] [CrossRef]
- Cadby, J.A.; David, F.; van de Lest, C.; Bosch, G.; van Weeren, P.R.; Snedeker, J.G.; van Shie, H.T.M. Further characterization of an experimental model of tendinopathy in the horse. Equine. Vet. J. 2013, 45, 642–648. [Google Scholar] [CrossRef]
- Jones, G.C.; Corps, A.N.; Pennington, C.J.; Clark, I.M.; Edwards, D.R.; Bradley, M.M.; Hazleman, B.L.; Riley, G.P. Expression profiling of metalloproteinases and tissue inhibitors of metalloproteinases in normal and degenerate human achilles tendon. Arthritis Rheum. 2006, 54, 832–842. [Google Scholar] [CrossRef] [PubMed]
- Ireland, D.; Harrall, R.; Curry, V.; Holloway, G.; Hackney, R.; Hazleman, B.; Riley, G. Multiple changes in gene expression in chronic human Achilles tendinopathy. Matrix Biol. 2001, 20, 159–169. [Google Scholar] [CrossRef]
- Van Leeuwen, M.T.; Zwerver, J.; Akker-Scheek, I.V.D. Extracorporeal shockwave therapy for patellar tendinopathy: A review of the literature. Br. J. Sports Med. 2009, 43, 163–168. [Google Scholar] [CrossRef]
- Kearney, R.; Parsons, N.; Metcalfe, D.; Costa, M.L. Injection therapies for Achilles tendinopathy. Cochrane Database Syst. Rev. 2015, 5, CD010960. [Google Scholar] [CrossRef]
- Dupley, L.; Charalambous, A.C.P. Platelet-Rich Plasma Injections as a Treatment for Refractory Patellar Tendinosis: A Meta-Analysis of Randomised Trials. Knee Surg. Relat. Res. 2017, 29, 165–171. [Google Scholar] [CrossRef]
- Murphy, M.C.; Travers, M.J.; Chivers, P.; Debenham, J.R.; Docking, S.I.; Rio, E.; Gibson, W. Efficacy of heavy eccentric calf training for treating mid-portion Achilles tendinopathy: A systematic review and meta-analysis. Br. J. Sports Med. 2019, 53, 1070–1077. [Google Scholar] [CrossRef]
- Sanchez-Ibáñez, J.M. Clinical Course in the Treatment of Chronic Patellar Tendinopathy through Ultrasound Guided Percutaneous Electrolysis Intratissue (EPI®): Study of a Population Series of Cases in Sport; Atlantic International University: Honolulu, HI, USA, 2009. [Google Scholar]
- Abat, F.; Sánchez-Sánchez, J.L.; Martín-Nogueras, A.; Calvo-Arenillas, J.I.; Yajeya, J.; Méndez-Sánchez, R.; Monllau, J.C.; Gelber, P.E. Randomized controlled trial comparing the effectiveness of the ultrasound-guided galvanic electrolysis technique (USGET) versus conventional electro-physiotherapeutic treatment on patellar tendinopathy. J. Exp. Orthop. 2016, 3, 34. [Google Scholar] [CrossRef]
- Iborra-Marcos, Á.; Ramos-Álvarez, J.J.; Rodriguez-Fabián, G.; Del Castillo-González, F.; López-Román, A.; Polo-Portes, C.; Villanueva-Martínez, M. Intratissue Percutaneous Electrolysis vs Corticosteroid Infiltration for the Treatment of Plantar Fasciosis. Foot Ankle Int. 2018, 39, 704–711. [Google Scholar] [CrossRef] [PubMed]
- Almeida, M.D.L.C.; Góngora-Rodríguez, J.; Lomas-Vega, R.; Martín-Valero, R.; Díaz-Fernández, Á.; Obrero-Gaitán, E.; Ibáñez-Vera, A.J.; Rodríguez-Almagro, D. Percutaneous Electrolysis in the Treatment of Lateral Epicondylalgia: A Single-Blind Randomized Controlled Trial. J. Clin. Med. 2020, 9, 2068. [Google Scholar] [CrossRef]
- Valtierra, L.D.M.; Moreno, J.S.; Fernández-Muñoz, J.J.; Cleland, J.A.; Arias-Buría, J.L. Ultrasound-Guided Application of Percutaneous Electrolysis as an Adjunct to Exercise and Manual Therapy for Subacromial Pain Syndrome: A Randomized Clinical Trial. J. Pain 2018, 19, 1201–1210. [Google Scholar] [CrossRef]
- Almeida, M.D.L.C.; Góngora-Rodríguez, J.; Rodríguez-Huguet, P.; Ibáñez-Vera, A.J.; Rodríguez-Almagro, D.; Martín-Valero, R.; Díaz-Fernández, Á.; Lomas-Vega, R. Effectiveness of Percutaneous Electrolysis in Supraspinatus Tendinopathy: A Single-Blinded Randomized Controlled Trial. J. Clin. Med. 2020, 9, 1837. [Google Scholar] [CrossRef]
- Medina-Mirapeix, F.; García-Vidal, J.A.; Escolar Reina, P.; Martínez Cáceres, C.M. Histopathological analysis of the inflammatory response of two invasive techniques in the calcaneal tendon of a mouse (Abstract). Rev. Fisioter. Invasiva 2019, 2, 91. [Google Scholar]
- García-Vidal, J.A.; Pelegrín Vivancos, P.; Escolar Reina, P.; Medina-Mirapeix, F. Inflammatory response of two invasive techniques in the mouse with collagenase induced tendinopathy. Rev. Fisioter. Invasiva 2019, 2, 80. [Google Scholar]
- Margalef, R.; Minaya Muñoz, F.; Valera Garrido, F.; Santafe, M.M. Vasodilation secondary to exposure to galvanic currents. Rev. Fisioter. Invasiva 2019, 2, 107. [Google Scholar] [CrossRef]
- Margalef, R.; Minaya-Muñoz, F.; Valera-Garrido, F.; Bosque, M.; Santafé, M.M. Changes in pH as a result of galvanic currents used in percutaneous needle electrolysis. Rev. Fisioter. Invasiva J. Invasive Tech. Phys. Ther. 2020, 3, 2–6. [Google Scholar] [CrossRef]
- De Cesar Netto, C.; Godoy-Santos, A.L.; Augusto Pontin, P.; Mendonca Natalino, R.J.; Martins Pereira, C.A.; de Oliveira Lima, F.D.; Da Fonseca, L.F.; Staggers, J.R.; Cavinatto, L.M.; Schon, L.C.; et al. Novel animal model for Achilles tendinopathy: Controlled experimental study of serial injections of collagenase in rabbits. PLoS ONE 2018, 13, e192769. [Google Scholar] [CrossRef]
- Chomczynski, P.; Sacchi, N. Single-step method of RNA isolation by acid guanidinium thiocyanate-phenol-chloroform extraction. Anal. Biochem. 1987, 162, 156–159. [Google Scholar] [CrossRef]
- Herrero-Turrión, M.J.; Rodríguez-Martín, I.; López-Bellido, R.; Rodríguez, R. Whole-genome expression profile in zebrafish embryos after chronic exposure to morphine: Identification of new genes associated with neuronal function and mu opioid receptor expression. BMC Genom. 2014, 15, 874. [Google Scholar] [CrossRef]
- Schmittgen, T.D.; Livak, K.J. Analyzing real-time PCR data by the comparative C(T) method. Nat. Protoc. 2008, 3, 1101–1108. [Google Scholar] [CrossRef]
- Lee, S.Y.; Chieh, H.F.; Lin, C.J.; Jou, I.M.; Sun, Y.N.; Kuo, L.C.; Wu, P.T.; Su, F.C. Characteristics of Sonography in a Rat Achilles Tendinopathy Model: Possible Non-invasive Predictors of Biomechanics. Sci. Rep. 2017, 7, 5100. [Google Scholar] [CrossRef]
- Orfei, C.P.; Lovati, A.B.; Viganò, M.; Stanco, D.; Bottagisio, M.; Di Giancamillo, A.; Setti, S.; De Girolamo, L. Dose-Related and Time-Dependent Development of Collagenase-Induced Tendinopathy in Rats. PLoS ONE 2016, 11, e161590. [Google Scholar] [CrossRef]
- Biasutti, S.; Dart, A.; Smith, M.; Blaker, C.; Clarke, E.; Jeffcott, L.; Little, C. Spatiotemporal variations in gene expression, histology and biomechanics in an ovine model of tendinopathy. PLoS ONE 2017, 12, e185282. [Google Scholar] [CrossRef]
- Eriksen, H.A.; Pajala, A.; Leppilahti, J.; Risteli, J. Increased content of type III collagen at the rupture site of human Achilles tendon. J. Orthop. Res. 2002, 20, 1352–1357. [Google Scholar] [CrossRef]
- Maffulli, N.; Ewen, S.W.B.; Waterston, S.W.; Reaper, J.; Barrass, V. Tenocytes from Ruptured and Tendinopathic Achilles Tendons Produce Greater Quantities of Type III Collagen than Tenocytes from Normal Achilles Tendons: An in Vitro Model of Human Tendon Healing. Am. J. Sports Med. 2000, 28, 499–505. [Google Scholar] [CrossRef]
- Riley, G. The pathogenesis of tendinopathy. A molecular perspective. Rheumatology 2004, 43, 131–142. [Google Scholar] [CrossRef]
- Jelinsky, S.; Rodeo, S.A.; Li, J.; Gulotta, L.V.; Archambault, J.M.; Seeherman, H.J. Regulation of gene expression in human tendinopathy. BMC Musculoskelet. Disord. 2011, 12, 86. [Google Scholar] [CrossRef]
- Karousou, E.; Ronga, M.; Vigetti, D.; Passi, A.; Maffulli, N. Collagens, Proteoglycans, MMP-2, MMP-9 and TIMPs in Human Achilles Tendon Rupture. Clin. Orthop. Relat. Res. 2008, 466, 1577–1582. [Google Scholar] [CrossRef]
- Fu, B.S.C.; Wang, W.; Pau, H.M.; Wong, Y.P.; Chan, K.M.; Rolf, C.G. Increased Expression of Transforming Growth Factor-beta1 in Patellar Tendinosis. Clin. Orthop. Relat. Res. 2002, 400, 174–183. [Google Scholar] [CrossRef]
- Alfredson, H.; Ohberg, L.; Forsgren, S. Is vasculo-neural ingrowth the cause of pain in chronic Achilles tendinosis? An investigation using ultrasonography and colour Doppler, immunohistochemistry, and diagnostic injections. Knee Surg. Sports. Traumatol. Arthrosc. 2003, 11, 334–338. [Google Scholar] [CrossRef]
- Juneja, S.C.; Schwarz, E.M.; O’Keefe, R.J.; Awad, H.A. Cellular and Molecular Factors in Flexor Tendon Repair and Adhesions: A Histological and Gene Expression Analysis. Connect. Tissue Res. 2013, 54, 218–226. [Google Scholar] [CrossRef]
- Manning, C.N.; Havlioglu, N.; Knutsen, E.; Sakiyama-Elbert, S.E.; Silva, M.J.; Thomopoulos, S.; Gelberman, R.H. The early inflammatory response after flexor tendon healing: A gene expression and histological analysis. J. Orthop. Res. 2014, 32, 645–652. [Google Scholar] [CrossRef]
- Eliasson, P.; Andersson, T.; Aspenberg, P. Rat Achilles tendon healing: Mechanical loading and gene expression. J. Appl. Physiol. 2009, 107, 399–407. [Google Scholar] [CrossRef]
- Liu, H.; Zhu, S.; Zhang, C.; Lu, P.; Hu, J.; Yin, Z.; Ma, Y.; Chen, X.; Ouyang, H. Crucial transcription factors in tendon development and differentiation: Their potential for tendon regeneration. Cell Tissue Res. 2014, 356, 287–298. [Google Scholar] [CrossRef] [PubMed]
- Sharma, P.; Maffulli, N. Biology of tendon injury: Healing, modeling and remodeling. J. Musculoskelet. Neuronal Interact. 2006, 6, 181–190. [Google Scholar] [PubMed]
- Sugg, K.B.; Lubardic, J.; Gumucio, J.P.; Mendias, C.L. Changes in macrophage phenotype and induction of epithelial-to-mesenchymal transition genes following acute Achilles tenotomy and repair. J. Orthop. Res. 2014, 32, 944–951. [Google Scholar] [CrossRef] [PubMed]
- Oshiro, W.; Lou, J.; Xing, X.; Tu, Y.; Manske, P.R. Flexor tendon healing in the rat: A histologic and gene expression study. J. Hand Surg. 2003, 28, 814–823. [Google Scholar] [CrossRef]
- Loiselle, A.E.; Bragdon, G.A.; Jacobson, J.A.; Hasslund, S.; Cortes, Z.E.; Schwarz, E.M.; Mitten, D.J.; Awad, H.A.; O’Keefe, R.J. Remodeling of murine intrasynovial tendon adhesions following injury: MMP and neotendon gene expression. J. Orthop. Res. 2009, 27, 833–840. [Google Scholar] [CrossRef]
- Voleti, P.B.; Buckley, M.R.; Soslowsky, L.J. Tendon Healing: Repair and Regeneration. Annu. Rev. Biomed. Eng. 2012, 14, 47–71. [Google Scholar] [CrossRef]
- Chen, C.H.; Cao, Y.; Wu, Y.F.; Bais, A.J.; Gao, J.S.; Tang, J.B. Tendon Healing In Vivo: Gene Expression and Production of Multiple Growth Factors in Early Tendon Healing Period. J. Hand Surg. 2008, 33, 1834–1842. [Google Scholar] [CrossRef]
- Tan, C.; Lui, P.P.Y.; Lee, Y.W.; Wong, Y.M. Scx-Transduced Tendon-Derived Stem Cells (TDSCs) Promoted Better Tendon Repair Compared to Mock-Transduced Cells in a Rat Patellar Tendon Window Injury Model. PLoS ONE 2014, 9, e97453. [Google Scholar] [CrossRef]
Publisher’s Note: MDPI stays neutral with regard to jurisdictional claims in published maps and institutional affiliations. |







| Group Number | Group | Number of Rats | Collagenase Injection | Day Collagenase Injection | PE Treatment | Days of PE Intervention | Needling Treatment | Day of Needling Treatment | Day of Sacrifice |
|---|---|---|---|---|---|---|---|---|---|
| Validation of Collagenase-Induced Tendinopathy | |||||||||
| 1 | C * | 3 | No | No | No | 7 | |||
| 2 | T1 # | 3 | Yes | 1 | No | No | 7 | ||
| Experimental Study | |||||||||
| 3 | T2 # (no treatment) | 3 | Yes | 1 | No | No | 28 | ||
| 4 | T2 + PE | 3 | Yes | 1 | Yes | 7, 14, 21 | No | 28 | |
| 5 | T2 + N | 3 | Yes | 1 | No | Yes | 7, 14, 21 | 28 | |
| Gene Name | GenBank Number * | Oligonucleotide Primer Sequence (Forward; 5′-3′) | Forward Location * | Oligonucleotide Primer Sequence (Reverse; 3′-5′) | Reverse Location | Amplicon Size | Primer Efficiency |
|---|---|---|---|---|---|---|---|
| Cox2 | S67722 | CCCATGGGTGTGAAAGGAAA | 566–586 | GGGATCCGGGATGAACTCTC | 636–655 | 90 | 1.96 |
| Col1a1 | NM_053304 | GCCTCAGCCACCTCAAGAGA | 3681–3701 | GGCTGCGGATGTTCTCAATC | 3801–3820 | 140 | 2.06 |
| Col3a1 | NM_032085 | CCAGGACAAAGAGGGGAACC | 1194–1213 | CCATTTCACCTTTCCCACCA | 1277–1297 | 103 | 1.99 |
| Mmp2 | NM_031054 | ACACCTGACCTGGACCCTGA | 615–634 | TTCCCCATCATGGATTCGAG | 700–719 | 105 | 1.98 |
| Mmp9 | NM_031055 | GCAGGGCCCCTTTCTTATTG | 1659–1679 | CTGGCCTGTGTACACCCACA | 1769–1788 | 130 | 2.02 |
| Vegf | NM_031836 | GCAATGATGAAGCCCTGGAG | 1271–1290 | GCTGGCTTTGGTGAGGTTTG | 1338–1357 | 87 | 1.97 |
| Scx | NM_001130508 | GAGAACACCCAGCCCAAACA | 700–720 | CGAATCGCCGTCTTTCTGTC | 769–788 | 89 | 2.00 |
| β-act | NM_031144 | AGCCATGTACGTAGCCATCC | 415–434 | ACCCTCATAGATGGGCACAG | 510–529 | 115 | 1.98 |
| Gapdh | NM_017008 | ACATGCCGCCTGGAGAAACCT | 805–824 | GCCCAGGATGCCCTTTAGTGG | 874–894 | 90 | 1.96 |
| Rpl19 | NM_031103 | TCGCCAATGCCAACTCTCGTC | 123–143 | AGCCCGGGAATGGACAGTCAC | 191–211 | 89 | 2.07 |
| Gene Name | Group | Fold Change | Standard Deviation | p-Value |
|---|---|---|---|---|
| Cox2 | Healthy tendon (C) | 1.001 | 0.049 | |
| Injured tendon (T1) | 3.367 | 1.184 | 0.02 | |
| Mmp2 | Healthy tendon (C) | 0.941 | 0.106 | |
| Injured tendon (T1) | 7.137 | 2.783 | 0.02 | |
| Mmp9 | Healthy tendon (C) | 1.004 | 0.128 | |
| Injured tendon (T1) | 8.972 | 4.478 | 0.015 | |
| Col1a1 | Healthy tendon (C) | 0.923 | 0.158 | |
| Injured tendon (T1) | 6.691 | 2.801 | 0.025 | |
| Col3a1 | Healthy tendon (C) | 0.967 | 0.062 | |
| Injured tendon (T1) | 3.119 | 0.631 | 0.004 | |
| Vefg | Healthy tendon (C) | 1.011 | 0.183 | |
| Injured tendon (T1) | 1.708 | 0.274 | < 0.001 | |
| Scx | Healthy tendon (C) | 1.023 | 0.221 | |
| Injured tendon (T1) | 6.935 | 2.851 | 0.004 |
| Gene Name | Group | Fold Change | Standard Deviation | p-Value (T2 vs. T2 + PE/T2 + N) | p-Value (T2 + PE vs. T2 + N) |
|---|---|---|---|---|---|
| Cox2 | T2 (28 days) | 0.056 | 0.031 | ||
| T2 + PE | 1.392 | 0.697 | 0.03 * | ||
| T2 + N | 0.937 | 0.365 | 0.05 | 0.3 | |
| Mmp2 | T2 (28 days) | 0.523 | 0.163 | ||
| T2 + PE | 3.468 | 2.251 | 0.07 | ||
| T2 + N | 2.275 | 0.911 | 0.03 * | 0.3 | |
| Mmp9 | T2 (28 days) | 0.040 | 0.006 | ||
| T2 + PE | 8.977 | 5.069 | 0.02 * | ||
| T2 + N | 0.658 | 0.225 | 0.01 * | 0.02 | |
| Col1a1 | T2 (28 days) | 0.364 | 0.345 | ||
| T2 + PE | 3.875 | 2.547 | 0.07 | ||
| T2 + N | 2.009 | 0.336 | <0.001 *** | 0.25 | |
| Col3a1 | T2 (28 days) | 0.452 | 0.348 | ||
| T2 + PE | 4.654 | 2.972 | 0.06 | ||
| T2 + N | 0.219 | 0.026 | 0.15 | 0.05 | |
| Vefg | T2 (28 days) | 0.133 | 0.001 | ||
| T2 + PE | 2.229 | 0.117 | 0.025 * | ||
| T2 + N | 1.248 | 0.462 | 0.005 ** | 0.007 ** | |
| Scx | T2 (28 days) | 2.256 | 1.087 | ||
| T2 + PE | 2.886 | 1.373 | 0.5 | ||
| T2 + N | 1.860 | 0.672 | 0.45 | 0.25 |
Publisher’s Note: MDPI stays neutral with regard to jurisdictional claims in published maps and institutional affiliations. |
© 2020 by the authors. Licensee MDPI, Basel, Switzerland. This article is an open access article distributed under the terms and conditions of the Creative Commons Attribution (CC BY) license (http://creativecommons.org/licenses/by/4.0/).
Share and Cite
Sánchez-Sánchez, J.L.; Calderón-Díez, L.; Herrero-Turrión, J.; Méndez-Sánchez, R.; Arias-Buría, J.L.; Fernández-de-las-Peñas, C. Changes in Gene Expression Associated with Collagen Regeneration and Remodeling of Extracellular Matrix after Percutaneous Electrolysis on Collagenase-Induced Achilles Tendinopathy in an Experimental Animal Model: A Pilot Study. J. Clin. Med. 2020, 9, 3316. https://doi.org/10.3390/jcm9103316
Sánchez-Sánchez JL, Calderón-Díez L, Herrero-Turrión J, Méndez-Sánchez R, Arias-Buría JL, Fernández-de-las-Peñas C. Changes in Gene Expression Associated with Collagen Regeneration and Remodeling of Extracellular Matrix after Percutaneous Electrolysis on Collagenase-Induced Achilles Tendinopathy in an Experimental Animal Model: A Pilot Study. Journal of Clinical Medicine. 2020; 9(10):3316. https://doi.org/10.3390/jcm9103316
Chicago/Turabian StyleSánchez-Sánchez, José Luis, Laura Calderón-Díez, Javier Herrero-Turrión, Roberto Méndez-Sánchez, José L. Arias-Buría, and César Fernández-de-las-Peñas. 2020. "Changes in Gene Expression Associated with Collagen Regeneration and Remodeling of Extracellular Matrix after Percutaneous Electrolysis on Collagenase-Induced Achilles Tendinopathy in an Experimental Animal Model: A Pilot Study" Journal of Clinical Medicine 9, no. 10: 3316. https://doi.org/10.3390/jcm9103316
APA StyleSánchez-Sánchez, J. L., Calderón-Díez, L., Herrero-Turrión, J., Méndez-Sánchez, R., Arias-Buría, J. L., & Fernández-de-las-Peñas, C. (2020). Changes in Gene Expression Associated with Collagen Regeneration and Remodeling of Extracellular Matrix after Percutaneous Electrolysis on Collagenase-Induced Achilles Tendinopathy in an Experimental Animal Model: A Pilot Study. Journal of Clinical Medicine, 9(10), 3316. https://doi.org/10.3390/jcm9103316

