Cardiac Imaging in Liver Transplantation Candidates: Current Knowledge and Future Perspectives
Abstract
1. Introduction
2. Pathophysiological Aspects of the Cardiovascular Function of Cirrhotic Patients
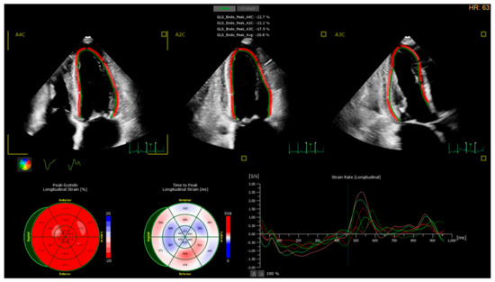
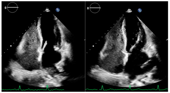
3. Cirrhotic Cardiomyopathy Diagnostic Approach with Echocardiography: Current Knowledge
4. Cirrhotic Cardiomyopathy Diagnostic Approach with Echocardiography: Future Perspectives
5. Stress Echocardiography in LT Candidates. Current Knowledge
6. Stress Echocardiography in LT Candidates. Future Perspectives
7. Hepatopulmonary Syndrome and Portopulmonary Hypertension: Current Knowledge
8. Hepatopulmonary Syndrome and Portopulmonary Hypertension: Future Perspectives
9. CMR Applications of Special Interest for Cardiovascular Evaluation in Cirrhotic Cardiomyopathy
9.1. Measurement of Volumes—Ejection Fraction
9.2. Myocardial Ischemia
9.3. Detection of Blunted Inotropic Response to Pharmacologic Stress
9.4. Fibrosis Detection/Late Gadolinium Enhanced (LGE) Imaging
9.5. Iron Deposition Assessment
9.6. Tissue Characterization and Parametric Imaging
9.7. Limitations of CMR and Application in LT Candidates
10. Conclusions
Author Contributions
Conflicts of Interest
References
- Ma, Z.; Lee, S.S. Cirrhotic cardiomyopathy: Getting to the heart of the matter. Hepatology 1996, 24, 451–459. [Google Scholar] [CrossRef] [PubMed]
- Wiese, S.; Hove, J.D.; Bendtsen, F.; Møller, S. Cirrhotic cardiomyopathy: Pathogenesis and clinical relevance. Nat. Rev. Gastroenterol. Hepatol. 2013, 11, 177–186. [Google Scholar] [CrossRef] [PubMed]
- Bernardi, M.; Rubboli, A.; Trevisani, F.; Cancellieri, C.; Ligabue, A.; Baraldini, M.; Gasbarrini, G. Reduced cardiovascular responsiveness to exercise-induced sympathoadrenergic stimulation in patients with cirrhosis. J. Hepatol. 1991, 12, 207–216. [Google Scholar] [CrossRef]
- Zardi, E.M.; Zardi, D.M.; Chin, D.; Sonnino, C.; Dobrina, A.; Abbate, A. Cirrhotic cardiomyopathy in the pre- and post-liver transplantation phase. J. Cardiol. 2016, 67, 125–130. [Google Scholar] [CrossRef] [PubMed]
- Liu, H.; Jayakumar, S.; Traboulsi, M.; Lee, S.S. Cirrhotic cardiomyopathy: Implications for liver transplantation. Liver Transplant. 2017, 23, 826–835. [Google Scholar] [CrossRef] [PubMed]
- Eimer, M.J.; Wright, J.M.; Wang, E.C.; Kulik, L.; Blei, A.; Flamm, S.; Beahan, M.; Bonow, R.O.; Abecassis, M.; Gheorghiade, M. Frequency and Significance of Acute Heart Failure Following Liver Transplantation. Am. J. Cardiol. 2008, 101, 242–244. [Google Scholar] [CrossRef] [PubMed]
- Dec, G.W.; Kondo, N.; Farrell, M.L.; Dienstag, J.; Cosimi, A.B.; Semigran, M.J. Cardiovascular complications following liver transplantation. Clin. Transplant. 1995, 9, 463–471. [Google Scholar]
- Rachwan, R.J.; Kutkut, I.; Hathaway, T.J.; Timsina, L.R.; Kubal, C.A.; Lacerda, M.A.; Ghabril, M.S.; Bourdillon, P.D.; Mangus, R.S. Postoperative Atrial Fibrillation and Flutter in Liver Transplantation: An Important Predictor of Early and Late Morbidity and Mortality. Liver Transplant. 2019. [Google Scholar] [CrossRef]
- Kwon, H.; Moon, Y.; Jung, K.; Park, Y.; Kim, K.; Jun, I.; Song, J.; Hwang, G. Appraisal of cardiac ejection fraction with liver disease severity: Implication in post-liver transplantation mortality. Hepatology 2019. [Google Scholar] [CrossRef]
- VanWagner, L.B.; Lapin, B.; Levitsky, J.; Wilkins, J.T.; Abecassis, M.M.; Skaro, A.I.; Lloyd-Jones, D.M. High early cardiovascular mortality after liver transplantation. Liver Transpl. 2014, 20, 1306–1316. [Google Scholar] [CrossRef]
- Ruiz-Del-Arbol, L.; Monescillo, A.; Arocena, C.; Valer, P.; Ginès, P.; Moreira, V.; Milicua, J.M.; Jiménez, W.; Arroyo, V. Circulatory function and hepatorenal syndrome in cirrhosis. Hepatology 2005, 42, 439–447. [Google Scholar] [CrossRef]
- Koch, D.G.; Fallon, M.B. Hepatopulmonary Syndrome. Clin. Liver Dis. 2014, 18, 407–420. [Google Scholar] [CrossRef] [PubMed]
- Safdar, Z.; Bartolome, S.; Sussman, N. Portopulmonary hypertension: An update. Liver Transplant. 2012, 18, 881–891. [Google Scholar] [CrossRef] [PubMed]
- European Association for the Study of the Liver. Electronic address: Easloffice@easloffice.eu EASL Clinical Practice Guidelines: Liver transplantation. J. Hepatol. 2016, 64, 433–485. [Google Scholar] [CrossRef] [PubMed]
- Izzy, M.; Oh, J.; Watt, K.D. Cirrhotic Cardiomyopathy After Transplantation: Neither the Transient Nor Innocent Bystander. Hepatology 2018, 68, 2008–2015. [Google Scholar] [CrossRef] [PubMed]
- Tandon, M.; Karna, S.T.; Pandey, C.K.; Chaturvedi, R. Diagnostic and therapeutic challenge of heart failure after liver transplant: Case series. World J. Hepatol. 2017, 9, 1253–1260. [Google Scholar] [CrossRef] [PubMed]
- Moller, S.; Hobolth, L.; Winkler, C.; Bendtsen, F.; Christensen, E. Determinants of the hyperdynamic circulation and central hypovolaemia in cirrhosis. Gut 2011, 60, 1254–1259. [Google Scholar] [CrossRef]
- Iwakiri, Y.; Groszmann, R.J. The hyperdynamic circulation of chronic liver diseases: From the patient to the molecule. Hepatology 2006, 43, S121–S131. [Google Scholar] [CrossRef]
- Iwakiri, Y.; Shah, V.; Rockey, D.C. Vascular pathobiology in chronic liver disease and cirrhosis – Current status and future directions. J. Hepatol. 2014, 61, 912–924. [Google Scholar] [CrossRef]
- Vilas-Boas, W.W.; Ribeiro-Oliveira, A.R.-O., Jr.; Pereira, R.M.; da Ribeiro, R.C.; Almeida, J.; Nadu, A.P.; Silva, A.C.S.E.; Santos, R.A.S. Relationship between angiotensin-(1–7) and angiotensin II correlates with hemodynamic changes in human liver cirrhosis. World J. Gastroenterol. 2009, 15, 2512. [Google Scholar] [CrossRef]
- Abraldes, J.G.; Iwakiri, Y.; Loureiro-Silva, M.; Haq, O.; Sessa, W.C.; Groszmann, R.J. Mild increases in portal pressure upregulate vascular endothelial growth factor and endothelial nitric oxide synthase in the intestinal microcirculatory bed, leading to a hyperdynamic state. Am. J. Physiol. Gastrointest. Liver Physiol. 2006, 290, G980–G987. [Google Scholar] [CrossRef] [PubMed]
- Wiest, R.; Das, S.; Cadelina, G.; Garcia-Tsao, G.; Milstien, S.; Groszmann, R.J. Bacterial translocation in cirrhotic rats stimulates eNOS-derived NO production and impairs mesenteric vascular contractility. J. Clin. Investig. 1999, 104, 1223–1233. [Google Scholar] [CrossRef] [PubMed]
- Hennenberg, M.; Trebicka, J.; Sauerbruch, T.; Heller, J. Mechanisms of extrahepatic vasodilation in portal hypertension. Gut 2008, 57, 1300–1314. [Google Scholar] [CrossRef] [PubMed]
- Stadlbauer, V.P.; Wright, G.A.K.; Banaji, M.; Mukhopadhya, A.; Mookerjee, R.; Moore, K.; Jalan, R.; Moore, K.; Jalan, R. Relationship Between Activation of the Sympathetic Nervous System and Renal Blood Flow Autoregulation in Cirrhosis. Gastroenterology 2008, 134, 111–119.e2. [Google Scholar] [CrossRef]
- Møller, S.; Henriksen, J.H.; Bendtsen, F. Extrahepatic complications to cirrhosis and portal hypertension: Haemodynamic and homeostatic aspects. World J. Gastroenterol. 2014, 20, 15499. [Google Scholar] [CrossRef]
- Simões e Silva, A.C.; Miranda, A.S.; Rocha, N.P.; Teixeira, A.L. Renin angiotensin system in liver diseases: Friend or foe? World J. Gastroenterol. 2017, 23, 3396. [Google Scholar] [CrossRef]
- Reddy, Y.N.V.; Melenovsky, V.; Redfield, M.M.; Nishimura, R.A.; Borlaug, B.A. High-Output Heart Failure: A 15-Year Experience. J. Am. Coll. Cardiol. 2016, 68, 473–482. [Google Scholar] [CrossRef]
- Ma, Z.; Miyamoto, A.; Lee, S.S. Role of altered beta-adrenoceptor signal transduction in the pathogenesis of cirrhotic cardiomyopathy in rats. Gastroenterology 1996, 110, 1191–1198. [Google Scholar] [CrossRef]
- Karagiannakis, D.S.; Papatheodoridis, G.; Vlachogiannakos, J. Recent Advances in Cirrhotic Cardiomyopathy. Dig. Dis. Sci. 2015, 60, 1141–1151. [Google Scholar] [CrossRef]
- Møller, S.; Wiese, S.; Halgreen, H.; Hove, J.D. Diastolic dysfunction in cirrhosis. Heart Fail. Rev. 2016, 21, 599–610. [Google Scholar] [CrossRef]
- Howell, W.L.; Manion, W.C. The low incidence of myocardial infarction in patients with portal cirrhosis of the liver: A review of 639 cases of cirrhosis of the liver from 17,731 autopsies. Am. Heart J. 1960, 60, 341–344. [Google Scholar] [CrossRef]
- Fede, G.; Privitera, G.; Tomaselli, T.; Spadaro, L.; Purrello, F. Cardiovascular dysfunction in patients with liver cirrhosis. Ann. Gastroenterol. Q. Publ. Hell. Soc. Gastroenterol. 2015, 28, 31. [Google Scholar]
- Tiukinhoy-Laing, S.D.; Rossi, J.S.; Bayram, M.; De Luca, L.; Gafoor, S.; Blei, A.; Flamm, S.; Davidson, C.J.; Gheorghiade, M. Cardiac hemodynamic and coronary angiographic characteristics of patients being evaluated for liver transplantation. Am. J. Cardiol. 2006, 98, 178–181. [Google Scholar] [CrossRef] [PubMed]
- Keeling, A.N.; Flaherty, J.D.; Davarpanah, A.H.; Ambrosy, A.; Farrelly, C.T.; Harinstein, M.E.; Flamm, S.L.; Abecassis, M.I.; Skaro, A.I.; Carr, J.C.; et al. Coronary multidetector computed tomographic angiography to evaluate coronary artery disease in liver transplant candidates: Methods, feasibility and initial experience. J. Cardiovasc. Med. (Hagerstown). 2011, 12, 460–468. [Google Scholar] [CrossRef] [PubMed]
- Younossi, Z.M.; Koenig, A.B.; Abdelatif, D.; Fazel, Y.; Henry, L.; Wymer, M. Global epidemiology of nonalcoholic fatty liver Disease-Meta-Analytic assessment of prevalence, incidence, and outcomes. Hepatology 2016, 64, 73–84. [Google Scholar] [CrossRef] [PubMed]
- Kabbany, M.N.; Selvakumar, P.K.C.; Watt, K.; Lopez, R.; Akras, Z.; Zein, N.; Carey, W.; Alkhouri, N. Prevalence of Nonalcoholic Steatohepatitis-Associated Cirrhosis in the United States: An Analysis of National Health and Nutrition Examination Survey Data. Am. J. Gastroenterol. 2017, 112, 581–587. [Google Scholar] [CrossRef]
- Silvestre, O.M.; Bacal, F.; de Souza Ramos, D.; Andrade, J.L.; Furtado, M.; Pugliese, V.; Belleti, E.; Andraus, W.; Carrilho, F.J.; Carneiro D’Albuquerque, L.A.; et al. Impact of the severity of end-stage liver disease in cardiac structure and function. Ann. Hepatol. 2013, 12, 85–91. [Google Scholar] [CrossRef]
- Darstein, F.; König, C.; Hoppe-Lotichius, M.; Grimm, D.; Knapstein, J.; Mittler, J.; Zimmermann, A.; Otto, G.; Lang, H.; Galle, P.R.; et al. Preoperative left ventricular hypertrophy is associated with reduced patient survival after liver transplantation. Clin. Transplant. 2014, 28, 236–242. [Google Scholar] [CrossRef]
- Dadhich, S.; Goswami, A.; Jain, V.K.; Gahlot, A.; Kulamarva, G.; Bhargava, N. Cardiac dysfunction in cirrhotic portal hypertension with or without ascites. Ann. Gastroenterol. 2014, 27, 244–249. [Google Scholar]
- Guzzo-Merello, G.; Segovia, J.; Dominguez, F.; Cobo-Marcos, M.; Gomez-Bueno, M.; Avellana, P.; Millan, I.; Alonso-Pulpon, L.; Garcia-Pavia, P. Natural History and Prognostic Factors in Alcoholic Cardiomyopathy. JACC Hear. Fail. 2015, 3, 78–86. [Google Scholar] [CrossRef]
- Cesari, M.; Frigo, A.C.; Tonon, M.; Angeli, P. Cardiovascular predictors of death in patients with cirrhosis. Hepatology 2018, 68, 215–223. [Google Scholar] [CrossRef] [PubMed]
- Ruíz-del-Árbol, L.; Achécar, L.; Serradilla, R.; Rodríguez-Gandía, M.Á.; Rivero, M.; Garrido, E.; Natcher, J.J. Diastolic dysfunction is a predictor of poor outcomes in patients with cirrhosis, portal hypertension, and a normal creatinine. Hepatology 2013, 58, 1732–1741. [Google Scholar] [CrossRef] [PubMed]
- Stundiene, I.; Sarnelyte, J.; Norkute, A.; Aidietiene, S.; Liakina, V.; Masalaite, L.; Valantinas, J. Liver cirrhosis and left ventricle diastolic dysfunction: Systematic review. World J. Gastroenterol. 2019, 25, 4779–4795. [Google Scholar] [CrossRef] [PubMed]
- Merli, M.; Torromeo, C.; Giusto, M.; Iacovone, G.; Riggio, O.; Puddu, P.E. Survival at 2 years among liver cirrhotic patients is influenced by left atrial volume and left ventricular mass. Liver Int. 2017, 37, 700–706. [Google Scholar] [CrossRef]
- Qureshi, W.; Mittal, C.; Ahmad, U.; Alirhayim, Z.; Hassan, S.; Qureshi, S.; Khalid, F. Clinical predictors of post-liver transplant new-onset heart failure. Liver Transplant. 2013, 19, 701–710. [Google Scholar] [CrossRef] [PubMed]
- Eyvazian, V.A.; Gordin, J.S.; Yang, E.H.; Aksoy, O.; Honda, H.M.; Busuttil, R.W.; Agopian, V.G.; Vorobiof, G. Incidence, Predictors, and Outcomes of New-Onset Left Ventricular Systolic Dysfunction After Orthotopic Liver Transplantation. J. Card. Fail. 2019, 25, 166–172. [Google Scholar] [CrossRef]
- Bruch, C.; Schmermund, A.; Marin, D.; Katz, M.; Bartel, T.; Schaar, J.; Erbel, R. Tei-Index in patients with mild-to-moderate congestive heart failure. Eur. Heart J. 2000, 21, 1888–1895. [Google Scholar] [CrossRef]
- Biering-Sørensen, T.; Mogelvang, R.; Jensen, J.S. Prognostic value of cardiac time intervals measured by tissue Doppler imaging M-mode in the general population. Heart 2015, 101, 954–960. [Google Scholar] [CrossRef]
- Biering-Sørensen, T.; Mogelvang, R.; Schnohr, P.; Jensen, J.S. Cardiac Time Intervals Measured by Tissue Doppler Imaging M-mode: Association with Hypertension, Left Ventricular Geometry, and Future Ischemic Cardiovascular Diseases. J. Am. Heart Assoc. 2016, 5, e002687. [Google Scholar] [CrossRef]
- Meric, M.; Yesildag, O.; Yuksel, S.; Soylu, K.; Arslandag, M.; Dursun, I.; Zengin, H.; Koprulu, D.; Yilmaz, O. Tissue doppler myocardial performance index in patients with heart failure and its relationship with haemodynamic parameters. Int. J. Cardiovasc. Imaging 2014, 30, 1057–1064. [Google Scholar] [CrossRef]
- Arnlov, J.; Ingelsson, E.; Riserus, U.; Andren, B.; Lind, L. Myocardial performance index, a Doppler-derived index of global left ventricular function, predicts congestive heart failure in elderly men. Eur. Heart J. 2004, 25, 2220–2225. [Google Scholar] [CrossRef] [PubMed]
- Olson, J.M.; Samad, B.A.; Alam, M. Myocardial Performance Index Determined by Tissue Doppler Imaging in Patients with Systolic Heart Failure Predicts Poor Long-Term Prognosis: An Observational Cohort Study. J. Card. Fail. 2016, 22, 611–617. [Google Scholar] [CrossRef]
- Amoozgar, H.; Ermis, R.; Honar, N.; Malek-Hosseini, S.A. Myocardial Performance after Successful Liver Transplantation. Int. J. Organ Transplant. Med. 2016, 7, 77–83. [Google Scholar] [PubMed]
- Wang, L.-K.; An, X.-F.; Wu, X.-L.; Zhang, S.-M.; Yang, R.-M.; Han, C.; Yang, J.-L.; Wang, Y.-C. Doppler myocardial performance index combined with plasma B-type natriuretic peptide levels as a marker of cardiac function in patients with decompensated cirrhosis. Medicine (Baltimore) 2018, 97, e13302. [Google Scholar] [CrossRef] [PubMed]
- LaCorte, J.C.; Cabreriza, S.E.; Rabkin, D.G.; Printz, B.F.; Coku, L.; Weinberg, A.; Gersony, W.M.; Spotnitz, H.M. Correlation of the Tei index with invasive measurements of ventricular function in a porcine model. J. Am. Soc. Echocardiogr. 2003, 16, 442–447. [Google Scholar] [CrossRef]
- Lind, L.; Andren, B.; Arnlov, J. The Doppler-Derived Myocardial Performance Index Is Determined by Both Left Ventricular Systolic and Diastolic Function as Well as by Afterload and Left Ventricular Mass. Echocardiography 2005, 22, 211–216. [Google Scholar] [CrossRef]
- Collier, P.; Phelan, D.; Klein, A. A Test in Context: Myocardial Strain Measured by Speckle-Tracking Echocardiography. J. Am. Coll. Cardiol. 2017, 69, 1043–1056. [Google Scholar] [CrossRef]
- Kraigher-Krainer, E.; Shah, A.M.; Gupta, D.K.; Santos, A.; Claggett, B.; Pieske, B.; Zile, M.R.; Voors, A.A.; Lefkowitz, M.P.; Packer, M.; et al. Impaired Systolic Function by Strain Imaging in Heart Failure With Preserved Ejection Fraction. J. Am. Coll. Cardiol. 2014, 63, 447–456. [Google Scholar] [CrossRef]
- Urbano-Moral, J.A.; Rowin, E.J.; Maron, M.S.; Crean, A.; Pandian, N.G. Investigation of Global and Regional Myocardial Mechanics with 3-Dimensional Speckle Tracking Echocardiography and Relations to Hypertrophy and Fibrosis in Hypertrophic Cardiomyopathy. Circ. Cardiovasc. Imaging 2014, 7, 11–19. [Google Scholar] [CrossRef]
- Sampaio, F.; Pimenta, J.; Bettencourt, N.; Fontes-Carvalho, R.; Silva, A.P.; Valente, J.; Bettencourt, P.; Fraga, J.; Gama, V. Systolic and diastolic dysfunction in cirrhosis: A Tissue-Doppler and speckle tracking echocardiography study. Liver Int. 2013, 33, 1158–1165. [Google Scholar] [CrossRef]
- Chen, Y.; Chan, A.C.; Chan, S.-C.; Chok, S.-H.; Sharr, W.; Fung, J.; Liu, J.-H.; Zhen, Z.; Sin, W.-C.; Lo, C.-M.; et al. A detailed evaluation of cardiac function in cirrhotic patients and its alteration with or without liver transplantation. J. Cardiol. 2016, 67, 140–146. [Google Scholar] [CrossRef] [PubMed]
- Wiese, S.; Hove, J.D.; Mo, S.; Mygind, N.D.; Tønnesen, J.; Petersen, C.L.; Clemmesen, J.O.; Goetze, J.P.; Bendtsen, F.; Møller, S. Cardiac dysfunction in cirrhosis: A 2-yr longitudinal follow-up study using advanced cardiac imaging. Am. J. Physiol. Liver Physiol. 2019, 317, G253–G263. [Google Scholar] [CrossRef] [PubMed]
- Rimbaş, R.C.; Baldea, S.M.; Guerra, R.D.G.A.; Visoiu, S.I.; Rimbaş, M.; Pop, C.S.; Vinereanu, D. New Definition Criteria of Myocardial Dysfunction in Patients with Liver Cirrhosis: A Speckle Tracking and Tissue Doppler Imaging Study. Ultrasound Med. Biol. 2018, 44, 562–574. [Google Scholar] [CrossRef] [PubMed]
- Nazar, A.; Guevara, M.; Sitges, M.; Terra, C.; Solà, E.; Guigou, C.; Arroyo, V.; Ginès, P. LEFT ventricular function assessed by echocardiography in cirrhosis: Relationship to systemic hemodynamics and renal dysfunction. J. Hepatol. 2013, 58, 51–57. [Google Scholar] [CrossRef] [PubMed]
- Nagueh, S.F. Left Ventricular Diastolic Function: Understanding Pathophysiology, Diagnosis and Prognosis with Echocardiography. JACC Cardiovasc. Imaging 2019. [Google Scholar] [CrossRef]
- Morris, D.A.; Belyavskiy, E.; Aravind-Kumar, R.; Kropf, M.; Frydas, A.; Braunauer, K.; Marquez, E.; Krisper, M.; Lindhorst, R.; Osmanoglou, E.; et al. Potential Usefulness and Clinical Relevance of Adding Left Atrial Strain to Left Atrial Volume Index in the Detection of Left Ventricular Diastolic Dysfunction. JACC Cardiovasc. Imaging 2018, 11, 1405–1415. [Google Scholar] [CrossRef] [PubMed]
- Lang, R.M.; Addetia, K.; Narang, A.; Mor-Avi, V. 3-Dimensional Echocardiography. JACC Cardiovasc. Imaging 2018, 11, 1854–1878. [Google Scholar] [CrossRef] [PubMed]
- Senior, R.; Becher, H.; Monaghan, M.; Agati, L.; Zamorano, J.; Vanoverschelde, J.L.; Nihoyannopoulos, P.; Edvardsen, T.; Lancellotti, P.; Delgado, V.; et al. Clinical practice of contrast echocardiography: Recommendation by the European Association of Cardiovascular Imaging (EACVI) 2017. Eur. Hear. J. Cardiovasc. Imaging 2017, 18, 1205–1205af. [Google Scholar] [CrossRef]
- Wong, F.; Girgrah, N.; Graba, J.; Allidina, Y.; Liu, P.; Blendis, L. The cardiac response to exercise in cirrhosis. Gut 2001, 49, 268–275. [Google Scholar] [CrossRef]
- Dahl, E.K.; Møller, S.; Kjær, A.; Petersen, C.L.; Bendtsen, F.; Krag, A. Diastolic and autonomic dysfunction in early cirrhosis: A dobutamine stress study. Scand. J. Gastroenterol. 2014, 49, 362–372. [Google Scholar] [CrossRef]
- Kim, M.Y.; Baik, S.K.; Won, C.S.; Park, H.J.; Jeon, H.K.; Hong, H.I.; Kim, J.W.; Kim, H.S.; Kwon, S.O.; Kim, J.Y.; et al. Dobutamine stress echocardiography for evaluating cirrhotic cardiomyopathy in liver cirrhosis. Korean J. Hepatol. 2010, 16, 376–382. [Google Scholar] [CrossRef]
- Zamirian, M.; Afsharizadeh, F.; Moaref, A.; Abtahi, F.; Amirmoezi, F.; Attar, A. Reduced myocardial reserve in cirrhotic patients: An evaluation by dobutamine stress speckle tracking and tissue Doppler imaging (TDI) echocardiography. J. Cardiovasc. Thorac. Res. 2019, 11, 127–131. [Google Scholar] [CrossRef] [PubMed]
- Soldera, J.; Camazzola, F.; Rodríguez, S.; Brandão, A. Cardiac stress testing and coronary artery disease in liver transplantation candidates: Meta-analysis. World J. Hepatol. 2018, 10, 877–886. [Google Scholar] [CrossRef]
- Doytchinova, A.T.; Feigenbaum, T.D.; Pondicherry-Harish, R.C.; Sepanski, P.; Green-Hess, D.; Feigenbaum, H.; Sawada, S.G. Diagnostic Performance of Dobutamine Stress Echocardiography in End-Stage Liver Disease. JACC Cardiovasc. Imaging 2019, 12, 2115–2122. [Google Scholar] [CrossRef] [PubMed]
- Patel, K.K.; Young, L.; Carey, W.; Kohn, K.A.; Grimm, R.A.; Rodriguez, L.L.; Griffin, B.P.; Desai, M.Y. Preoperative dobutamine stress echocardiography in patients undergoing orthotopic liver transplantation. Clin. Cardiol. 2018, 41, 931–935. [Google Scholar] [CrossRef]
- Agrawal, A.; Jain, D.; Dias, A.; Jorge, V.; Figueredo, V.M. Real World Utility of Dobutamine Stress Echocardiography in Predicting Perioperative Cardiovascular Morbidity and Mortality after Orthotopic Liver Transplantation. Korean Circ. J. 2018, 48, 828. [Google Scholar] [CrossRef]
- Umphrey, L.G.; Hurst, R.T.; Eleid, M.F.; Lee, K.S.; Reuss, C.S.; Hentz, J.G.; Vargas, H.E.; Appleton, C.P. Preoperative dobutamine stress echocardiographic findings and subsequent short-term adverse cardiac events after orthotopic liver transplantation. Liver Transpl. 2008, 14, 886–892. [Google Scholar] [CrossRef] [PubMed]
- Schmaier, A.A.; Taqueti, V.R. A Lack of Reserve: Recognizing the Large Impact of Small Vessels in the Heart. Circulation 2018, 138, 424–428. [Google Scholar] [CrossRef]
- Matyas, C.; Erdelyi, K.; Trojnar, E.; Zhao, S.; Varga, Z.V.; Paloczi, J.; Mukhopadhyay, P.; Nemeth, B.T.; Haskó, G.; Cinar, R.; et al. Interplay of liver-heart inflammatory axis and cannabinoid 2 receptor signalling in an experimental model of hepatic cardiomyopathy. Hepatology 2019. [Google Scholar] [CrossRef] [PubMed]
- Long, M.T.; Wang, N.; Larson, M.G.; Mitchell, G.F.; Palmisano, J.; Vasan, R.S.; Hoffmann, U.; Speliotes, E.K.; Vita, J.A.; Benjamin, E.J.; et al. Non-alcoholic fatty liver disease and vascular function—A cross-sectional analysis in the Framingham Heart Study. Arterioscler. Thromb. Vasc. Biol. 2015, 35, 1284. [Google Scholar] [CrossRef] [PubMed]
- Seiler, C.; Fleisch, M.; Meier, B. Direct intracoronary evidence of collateral steal in humans. Circulation 1997, 96, 4261–4267. [Google Scholar] [CrossRef] [PubMed]
- Picano, E. Dipyridamole-echocardiography test: Historical background and physiologic basis. Eur. Heart J. 1989, 10, 365–376. [Google Scholar] [PubMed]
- Porter, T.R.; Mulvagh, S.L.; Abdelmoneim, S.S.; Becher, H.; Belcik, J.T.; Bierig, M.; Choy, J.; Gaibazzi, N.; Gillam, L.D.; Janardhanan, R.; et al. Clinical Applications of Ultrasonic Enhancing Agents in Echocardiography: 2018 American Society of Echocardiography Guidelines Update. J. Am. Soc. Echocardiogr. 2018, 31, 241–274. [Google Scholar] [CrossRef] [PubMed]
- Baibhav, B.; Mahabir, C.A.; Xie, F.; Shostrom, V.K.; McCashland, T.M.; Porter, T.R. Predictive Value of Dobutamine Stress Perfusion Echocardiography in Contemporary End-Stage Liver Disease. J. Am. Heart Assoc. 2017, 6, e005102. [Google Scholar] [CrossRef] [PubMed]
- Aggeli, C.; Polytarchou, K.; Varvarousis, D.; Kastellanos, S.; Tousoulis, D. Stress ECHO beyond coronary artery disease. Is it the holy grail of cardiovascular imaging? Clin. Cardiol. 2018, 41, 1600–1610. [Google Scholar] [CrossRef] [PubMed]
- Lancellotti, P.; Pellikka, P.A.; Budts, W.; Chaudhry, F.A.; Donal, E.; Dulgheru, R.; Edvardsen, T.; Garbi, M.; Ha, J.-W.; Kane, G.C.; et al. The clinical use of stress echocardiography in non-ischaemic heart disease: Recommendations from the European Association of Cardiovascular Imaging and the American Society of Echocardiography. Eur. Hear. J. Cardiovasc. Imaging 2016, 17, 1191–1229. [Google Scholar] [CrossRef]
- Lai, J.C.; Sonnenday, C.J.; Tapper, E.B.; Duarte-Rojo, A.; Dunn, M.A.; Bernal, W.; Carey, E.J.; Dasarathy, S.; Kamath, B.M.; Kappus, M.R.; et al. Frailty in liver transplantation: An expert opinion statement from the American Society of Transplantation Liver and Intestinal Community of Practice. Am. J. Transplant. 2019, 19, 1896–1906. [Google Scholar] [CrossRef]
- Ney, M.; Haykowsky, M.J.; Vandermeer, B.; Shah, A.; Ow, M.; Tandon, P. Systematic review: Pre- and post-operative prognostic value of cardiopulmonary exercise testing in liver transplant candidates. Aliment. Pharmacol. Ther. 2016, 44, 796–806. [Google Scholar] [CrossRef]
- Angeli, P.; Bernardi, M.; Villanueva, C.; Francoz, C.; Mookerjee, R.P.; Trebicka, J.; Krag, A.; Laleman, W.; Gines, P. EASL Clinical Practice Guidelines for the management of patients with decompensated cirrhosis. J. Hepatol. 2018, 69, 406–460. [Google Scholar] [CrossRef]
- Soulaidopoulos, S.; Cholongitas, E.; Giannakoulas, G.; Vlachou, M.; Goulis, I. Review article: Update on current and emergent data on hepatopulmonary syndrome. World J. Gastroenterol. 2018, 24, 1285–1298. [Google Scholar] [CrossRef]
- Grilo-Bensusan, I.; Pascasio-Acevedo, J.M. Hepatopulmonary syndrome: What we know and what we would like to know. World J. Gastroenterol. 2016, 22, 5728. [Google Scholar] [CrossRef] [PubMed]
- Garg, A.; Armstrong, W.F. Echocardiography in liver transplant candidates. JACC. Cardiovasc. Imaging 2013, 6, 105–119. [Google Scholar] [CrossRef] [PubMed]
- Aggeli, C.; Verveniotis, A.; Andrikopoulou, E.; Vavuranakis, E.; Toutouzas, K.; Tousoulis, D. Echocardiographic features of PFOs and paradoxical embolism: A complicated puzzle. Int. J. Cardiovasc. Imaging 2018, 34, 1849–1861. [Google Scholar] [CrossRef] [PubMed]
- Carroll, J.D. A Positive Bubble Test Post–Patent Foramen Ovale Closure. JACC Cardiovasc. Interv. 2018, 11, 1105–1107. [Google Scholar] [CrossRef] [PubMed]
- Fragaki, M.; Sifaki-Pistolla, D.; Samonakis, D.N.; Koulentaki, M.; Koukouraki, S.; Stathaki, M.; Kouroumalis, E. Screening for Hepatopulmonary Syndrome in Cirrhotic Patients Using Technetium 99m-macroaggregated Albumin Perfusion Lung Scan (Tc-MAA). J. Clin. Gastroenterol. 2017, 52, 828–834. [Google Scholar] [CrossRef]
- Fuhrmann, V.; Krowka, M. Hepatopulmonary syndrome. J. Hepatol. 2018, 69, 744–745. [Google Scholar] [CrossRef] [PubMed]
- Krowka, M.J.; Fallon, M.B.; Kawut, S.M.; Fuhrmann, V.; Heimbach, J.K.; Ramsay, M.A.E.; Sitbon, O.; Sokol, R.J. International Liver Transplant Society Practice Guidelines. Transplantation 2016, 100, 1440–1452. [Google Scholar] [CrossRef] [PubMed]
- Rodríguez-Roisin, R.; Krowka, M.J.; Hervé, P.; Fallon, M.B. On behalf of the ERS (European Re Highlights of the ERS Task Force on pulmonary-hepatic vascular disorders (PHD)☆. J. Hepatol. 2005, 42, 924–927. [Google Scholar] [CrossRef]
- Simonneau, G.; Montani, D.; Celermajer, D.S.; Denton, C.P.; Gatzoulis, M.A.; Krowka, M.; Williams, P.G.; Souza, R. Haemodynamic definitions and updated clinical classification of pulmonary hypertension. Eur. Respir. J. 2019, 53. [Google Scholar] [CrossRef] [PubMed]
- Verma, S.; Hand, F.; Armstrong, M.J.; de Vos, M.; Thorburn, D.; Pan, T.; Klinck, J.; Westbrook, R.H.; Auzinger, G.; Bathgate, A.; et al. Portopulmonary hypertension: Still an appropriate consideration for liver transplantation? Liver Transplant. 2016, 22, 1637–1642. [Google Scholar] [CrossRef] [PubMed]
- Katsuta, Y.; Honma, H.; Zhang, X.-J.; Ohsuga, M.; Komeichi, H.; Shimizu, S.; Katoh, Y.; Miura, H.; Satomura, K.; Aramaki, T.; et al. Pulmonary blood transit time and impaired arterial oxygenation in patients with chronic liver disease. J. Gastroenterol. 2005, 40, 57–63. [Google Scholar] [CrossRef] [PubMed]
- Zhao, H.; Tsauo, J.; Zhang, X.; Ma, H.; Weng, N.; Wang, L.; Li, X. Pulmonary transit time derived from pulmonary angiography for the diagnosis of hepatopulmonary syndrome. Liver Int. 2018, 38, 1974–1981. [Google Scholar] [CrossRef] [PubMed]
- Monahan, K.; Coffin, S.; Lawson, M.; Saliba, L.; Rutherford, R.; Brittain, E. Pulmonary transit time from contrast echocardiography and cardiac magnetic resonance imaging: Comparison between modalities and the impact of region of interest characteristics. Echocardiography 2019, 36, 119–124. [Google Scholar] [CrossRef] [PubMed]
- De Lepper, A.G.W.; Herold, I.H.F.; Saporito, S.; Bouwman, R.A.; Mischi, M.; Korsten, H.H.M.; Reesink, K.D.; Houthuizen, P. Noninvasive pulmonary transit time: A new parameter for general cardiac performance. Echocardiography 2017, 34, 1138–1145. [Google Scholar] [CrossRef]
- Köksal, D.; Kaçar, S.; Köksal, A.S.; Tfekçioğlu, O.; Küçükay, F.; Okten, S.; Saçmaz, N.; Arda, K.; Sahin, B. Evaluation of Intrapulmonary Vascular Dilatations with High-Resolution Computed Thorax Tomography in Patients with Hepatopulmonary Syndrome. J. Clin. Gastroenterol. 2006, 40, 77–83. [Google Scholar] [CrossRef] [PubMed]
- Chen, Y.A.; Prabhudesai, V.; Castel, H.; Gupta, S. CT Scan Does Not Differentiate Patients with Hepatopulmonary Syndrome from Other Patients with Liver Disease. PLoS ONE 2016, 11, e0158637. [Google Scholar] [CrossRef]
- D’Alto, M.; Romeo, E.; Argiento, P.; Pavelescu, A.; Mélot, C.; D’Andrea, A.; Correra, A.; Bossone, E.; Calabrò, R.; Russo, M.G.; et al. Echocardiographic Prediction of Pre- versus Postcapillary Pulmonary Hypertension. J. Am. Soc. Echocardiogr. 2015, 28, 108–115. [Google Scholar] [CrossRef]
- Scalia, G.M.; Scalia, I.G.; Kierle, R.; Beaumont, R.; Cross, D.B.; Feenstra, J.; Burstow, D.J.; Fitzgerald, B.T.; Platts, D.G. ePLAR—The echocardiographic Pulmonary to Left Atrial Ratio—A novel non-invasive parameter to differentiate pre-capillary and post-capillary pulmonary hypertension. Int. J. Cardiol. 2016, 212, 379–386. [Google Scholar] [CrossRef] [PubMed]
- Saito, N.; Kato, S.; Saito, N.; Nakachi, T.; Fukui, K.; Kosuge, M.; Kimura, K. Distinction Between Precapillary and Postcapillary Pulmonary Hypertension by the Atrial Volume Ratio on Transthoracic Echocardiography. J. Ultrasound Med. 2018, 37, 891–896. [Google Scholar] [CrossRef]
- Gorter, T.M.; van Veldhuisen, D.J.; Voors, A.A.; Hummel, Y.M.; Lam, C.S.P.; Berger, R.M.F.; van Melle, J.P.; Hoendermis, E.S. Right ventricular-vascular coupling in heart failure with preserved ejection fraction and pre- vs. post-capillary pulmonary hypertension. Eur. Hear. J. Cardiovasc. Imaging 2018, 19, 425–432. [Google Scholar] [CrossRef]
- Schalla, S.; Nagel, E.; Lehmkuhl, H.; Klein, C.; Bornstedt, A.; Schnackenburg, B.; Schneider, U.; Fleck, E. Comparison of magnetic resonance real-time imaging of left ventricular function with conventional magnetic resonance imaging and echocardiography. Am. J. Cardiol. 2001, 87, 95–99. [Google Scholar] [CrossRef]
- Bottini, P.; Carr, A.; Prisant, L.; Flickinger, F.; Allison, J.; Gottdiener, J. Magnetic resonance imaging compared to echocardiography to assess left ventricular mass in the hypertensive patient. Am. J. Hypertens. 1995, 8, 221–228. [Google Scholar] [CrossRef]
- Lossnitzer, D.; Steen, H.; Zahn, A.; Lehrke, S.; Weiss, C.; Weiss, K.; Giannitsis, E.; Stremmel, W.; Sauer, P.; Katus, H.A.; et al. Myocardial late gadolinium enhancement cardiovascular magnetic resonance in patients with cirrhosis. J. Cardiovasc. Magn. Reson. 2010, 12, 47. [Google Scholar] [CrossRef]
- Lee, Y.B.; Lee, J.-H. Cirrhotic cardiomyopathy: An independent prognostic factor for cirrhotic patients. Clin. Mol. Hepatol. 2018, 24, 372–373. [Google Scholar] [CrossRef]
- Wahl, A.; Paetsch, I.; Roethemeyer, S.; Klein, C.; Fleck, E.; Nagel, E. High-Dose Dobutamine-Atropine Stress Cardiovascular MR Imaging after Coronary Revascularization in Patients with Wall Motion Abnormalities at Rest. Radiology 2004, 233, 210–216. [Google Scholar] [CrossRef]
- Schwitter, J.; Nanz, D.; Kneifel, S.; Bertschinger, K.; Büchi, M.; Knüsel, P.R.; Marincek, B.; Lüscher, T.F.; von Schulthess, G.K. Assessment of myocardial perfusion in coronary artery disease by magnetic resonance: A comparison with positron emission tomography and coronary angiography. Circulation 2001, 103, 2230–2235. [Google Scholar] [CrossRef]
- Greenwood, J.P.; Maredia, N.; Younger, J.F.; Brown, J.M.; Nixon, J.; Everett, C.C.; Bijsterveld, P.; Ridgway, J.P.; Radjenovic, A.; Dickinson, C.J.; et al. Cardiovascular magnetic resonance and single-photon emission computed tomography for diagnosis of coronary heart disease (CE-MARC): A prospective trial. Lancet 2012, 379, 453–460. [Google Scholar] [CrossRef]
- Parnham, S.; Gleadle, J.M.; Leong, D.; Grover, S.; Bradbrook, C.; Woodman, R.J.; De Pasquale, C.G.; Selvanayagam, J.B. Myocardial perfusion is impaired in asymptomatic renal and liver transplant recipients: A cardiovascular magnetic resonance study. J. Cardiovasc. Magn. Reson. 2015, 17, 56. [Google Scholar] [CrossRef] [PubMed]
- Reddy, S.T.; Thai, N.L.; Oliva, J.; Tom, K.B.; Dishart, M.K.; Doyle, M.; Yamrozik, J.A.; Williams, R.B.; Shah, M.; Wani, A.; et al. Cardio-hepatic risk assessment by CMR imaging in liver transplant candidates. Clin. Transplant. 2018, 32, e13229. [Google Scholar] [CrossRef]
- Krag, A.; Bendtsen, F.; Dahl, E.K.; Kjær, A.; Petersen, C.L.; Møller, S. Cardiac Function in Patients with Early Cirrhosis during Maximal Beta-Adrenergic Drive: A Dobutamine Stress Study. PLoS ONE 2014, 9, 11–13. [Google Scholar] [CrossRef]
- Sampaio, F.; Lamata, P.; Bettencourt, N.; Alt, S.C.; Ferreira, N.; Kowallick, J.T.; Pimenta, J.; Kutty, S.; Fraga, J.; Steinmetz, M.; et al. Assessment of cardiovascular physiology using dobutamine stress cardiovascular magnetic resonance reveals impaired contractile reserve in patients with cirrhotic cardiomyopathy. J. Cardiovasc. Magn. Reson. 2015, 17, 61. [Google Scholar] [CrossRef]
- Mavrogeni, S.I.; Sfikakis, P.P.; Dimitroulas, T.; Koutsogeorgopoulou, L.; Katsifis, G.; Markousis-Mavrogenis, G.; Kolovou, G.; Kitas, G.D. Can cardiovascular magnetic resonance prompt early cardiovascular/rheumatic treatment in autoimmune rheumatic diseases? Current practice and future perspectives. Rheumatol. Int. 2018, 38, 949–958. [Google Scholar] [CrossRef] [PubMed]
- Kwong, R.Y.; Farzaneh-Far, A. Measuring Myocardial Scar by CMR⁎⁎Editorials published in JACC: Cardiovascular Imaging reflect the views of the authors and do not necessarily represent the views of JACC: Cardiovascular Imaging or the American College of Cardiology. JACC Cardiovasc. Imaging 2011, 4, 157–160. [Google Scholar] [CrossRef] [PubMed]
- Gaibazzi, N.; Bianconcini, M.; Marziliano, N.; Parrini, I.; Conte, M.R.; Siniscalchi, C.; Faden, G.; Faggiano, P.; Pigazzani, F.; Grassi, F.; et al. Scar Detection by Pulse-Cancellation Echocardiography: Validation by CMR in Patients with Recent STEMI. JACC Cardiovasc. Imaging 2016, 9, 1239–1251. [Google Scholar] [CrossRef]
- Bondarenko, O.; Beek, A.; Nijveldt, R.; McCann, G.; van Dockum, W.; Hofman, M.; Twisk, J.; Visser, C.; van Rossum, A. Functional Outcome after Revascularization in Patients with Chronic Ischemic Heart Disease: A Quantitative Late Gadolinium Enhancement CMR Study Evaluating Transmural Scar Extent, Wall Thickness and Periprocedural Necrosis. J. Cardiovasc. Magn. Reson. 2007, 9, 815–821. [Google Scholar] [CrossRef]
- Ambale-Venkatesh, B.; Liu, C.-Y.; Liu, Y.-C.; Donekal, S.; Ohyama, Y.; Sharma, R.K.; Wu, C.O.; Post, W.S.; Hundley, G.W.; Bluemke, D.A.; et al. Association of myocardial fibrosis and cardiovascular events: The multi-ethnic study of atherosclerosis. Eur. Hear. J. Cardiovasc. Imaging 2019, 20, 168–176. [Google Scholar] [CrossRef]
- Kwong, R.Y.; Chan, A.K.; Brown, K.A.; Chan, C.W.; Reynolds, H.G.; Tsang, S.; Davis, R.B. Impact of Unrecognized Myocardial Scar Detected by Cardiac Magnetic Resonance Imaging on Event-Free Survival in Patients Presenting with Signs or Symptoms of Coronary Artery Disease. Circulation 2006, 113, 2733–2743. [Google Scholar] [CrossRef] [PubMed]
- Mavrogeni, S.I.; Markussis, V.; Kaklamanis, L.; Tsiapras, D.; Paraskevaidis, I.; Karavolias, G.; Karagiorga, M.; Douskou, M.; Cokkinos, D.V.; Kremastinos, D.T. A comparison of magnetic resonance imaging and cardiac biopsy in the evaluation of heart iron overload in patients with beta-thalassemia major. Eur. J. Haematol. 2005, 75, 241–247. [Google Scholar] [CrossRef] [PubMed]
- Gulati, V.; Harikrishnan, P.; Palaniswamy, C.; Aronow, W.S.; Jain, D.; Frishman, W.H. Cardiac Involvement in Hemochromatosis. Cardiol. Rev. 2014, 22, 56–68. [Google Scholar] [CrossRef]
- Abu Rajab, M.; Guerin, L.; Lee, P.; Brown, K.E. Iron overload secondary to cirrhosis: A mimic of hereditary haemochromatosis? Histopathology 2014, 65, 561–569. [Google Scholar] [CrossRef]
- Papadodima, S.; Masia, R.; Stone, J.R. Cardiac iron overload following liver transplantation in patients without hereditary hemochromatosis or severe hepatic iron deposition. Cardiovasc. Pathol. 2019, 40, 7–11. [Google Scholar] [CrossRef] [PubMed]
- O’Glasser, A.Y.; Scott, D.L.; Corless, C.L.; Zaman, A.; Sasaki, A.; Gopal, D.V.; Rayhill, S.C.; Orloff, S.L.; Ham, J.M.; Rabkin, J.M.; et al. Hepatic and cardiac iron overload among patients with end-stage liver disease referred for liver transplantation. Clin. Transplant. 2010, 24, 643–651. [Google Scholar] [CrossRef]
- Lewin, S.M.; Kallianos, K.; Nevah, M.I.; Zhao, S.; Fix, O.K.; Brooks, G.C.; De Marco, T.; Qasim, A.N.; Ordovas, K.G.; Mehta, N. Cardiac MRI T2* in Liver Transplant Candidates. Transplant. Direct 2018, 4, e363. [Google Scholar] [CrossRef]
- Duca, F.; Kammerlander, A.A.; Zotter-Tufaro, C.; Aschauer, S.; Schwaiger, M.L.; Marzluf, B.A.; Bonderman, D.; Mascherbauer, J. Interstitial Fibrosis, Functional Status, and Outcomes in Heart Failure with Preserved Ejection Fraction. Circ. Cardiovasc. Imaging 2016, 9. [Google Scholar] [CrossRef] [PubMed]
- Wiese, S.; Hove, J.; Mo, S.; Mookerjee, R.P.; Petersen, C.L.; Vester-Andersen, M.K.; Mygind, N.D.; Goetze, J.P.; Kjær, A.; Bendtsen, F.; et al. Myocardial extracellular volume quantified by magnetic resonance is increased in cirrhosis and related to poor outcome. Liver Int. 2018, 38, 1614–1623. [Google Scholar] [CrossRef]
- Von Knobelsdorff-Brenkenhoff, F.; Schulz-Menger, J. Role of cardiovascular magnetic resonance in the guidelines of the European Society of Cardiology. J. Cardiovasc. Magn. Reson. 2016, 18, 6. [Google Scholar] [CrossRef] [PubMed]
- Reddy, S.T.; Thai, N.L.; Fakhri, A.A.; Oliva, J.; Tom, K.B.; Dishart, M.K.; Doyle, M.; Yamrozik, J.A.; Williams, R.B.; Grant, S.B.; et al. Exploratory Use of Cardiovascular Magnetic Resonance Imaging in Liver Transplantation. Transplant. J. 2013, 96, 827–833. [Google Scholar] [CrossRef] [PubMed]




| Cirrhotic patient with |
|
| Systolic function (at least 1) |
|
| Diastolic function (at least 1) |
|
| Supportive criteria |
|
© 2019 by the authors. Licensee MDPI, Basel, Switzerland. This article is an open access article distributed under the terms and conditions of the Creative Commons Attribution (CC BY) license (http://creativecommons.org/licenses/by/4.0/).
Share and Cite
Dimitroglou, Y.; Aggeli, C.; Alexopoulou, A.; Mavrogeni, S.; Tousoulis, D. Cardiac Imaging in Liver Transplantation Candidates: Current Knowledge and Future Perspectives. J. Clin. Med. 2019, 8, 2132. https://doi.org/10.3390/jcm8122132
Dimitroglou Y, Aggeli C, Alexopoulou A, Mavrogeni S, Tousoulis D. Cardiac Imaging in Liver Transplantation Candidates: Current Knowledge and Future Perspectives. Journal of Clinical Medicine. 2019; 8(12):2132. https://doi.org/10.3390/jcm8122132
Chicago/Turabian StyleDimitroglou, Yannis, Constantina Aggeli, Alexandra Alexopoulou, Sophie Mavrogeni, and Dimitris Tousoulis. 2019. "Cardiac Imaging in Liver Transplantation Candidates: Current Knowledge and Future Perspectives" Journal of Clinical Medicine 8, no. 12: 2132. https://doi.org/10.3390/jcm8122132
APA StyleDimitroglou, Y., Aggeli, C., Alexopoulou, A., Mavrogeni, S., & Tousoulis, D. (2019). Cardiac Imaging in Liver Transplantation Candidates: Current Knowledge and Future Perspectives. Journal of Clinical Medicine, 8(12), 2132. https://doi.org/10.3390/jcm8122132

