Intracranial CNS Manifestations of Myeloid Sarcoma in Patients with Acute Myeloid Leukemia: Review of the Literature and Three Case Reports from the Author’s Institution
Abstract
:1. Introduction
- (1)
- They may develop during the active phase of leukemia;
- (2)
- They may develop concurrently with known chronic myeloproliferative disorders;
- (3)
- They may manifest as a relapse after months or years after clinical remission of AML, particularly after bone marrow transplantation;
- (4)
- They may precede the AML diagnosis and may be detected in previously healthy patients who have a normal peripheral blood cell count and who have no blast infiltration in the bone marrow (0.6% of cases as described by Krause [3]). In this group of patients, most of the patients develop myeloid leukemia blast infiltration an average of 10.5 months following the diagnosis of a myeloid sarcoma [4]. In a large population-based cohort study from Denmark, the prevalence of myeloid sarcoma among 2261 patients with AML was 9.7%; however, CNS involvement by myeloid sarcoma was only present in 0.4% of these patients [5].
2. Literature Review
3. Results
| Authors, Year | Age (Years), Gender | AML Diagnosis | Single vs. Multiple | CNS Anatomic Location (s) | Intra- or Extra-Axial | CT and/or MR Characteristics |
|---|---|---|---|---|---|---|
| Yang et al., 2014 [11] | 27, male | preceding AML diagnosis | single | occipital lobe (1), spine (2) | extra-axial | meningioma-like, vasogenic edema |
| Cho et al., 2013 [12] | 27, female | AML relapse, 10 months in CR | single | right cerebellopontine angle | extra-axial | meningioma-like, vasogenic edema |
| Murakami et al., 2011 [10] | 52, male | AML relapse, 5 years in CR | multiple | right temporal bone and right temporal lobe | extra-axial | meningioma-like, vasogenic edema |
| Akhaddar et al., 2011 [6] | 27, n/a | preceding AML diagnosis | single | right frontal lobe | intra-axial | intraparenchymal, vasogenic edema |
| Eom et al., 2011 [7] | 49, male | AML relapse, 2 years in CR | multiple | left cerebellum, right frontal lobe and cervical and lumbar spine | intra-axial | intraparenchymal |
| Cho et al., 2010 [13] | 44, male | AML relapse, 2 years in CR | single | corpus callosum | intra-axial | meningioma-like |
| Grier et al., 2008 [14] | 41, female | preceding AML diagnosis | multiple | left temporal lobe, infratemporal extension | extra-axial | meningioma-like |
| Widhalm et al., 2006 [15] | 35, female | preceding AML diagnosis | multiple | right parietal lobe and subgaleal (1), spine (2) | extra-axial | meningioma-like |
| Smidt et al., 2005 [16] | 45, male | AML relapse, 16 years in CR | single | left cerebral hemisphere subdural location | extra-axial | hemispheric subdural mass, C+, mass effect |
| Best-Aguilera et al., 2005 [17] | 37, male | preceding AML diagnosis | multiple | right occipital lobe, mediastinum, retroperitoneum, liver, rectum | extra-axial | meningioma-like, vasogenic edema |
| Nishimura et al., 2004 [18] | 30, female | AML relapse, 16 months in CR | single | right frontal lobe, subgaleal and superior sag. sinus extension | extra-axial | meningioma-like, vasogenic edema |
| Suzer et al., 2004 [19] | 58, female | AML relapse, 6–12 months in CR | single | left cerebellar hemisphere | intra-axial | Intraparenchymal |
| Park et al., 2003 [20] | 3, female | preceding AML diagnosis | multiple | right temporal lobe, infratemporal extension, kidneys, bones | extra-axial | meningioma-like |
| Nikolic et al., 2003 [21] | 45, male | AML relapse, indeterminate CR | single | left frontal lobe | extra-axial | meningioma-like, vasogenic edema |
| Guermazi et al., 2002 [22] | 28, female | AML relapse, 8 months in CR | single | left parietal lobe | intra-axial | intraparenchymal, vasogenic edema |
| Guermazi et al., 2002 [22] | 58, female | preceding AML diagnosis | single | right basal ganglia | intra-axial | intraparenchymal, vasogenic edema |
| Ooi et al., 2001 [9] | 32, male | AML relapse, 18 months in CR | multiple | right temporal lobe, nasopharynx | intra-axial | intraparenchymal, mimicking abscess |
| Yamamoto et al., 1999 [23] | 38, male | AML relapse, 2 years in CR | single | left temporal lobe | intra-axial | intraparenchymal, vasogenic edema |
| Parker et al., 2005 [24] | 29, female | AML relapse, 6 months in CR | single | cerebellar vermis | intra-axial | intraparenchymal |
| Yoon et al., 1987 [25] | 16, female | preceding AML diagnosis | single | left parietal lobe | extra-axial | meningioma-like |
| Barnett, Zussman 1986 [8] * | 34, male | AML relapse, 13 months in CR | multiple | left occipital and left cerebellum | intra-axial (2) | intraparenchymal lesions |
| Barnett, Zussman 1986 [8] * | 34, male | AML relapse, 13 months in CR | multiple | right temporal lobe | intra-axial (1) | intraparenchymal, hypodense lesion, core of necrosis |
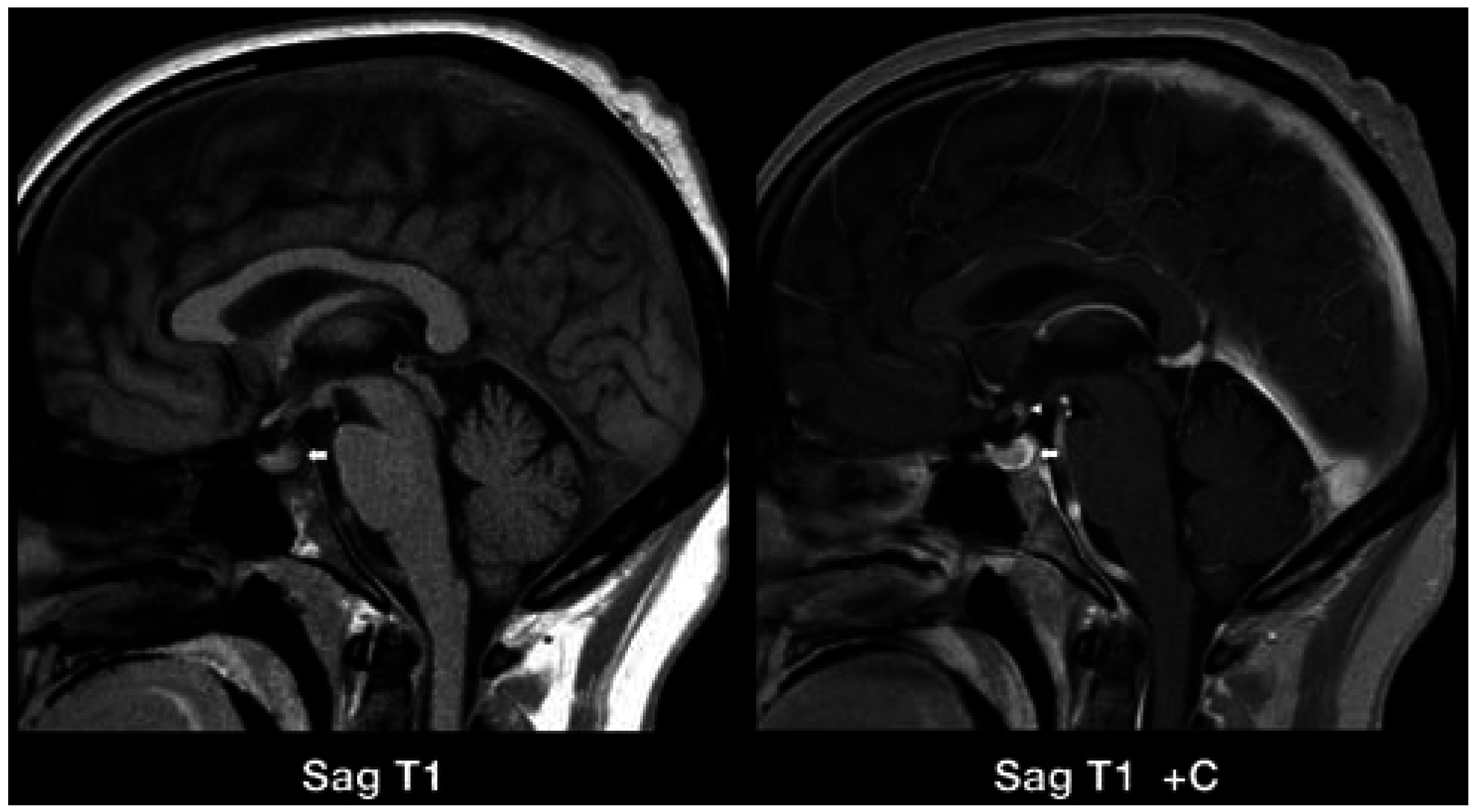
4. Authors’ Institution Case Reports



5. Discussion
6. Conclusions
Author Contributions
Conflicts of Interest
References
- Burns, A. Observations of surgical anatomy. In Head and Neck; Royce: London, UK, 1811; p. 364. [Google Scholar]
- Audouin, J.; Comperat, E.; le Tourneau, A.; Camilleri-Broët, S.; Adida, C.; Molina, T.; Diebold, J. Myeloid sarcoma: Clinical and morphologic criteria useful for diagnosis. Int. J. Surg. Pathol. 2003, 11, 271–282. [Google Scholar] [CrossRef] [PubMed]
- Krause, J.R. Myeloid sarcoma preceding acute leukemia: A report of six cases. Cancer 1979, 44, 1017–1021. [Google Scholar] [CrossRef] [PubMed]
- Neiman, R.S.; Barcos, M.; Berard, C.; Bonner, H.; Mann, R.; Rydell, R.E.; Bennett, J.M. Myeloid sarcoma: A clinicopathologic study of 61 biopsied cases. Cancer 1981, 48, 1426–1437. [Google Scholar] [CrossRef] [PubMed]
- Østgaard, L.S.G.; Sengeløv, H.; Holm, M.S.; Johnsen, H.E.; Severinsen, M.T.; Kjeldsen, E.; Bergmann, O.J.; Friis, L.S.; Jensen, M.K.; Nielsen, O.J.; et al. Extramedullary Leukemia and Myeloid Sarcoma in AML: New Clues to an Old Issue. Results of a Retrospective Population-Based Registry-Study of 2261 patients. In Annals of 53rd American Society of Hematology Annual Meeting and Exposition, San Diego, CA, USA, 10–13 December 2011.
- Akhaddar, A.; Zyani, M.; Mikdame, M.; Boucetta, M. Acute myeloid leukemia with brain involvement (chloroma). Intern. Med. 2011, 50, 535–536. [Google Scholar] [CrossRef] [PubMed]
- Eom, K.S.; Kim, T.Y. Intraparenchymal myeloid sarcoma and subsequent spinal myeloid sarcoma for acute myeloblastic leukemia. J. Korean Neurosurg. Soc. 2011, 49, 171–174. [Google Scholar] [CrossRef] [PubMed]
- Barnett, M.J.; Zussman, W.V. Granulocytic sarcoma of the brain: a case report and review of the literature. Radiology 1986, 160, 223–225. [Google Scholar] [CrossRef] [PubMed]
- Ooi, G.C.; Chim, C.S.; Khong, P.L.; Au, W.Y.; Lie, A.K.; Tsang, K.W.; Kwong, Y.L. Radiologic manifestations of myeloid sarcoma in adult leukemia. AJR Am. J. Roentgenol. 2001, 176, 1427–1431. [Google Scholar] [CrossRef] [PubMed]
- Murakami, M.; Uno, T.; Nakaguchi, H.; Yamada, S.M.; Hoya, K.; Yamazaki, K.; Ishida, Y.; Matsuno, A. Isolated recurrence of intracranial and temporal bone myeloid sarcoma—Case report. Neurol. Med. Chir. Tokyo 2011, 51, 850–854. [Google Scholar] [CrossRef] [PubMed]
- Yang, C.; Liu, Y.; Li, G.; Bai, J.; Qian, J.; Xu, Y. Multifocal myeloid sarcoma in the central nervous system without leukemia. Clin. Neurol. Neurosurg. 2014, 120, 99–102. [Google Scholar] [CrossRef] [PubMed]
- Cho, S.F.; Liu, T.C.; Chang, C.S. Isolated central nervous system relapse presenting as myeloid sarcoma of acute myeloid leukemia after allogeneic peripheral blood stem cell transplantation. Ann. Hematol. 2013, 92, 133–135. [Google Scholar] [CrossRef] [PubMed]
- Cho, W.H.; Choi, Y.J.; Choi, B.K.; Cha, S.H. Isolated recurrence of intracranial granulocytic sarcoma mimicking a falx meningioma in acute myeloblastic leukemia. J. Korean Neurosurg. Soc. 2010, 47, 385–388. [Google Scholar] [CrossRef] [PubMed]
- Grier, D.D.; Al-Quran, S.Z.; Gray, B.; Li, Y.; Braylan, R. Intracranial myeloid sarcoma. Br. J. Haematol. 2008, 142, 681. [Google Scholar] [CrossRef] [PubMed]
- Widhalm, G.; Dietrich, W.; Müllauer, L.; Streubel, B.; Rabitsch, W.; Kotter, M.R.; Knosp, E.; Roessler, K. Myeloid sarcoma with multiple lesions of the central nervous system in a patient without leukemia. Case report. J. Neurosurg. 2006, 105, 916–919. [Google Scholar] [CrossRef] [PubMed]
- Smidt, M.H.; de Bruin, H.G.; van’t Veer, M.B.; van den Bent, M.J. Intracranial granulocytic sarcoma (chloroma) may mimic a subdural hematoma. J. Neurol. 2005, 252, 498–499. [Google Scholar] [CrossRef] [PubMed]
- Best-Aguilera, C.R.; Vazquez-Del Mercado, M.; Muñoz-Valle, J.F.; Herrera-Zarate, L.; Bonilla, G.M.; Navarro-Hernandez, R.E.; Martin-Marquez, B.T.; Oregon-Romero, E.; Ruiz-Quezada, S.; Lomeli-Guerrero, A. Massive myeloid sarcoma affecting the central nervous system, mediastinum, retroperitoneum, liver, and rectum associated with acute myeloblastic leukaemia: A case report. J. Clin. Pathol. 2005, 58, 325–357. [Google Scholar] [CrossRef] [PubMed]
- Nishimura, S.; Kyuma, Y.; Kamijo, A.; Maruta, A. Isolated recurrence of granulocytic sarcoma manifesting as extra- and intracranial masses—Case report. Neurol. Med. Chir. Tokyo 2004, 44, 311–316. [Google Scholar] [CrossRef] [PubMed]
- Suzer, T.; Colakoglu, N.; Cirak, B.; Keskin, A.; Coskun, E.; Tahta, K. Intracerebellar granulocytic sarcoma complicating acute myelogenous leukemia: A case report and review of the literature. J. Clin. Neurosci. 2004, 11, 914–917. [Google Scholar] [CrossRef] [PubMed]
- Park, H.J.; Jeong, D.H.; Song, H.G.; Lee, G.K.; Han, G.S.; Cha, S.H.; Ha, T.S. Myeloid sarcoma of both kidneys, the brain, and multiple bones in a nonleukemic child. Yonsei Med. J. 2003, 44, 740–743. [Google Scholar] [CrossRef] [PubMed]
- Nikolic, B.; Feigenbaum, F.; Abbara, S.; Martuza, R.L.; Schellinger, D. CT changes of an intracranial granulocytic sarcoma on short-term follow-up. AJR Am. J. Roentgenol. 2003, 180, 78–80. [Google Scholar] [CrossRef] [PubMed]
- Guermazi, A.; Feger, C.; Rousselot, P.; Merad, M.; Benchaib, N.; Bourrier, P.; Mariette, X.; Frija, J.; de Kerviler, E. Granulocytic sarcoma (chloroma): Imaging findings in adults and children. AJR Am. J. Roentgenol. 2002, 178, 319–325. [Google Scholar] [CrossRef] [PubMed]
- Yamamoto, K.; Hamaguchi, H.; Nagata, K.; Hara, M.; Tone, O.; Tomita, H.; Ito, U. Isolated recurrence of granulocytic sarcoma of the brain: Successful treatment with surgical resection, intrathecal injection, irradiation and prophylactic systemic chemotherapy. Jpn. J. Clin. Oncol. 1999, 29, 214–218. [Google Scholar] [CrossRef] [PubMed]
- Parker, K.; Hardjasudarma, M.; McClellan, R.L.; Fowler, M.R.; Milner, J.W. MR features of an intracerebellar chloroma. AJNR Am. J. Neuroradiol. 1996, 17, 1592–1594. [Google Scholar] [PubMed]
- Yoon, D.H.; Cho, K.J.; Suh, Y.L.; Kim, C.W.; Chi, J.G.; Han, D.H.; Bang, Y.J.; Kim, B.K.; Kim, N.K.; Cho, H.I. Intracranial granulocytic sarcoma (chloroma) in a nonleukemic patient. J. Korean. Med. Sci. 1987, 2, 173–178. [Google Scholar] [CrossRef] [PubMed]
- Chuang, C.; Parnerkar, V.; Radulescu, A.; Hunt, M.A.; Cayci, Z.; Ustun, C. Diabetes insipidus in myelodysplastic syndrome: What we learnt from a case regarding its diagnosis, pathophysiology and management. Leuk. Lymphoma 2014, 20, 1–3. [Google Scholar]
- Osborn, A.G. Lymphomas, hematopoietic and histiocytic tumors. In Osborn’s Brain: Imaging, Pathology and Anatomy; AMIRSYS Publishing: Salt Lake City, UT, USA, 2013; pp. 668–671. [Google Scholar]
- Avni, B.; Koren-Michowitz, M. Myeloid sarcoma: Current approach and therapeutic options. Adv. Hematol. 2011, 2, 309–316. [Google Scholar] [CrossRef]
© 2015 by the authors; licensee MDPI, Basel, Switzerland. This article is an open access article distributed under the terms and conditions of the Creative Commons Attribution license (http://creativecommons.org/licenses/by/4.0/).
Share and Cite
Cervantes, G.M.; Cayci, Z. Intracranial CNS Manifestations of Myeloid Sarcoma in Patients with Acute Myeloid Leukemia: Review of the Literature and Three Case Reports from the Author’s Institution. J. Clin. Med. 2015, 4, 1102-1112. https://doi.org/10.3390/jcm4051102
Cervantes GM, Cayci Z. Intracranial CNS Manifestations of Myeloid Sarcoma in Patients with Acute Myeloid Leukemia: Review of the Literature and Three Case Reports from the Author’s Institution. Journal of Clinical Medicine. 2015; 4(5):1102-1112. https://doi.org/10.3390/jcm4051102
Chicago/Turabian StyleCervantes, Gustavo M., and Zuzan Cayci. 2015. "Intracranial CNS Manifestations of Myeloid Sarcoma in Patients with Acute Myeloid Leukemia: Review of the Literature and Three Case Reports from the Author’s Institution" Journal of Clinical Medicine 4, no. 5: 1102-1112. https://doi.org/10.3390/jcm4051102
APA StyleCervantes, G. M., & Cayci, Z. (2015). Intracranial CNS Manifestations of Myeloid Sarcoma in Patients with Acute Myeloid Leukemia: Review of the Literature and Three Case Reports from the Author’s Institution. Journal of Clinical Medicine, 4(5), 1102-1112. https://doi.org/10.3390/jcm4051102
