Perspectives on Matrix Metalloproteinase-8 and Salivary Osteoprotegerin in Orthodontic Strategy in Children with Chronic Kidney Disease
Abstract
1. Introduction
2. Materials and Methods
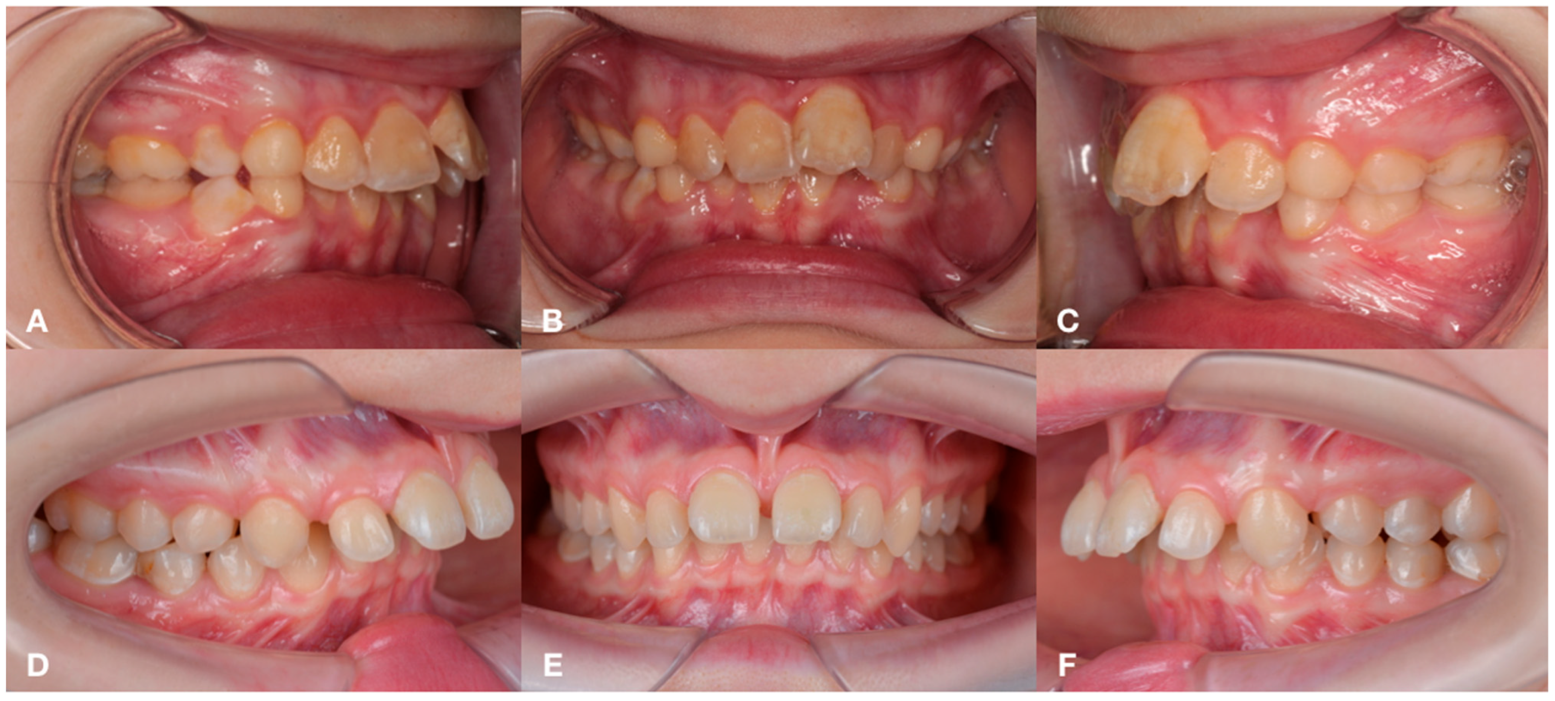
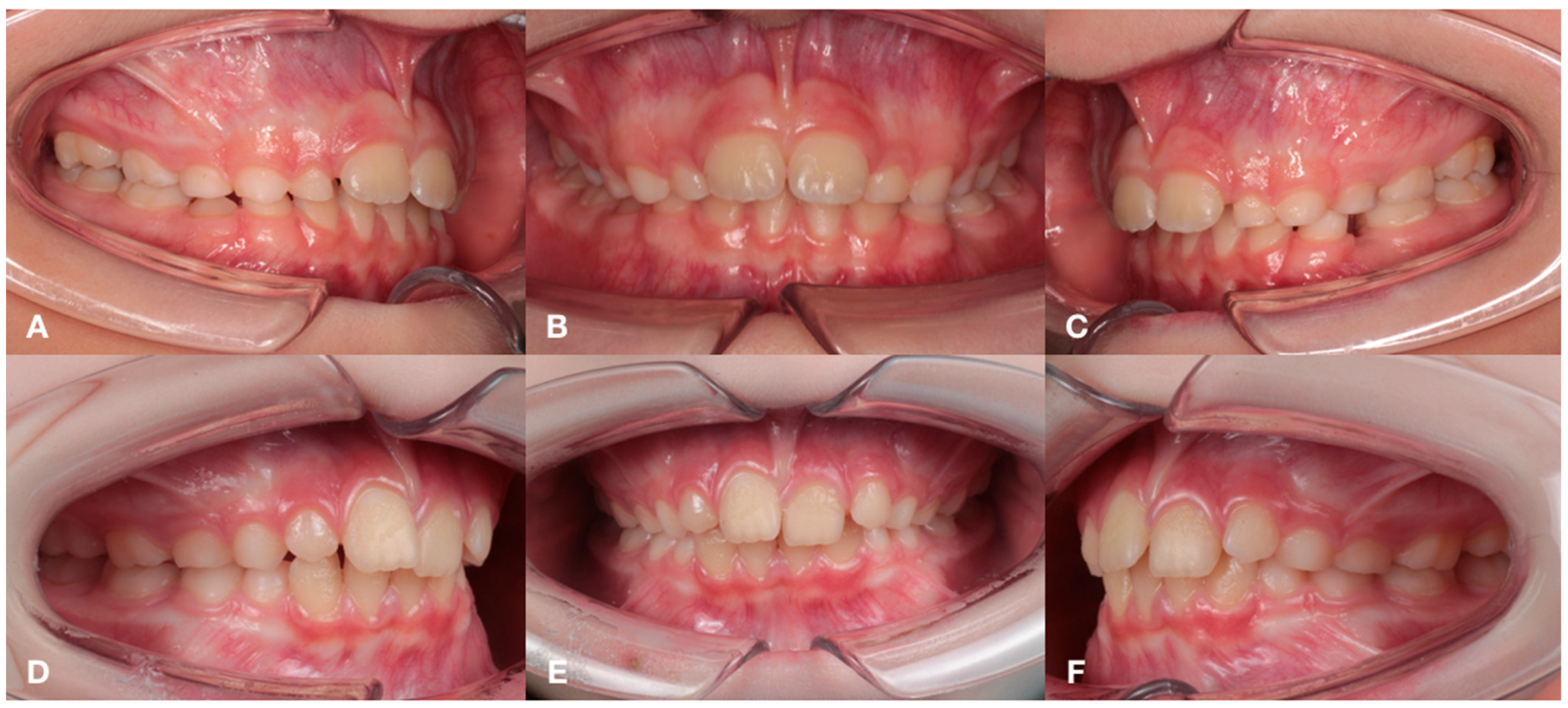
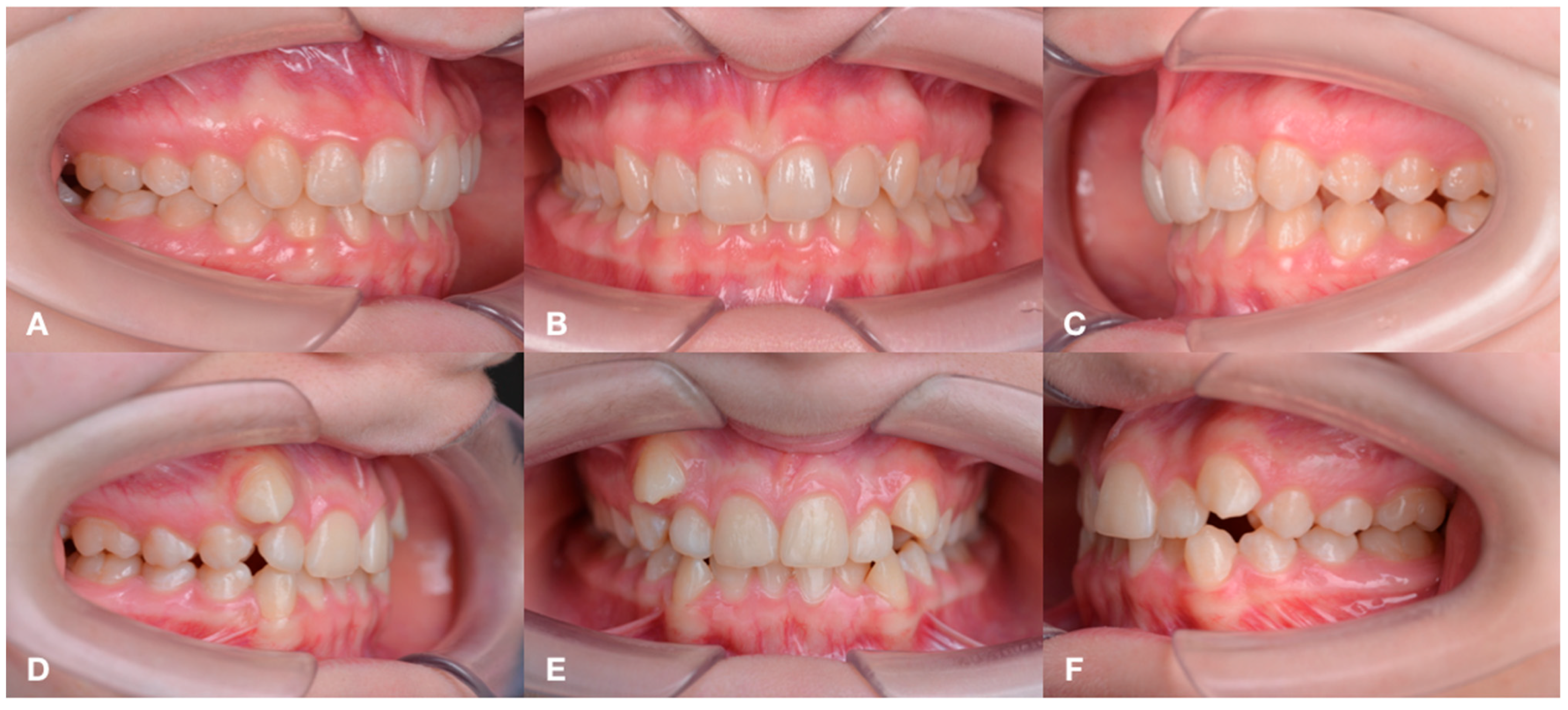
2.1. Subjects
2.2. Saliva Samples Analysis
2.3. Statistical Analysis
3. Results
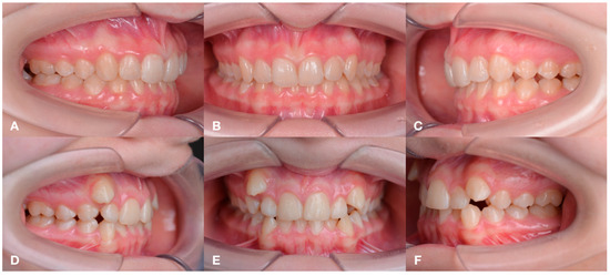
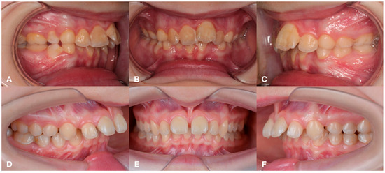
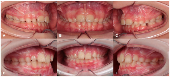
3.1. Periodontal Status and Inflammatory Indices
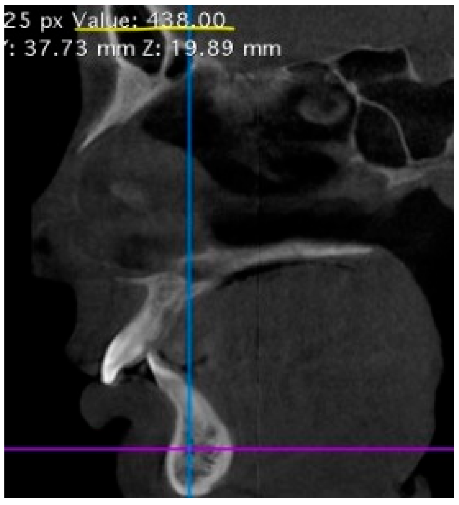
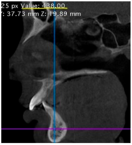
3.2. Radiological Bone Density of the Jaws, Hounsfield Index Analysis
3.3. Matrix Metalloproteinase-8 and Osteoprotegerin Levels in Saliva in Comparison to eGFR
3.4. Correlation Analysis of Renal Function, Bone Density, and Salivary Biomarkers
4. Discussion
5. Conclusions
Author Contributions
Funding
Institutional Review Board Statement
Informed Consent Statement
Data Availability Statement
Conflicts of Interest
References
- Andaloro, C.; Sessa, C.; Bua, N.; La Mantia, I. Chronic kidney disease in children: Assessment of oral health status. Dent. Med. Probl. 2018, 55, 23–28. [Google Scholar] [CrossRef] [PubMed]
- Sezer, B.; Kodaman Dokumacıgil, N.; Kaya, R.; Güven, S.; Türkkan, Ö.N.; Çiçek, N.; Alpay, H.; Kargül, B. Association between serum biomarkers and oral health status in children with chronic kidney disease: A cross-sectional study. Clin. Oral Investig. 2023, 27, 3731–3740. [Google Scholar] [CrossRef] [PubMed]
- Lahring, J.; Leifheit-Nestler, M.; Ewert, A.; Herzig, N.; Köppl, C.; Pott, V.; Oh, J.; Büscher, A.; Thumfart, J.; Weber, L.T.; et al. Cystinosis-associated metabolic bone disease across ages and CKD stages 1-5D/T. J. Clin. Endocrinol. Metab. 2024, 110, e218–e230. [Google Scholar] [CrossRef]
- Velan, E.; Sheller, B. Oral health in children with chronic kidney disease. Pediatr. Nephrol. 2021, 36, 3067–3075. [Google Scholar] [CrossRef]
- Oduncuoğlu, B.F.; Alaaddinoğlu, E.E.; Çolak, T.; Akdur, A.; Haberal, M. Effects of Renal Transplantation and Hemodialysis on Patient’s General Health Perception and Oral Health-Related Quality of Life: A Single-Center Cross-Sectional Study. Transplant. Proc. 2020, 52, 785–792. [Google Scholar] [CrossRef]
- Vacaru, R.P.; Didilescu, A.C.; Constantinescu, I.; Mărunțelu, I.; Tănase, M.; Stanciu, I.A.; Kaman, W.E.; Brand, H.S. Salivary Enzymatic Activity and Carious Experience in Children: A Cross-Sectional Study. Children 2022, 9, 343. [Google Scholar] [CrossRef]
- Keskin, M.; Rintamarttunen, J.; Gülçiçek, E.; Räisänen, I.T.; Gupta, S.; Tervahartiala, T.; Pätilä, T.; Sorsa, T. A Comparative Analysis of Treatment-Related Changes in the Diagnostic Biomarker Active Metalloproteinase-8 Levels in Patients with Periodontitis. Diagnostics 2023, 13, 903. [Google Scholar] [CrossRef]
- Altaee, Z.H.; Bdaiwi, A.T.; Al-Salmany, L.H.A.; Khalaf, B.Z. Changes in epithelial cells adjacent to orthodontic devices. Braz. Dent. Sci. 2024, 27, e4142. [Google Scholar] [CrossRef]
- Sharma, T.; Sharma, A.; Sharma, A.; Bansal, C.; Patyal, A. Orthodontic management in medically compromised patients. Int. J. Sci. Rep. 2022, 8, 57–66. [Google Scholar] [CrossRef]
- Hikmatuloyevna, M.M.; Komiljon o’g’li, S.S.; Komiljon o’g’li, S.S. Oral mucosa injuries. Indones. J. Instr. Media Model. 2024, 2, 381–386. [Google Scholar]
- Morozova, N.S.; Elovskaya, A.A. Manifestation of orofacial pathology in children with chronic kidney disease. Med. Pharm. J. Pulse 2021, 23, 13–18. [Google Scholar] [CrossRef]
- Shroff, R.; Wesseling-Perry, K.; Bacchetta, J. Chronic Kidney Disease–Mineral and Bone Disorder (CKD-MBD). In Pediatr. Nephrol.; Emma, F., Goldstein, S.L., Bagga, A., Bates, C.M., Shroff, R., Eds.; Springer International Publishing: Cham, Switzerland, 2022; Volume 2, pp. 1751–1778. [Google Scholar] [CrossRef]
- Denburg, M.R.; Kumar, J.; Jemielita, T.; Brooks, E.R.; Skversky, A.; Portale, A.A.; Salusky, I.B.; Warady, B.A.; Furth, S.L.; Leonard, M.B. Fracture Burden and Risk Factors in Childhood CKD: Results from the CKiD Cohort Study. J. Am. Soc. Nephrol. 2016, 27, 543–550. [Google Scholar] [CrossRef]
- Nara, Y. Analysis of Bone Microstructure and Orthodontic Tooth Movement in Osteoporosis Model Mice. Ph.D. Thesis, Tohoku University, Sendai, Japan, 2021. [Google Scholar]
- Li, Y.; Jacox, L.A.; Little, S.H.; Ko, C.C. Orthodontic tooth movement: The biology and clinical implications. Kaohsiung J. Med. Sci. 2018, 34, 207–214. [Google Scholar] [CrossRef] [PubMed]
- Bilgili, E.; Üçok, C.Ö. Evaluating trabecular microstructure of mandible and axis in osteoporosis, diabetes and chronic kidney disease using cone beam computed tomography. Oral. Radiol. 2023, 39, 83–92. [Google Scholar] [CrossRef]
- Vogel, J.O.; Freire, C.H.; Munhoz, L.; Andrade, B.A.B.; Tenório, J.R. Mandibular bone imaging assessment in chronic kidney disease: A systematic review and meta-analysis. Oral Surg. Oral Med. Oral Pathol. Oral Radiol. 2024, 138, 565–574. [Google Scholar] [CrossRef]
- Güneş, G.; Doğruer Ünal, N.; Eskandari, G.; Kiykim, A.; Bölgen Çimen, Ö.; Temel, G.; Çimen, M.B.Y. Determination of NF-κB and RANKL levels in peripheral blood osteoclast precursor cells in chronic kidney disease patients. Int. Urol. Nephrol. 2018, 50, 1181–1188. [Google Scholar] [CrossRef]
- Lu, H.; Wu, H.; Yang, Y.; Feng, X.; Ma, X.; Xie, Y.; Xie, D.; Wang, W.; Lo, E.C.M.; Ye, W. Relationship between chronic periodontitis and inflammatory cytokines in patients undergoing maintenance hemodialysis. Clin. Oral Investig. 2022, 26, 6699–6709. [Google Scholar] [CrossRef]
- Räisänen, I.T.; Aji, N.R.A.S.; Sakellari, D.; Grigoriadis, A.; Rantala, I.; Pätilä, T.; Heikkilä, P.; Gupta, S.; Sorsa, T. Active Matrix Metalloproteinase-8 (aMMP-8) Versus Total MMP-8 in Periodontal and Peri-Implant Disease Point-of-Care Diagnostics. Biomedicines 2023, 11, 2885. [Google Scholar] [CrossRef]
- Teles, F.R.F.; Chandrasekaran, G.; Martin, L.; Patel, M.; Kallan, M.J.; Furquim, C.; Hamza, T.; Cucchiara, A.J.; Kantarci, A.; Urquhart, O.; et al. Salivary and serum inflammatory biomarkers during periodontitis progression and after treatment. J. Clin. Periodontol. 2024, 51, 1619–1631. [Google Scholar] [CrossRef]
- Borujeni, S.I.; Mayer, M.; Eickholz, P. Activated matrix metalloproteinase-8 in saliva as diagnostic test for periodontal disease? A case-control study. Med. Microbiol. Immunol. 2015, 204, 665–672. [Google Scholar] [CrossRef]
- Sorsa, T.; Alassiri, S.; Grigoriadis, A.; Räisänen, I.T.; Pärnänen, P.; Nwhator, S.O.; Gieselmann, D.R.; Sakellari, D. Active MMP-8 (aMMP-8) as a grading and staging biomarker in the periodontitis classification. Diagnostics 2020, 10, 61. [Google Scholar] [CrossRef] [PubMed]
- Chaparro, A.; Realini, O.; Hernández, M.; Albers, D.; Weber, L.; Ramírez, V.; Param, F.; Kusanovic, J.P.; Sorsa, T.; Rice, G.E.; et al. Early pregnancy levels of gingival crevicular fluid matrix metalloproteinases -8 and -9 are associated with the severity of periodontitis and the development of gestational diabetes mellitus. J. Periodontol. 2021, 92, 205–215. [Google Scholar] [CrossRef] [PubMed]
- Kloukos, D.; Mavrogonatou, E.; Kletsas, D.; Makras, P.; Koukos, G.; Stavropoulos, A.; Katsaros, C. Bone turnover markers in gingival crevicular fluid and blood serum of patients with fixed orthodontic appliances. Eur. J. Orthod. 2022, 44, 412–419. [Google Scholar] [CrossRef] [PubMed]
- Cavalla, F.; Letra, A.; Silva, R.M.; Garlet, G.P. Determinants of Periodontal/Periapical Lesion Stability and Progression. J. Dent. Res. 2021, 100, 29–36. [Google Scholar] [CrossRef]
- Massy, Z.; Drueke, T. Adynamic bone disease is a predominant bone pattern in early stages of chronic kidney disease. J. Nephrol. 2017, 30, 629–634. [Google Scholar] [CrossRef]
- Teodorescu, A.C.; Martu, I.; Teslaru, S.; Kappenberg-Nitescu, D.C.; Goriuc, A.; Luchian, I.; Martu, M.A.; Solomon, S.M.; Mârțu, S. Assessment of Salivary Levels of RANKL and OPG in Aggressive versus Chronic Periodontitis. J. Immunol. Res. 2019, 2019, 6195258. [Google Scholar] [CrossRef]
- Ubuzima, P.; Nshimiyimana, E.; Mukeshimana, C.; Mazimpaka, P.; Mugabo, E.; Mbyayingabo, D.; Mohamed, A.S.; Habumugisha, J. Exploring biological mechanisms in orthodontic tooth movement: Bridging the gap between basic research experiments and clinical applications—A comprehensive review. Ann. Anat. 2024, 255, 152286. [Google Scholar] [CrossRef] [PubMed]
- Lahdentausta, L.S.J.; Paju, S.; Mäntylä, P.; Buhlin, K.; Tervahartiala, T.; Pietiäinen, M.; Alfthan, H.; Nieminen, M.S.; Sinisalo, J.; Sorsa, T.; et al. Saliva and serum biomarkers in periodontitis and coronary artery disease. J. Clin. Periodontol. 2018, 45, 1045–1055. [Google Scholar] [CrossRef]
- Yamada, S.; Tanaka, S.; Arase, H.; Hiyamuta, H.; Yoshizumi, E.; Tokumoto, M.; Nakano, T.; Tsuruya, K.; Kitazono, T. Associations Between Surrogates of Skeletal Muscle Mass and History of Bone Fracture in Patients with Chronic Kidney Disease: The Fukuoka Kidney disease Registry (FKR) Study. Calcif. Tissue Int. 2021, 109, 393–404. [Google Scholar] [CrossRef]
- Silva, T.M.C.; Alves, L.A.C.; Garrido, D.; Watanabe, A.; Mendes, F.M.; Ciamponi, A.L. Health and oral health-related quality of life of children and adolescents with chronic kidney disease: A cross-sectional study. Qual. Life Res. 2019, 28, 2481–2489. [Google Scholar] [CrossRef]
- Ong, Z.H.; Ng, C.H.; Tok, P.L.; Kiew, M.J.X.; Huso, Y.; Shorey, S.; Ng, Y.P.M. Sources of Distress Experienced by Parents of Children with Chronic Kidney Disease on Dialysis: A Qualitative Systematic Review. J. Pediatr. Nurs. 2021, 57, 11–17. [Google Scholar] [CrossRef] [PubMed]
- Sezer, B.; Kaya, R.; Kodaman Dokumacıgil, N.; Sıddıkoğlu, D.; Güven, S.; Yıldız, N.; Alpay, H.; Kargül, B. Assessment of the oral health status of children with chronic kidney disease. Pediatr. Nephrol. 2023, 38, 269–277. [Google Scholar] [CrossRef] [PubMed]
- Garcia Santaella, N.; Premoli Maciel, A.; Simpione, G.; da Silva Santos, P.-S. Halitosis, reduced salivary flow and the quality of life in pre-kidney transplantation patients. J. Clin. Exp. Dent. 2020, 12, e1045–e1049. [Google Scholar] [CrossRef] [PubMed] [PubMed Central]
- Liu, W.C.; Wu, C.C.; Lim, P.S.; Chien, S.W.; Hou, Y.C.; Zheng, C.M.; Shyu, J.F.; Lin, Y.F.; Lu, K.C. Effect of uremic toxin-indoxyl sulfate on the skeletal system. Clin. Chim. Acta. 2018, 484, 197–206. [Google Scholar] [CrossRef]
- Sieklucka, B.; Pawlak, D.; Domaniewski, T.; Hermanowicz, J.; Lipowicz, P.; Doroszko, M.; Pawlak, K. Serum PTH, PTH1R/ATF4 pathway, and the sRANKL/OPG system in bone as a new link between bone growth, cross-sectional geometry, and strength in young rats with experimental chronic kidney disease. Cytokine 2021, 148, 155685. [Google Scholar] [CrossRef]
- Zacarias, J.M.V.; de Alencar, J.B.; Tsuneto, P.Y.; de Souza, V.H.; Silva, C.O.; Visentainer, J.E.L.; Sell, A.M. The Influence of TLR4, CD14, OPG, and RANKL Polymorphisms in Periodontitis: A Case-Control Study. Mediat. Inflamm. 2019, 2019, 4029217. [Google Scholar] [CrossRef]








| Index | Group 1 (n = 19) | Group 2 (n = 19) | Group 3 (n = 19) | Group 4 (n = 19) |
|---|---|---|---|---|
| SBI | 1.7 ± 0.51 2,3 | 2.78 ± 0.61 1,3,4 | 2.2 ± 0.49 1,4 | 1.6 ± 0.43 2,3 |
| PMA | 20 ± 4.57 2,3 | 49 ± 11.14 1,4 | 32 ± 7.63 1,2,4 | 16 ± 3.95 2,3 |
| Russell | 0.73 ± 0.09 2 | 1.35 ± 0.3 1,3,4 | 0.91 ± 0.23 4,2 | 0.67 ± 0.08 2,3 |
| Sections of the Jaw | Group 1 (n = 19), HU | Group 2 (n = 19), HU | Group 3 (n = 19), HU | Group 4 (n = 19), HU |
|---|---|---|---|---|
| Anterior mandible | 2790 [2200; 3010] 1,3 | 989.0 [940.0; 1122] 1,3,4 | 1749 [1570; 1999] 1,2,4 | 3096 [1980; 3554] 2,3 |
| Posterior mandible | 1560 [1200; 1770] 2,3 | 785.0 [690.0; 916.0] 1,4 | 850.0 [790.0; 940.0] 1,4 | 1800 [1384; 1960] 2,3 |
| Anterior maxilla | 534.5 ± 123.4 | 476.3 ± 71.3 4 | 460.5 ± 66.2 4 | 614.6 ± 171.7 2,3 |
| Posterior maxilla | 378.9 ± 91.0 2 | 207.9 ± 19.4 1,3,4 | 302.5 ± 104.7 2,4 | 432.5 ± 114.6 2,3 |
Disclaimer/Publisher’s Note: The statements, opinions and data contained in all publications are solely those of the individual author(s) and contributor(s) and not of MDPI and/or the editor(s). MDPI and/or the editor(s) disclaim responsibility for any injury to people or property resulting from any ideas, methods, instructions or products referred to in the content. |
© 2025 by the authors. Licensee MDPI, Basel, Switzerland. This article is an open access article distributed under the terms and conditions of the Creative Commons Attribution (CC BY) license (https://creativecommons.org/licenses/by/4.0/).
Share and Cite
Morozova, N.S.; Elovskaya, A.A.; Maslikova, E.A.; Sevbitov, A.V.; Timoshina, M.D.; Amkhadova, M.A.; Maltseva, L.D.; Velichko, E.V.; Danilova, E.Y.; Morozova, O.L. Perspectives on Matrix Metalloproteinase-8 and Salivary Osteoprotegerin in Orthodontic Strategy in Children with Chronic Kidney Disease. J. Clin. Med. 2025, 14, 2951. https://doi.org/10.3390/jcm14092951
Morozova NS, Elovskaya AA, Maslikova EA, Sevbitov AV, Timoshina MD, Amkhadova MA, Maltseva LD, Velichko EV, Danilova EY, Morozova OL. Perspectives on Matrix Metalloproteinase-8 and Salivary Osteoprotegerin in Orthodontic Strategy in Children with Chronic Kidney Disease. Journal of Clinical Medicine. 2025; 14(9):2951. https://doi.org/10.3390/jcm14092951
Chicago/Turabian StyleMorozova, Natalia Sergeevna, Alina Alekseevna Elovskaya, Ekaterina Andreevna Maslikova, Andrey Vladimirovich Sevbitov, Maria Dmitrievna Timoshina, Malkan Abdrashidovna Amkhadova, Larisa Dmitrievna Maltseva, Ellina Valerievna Velichko, Elena Yur’evna Danilova, and Olga Leonidovna Morozova. 2025. "Perspectives on Matrix Metalloproteinase-8 and Salivary Osteoprotegerin in Orthodontic Strategy in Children with Chronic Kidney Disease" Journal of Clinical Medicine 14, no. 9: 2951. https://doi.org/10.3390/jcm14092951
APA StyleMorozova, N. S., Elovskaya, A. A., Maslikova, E. A., Sevbitov, A. V., Timoshina, M. D., Amkhadova, M. A., Maltseva, L. D., Velichko, E. V., Danilova, E. Y., & Morozova, O. L. (2025). Perspectives on Matrix Metalloproteinase-8 and Salivary Osteoprotegerin in Orthodontic Strategy in Children with Chronic Kidney Disease. Journal of Clinical Medicine, 14(9), 2951. https://doi.org/10.3390/jcm14092951

