Value of Neuroradiology Second Reads of CT Scans for Hyperparathyroidism
Abstract
1. Introduction
2. Materials and Methods
3. Results
3.1. Referral and Second-Read Utilization
3.2. Patient Demographics and Presentation
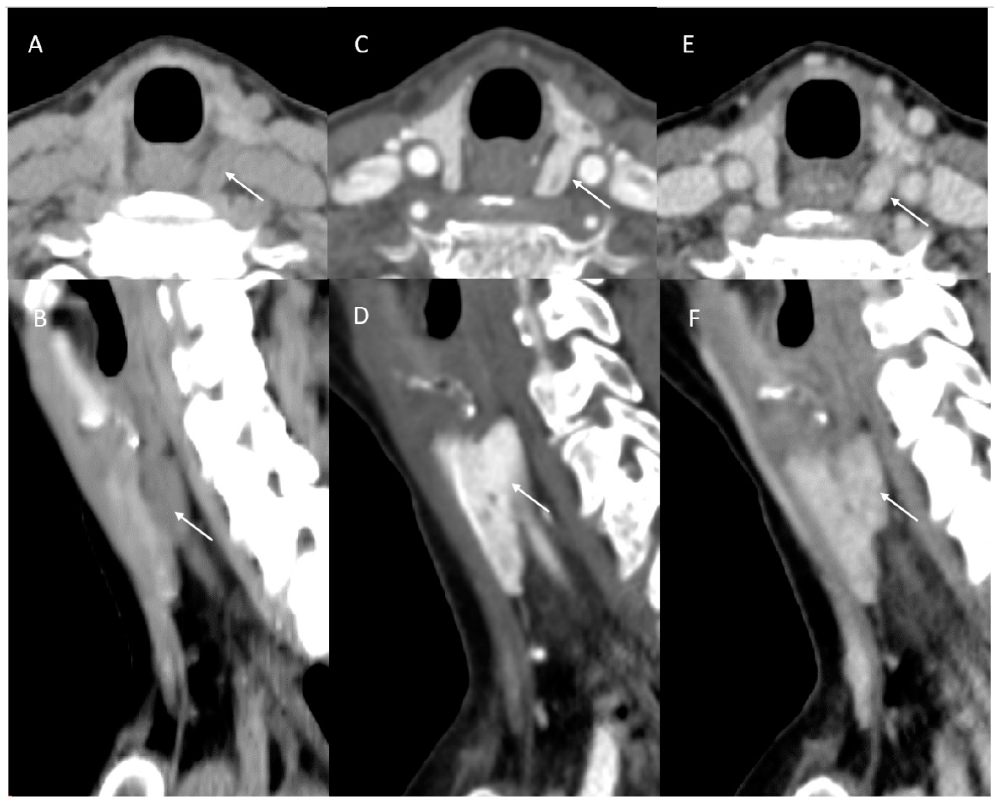
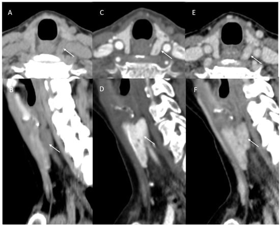
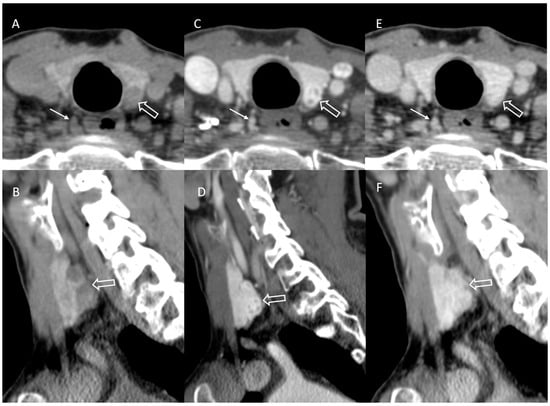
3.3. Sensitivity of Initial and Second Read
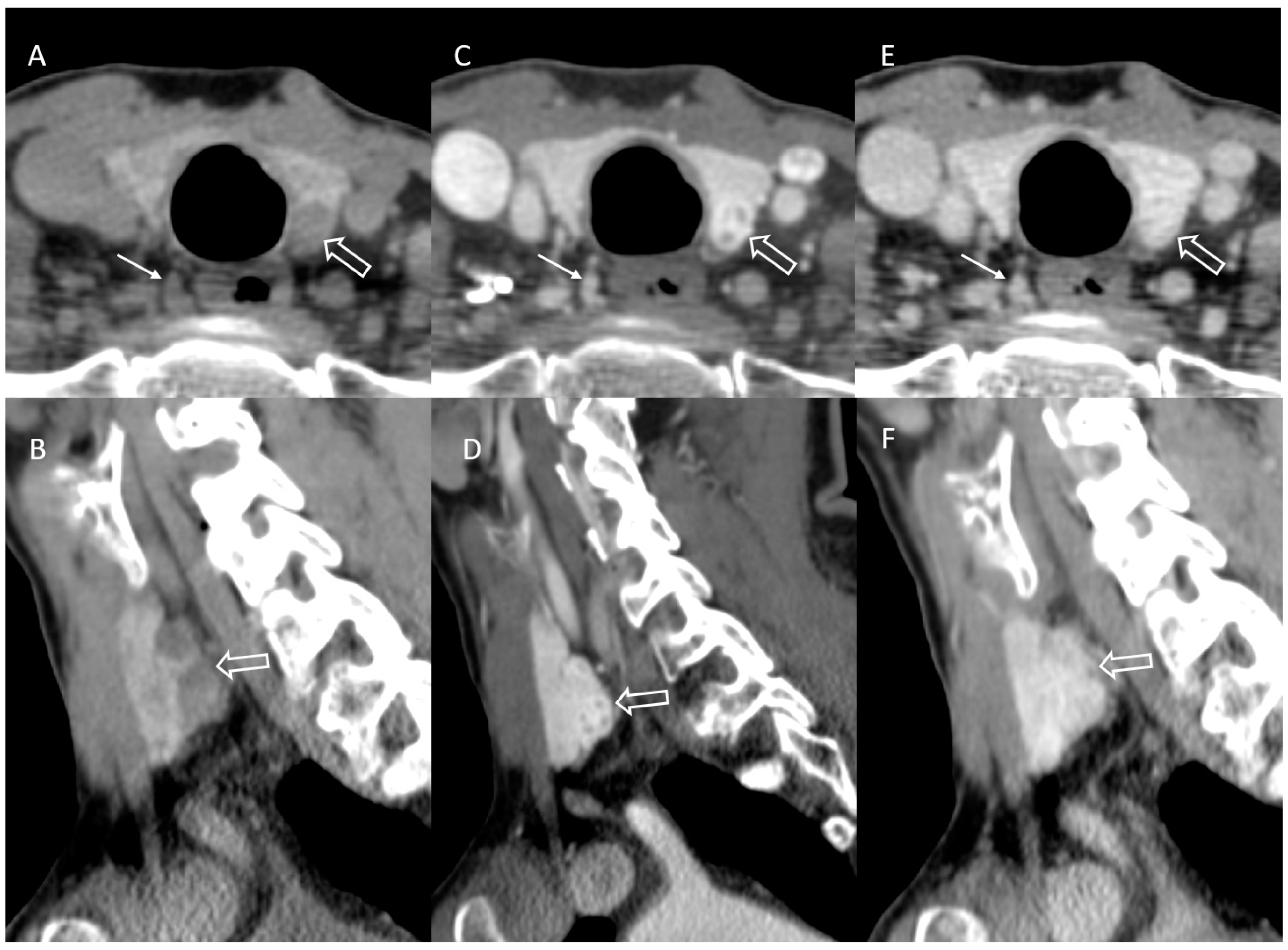
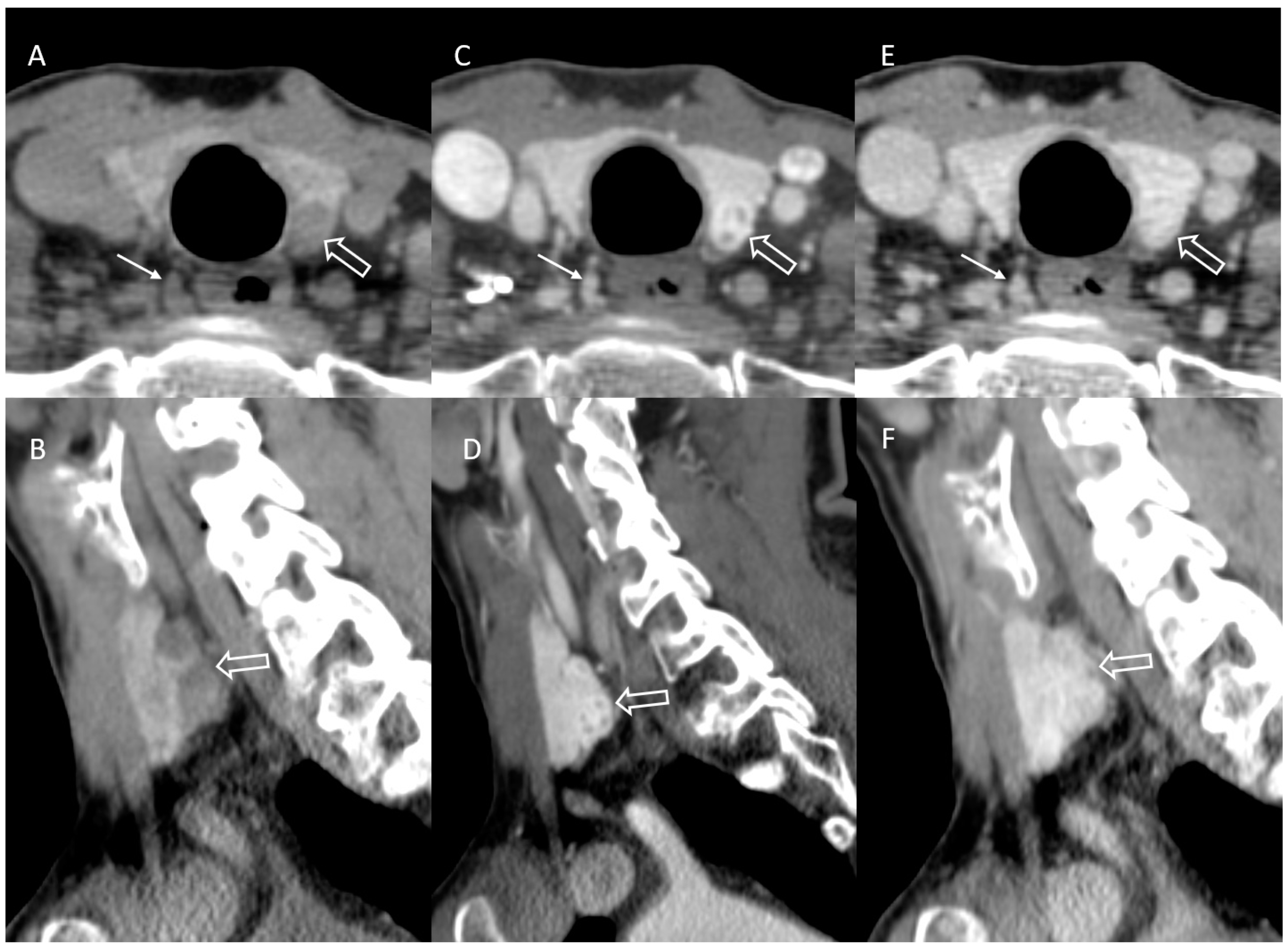
3.4. Incorrect or Incomplete Localization
3.5. Multi-Gland Involvement
4. Discussion
5. Conclusions
Author Contributions
Funding
Institutional Review Board Statement
Informed Consent Statement
Data Availability Statement
Conflicts of Interest
Abbreviations
| CT | Computed tomography |
| CPT | Current Procedure Terminology |
| PTH | Parathyroid hormone |
References
- Hunter, G.J.; Schellingerhout, D.; Vu, T.H.; Perrier, N.D.; Hamberg, L.M. Accuracy of Four-dimensional CT for the Localization of Abnormal Parathyroid Glands in Patients with Primary Hyperparathyroidism. Radiology 2012, 264, 789–795. [Google Scholar] [CrossRef] [PubMed]
- Bahl, M.; Sepahdari, A.R.; Sosa, J.A.; Hoang, J.K. Parathyroid Adenomas and Hyperplasia on Four-dimensional CT scans: Three Patterns of Enhancement Relative to the Thyroid Gland Justify a Three-Phase Protocol. Radiology 2015, 277, 454–462. [Google Scholar] [CrossRef] [PubMed]
- Yeh, R.; Tay, Y.D.; Tabacco, G.; Dercle, L.; Kuo, J.H.; Bandeira, L.; McManus, C.; Leung, D.K.; Lee, J.A.; Bilezikian, J.P. Diagnostic Performance of 4D CT and Sestamibi SPECT/CT in Localizing Parathyroid Adenomas in Primary Hyperparathyroidism. Radiology 2019, 291, 469–476. [Google Scholar] [CrossRef] [PubMed]
- Beland, M.D.; Mayo-Smith, W.W.; Grand, D.J.; Machan, J.T.; Monchik, J.M. Dynamic MDCT for localization of occult parathyroid adenomas in 26 patients with primary hyperparathyroidism. AJR Am. J. Roentgenol. 2011, 196, 61–65. [Google Scholar] [CrossRef] [PubMed]
- Hinson, A.M.; Lee, D.R.; Hobbs, B.A.; Fitzgerald, R.T.; Bodenner, D.L.; Stack, B.C., Jr. Preoperative 4D CT Localization of Nonlocalizing Parathyroid Adenomas by Ultrasound and SPECT-CT. Otolaryngol. Head Neck Surg. 2015, 153, 775–778. [Google Scholar] [CrossRef] [PubMed]
- Bellamkonda, N.; Highland, J.; McCrary, H.C.; Slattery, L.; King, B.; Teames, C.; LeBaron, K.; Wiggins, R.H.; Abraham, D.; Hunt, J.P. Four-Dimensional Computed Tomography for Parathyroid Adenoma Localization: A Pre-Operative Imaging Protocol. Ann. Otol. Rhinol. Laryngol. 2024, 133, 441–448. [Google Scholar] [CrossRef] [PubMed]
- Hoang, J.K.; Williams, K.; Gaillard, F.; Dixon, A.; Sosa, J.A. Parathyroid 4D-CT: Multi-institutional International Survey of Use and Trends. Otolaryngol. Head Neck Surg. 2016, 155, 956–960. [Google Scholar] [CrossRef] [PubMed]
- Bahl, M. Preoperative Parathyroid Imaging: Trends in Utilization and Comparative Accuracy of Sonography, Scintigraphy, and 4-Dimensional Computed Tomography. J. Comput. Assist. Tomogr. 2019, 43, 264–268. [Google Scholar] [CrossRef] [PubMed]
- Khoshpouri, P.; Khoshpouri, P.; Yousem, K.P.; Yousem, D.M. How do American radiology institutions deal with second opinion consultations on outside studies? AJR Am. J. Roentgenol. 2020, 214, 144–148. [Google Scholar] [CrossRef] [PubMed]
- Geijer, H.; Geijer, M. Added value of double reading in diagnostic radiology, a systematic review. Insights Imaging 2018, 9, 287–301. [Google Scholar] [CrossRef] [PubMed]
- Heinz, S.A.; Kwee, T.C.; Yakar, D. Unread Second-Opinion Radiology Reports: A Potential Waste of Health Care Resources. AJR Am. J. Roentgenol. 2020, 215, 934–939. [Google Scholar] [CrossRef] [PubMed]
- Bilezikian, J.P.; Bandeira, L.; Khan, A.; Cusano, N.E. Hyperparathyroidism. Lancet 2018, 391, 168–178. [Google Scholar] [CrossRef] [PubMed]
- Zander, D.; Bunch, P.M.; Policeni, B.; Juliano, A.F.; Carneiro-Pla, D.; Dubey, P.; Gule-Monroe, M.K.; Hagiwara, M.; Hoang, J.K.; Jain, V.; et al. ACR Appropriateness Criteria® Parathyroid Adenoma. J. Am. Coll. Radiol. 2021, 18, S406–S422. [Google Scholar] [CrossRef] [PubMed]
- Wilhelm, S.M.; Wang, T.S.; Ruan, D.T.; Lee, J.A.; Asa, S.L.; Duh, Q.-Y.; Doherty, G.M.; Herrera, M.F.; Pasieka, J.L.; Perrier, N.D.; et al. The American Association of Endocrine Surgeons Guidelines for Definitive Management of Primary Hyperparathyroidism. JAMA Surg. 2016, 151, 959–968. [Google Scholar] [CrossRef] [PubMed]
- Walker, M.; Silverberg, S. Primary hyperparathyroidism. Nat. Rev. Endocrinol. 2018, 14, 115–125. [Google Scholar] [CrossRef] [PubMed]
- Sosa, J.A.; Udelsman, R. Minimally invasive parathyroidectomy. Surg. Oncol. 2003, 12, 125–134. [Google Scholar] [CrossRef] [PubMed][Green Version]
- Rodgers, S.E.; Hunter, G.J.; Hamberg, L.M.; Schellingerhout, D.; Doherty, D.B.; Ayers, G.D.; Shapiro, S.E.; Edeiken, B.S.; Truong, M.T.; Evans, D.B.; et al. Improved preoperative planning for directed parathyroidectomy with 4-dimensional computed tomography. Surgery 2006, 140, 932–940. [Google Scholar] [CrossRef] [PubMed]
- Adamo, S.H.; Gereke, B.J.; Shomstein, S.; Schmidt, J. From “satisfaction of search” to “subsequent search misses”: A review of multiple-target search errors across radiology and cognitive science. Cogn. Res. 2021, 6, 59. [Google Scholar] [CrossRef]



| Number of Patients | Percentage of Patients | |
|---|---|---|
| Gender | ||
| Female | 58 | 78% |
| Male | 16 | 22% |
| Age | ||
| 25–45 | 4 | 5% |
| 45–65 | 23 | 31% |
| 65+ | 47 | 64% |
Disclaimer/Publisher’s Note: The statements, opinions and data contained in all publications are solely those of the individual author(s) and contributor(s) and not of MDPI and/or the editor(s). MDPI and/or the editor(s) disclaim responsibility for any injury to people or property resulting from any ideas, methods, instructions or products referred to in the content. |
© 2025 by the authors. Licensee MDPI, Basel, Switzerland. This article is an open access article distributed under the terms and conditions of the Creative Commons Attribution (CC BY) license (https://creativecommons.org/licenses/by/4.0/).
Share and Cite
Bravo Quintana, J.; Bouvet, M.; Chang, J.; Bykowski, J. Value of Neuroradiology Second Reads of CT Scans for Hyperparathyroidism. J. Clin. Med. 2025, 14, 2865. https://doi.org/10.3390/jcm14092865
Bravo Quintana J, Bouvet M, Chang J, Bykowski J. Value of Neuroradiology Second Reads of CT Scans for Hyperparathyroidism. Journal of Clinical Medicine. 2025; 14(9):2865. https://doi.org/10.3390/jcm14092865
Chicago/Turabian StyleBravo Quintana, Javier, Michael Bouvet, Jennifer Chang, and Julie Bykowski. 2025. "Value of Neuroradiology Second Reads of CT Scans for Hyperparathyroidism" Journal of Clinical Medicine 14, no. 9: 2865. https://doi.org/10.3390/jcm14092865
APA StyleBravo Quintana, J., Bouvet, M., Chang, J., & Bykowski, J. (2025). Value of Neuroradiology Second Reads of CT Scans for Hyperparathyroidism. Journal of Clinical Medicine, 14(9), 2865. https://doi.org/10.3390/jcm14092865

