Complex Anatomy, Advanced Techniques: Microsurgical Clipping of a Ruptured Hypophyseal Artery Aneurysm
Abstract
1. Introduction
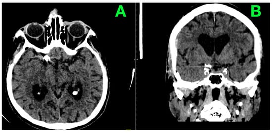
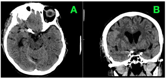
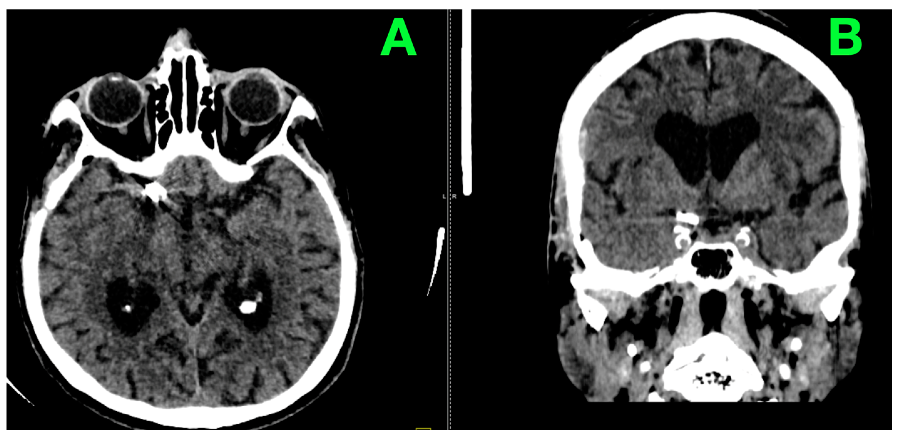
2. Case Presentation
3. Discussion
4. Conclusions
Author Contributions
Funding
Institutional Review Board Statement
Informed Consent Statement
Data Availability Statement
Acknowledgments
Conflicts of Interest
References
- Wang, H.; Dingledine, R.J.; Myers, S.J.; Traynelis, S.F.; Fang, C.; Tan, Y.; Koszalka, G.W.; Laskowitz, D.T. Clinical development of the GluN2B-selective NMDA receptor inhibitor NP10679 for the treatment of neurologic deficit after subarachnoid hemorrhage. J. Pharmacol. Exp. Ther. 2025, 392, 100046. [Google Scholar] [CrossRef]
- Sakamoto, Y.; Kabeya, R.; Nishihori, M. A Case of Bilateral Vertebral Artery Dissecting Aneurysm Treated With Multimodality Therapy Under Superficial Temporal Artery Assistance–Posterior Cerebral Artery Bypass. Cureus 2023, 15, e45326. [Google Scholar] [CrossRef]
- Nwafor, D.C.; Brichacek, A.L.; Rallo, M.S.; Bidwai, N.; Marsh, R.A. Subarachnoid hemorrhage: New insights on pathogenesis. Front. Stroke 2023, 2, 1110506. [Google Scholar] [CrossRef]
- Wang, D.; Wuli, J.; Cao, X.; Wang, B.; Ren, Z.; Weng, Y.; Wu, K. Clinical characteristics and prognosis of patients with multiple intracranial aneurysms living on the Tibetan Plateau of China. J. Int. Med Res. 2024, 52, 03000605241306870. [Google Scholar] [CrossRef]
- Witham, T.F.; Kaufmann, A.M. Unruptured cerebral aneurysm producing a thunderclap headache. Am. J. Emerg. Med. 2000, 18, 88–90. [Google Scholar] [CrossRef]
- Dokponou, Y.C.H.; Oudrhiri, M.Y.; Boutarbouch, M.; Arkha, Y.; Melhaoui, A.; Hakkou, M.; El Khamlichi, A.; El Ouahabi, A. Clipping first policy for middle cerebral artery aneurysm: A single-center cohort study. Surg. Neurol. Int. 2024, 15, 474. [Google Scholar] [CrossRef] [PubMed]
- D’andrea, G.; Picotti, V.; Familiari, P.; Barbaranelli, C.; Frati, A.; Raco, A. Impact of early surgery of ruptured cerebral aneurysms on vasospasm and hydrocephalus after SAH: Our preliminary results. Clin. Neurol. Neurosurg. 2020, 192, 105714. [Google Scholar] [CrossRef] [PubMed]
- Kretzer, R.M.; Coon, A.L.; Tamargo, R.J.; Walter, E. Dandy’s contributions to vascular neurosurgery. J. Neurosurg. 2010, 112, 1182–1191. [Google Scholar] [CrossRef]
- Jumah, F.; Quinoa, T.; Akel, O.; Shah, S.; Narayan, V.; Adeeb, N.; Gupta, G.; Nanda, A. The Origins of Eponymous Aneurysm Clips: A Review. World Neurosurg. 2020, 134, 518–531. [Google Scholar] [CrossRef]
- Winkler, E.A.; Lee, A.; Yue, J.K.; Raygor, K.P.; Rutledge, W.C.; Rubio, R.R.; Josephson, S.A.; Berger, M.S.; Raper, D.M.S.; Abla, A.A. Endovascular embolization versus surgical clipping in a single surgeon series of basilar artery aneurysms: A complementary approach in the endovascular era. Acta Neurochir. 2021, 163, 1527–1540. [Google Scholar] [CrossRef]
- Luzzi, S.; Lucifero, A.G.; Baldoncini, M.; Del Maestro, M.; Elbabaa, S.K.; Galzio, R. Paraclinoid aneurysms: Outcome analysis and technical remarks of a microsurgical series. Interdiscip. Neurosurg. 2022, 27, 101373. [Google Scholar] [CrossRef]
- Marbacher, S.; Mendelowitsch, I.; Grüter, B.E.; Diepers, M.; Remonda, L.; Fandino, J. Comparison of 3D intraoperative digital subtraction angiography and intraoperative indocyanine green video angiography during intracranial aneurysm surgery. J. Neurosurg. 2019, 131, 64–71. [Google Scholar] [CrossRef] [PubMed]
- Aiudi, D.; Iacoangeli, A.; Mattioli, A.; Raggi, A.; Dobran, M.; Polonara, G.; Gigli, R.; Iacoangeli, M.; Gladi, M. Cerebral Aneurysms and Arteriovenous Malformation: Preliminary Experience with the Use of Near-Infrared Fluorescence Imaging Applied to Endoscopy. J. Pers. Med. 2024, 14, 1117. [Google Scholar] [CrossRef] [PubMed]
- Zhao, Y.; Yang, X.; Gong, D.; Wei, W.; Yue, S.; Zhang, J. Application of hybrid operating room in the surgical treatment for intracranial aneurysm. Interdiscip. Neurosurg. 2024, 36, 101935. [Google Scholar] [CrossRef]
- Tenhoeve, S.A.; Owens, M.-R.; Rezk, R.; Hanna, A.G.; Lucke-Wold, B. Emerging and Current Biologics for the Treatment of Intracranial Aneurysms. Biologics 2024, 4, 364–375. [Google Scholar] [CrossRef]
- Suh, D.C.; Song, Y.; Park, S.I.; Kwon, B. Flow Diverter Treatment Using a Flow Re-Direction Endoluminal Device for Unruptured Intracranial Vertebral Artery Dissecting Aneurysm: Single-Center Case Series and Technical Considerations. Neurointervention 2023, 18, 114–122. [Google Scholar] [CrossRef]
- Purkayastha, S.; Kumar, R.; Verma, D.; Dhurvey, D.; Kumar, N.; Jana, S. Efficacy of Endovascular Glue Embolization in Treating Ruptured Intracranial Mycotic Aneurysms: A Single Center Experience. Neurointervention 2024, 19, 156–161. [Google Scholar] [CrossRef]
- Hamming, A.; van Dijck, J.; Singh, R.; Peul, W.; Moojen, W. Comparison of long-term clinical outcome after endovascular versus neurosurgical treatment of ruptured intracranial anterior circulation aneurysms: A single-centre experience. Brain Spine 2024, 4, 102902. [Google Scholar] [CrossRef]
- Pflaeging, M.; Kabbasch, C.; Schlamann, M.; Pennig, L.; Juenger, S.T.; Grunz, J.-P.; Timmer, M.; Brinker, G.; Goldbrunner, R.; Krischek, B.; et al. Microsurgical Clipping versus Advanced Endovascular Treatment of Unruptured Middle Cerebral Artery Bifurcation Aneurysms After a “Coil-First” Policy. World Neurosurg. 2021, 149, e336–e344. [Google Scholar] [CrossRef]
- Toader, C.; Serban, M.; Covache-Busuioc, R.-A.; Radoi, M.P.; Aljboor, G.S.R.; Costin, H.P.; Ilie, M.-M.; Popa, A.A.; Gorgan, R.M. Single-Stage Microsurgical Clipping of Multiple Intracranial Aneurysms in a Patient with Cerebral Atherosclerosis: A Case Report and Review of Surgical Management. J. Clin. Med. 2025, 14, 269. [Google Scholar] [CrossRef]
- Gaub, M.; Murtha, G.; Lafuente, M.; Webb, M.; Luo, A.; Birnbaum, L.A.; Mascitelli, J.R.; Al Saiegh, F. Flow Diversion for Endovascular Treatment of Intracranial Aneurysms: Past, Present, and Future Directions. J. Clin. Med. 2024, 13, 4167. [Google Scholar] [CrossRef]
- E Darsaut, T.; Jack, A.S.; Kerr, R.S.; Raymond, J. International subarachnoid aneurysm trial—ISAT Part II: Study protocol for a randomized controlled trial. Trials 2013, 14, 156. [Google Scholar] [CrossRef] [PubMed]
- Deshmukh, A.S.; Priola, S.M.; Katsanos, A.H.; Scalia, G.; Alves, A.C.; Srivastava, A.; Hawkes, C. The Management of Intracranial Aneurysms: Current Trends and Future Directions. Neurol. Int. 2024, 16, 74–94. [Google Scholar] [CrossRef] [PubMed]
- Kranawetter, B.; Hernández, S.; Mielke, D.; Ernst, M.; Malinova, V.; Rohde, V. Microsurgical clipping as a retreatment strategy for previously ruptured aneurysms treated with the Woven EndoBridge (WEB) device: A mono-institutional case series. Acta Neurochir. 2023, 165, 1881–1889. [Google Scholar] [CrossRef]
- Li, L.; Huang, Q.-H.; Shao, Q.-J.; Chang, K.-T.; Zhang, Q.-Q.; Zhu, L.-F.; Liu, J.-M.; Li, T.-X.; Gao, B.-L. Different antiplatelet regimens for stenting versus coiling for acutely-ruptured cerebral aneurysms. Sci. Rep. 2024, 14, 30331. [Google Scholar] [CrossRef]
- Molyneux, A.; International Subarachnoid Aneurysm Trial (ISAT) Collaborative Group. International Subarachnoid Aneurysm Trial (ISAT) of neurosurgical clipping versus endovascular coiling in 2143 patients with ruptured intracranial aneurysms: A randomised trial. Lancet 2002, 360, 1267–1274. [Google Scholar] [CrossRef]
- Ferreira, M.Y.; Batista, S.; Oliveira, L.B.; Marques, G.N.; Maia, H.G.; Palavani, L.B.; Andreão, F.F.; Borges, P.G.L.B.; Semione, G.; Sousa, M.P.; et al. Comparing surgical clipping with endovascular treatment for unruptured middle cerebral artery aneurysms: A systematic review and updated meta-analysis. J. Neurosurg. 2025, 33, 116–126. [Google Scholar] [CrossRef]
- Lawton, M.T.; Du, R. Effect of the Neurosurgeon’s Surgical Experience on Outcomes from Intraoperative Aneurysmal Rupture. Neurosurgery 2005, 57, 9–15. [Google Scholar] [CrossRef]
- Park, C.K.; Shin, H.S.; Choi, S.K.; Lee, S.H.; Koh, J.S. Clinical Analysis and Surgical Considerations of Atherosclerotic Cerebral Aneurysms: Experience of a Single Center. J. Cerebrovasc. Endovasc. Neurosurg. 2014, 16, 247–253. [Google Scholar] [CrossRef]
- Peng, C.; Diao, Y.-H.; Cai, S.-F.; Yang, X.-Y. Endovascular coiling versus microsurgical clipping for ruptured intracranial aneurysms: A meta-analysis and systematic review. Chin. Neurosurg. J. 2022, 8, 17. [Google Scholar] [CrossRef]
- Khamis, M.; Ibrahim, H.; Elsayed, A.M.; Tawadros, S.R.; Mohamed, M.H.A.; El-Bahy, K. Comparative analysis of microsurgical clipping versus endovascular coiling for middle cerebral artery aneurysms: A prospective study at Ain Shams University hospitals. Egypt. J. Neurosurg. 2025, 40, 2. [Google Scholar] [CrossRef]
- Larsen, N.; von der Brelie, C.; Trick, D.; Riedel, C.; Lindner, T.; Madjidyar, J.; Jansen, O.; Synowitz, M.; Flüh, C. Vessel Wall Enhancement in Unruptured Intracranial Aneurysms: An Indicator for Higher Risk of Rupture? High-Resolution MR Imaging and Correlated Histologic Findings. Am. J. Neuroradiol. 2018, 39, 1617–1621. [Google Scholar] [CrossRef]
- Kaiser, K.; Nayil, M.; Ramzan, A.; Sarbjit, S.; Abrar, W.; Sajad, A.; Rashid, A. The role of intraoperative videoangiography in aneurysm surgery-a comparative study from a tertiary care hospital. Egypt. J. Neurosurg. 2021, 36, 19. [Google Scholar] [CrossRef]
- Otsuka, T.; Kikuchi, K.; Togao, O.; Yamashita, K.; Takagishi, S.; Arimura, K.; Nakamizo, A.; Ishigami, K. Advantages of 3D High-Resolution Vessel Wall Imaging in a Patient With Blood Blister-Like Aneurysm: A Case Report and Literature Review. Cureus 2024, 16, e58376. [Google Scholar] [CrossRef] [PubMed]
- Chen, T.; Liu, S.; Jiang, Y.; Wu, W.; Li, J.; Li, K.; Guo, D. High-resolution vessel wall imaging for quantitatively and qualitatively evaluating in-stent stenosis of intracranial aneurysms. Front. Neurol. 2024, 15, 1381438. [Google Scholar] [CrossRef] [PubMed]
- Joseph, F.J.; Cuba, M.; Murek, M.; Raabe, A.; Bervini, D. Dynamic Mixed-Reality Patient-Specific Aneurysm Clipping Simulation for Two Cases—A Feasibility Study. Oper. Neurosurg. 2024, 26, 590–598. [Google Scholar] [CrossRef]
- Toader, C.; Radoi, M.P.; Brehar, F.-M.; Serban, M.; Glavan, L.-A.; Covache-Busuioc, R.-A.; Ciurea, A.V.; Dobrin, N. Mirror Aneurysms of the Pericallosal Artery Clipped During a Single Surgical Procedure: Case Report and Literature Review. J. Clin. Med. 2024, 13, 6719. [Google Scholar] [CrossRef]
- Leal, A.G.; Martinazzo, E.O.; Pedro, M.K.F.; de Souza, M.A.; Nohama, P. Investigation of the Use of Hollow Elastic Biomodels Produced by Additive Manufacturing for Clip Choice and Surgical Simulation in Microsurgery for Intracranial Aneurysms. World Neurosurg. 2023, 171, e291–e300. [Google Scholar] [CrossRef]
- Stroh-Holly, N.; Rauch, P.; Stefanits, H.; Hermann, P.; Wagner, H.; Sonnberger, M.; Gollwitzer, M.; Aspalter, S.; Gruber, A.; Gmeiner, M. Microsurgical Clipping of Unruptured Middle Cerebral Artery Bifurcation Aneurysms: A Single-Center Experience. Brain Sci. 2024, 14, 1068. [Google Scholar] [CrossRef]
- Bushnell, C.; Kernan, W.N.; Sharrief, A.Z.; Chaturvedi, S.; Cole, J.W.; Cornwell, W.K.; Cosby-Gaither, C.; Doyle, S.; Goldstein, L.B.; Lennon, O.; et al. 2024 Guideline for the Primary Prevention of Stroke: A Guideline From the American Heart Association/American Stroke Association. Stroke 2024, 55, E344–E424. [Google Scholar] [CrossRef]
- Cho, Y.-H.; Choi, J.; Huh, C.-W.; Kim, C.H.; Chang, C.H.; Kwon, S.C.; Kim, Y.W.; Sheen, S.H.; Park, S.Q.; Ko, J.K.; et al. Imaging follow-up strategy after endovascular treatment of Intracranial aneurysms: A literature review and guideline recommendations. J. Cerebrovasc. Endovasc. Neurosurg. 2024, 26, 1–10. [Google Scholar] [CrossRef] [PubMed]
- Tjoumakaris, S.I.; Hanel, R.; Mocco, J.; Sultan, M.A.-A.; Froehler, M.; Lieber, B.B.; Coon, A.; Tateshima, S.; Altschul, D.J.; Narayanan, S.; et al. ARISE I Consensus Review on the Management of Intracranial Aneurysms. Stroke 2024, 55, 1428–1437. [Google Scholar] [CrossRef]
- Tao, J.; Wei, W.; Song, M.; Hu, M.; Zhao, H.; Li, S.; Shi, H.; Jia, L.; Zhang, C.; Dong, X.; et al. Artificial intelligence applied to development of predictive stability model for intracranial aneurysms. Eur. J. Med. Res. 2024, 29, 505. [Google Scholar] [CrossRef]
- Liu, C.; Cai, Y.; Zang, C.; Guo, K.; Hu, X. Innovations in intracranial aneurysm treatment: A pilot study on the Choydar flow diverter. Front. Neurol. 2024, 15, 1413681. [Google Scholar] [CrossRef]
- Lauzier, D.C.; Huguenard, A.L.; Srienc, A.I.; Cler, S.J.; Osbun, J.W.; Chatterjee, A.R.; Vellimana, A.K.; Kansagra, A.P.; Derdeyn, C.P.; Cross, D.T.; et al. A review of technological innovations leading to modern endovascular brain aneurysm treatment. Front. Neurol. 2023, 14, 1156887. [Google Scholar] [CrossRef]
- Napoletano, G.; Di Fazio, N.; Delogu, G.; Del Duca, F.; Maiese, A. Traumatic Aneurysm Involving the Posterior Communicating Artery. Healthcare 2024, 12, 192. [Google Scholar] [CrossRef] [PubMed]
- Suh, D.C. Technical Approaches for Coil Embolization of Unruptured Small Anterior Choroidal Artery Aneurysms: A Focus on Anatomical Flow Preservation of the Anterior Choroidal Artery. Neurointervention 2024, 19, 162–168. [Google Scholar] [CrossRef]
- Badary, A.; Azzam, A.Y.; Awuah, W.A.; Alrefaie, K.; Saris, M.; Elamin, O.; Elsousi, K.; Alrubaye, S.N.; Azab, M.A.; Atallah, O. Superior hypophyseal artery aneurysm: Microsurgical vs. endovascular treatment. Neurosurg. Rev. 2025, 48, 61. [Google Scholar] [CrossRef]
- Salem, M.M.; Sweid, A.; Kuhn, A.L.; Dmytriw, A.A.; Gomez-Paz, S.; Maragkos, G.A.; Waqas, M.; Parra-Farinas, C.; Salehani, A.; Adeeb, N.; et al. Repeat Flow Diversion for Cerebral Aneurysms Failing Prior Flow Diversion: Safety and Feasibility From Multicenter Experience. Stroke 2022, 53, 1178–1189. [Google Scholar] [CrossRef]







| Study | Design | Population | Treatment Modalities | Key Findings | Relevance to Current Case |
|---|---|---|---|---|---|
| ISAT (2002) [26] | Multicenter RCT | 2143 patients with ruptured aneurysms | Microsurgical Clipping vs. Coiling | Coiling was associated with lower 1-year morbidity and mortality compared to clipping, particularly for anterior circulation aneurysms. Long-term follow-up showed higher recurrence rates in coiled aneurysms (20–33%). | Supports the decision for clipping in wide-necked or morphologically complex aneurysms like the hypophyseal aneurysm. |
| Ferreira et al. (2025) [27] | Systematic Review/Meta-analysis | >8000 patients with aneurysms | Clipping vs. Coiling | Clipping had lower long-term recurrence rates (4.3% vs. 20%) and was preferred for wide-necked aneurysms, despite higher perioperative risks. | Highlights the long-term durability of clipping, particularly for cases like this one with a broad-necked aneurysm. |
| Lawton et al. (2005) [28] | Retrospective Cohort | 1200 patients undergoing clipping | Microsurgical Clipping | High-volume centers showed superior outcomes, with complication rates <5% for complex aneurysms. | Reinforces the importance of experienced surgical teams for cases involving technically challenging aneurysms. |
| Park (2014) [29] | Surgical Series | 1500 aneurysms treated via clipping | Microsurgical Clipping | Emphasized the role of meticulous dissection, temporary clipping, and direct visualization in ensuring durable aneurysm occlusion. | Mirrors the technical strategies employed in the current case, including temporary clipping and precise clip placement. |
| Hoh et al. (2022) [30] | Retrospective Cohort | 800 elderly patients with aneurysms | Clipping vs. Endovascular | Demonstrated that microsurgical clipping is a viable option for elderly patients, with comparable outcomes to endovascular approaches in high-volume centers. | Validates the choice of clipping in this elderly patient, considering the aneurysm’s anatomy and comorbidities. |
| Chamis et al. (2025) [31] | Prospective Cohort | 100 patients with wide-neck aneurysms | Flow Diversion vs. Clipping | Flow diverters showed good efficacy but required prolonged antiplatelet therapy, making them less suitable for elderly or high-risk patients. | Highlights the limitations of flow diversion in this case due to the patient’s advanced age and comorbid conditions. |
| Larsen et al. (2018) [32] | Systematic Review | 10,845 aneurysms | Advanced Imaging | High-resolution vessel wall imaging (HR-VWI) provides insights into aneurysm wall pathology, aiding in rupture risk assessment. | Suggests HR-VWI as a potential tool for assessing rupture risk in similar cases, though not utilized in this case. |
| Kaiser et al. (2021) [33] | Retrospective Cohort | 300 aneurysms | Intraoperative ICG Angiography | ICG angiography confirmed complete exclusion of aneurysms in 95% of cases and identified residual flow in 5%, enabling intraoperative corrections. | Aligns with the use of ICG angiography in this case to confirm clip placement and aneurysm exclusion. |
Disclaimer/Publisher’s Note: The statements, opinions and data contained in all publications are solely those of the individual author(s) and contributor(s) and not of MDPI and/or the editor(s). MDPI and/or the editor(s) disclaim responsibility for any injury to people or property resulting from any ideas, methods, instructions or products referred to in the content. |
© 2025 by the authors. Licensee MDPI, Basel, Switzerland. This article is an open access article distributed under the terms and conditions of the Creative Commons Attribution (CC BY) license (https://creativecommons.org/licenses/by/4.0/).
Share and Cite
Toader, C.; Serban, M.; Dobrin, N.; Covache-Busuioc, R.-A.; Radoi, M.P.; Ciurea, A.V.; Munteanu, O. Complex Anatomy, Advanced Techniques: Microsurgical Clipping of a Ruptured Hypophyseal Artery Aneurysm. J. Clin. Med. 2025, 14, 2361. https://doi.org/10.3390/jcm14072361
Toader C, Serban M, Dobrin N, Covache-Busuioc R-A, Radoi MP, Ciurea AV, Munteanu O. Complex Anatomy, Advanced Techniques: Microsurgical Clipping of a Ruptured Hypophyseal Artery Aneurysm. Journal of Clinical Medicine. 2025; 14(7):2361. https://doi.org/10.3390/jcm14072361
Chicago/Turabian StyleToader, Corneliu, Matei Serban, Nicolaie Dobrin, Razvan-Adrian Covache-Busuioc, Mugurel Petrinel Radoi, Alexandru Vlad Ciurea, and Octavian Munteanu. 2025. "Complex Anatomy, Advanced Techniques: Microsurgical Clipping of a Ruptured Hypophyseal Artery Aneurysm" Journal of Clinical Medicine 14, no. 7: 2361. https://doi.org/10.3390/jcm14072361
APA StyleToader, C., Serban, M., Dobrin, N., Covache-Busuioc, R.-A., Radoi, M. P., Ciurea, A. V., & Munteanu, O. (2025). Complex Anatomy, Advanced Techniques: Microsurgical Clipping of a Ruptured Hypophyseal Artery Aneurysm. Journal of Clinical Medicine, 14(7), 2361. https://doi.org/10.3390/jcm14072361
