Hybrid Therapy with SBRT Target-Tailored Tumor Resection for High-Grade Metastatic Epidural Spinal Cord Compression (MESCC): Illustrative Case
Abstract
1. Introduction
2. Materials and Methods
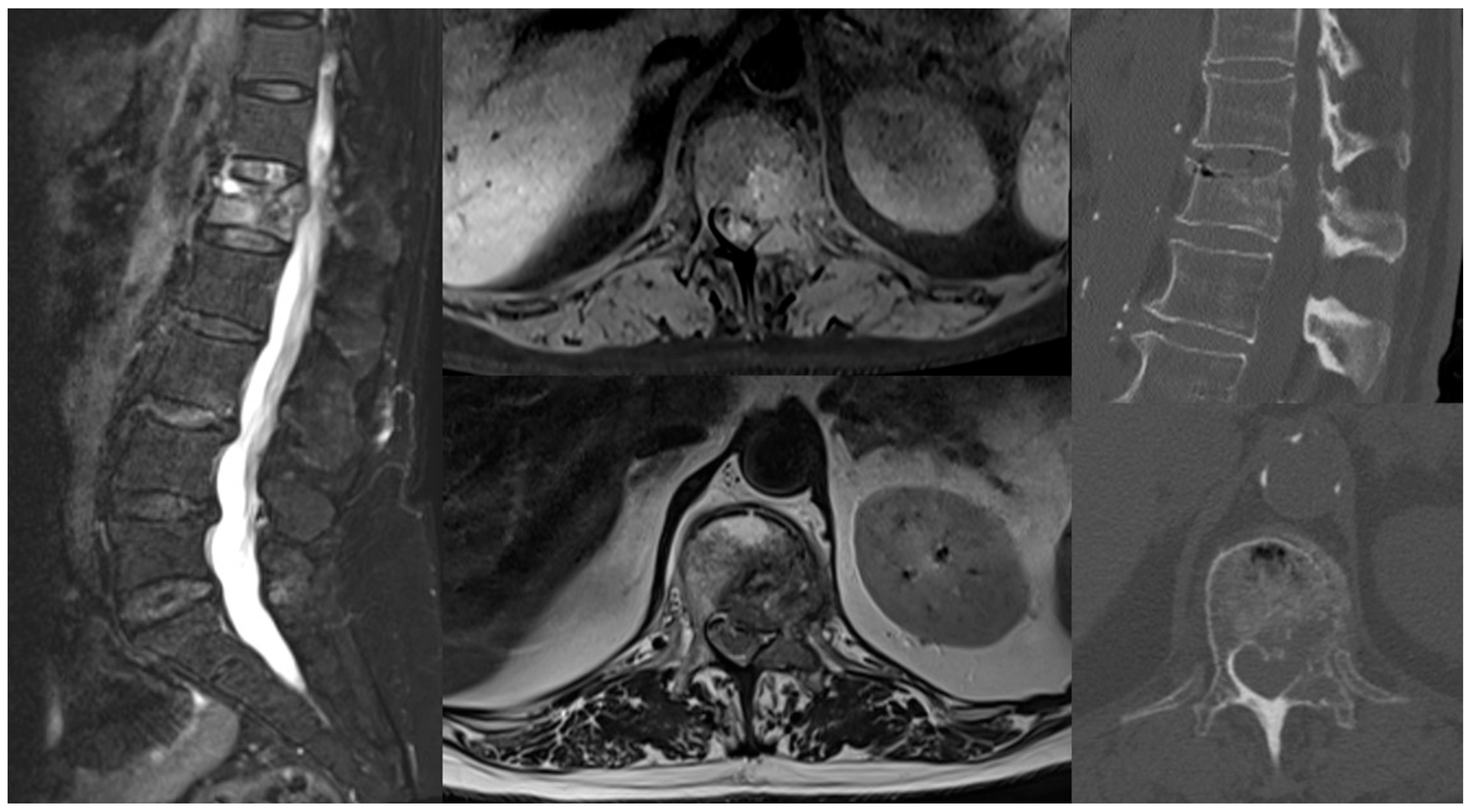
2.1. History and Presentation
2.2. Pre-Operative Planning and Treatment Strategy
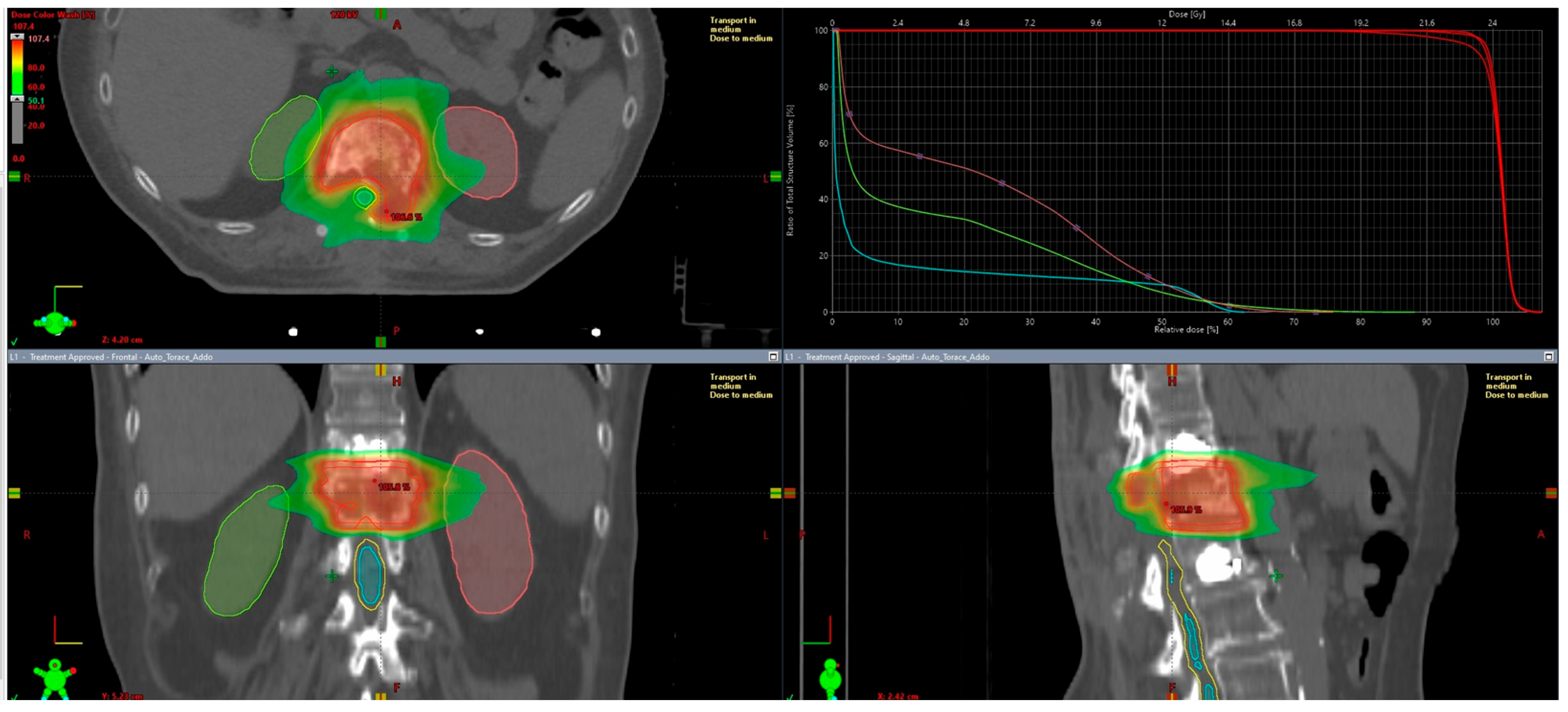
2.3. Radiotherapy Planning and Delivery
2.4. Ethics
2.5. Post-Operative Course and Outcome
3. Discussion
Limitations
4. Conclusions
Author Contributions
Funding
Institutional Review Board Statement
Informed Consent Statement
Data Availability Statement
Conflicts of Interest
Abbreviations
| MESCC | Metastatic Epidural Spinal Cord Compression | 
| SBRT/SRS | Stereotactic Body Radiation Therapy/Stereotactic Radiosurgery | 
| EBRT | External Beam Radiation Therapy | 
| LC | Local Control | 
| BED | Biological Effective Dose | 
| HT | Hybrid Therapy | 
| SS | Separation Surgery | 
| MIS | Minimal Invasive Surgery | 
| PMMA | Poly-methyl-methacrylate | 
| PEEK | Poly-ether-ether-ketone | 
| CTV | Clinical Target Volume | 
| PTV | Planning Target Volume | 
| OAR | Organs at Risk | 
| PRV | Planning Organ at Risk Volume | 
| FFF | Flattening Filter Free | 
| VMAT-RA | Volumetric Modulated RapidArc technique | 
| IGRT | Image-Guided Radiation Therapy | 
| CB-CT | Cone Beam CT | 
| VCF | Vertebral Compression Fracture | 
| CTCAE | Common Terminology Criteria for Adverse Events | 
| POD | Post-Operative Day | 
References
- Newman, W.C.; Patel, A.; Goldberg, J.L.; Bilsky, M.H. The importance of multidisciplinary care for spine metastases: Initial tumor management. Neuro-Oncol. Pract. 2020, 7, i25–i32. [Google Scholar] [CrossRef] [PubMed]
- Wade, S.W.; Hernandez, R.K.; Adhia, A.; O’Connor, E.; Arellano, J.; Francis, K.; Alvrtsyan, H.; Million, R.P.; Liede, A. Prevalence of bone metastases and bone-targeting agent use among solid tumor patients in the United States. Clin. Epidemiol. 2015, 7, 335–345. [Google Scholar] [CrossRef] [PubMed]
- Sciubba, D.M.; Petteys, R.J.; Dekutoski, M.B.; Fisher, C.G.; Fehlings, M.G.; Ondra, S.L.; Rhines, L.D.; Gokaslan, Z.L. Diagnosis and management of metastatic spine disease: A review. J. Neuro-Surg. Spine 2010, 13, 94–108. [Google Scholar] [CrossRef]
- Yang, Z.; Yang, Y.; Zhang, Y.; Zhang, Z.; Chen, Y.; Shen, Y.; Han, L.; Xu, D.; Sun, H. Minimal access versus open spinal surgery in treating painful spine metastasis: A systematic review. World J. Surg. Oncol. 2015, 13, 68. [Google Scholar] [CrossRef] [PubMed]
- Gokaslan, Z.L. Spine surgery for cancer. Curr. Opin. Oncol. 1996, 8, 178–181. [Google Scholar] [CrossRef]
- Nathan, S.S.; Healey, J.H.; Mellano, D.; Hoang, B.; Lewis, I.; Morris, C.D.; Athanasian, E.A.; Boland, P.J. Survival in patients operated on for pathologic fracture: Implications for end-of-life Orthopedic Care. J. Clin. Oncol. 2005, 23, 6072–6082. [Google Scholar] [CrossRef]
- Vaishya, S.; Gaonkar, V.; Bedi, M.S.; Yaman, O.; Zileli, M.; Sharif, S. Clinical evaluation, diagnosis, and decision-making for metastatic spine tumors: WFNS spine committee recommendations. Neurosurg. Rev. 2024, 47, 902. [Google Scholar] [CrossRef] [PubMed]
- Di Perna, G.; Cofano, F.; Mantovani, C.; Badellino, S.; Marengo, N.; Ajello, M.; Comite, L.M.; Palmieri, G.; Tartara, F.; Zenga, F.; et al. Separation surgery for metastatic epidural spinal cord compression: A qualitative review. J. Bone Oncol. 2020, 25, 100320. [Google Scholar] [CrossRef] [PubMed] [PubMed Central]
- Redmond, K.J.; Hattangadi-Gluth, J.; Pollum, E.L.; Trifiletti, D.M.; Kim, M.M.; Milano, M. Navigating the Spinal Frontier: Recent Data on Stereotactic Body Radiation Therapy for Spine Metastases. Int. J. Radiat. Oncol. Biol. Phys. 2024, 118, 313–317. [Google Scholar] [CrossRef] [PubMed]
- Redmond, K.J.; Sciubba, D.; Khan, M.; Gui, C.; Larry Lo, S.-F.; Gokaslan, Z.L.; Leaf, B.; Kleinberg, L.; Grimm, J.; Ye, M.L.; et al. A Phase 2 Study of Post-Operative Stereotactic Body Radiation Therapy (SBRT) for Solid Tumor Spine Metastases. Int. J. Radiat. Oncol. Biol. Phys. 2020, 106, 261–268. [Google Scholar] [CrossRef] [PubMed]
- Zhang, X.; Giantini Larsen, A.; Kharas, N.; Bilsky, M.H.; Newman, W.C. Separation surgery for metastatic spine tumors: How less became more. Neurooncol. Adv. 2024, 6, iii94–iii100. [Google Scholar] [CrossRef] [PubMed] [PubMed Central]
- Zeng, K.L.; Tseng, C.L.; Soliman, H.; Weiss, Y.; Sahgal, A.; Myrehaug, S. Stereotactic Body Radiotherapy (SBRT) for Oligometastatic Spine Metastases: An Overview. Front. Oncol. 2019, 9, 337. [Google Scholar] [CrossRef] [PubMed] [PubMed Central]
- Porras, J.L.; Pennington, Z.; Hung, B.; Hersh, A.; Schilling, A.; Goodwin, C.R.; Sciubba, D.M. Radiotherapy and Surgical Advances in the Treatment of Metastatic Spine Tumors: A Narrative Review. World Neurosurg. 2021, 151, 147–154. [Google Scholar] [CrossRef] [PubMed]
- Kelly, P.D.; Zuckerman, S.L.; Yamada, Y.; Lis, E.; Bilsky, M.H.; Laufer, I.; Barzilai, O. Image guidance in spine tumor surgery. Neurosurg. Rev. 2020, 43, 1007–1017. [Google Scholar] [CrossRef] [PubMed] [PubMed Central]
- Bilsky, M.H.; Laufer, I.; Fourney, D.R.; Groff, M.; Schmidt, M.H.; Varga, P.P.; Vrionis, F.D.; Yamada, Y.; Gerszten, P.C.; Kuklo, T.R. Reliability analysis of the epidural spinal cord compression scale. J. Neurosurg. Spine 2010, 13, 324–328. [Google Scholar] [CrossRef]
- Patchell, R.A.; Tibbs, P.A.; Regine, W.F.; Payne, R.; Saris, S.; Kryscio, R.J.; Mohiuddin, M.; Young, B. Direct decompressive surgical resection in the treatment of spinal cord compression caused by metastatic cancer: A randomised trial. Lancet 2005, 366, 643–648. [Google Scholar] [CrossRef]
- Rothrock, R.J.; Barzilai, O.; Reiner, A.S.; Lis, E.; Schmitt, A.M.; Higginson, D.S.; Ogilvie, S.Q.; Karikari, I.O.; Tatsui, C.E.; Redmond, K.J.; et al. Survival Trends After Surgery for Spinal Metastatic Tumors: 20-Year Cancer Center Experience. Neurosurgery 2021, 88, 402–412. [Google Scholar] [CrossRef]
- Esperança-Martins, M.; Roque, D.; Barroso, T.; Abrunhosa-Branquinho, A.; Belo, D.; Simas, N.; Costa, L. Multidisciplinary Approach to Spinal Metastases and Metastatic Spinal Cord Compression-A New Integrative Flowchart for Patient Management. Cancers 2023, 15, 1796. [Google Scholar] [CrossRef] [PubMed] [PubMed Central]
- Fehlings, M.G.; Nater, A.; Tetreault, L.; Kopjar, B.; Arnold, P.; Dekutoski, M.; Finkelstein, J.; Fisher, C.; France, J.; Gokaslan, Z.; et al. Survival and clinical outcomes in surgically treated patients with metastatic epidural spinal cord compression: Results of the prospective multicenter AOSpine study. J. Clin. Oncol. 2016, 34, 268–276. [Google Scholar] [CrossRef]
- Sprave, T.; Verma, V.; Förster, R.; Schlampp, I.; Bruckner, T.; Bostel, T.; Welte, S.E.; Tonndorf-Martini, E.; Nicolay, N.H.; Debus, J.; et al. Randomized phase II trial evaluating pain response in patients with spinal metastases following stereotactic body radiotherapy versus three-dimensional conformal radiotherapy. Radiat. Oncol. 2018, 128, 274–282. [Google Scholar] [CrossRef]
- Sekar, V.; Walsh, J.; Pearson, L.H.; Barzilai, O.; Sharif, S.; Zileli, M. Radiation therapy, radiosurgery, chemotherapy and targeted therapies for metastatic spine tumors: WFNS Spine committee recommendations. Neurosurg. Rev. 2024, 48, 12. [Google Scholar] [CrossRef] [PubMed]
- Laufer, I.; Iorgulescu, J.B.; Chapman, T.; Lis, E.; Shi, W.; Zhang, Z.; Cox, B.W.; Yamada, Y.; Bilsky, M.H. Local disease control for spinal metastases following “separation surgery” and adjuvant hypofractionated or high-dose single-fraction stereotactic radiosurgery: Outcome analysis in 186 patients. J. Neurosurg. Spine 2013, 18, 207–214. [Google Scholar] [CrossRef] [PubMed] [PubMed Central]
- Mahroq, O.A.; Ganiyu, S.; Nimmagadda, R.; Priyatha, V.; Shaik, B.F.; O Ernest-Okonofua, E.; Khan, S. Neuro Navigation Versus Conventional Spinal Techniques in Analyzing Nerve Injury and Anatomical Accuracy: A Systematic Review. Cureus 2024, 16, e68760. [Google Scholar] [CrossRef] [PubMed] [PubMed Central]
- Laufer, I.; Rubin, D.G.; Lis, E.; Cox, B.W.; Stubblefield, M.D.; Yamada, Y.; Bilsky, M.H. The NOMS framework: Approach to the treatment of spinal metastatic tumors. Oncologist 2013, 18, 744–751. [Google Scholar] [CrossRef] [PubMed] [PubMed Central]
- Al Farii, H.; Aoude, A.; Al Shammasi, A.; Reynolds, J.; Weber, M. Surgical Management of the Metastatic Spine Disease: A Review of the Literature and Proposed Algorithm. Glob. Spine J. 2023, 13, 486–498. [Google Scholar] [CrossRef] [PubMed] [PubMed Central]
- Sahgal, A.; Myrehaug, S.D.; Siva, S.; Masucci, G.L.; Maralani, P.J.; Brundage, M.; Butler, J.; Chow, E.; Fehlings, M.G.; Foote, M.; et al. Stereotactic body radiotherapy versus conventional external beam radiotherapy in patients with painful spinal metastases: An open-label, multicentre, randomised, controlled, phase 2/3 trial. Lancet Oncol. 2021, 22, 1023–1033. [Google Scholar] [CrossRef] [PubMed]
- Moulding, H.D.; Elder, J.B.; Lis, E.; Lovelock, D.M.; Zhang, Z.; Yamada, Y.; Bilsky, M.H. Local disease control after decompressive surgery and adjuvant high-dose single-fraction radiosurgery for spine metastases. J. Neurosurg. Spine 2010, 13, 87–93. [Google Scholar] [CrossRef]
- Wong, H.C.Y.; Lee, S.F.; Chan, A.W.; Caini, S.; Hoskin, P.; Simone, C.B.; Johnstone, P.; van der Linden, Y.; van der Velden, J.M.; Martin, E.; et al. Stereotactic body radiation therapy versus conventional external beam radiotherapy for spinal metastases: A systematic review and meta-analysis of randomized controlled trials. Radiother. Oncol. 2023, 189, 109914. [Google Scholar] [CrossRef]
- Fuks, Z.; Kolesnick, R. Engaging the vascular component of the tumor response. Cancer Cell 2005, 8, 89–91. [Google Scholar] [CrossRef]
- Myrehaug, S.; Sahgal, A.; Hayashi, M.; Levivier, M.; Ma, L.; Martinez, R.; Chuang, C.; Fehlings, M.G.; Guckenberger, M.; Letourneau, D.; et al. Reirradiation spine stereotactic body radiation therapy for spinal metastases: Systematic review: International Stereotactic Radiosurgery Society practice guidelines. J. Neurosurg. Spine 2017, 27, 428–435. [Google Scholar] [CrossRef]
- Glicksman, R.M.; Tjong, M.C.; Neves-Junior, W.F.P.; Spratt, D.E.; Chua, K.L.M.; Mansouri, A.; Chua, M.L.K.; Berlin, A.; Winter, J.D.; Dahele, M.; et al. Stereotactic ablative radiotherapy for the management of spinal metastases: A review. JAMA Oncol. 2020, 6, 567–577, Erratum in JAMA Oncol. 2020, 6, 1303. https://doi.org/10.1001/jamaoncol.2020.2328. [Google Scholar] [CrossRef] [PubMed]
- Sahgal, A.; Atenafu, E.G.; Chao, S.; Al-Omair, A.; Boehling, N.; Balagamwala, E.H.; Cunha, M.; Thibault, I.; Angelov, L.; Brown, P.; et al. Vertebral compression fracture after spine stereotactic body radiotherapy: A multi-institutional analysis with a focus on radiation dose and the spinal instability neoplastic score. J. Clin. Oncol. 2013, 31, 3426–3431. [Google Scholar] [CrossRef] [PubMed]
- Faruqi, S.; Tseng, C.L.; Whyne, C.; Alghamdi, M.; Wilson, J.; Myrehaug, S.; Soliman, H.; Lee, Y.; Maralani, P.; Yang, V.; et al. Vertebral compression fracture after spine stereotactic body radiation therapy: A review of the pathophysiology and risk factors. Clin. Neurosurg. 2018, 83, 314–322. [Google Scholar] [CrossRef] [PubMed]
- Sellin, J.N.; Suki, D.; Harsh, V.; Elder, B.D.; Fahim, D.K.; McCutcheon, I.E.; Rao, G.; Rhines, L.D.; Tatsui, C.E. Factors affecting survival in 43 consecutive patients after surgery for spinal metastases from thyroid carcinoma. J. Neurosurg. Spine 2015, 23, 419–428. [Google Scholar] [CrossRef]
- Zuckerman, S.L.; Laufer, I.; Sahgal, A.; Yamada, Y.J.; Schmidt, M.H.M.; Chou, D.; Shin, J.H.; Kumar, N.; Sciubba, D.M. When Less Is More: The indications for MIS Techniques and Separation Surgery in Metastatic Spine Disease. Spine 2016, 41, S246–S253. [Google Scholar] [CrossRef] [PubMed] [PubMed Central]
- Redmond, K.J.; Lo, S.S.; Fisher, C.; Sahgal, A. Postoperative stereotactic body radiation therapy (SBRT) for spine metastases: A critical review to guide practice. Int. J. Radiat. Oncol. 2016, 95, 1414–1428. [Google Scholar] [CrossRef]
- Shi, C.; Lin, H.; Huang, S.; Xiong, W.; Hu, L.; Choi, I.; Press, R.; Hasan, S.; Simone, C.; Chhabra, A. Comprehensive Evaluation of Carbon-Fiber-Reinforced Polyetheretherketone (CFR-PEEK) Spinal Hardware for Proton and Photon Planning. Technol. Cancer Res. Treat. 2022, 21, 15330338221091700. [Google Scholar] [CrossRef] [PubMed] [PubMed Central]
- Long, J.R.; Kalani, M.A.; Goulding, K.A.; Ashman, J.B.; Flug, J.A. Carbon-fiber-reinforced polyetheretherketone orthopedic implants in musculoskeletal and spinal tumors: Imaging and clinical features. Skelet. Radiol. 2023, 52, 393–404. [Google Scholar] [CrossRef] [PubMed]
- Alvarez-Breckenridge, C.A.; North, R.; Tatsui, C.; Kumar, N.; Lo, S.F.; Mohammed, K.; Reynolds, J.; Lazary, A.; Laufer, I.; Verlaan, J.J.; et al. Role of Posterior Carbon Fiber Implants in Spine Tumor Surgery. Glob. Spine J. 2025, 15, 157S–165S. [Google Scholar] [CrossRef] [PubMed] [PubMed Central]





| ORGAN | Constraints to Be Respected | Treatment Specifics | 
| PRV Spinal Cord | D0.035 cc ≤ 17 Gy (mandatory) Dmax: ≤17 Gy (optimal) ≤19.3 Gy (mandatory) | D0.035 cc = 16.47 Gy Dmax = 18.31 Gy | 
| Small Bowel | Dmax ≤ 20 Gy | Dmax = 12.03 Gy | 
| Single Kidney | Dmax ≤ 26 Gy Dmean ≤ 6 Gy | Dmax (left) = 18.2 Gy; Dmax (right) = 21.19 Gy Dmean (left) = 5.39 Gy; Dmean (right) = 3.64 Gy | 
| Liver | Dmean as low as reasonably possible | Dmean = 1.19 Gy | 
| Target Coverage | V95% > 95% | V95% = 99.6% | 
| Disclaimer/Publisher’s Note: The statements, opinions and data contained in all publications are solely those of the individual author(s) and contributor(s) and not of MDPI and/or the editor(s). MDPI and/or the editor(s) disclaim responsibility for any injury to people or property resulting from any ideas, methods, instructions or products referred to in the content. | 
© 2025 by the authors. Licensee MDPI, Basel, Switzerland. This article is an open access article distributed under the terms and conditions of the Creative Commons Attribution (CC BY) license (https://creativecommons.org/licenses/by/4.0/).
Share and Cite
De Robertis, M.; Lo Faro, L.; Bianchini, L.; Baram, A.; Anselmi, L.; Clerici, E.; Navarria, P.; Riva, M.; Scorsetti, M.; Pessina, F.; et al. Hybrid Therapy with SBRT Target-Tailored Tumor Resection for High-Grade Metastatic Epidural Spinal Cord Compression (MESCC): Illustrative Case. J. Clin. Med. 2025, 14, 1688. https://doi.org/10.3390/jcm14051688
De Robertis M, Lo Faro L, Bianchini L, Baram A, Anselmi L, Clerici E, Navarria P, Riva M, Scorsetti M, Pessina F, et al. Hybrid Therapy with SBRT Target-Tailored Tumor Resection for High-Grade Metastatic Epidural Spinal Cord Compression (MESCC): Illustrative Case. Journal of Clinical Medicine. 2025; 14(5):1688. https://doi.org/10.3390/jcm14051688
Chicago/Turabian StyleDe Robertis, Mario, Lorenzo Lo Faro, Linda Bianchini, Ali Baram, Leonardo Anselmi, Elena Clerici, Pierina Navarria, Marco Riva, Marta Scorsetti, Federico Pessina, and et al. 2025. "Hybrid Therapy with SBRT Target-Tailored Tumor Resection for High-Grade Metastatic Epidural Spinal Cord Compression (MESCC): Illustrative Case" Journal of Clinical Medicine 14, no. 5: 1688. https://doi.org/10.3390/jcm14051688
APA StyleDe Robertis, M., Lo Faro, L., Bianchini, L., Baram, A., Anselmi, L., Clerici, E., Navarria, P., Riva, M., Scorsetti, M., Pessina, F., & Brembilla, C. (2025). Hybrid Therapy with SBRT Target-Tailored Tumor Resection for High-Grade Metastatic Epidural Spinal Cord Compression (MESCC): Illustrative Case. Journal of Clinical Medicine, 14(5), 1688. https://doi.org/10.3390/jcm14051688
 
        



 
       