Cone Beam Computed Tomography Evaluation and Proposal of a Functional Radiographic Classification of the Coronoid Process—A Cross-Sectional Study
Abstract
1. Introduction
2. Materials and Methods
- Shape of the coronoid process. This was categorized as triangular, rounded, hooked, or flattened. If the shape did not fall into any of the said categories, it was designated as miscellaneous.
- Surface configuration of coronoid process. This was considered smooth or irregular.
- Length of the coronoid process (Cor-L). This was evaluated along the long axis of the coronoid process. The distance between the tangent to the sigmoid notch and the tip of the coronoid process was measured.
- Length of the condylar process (Con-L). This was analyzed along the long axis of the condylar process. The distance between the tangent and the sigmoid notch and the tip of the condylar process was measured.
- 5.
- Coronoid/condyle ratio (Cor-L/Con-L). The ratio between the length of the coronoid and condylar process was calculated. When the ratio was >1, the coronoid process was considered hyperplastic.
- 6.
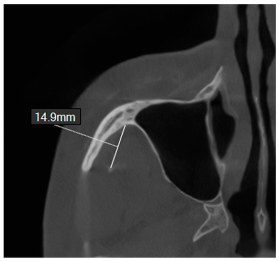
- Distance of the coronoid process from the posteromedial surface of the zygomatic bone (Cor-Z). This was assessed in the axial reformation at the level of the tip of the coronoid process. The distance between the tip of the coronoid process and the posteromedial surface of the zygomatic bone was measured (Figure 2).
- 7.
- Vertical level of the coronoid process (VL). This was evaluated on the lateral view of the volume rendered CBCT image, using the zygomatic arch as a reference. The distance from the lower border of the zygomatic arch to the tip of the coronoid process was measured (Figure 3).
3. Results
- The surface configuration of the coronoid process, i.e., whether it is smooth or irregular.
- The distance of the tip of the coronoid process from the posteromedial surface of the zygomatic bone.
- The vertical level of the coronoid process. This is the distance from the lower border of the zygomatic arch to the tip of the coronoid process.
4. Discussion
5. Conclusions
Author Contributions
Funding
Institutional Review Board Statement
Informed Consent Statement
Data Availability Statement
Conflicts of Interest
References
- Ghazizadeh, M.; Sheikhi, M.; Salehi, M.M.; Khaleghi, A. Bilateral coronoid hyperplasia causing painless limitation of mandibular movement. Radiol. Case Rep. 2017, 13, 112–117. [Google Scholar] [CrossRef] [PubMed] [PubMed Central]
- Patil, K.; Sanjay, C.J.; Mahima, V.G.; Lakshminarayana, K.S. Human unilateral bifid coronoid process—Report of a rare accidental radiographic finding. Eur. J. Anat. 2022, 26, 231–236. [Google Scholar] [CrossRef]
- Subbaramaiah, M.; Bajpe, R.; Jagannatha, S.R.; Jayanthi, K.S. A Study of Various Forms of Mandibular Coronoid Process in Determination of Sex. Indian J. Clin. Anat. Physiol. 2015, 2, 199–203. [Google Scholar] [CrossRef]
- Acharya, P.; Stewart, A.; Naini, F.B. Coronoid impingement syndrome: Literature review and clinical management. Maxillofac. Plast. Reconstr. Surg. 2017, 39, 11. [Google Scholar] [CrossRef] [PubMed] [PubMed Central]
- Arora, S.; Jilowa, S.; Swarnkar, M.; Kaur, G.; Sharma, M.K.; Taneja, A. Evaluation of Joint Formation in Coronoid Process Hyperplasia (Jacob’s Disease) on CT and MR Imaging. Indian J. Otolaryngol. Head Neck Surg. 2023, 75, 1035–1039. [Google Scholar] [CrossRef]
- Tavassol, F.; Spalthoff, S.; Essig, H.; Bredt, M.; Gellrich, N.-C.; Kokemüller, H. Elongated coronoid process: CT-based quantitative analysis of the coronoid process and review of literature. Int. J. Oral Maxillofac. Surg. 2012, 41, 331–338. [Google Scholar] [CrossRef]
- Roberta, C.; Pasquale, P.; Giacomo, D.R.; Massimo, M.; Stefano, V.; Rosa, V.; Ambrosina, M.; Luigi, C. Mandibular coronoid process tumor resembling a mandibular condyle: A case report. Oral Maxillofac. Surg. Cases 2019, 5, 100085. [Google Scholar] [CrossRef]
- Akan, H.; Mehreliyeva, N. The value of three-dimensional computed tomography in diagnosis and management of Jacob’s disease. Dentomaxillofacial Radiol. 2006, 35, 55–59. [Google Scholar] [CrossRef] [PubMed]
- Cantanhede, A.L.C.; Viana Junior, E.F.; Martins Neto, R.S.; Bastos, E.G.; Camelo, J. Long-Term Pterygomandibular Ankylosis: Rare Presentation. J. Maxillofac. Oral Surg. 2022, 21, 78–81. [Google Scholar] [CrossRef] [PubMed]
- Robiony, M.; Casadei, M.; Costa, F. Minimally invasive surgery for coronoid hyperplasia: Endoscopically assisted intraoral coronoidectomy. J. Craniofacial Surg. 2012, 23, 1838–1840. [Google Scholar] [CrossRef] [PubMed]
- Wang, W. Congenital mandibular coronoid process hyperplasia and associated diseases. Oral Dis. 2023, 29, 2438–2448. [Google Scholar] [CrossRef] [PubMed]
- Ilguy, M.; Kursoglu, P.; Ilguy, D. Three cases of elongated mandibular coronoid process with different presentations. Iran. J. Radiol. 2014, 11, e4031. [Google Scholar] [CrossRef] [PubMed] [PubMed Central]
- Izumi, M.; Isobe, M.; Toyama, M.; Ariji, Y.; Gotoh, M.; Naitoh, M.; Kurita, K.; Ariji, E. Computed tomographic features of bilateral coronoid process hyperplasia with special emphasis on patients without interference between the process and the zygomatic bone. Oral Surg. Oral Med. Oral Pathol. Oral Radiol. Endod. 2005, 99, 93–100. [Google Scholar] [CrossRef] [PubMed]
- Isberg, A.; Isacsson, G.; Nah, K.S. Mandibular coronoid process locking: A prospective study of frequency and association with internal derangement of the temporomandibular joint. Oral Surg. Oral Med. Oral Pathol. 1987, 63, 275–279. [Google Scholar] [CrossRef] [PubMed]
- Erdem, S. Investigation of coronoid process hyperplasia using Levandoski analysis on panoramic radiographs. World J. Radiol. 2022, 14, 107–113. [Google Scholar] [CrossRef] [PubMed] [PubMed Central]
- Domingos, V.; Freitas, C.F.; Fenyo-Pereira, M.; Raitz, R. Perception of professionals in the assessment of coronoid hyperplasia by computed tomography. Acta Odontol. Latinoam. 2015, 28, 58–63. [Google Scholar] [PubMed]
- Torenek, K.; Duman, S.B.; Bayrakdar, I.S.; Miloglu, O. Clinical and radiological findings of a bilateral coronoid hyperplasia case. Eur. J. Dent. 2015, 9, 149–152. [Google Scholar] [CrossRef]
- Munk, P.L.; Helms, C.A. Coronoid process hyperplasia: CT studies. Radiology 1989, 171, 783–784. [Google Scholar] [CrossRef] [PubMed]
- Stopa, Z.; Wanyura, H.; Kowalczyk, P. Coronoid-condylar index in assessing of mandibular coronoid hyperplasia. Preliminary results. Adv. Med. Sci. 2013, 58, 429–433. [Google Scholar] [CrossRef] [PubMed]
- Shujaat, S.; Politis, C.; Van Den Bogaert, T.; Vueghs, P.; Smeets, M.; Verhelst, P.-J.; Grymonprez, E.; Jacobs, R. Morphological characteristics of coronoid process and revisiting definition of coronoid hyperplasia. Sci. Rep. 2023, 13, 21049. [Google Scholar] [CrossRef] [PubMed]
- Raccampo, L.; Panozzo, G.; Tel, A.; Di Cosola, M.; Colapinto, G.; Trevisiol, L.; D’agostino, A.; Sembronio, S.; Robiony, M. Jacob’s Disease: Case Series, Extensive Literature Review and Classification Proposal. J. Clin. Med. 2023, 12, 938. [Google Scholar] [CrossRef] [PubMed] [PubMed Central]
- Mohanty, S.; Kohli, S.; Dabas, J.; Kumar, R.D.; Bodh, R.; Yadav, S. Fate of the Coronoid Process After Coronoidotomy and Its Effect on the Interincisal Opening: A Clinical and Radiologic Assessment. J. Oral Maxillofac. Surg. 2017, 75, 1263–1273. [Google Scholar] [CrossRef] [PubMed]
- Warwas, F.B.; Wiedemeyer, V.; Kramer, F.J.; Heim, N. Trismus Due to Hyperplastic Coronoid Process: Series of Five Cases and Review of Literature. J. Craniofacial Surg. 2021, 32, 2798–2801. [Google Scholar] [CrossRef] [PubMed]
- Yamashita, F.C.; Yamashita, A.L.; Romanichen, I.M.M.; Tolentino, E.S.; Chicarelli, M.; Iwaki, L.C.V. Three-dimensional evaluation of mandibular condyle and coronoid process according to sex, age, and skeletal deformities. Cranio 2023, 41, 26–31. [Google Scholar] [CrossRef] [PubMed]
- Gomes, A.F.; Nejaim, Y.; Brasil, D.M.; Groppo, F.C.; Ferreira Caria, P.H.; Haiter Neto, F. Assessment of Volume and Height of the Coronoid Process in Patients with Different Facial Types and Skeletal Classes: A Cone-Beam Computed Tomography Study. J. Oral Maxillofac. Surg. 2015, 73, 1395.e1–1395.e5. [Google Scholar] [CrossRef] [PubMed]
- Choi, M.G.; Kim, D.H.; Ki, E.J.; Cheon, H.M. Trismus Due to Bilateral Coronoid Hyperplasia. Maxillofac. Plast. Reconstr. Surg. 2014, 36, 168–172, Erratum in Maxillofac. Plast. Reconstr. Surg. 2014, 36, 237. https://doi.org/10.14402/jkamprs.2014.36.5.237. [Google Scholar] [CrossRef] [PubMed] [PubMed Central][Green Version]





| Group A Subjects with Cor-L/Con-L Ratio < 1 | Group B Subjects with Cor-L/Con-L Ratio > 1 | |
|---|---|---|
| Number of subjects | 256 | 85 |
| Mean (std) | 15.41 (±2.919) | 16.59 (±4.2) * |
| Std. error of mean | 0.1824 | 0.4556 |
| Group A Subjects with Coronoid/Condyle Ratio < 1 | Group B Subjects with Coronoid/Condyle Ratio > 1 | |
|---|---|---|
| Number of subjects | 256 | 85 |
| Mean (std) | 3.606 (±2.068) | 6.723 (±4.039) * |
| Std. error of mean | 0.1730 | 0.4573 |
| Type I | Smooth/Irregular, any shape, at or below the level of the lower border of the body of the ZB and below the level of the ZA. |
| Type II | Smooth/Irregular, any shape, above the level of lower border of the ZB, >8 mm distance from the posteromedial surface of the ZB, below the level of ZA. |
| Type IIIa | Smooth, any shape, above the level of the lower border of the body of ZB, >8 mm distance from the posteromedial surface of the ZB, <10 mm above the level of ZA. |
| Type IIIb | Irregular, any shape, above the level of the lower border of the ZB, >8 mm distance from the posteromedial surface of the ZB, <10 mm above the level of ZA. |
| Type IIIc | Smooth, any shape, >8 mm from the posteromedial surface of the ZB, >10 mm above the level of ZA. or Smooth/Irregular, any shape, above the level of lower border of the ZB, <8 mm distance from the posteromedial surface of the ZB, below the level of the ZA. |
| Type IVa | Smooth/Irregular, any shape, above the level of lower border of the ZB, <8 mm distance from the posteromedial surface of the ZB, <10 mm above the level of the ZA. |
| Type IVb | Smooth, any shape, 4–8 mm from the posteromedial surface of the ZB, >10 mm above the level of ZA. or Irregular, any shape, >8 mm from the posteromedial surface of the ZB, >10 mm above the level of ZA. |
| Type IVc | Smooth, Irregular, <4 mm from the medial surface of zygoma, >10 mm above the level of zygomatic arch. |
| Shapes—triangular, rounded, hooked, flattened, others. ZB—zygomatic body. ZA—zygomatic arch. | |
Disclaimer/Publisher’s Note: The statements, opinions and data contained in all publications are solely those of the individual author(s) and contributor(s) and not of MDPI and/or the editor(s). MDPI and/or the editor(s) disclaim responsibility for any injury to people or property resulting from any ideas, methods, instructions or products referred to in the content. |
© 2025 by the authors. Licensee MDPI, Basel, Switzerland. This article is an open access article distributed under the terms and conditions of the Creative Commons Attribution (CC BY) license (https://creativecommons.org/licenses/by/4.0/).
Share and Cite
Nagpal, A.; Tadinada, A. Cone Beam Computed Tomography Evaluation and Proposal of a Functional Radiographic Classification of the Coronoid Process—A Cross-Sectional Study. J. Clin. Med. 2025, 14, 1623. https://doi.org/10.3390/jcm14051623
Nagpal A, Tadinada A. Cone Beam Computed Tomography Evaluation and Proposal of a Functional Radiographic Classification of the Coronoid Process—A Cross-Sectional Study. Journal of Clinical Medicine. 2025; 14(5):1623. https://doi.org/10.3390/jcm14051623
Chicago/Turabian StyleNagpal, Archna, and Aditya Tadinada. 2025. "Cone Beam Computed Tomography Evaluation and Proposal of a Functional Radiographic Classification of the Coronoid Process—A Cross-Sectional Study" Journal of Clinical Medicine 14, no. 5: 1623. https://doi.org/10.3390/jcm14051623
APA StyleNagpal, A., & Tadinada, A. (2025). Cone Beam Computed Tomography Evaluation and Proposal of a Functional Radiographic Classification of the Coronoid Process—A Cross-Sectional Study. Journal of Clinical Medicine, 14(5), 1623. https://doi.org/10.3390/jcm14051623

