A Case Report of an Adenomatoid Tumor of the Fallopian Tube: The Histopathologic Challenges and a Review of the Literature
Abstract
1. Introduction
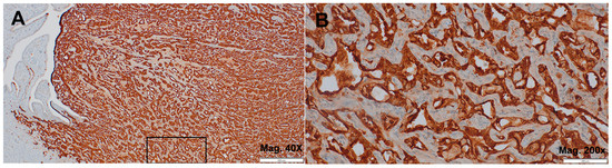
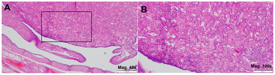
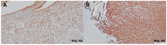
2. Case Study
3. Discussion
4. Conclusions
Author Contributions
Funding
Institutional Review Board Statement
Informed Consent Statement
Data Availability Statement
Conflicts of Interest
References
- Wachter, D.L.; Wünsch, P.H.; Hartmann, A.; Agaimy, A. Adenomatoid tumors of the female and male genital tract. A comparative clinicopathologic and immunohistochemical analysis of 47 cases emphasizing their site-specific morphologic diversity. Virchows Arch. 2011, 458, 593–602. [Google Scholar] [CrossRef] [PubMed]
- Sakaguchi, Y. Über das Adenomyom des Nebenhodens. Frankfurt. Ztschr. F. Path. 1916, 18, 379–387. [Google Scholar]
- Golden, A.; Ash, J.E. Adenomatoid tumors of the genital tract. Am. J. Pathol. 1945, 21, 63–79. [Google Scholar]
- Davy, C.L.; Tang, C.K. Are all adenomatoid tumors adenomatoid mesotheliomas? Hum. Pathol. 1981, 12, 360–369. [Google Scholar] [CrossRef]
- Barwick, K.W.; Madri, J.A. An immunohistochemical study of adenomatoid tumors utilizing keratin and factor VIII antibodies. Evidence for a mesothelial origin. Lab. Investig. 1982, 47, 276–280. [Google Scholar] [PubMed]
- Söderström, K.O. Origin of adenomatoid tumor: A comparison between the structure of adenomatoid tumor and epididymal duct cells. Cancer 1982, 49, 2349–2357. [Google Scholar] [CrossRef]
- Lehto, V.P.; Miettinen, M.; Virtanen, I. Adenomatoid tumor: Immunohistological features suggesting a mesothelial origin. Virchows Arch. B. Cell Pathol. Incl. Mol. Pathol. 1983, 42, 153–159. [Google Scholar] [CrossRef] [PubMed]
- Mai, K.T.; Yazdi, H.M.; Perkins, D.G.; Isotalo, P.A. Adenomatoid tumor of the genital tract: Evidence of mesenchymal cell origin. Pathol. Res. Pract. 1999, 195, 605–610. [Google Scholar] [CrossRef] [PubMed]
- Burke, F.J.; Leslie, D.A. Adenomatoid tumor of the Fallopian tube. J. Obstet. Gynaecol. Br. Emp. 1954, 61, 817–820. [Google Scholar] [CrossRef]
- Mhawech-Fauceglia, P.; Samroa, D. A case report of an adenomatoid tumor of the uterus mimicking an endometrioid adenocarcinoma on endometrial curetting: A diagnostic pitfall. Appl. Immunohistochem. Mol. Morphol. 2020, 28, e49–e52. [Google Scholar] [CrossRef]
- Jo, U. Adenomatoid tumor mimicking peritoneal carcinomatosis: A case report. Int. J. Gynecol. Pathol. 2024; Online ahead of print. [Google Scholar] [CrossRef]
- Sun, L.; Zhao, Z.; Qu, N.; Zhu, Y. Adenomatoid tumors of ovary mimicking malignancy: Report of 2 cases and literature review. BMC Womens Health 2022, 22, 547. [Google Scholar] [CrossRef] [PubMed]
- Kolin, D.L.; Nucci, M.R. Fallopian tube neoplasia and mimics. Surg. Pathol. Clin. 2019, 12, 457–479. [Google Scholar] [CrossRef] [PubMed]
- Bisset, D.L.; Morris, J.A.; Fox, H. Giant cystic adenomatoid tumour (mesothelioma) of the uterus. Histopathology 1988, 12, 555–558. [Google Scholar] [CrossRef] [PubMed]
- Renavikar, P.S.; Adwer, L.; Wagner, D.G.; Lele, S.M. A rare case of giant cystic adenomatoid tumor of the uterus with literature review. Case Rep. Obstet. Gynecol. 2024, 2024, 7791245. [Google Scholar] [CrossRef] [PubMed]
- De Rosa, G.; Boscaino, A.; Terracciano, L.M.; Giordano, G. Giant adenomatoid tumors of the uterus. Int. J. Gynecol. Pathol. 1992, 11, 156–160. [Google Scholar] [CrossRef] [PubMed]
- Hanada, S.; Okumura, Y.; Kaida, K. Multicentric adenomatoid tumors involving uterus, ovary, and appendix. J. Obstet. Gynaecol. Res. 2003, 29, 234–238. [Google Scholar] [CrossRef]
- Harada, N.; Nobuhara, I.; Haruta, N.; Kajimoto, M. Giant cystic adenomatoid tumour of the uterus. J. Obstet. Gynaecol. 2012, 32, 407–408. [Google Scholar] [CrossRef] [PubMed]
- Nogales, F.F.; Isaac, M.A.; Hardisson, D.; Bosincu, L.; Palacios, J.; Ordi, J.; Mendoza, E.; Manzarbeitia, F.; Olivera, H.; O’Valle, F.; et al. Adenomatoid tumors of the uterus: An analysis of 60 cases. Int. J. Gynecol. Pathol. 2001, 21, 34–40. [Google Scholar] [CrossRef] [PubMed]
- Hashimoto, H.; Sasajima, Y.; Miura, T.; Ninomiya, H.; Kusakabe, M.; Tsunoda, H.; Horiuchi, H. Uterine adenomatoid tumor containing epithelioid oxyphilic cells showing prominent down-expression of HBME1 and increased Ki-67 labeling index. Pathol. Int. 2018, 68, 394–396. [Google Scholar] [CrossRef]
- Srigley, J.R.; Colgan, T.J. Multifocal and diffuse adenomatoid tumor involving uterus and Fallopian tube. Ultrastruct. Pathol. 1988, 12, 351–355. [Google Scholar] [CrossRef] [PubMed]
- Di Stefano, D.; Faticanti Scucchi, L.; Covello, R.; Martinazzoli, A.; Meli, C.; Bosman, C. Uterine diffuse adenomatoid tumor. Does it represent a different biologic entity? Gynecol. Obstet. Investig. 1998, 46, 68–72. [Google Scholar] [CrossRef]
- Miller, F.; Lieberman, M.K. Local invasion in adenomatoid tumors. Cancer 1968, 21, 933–939. [Google Scholar] [CrossRef]
- Wakita, Y.; Takahama, J.; Yamauchi, S.; Okada, H.; Marugami, N.; Itoh, T.; Hirai, T.; Kichikawa, K.; Uchiyama, T.; Obayashi, C.; et al. Uterine adenomatoid tumor associated with lymph node lesions: A case report. Abdom. Radiol. (NY) 2020, 45, 2263–2267. [Google Scholar] [CrossRef] [PubMed]
- Wang, W.; Zhu, H.; Wang, J.; Wang, S.; Wang, D.; Zhao, J.; Zhu, H. Clonality assessment of adenomatoid tumor supports its neoplastic nature. Hum. Pathol. 2016, 48, 88–94. [Google Scholar] [CrossRef] [PubMed]
- Sohrabi, C.; Mathew, G.; Maria, N.; Kerwan, A.; Franchi, T.; Agha, R.A.; Bashashati, M.; Valmasoni, M.; Manning, T.G. The SCARE 2023 guideline: Updating consensus Surgical CAse REport (SCARE) guidelines. Int. J. Surg. 2023, 109, 1136–1140. [Google Scholar] [CrossRef] [PubMed]
- Inoue, T.; Nabeshima, K.; Shimao, M.; Akiyama, Y.; Ohtsuka, T.; Koono, M. Tubal ectopic pregnancy associated with an adenomatoid tumor. Pathol. Int. 2001, 51, 211–214. [Google Scholar] [CrossRef]
- Jablokow, V.R.; Jagatic, J.; Rubnitz, M.E. Adenomatoid tumors of the genital tract: Report of 12 cases and review of the literature. J. Urol. 1966, 95, 573–576. [Google Scholar] [CrossRef]
- Lee, M.J.; Dockerty, M.B.; Thompson, G.J.; Waugh, J.M. Benign mesotheliomas [adenomatoid tumors] of the genital tract. Surg. Gynecol. Obstet. 1950, 91, 221–231. [Google Scholar] [PubMed]
- Tiltman, A.J. Adenomatoid tumours of the uterus. Histopathology 1980, 4, 437–443. [Google Scholar] [CrossRef]
- Mizutani, T.; Yamamuro, O.; Kato, N.; Hayashi, K.; Chaya, J.; Goto, N.; Tsuzuki, T. Renal transplantation-related risk factors for the development of uterine adenomatoid tumors. Gynecol. Oncol. Rep. 2016, 17, 96–98. [Google Scholar] [CrossRef] [PubMed]
- Nakayama, H.; Teramoto, H.; Teramoto, M. True incidence of uterine adenomatoid tumors. Biomed. Rep. 2013, 1, 352–354. [Google Scholar] [CrossRef] [PubMed][Green Version]
- Mitta, K.; Michos, G.; Athanasiadou, E.; Papanikolaou, E.; Tsakiridis, I.; Mamopoulos, A. Adenomatoid tumor of the fallopian tube: A case report and a review of the literature. Int. J. Surg. Case Rep. 2024, 123, 110268. [Google Scholar] [CrossRef]
- Youngs, L.A.; Taylor, H.B. Adenomatoid tumors of the uterus and fallopian tube. Am. J. Clin. Pathol. 1967, 48, 537–545. [Google Scholar] [CrossRef]
- Honoré, L.H.; Korn, G.W. Coexistence of tubal ectopic pregnancy and adenomatoid tumor. J. Reprod. Med. 1976, 17, 342–344. [Google Scholar]
- Carlier, M.T.; Dardick, I.; Lagace, A.F.; Sreeram, V. Adenomatoid tumor of uterus: Presentation in endometrial curettings. Int. J. Gynecol. Pathol. 1986, 5, 69–74. [Google Scholar] [CrossRef]
- Ersan Erdem, B.; Yaprak Bayrak, B.; Vural, C.; Muezzinoglu, B. Non-random adenomatoid tumours of the female genital system: A comparative clinicopathologic analysis of 14 cases. Ann. Diagn. Pathol. 2020, 47, 151553. [Google Scholar] [CrossRef]
- Sangoi, A.R.; McKenney, J.K.; Schwartz, E.J.; Rouse, R.V.; Longacre, T.A. Adenomatoid tumors of the female and male genital tracts: A clinicopathological and immunohistochemical study of 44 cases. Mod. Pathol. 2009, 22, 1228–1235. [Google Scholar] [CrossRef] [PubMed]
- Quigley, J.C.; Hart, W.R. Adenomatoid tumors of the uterus. Am. J. Clin. Pathol. 1981, 76, 627–635. [Google Scholar] [CrossRef]
- Parekh, V.; Winokur, T.; Cerfolio, R.J.; Stevens, T.M. Posterior mediastinal adenomatoid tumor: A case report and review of the literature. Case Rep. Pathol. 2016, 2016, 6898526. [Google Scholar] [CrossRef][Green Version]
- Nakamura, Y.; Tanimura, A.; Itoh, Y.; Ohta, Y.; Kawano, K. Elastin in adenomatoid tumor. Light microscopic and electron microscopic study. Arch. Pathol. Lab. Med. 1992, 116, 143–145. [Google Scholar] [PubMed]
- Morris, J.A.; Oates, K.; Staff, W.G. Scanning electron microscopy of adenomatoid tumours. Br. J. Urol. 1986, 58, 183–187. [Google Scholar] [CrossRef] [PubMed]
- Hes, O.; Perez-Montiel, D.M.; Alvarado Cabrero, I.; Zamecnik, M.; Podhola, M.; Sulc, M.; Hora, M.; Mukensnabl, P.; Zalud, R.; Ondic, O.; et al. Threadlike bridging strands: A morphologic feature present in all adenomatoid tumors. Ann. Diagn. Pathol. 2003, 7, 273–277. [Google Scholar] [CrossRef] [PubMed]
- Hirakawa, T.; Tsuneyoshi, M.; Enjoji, M. Adenomatoid tumor of the ovary: An immunohistochemical and ultrastructural study. Jpn. J. Clin. Oncol. 1988, 18, 159–166. [Google Scholar]
- Schwartz, E.J.; Longacre, T.A. Adenomatoid tumors of the female and male genital tracts express WT1. Int. J. Gynecol. Pathol. 2004, 23, 123–128. [Google Scholar] [CrossRef]
- Terada, T. An immunohistochemical study of adenomatoid tumors of the uterus and fallopian tube. Appl. Immunohistochem. Mol. Morphol. 2012, 20, 173–176. [Google Scholar] [CrossRef] [PubMed]
- Karpathiou, G.; Hiroshima, K.; Peoc’h, M. Adenomatoid tumor: A review of pathology with focus on unusual presentations and sites, histogenesis, differential diagnosis, and molecular and clinical aspects with a historic overview of its description. Adv. Anat. Pathol. 2020, 27, 394–407. [Google Scholar] [CrossRef]
- Goode, B.; Joseph, N.M.; Stevers, M.; Van Ziffle, J.; Onodera, C.; Talevich, E.; Grenert, J.P.; Yeh, I.; Bastian, B.C.; Phillips, J.J.; et al. Adenomatoid tumors of the male and female genital tract are defined by TRAF7 mutations that drive aberrant NF-κB pathway activation. Mod. Pathol. 2018, 31, 660–673. [Google Scholar] [CrossRef] [PubMed]
- Livingstone, E.G.; Guis, M.S.; Pearl, M.L.; Stern, J.L.; Brescia, R.J. Diffuse adenomatoid tumor of the uterus with a serosal papillary cystic component. Int. J. Gynecol. Pathol. 1992, 11, 288–292. [Google Scholar] [CrossRef]
- Bülent Tiras, M.; Noyan, V.; Süer, Ö.; Bali, M.; Edali, N.; Yildirim, M. Adenomatoid tumor of the uterus in a patient with chronic renal failure. Eur. J. Obstet. Gynecol. Reprod. Biol. 2000, 92, 205–207. [Google Scholar] [CrossRef] [PubMed]
- Cheng, C.L.; Wee, A. Diffuse uterine adenomatoid tumor in an immunosuppressed renal transplant recipient. Int. J. Gynecol. Pathol. 2003, 22, 198–201. [Google Scholar] [CrossRef]
- Acikalin, M.F.; Tanir, H.M.; Ozalp, S.; Dundar, E.; Ciftci, E.; Ozalp, E. Diffuse uterine adenomatoid tumor in a patient with chronic hepatitis C virus infection. Int. J. Gynecol. Cancer 2009, 19, 242–244. [Google Scholar] [CrossRef] [PubMed]
- Tamura, D.; Maeda, D.S.; Halimi, A.; Okimura, M.; Kudo-Asabe, Y.; Ito, S.; Sato, N.; Shibahara, J.; Nanjo, H.; Terada, Y.; et al. Adenomatoid tumour of the uterus is frequently associated with iatrogenic immunosuppression. Histopathology 2018, 73, 1013–1022. [Google Scholar] [CrossRef] [PubMed]
- Angeles-Angeles, A.; Reyes, E.; Muñoz-Fernandez, L.; Angritt, P. Adenomatoid tumor of the right adrenal gland in a patient with AIDS. Endocr. Pathol. 1997, 8, 59–64. [Google Scholar] [CrossRef] [PubMed]
- Phitayakorn, R.; Maclennan, G.; Sadow, P.; Wilhelm, S. Adrenal adenomatoid tumor in a patient with human immunodeficiency virus. Rare Tumors 2011, 3, e21. [Google Scholar] [CrossRef] [PubMed]
- Skinnider, B.F.; Young, R.H. Infarcted adenomatoid tumor: A report of five cases of a facet of a benign neoplasm that may cause diagnostic difficulty. Am. J. Surg. Pathol. 2004, 28, 77–83. [Google Scholar]
- Weissferdt, A.; Kalhor, N.; Suster, S. Malignant mesothelioma with prominent adenomatoid features: A clinicopathologic and immunohistochemical study of 10 cases. Ann. Diagn. Pathol. 2011, 15, 25–29. [Google Scholar] [CrossRef]
- Weiss, S.W.; Tavassoli, F.A. Multicystic mesothelioma. An analysis of pathologic findings and biologic behaviour in 37 cases. Am. J. Surg. Pathol. 1988, 12, 737–746. [Google Scholar] [CrossRef] [PubMed]
- Itami, H.; Fujii, T.; Nakai, T.; Takeda, M.; Kishi, Y.; Taniguchi, F.; Terada, C.; Okada, F.; Nitta, Y.; Matsuoka, M.; et al. TRAF7 mutations and immunohistochemical study of uterine adenomatoid tumor compared with malignant mesothelioma. Hum. Pathol. 2021, 111, 59–66. [Google Scholar] [CrossRef]
- Bolton, R.N.; Hunter, W.C. Adenomatoid tumors of the uterus and adnexa: Report of eleven cases. Am. J. Obstet. Gynecol. 1958, 76, 647–652. [Google Scholar] [CrossRef]
- Huang, C.C.; Chang, D.Y.; Chen, C.K.; Chou, Y.Y.; Huang, S.C. Adenomatoid tumor of the female genital tract. Int. J. Gynaecol. Obstet. 1995, 50, 275–280. [Google Scholar] [CrossRef]
- Lee, C.M.; Moh, M.; Sullivan, P.S.; Moatamed, N.A. An unusual adenomatoid tumor of fimbria with pronounced psammoma bodies in a BRCA positive patient as a pitfall for carcinoma on frozen section. Case Rep. Pathol. 2018, 2018, 8148147. [Google Scholar] [CrossRef] [PubMed]
- Kraya, A.A.; Maxwell, K.N.; Eiva, M.A.; Wubbenhorst, B.; Pluta, J.; Feldman, M.; Nayak, A.; Powell, D.J., Jr.; Domchek, S.M.; Vonderheide, R.H.; et al. PTEN loss and BRCA1 promoter hypermethylation negatively predict for immunogenicity in BRCA-deficient ovarian cancer. JCO Precis. Oncol. 2022, 6, e2100159. [Google Scholar] [CrossRef] [PubMed]
- Zhang, C.; Wu, S. BAP1 mutations inhibit the NF-κB signaling pathway to induce an immunosuppressive microenvironment in uveal melanoma. Mol. Med. 2023, 29, 126. [Google Scholar] [CrossRef]



Disclaimer/Publisher’s Note: The statements, opinions and data contained in all publications are solely those of the individual author(s) and contributor(s) and not of MDPI and/or the editor(s). MDPI and/or the editor(s) disclaim responsibility for any injury to people or property resulting from any ideas, methods, instructions or products referred to in the content. |
© 2025 by the authors. Licensee MDPI, Basel, Switzerland. This article is an open access article distributed under the terms and conditions of the Creative Commons Attribution (CC BY) license (https://creativecommons.org/licenses/by/4.0/).
Share and Cite
Jozwik, M.; Bednarczuk, K.; Osierda, Z.; Wojtkiewicz, J.; Kocik, J.; Jozwik, M. A Case Report of an Adenomatoid Tumor of the Fallopian Tube: The Histopathologic Challenges and a Review of the Literature. J. Clin. Med. 2025, 14, 813. https://doi.org/10.3390/jcm14030813
Jozwik M, Bednarczuk K, Osierda Z, Wojtkiewicz J, Kocik J, Jozwik M. A Case Report of an Adenomatoid Tumor of the Fallopian Tube: The Histopathologic Challenges and a Review of the Literature. Journal of Clinical Medicine. 2025; 14(3):813. https://doi.org/10.3390/jcm14030813
Chicago/Turabian StyleJozwik, Marcin, Katarzyna Bednarczuk, Zofia Osierda, Joanna Wojtkiewicz, Janusz Kocik, and Maciej Jozwik. 2025. "A Case Report of an Adenomatoid Tumor of the Fallopian Tube: The Histopathologic Challenges and a Review of the Literature" Journal of Clinical Medicine 14, no. 3: 813. https://doi.org/10.3390/jcm14030813
APA StyleJozwik, M., Bednarczuk, K., Osierda, Z., Wojtkiewicz, J., Kocik, J., & Jozwik, M. (2025). A Case Report of an Adenomatoid Tumor of the Fallopian Tube: The Histopathologic Challenges and a Review of the Literature. Journal of Clinical Medicine, 14(3), 813. https://doi.org/10.3390/jcm14030813

