Radial Head Fractures: Is the Mason Classification Still Effective Today? A Large-Sample Validation of Intra- and Inter-Observer Reliability
Abstract
1. Introduction
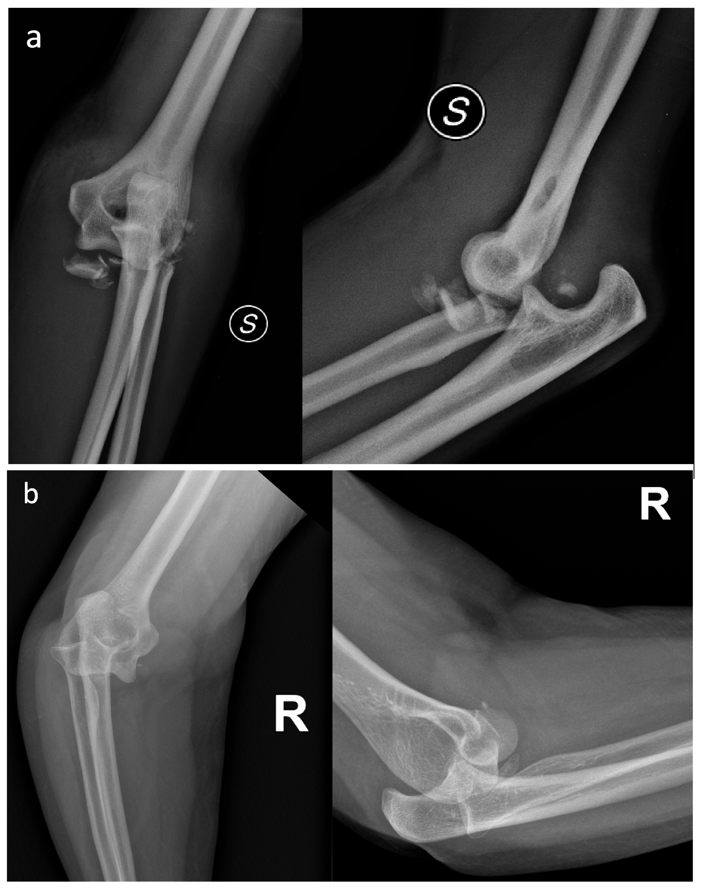
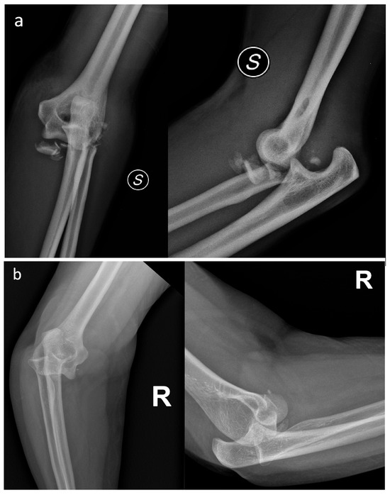
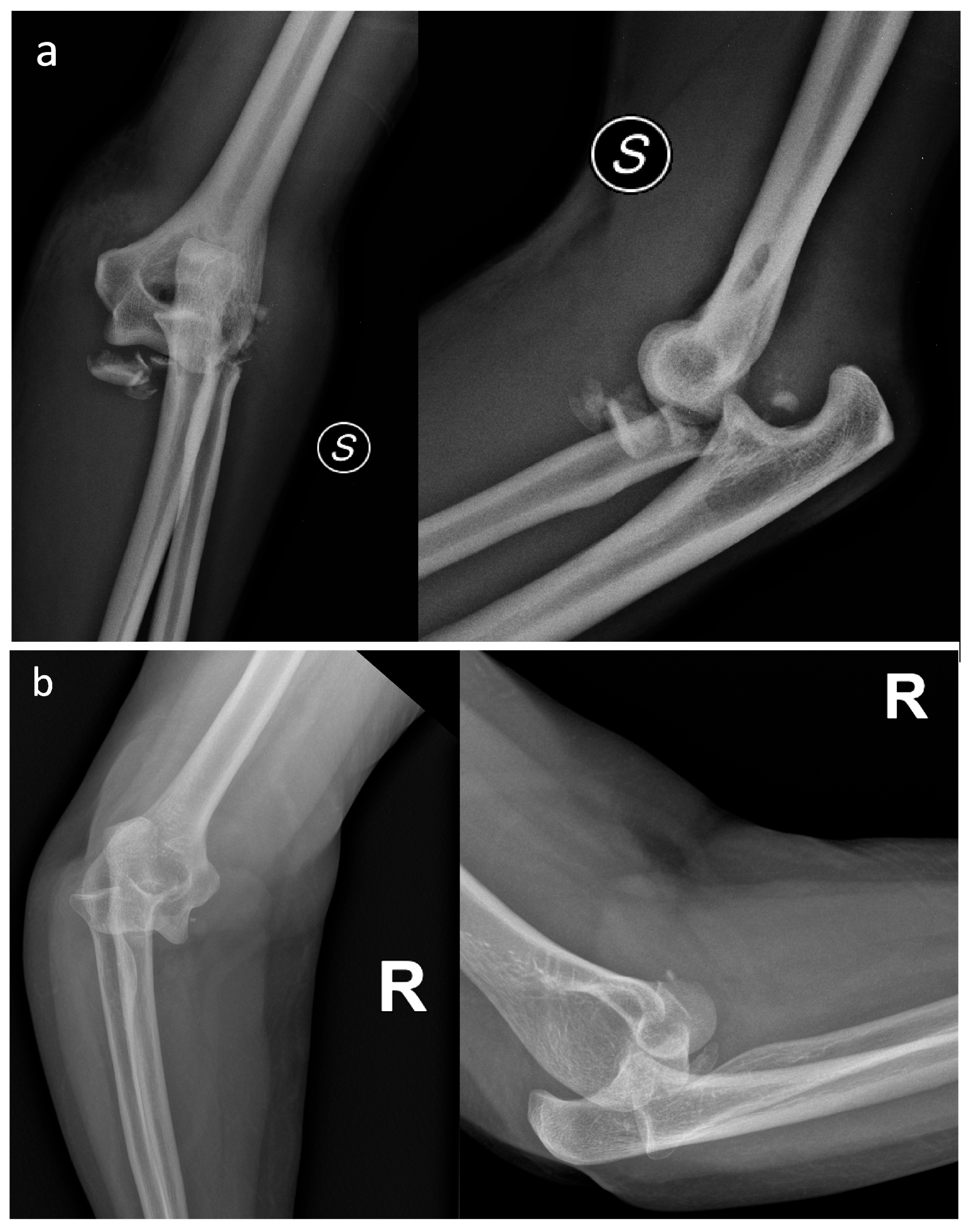
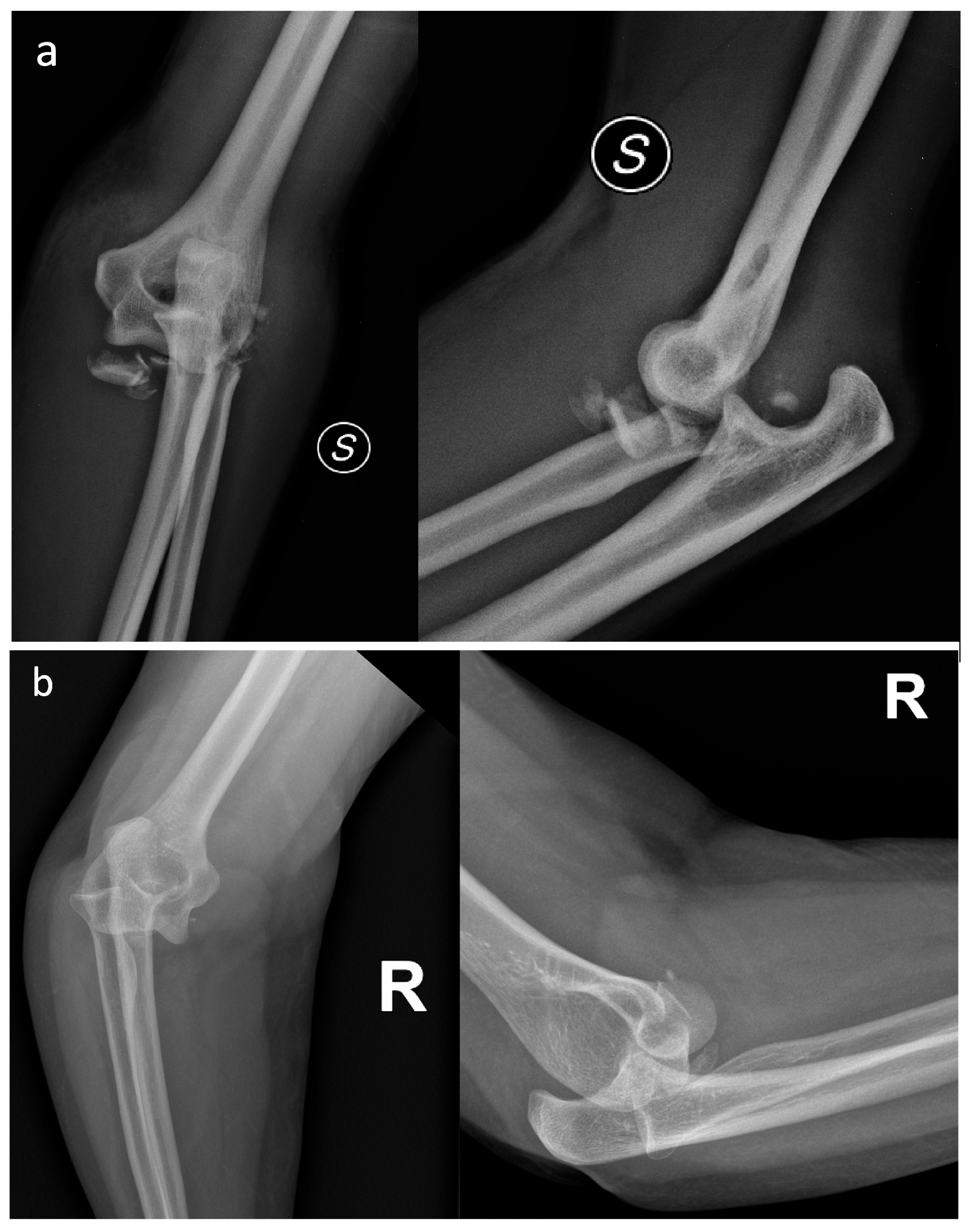
2. Materials and Methods
Statistical Analysis
3. Results
4. Discussion
Strengths and Limitations of the Study
5. Conclusions
Supplementary Materials
Author Contributions
Funding
Institutional Review Board Statement
Informed Consent Statement
Data Availability Statement
Conflicts of Interest
References
- Burkhart, K.J.; Wegmann, K.; Müller, L.P.; Gohlke, F.E. Fractures of the Radial Head. Hand Clinics. Hand Clin. 2015, 31, 533–546. [Google Scholar] [CrossRef] [PubMed]
- Charalambous, C.P.; Stanley, J.K.; Mills, S.P.; Hayton, M.J.; Hearnden, A.; Trail, I.; Gagey, O. Comminuted radial head fractures: Aspects of current management. J. Shoulder Elb. Surg. 2011, 20, 996–1007. [Google Scholar] [CrossRef]
- Duckworth, A.D.; Clement, N.D.; Jenkins, P.J.; Aitken, S.A.; Court-Brown, C.M.; McQueen, M.M. The Epidemiology of Radial Head and Neck Fractures. J. Hand Surg. 2012, 37, 112–119. [Google Scholar] [CrossRef]
- Kıratlıoğlu, Y.; Tepe, I.A.; Yalçın, M.; Yoğun, Y.; Armangil, M.; Bezirgan, U. Clinical and functional outcomes of plate and screw osteosynthesis in mason type III and IV radial head fractures in the absence of a radial head prosthesis. Eur. J. Orthop. Surg. Traumatol. 2025, 35, 198. [Google Scholar] [CrossRef]
- Mason, M.L. Some observations on fractures of the head of the radius with a review of one hundred cases. J. Br. Surg. 1954, 42, 123–132. [Google Scholar] [CrossRef]
- Johnston, G.W. A follow-up of one hundred cases of fracture of the head of the radius with a review of the literature. Ulst. Med. J. 1962, 31, 51–56. [Google Scholar]
- Matsunaga, F.T.; Tamaoki, M.J.; Cordeiro, E.F.; Uehara, A.; Ikawa, M.H.; Matsumoto, M.H.; dos Santos, J.B.; Belloti, J.C. Are classifications of proximal radius fractures reproducible? BMC Musculoskelet. Disord. 2009, 10, 120. [Google Scholar] [CrossRef]
- Morgan, S.; Groshen, S.; Itamura, J.; Shankwiler, J.; Brien, W.; Kuschner, S. Reliability evaluation of classifying radial head fractures by the system of Mason. Bull. Hosp. Jt. Dis. 1997, 56, 95–98. [Google Scholar] [PubMed]
- Duckworth, A.D.; Watson, B.S.; Will, E.M.; Petrisor, B.A.; Walmsley, P.J.; McQueen, M.M. Radial Head and Neck Fractures: Functional Results and Predictors of Outcome. J. Trauma Inj. Infect. Crit. Care 2011, 71, 643–648. [Google Scholar] [CrossRef] [PubMed]
- Guitton, T.G.; Van Der Werf, H.J.; Ring, D. Quantitative three-dimensional computed tomography measurement of radial head fractures. J. Shoulder Elb. Surg. 2010, 19, 973–977. [Google Scholar] [CrossRef] [PubMed]
- Van Riet, R.P.; Morrey, B.F. Documentation of Associated Injuries Occurring with Radial Head Fracture. Clin. Orthop. Relat. Res. 2008, 466, 130–134. [Google Scholar] [CrossRef]
- Kaeppler, K.; Geissbuhler, A.R.; Rutledge, J.C.; Dornan, G.J.; Wallace, C.A.; Viola, R.W. Minimum 10-year follow-up after open reduction and internal fixation of radial head fractures Mason type II and III. J. Shoulder Elb. Surg. 2025, 34, 531–542. [Google Scholar] [CrossRef] [PubMed]
- Fleiss, J.L.; Slakter, M.J.; Fischman, S.L.; Park, M.H.; Chilton, N.W. Inter-examiner Reliability in Caries Trials. J. Dent. Res. 1979, 58, 604–609. [Google Scholar] [CrossRef] [PubMed]
- Landis, J.R.; Koch, G.G. The measurement of observer agreement for categorical data. Biometrics 1977, 33, 159–174. [Google Scholar] [CrossRef] [PubMed]
- Cutler, C.W. Fractures of the head and neck of the radius. Ann. Surg. 1926, 83, 267–278. [Google Scholar] [CrossRef][Green Version]
- Broberg, M.A.; Morrey, B.F. Results of treatment of fracture-dislocations of the elbow. Clin. Orthop. Relat. Res. 1987, 216, 109–119. [Google Scholar] [CrossRef]
- Müller, M. The Comprehensive Classification of Fractures in Long Bones; Springer: Berlin, Germany, 1990. [Google Scholar]
- Hotchkiss, R.N. Displaced Fractures of the Radial Head: Internal Fixation or Excision? J. Am. Acad. Orthop. Surg. 1997, 5, 1–10. [Google Scholar] [CrossRef]
- Sheps, D.M.; Kiefer, K.R.; Boorman, R.S.; Donaghy, J.; Lalani, A.; Walker, R.; Hildebrand, K.A. The interobserver reliability of classification systems for radial head fractures: The Hotchkiss modification of the Mason classification and the AO classification systems. Can. J. Surg. 2009, 52, 277–282. [Google Scholar] [PubMed] [PubMed Central]
- Luchetti, T.J.; Newsum, N.; Bohl, D.D.; Cohen, M.S.; Wysocki, R.W. Radiographic evaluation of partial articular radial head fractures: Assessment of reliability. JSES Int. 2021, 5, 782–788. [Google Scholar] [CrossRef]
- Halvorson, R.T.; Lalchandani, G.R.; Cherches, M.F.; Petit, L.M.; Lattanza, L.; Lee, N.H.; Kandemir, U. Interobserver and Intraobserver Reliability of Classification Systems for Radiographic Complications After Radial Head Arthroplasty. J. Hand Surg. 2023, 48, 513.e1–513.e8. [Google Scholar] [CrossRef]
- Doornberg, J.; Elsner, A.; Kloen, P.; Marti, R.K.; Van Dijk, C.N.; Ring, D. Apparently isolated partial articular fractures of the radial head: Prevalence and reliability of radiographically diagnosed displacement. J. Shoulder Elb. Surg. 2007, 16, 603–608. [Google Scholar] [CrossRef]
- Dillon, M.T.; Getz, C.L.; Beredjiklian, P.K.; Wiesel, B.B.; Carolan, G.F.; Ramsey, M.L. Evaluation of reliability of the Mason classification for radial head fractures. Am. J. Orthop. (Belle Mead NJ) 2010, 39, 430–432. [Google Scholar] [PubMed]
- Ayyaswamy, B.; Howell, L.; Anand, A.; Charalambous, C.P. Interobserver and intraobserver variations in radial head fracture classification-assessment of two classification systems. J. Orthop. 2019, 16, 463–467. [Google Scholar] [CrossRef]
- Calderazzi, F.; Donelli, D.; Galavotti, C.; Nosenzo, A.; Bastia, P.; Lunini, E.; Paterlini, M.; Concari, G.; Maresca, A.; Marinelli, A. A proposal for computed tomography–based algorithm for the management of radial head and neck fractures: The Proximal and Articular Radial fractures Management (PARMa) classification. JSES Int. 2025, 9, 549–561. [Google Scholar] [CrossRef] [PubMed]
- Rhyou, I.H.; Kim, K.C.; Kim, K.W.; Lee, J.H.; Kim, S.Y. Collateral ligament injury in the displaced radial head and neck fracture: Correlation with fracture morphology and management strategy to the torn ulnar collateral ligament. J. Shoulder Elb. Surg. 2013, 22, 261–267. [Google Scholar] [CrossRef] [PubMed]
- Renfro, K.N.; Patrick, C.; Parnes, N.; Yoon, A.; Dunn, J. Radial Head Fractures: Current Trends in Treatment and Outcomes, A Retrospective Review. Orthopedics 2025, 48, e169–e176. [Google Scholar] [CrossRef]
- Liu, G.; Li, Q.; Xu, D.; Zhang, Y.; Li, M.; Zhang, L. The clinical outcomes of open reduction and internal fixation for Mason-Johnston type IV fractures of the radial head. Front. Surg. 2025, 12, 1506125. [Google Scholar] [CrossRef]
- Giannicola, G.; Greco, A.; Sacchetti, F.M.; Cinotti, G.; Nofroni, I.; Postacchini, F. Complex fracture-dislocations of the proximal ulna and radius in adults: A comprehensive classification. J. Shoulder Elb. Surg. 2011, 20, 1289–1299. [Google Scholar] [CrossRef] [PubMed]
- Tomás, F.J.; Proubasta, I.R. Modified radial head—Capitellum projection in elbow trauma. Br. J. Radiol. 1998, 71, 74–75. [Google Scholar] [CrossRef]

| Kappa | 95% CI | p-Value | |
|---|---|---|---|
| 1st OBSERVATION | |||
| Type I | 0.50 | 0.47–0.54 | p < 0.001 |
| Type II | 0.40 | 0.37–0.44 | p < 0.001 |
| Type III | 0.40 | 0.36–0.43 | p < 0.001 |
| Type IV | 0.69 | 0.65–0.72 | p < 0.001 |
| Overall κ | 0.49 | 0.42–0.55 | p < 0.001 |
| P (percent agreement) | 0.63 | - | |
| PABAK (K = 4) | 0.50 | 0.45–0.56 | p < 0.001 |
| Krippendorff’s α (ordinal weights) | 0.73 | 0.66–0.79 | p < 0.001 |
| 2nd OBSERVATION | |||
| Type I | 0.53 | 0.49–0.56 | p < 0.001 |
| Type II | 0.41 | 0.37–0.44 | p < 0.001 |
| Type III | 0.45 | 0.42–0.49 | p < 0.001 |
| Type IV | 0.65 | 0.62–0.68 | p < 0.001 |
| Overall κ | 0.50 | 0.42–0.56 | p < 0.001 |
| P (percent agreement) | 0.63 | - | |
| PABAK (K = 4) | 0.50 | 0.45–0.57 | p < 0.001 |
| Krippendorff’s α (ordinal weights) | 0.74 | 0.68–0.80 | p < 0.001 |
| Cohen κ (Unweighted) | 95% CI (Lower–Upper) | Percent Agreement | p-Value | |
|---|---|---|---|---|
| Observer 1 | 0.82 | 0.70–0.92 | 0.88 | p < 0.001 |
| Observer 2 | 0.72 | 0.59–0.83 | 0.80 | p < 0.001 |
| Observer 3 | 0.61 | 0.48–0.73 | 0.71 | p < 0.001 |
| Observer 4 | 0.73 | 0.61–0.84 | 0.81 | p < 0.001 |
| Observer 5 | 0.51 | 0.38–0.65 | 0.64 | p < 0.001 |
| Observer 6 | 0.39 | 0.26–0.53 | 0.56 | p < 0.001 |
| Observer 7 | 0.62 | 0.49–0.73 | 0.72 | p < 0.001 |
| Observer 8 | 0.68 | 0.55–0.79 | 0.77 | p < 0.001 |
| Observer 9 | 0.34 | 0.20–0.49 | 0.51 | p < 0.001 |
Disclaimer/Publisher’s Note: The statements, opinions and data contained in all publications are solely those of the individual author(s) and contributor(s) and not of MDPI and/or the editor(s). MDPI and/or the editor(s) disclaim responsibility for any injury to people or property resulting from any ideas, methods, instructions or products referred to in the content. |
© 2025 by the authors. Licensee MDPI, Basel, Switzerland. This article is an open access article distributed under the terms and conditions of the Creative Commons Attribution (CC BY) license (https://creativecommons.org/licenses/by/4.0/).
Share and Cite
Calderazzi, F.; Donelli, D.; Marinelli, A.; Bastia, P.; Galavotti, C.; Nosenzo, A.; Lunini, E.; Maresca, A.; Concari, G.; Ciatti, C. Radial Head Fractures: Is the Mason Classification Still Effective Today? A Large-Sample Validation of Intra- and Inter-Observer Reliability. J. Clin. Med. 2025, 14, 7252. https://doi.org/10.3390/jcm14207252
Calderazzi F, Donelli D, Marinelli A, Bastia P, Galavotti C, Nosenzo A, Lunini E, Maresca A, Concari G, Ciatti C. Radial Head Fractures: Is the Mason Classification Still Effective Today? A Large-Sample Validation of Intra- and Inter-Observer Reliability. Journal of Clinical Medicine. 2025; 14(20):7252. https://doi.org/10.3390/jcm14207252
Chicago/Turabian StyleCalderazzi, Filippo, Davide Donelli, Alessandro Marinelli, Paolo Bastia, Cristina Galavotti, Alessandro Nosenzo, Enricomaria Lunini, Alessandra Maresca, Giorgio Concari, and Corrado Ciatti. 2025. "Radial Head Fractures: Is the Mason Classification Still Effective Today? A Large-Sample Validation of Intra- and Inter-Observer Reliability" Journal of Clinical Medicine 14, no. 20: 7252. https://doi.org/10.3390/jcm14207252
APA StyleCalderazzi, F., Donelli, D., Marinelli, A., Bastia, P., Galavotti, C., Nosenzo, A., Lunini, E., Maresca, A., Concari, G., & Ciatti, C. (2025). Radial Head Fractures: Is the Mason Classification Still Effective Today? A Large-Sample Validation of Intra- and Inter-Observer Reliability. Journal of Clinical Medicine, 14(20), 7252. https://doi.org/10.3390/jcm14207252

