Mitral Valve Repair in the Modern Era: Insights into Techniques and Technologies with a Glimpse of the Future
Abstract
1. Introduction
2. Materials and Methods
3. Innovation in Surgical Technology
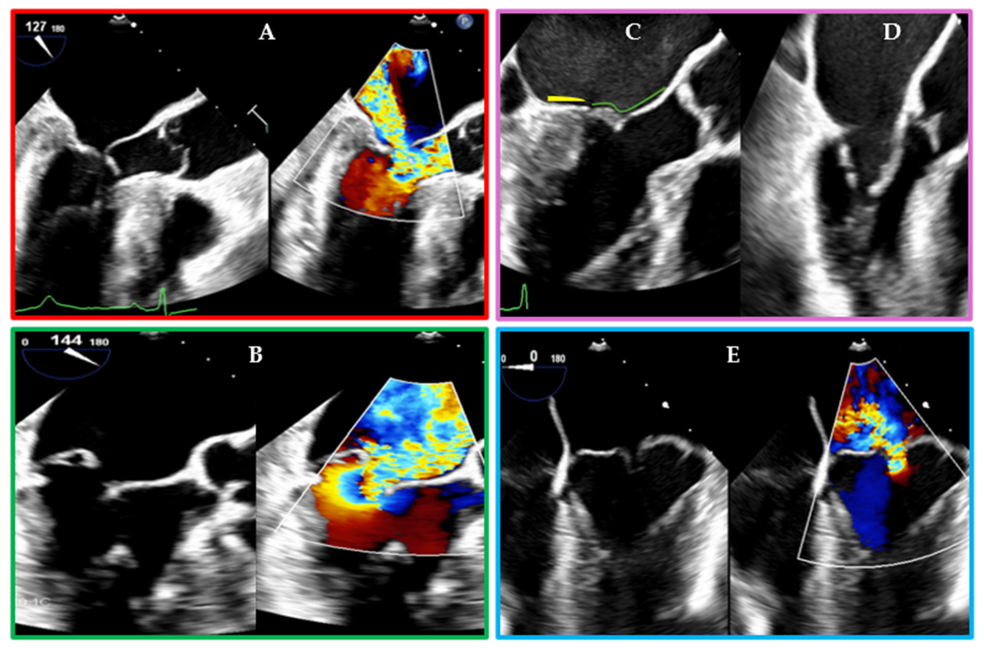
3.1. Visualization-Assisted and 3D Reconstruction Technologies
3.2. Robot-Assisted MV Repair
3.3. Minimally Invasive Surgical Approaches and Outcomes
4. Progress in Interventional Therapy
4.1. Transcatheter Edge-to-Edge Repair
4.2. Annuloplasty Devices and Chordal Replacement Systems
4.3. Patient Selection and Procedural Outcomes
5. Personalized Treatment Strategies
5.1. Integration of Imaging (TEE and CT) for Planning
5.2. Risk Stratification and Treatment Algorithms
6. Future Directions
7. Conclusions
Author Contributions
Funding
Institutional Review Board Statement
Data Availability Statement
Conflicts of Interest
Abbreviations
| CT | Computed Tomography |
| DMR | Degenerative Mitral Regurgitation |
| FMR | Functional Mitral Regurgitation |
| HF | Heart Failure |
| LV | Left Ventricle/Left Ventricular |
| MIMVr | Minimally Invasive Mitral Valve Repair |
| MR | Mitral Regurgitation |
| MV | Mitral Valve |
| MVr | Mitral Valve Repair |
| ROB | Robot-Assisted |
| SMVr | Surgical Mitral Valve Repair |
| TEE | Transesophageal Echocardiography |
| TEER | Transcatheter Edge-To-Edge Repair |
| TMVr | Transcatheter Mitral Valve repair |
References
- Nkomo, V.T.; Gardin, J.M.; Skelton, T.N.; Gottdiener, J.S.; Scott, C.G.; Enriquez-Sarano, M. Burden of valvular heart diseases: A population-based study. Lancet 2006, 368, 1005–1011. [Google Scholar] [CrossRef] [PubMed]
- Dziadzko, V.; Clavel, M.-A.; Dziadzko, M.; Medina-Inojosa, J.R.; Michelena, H.; Maalouf, J.; Nkomo, V.; Thapa, P.; Enriquez-Sarano, M. Outcome and undertreatment of mitral regurgitation: A community cohort study. Lancet 2018, 391, 960–969. [Google Scholar] [CrossRef] [PubMed]
- El Sabbagh, A.; Reddy, Y.N.; Nishimura, R.A. Mitral Valve Regurgitation in the Contemporary Era: Insights Into Diagnosis, Management, and Future Directions. JACC Cardiovasc. Imaging 2018, 11, 628–643. [Google Scholar] [CrossRef]
- Dębski, M.; Qadri, S.; Bhalraam, U.; Dębska, K.; Vassiliou, V.; Zacharias, J. Comparison of mitral valve repair vs. replacement for mitral valve regurgitation. Eur. Hear. J. Qual. Care Clin. Outcomes 2025, 11, 587–603. [Google Scholar] [CrossRef] [PubMed]
- Suri, R.M.; Schaff, H.V.; Dearani, J.A.; Sundt, T.M.; Daly, R.C.; Mullany, C.J.; Enriquez-Sarano, M.; Orszulak, T.A. Recovery of left ventricular function after surgical correction of mitral regurgitation caused by leaflet prolapse. J. Thorac. Cardiovasc. Surg. 2009, 137, 1071–1076. [Google Scholar] [CrossRef]
- Deng, Y.-D.; Du, W.-J.; Xiao, X.-J. Comparison of Outcomes following Mitral Valve Repair versus Replacement for Chronic Ischemic Mitral Regurgitation: A Meta-Analysis. Thorac. Cardiovasc. Surg. 2016, 65, 432–441. [Google Scholar] [CrossRef]
- Praz, F.; Borger, M.A.; Lanz, J.; Marin-Cuartas, M.; Abreu, A.; Adamo, M.; Marsan, N.A.; Barili, F.; Bonaros, N.; Cosyns, B.; et al. 2025 ESC/EACTS Guidelines for the management of valvular heart disease. Eur. Hear. J. 2025. [CrossRef]
- Stone, G.W.; Abraham, W.T.; Lindenfeld, J.; Kar, S.; Grayburn, P.A.; Lim, D.S.; Mishell, J.M.; Whisenant, B.; Rinaldi, M.; Kapadia, S.R.; et al. Five-Year Follow-up after Transcatheter Repair of Secondary Mitral Regurgitation. N. Engl. J. Med. 2023, 388, 2037–2048. [Google Scholar] [CrossRef]
- Song, K.; Lee, J.H.; Woo, H.T.; Kim, Y.S.; Jang, W.S.; Chung, S.; Cho, Y.H.; Kim, W.S.; Sung, K. Surgical outcome of mitral valve surgery in atrial functional mitral regurgitation compared with degenerative etiology. J. Thorac. Cardiovasc. Surg. 2024, 169, 1471–1482.e4. [Google Scholar] [CrossRef]
- Kagiyama, N.; Kaneko, T.; Amano, M.; Sato, Y.; Ohno, Y.; Obokata, M.; Sato, K.; Okada, T.; Hoshino, N.; Yamashita, K.; et al. Clinical Outcomes of Mitral Valve Surgery in Atrial Functional Mitral Regurgitation in the REVEAL-AFMR Registry. JAMA Netw. Open 2024, 7, e2428032. [Google Scholar] [CrossRef]
- Rudolph, F.; Geyer, M.; Baldus, S.; De Luca, V.M.; Doenst, T.; Pfister, R.; Gummert, J.; Kessler, M.; Boekstegers, P.; Lubos, E.; et al. Transcatheter Repair Versus Surgery for Atrial Versus Ventricular Functional Mitral Regurgitation: A Post Hoc Analysis of the MATTERHORN Trial. Circulation 2025, 151, 418–420. [Google Scholar] [CrossRef]
- Friedrich, I.; Simm, A.; Kötting, J.; Thölen, F.; Fischer, B.; Silber, R.-E. Cardiac Surgery in the Elderly Patient. Dtsch. Aerzteblatt Online 2009, 106, 416–422. [Google Scholar] [CrossRef]
- Svensson, L.G.; Atik, F.A.; Cosgrove, D.M.; Blackstone, E.H.; Rajeswaran, J.; Krishnaswamy, G.; Jin, U.; Gillinov, A.M.; Griffin, B.; Navia, J.L.; et al. Minimally invasive versus conventional mitral valve surgery: A propensity-matched comparison. J. Thorac. Cardiovasc. Surg. 2010, 139, 926–932.e2. [Google Scholar] [CrossRef]
- Arghami, A.; Jahanian, S.; Daly, R.C.; Hemmati, P.; Lahr, B.D.; Rowse, P.G.; Crestanello, J.A.; Dearani, J.A. Robotic Mitral Valve Repair: A Decade of Experience With Echocardiographic Follow-up. Ann. Thorac. Surg. 2022, 114, 1587–1595. [Google Scholar] [CrossRef]
- Yousef, S.; Arnaoutakis, G.J.; Gada, H.; Smith, A.J.C.; Sanon, S.; Sultan, I. Transcatheter mitral valve therapies: State of the art. J. Card. Surg. 2021, 37, 225–233. [Google Scholar] [CrossRef]
- Wong, P.; Wisneski, A.D.; Sandhu, A.; Wang, Z.; Mahadevan, V.S.; Nguyen, T.C.; Guccione, J.M. Looking towards the future: Patient-specific computational modeling to optimize outcomes for transcatheter mitral valve repair. Front. Cardiovasc. Med. 2023, 10, 1140379. [Google Scholar] [CrossRef]
- Kachroo, P.; Guo, A.; MacGregor, R.M.; Cupps, B.P.; Moon, M.R.; Damiano, R.J.; Maniar, H.; Itoh, A.; Pasque, M.K.; Foraker, R. Association of STS database variables with repair durability in ischemic mitral regurgitation using machine learning. J. Card. Surg. 2021, 37, 76–83. [Google Scholar] [CrossRef]
- Jiang, H.; Liu, L.; Wang, Y.; Ji, H.; Ma, X.; Wu, J.; Huang, Y.; Wang, X.; Gui, R.; Zhao, Q.; et al. Machine Learning for the Prediction of Complications in Patients After Mitral Valve Surgery. Front. Cardiovasc. Med. 2021, 8, 771246. [Google Scholar] [CrossRef] [PubMed]
- Harky, A.; Kwok, H.T.; Fan, K.S. The Evolution of Mitral Valve Surgery: The Future in the Hand of Robots. Braz. J. Cardiovasc. Surg. 2020, 35, 555–564. [Google Scholar] [CrossRef] [PubMed]
- Glauber, M.; Miceli, A. State of the art for approaching the mitral valve: Sternotomy, minimally invasive or total endoscopic robotic? Eur. J. Cardio-Thoracic Surg. 2015, 48, 639–641. [Google Scholar] [CrossRef] [PubMed]
- Meyer, A.; Van Praet, K.; Jacobs, S.; Sündermann, S.; Kukucka, M.; Falk, V.; Kempfert, J. Minimally Invasive Mitral 3D Fully Endoscopic versus Direct Vision Approach: A Propensity Score Matched Comparison. Thorac. Cardiovasc. Surg. 2017, 65, S1–S110. [Google Scholar] [CrossRef]
- Ram, E.; Moshkovitz, Y.; Shinfeld, A.; Kogan, A.; Peled, Y.; Sternik, L.; Raanani, E. Three-dimensional Video Assistance Improves Early Results in Minimally Invasive Mitral Valve Surgery. Asaio J. 2020, 67, 769–775. [Google Scholar] [CrossRef]
- Pushparajah, K.; Chu, K.Y.K.; Deng, S.; Wheeler, G.; Gomez, A.; Kabir, S.; Schnabel, J.A.; Simpson, J.M. Virtual reality three-dimensional echocardiographic imaging for planning surgical atrioventricular valve repair. JTCVS Tech. 2021, 7, 269–277. [Google Scholar] [CrossRef]
- Rad, A.A.; Vardanyan, R.; Lopuszko, A.; Alt, C.; Stoffels, I.; Schmack, B.; Ruhparwar, A.; Zhigalov, K.; Zubarevich, A.; Weymann, A. Virtual and Augmented Reality in Cardiac Surgery. Braz. J. Cardiovasc. Surg. 2022, 37, 123–127. [Google Scholar] [CrossRef]
- Fortuni, F.; Ciliberti, G.; De Chiara, B.; Conte, E.; Franchin, L.; Musella, F.; Vitale, E.; Piroli, F.; Cangemi, S.; Cornara, S.; et al. Advancements and applications of artificial intelligence in cardiovascular imaging: A comprehensive review. Eur. Hear. J. Imaging Methods Pract. 2024, 2, qyae136. [Google Scholar] [CrossRef]
- Premyodhin, N.; Mandair, D.; Ferng, A.S.; Leach, T.S.; Palsma, R.P.; Albanna, M.Z.; Khalpey, Z.I. 3D printed mitral valve models: Affordable simulation for robotic mitral valve repair. Interact. Cardiovasc. Thorac. Surg. 2017, 26, 71–76. [Google Scholar] [CrossRef]
- Bezek, L.B.; Cauchi, M.P.; De Vita, R.; Foerst, J.R.; Williams, C.B. 3D printing tissue-mimicking materials for realistic transseptal puncture models. J. Mech. Behav. Biomed. Mater. 2020, 110, 103971. [Google Scholar] [CrossRef] [PubMed]
- Vukicevic, M.; Puperi, D.S.; Grande-Allen, K.J.; Little, S.H. 3D Printed Modeling of the Mitral Valve for Catheter-Based Structural Interventions. Ann. Biomed. Eng. 2016, 45, 508–519. [Google Scholar] [CrossRef] [PubMed]
- Vukicevic, M.; Mosadegh, B.; Min, J.K.; Little, S.H. Cardiac 3D Printing and its Future Directions. JACC Cardiovasc. Imaging 2017, 10, 171–184. [Google Scholar] [CrossRef]
- Fortuni, F.; Petrina, S.M.; Nicolosi, G.L. Applications of artificial intelligence in cardiovascular imaging: Advantages, limitations, and future challenges. G. Ital. Cardiol. 2025, 26, 379–387. [Google Scholar] [CrossRef]
- Mihaljevic, T.; Jarrett, C.M.; Gillinov, A.M.; Williams, S.J.; DeVilliers, P.A.; Stewart, W.J.; Svensson, L.G.; Sabik, J.F.; Blackstone, E.H. Robotic repair of posterior mitral valve prolapse versus conventional approaches: Potential realized. J. Thorac. Cardiovasc. Surg. 2011, 141, 72–80.e4. [Google Scholar] [CrossRef]
- Tomšič, A.; Palmen, M. Robotic mitral valve repair surgery: Where do we go from here? Front. Cardiovasc. Med. 2023, 10, 1156495. [Google Scholar] [CrossRef]
- Toolan, C.; Palmer, K.; Al-Rawi, O.; Ridgway, T.; Modi, P. Robotic mitral valve surgery: A review and tips for safely negotiating the learning curve. J. Thorac. Dis. 2021, 13, 1971–1981. [Google Scholar] [CrossRef]
- Hassanabad, A.F.; Nagase, F.N.I.; Basha, A.M.; Hammal, F.; Menon, D.; Kent, W.D.T.; Ali, I.S.; Nagendran, J.; Stafinski, T. A Systematic Review and Meta-Analysis of Robot-Assisted Mitral Valve Repair. Innov. Technol. Tech. Cardiothorac. Vasc. Surg. 2022, 17, 471–481. [Google Scholar] [CrossRef]
- Sandoval, E.; Bhoera, R.A.; Tomšič, A.; Morales-Rey, I.; García-Álvarez, A.; Palmen, M.; Pereda, D. Learning curve of robotic mitral repair: Prospective two-centre study of proficiency and clinical outcomes. Eur. J. Cardio-Thoracic Surg. 2024, 66, ezae426. [Google Scholar] [CrossRef]
- Glauber, M.; Karimov, J.H.; Farneti, P.A.; Cerillo, A.G.; Santarelli, F.; Ferrarini, M.; Del Sarto, P.; Murzi, M.; Solinas, M. Minimally invasive mitral valve surgery via right minithoracotomy. Multimedia Man. Cardio-Thoracic Surg. 2009, 2009, mmcts-2008. [Google Scholar] [CrossRef]
- Al Shamry, A.; Jegaden, M.; Ashafy, S.; Eker, A.; Jegaden, O. Minithoracotomy versus sternotomy in mitral valve surgery: Meta-analysis from recent matched and randomized studies. J. Cardiothorac. Surg. 2023, 18, 101. [Google Scholar] [CrossRef] [PubMed]
- Downs, E.A.; Johnston, L.E.; LaPar, D.J.; Ghanta, R.K.; Kron, I.L.; Speir, A.M.; Fonner, C.E.; Kern, J.A.; Ailawadi, G. Minimally Invasive Mitral Valve Surgery Provides Excellent Outcomes Without Increased Cost: A Multi-Institutional Analysis. Ann. Thorac. Surg. 2016, 102, 14–21. [Google Scholar] [CrossRef]
- Holzhey, D.M.; Seeburger, J.; Misfeld, M.; Borger, M.A.; Mohr, F.W. Learning Minimally Invasive Mitral Valve Surgery. Circulation 2013, 128, 483–491. [Google Scholar] [CrossRef] [PubMed]
- Kang, J.; Marin-Cuartas, M.; Kiefer, P.; Otto, W.; Leontiev, S.; Dashkevich, A.; Pfannmüller, B.; Holzhey, D.; Mohr, F.W.; Borger, M.A.; et al. Evolution of Minimally Invasive Mitral Valve Repair: 30-Year Experience From a High-Volume Center. Ann. Thorac. Surg. Short Rep. 2025, in press. [CrossRef]
- Holzhey, D.M.; Shi, W.; Borger, M.A.; Seeburger, J.; Garbade, J.; Pfannmüller, B.; Mohr, F.W. Minimally Invasive Versus Sternotomy Approach for Mitral Valve Surgery in Patients Greater Than 70 Years Old: A Propensity-Matched Comparison. Ann. Thorac. Surg. 2011, 91, 401–405. [Google Scholar] [CrossRef]
- Iribarne, A.; Russo, M.J.; Easterwood, R.; Hong, K.N.; Yang, J.; Cheema, F.H.; Smith, C.R.; Argenziano, M. Minimally Invasive Versus Sternotomy Approach for Mitral Valve Surgery: A Propensity Analysis. Ann. Thorac. Surg. 2010, 90, 1471–1478. [Google Scholar] [CrossRef]
- Radwan, M.; Bon, D.; Dressen, L.; Walther, T.; Miscovic, A.; Moritz, A.; Papadopoulos, N. Propensity-Matched Comparison of Two Different Access Modes for Minimally Invasive Mitral Valve Surgery. Semin. Thorac. Cardiovasc. Surg. 2020, 32, 36–44. [Google Scholar] [CrossRef] [PubMed]
- Nicoara, A.; Skubas, N.; Ad, N.; Finley, A.; Hahn, R.T.; Mahmood, F.; Mankad, S.; Nyman, C.B.; Pagani, F.; Porter, T.R.; et al. Guidelines for the Use of Transesophageal Echocardiography to Assist with Surgical Decision-Making in the Operating Room: A Surgery-Based Approach. J. Am. Soc. Echocardiogr. 2020, 33, 692–734. [Google Scholar] [CrossRef] [PubMed]
- Testa, L.; Latib, A.; Montone, R.A.; Bedogni, F. Transcatheter mitral valve regurgitation treatment: State of the art and a glimpse to the future. J. Thorac. Cardiovasc. Surg. 2016, 152, 319–327. [Google Scholar] [CrossRef]
- Denti, P.; Sala, A.; Belluschi, I.; Alfieri, O. Over 15 years: The advancement of transcatheter mitral valve repair. Ann. Cardiothorac. Surg. 2021, 10, 15–27. [Google Scholar] [CrossRef]
- Mack, M.; Carroll, J.D.; Thourani, V.; Vemulapalli, S.; Squiers, J.; Manandhar, P.; Deeb, G.M.; Batchelor, W.; Herrmann, H.C.; Cohen, D.J.; et al. Transcatheter Mitral Valve Therapy in the United States. JACC 2021, 78, 2326–2353. [Google Scholar] [CrossRef]
- Maisano, F.; Torracca, L.; Oppizzi, M.; Stefano, P.; D’aDdario, G.; La Canna, G.; Zogno, M.; Alfieri, O. The edge-to-edge technique: A simplified method to correct mitral insufficiency. Eur. J. Cardio-Thoracic Surg. 1998, 13, 240–246. [Google Scholar] [CrossRef] [PubMed]
- Feldman, T.; Kar, S.; Elmariah, S.; Smart, S.C.; Trento, A.; Siegel, R.J.; Apruzzese, P.; Fail, P.; Rinaldi, M.J.; Smalling, R.W.; et al. Randomized Comparison of Percutaneous Repair and Surgery for Mitral Regurgitation. JACC 2015, 66, 2844–2854. [Google Scholar] [CrossRef]
- Anker, S.D.; Friede, T.; von Bardeleben, R.-S.; Butler, J.; Khan, M.-S.; Diek, M.; Heinrich, J.; Geyer, M.; Placzek, M.; Ferrari, R.; et al. Transcatheter Valve Repair in Heart Failure with Moderate to Severe Mitral Regurgitation. N. Engl. J. Med. 2024, 391, 1799–1809. [Google Scholar] [CrossRef]
- Baldus, S.; Doenst, T.; Pfister, R.; Gummert, J.; Kessler, M.; Boekstegers, P.; Lubos, E.; Schröder, J.; Thiele, H.; Walther, T.; et al. Transcatheter Repair versus Mitral-Valve Surgery for Secondary Mitral Regurgitation. N. Engl. J. Med. 2024, 391, 1787–1798. [Google Scholar] [CrossRef]
- Spargias, K.; Lim, D.S.; Makkar, R.; Kar, S.; Kipperman, R.M.; O’Neill, W.W.; Ng, M.K.C.; Smith, R.L.; Fam, N.P.; Rinaldi, M.J.; et al. Three-year outcomes for transcatheter repair in patients with mitral regurgitation from the CLASP study. Catheter. Cardiovasc. Interv. 2023, 102, 145–154. [Google Scholar] [CrossRef]
- Shuvy, M.; Maisano, F. Evolving indications for transcatheter mitral edge-to-edge repair. EuroIntervention 2024, 20, e230–e238. [Google Scholar] [CrossRef]
- Grasso, C. A double shot at the mitral valve: Combined transcatheter mitral valve repair techniques to optimise results. EuroIntervention 2016, 12, Y90–Y92. [Google Scholar] [CrossRef]
- D’Onofrio, A.; Fiocco, A.; Nadali, M.; Gerosa, G. Transapical mitral valve repair procedures: Primetime for microinvasive mitral valve surgery. J. Card. Surg. 2021, 37, 4053–4061. [Google Scholar] [CrossRef]
- Feldman, T.; Guerrero, M.; Salinger, M.H. Emerging technologies for direct and indirect percutaneous mitral annuloplasty. EuroIntervention 2016, 12, Y84–Y89. [Google Scholar] [CrossRef]
- Witte, K.K.; Lipiecki, J.; Siminiak, T.; Meredith, I.T.; Malkin, C.J.; Goldberg, S.L.; Stark, M.A.; von Bardeleben, R.S.; Cremer, P.C.; Jaber, W.A.; et al. The REDUCE FMR Trial. JACC Hear. Fail. 2019, 7, 945–955. [Google Scholar] [CrossRef] [PubMed]
- Patterson, T.; Adams, H.; Allen, C.; Rajani, R.; Prendergast, B.; Redwood, S. Indirect Annuloplasty to Treat Functional Mitral Regurgitation: Current Results and Future Perspectives. Front. Cardiovasc. Med. 2019, 6, 60. [Google Scholar] [CrossRef] [PubMed]
- Siminiak, T.; Hoppe, U.C.; Schofer, J.; Haude, M.; Herrman, J.-P.; Vainer, J.; Firek, L.; Reuter, D.G.; Goldberg, S.L.; Van Bibber, R. Effectiveness and Safety of Percutaneous Coronary Sinus-Based Mitral Valve Repair in Patients With Dilated Cardiomyopathy (from the AMADEUS Trial). Am. J. Cardiol. 2009, 104, 565–570. [Google Scholar] [CrossRef] [PubMed]
- Messika-Zeitoun, D.; Nickenig, G.; Latib, A.; Kuck, K.-H.; Baldus, S.; Schueler, R.; La Canna, G.; Agricola, E.; Kreidel, F.; Huntgeburth, M.; et al. Transcatheter mitral valve repair for functional mitral regurgitation using the Cardioband system: 1 year outcomes. Eur. Heart J. 2018, 40, 466–472. [Google Scholar] [CrossRef]
- D’ONofrio, A.; Fiocco, A.; Nadali, M.; Mastro, F.; Aruta, P.; Lorenzoni, G.; Pittarello, D.; Gerosa, G.; Evangelista, G.; Longinotti, L.; et al. Outcomes of transapical mitral valve repair with neochordae implantation. J. Thorac. Cardiovasc. Surg. 2022, 165, 1036–1046.e4. [Google Scholar] [CrossRef]
- Müller, L.; Höfer, D.; Holfeld, J.; Hangler, H.; Bonaros, N.; Grimm, M. Indications and contra-indications for minimally invasive mitral valve surgery. J. Vis. Surg. 2018, 4, 255. [Google Scholar] [CrossRef]
- Burns, D.J.; Wierup, P.; Gillinov, M. Minimally Invasive Mitral Surgery. Cardiol. Clin. 2021, 39, 211–220. [Google Scholar] [CrossRef]
- Brugiatelli, L.; Rolando, M.; Lofiego, C.; Fogante, M.; Capodaglio, I.; Patani, F.; Tofoni, P.; Maurizi, K.; Nazziconi, M.; Massari, A.; et al. Transcatheter Mitral Valve Intervention: Current and Future Role of Multimodality Imaging for Device Selection and Periprocedural Guidance. Medicina 2024, 60, 1082. [Google Scholar] [CrossRef]
- Hausleiter, J.; Stocker, T.J.; Adamo, M.; Karam, N.; Swaans, M.J.; Praz, F. Mitral valve transcatheter edge-to-edge repair. EuroIntervention 2023, 18, 957–976. [Google Scholar] [CrossRef]
- Harloff, M.T.; Chowdhury, M.; Hirji, S.A.; Percy, E.D.; Yazdchi, F.; Shim, H.; Malarczyk, A.A.; Sobieszczyk, P.S.; Sabe, A.A.; Shah, P.B.; et al. A step-by-step guide to transseptal valve-in-valve transcatheter mitral valve replacement. Ann. Cardiothorac. Surg. 2021, 10, 113–121. [Google Scholar] [CrossRef]
- McClure, R.S.; Cohn, L.H.; Wiegerinck, E.; Couper, G.S.; Aranki, S.F.; Bolman, R.M.; Davidson, M.J.; Chen, F.Y. Early and late outcomes in minimally invasive mitral valve repair: An eleven-year experience in 707 patients. J. Thorac. Cardiovasc. Surg. 2009, 137, 70–75. [Google Scholar] [CrossRef]
- Percy, E.; Hirji, S.; Yazdchi, F.; McGurk, S.; Kiehm, S.; Cook, R.; Kaneko, T.; Shekar, P.; Pelletier, M.P. Long-Term Outcomes of Right Minithoracotomy Versus Hemisternotomy for Mitral Valve Repair. Innov. Technol. Tech. Cardiothorac. Vasc. Surg. 2020, 15, 74–80. [Google Scholar] [CrossRef] [PubMed]
- Szerlip, M.; Spargias, K.S.; Makkar, R.; Kar, S.; Kipperman, R.M.; O’neill, W.W.; Ng, M.K.; Smith, R.L.; Fam, N.P.; Rinaldi, M.J.; et al. 2-Year Outcomes for Transcatheter Repair in Patients With Mitral Regurgitation From the CLASP Study. JACC Cardiovasc. Interv. 2021, 14, 1538–1548. [Google Scholar] [CrossRef] [PubMed]
- Seeburger, J.; Rinaldi, M.; Nielsen, S.L.; Salizzoni, S.; Lange, R.; Schoenburg, M.; Alfieri, O.; Borger, M.A.; Mohr, F.W.; Aidietis, A. Off-Pump Transapical Implantation of Artificial Neo-Chordae to Correct Mitral Regurgitation. JACC 2014, 63, 914–919. [Google Scholar] [CrossRef] [PubMed]
- Gammie, J.S.; Bartus, K.; Gackowski, A.; Szymanski, P.; Bilewska, A.; Kusmierczyk, M.; Kapelak, B.; Rzucidlo-Resil, J.; Duncan, A.; Yadav, R.; et al. Safety and performance of a novel transventricular beating heart mitral valve repair system: 1-year outcomes. Eur. J. Cardio-Thoracic Surg. 2020, 59, 199–206. [Google Scholar] [CrossRef] [PubMed]
- Feldman, T.; Foster, E.; Glower, D.D.; Kar, S.; Rinaldi, M.J.; Fail, P.S.; Smalling, R.W.; Siegel, R.; Rose, G.A.; Engeron, E.; et al. Percutaneous Repair or Surgery for Mitral Regurgitation. N. Engl. J. Med. 2011, 364, 1395–1406. [Google Scholar] [CrossRef] [PubMed]
- Bakir, N.H.; Bernabei, A.; Burns, D.J.; Houghtaling, P.L.; Harb, S.; Svensson, L.G.; Blackstone, E.H.; Malas, T.; Gillinov, A. Durability of Surgical Mitral Repair vs. Transcatheter Edge-to-edge Repair in Patients with Degenerative Mitral Regurgitation. Ann. Thorac. Surg. 2025, in press. [Google Scholar] [CrossRef] [PubMed]
- Doldi, P.; Stolz, L.; Orban, M.; Karam, N.; Praz, F.; Kalbacher, D.; Lubos, E.; Braun, D.; Adamo, M.; Giannini, C.; et al. Transcatheter Mitral Valve Repair in Patients With Atrial Functional Mitral Regurgitation. JACC Cardiovasc. Imaging 2022, 15, 1843–1851. [Google Scholar] [CrossRef]
- Hameed, I.; Ahmed, A.; Waldron, C.; Algarate, P.T.; Kawczynski, M.; Fatima, M.; Alhazmi, A.; Colon, S.; Brackett, A.; Heuts, S.; et al. Mitral Valve Repair. JACC Adv. 2025, 4, 101589. [Google Scholar] [CrossRef]
- Corcione, N.; Ferraro, P.; Finizio, F.; Cimmino, M.; Albanese, M.; Morello, A.; Biondi-Zoccai, G.; Denti, P.; Rubbio, A.P.; Bedogni, F.; et al. Impact of Institutional Monthly Volume of Transcatheter Edge-to-Edge Repair Procedures for Significant Mitral Regurgitation: Evidence from the GIOTTO-VAT Study. Medicina 2025, 61, 904. [Google Scholar] [CrossRef]
- Sannino, A.; Fortuni, F. Timing Surgical Mitral Valve Repair for Primary Mitral Regurgitation. JACC 2024, 83, 313–316. [Google Scholar] [CrossRef]
- Faletra, F.F.; La Franca, E.; Leo, L.A.; Sade, L.E.; Katz, W.; Musumeci, F.; Gandolfo, C.; Pilato, M.; Cipriani, M. The Key Role of 3D TEE in Assessing the Morphology of Degenerative Mitral Valve Regurgitation. J. Cardiovasc. Dev. Dis. 2024, 11, 342. [Google Scholar] [CrossRef]
- Naoum, C.; Blanke, P.; Cavalcante, J.L.; Leipsic, J. Cardiac Computed Tomography and Magnetic Resonance Imaging in the Evaluation of Mitral and Tricuspid Valve Disease. Circ. Cardiovasc. Imaging 2017, 10, e005331. [Google Scholar] [CrossRef]
- Fortuni, F.; Marques, A.I.; Bax, J.J.; Marsan, N.A.; Delgado, V. Echocardiography–computed tomography fusion imaging for guidance of transcatheter tricuspid valve annuloplasty. Eur. Heart J. Cardiovasc. Imaging 2020, 21, 937–938. [Google Scholar] [CrossRef]
- Ailawadi, G.; Agnihotri, A.K.; Mehall, J.R.; Wolfe, J.A.; Hummel, B.W.; Fayers, T.M.; Farivar, R.S.; Grossi, E.A.; Guy, T.S.; Hargrove, W.C.; et al. Minimally Invasive Mitral Valve Surgery I: Patient Selection, Evaluation, and Planning. Innov. Technol. Tech. Cardiothorac. Vasc. Surg. 2016, 11, 243–250. [Google Scholar] [CrossRef] [PubMed]
- Otto, C.M.; Nishimura, R.A.; Bonow, R.O.; Carabello, B.A.; Erwin, J.P.; Gentile, F.; Jneid, H.; Krieger, E.V.; Mack, M.; McLeod, C.; et al. 2020 ACC/AHA Guideline for the Management of Patients with Valvular Heart Disease: Executive Summary: A Report of the American College of Cardiology/American Heart Association Joint Committee on Clinical Practice Guidelines. Circulation 2021, 143, e35–e71. [Google Scholar] [CrossRef]
- Zhou, N.; Ji, Z.; Li, F.; Qiao, B.; Lin, R.; Jiang, W.; Zhu, Y.; Lin, Y.; Zhang, K.; Li, S.; et al. Machine Learning-Based Personalized Risk Prediction Model for Mortality of Patients Undergoing Mitral Valve Surgery: The PRIME Score. Front. Cardiovasc. Med. 2022, 9, 866257. [Google Scholar] [CrossRef]
- Shah, N.; Madhavan, M.V.; Gray, W.A.; Brener, S.J.; Ahmad, Y.; Lindenfeld, J.; Abraham, W.T.; Grayburn, P.A.; Kar, S.; Lim, D.S.; et al. Prediction of Death or HF Hospitalization in Patients With Severe FMR. JACC Cardiovasc. Interv. 2022, 15, 1893–1905. [Google Scholar] [CrossRef]
- Raposeiras-Roubin, S.; Adamo, M.; Freixa, X.; Arzamendi, D.; Benito-González, T.; Montefusco, A.; Pascual, I.; Nombela-Franco, L.; Rodes-Cabau, J.; Shuvy, M.; et al. A Score to Assess Mortality After Percutaneous Mitral Valve Repair. JACC 2022, 79, 562–573. [Google Scholar] [CrossRef]
- Estévez-Loureiro, R.; Shah, N.; Raposeiras-Roubin, S.; Kotinkaduwa, L.N.; Madhavan, M.V.; Gray, W.A.; Lindenfeld, J.; Adamo, M.; Abraham, W.T.; Freixa, X.; et al. Cross-Validation of Risk Scores for Patients Undergoing Transcatheter Edge-to-Edge Repair for Mitral Regurgitation. J. Soc. Cardiovasc. Angiogr. Interv. 2023, 3, 101227. [Google Scholar] [CrossRef] [PubMed]
- Kundi, H.; Popma, J.J.; Reynolds, M.R.; Strom, J.B.; Pinto, D.S.; Valsdottir, L.R.; Shen, C.; Choi, E.; Yeh, R.W. Frailty and related outcomes in patients undergoing transcatheter valve therapies in a nationwide cohort. Eur. Hear. J. 2019, 40, 2231–2239. [Google Scholar] [CrossRef]
- Wisniewski, A.M.; Young, S.D.; Do-Nguyen, C.C.; Hawkins, R.B.; Romano, M.P.; Teman, N.R.; Ailawadi, G. Impact of Frailty in Patients Undergoing Minimally Invasive Mitral Valve Surgery. Innov. Technol. Tech. Cardiothorac. Vasc. Surg. 2024, 19, 64–71. [Google Scholar] [CrossRef] [PubMed]
- Colli, A.; Beiras-Fernández, A.; Ruf, T.; Vahl, C.-F.; Munzel, T.; Von Bardeleben, R.S. Transcatheter Mitral Valve Repair: Single Stage Combo Approach. Rev. Esp. Cardiol. 2019, 72, 972–975. [Google Scholar] [CrossRef]
- von Bardeleben, R.S.; Colli, A.; Schulz, E.; Ruf, T.; Wrobel, K.; Vahl, C.-F.; Gerosa, G.; Werner, C.; Münzel, T.; Beiras-Fernandez, A. First in human transcatheter COMBO mitral valve repair with direct ring annuloplasty and neochord leaflet implantation to treat degenerative mitral regurgitation: Feasibility of the simultaneous toolbox concept guided by 3D echo and computed tomography fusion imaging. Eur. Heart J. 2017, 39, 1314–1315. [Google Scholar] [CrossRef]
- Gheorghe, L.L.; Mobasseri, S.; Agricola, E.; Wang, D.D.; Milla, F.; Swaans, M.; Pandis, D.; Adams, D.H.; Yadav, P.; Sievert, H.; et al. Imaging for Native Mitral Valve Surgical and Transcatheter Interventions. JACC Cardiovasc. Imaging 2021, 14, 112–127. [Google Scholar] [CrossRef] [PubMed]
- Faza, N.N.; Harb, S.C.; Wang, D.D.; Dorpel, M.M.v.D.; Van Mieghem, N.; Little, S.H. Physical and Computational Modeling for Transcatheter Structural Heart Interventions. JACC Cardiovasc. Imaging 2024, 17, 428–440. [Google Scholar] [CrossRef] [PubMed]
- Sacoransky, E.; Ke, D.Y.J.; Abuzeid, W. Machine learning for prediction of transcatheter mitral valve repair outcomes: A systematic review. Inform. Med. Unlocked 2024, 50, 101586. [Google Scholar] [CrossRef]






Disclaimer/Publisher’s Note: The statements, opinions and data contained in all publications are solely those of the individual author(s) and contributor(s) and not of MDPI and/or the editor(s). MDPI and/or the editor(s) disclaim responsibility for any injury to people or property resulting from any ideas, methods, instructions or products referred to in the content. |
© 2025 by the authors. Licensee MDPI, Basel, Switzerland. This article is an open access article distributed under the terms and conditions of the Creative Commons Attribution (CC BY) license (https://creativecommons.org/licenses/by/4.0/).
Share and Cite
Rolando, M.; Affronti, A.; Loreni, F.; Bergonzini, M.; Carluccio, E.; Fortuni, F. Mitral Valve Repair in the Modern Era: Insights into Techniques and Technologies with a Glimpse of the Future. J. Clin. Med. 2025, 14, 7251. https://doi.org/10.3390/jcm14207251
Rolando M, Affronti A, Loreni F, Bergonzini M, Carluccio E, Fortuni F. Mitral Valve Repair in the Modern Era: Insights into Techniques and Technologies with a Glimpse of the Future. Journal of Clinical Medicine. 2025; 14(20):7251. https://doi.org/10.3390/jcm14207251
Chicago/Turabian StyleRolando, Marco, Alessandro Affronti, Francesco Loreni, Marcello Bergonzini, Erberto Carluccio, and Federico Fortuni. 2025. "Mitral Valve Repair in the Modern Era: Insights into Techniques and Technologies with a Glimpse of the Future" Journal of Clinical Medicine 14, no. 20: 7251. https://doi.org/10.3390/jcm14207251
APA StyleRolando, M., Affronti, A., Loreni, F., Bergonzini, M., Carluccio, E., & Fortuni, F. (2025). Mitral Valve Repair in the Modern Era: Insights into Techniques and Technologies with a Glimpse of the Future. Journal of Clinical Medicine, 14(20), 7251. https://doi.org/10.3390/jcm14207251

