A Technique to Augment Arthroscopic Bankart Repair With or Without a Metal Block: A Comparison
Abstract
1. Introduction
2. Materials and Methods
2.1. Study Design
2.2. Ethical Consideration
2.3. Inclusion and Exclusion Criteria
2.4. Participants and Flowchart
2.5. Indication for the Technique
2.6. ABR Technique
2.7. Recenter Surgical Technique
2.7.1. Step 1: Diagnostic Arthroscopy and Anterior Preparation
2.7.2. Step 2: Glenoid Preparation
2.7.3. Step 3: Tunnel Preparation
2.7.4. Step 4: Implant Positioning
2.7.5. Step 5: Bankart Repair
2.8. Postoperative Management
2.9. Outcome Measures
2.10. Data Collection
2.11. Statistical Analysis
3. Results
3.1. Demographics
3.2. Recurrence Rate
3.3. Secondary Outcomes
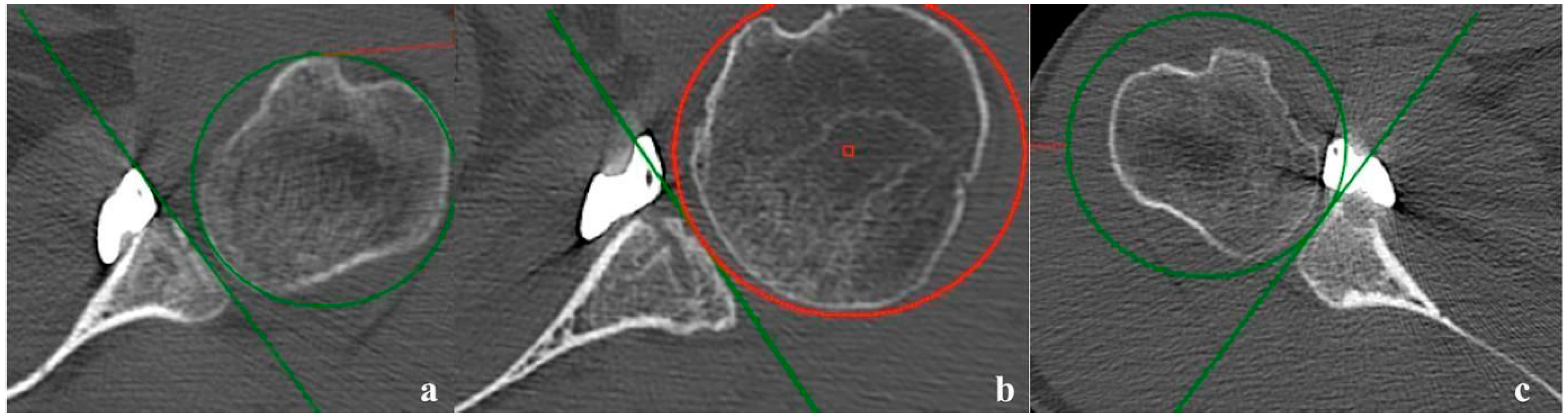
3.4. Early Radiologic Results
4. Discussion
Limitation
5. Conclusions
Author Contributions
Funding
Institutional Review Board Statement
Informed Consent Statement
Data Availability Statement
Conflicts of Interest
References
- Owens, B.D.; Harrast, J.J.; Hurwitz, S.R.; Thompson, T.L.; Wolf, J.M. Surgical Trends in Bankart Repair: An Analysis of Data From the American Board of Orthopaedic Surgery Certification Examination. Am. J. Sports Med. 2011, 39, 1865–1869. [Google Scholar] [CrossRef] [PubMed]
- Bonazza, N.A.; Liu, G.; Leslie, D.L.; Dhawan, A. Trends in Surgical Management of Shoulder Instability. Orthop. J. Sports Med. 2017, 5, 232596711771247. [Google Scholar] [CrossRef] [PubMed]
- Bokshan, S.L.; DeFroda, S.F.; Owens, B.D. Comparison of 30-Day Morbidity and Mortality After Arthroscopic Bankart, Open Bankart, and Latarjet-Bristow Procedures: A Review of 2864 Cases. Orthop. J. Sports Med. 2017, 5, 232596711771316. [Google Scholar] [CrossRef] [PubMed]
- Zimmermann, S.M.; Scheyerer, M.J.; Farshad, M.; Catanzaro, S.; Rahm, S.; Gerber, C. Long-Term Restoration of Anterior Shoulder Stability: A Retrospective Analysis of Arthroscopic Bankart Repair Versus Open Latarjet Procedure. J. Bone Jt. Surg. 2016, 98, 1954–1961. [Google Scholar] [CrossRef] [PubMed]
- Thomazeau, H.; Langlais, T.; Hardy, A.; Curado, J.; Herisson, O.; Mouton, J.; Charousset, C.; Courage, O.; French Arthroscopy Society; Nourissat, G. Long-term, Prospective, Multicenter Study of Isolated Bankart Repair for a Patient Selection Method Based on the Instability Severity Index Score. Am. J. Sports Med. 2019, 47, 1057–1061. [Google Scholar] [CrossRef] [PubMed]
- Griffith, J.F.; Antonio, G.E.; Yung, P.S.H.; Wong, E.M.C.; Yu, A.B.; Ahuja, A.T.; Chan, K.M. Prevalence, Pattern, and Spectrum of Glenoid Bone Loss in Anterior Shoulder Dislocation: CT Analysis of 218 Patients. Am. J. Roentgenol. 2008, 190, 1247–1254. [Google Scholar] [CrossRef] [PubMed]
- Moroder, P.; Schulz, E.; Wierer, G.; Auffarth, A.; Habermeyer, P.; Resch, H.; Tauber, M. Neer Award 2019: Latarjet procedure vs. iliac crest bone graft transfer for treatment of anterior shoulder instability with glenoid bone loss: A prospective randomized trial. J. Shoulder Elb. Surg. 2019, 28, 1298–1307. [Google Scholar] [CrossRef]
- Chillemi, C.; Guerrisi, M.; Paglialunga, C.; Salate Santone, F.; Osimani, M. Latarjet procedure for anterior shoulder instability: A 24-year follow-up study. Arch. Orthop. Trauma. Surg. 2021, 141, 189–196. [Google Scholar] [CrossRef]
- Rollick, N.; Ono, Y.; Kurji, H.M.; Nelson, A.; Boorman, R.; Thornton, G.; Lo, I.K. Long-term outcomes of the Bankart and Latarjet repairs: A systematic review. Open Access J. Sports Med. 2017, 8, 97–105. [Google Scholar] [CrossRef]
- Levy, B.J.; Grimm, N.L.; Arciero, R.A. When to Abandon the Arthroscopic Bankart Repair: A Systematic Review. Sports Health Multidiscip. Approach 2020, 12, 425–430. [Google Scholar] [CrossRef] [PubMed]
- Marquardt, B.; Hurschler, C.; Schneppendahl, J.; Witt, K.A.; Pötzl, W.; Steinbeck, J. Quantitative Assessment of Glenohumeral Translation after Anterior Shoulder Dislocation and Subsequent Arthroscopic Bankart Repair. Am. J. Sports Med. 2006, 34, 1756–1762. [Google Scholar] [CrossRef] [PubMed]
- Novotny, J.E.; Nichols, C.E.; Beynnon, B.D. Kinematics of the glenohumeral joint with bankart lesion and repair. J. Orthop. Res. 1998, 16, 116–121. [Google Scholar] [CrossRef] [PubMed]
- Barber, F.A.; Howard, M.S. Editorial Commentary: Glenoid Track Instability Management Score or Instability Severity Index Score—Will This Decrease Latarjet Abuse? Arthrosc. J. Arthrosc. Relat. Surg. 2020, 36, 68–70. [Google Scholar] [CrossRef] [PubMed]
- Moroder, P.; Böhm, E.; Scheibel, M. The Arthroscopic Bankart-Plus Procedure for Treatment of Anterior Shoulder Instability With Small to Intermediate Glenoid Defects. Arthrosc. Tech. 2018, 7, e379–e384. [Google Scholar] [CrossRef] [PubMed]
- Iizawa, N.; Yoneda, M.; Yamada, S.; Mizuno, N.; Goto, K.; Iwashita, S.; Mae, T.; Hashiguchi, H.; Takai, S. Benefits of bone graft augmentation to arthroscopic Bankart repair for recurrent anterior shoulder instability with glenoid bone loss. Knee Surg. Sports Traumatol. Arthrosc. 2020, 28, 2325–2333. [Google Scholar] [CrossRef]
- Yang, J.S.; Mehran, N.; Mazzocca, A.D.; Pearl, M.L.; Chen, V.W.; Arciero, R.A. Remplissage Versus Modified Latarjet for Off-Track Hill-Sachs Lesions With Subcritical Glenoid Bone Loss. Am. J. Sports Med. 2018, 46, 1885–1891. [Google Scholar] [CrossRef]
- Collin, P.; Nabergoj, M.; Denard, P.J.; Wang, S.; Bothorel, H.; Lädermann, A. Arthroscopic Biceps Transfer to the Glenoid With Bankart Repair Grants Satisfactory 2-Year Results for Recurrent Anteroinferior Glenohumeral Instability in Subcritical Bone Loss. Arthrosc. J. Arthrosc. Relat. Surg. 2022, 38, 1766–1771. [Google Scholar] [CrossRef]
- Xiang, M.; Yang, J.; Chen, H.; Hu, X.; Zhang, Q.; Li, Y.; Jiang, C. Arthroscopic Autologous Scapular Spine Bone Graft Combined With Bankart Repair for Anterior Shoulder Instability With Subcritical (10%–15%) Glenoid Bone Loss. Arthrosc. J. Arthrosc. Relat. Surg. 2021, 37, 2065–2074. [Google Scholar] [CrossRef]
- Balg, F.; Boileau, P. The instability severity index score: A Simple Pre-Operative Score to Select Patients for Arthroscopic or Open Shoulder Stabilisation. J. Bone Joint Surg. Br. 2007, 89, 1470–1477. [Google Scholar] [CrossRef] [PubMed]
- Stefaniak, J.; Lubiatowski, P.; Kubicka, A.M.; Wawrzyniak, A.; Wałecka, J.; Romanowski, L. Clinical and radiological examination of bony-mediated shoulder instability. EFORT Open Rev. 2020, 5, 815–827. [Google Scholar] [CrossRef]
- Lazrek, O.; Karam, K.M.; Bouché, P.A.; Billaud, A.; Pourchot, A.; Godeneche, A.; Freaud, O.; Kany, J.; Métais, P.; Werthel, J.D.; et al. A new self-assessment tool following shoulder stabilization surgery, the auto-Walch and auto-Rowe questionnaires. Knee Surg. Sports Traumatol. Arthrosc. 2023, 31, 2593–2601. [Google Scholar] [CrossRef] [PubMed]
- Kraus, T.M.; Graveleau, N.; Bohu, Y.; Pansard, E.; Klouche, S.; Hardy, P. Coracoid graft positioning in the Latarjet procedure. Knee Surg. Sports Traumatol. Arthrosc. 2016, 24, 496–501. [Google Scholar] [CrossRef] [PubMed]
- Kany, J.; Flamand, O.; Grimberg, J.; Guinand, R.; Croutzet, P.; Amaravathi, R.; Sekaran, P. Arthroscopic Latarjet procedure: Is optimal positioning of the bone block and screws possible? A prospective computed tomography scan analysis. J. Shoulder Elb. Surg. 2016, 25, 69–77. [Google Scholar] [CrossRef] [PubMed]
- Shaha, J.S.; Cook, J.B.; Rowles, D.J.; Bottoni, C.R.; Shaha, S.H.; Tokish, J.M. Clinical Validation of the Glenoid Track Concept in Anterior Glenohumeral Instability. J. Bone Joint Surg. Am. 2016, 98, 1918–1923. [Google Scholar] [CrossRef] [PubMed]
- Özdemir, B. A comparative study on use of two versus three double-loaded suture anchors in arthroscopic Bankart repair. Jt. Dis. Relat. Surg. 2021, 32, 108–114. [Google Scholar] [CrossRef]
- Uluyardımcı, E.; Öçgüder, D.A.; Bozkurt, İ.; Korkmazer, S.; Uğurlu, M. All-suture anchors versus metal suture anchors in the arthroscopic treatment of traumatic anterior shoulder instability: A comparison of mid-term outcomes. Jt. Dis. Relat. Surg. 2021, 32, 101–107. [Google Scholar] [CrossRef]
- Uzun, E.; Doğar, F.; Topak, D.; Güney, A. Comparison of anterior single- and standard two-portal techniques in arthroscopic Bankart repair. Jt. Dis. Relat. Surg. 2021, 32, 437–445. [Google Scholar] [CrossRef] [PubMed]
- Taverna, E.; Garavaglia, G.; Perfetti, C.; Ufenast, H.; Sconfienza, L.M.; Guarrella, V. An arthroscopic bone block procedure is effective in restoring stability, allowing return to sports in cases of glenohumeral instability with glenoid bone deficiency. Knee Surg. Sports Traumatol. Arthrosc. 2018, 26, 3780–3787. [Google Scholar] [CrossRef]
- Avramidis, G.; Kokkineli, S.; Trellopoulos, A.; Tsiogka, A.; Natsika, M.; Brilakis, E.; Antonogiannakis, E. Excellent Clinical and Radiological Midterm Outcomes for the Management of Recurrent Anterior Shoulder Instability by All-Arthroscopic Modified Eden-Hybinette Procedure Using Iliac Crest Autograft and Double-Pair Button Fixation System: 3-Year Clinical Case Series With No Loss to Follow-Up. Arthrosc. J. Arthrosc. Relat. Surg. 2021, 37, 795–803. [Google Scholar]
- Giannakos, A.; Vezeridis, P.S.; Schwartz, D.G.; Jany, R.; Lafosse, L. All-Arthroscopic Revision Eden-Hybinette Procedure for Failed Instability Surgery: Technique and Preliminary Results. Arthrosc. J. Arthrosc. Relat. Surg. 2017, 33, 39–48. [Google Scholar] [CrossRef] [PubMed]
- Boileau, P.; Duysens, C.; Saliken, D.; Lemmex, D.B.; Bonnevialle, N. All-arthroscopic, guided Eden-Hybbinette procedure using suture-button fixation for revision of failed Latarjet. J. Shoulder Elb. Surg. 2019, 28, e377–e388. [Google Scholar] [CrossRef] [PubMed]
- Charousset, C.; Beauthier, V.; Bellaïche, L.; Guillin, R.; Brassart, N.; Thomazeau, H. French Arthroscopy Society. Can we improve radiological analysis of osseous lesions in chronic anterior shoulder instability? Orthop. Traumatol. Surg. Res. 2010, 96 (Suppl. S8), S88–S93. [Google Scholar] [CrossRef] [PubMed]
- Boehm, E.; Minkus, M.; Moroder, P.; Scheibel, M. Arthroscopic iliac crest bone grafting in recurrent anterior shoulder instability: Minimum 5-year clinical and radiologic follow-up. Knee. Surg. Sports Traumatol. Arthrosc. 2021, 29, 266–274. [Google Scholar] [CrossRef] [PubMed]
- Hovelius, L.; Saeboe, M. Neer Award 2008: Arthropathy after primary anterior shoulder dislocation—223 shoulders prospectively followed up for twenty-five years. J. Shoulder Elb. Surg. 2009, 18, 339–347. [Google Scholar] [CrossRef] [PubMed]
- Vezeridis, P.S.; Ishmael, C.R.; Jones, K.J.; Petrigliano, F.A. Glenohumeral Dislocation Arthropathy: Etiology, Diagnosis, and Management. J. Am. Acad. Orthop. Surg. 2019, 27, 227–235. [Google Scholar] [CrossRef] [PubMed]







| Recenter Group n = 32 | Control Group n = 48 | p-Value | |
|---|---|---|---|
| Age in year | 32 ± 3.6 | 31 ± 2.8 | >0.05 |
| Female Gender | 10 (31%) | 21 (44%) | >0.05 |
| Dominant Side Operated on | 22 (71%) | 25 (52%) | >0.05 |
| Sport Practice | >0.05 | ||
| Competition | 6 (19%) | 14 (29%) | |
| Recreational | 23 (72%) | 33 (69%) | |
| None | 3 (9%) | 1 (2%) | |
| Contact or Combat Sports | 13 (41%) | 28 (58%) | >0.05 |
| ISIS | 2.1 ± 0.7 | 1.8 ± 0.5 | >0.05 |
| Follow-Up in Year | 5.4 ± 0.3 | 6.4 ± 0.5 | <0.0001 |
| Loss to Follow-Up | 6 out of 38 (16%) | 15 out of 63 (29%) | >0.05 |
| Scoring System | Recenter Group n = 32 | Control Group n = 48 | p-Value |
|---|---|---|---|
| Recurrence rate, % | 3 (9.4%) | 8 (16.7%) | >0.05 |
| Revision, % | 0 (0%) | 5 (10.4%) | >0.05 |
| Subluxation, % | 2 (6.3%) | 2 (4.2%) | >0.05 |
| Apprehension, % | 9 (28.1%) | 14 (29.2%) | >0.05 |
| Walch–Duplay score | 70.2 ± 8.2 | 64.2 ± 8 | >0.05 |
| Rowe score | 75.3 ± 9 | 69.2 ± 7.8 | >0.05 |
| SST, % | 84.6 ± 6 | 81.5 ± 5.5 | >0.05 |
| Satisfaction, % | 28 (87.5%) | 37 (77.1%) | >0.05 |
| Numeric pain rating scale, pts | 1.4 ± 0.6 | 1.4 ± 0.6 | >0.05 |
| Pain in daily living, % | 2 (6.3%) | 8 (16.7%) | >0.05 |
| Return to same level of sport, % | 18 (56.3%) | 23 (47.9%) | >0.05 |
| Return to same sport, % | 27 (84.4%) | 42 (87.5%) | >0.05 |
| Abduction < 150°, degree | 12.5 ± 11.6 | 6.3 ± 6.9 | >0.05 |
| Loss > 30% of ER2, degree | 12.5 ± 11.6 | 14.6 ± 10.1 | >0.05 |
| Loss > 10 cm of IR, degree | 28.1 ± 15.8 | 31.3 ± 13.3 | >0.05 |
| IIzawa [15] | Taverna [25] | Avramidis [26] | Giannakos [27] | Boileau [28] | «Recenter» Group | |
|---|---|---|---|---|---|---|
| Year | 2019 | 2018 | 2020 | 2017 | 2019 | 2024 |
| Size | 28 vs. 7 | 26 | 28 | 12 | 7 | 27 |
| Follow-up in year | 2.5 | 2.5 | 3.5 | 2.4 | 1.5 | 3 |
| Indication | GBL > 20% | ISIS > 3+ GBL > 10% +Nb Disl < 5 | GBL > 8% 1st Int or Revision | revision | Latarjet failure + GBL > 20% | recurrent dislocation, ISIS < 6, GBL < 20%, 1st Int surgery |
| Type of graft | iliac crest vs. substitute | allograft | iliac crest | iliac crest | iliac crest | metal block |
| Fixation | screws vs. anchors | endobutton | endobutton | screws | endobutton | endobutton |
| Recurrence % | 3 | 0 | 0 | 0 (12% SBlux) | 14 | 4 |
| Rowe score | 95 | 96 | 90 | 70 | 86 | 83 |
| >50% Ostéolysis % | 14 vs. 0 | 4 | 0 | 8 | no data | - |
| Malunion % | 0 vs. 25 | 4 | 0 | 33 | 0 | - |
| Comments | ABR alone: 50% recurrence | 100% of grafts flush | 94% of grafts flush | screw removal 33% | 100% of grafts flush | 47% of grafts flush (1 mm margin) |
Disclaimer/Publisher’s Note: The statements, opinions and data contained in all publications are solely those of the individual author(s) and contributor(s) and not of MDPI and/or the editor(s). MDPI and/or the editor(s) disclaim responsibility for any injury to people or property resulting from any ideas, methods, instructions or products referred to in the content. |
© 2025 by the authors. Licensee MDPI, Basel, Switzerland. This article is an open access article distributed under the terms and conditions of the Creative Commons Attribution (CC BY) license (https://creativecommons.org/licenses/by/4.0/).
Share and Cite
Vedrenne, P.; Moussa, M.K.; Picard, K.; Bauer, T.; Hardy, A. A Technique to Augment Arthroscopic Bankart Repair With or Without a Metal Block: A Comparison. J. Clin. Med. 2025, 14, 616. https://doi.org/10.3390/jcm14020616
Vedrenne P, Moussa MK, Picard K, Bauer T, Hardy A. A Technique to Augment Arthroscopic Bankart Repair With or Without a Metal Block: A Comparison. Journal of Clinical Medicine. 2025; 14(2):616. https://doi.org/10.3390/jcm14020616
Chicago/Turabian StyleVedrenne, Paul, Mohamad K. Moussa, Kévin Picard, Thomas Bauer, and Alexandre Hardy. 2025. "A Technique to Augment Arthroscopic Bankart Repair With or Without a Metal Block: A Comparison" Journal of Clinical Medicine 14, no. 2: 616. https://doi.org/10.3390/jcm14020616
APA StyleVedrenne, P., Moussa, M. K., Picard, K., Bauer, T., & Hardy, A. (2025). A Technique to Augment Arthroscopic Bankart Repair With or Without a Metal Block: A Comparison. Journal of Clinical Medicine, 14(2), 616. https://doi.org/10.3390/jcm14020616

