Classification of Histologically Proven Inflammation in Clinically Inactive Corneal Scars: Implications for Graft Outcomes After Penetrating Keratoplasty
Abstract
1. Introduction
2. Materials and Methods
2.1. Patients and Clinical History
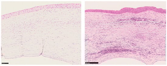
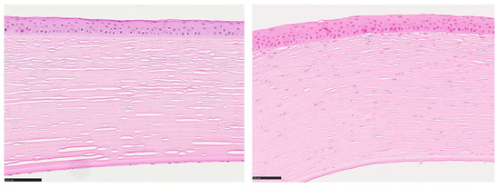
2.2. Histology
2.3. Inflammation Scoring
2.4. Rationale for Weighting Factors
2.5. Statistical Methods
3. Results
3.1. HSV-Associated Corneal Scars (n = 55)
3.2. Influence of Histologically Proven Inflammation on the Rate of Postoperative Complications
- IS ≥ 0.36 and <1.08 (= 0.36 × C) was “mild inflammation” (group 2);
- IS ≥ 1.08 and <5.40 (= 0.36 × D) was “moderate inflammation” (group 3);
- IS ≥ 5.40 was “severe inflammation” (group 4).
3.3. Keratoconus-Associated Scars (n = 39)
3.4. Scars Associated with Mechanical Trauma (n = 27)
3.5. Scrophulosa-Associated Scars (n = 22)
3.6. Scars of Other/Unknown Origin (n = 62)
4. Discussion
4.1. Classification of Histologic Inflammation
4.2. Herpes Simplex Virus Keratitis (HSV)-Associated Scars
4.3. Scars in Keratoconus
4.4. Scars in Association with Mechanical Trauma
4.5. Scrophulosa-Associated Scars
4.6. Scars of Other/Unknown Origin
4.7. Other Factors Influencing Rejection
4.8. Limitations of the Study
5. Conclusions
Author Contributions
Funding
Institutional Review Board Statement
Informed Consent Statement
Data Availability Statement
Conflicts of Interest
References
- Hogan, M.J.; Kimura, S.J.; Thygeson, P. Pathology of Herpes Simplex Kerato-Iritis. Am. J. Ophthalmol. 1964, 57, 551–564. [Google Scholar] [CrossRef] [PubMed]
- Shtein, R.M.; Garcia, D.D.; Musch, D.C.; Elner, V.M. HSV Keratitis: Histopathologic Predictors of Corneal Allograft Complications. Trans. Am. Ophthalmol. Soc. 2008, 106, 161–170. [Google Scholar] [PubMed]
- Knöbel, H.; Hinzpeter, E.N.; Naumann, G.O.H. Keratoplastik Bei Herpes Corneae. Vergleich Zwischen Klinischem Und Histopathologischem Befund an 100 Augen. In Herpetische Augenerkrankungen; Sundmacher, R., Ed.; J.F. Bergmann-Verlag: Munich, Germany, 1981; pp. 431–434. [Google Scholar]
- Garg, P.; Krishna, P.V.; Stratis, A.K.; Gopinathan, U. The value of corneal transplantation in reducing blindness. Eye 2005, 19, 1106–1114. [Google Scholar] [CrossRef] [PubMed]
- Di Zazzo, A.; Kheirkhah, A.; Abud, T.B.; Goyal, S.; Dana, R. Management of High-Risk Corneal Transplantation. Surv. Ophthalmol. 2017, 62, 816–827. [Google Scholar] [CrossRef]
- Foster, C.S.; Duncan, J. Penetrating Keratoplasty for Herpes Simplex Keratitis. Am. J. Ophthalmol. 1981, 92, 336–343. [Google Scholar] [CrossRef]
- Maguire, M.G.; Stark, W.J.; Gottsch, J.D.; Stulting, R.D.; Sugar, A.; Fink, N.E.; Schwartz, A. Risk Factors for Corneal Graft Failure and Rejection in the Collaborative Corneal Transplantation Studies. Collab. Corneal Transplant. Stud. Res. Group. Ophthalmol. 1994, 101, 1536–1547. [Google Scholar] [CrossRef]
- Bock, F.; Maruyama, K.; Regenfuss, B.; Hos, D.; Steven, P.; Heindl, L.M.; Cursiefen, C. Novel Anti(Lymph)Angiogenic Treatment Strategies for Corneal and Ocular Surface Diseases. Prog. Retin. Eye Res. 2013, 34, 89–124. [Google Scholar] [CrossRef]
- Bachmann, B.; Taylor, R.S.; Cursiefen, C. Corneal Neovascularization as a Risk Factor for Graft Failure and Rejection after Keratoplasty: An Evidence-Based Meta-Analysis. Ophthalmology 2010, 117, 1300–1305.e7. [Google Scholar] [CrossRef]
- Billingham, R.E.; Boswell, T. Studies on the Problem of Corneal Homografts. Proc. R. Soc. Lond. B Biol. Sci. 1953, 141, 392–406. [Google Scholar]
- Vail, A.; Gore, S.M.; Bradley, B.A.; Easty, D.L.; Rogers, C.A.; Armitage, W.J. Influence of Donor and Histocompatibility Factors on Corneal Graft Outcome. Transplantation 1994, 58, 1210–1216. [Google Scholar]
- Bäumler, M.; Sundmacher, L.; Reinhard, T.; Böhringer, D. Cost-Effectiveness of Human Leukocyte Antigen Matching in Penetrating Keratoplasty. Int. J. Technol. Assess. Health Care 2014, 30, 50–58. [Google Scholar] [CrossRef] [PubMed]
- Reinhard, T.; Böhringer, D.; Enczmann, J.; Kögler, G.; Wernet, P.; Böhringer, S.; Sundmacher, R. HLA Class I/II Matching and Chronic Endothelial Cell Loss in Penetrating Normal Risk Keratoplasty. Acta Ophthalmol. Scand. 2004, 82, 13–18. [Google Scholar] [CrossRef] [PubMed]
- Reinhard, T.; Böhringer, D.; Enczmann, J.; Kögler, G.; Mayweg, S.; Wernet, P.; Sundmacher, R. HLA Class I and II Matching Improves Prognosis in Penetrating Normal-Risk Keratoplasty. Dev. Ophthalmol. 2003, 36, 42–49. [Google Scholar] [PubMed]
- van Rooij, J.; Rijneveld, W.J.; Remeijer, L.; Völker-Dieben, H.J.M.; Eggink, C.A.; Geerards, A.J.M.; Mulder, P.G.H.; Doornenbal, P.; Beekhuis, W.H. Effect of Oral Acyclovir after Penetrating Keratoplasty for Herpetic Keratitis: A Placebo-Controlled Multicenter Trial. Ophthalmology 2003, 110, 1916–1919, discussion 1919. [Google Scholar] [CrossRef]
- Barron, B.A. Acyclovir for the Prevention of Recurrent Herpes Simplex Virus Eye Disease. Herpetic Eye Disease Study Group. N. Engl. J. Med. 1998, 339, 300–306. [Google Scholar]
- Tambasco, F.P.; Cohen, E.J.; Nguyen, L.H.; Rapuano, C.J.; Laibson, P.R. Oral Acyclovir after Penetrating Keratoplasty for Herpes Simplex Keratitis. Arch. Ophthalmol. 1999, 117, 445–449. [Google Scholar] [CrossRef]
- Koay, P.Y.P.; Lee, W.H.; Figueiredo, F.C. Opinions on Risk Factors and Management of Corneal Graft Rejection in the United Kingdom. Cornea 2005, 24, 292–296. [Google Scholar] [CrossRef]
- Randleman, J.B.; Stulting, R.D. Prevention and Treatment of Corneal Graft Rejection: Current Practice Patterns (2004). Cornea 2006, 25, 286–290. [Google Scholar] [CrossRef]
- Lapp, T.; Maier, P.; Birnbaum, F.; Schlunck, G.; Reinhard, T. Immunosuppressives to prevent rejection reactions after allogeneic corneal transplantation. Ophthalmologe 2014, 111, 270–282. [Google Scholar] [CrossRef]
- Reinhard, T.; Mayweg, S.; Sokolovska, Y.; Seitz, B.; Mittelviefhaus, H.; Engelmann, K.; Voiculescu, A.; Godehardt, E.; Sundmacher, R. Systemic Mycophenolate Mofetil Avoids Immune Reactions in Penetrating High-Risk Keratoplasty: Preliminary Results of an Ongoing Prospectively Randomized Multicentre Study. Transpl. Int. 2005, 18, 703–708. [Google Scholar] [CrossRef]
- Naumann, G.O.H. Pathologie des Auges, 2nd ed.; Springer: Berlin/Heidelberg, Germany, 1997; pp. 647–648. [Google Scholar]
- Rosser, D.A.; Cousens, S.N.; Murdoch, I.E.; Fitzke, F.W.; Laidlaw, D.A.H. How Sensitive to Clinical Change Are ETDRS logMAR Visual Acuity Measurements? Investig. Ophthalmol. Vis. Sci. 2003, 44, 3278–3281. [Google Scholar] [CrossRef] [PubMed]
- DIN EN ISO 9001:2015; Qualitätsmanagement-Handbuch, Teil 2: Schwerpunkt Ophthalmopathologie, QM-System, Verfahrensanweisungen und Nachweisdokumentation. DIN Media: Berlin, Germany, 2022.
- Williams, K.A.; Roder, D.; Esterman, A.; Muehlberg, S.M.; Coster, D.J. Factors Predictive of Corneal Graft Survival. Report from the Australian Corneal Graft Registry. Ophthalmology 1992, 99, 403–414. [Google Scholar] [CrossRef] [PubMed]
- Ang, M.; Mehta, J.S.; Sng, C.C.A.; Htoon, H.M.; Tan, D.T.H. Indications, Outcomes, and Risk Factors for Failure in Tectonic Keratoplasty. Ophthalmology 2012, 119, 1311–1319. [Google Scholar] [CrossRef] [PubMed]
- Patel, H.Y.; Ormonde, S.; Brookes, N.H.; Moffatt, S.L.; Sherwin, T.; Pendergrast, D.G.C.; McGhee, C.N.J. The New Zealand National Eye Bank: Survival and Visual Outcome 1 Year after Penetrating Keratoplasty. Cornea 2011, 30, 760–764. [Google Scholar] [CrossRef]
- Holbach, L.M.; Bayer, J.; Seitz, B.; Rummelt, C.; Naumann, G.O. Herpes simplex keratitis. On the long-term prognosis of first transplants after penetrating keratoplasty. Ophthalmologe 1993, 90, 698–702. [Google Scholar]
- Santodomingo-Rubido, J.; Carracedo, G.; Suzaki, A.; Villa-Collar, C.; Vincent, S.J.; Wolffsohn, J.S. Keratoconus: An Updated Review. Contact Lens Anterior Eye 2022, 45, 101559. [Google Scholar] [CrossRef]
- Wisse, R.P.L.; Kuiper, J.J.W.; Gans, R.; Imhof, S.; Radstake, T.R.D.J.; Van der Lelij, A. Cytokine Expression in Keratoconus and Its Corneal Microenvironment: A Systematic Review. Ocul. Surf. 2015, 13, 272–283. [Google Scholar] [CrossRef]
- Jun, A.S.; Cope, L.; Speck, C.; Feng, X.; Lee, S.; Meng, H.; Hamad, A.; Chakravarti, S. Subnormal Cytokine Profile in the Tear Fluid of Keratoconus Patients. PLoS ONE 2011, 6, e16437. [Google Scholar] [CrossRef]
- Lema, I.; Durán, J.A. Inflammatory Molecules in the Tears of Patients with Keratoconus. Ophthalmology 2005, 112, 654–659. [Google Scholar] [CrossRef]
- Lema, I.; Sobrino, T.; Durán, J.A.; Brea, D.; Díez-Feijoo, E. Subclinical Keratoconus and Inflammatory Molecules from Tears. Br. J. Ophthalmol. 2009, 93, 820–824. [Google Scholar] [CrossRef]
- Balasubramanian, S.A.; Mohan, S.; Pye, D.C.; Willcox, M.D.P. Proteases, Proteolysis and Inflammatory Molecules in the Tears of People with Keratoconus. Acta Ophthalmol. 2012, 90, e303–e309. [Google Scholar] [PubMed]
- Rabinowitz, Y.S. Keratoconus. Surv. Ophthalmol. 1998, 42, 297–319. [Google Scholar] [CrossRef] [PubMed]
- Krachmer, J.H.; Feder, R.S.; Belin, M.W. Keratoconus and Related Noninflammatory Corneal Thinning Disorders. Surv. Ophthalmol. 1984, 28, 293–322. [Google Scholar]
- di Martino, E.; Ali, M.; Inglehearn, C.F. Matrix Metalloproteinases in Keratoconus—Too Much of a Good Thing? Exp. Eye Res. 2019, 182, 137–143. [Google Scholar] [CrossRef]
- Epstein, R.J.; Seedor, J.A.; Dreizen, N.G.; Stulting, R.D.; Waring, G.O.; Wilson, L.A.; Cavanagh, H.D. Penetrating Keratoplasty for Herpes Simplex Keratitis and Keratoconus. Allograft Rejection and Survival. Ophthalmology 1987, 94, 935–944. [Google Scholar] [CrossRef]
- Alio, J.L.; Montesel, A.; El Sayyad, F.; Barraquer, R.I.; Arnalich-Montiel, F.; Alio Del Barrio, J.L. Corneal Graft Failure: An Update. Br. J. Ophthalmol. 2021, 105, 1049–1058. [Google Scholar]
- Barraquer, R.I.; Pareja-Aricò, L.; Gómez-Benlloch, A.; Michael, R. Risk Factors for Graft Failure after Penetrating Keratoplasty. Medicine 2019, 98, e15274. [Google Scholar] [CrossRef]
- Williams, K.; Keane, M.; Coffey, N.; Jones, V.; Mills, R.; Coster, D. The Australian Corneal Graft Registry 2018 Report, Department of Ophthalmology: Adelaide, Australia, 2018.
- Feizi, S.; Javadi, M.A.; Bayat, K.; Arzaghi, M.; Rahdar, A.; Ahmadi, M.J. Machine learning methods to identify risk factors for corneal graft rejection in keratoconus. Sci. Rep. 2024, 14, 29131. [Google Scholar] [CrossRef]
- Alsubaie, H.; Alrubaian, A.; Ahmad, K.; Ahad, M.A. Risk factors for corneal graft rejection after penetrating keratoplasty for keratoconus. Int. Ophthalmol. 2024, 44, 286. [Google Scholar] [CrossRef]






Disclaimer/Publisher’s Note: The statements, opinions and data contained in all publications are solely those of the individual author(s) and contributor(s) and not of MDPI and/or the editor(s). MDPI and/or the editor(s) disclaim responsibility for any injury to people or property resulting from any ideas, methods, instructions or products referred to in the content. |
© 2025 by the authors. Licensee MDPI, Basel, Switzerland. This article is an open access article distributed under the terms and conditions of the Creative Commons Attribution (CC BY) license (https://creativecommons.org/licenses/by/4.0/).
Share and Cite
Schliffka, M.; Siegel, H.; Auw-Haedrich, C.; van Oterendorp, C.; Boehringer, D.; Reinhard, T. Classification of Histologically Proven Inflammation in Clinically Inactive Corneal Scars: Implications for Graft Outcomes After Penetrating Keratoplasty. J. Clin. Med. 2025, 14, 461. https://doi.org/10.3390/jcm14020461
Schliffka M, Siegel H, Auw-Haedrich C, van Oterendorp C, Boehringer D, Reinhard T. Classification of Histologically Proven Inflammation in Clinically Inactive Corneal Scars: Implications for Graft Outcomes After Penetrating Keratoplasty. Journal of Clinical Medicine. 2025; 14(2):461. https://doi.org/10.3390/jcm14020461
Chicago/Turabian StyleSchliffka, Max, Helena Siegel, Claudia Auw-Haedrich, Christian van Oterendorp, Daniel Boehringer, and Thomas Reinhard. 2025. "Classification of Histologically Proven Inflammation in Clinically Inactive Corneal Scars: Implications for Graft Outcomes After Penetrating Keratoplasty" Journal of Clinical Medicine 14, no. 2: 461. https://doi.org/10.3390/jcm14020461
APA StyleSchliffka, M., Siegel, H., Auw-Haedrich, C., van Oterendorp, C., Boehringer, D., & Reinhard, T. (2025). Classification of Histologically Proven Inflammation in Clinically Inactive Corneal Scars: Implications for Graft Outcomes After Penetrating Keratoplasty. Journal of Clinical Medicine, 14(2), 461. https://doi.org/10.3390/jcm14020461

