Model-Assisted Spleen Contouring for Assessing Splenomegaly in Myelofibrosis: A Fast and Reproducible Approach to Evaluate Progression and Treatment Response
Abstract
1. Introduction
2. Materials and Methods
2.1. Patients
2.2. Data Extraction
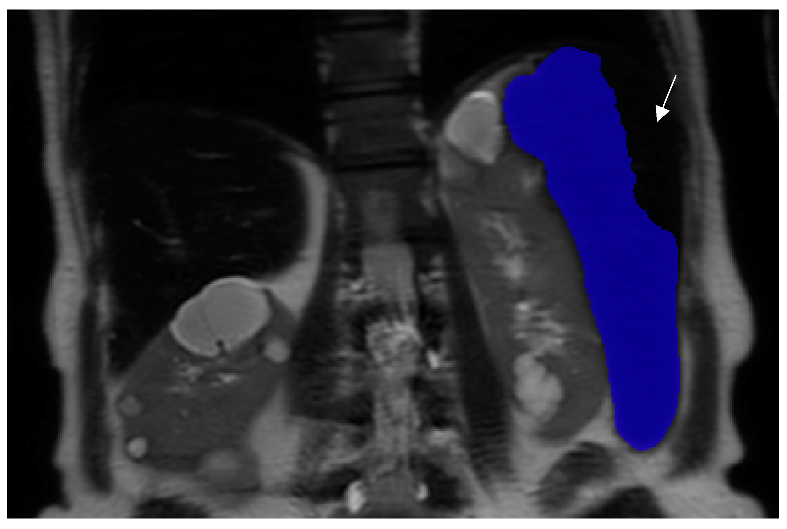
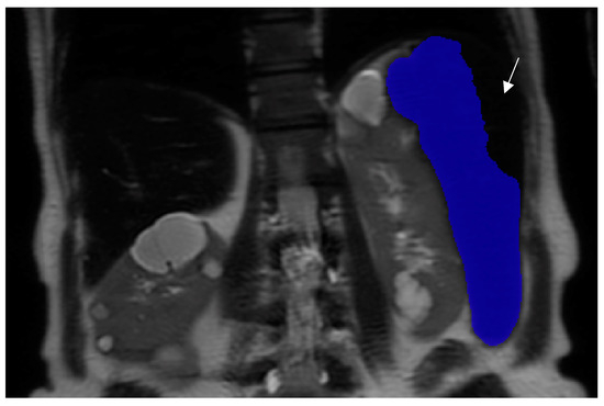
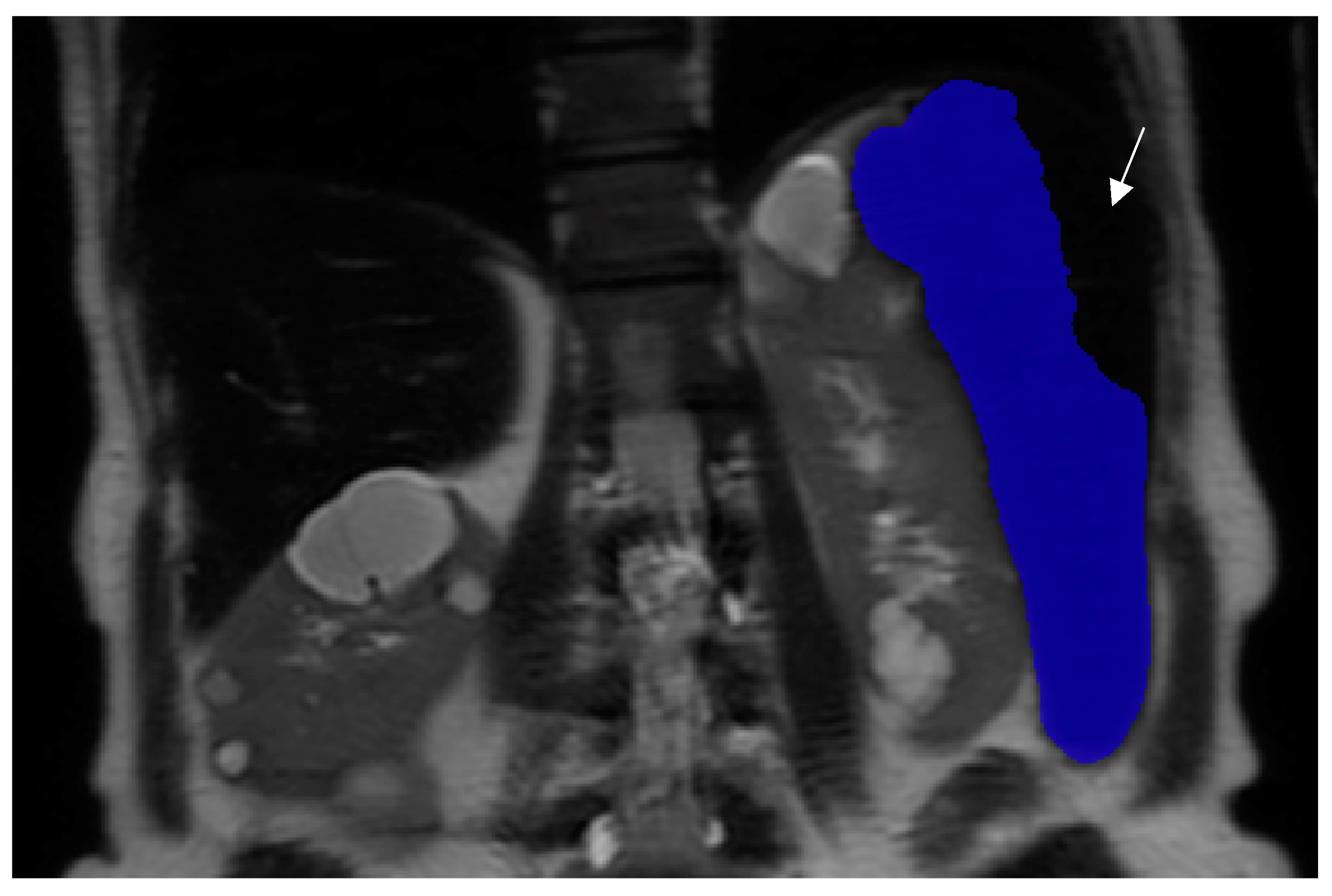
2.3. Deep Learning Model for Spleen Contouring
2.4. Spleen Volume Measurements
2.5. Comparison to Myelofibrosis Grade
2.6. Comparison to Dynamic International Prognostic Scoring System (DIPSS+)
2.7. Clinical Trial Eligibility and Treatment Response Tracking
2.8. Statistical Analysis
3. Results
3.1. Study Population and Characteristics
3.2. Coefficients of Variation and ICC: Ellipsoidal vs. Manual vs. Model Only vs. Model-Assisted
3.3. Treatment Response Tracking
3.4. Clinical Trial Eligibility
3.5. Effect of Spleen Volume Measurement Technique on Tracking Disease Activity
3.6. Correlations Between Spleen Volume, DIPSS+ Score, and Myelofibrosis Grade
4. Discussion
5. Conclusions
Supplementary Materials
Author Contributions
Funding
Institutional Review Board Statement
Informed Consent Statement
Data Availability Statement
Conflicts of Interest
References
- Nazha, A.; Khoury, J.D.; Rampal, R.K.; Daver, N. Fibrogenesis in Primary Myelofibrosis: Diagnostic, Clinical, and Therapeutic Implications. Oncologist 2015, 20, 1154–1160. [Google Scholar] [CrossRef] [PubMed]
- Sharbatdaran, A.; Romano, D.; Teichman, K.; Dev, H.; Raza, S.I.; Goel, A.; Moghadam, M.C.; Blumenfeld, J.D.; Chevalier, J.M.; Shimonov, D.; et al. Deep Learning Automation of Kidney, Liver, and Spleen Segmentation for Organ Volume Measurements in Autosomal Dominant Polycystic Kidney Disease. Tomography 2022, 8, 1804–1819. [Google Scholar] [CrossRef] [PubMed]
- Tremblay, D.; Schwartz, M.; Bakst, R.; Patel, R.; Schiano, T.; Kremyanskaya, M.; Hoffman, R.; Mascarenhas, J. Modern management of splenomegaly in patients with myelofibrosis. Ann. Hematol. 2020, 99, 1441–1451. [Google Scholar] [CrossRef]
- Song, M.K.; Park, B.B.; Uhm, J.E. Understanding Splenomegaly in Myelofibrosis: Association with Molecular Pathogenesis. Int. J. Mol. Sci. 2018, 19, 898. [Google Scholar] [CrossRef] [PubMed]
- Polverelli, N.; Hernández-Boluda, J.C.; Czerw, T.; Barbui, T.; D’Adda, M.; Deeg, H.J.; Ditschkowski, M.; Harrison, C.; Kröger, N.M.; Mesa, R.; et al. Splenomegaly in patients with primary or secondary myelofibrosis who are candidates for allogeneic hematopoietic cell transplantation: A Position Paper on behalf of the Chronic Malignancies Working Party of the EBMT. Lancet Haematol. 2023, 10, e59–e70. [Google Scholar] [CrossRef]
- Mascarenhas, J.; Kremyanskaya, M.; Patriarca, A.; Palandri, F.; Devos, T.; Passamonti, F.; Rampal, R.K.; Mead, A.J.; Hobbs, G.; Scandura, J.M.; et al. MANIFEST: Pelabresib in Combination with Ruxolitinib for Janus Kinase Inhibitor Treatment-Naïve Myelofibrosis. J. Clin. Oncol. 2023, 41, 4993–5004. [Google Scholar] [CrossRef] [PubMed]
- Harrison, C.N.; Garcia, J.S.; Somervaille, T.C.P.; Foran, J.M.; Verstovsek, S.; Jamieson, C.; Mesa, R.; Ritchie, E.K.; Tantravahi, S.K.; Vachhani, P.; et al. Addition of Navitoclax to Ongoing Ruxolitinib Therapy for Patients with Myelofibrosis with Progression or Suboptimal Response: Phase II Safety and Efficacy. J. Clin. Oncol. 2022, 40, 1671–1680. [Google Scholar] [CrossRef] [PubMed]
- Harrison, C.; Kiladjian, J.-J.; Al-Ali, H.K.; Gisslinger, H.; Waltzman, R.; Stalbovskaya, V.; McQuitty, M.; Hunter, D.S.; Levy, R.; Knoops, L.; et al. JAK Inhibition with Ruxolitinib Versus Best Available Therapy for Myelofibrosis. N. Engl. J. Med. 2012, 366, 787–798. [Google Scholar] [CrossRef] [PubMed]
- Barosi, G.; Tefferi, A.; Gangat, N.; Szuber, N.; Rambaldi, A.; Odenike, O.; Kröger, N.; Gagelmann, N.; Talpaz, M.; Kantarjian, H.; et al. Methodological challenges in the development of endpoints for myelofibrosis clinical trials. Lancet Haematol. 2024, 11, e383–e389. [Google Scholar] [CrossRef] [PubMed]
- Menghrajani, K.; Boonstra, P.S.; Mercer, J.A.; Perkins, C.; Gowin, K.L.; Weber, A.A.; Mesa, R.; Gotlib, J.R.; Wang, L.; Singer, J.W.; et al. Predictive models for splenic response to JAK-inhibitor therapy in patients with myelofibrosis. Leuk. Lymphoma 2019, 60, 1036–1042. [Google Scholar] [CrossRef] [PubMed]
- Kucybała, I.; Ciuk, S.; Tęczar, J. Spleen enlargement assessment using computed tomography: Which coefficient correlates the strongest with the real volume of the spleen? Abdom. Radiol. 2018, 43, 2455–2461. [Google Scholar] [CrossRef] [PubMed]
- Linguraru, M.G.; Sandberg, J.K.; Jones, E.C.; Summers, R.M. Assessing Splenomegaly: Automated Volumetric Analysis of the Spleen. Acad. Radiol. 2013, 20, 675–684. [Google Scholar] [CrossRef] [PubMed]
- Prince, M.R.; Weiss, E.; Blumenfeld, J.D. Size Matters: How to Characterize ADPKD Severity by Measuring Total Kidney Volume. J. Clin. Med. 2023, 12, 6068. [Google Scholar] [CrossRef] [PubMed]
- He, X.; Hu, Z.; Dev, H.; Romano, D.J.; Sharbatdaran, A.; Raza, S.I.; Wang, S.J.; Teichman, K.; Shih, G.; Chevalier, J.M.; et al. Test Retest Reproducibility of Organ Volume Measurements in ADPKD Using 3D Multimodality Deep Learning. Acad. Radiol. 2024, 31, 889–899. [Google Scholar] [CrossRef]
- Azuri, I.; Wattad, A.; Peri-Hanania, K.; Kashti, T.; Rosen, R.; Caspi, Y.; Istaiti, M.; Wattad, M.; Applbaum, Y.; Zimran, A.; et al. A Deep-Learning Approach to Spleen Volume Estimation in Patients with Gaucher Disease. J. Clin. Med. 2023, 12, 5361. [Google Scholar] [CrossRef] [PubMed]
- Park, H.J.; Yoon, J.S.; Lee, S.S.; Suk, H.I.; Park, B.; Sung, Y.S.; Hong, S.B.; Ryu, H. Deep Learning-Based Assessment of Functional Liver Capacity Using Gadoxetic Acid-Enhanced Hepatobiliary Phase MRI. Korean J. Radiol. 2022, 23, 720–731. [Google Scholar] [CrossRef] [PubMed]
- Yushkevich, P.A.; Piven, J.; Hazlett, H.C.; Smith, R.G.; Ho, S.; Gee, J.C.; Gerig, G. User-guided 3D active contour segmentation of anatomical structures: Significantly improved efficiency and reliability. NeuroImage 2006, 31, 1116–1128. [Google Scholar] [CrossRef] [PubMed]
- Passamonti, F.; Mora, B. Myelofibrosis. Blood 2023, 141, 1954–1970. [Google Scholar] [CrossRef]
- Harrison, C.; Rampal, R.K.; Gupta, V.; Verstovsek, S.; Talpaz, M.; Kiladjian, J.-J.; Mesa, R.; Kuykendall, A.; Vannucchi, A.; Palandri, F. A Phase 3, Randomized, Double-blind, Active-Control Study of Pelabresib (CPI-0610) and Ruxolitinib vs. Placebo and Ruxolitinib in JAKi Treatment Naive MF Patients. Hemasphere 2020, 6, 920–921. [Google Scholar]
- Dev, H.; Zhu, C.; Sharbatdaran, A.; Raza, S.I.; Wang, S.J.; Romano, D.J.; Goel, A.; Teichman, K.; Moghadam, M.C.; Shih, G.; et al. Effect of Averaging Measurements from Multiple MRI Pulse Sequences on Kidney Volume Reproducibility in Autosomal Dominant Polycystic Kidney Disease. J. Magn. Reson. Imaging 2023, 58, 1153–1160. [Google Scholar] [CrossRef] [PubMed]
- Sharma, K.; Rupprecht, C.; Caroli, A.; Aparicio, M.C.; Remuzzi, A.; Baust, M.; Navab, N. Automatic Segmentation of Kidneys using Deep Learning for Total Kidney Volume Quantification in Autosomal Dominant Polycystic Kidney Disease. Sci. Rep. 2017, 7, 2049. [Google Scholar] [CrossRef]
- Higashihara, E.; Nutahara, K.; Okegawa, T.; Tanbo, M.; Hara, H.; Miyazaki, I.; Kobayasi, K.; Nitatori, T. Kidney volume estimations with ellipsoid equations by magnetic resonance imaging in autosomal dominant polycystic kidney disease. Nephron 2015, 129, 253–262. [Google Scholar] [CrossRef]
- Massaccesi, M.; Cusumano, D.; Boldrini, L.; Dinapoli, N.; Fionda, B.; Teodoli, S.; Azario, L.; Mattiucci, G.C.; Balducci, M.; Cellini, F.; et al. A new frontier of image guidance: Organs at risk avoidance with MRI-guided respiratory-gated intensity modulated radiotherapy: Technical note and report of a case. J. Appl. Clin. Med. Phys. 2019, 20, 194–198. [Google Scholar] [CrossRef]
- Kodikara, I.; Gamage, D.; Abeysekara, I.; Ilayperuma, I. Impact of volume calculation formulae on volume estimation accuracy of different shaped objects: An in vitro ultrasound and CT study. Acta Radiol. 2020, 61, 1414–1420. [Google Scholar] [CrossRef]
- Wu, S.; Feldman, A.S.; Lin, S.X.; Kim, M.M.; Cornejo, K.M.; Harisinghani, M.G.; Wu, C.L.; Dahl, D.M. Estimated Prostate Volume by Semiautomatic Segmentation of MRI Is More Accurately Correlated with Radical Prostatectomy Specimen Weight than the Volume Calculated by Ellipsoid Formula. Urol. Int. 2024, 108, 35–41. [Google Scholar] [CrossRef]
- Younes, A.; Hilden, P.; Coiffier, B.; Hagenbeek, A.; Salles, G.; Wilson, W.; Seymour, J.F.; Kelly, K.; Gribben, J.; Pfreunschuh, M.; et al. International Working Group consensus response evaluation criteria in lymphoma (RECIL 2017). Ann. Oncol. 2017, 28, 1436–1447. [Google Scholar] [CrossRef] [PubMed]
- Humpire-Mamani, G.E.; Bukala, J.; Scholten, E.T.; Prokop, M.; van Ginneken, B.; Jacobs, C. Fully Automatic Volume Measurement of the Spleen at CT Using Deep Learning. Radiol. Artif. Intell. 2020, 2, e190102. [Google Scholar] [CrossRef]
- Ahn, Y.; Yoon, J.S.; Lee, S.S.; Suk, H.I.; Son, J.H.; Sung, Y.S.; Lee, Y.; Kang, B.K.; Kim, H.S. Deep Learning Algorithm for Automated Segmentation and Volume Measurement of the Liver and Spleen Using Portal Venous Phase Computed Tomography Images. Korean J. Radiol. 2020, 21, 987–997. [Google Scholar] [CrossRef]
- Harisinghani, A.; Sharma, M.; O’Connor, M.; Darapureddi, R.; Karve, S.; Pitla, S.; Manikandan, S.; Sood, R. Comparison of Spleen Volumes Estimated Using Planimetry and Prolate Ellipsoid Methods on MRI in Myelofibrosis Patients. Blood 2018, 132, 5472. [Google Scholar] [CrossRef]



| Parameter | Mean (±Standard Deviation) * |
|---|---|
| Patient (n) | 20 |
| Age ** | 69 (66–75) |
| Male–Female (%male) | 12:8 (60%) |
| Race | |
| White | 17 (85%) |
| Black | 1 (5%) |
| Unknown | 2 (10%) |
| Height (cm) | 170 (±10) |
| Weight (kg) | 69 (±14) |
| Genetic mutation *** | |
| JAK2 | 16 (80%) |
| CALR | 4 (20%) |
| TET2 | 6 (30%) |
| ASXL1 | 5 (25%) |
| WBC | 8.5 (4.9–14.3) |
| Platelet | |
| <100 × 109/L | 4 (20%) |
| Blasts | |
| ≥1% | 20 (100%) |
| <1% | 0 |
| Transfusion dependent | |
| Yes | 9 (45%) |
| No | 11 (55%) |
| Spleen volume (mL) | 988 (612–1317) |
| Coefficient of Variation | Ellipsoidal Approximation (%) | Manual Contouring (%) | Model-Assisted Contouring (%) | Model Only (%) |
|---|---|---|---|---|
| Axial T2 | 14.7 * | 3.5 | 0.15 | 0 |
| Coronal T2 | 3.1 | 0.20 | 0 | |
| Axial T1 | 3.8 | 0.22 | 0 | |
| Average of all sequences | 3.2 | 1.6 | 0 |
| Intraclass Correlation Coefficient | Ellipsoidal Approximation | Manual Contouring | Model-Assisted Contouring |
|---|---|---|---|
| Axial T2 | 0.9665 | 0.9990 | 0.9999 |
| Coronal T2 | 0.9990 | 1.0000 | |
| Axial T1 | 0.9973 | 0.9995 | |
| Average of all sequences | 0.9987 | 0.9970 |
| Ellipsoidal Approximation | Manual Contouring | Model-Assisted Contouring | Model Only | |
|---|---|---|---|---|
| * Number of patients eligible to enroll in clinical trial based on spleen volume > 450 mL | 15 | 14 | 14 | 14 |
| Response to Therapy | ||||
| True positive | 7 | 6 | 7 | 7 |
| True negative | 3 | 5 | 5 | 5 |
| False positive | 2 | 1 | 0 | 0 |
| False negative | 2 | 2 | 2 | 2 |
Disclaimer/Publisher’s Note: The statements, opinions and data contained in all publications are solely those of the individual author(s) and contributor(s) and not of MDPI and/or the editor(s). MDPI and/or the editor(s) disclaim responsibility for any injury to people or property resulting from any ideas, methods, instructions or products referred to in the content. |
© 2025 by the authors. Licensee MDPI, Basel, Switzerland. This article is an open access article distributed under the terms and conditions of the Creative Commons Attribution (CC BY) license (https://creativecommons.org/licenses/by/4.0/).
Share and Cite
Sharbatdaran, A.; Cohen, T.; Dev, H.; Sattar, U.; Bazojoo, V.; Wang, Y.; Hu, Z.; Zhu, C.; He, X.; Romano, D.; et al. Model-Assisted Spleen Contouring for Assessing Splenomegaly in Myelofibrosis: A Fast and Reproducible Approach to Evaluate Progression and Treatment Response. J. Clin. Med. 2025, 14, 443. https://doi.org/10.3390/jcm14020443
Sharbatdaran A, Cohen T, Dev H, Sattar U, Bazojoo V, Wang Y, Hu Z, Zhu C, He X, Romano D, et al. Model-Assisted Spleen Contouring for Assessing Splenomegaly in Myelofibrosis: A Fast and Reproducible Approach to Evaluate Progression and Treatment Response. Journal of Clinical Medicine. 2025; 14(2):443. https://doi.org/10.3390/jcm14020443
Chicago/Turabian StyleSharbatdaran, Arman, Téa Cohen, Hreedi Dev, Usama Sattar, Vahid Bazojoo, Yin Wang, Zhongxiu Hu, Chenglin Zhu, Xinzi He, Dominick Romano, and et al. 2025. "Model-Assisted Spleen Contouring for Assessing Splenomegaly in Myelofibrosis: A Fast and Reproducible Approach to Evaluate Progression and Treatment Response" Journal of Clinical Medicine 14, no. 2: 443. https://doi.org/10.3390/jcm14020443
APA StyleSharbatdaran, A., Cohen, T., Dev, H., Sattar, U., Bazojoo, V., Wang, Y., Hu, Z., Zhu, C., He, X., Romano, D., Scandura, J. M., & Prince, M. R. (2025). Model-Assisted Spleen Contouring for Assessing Splenomegaly in Myelofibrosis: A Fast and Reproducible Approach to Evaluate Progression and Treatment Response. Journal of Clinical Medicine, 14(2), 443. https://doi.org/10.3390/jcm14020443

