Perinatal Outcomes and Management of Umbilical Vein Varix: A Comprehensive Review of 392 Cases
Abstract
1. Introduction
2. Methods
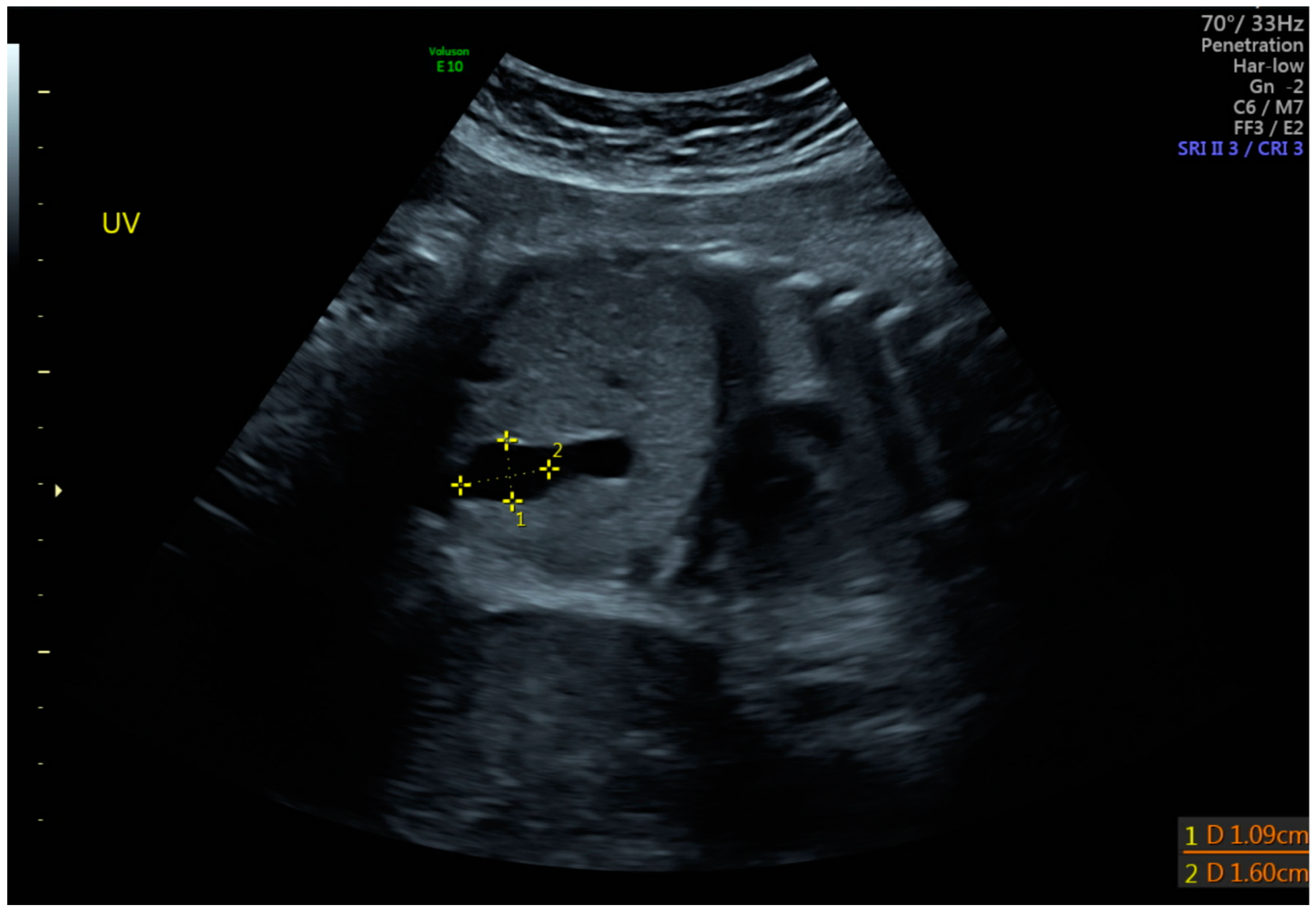
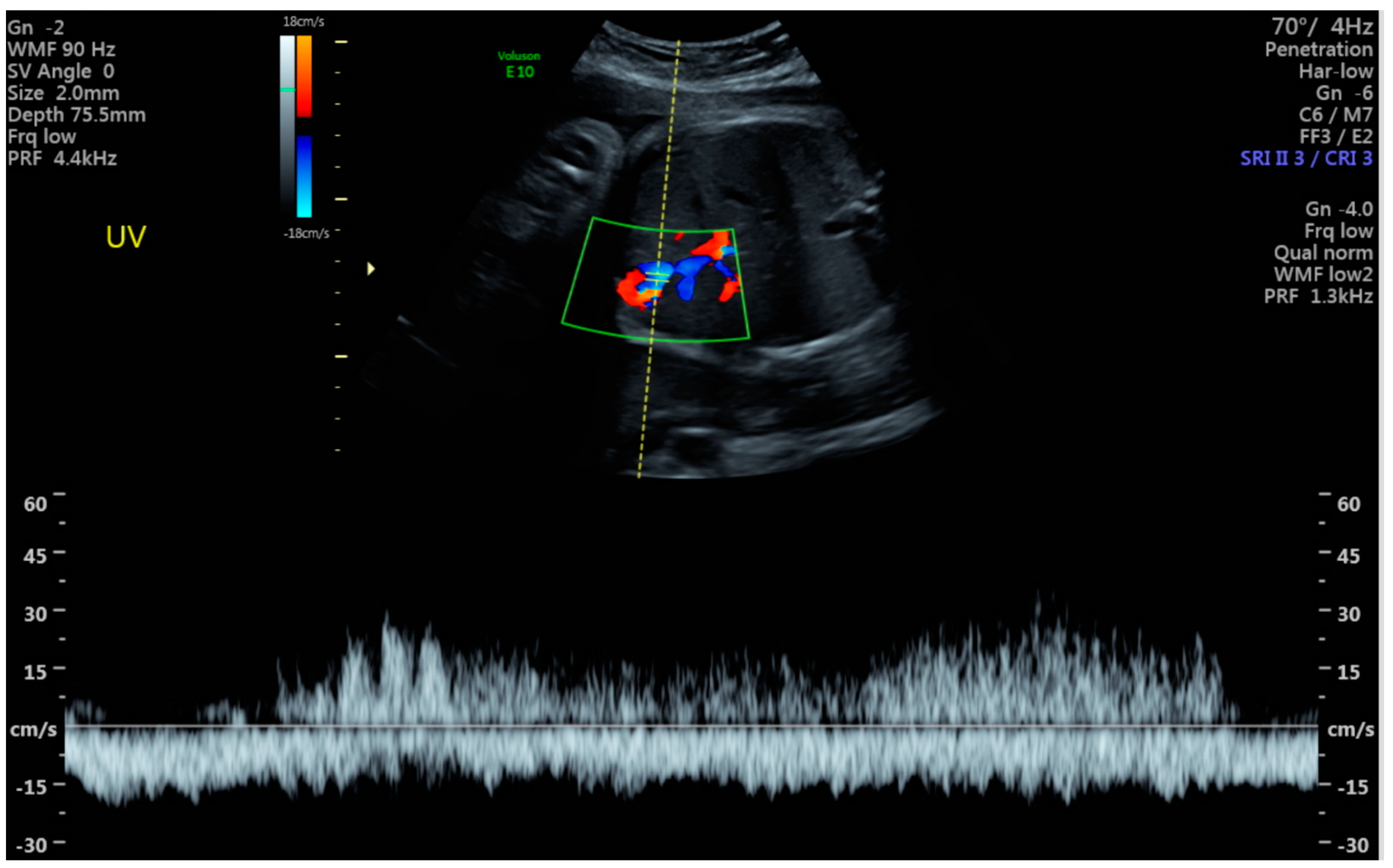
3. Diagnosis
4. Pathophysiology, Differential Diagnosis, and Incidence
5. Case Series and Case Reports
6. Intrapartum and Perinatal Outcomes
6.1. Intrauterine Growth Restriction and UVV
6.2. Fetal Anomalies and UVV
6.3. Aneuploidy and UVV
6.4. Turbulent Flow in UVV
6.5. Thrombosis in UVV
7. Intrauterine Fetal Demise and UVV
8. Other UVV Considerations
9. Management Strategies Used in the Case Reports and Case Series
10. Long-Term Outcomes in Children with Prenatally Diagnosed UVV
11. Summary
Author Contributions
Funding
Acknowledgments
Conflicts of Interest
References
- Mahoney, B.S.; McGahan, J.P.; Nyberg, D.A.; Reisner, D.P. Varix of the fetal intra-abdominal umbilical vein: Comparison with normal. J. Ultrasound Med. 1992, 11, 73–76. [Google Scholar] [CrossRef] [PubMed]
- Sepulveda, W.; Mackenna, A.; Sanchez, J.; Corral, E.; Carstens, E. Fetal prognosis in varix of the intrafetal umbilical vein. J. Ultrasound Med. 1998, 17, 171–175. [Google Scholar] [CrossRef] [PubMed]
- Rahemtullah, A.; Lieberman, E.; Benson, C.; Norton, M.E. Outcome of pregnancy after prenatal diagnosis of umbilical vein varix. J. Ultrasound Med. 2001, 20, 135–139. [Google Scholar] [CrossRef] [PubMed]
- Novoa, V.; Shazly, S.; Ibirogba, E.R.; Sutton, L.; Tonni, G.; Prefumo, F.; Sepulveda, W.; Araujo Júnior, E.; Werner, H.; Trinidad, M.C.; et al. Perinatal outcomes of fetal intra-abdominal umbilical vein varix: A multicenter cohort study. J. Matern.-Fetal Neonatal Med. 2021, 34, 3393–3396. [Google Scholar] [CrossRef] [PubMed]
- Bas-Lando, M.; Rabinowitz, R.; Samueloff, A.; Latinsky, B.; Schimmel, M.S.; Chen, O.; Grisaru-Granovsky, S. The prenatal diagnosis of isolated fetal varix of the intra-abdominal umbilical vein is associated with favorable neonatal outcome at term: A case series. Arch. Gynecol. Obstet. 2013, 288, 33–39. [Google Scholar] [CrossRef] [PubMed]
- Byers, B.D.; Goharkhay, N.; Mateus, J.; Ward, K.K.; Munn, M.B.; Wen, T.S. Pregnancy outcome after ultrasound diagnosis of fetal intra-abdominal umbilical vein varix. Ultrasound Obstet. Gynecol. 2009, 33, 282–286. [Google Scholar] [CrossRef] [PubMed]
- di Pasquo, E.; Kuleva, M.; O’Gorman, N.; Ville, Y.; Salomon, L.J. Fetal intra-abdominal umbilical vein varix: Retrospective cohort study and systematic review and meta-analysis. Ultrasound Obstet. Gynecol. 2018, 51, 580–585. [Google Scholar] [CrossRef] [PubMed]
- Lee, S.W.; Kim, M.Y.; Kim, J.E.; Chung, J.H.; Lee, H.J.; Yoon, J.Y. Clinical characteristics and outcomes of antenatal fetal intra-abdominal umbilical vein varix detection. Obstet. Gynecol. Sci. 2014, 57, 181–186. [Google Scholar] [CrossRef] [PubMed] [PubMed Central]
- Mankuta, D.; Nadjari, M.; Pomp, G. Isolated fetal intra-abdominal umbilical vein varix: Clinical importance and recommendations. J. Ultrasound Med. 2011, 30, 273–276. [Google Scholar] [CrossRef] [PubMed]
- Melcer, Y.; Ben-Ami, I.; Wiener, Y.; Livne, A.; Herman, A.; Maymon, R. Long-term outcomes of children with umbilical vein varix diagnosed prenatally. Prenat. Diagn. 2013, 33, 492–496. [Google Scholar] [CrossRef] [PubMed]
- Babay, Z.A.; Lange, I.R.; Elliott, P.D.; Hwang, W.S. A case of varix dilatation of the umbilical vein and review of the literature. Fetal Diagn. Ther. 1996, 11, 221–223. [Google Scholar] [CrossRef] [PubMed]
- Weissmann-Brenner, A.; Simchen, M.J.; Moran, O.; Kassif, E.; Achiron, R.; Zalel, Y. Isolated fetal umbilical vein varix--prenatal sonographic diagnosis and suggested management. Prenat. Diagn. 2009, 29, 229–233. [Google Scholar] [CrossRef] [PubMed]
- Estroff, J.A.; Benacerraf, B.R. Fetal umbilical vein varix: Sonographic appearance and postnatal outcome. J. Ultrasound Med. 1992, 11, 69–73. [Google Scholar] [CrossRef] [PubMed]
- Fuster, J.S.; Benasco, C.; Saad, I. Giant dilatation of the umbilical vein. J. Clin. Ultrasound 1985, 13, 363–365. [Google Scholar] [CrossRef] [PubMed]
- Fung, T.Y.; Leung, T.N.; Leung, T.Y.; Lau, T.K. Fetal intra-abdominal umbilical vein varix: What is the clinical significance? Ultrasound Obstet. Gynecol. 2005, 25, 149–154. [Google Scholar] [CrossRef] [PubMed]
- Lallar, M.; Phadke, S.R. Fetal intra abdominal umbilical vein varix: Case series and review of literature. Indian. J. Radiol. Imaging 2017, 27, 59–61. [Google Scholar] [CrossRef] [PubMed] [PubMed Central]
- Ipek, A.; Kurt, A.; Tosun, O.; Gümüş, M.; Yazicioğlu, K.R.; Aşik, E.; Taş, I. Prenatal diagnosis of fetal intra-abdominal umbilical vein varix: Report of 2 cases. J. Clin. Ultrasound 2008, 36, 48–50. [Google Scholar] [CrossRef] [PubMed]
- Challis, D.; Trudinger, B.J.; Moore, L.; Kennedy, D.S.; Ryan, G.; Toi, A. Intra-abdominal varix of the umbilical vein—Is it an indication for fetal karyotyping? Am. J. Obstet. Gynecol. 1997, 176, S93. [Google Scholar] [CrossRef]
- GRizzo, D. Arduini. Prenatal diagnosis of an intra-abdominal ectasia of the umbilical vein with color Doppler ultrasonography. Ultrasound Obstet. Gynecol. 1992, 2, 55–57. [Google Scholar]
- Valsky, D.V.; Rosenak, D.; Hochner-Celnikier, D.; Porat, S.; Yagel, S. Adverse outcome of isolated fetal intra-abdominal umbilical vein varix despite close monitoring. Prenat. Diagn. 2004, 24, 451–454. [Google Scholar] [CrossRef] [PubMed]
- Viora, E.; Sciarrone, A.; Bastonero, S.; Errante, G.; Mortara, G.; Chiappa, E.; Campogrande, M. Anomalies of the fetal venous system: A report of 26 cases and review of the literature. Fetal Diagn. Ther. 2004, 19, 440–447. [Google Scholar] [CrossRef] [PubMed]
- White, S.P.; Kofinas, A. Prenatal diagnosis and management of umbilical vein varix of the intra-amniotic portion of the umbilical vein. J. Ultrasound Med. 1994, 13, 992–994. [Google Scholar] [CrossRef] [PubMed]
- Zalel, Y.; Lehavi, O.; Heifetz, S.; Aizenstein, O.; Dolitzki, M.; Lipitz, S.; Achiron, R. Varix of the fetal intra-abdominal umbilical vein: Prenatal sonographic diagnosis and suggested in utero management. Ultrasound Obstet. Gynecol. 2000, 16, 476–478. [Google Scholar] [CrossRef] [PubMed]
- Beraud, E.; Rozel, C.; Milon, J.; Darnault, P. Umbilical vein varix: Importance of ante- and post-natal monitoring by ultrasound. Diagn. Interv. Imaging 2015, 96, 21–26. [Google Scholar] [CrossRef] [PubMed]
- Austria, B.S.; Hanaoka, U.; Sato, M.; Hata, T. Three- and four-dimensional sonographic diagnosis of fetal intra-abdominal umbilical vein varix. J. Med. Ultrason. 2014, 41, 245–246. [Google Scholar] [CrossRef]
- Melcer, Y.; Wiener, Y.; Ben-Ami, I.; Levinsohn-Tavor, O.; Feldman, N.; Maymon, R. The Triple Test Markers Profile Among Fetuses and Children Diagnosed with Umbilical Vein Varix. J. Diagn. Med. Sonogr. 2014, 30, 219–224. [Google Scholar] [CrossRef]
- Chew, L.C.; Verma, R.P. Fetal Growth Restriction. [Updated 8 August 2023]. In StatPearls; StatPearls Publishing: Treasure Island, FL, USA, 2024. Available online: https://www.ncbi.nlm.nih.gov/books/NBK562268/ (accessed on 8 August 2024).
- Rakha, S.; Mohamed, A.A. Large intra-abdominal umbilical vein varix with absent ductus venosus: The undeniable etiology of fetal heart failure despite associated congenital heart disease. Echocardiography 2022, 39, 945–949. [Google Scholar] [CrossRef] [PubMed]
- Lu, M.; Kakani, N.; Romagnoli, C.; Yue, L.; Xiong, W.; An, S.; Song, B. Two- and three-dimensional sonographic diagnosis of fetal intra-abdominal umbilical vein varix: A case report. J. Clin. Ultrasound 2012, 40, 586–589. [Google Scholar] [CrossRef] [PubMed]
- Shah, K.H.; Nambiyar, R.; Bhat, S. Prenatal diagnosis and management of fetal intra-abdominal umbilical vein varix. J. Fam. Med. Prim. Care 2018, 7, 458–460. [Google Scholar] [CrossRef] [PubMed] [PubMed Central]
- Choi, H.; Kim, H.S.; Sakong, J. Rates and subsequent clinical course of fetal congenital anomalies detected by prenatal targeted ultrasonography of 137 cases over 5 years in a single institute: A retrospective observational study. J. Yeungnam Med. Sci. 2023, 40, 268–275. [Google Scholar] [CrossRef] [PubMed] [PubMed Central]
- Sharma, K.A.; Kour Isher, H.; Dadhwal, V.; Rana, A.; Kumar, A. Lessons from Umbilical Vein Varix. Int. J. Infertil. Fetal Med. 2020, 11, 30–32. [Google Scholar] [CrossRef]
- Gowda, S.; Chakkalakkoombil, S.V.; Bharathi, S.; Barathi, D. Large fetal intra-abdominal umbilical vein varix: Antenatal sonographic diagnosis and follow-up. J. Obstet. Gynaecol. Res. 2019, 45, 1936–1940. [Google Scholar] [CrossRef] [PubMed]
- Viora, E.; Sciarrone, A.; Bastonero, S.; Errante, G.; Campogrande, M. Thrombosis of umbilical vein varix. Ultrasound Obstet. Gynecol. 2002, 19, 212–213. [Google Scholar] [CrossRef] [PubMed]
- Irie, Y.; Kuwata, T.; Ishiguro, A.; Kimura, A.; Omori, M.; Wang, L.; Horiuchi, I.; Takagi, K. The 72nd Annual Congress of the Japan Society of Obstetrics and Gynecology. J. Obstet. Gynaecol. Res. 2020, 46, 1473–1622. [Google Scholar] [CrossRef]
- Howard, B.; Langbaum, M.; Macatangay, R. Novel presentation of factor v leiden mutation in a neonate with umbilical vein varix. Pediatr. Blood Cancer 2021, 68, e29060. [Google Scholar] [CrossRef]
- Kang, H.; Kim, H.; Park, J. Prenatal diagnosis of multiple umbilical vein varices associated with massive thrombosis and velamentous cord insertion. Ultrasound Obstet. Gynecol. 2017, 50 (Suppl. S1), 186. [Google Scholar] [CrossRef]
- Allen, S.L.; Bagnall, C.; Roberts, A.B.; Teele, R.L. Thrombosing umbilical vein varix. J. Ultrasound Med. 1998, 17, 189–192. [Google Scholar] [CrossRef]
- Dussaux, C.; Picone, O.; Chambon, G.; Tassin, M.; Martinovic, J.; Benachi, A.; Cordier, A.G. Umbilical vein thrombosis: To deliver or not to deliver at the time of diagnosis? Clin. Case Rep. 2014, 2, 271–273. [Google Scholar] [CrossRef] [PubMed] [PubMed Central]
- Gregory, E.C.W.; Valenzuela, C.P.; Hoyert, D.L. Fetal Mortality: United States, 2021; National Vital Statistics Reports; National Center for Health Statistics: Hyattsville, MD, USA, 2023; Volume 72. [Google Scholar] [CrossRef]
- Koorn, I.; Heinrich, H.; Nelissen, A.; Denswil, N.; Linskens, I.H.; Jansen, C.H.J.R.; Wortelboer, E.W.; Pajkrt, E. Isolated fetal umbilical vein varix and the association with intrauterine fetal death and fetal growth restriction: A systematic review, meta-analysis, and nested retrospective cohort study. Prenat. Diagn. 2024, 44, 595–613. [Google Scholar] [CrossRef] [PubMed]
- Haga, M.; Itoh, K.; Horikoshi, T.; Namba, F.; Kabe, K. Severe Consumptive Coagulopathy in an Extremely-Low-Birth-Weight Infant with Intra-Abdominal Umbilical Vein Varix: A Case Report. AJP Rep. 2021, 11, e76–e79. [Google Scholar] [CrossRef] [PubMed] [PubMed Central]
- Ismail, H.; Chang, Y.L.; Chang, S.D.; Nusee, Z. Fetal Intra-Abdominal Umbilical Vein Varix in Monochorionic Twins: Is it Significant? Malays. J. Med. Sci. MJMS 2012, 19, 69–73. [Google Scholar] [PubMed]
- Kanenishi, K.; Nitta, E.; Mashima, M.; Hanaoka, U.; Koyano, K.; Tanaka, H.; Hata, T. HDlive imaging of intra-amniotic umbilical vein varix with thrombosis. Placenta 2013, 34, 1110–1112. [Google Scholar] [CrossRef] [PubMed]
- Io, S.; Chigusa, Y.; Mogami, H.; Kondoh, E.; Mandai, M. A case of extra-abdominal umbilical vein varix with severe fetal anemia. Placenta 2019, 87, 58. [Google Scholar] [CrossRef]
- Sanapo, L.; Burul, G.; Saccardi, C.; Nardelli, G.B.; D’Antona, D. Four cases of fetal intra-abdominal umbilical vein varix: A single centre’s approach to management. J. Obstet. Gynaecol. 2013, 33, 375–377. [Google Scholar] [CrossRef] [PubMed]
- Kalumbi, C.; Crowson, R.; Soydemir, F.; Butcher, T. Fetal intra-abdominal umbilical vein varix: A case report. Ultrasound 2013, 21, 152–154. [Google Scholar] [CrossRef]
- Cassidy-Vu, L.; Clark, S.; Cuka, N. Extra-abdominal umbilical vein varix in a newborn. BMJ Case Rep. 2019, 12, e227424. [Google Scholar] [CrossRef] [PubMed] [PubMed Central]
- Nasser, B.H.; Hamid, D.; Zakharian, Y.; Jadaon, J.E. Intra-amniotic umbilical vein varix: A case report and review of the literature. Int. J. Gynaecol. Obstet. 2023, 160, 1045–1050. [Google Scholar] [CrossRef] [PubMed] [PubMed Central]
- Grin, L.; Shenhav, S.; Elasbah, A.; Rabinovich, M.; Sofer, H.; Anteby, E.Y.; Zohav, E. Is umbilical vein varix associated with changes in cerebroplacental ratio? J. Matern.-Fetal Neonatal Med. 2020, 33, 162–166. [Google Scholar] [CrossRef]
- Chae, S.-H.; Ji, I.W.; Hong, S.H.; Choi, J.Y.; Lee, H.-C.; Kim, J.-S.; Kim, B.; Kim, J.-H.; Song, K. Antenatal sonographic features of persistent extrahepatic vitelline vein aneurysm confused with umbilical vein varix. Fetal Pediatr. Pathol. 2019, 38, 518–523. [Google Scholar] [CrossRef] [PubMed]
- Prefumo, F.; Frusca, T. Comment on “long-term outcomes of children with umbilical vein varix diagnosed prenatally”. Prenat. Diagn. 2013, 33, 1113. [Google Scholar] [CrossRef] [PubMed]






| Variables | Mean | Standard Deviation |
|---|---|---|
| Maternal age (years) | 30.95 | 5.21 |
| Gravidity | 3.35 | 2.27 |
| Gestational age at diagnosis (weeks) | 29.94 | 4.76 |
| Gestational age at delivery (weeks) | 37.63 | 2.90 |
| Largest diameter (mm) | 12.85 | 2.79 |
Disclaimer/Publisher’s Note: The statements, opinions and data contained in all publications are solely those of the individual author(s) and contributor(s) and not of MDPI and/or the editor(s). MDPI and/or the editor(s) disclaim responsibility for any injury to people or property resulting from any ideas, methods, instructions or products referred to in the content. |
© 2025 by the authors. Licensee MDPI, Basel, Switzerland. This article is an open access article distributed under the terms and conditions of the Creative Commons Attribution (CC BY) license (https://creativecommons.org/licenses/by/4.0/).
Share and Cite
Ghahremani, T.; Britt, A.B.; Ray, E.; Jones, A.; Du, R.; Magann, E.F. Perinatal Outcomes and Management of Umbilical Vein Varix: A Comprehensive Review of 392 Cases. J. Clin. Med. 2025, 14, 441. https://doi.org/10.3390/jcm14020441
Ghahremani T, Britt AB, Ray E, Jones A, Du R, Magann EF. Perinatal Outcomes and Management of Umbilical Vein Varix: A Comprehensive Review of 392 Cases. Journal of Clinical Medicine. 2025; 14(2):441. https://doi.org/10.3390/jcm14020441
Chicago/Turabian StyleGhahremani, Taylor, Anna Bailey Britt, Emily Ray, Ashton Jones, Ruofei Du, and Everett F. Magann. 2025. "Perinatal Outcomes and Management of Umbilical Vein Varix: A Comprehensive Review of 392 Cases" Journal of Clinical Medicine 14, no. 2: 441. https://doi.org/10.3390/jcm14020441
APA StyleGhahremani, T., Britt, A. B., Ray, E., Jones, A., Du, R., & Magann, E. F. (2025). Perinatal Outcomes and Management of Umbilical Vein Varix: A Comprehensive Review of 392 Cases. Journal of Clinical Medicine, 14(2), 441. https://doi.org/10.3390/jcm14020441

