Repeated Autologous Fat Grafting Significantly Increases Mastectomy Flap Thickness in Pre-Pectoral Multi-Stage Composite Expander-to-Implant Breast Reconstruction: Exploring the Concept of a Reverse Expansion
Abstract
1. Introduction
2. Materials and Methods
2.1. Patients and Outcome Parameters
2.2. Multi-Stage Breast Reconstruction
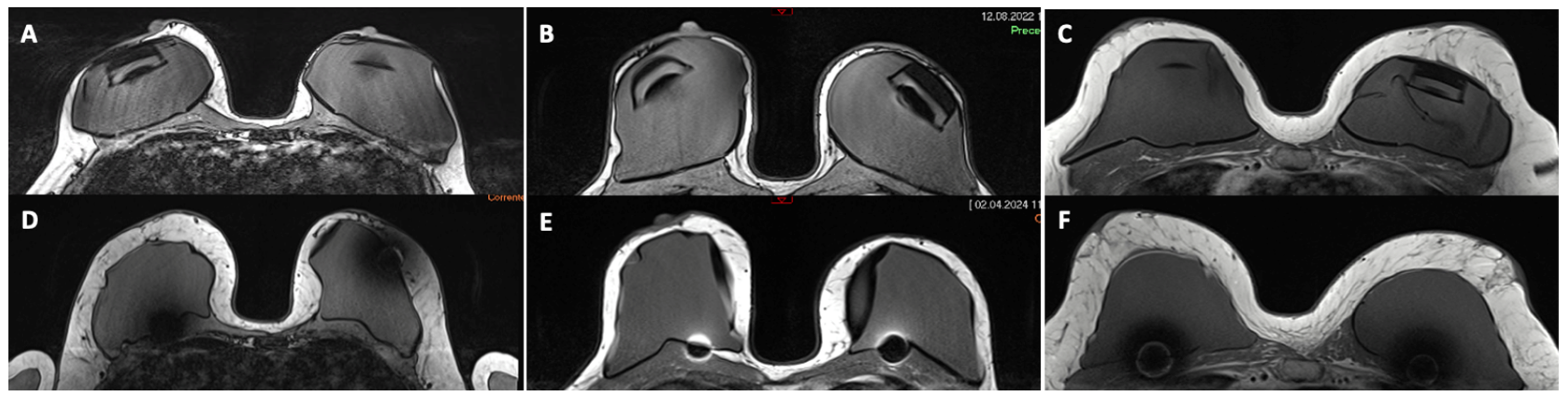
2.3. Measurement of Tissue Thickness
2.4. Statistics
3. Results
4. Discussion
Limitations
5. Conclusions
Supplementary Materials
Author Contributions
Funding
Institutional Review Board Statement
Informed Consent Statement
Data Availability Statement
Conflicts of Interest
References
- Sungkar, A.; Yarso, K.Y.; Nugroho, D.F.; Wahid, D.I.; Permatasari, C.A. Patients’ Satisfaction After Breast Reconstruction Surgery Using Autologous versus Implants: A Meta-Analysis. Asian Pac. J. Cancer Prev. 2024, 25, 1205–1212. [Google Scholar] [CrossRef] [PubMed] [PubMed Central]
- Fracon, S.; Renzi, N.; Manara, M.; Ramella, V.; Papa, G.; Arnež, Z.M. Patient Satisfaction after breast reconstruction: Implants vs. autologous tissues. Acta Chir. Plast. 2018, 59, 120–128. (In English) [Google Scholar] [PubMed]
- Malekpour, M.; Malekpour, F.; Wang, H.T. Breast reconstruction: Review of current autologous and implant-based techniques and long-term oncologic outcome. World J. Clin. Cases 2023, 11, 2201–2212. [Google Scholar] [CrossRef] [PubMed] [PubMed Central]
- Jagsi, R.; Momoh, A.O.; Qi, J.; Hamill, J.B.; Billig, J.; Kim, H.M.; Pusic, A.L.; Wilkins, E.G. Impact of Radiotherapy on Complications and Patient-Reported Outcomes After Breast Reconstruction. J. Natl. Cancer Inst. 2018, 110, 157–165. [Google Scholar] [CrossRef] [PubMed] [PubMed Central]
- Nahabedian, M.Y.; Momen, B.; Galdino, G.; Manson, P.N. Breast Reconstruction with the free TRAM or DIEP flap: Patient selection, choice of flap, and outcome. Plast. Reconstr. Surg. 2002, 110, 466–475; discussion 476–477. [Google Scholar] [CrossRef] [PubMed]
- Kwok, A.C.; Goodwin, I.A.; Ying, J.; Agarwal, J.P. National trends and complication rates after bilateral mastectomy and immediate breast reconstruction from 2005 to 2012. Am. J. Surg. 2015, 210, 512–516. [Google Scholar] [CrossRef] [PubMed]
- Albornoz, C.R.; Bach, P.B.; Mehrara, B.J.; Disa, J.J.; Pusic, A.L.; McCarthy, C.M.; Cordeiro, P.G.; Matros, E. A paradigm shift in U.S. Breast reconstruction: Increasing implant rates. Plast. Reconstr. Surg. 2013, 131, 15–23. [Google Scholar] [CrossRef] [PubMed]
- Cemal, Y.; Albornoz, C.R.; Disa, J.J.; McCarthy, C.M.; Mehrara, B.J.; Pusic, A.L.; Cordeiro, P.G.; Matros, E. A paradigm shift in U.S. breast reconstruction: Part 2. The influence of changing mastectomy patterns on reconstructive rate and method. Plast. Reconstr. Surg. 2013, 131, 320e–326e. [Google Scholar] [CrossRef] [PubMed]
- Farhangkhoee, H.; Matros, E.; Disa, J. Trends and concepts in post-mastectomy breast reconstruction. J. Surg. Oncol. 2016, 113, 891–894. [Google Scholar] [CrossRef] [PubMed] [PubMed Central]
- Schmauss, D.; Machens, H.G.; Harder, Y. Breast Reconstruction after Mastectomy. Front. Surg. 2016, 2, 71. [Google Scholar] [CrossRef] [PubMed] [PubMed Central]
- Cohen, T.J.W.; Mohazab, N.; Redmond, D.; van Eeden, C.; Osman, M. Breast implant illness: Scientific evidence of its existence. Expert. Rev. Clin. Immunol. 2022, 18, 15–29. [Google Scholar] [CrossRef] [PubMed]
- Kricheldorff, J.; Fallenberg, E.M.; Solbach, C.; Gerber-Schäfer, C.; Rancsó, C.; Fritschen, U.V. Breast Implant-Associated Lymphoma. Dtsch. Arztebl. Int. 2018, 115, 628–635. [Google Scholar] [CrossRef] [PubMed] [PubMed Central]
- Radovan, C. Breast reconstruction after mastectomy using the temporary expander. Plast. Reconstr. Surg. 1982, 69, 195–208. [Google Scholar] [CrossRef] [PubMed]
- Gunnarsson, G.L.; Salzberg, C.A. Current status of pre- and retropectoral breast reconstructions worldwide: A narrative review. Gland. Surg. 2024, 13, 1305–1314. [Google Scholar] [CrossRef] [PubMed] [PubMed Central]
- Gronovich, Y.; Skorochod, R.; Maisel-Lotan, A. Autologous Fat Breast Reconstruction with Implant Completion—Experience with 29 Consecutive Cases and 33 Breasts. Aesthetic Plast. Surg. 2024. online ahead of print. [Google Scholar] [CrossRef] [PubMed]
- Turner, A.; Abu-Ghname, A.; Davis, M.J.; Winocour, S.J.; Hanson, S.E.; Chu, C.K. Fat Grafting in Breast Reconstruction. Semin. Plast. Surg. 2020, 34, 17–23. [Google Scholar] [CrossRef] [PubMed] [PubMed Central]
- Simonacci, F.; Bertozzi, N.; Grieco, M.P.; Grignaffini, E.; Raposio, E. Procedure, applications, and outcomes of autologous fat grafting. Ann. Med. Surg. 2017, 20, 49–60. [Google Scholar] [CrossRef] [PubMed] [PubMed Central]
- Salgarello, M.; Visconti, G.; Barone-Adesi, L. Fat grafting and breast reconstruction with implant: Another option for irradiated breast cancer patients. Plast. Reconstr. Surg. 2012, 129, 317–329. [Google Scholar] [CrossRef] [PubMed]
- Stillaert, F.B.J.L.; Lannau, B.; Van Landuyt, K.; Blondeel, P.N. The Prepectoral, Hybrid Breast Reconstruction: The Synergy of Lipofilling and Breast Implants. Plast. Reconstr. Surg. Glob. Open 2020, 8, e2966. [Google Scholar] [CrossRef] [PubMed] [PubMed Central]
- Sommeling, C.E.; Van Landuyt, K.; Depypere, H.; Van den Broecke, R.; Monstrey, S.; Blondeel, P.N.; Morrison, W.A.; Stillaert, F.B. Composite breast reconstruction: Implant-based breast reconstruction with adjunctive lipofilling. J. Plast. Reconstr. Aesthet. Surg. 2017, 70, 1051–1058. [Google Scholar] [CrossRef] [PubMed]
- Momeni, A.; Kanchwala, S.K. Improved pocket control in immediate microsurgical breast reconstruction with simultaneous implant placement through the use of mesh. Microsurgery 2018, 38, 450–457. [Google Scholar] [CrossRef] [PubMed]
- Cohen, O.; Lam, G.; Karp, N.; Choi, M. Determining the Oncologic Safety of Autologous Fat Grafting as a Reconstructive Modality: An Institutional Review of Breast Cancer Recurrence Rates and Surgical Outcomes. Plast. Reconstr. Surg. 2017, 140, 382e–392e. [Google Scholar] [CrossRef] [PubMed]
- Weinzierl, A.; Schmauss, D.; Brucato, D.; Harder, Y. Implant-Based Breast Reconstruction after Mastectomy, from the Subpectoral to the Prepectoral Approach: An Evidence-Based Change of Mind? J. Clin. Med. 2022, 11, 3079. [Google Scholar] [CrossRef] [PubMed] [PubMed Central]
- Ostapenko, E.; Nixdorf, L.; Devyatko, Y.; Exner, R.; Wimmer, K.; Fitzal, F. Prepectoral Versus Subpectoral Implant-Based Breast Reconstruction: A Systemic Review and Meta-analysis. Ann. Surg. Oncol. 2023, 30, 126–136. [Google Scholar] [CrossRef] [PubMed] [PubMed Central]
- Sinnott, C.J.; Persing, S.M.; Pronovost, M.; Hodyl, C.; McConnell, D.; Ott Young, A. Impact of Postmastectomy Radiation Therapy in Prepectoral Versus Subpectoral Implant-Based Breast Reconstruction. Ann. Surg. Oncol. 2018, 25, 2899–2908. [Google Scholar] [CrossRef] [PubMed]
- Woo, A.; Harless, C.; Jacobson, S.R. Single-Surgeon Experience on Post-Mastectomy Subcutaneous Implant-Based Breast Reconstruction. Breast J. 2017, 23, 545–553. [Google Scholar] [CrossRef] [PubMed]
- Dyrberg, D.L.; Bille, C.; Koudahl, V.; Gerke, O.; Sørensen, J.A.; Thomsen, J.B. Evaluation of Breast Animation Deformity following Pre- and Subpectoral Direct-to-Implant Breast Reconstruction: A Randomized Controlled Trial. Arch. Plast. Surg. 2022, 49, 587–595. [Google Scholar] [CrossRef] [PubMed] [PubMed Central]
- Caputo, G.G.; Zingaretti, N.; Kiprianidis, I.; Zanfisi, C.; Domenici, L.; Parodi, P.C.; Governa, M. Quality of Life and Early Functional Evaluation in Direct-to-Implant Breast Reconstruction After Mastectomy: A Comparative Study Between Prepectoral Versus Dual-Plane Reconstruction. Clin. Breast Cancer 2021, 21, 344–351. [Google Scholar] [CrossRef] [PubMed]
- Gierek, M.; Łabuś, W.; Kitala, D.; Lorek, A.; Ochała-Gierek, G.; Zagórska, K.M.; Waniczek, D.; Szyluk, K.; Niemiec, P. Human Acellular Dermal Matrix in Reconstructive Surgery—A Review. Biomedicines 2022, 10, 2870. [Google Scholar] [CrossRef] [PubMed] [PubMed Central]
- Cuomo, R. Submuscular and Pre-Pectoral ADM Assisted Immediate Breast Reconstruction: A Literature Review. Medicina 2020, 56, 256. [Google Scholar] [CrossRef] [PubMed] [PubMed Central]
- Fosnot, J.; Kovach, S.J., 3rd; Serletti, J.M. Acellular dermal matrix: General principles for the plastic surgeon. Aesthet. Surg. J. 2011, 31 (Suppl. 7), 5S–12S. [Google Scholar] [CrossRef] [PubMed]
- Association of Breast Surgery and the British Association of Plastic, Reconstructive and Aesthetic Surgeons. Acellular dermal matrix (ADM) assisted breast reconstruction procedures: Joint guidelines from the Association of Breast Surgery and the British Association of Plastic, Reconstructive and Aesthetic Surgeons. Eur. J. Surg. Oncol. 2013, 39, 425–429. [Google Scholar] [CrossRef] [PubMed]
- Hong, S.E.; Kim, J.H. The relationship of human acellular dermal matrix thickness on complication rate and patient-reported outcomes in implant-based immediate breast reconstruction. Gland. Surg. 2021, 10, 90–100. [Google Scholar] [CrossRef] [PubMed] [PubMed Central]
- Craig, E.S.; Clemens, M.W.; Koshy, J.C.; Wren, J.; Hong, Z.; Butler, C.E.; Garvey, P.B.; Selber, J.C.; Kronowitz, S.J. Outcomes of Acellular Dermal Matrix for Immediate Tissue Expander Reconstruction with Radiotherapy: A Retrospective Cohort Study. Aesthet. Surg. J. 2019, 39, 279–288. [Google Scholar] [CrossRef] [PubMed]
- Alessandri Bonetti, M.; Carbonaro, R.; Borelli, F.; Amendola, F.; Cottone, G.; Mazzocconi, L.; Mastroiacovo, A.; Zingaretti, N.; Parodi, P.C.; Vaienti, L. Outcomes in Hybrid Breast Reconstruction: A Systematic Review. Medicina 2022, 58, 1232. [Google Scholar] [CrossRef] [PubMed] [PubMed Central]
- Herly, M.; Ørholt, M.; Larsen, A.; Pipper, C.B.; Bredgaard, R.; Gramkow, C.S.; Katz, A.J.; Drzewiecki, K.T.; Vester-Glowinski, P.V. Efficacy of breast reconstruction with fat grafting: A systematic review and meta-analysis. J. Plast. Reconstr. Aesthet. Surg. 2018, 71, 1740–1750. [Google Scholar] [CrossRef] [PubMed]
- Kanchwala, S.; Momeni, A. Hybrid breast reconstruction-the best of both worlds. Gland. Surg. 2019, 8, 82–89. [Google Scholar] [CrossRef] [PubMed] [PubMed Central]
- Yesantharao, P.S.; Nguyen, D.H. Hybrid breast reconstruction: A systematic review of current trends and future directions. Ann. Breast Surg. 2022, 6, 17. [Google Scholar] [CrossRef]
- Maass, S.W.; Bagher, S.; Hofer, S.O.; Baxter, N.N.; Zhong, T. Systematic Review: Aesthetic Assessment of Breast Reconstruction Outcomes by Healthcare Professionals. Ann. Surg. Oncol. 2015, 22, 4305–4316. [Google Scholar] [CrossRef] [PubMed]
- Spear, S.L.; Baker, J.L., Jr. Classification of capsular contracture after prosthetic breast reconstruction. Plast. Reconstr. Surg. 1995, 96, 1119–1123; discussion 1124. [Google Scholar] [CrossRef] [PubMed]
- Schiaffino, S.; Cozzi, A.; Pompei, B.; Scarano, A.L.; Catanese, C.; Catic, A.; Rossi, L.; Del Grande, F.; Harder, Y. MRI-Conditional Breast Tissue Expander: First In-Human Multi-Case Assessment of MRI-Related Complications and Image Quality. J. Clin. Med. 2023, 12, 4410. [Google Scholar] [CrossRef] [PubMed] [PubMed Central]
- Hunstad, J.P.; Aitken, M.E. Liposuction and tumescent surgery. Clin. Plast. Surg. 2006, 33, 39–46. [Google Scholar] [CrossRef] [PubMed]
- Piffer, A.; Aubry, G.; Cannistra, C.; Popescu, N.; Nikpayam, M.; Koskas, M.; Uzan, C.; Bichet, J.C.; Canlorbe, G. Breast Reconstruction by Exclusive Lipofilling after Total Mastectomy for Breast Cancer: Description of the Technique and Evaluation of Quality of Life. J. Pers. Med. 2022, 12, 153. [Google Scholar] [CrossRef] [PubMed] [PubMed Central]
- Headon, H.; Kasem, A.; Mokbel, K. Capsular Contracture after Breast Augmentation: An Update for Clinical Practice. Arch. Plast. Surg. 2015, 42, 532–543. [Google Scholar] [CrossRef] [PubMed] [PubMed Central]
- Christodoulou, N.; Secanho, M.; Kokosis, G.; Malgor, R.D.; Winocour, J.; Yu, J.W.; Mathes, D.W.; Kaoutzanis, C. Capsular contracture in breast reconstruction: A systematic review and meta-analysis. J. Plast. Reconstr. Aesthet. Surg. 2024, 98, 131–143. [Google Scholar] [CrossRef] [PubMed]
- Komorowska-Timek, E.; Jaźwiec, A.; Adams, N.S.; Fahrenkopf, M.P.; Davis, A.T. Peri-prosthetic Fat Grafting Decreases Collagen Content, Density, and Fiber Alignment of Implant Capsules. Plast. Reconstr. Surg. Glob. Open 2021, 9, e3687. [Google Scholar] [CrossRef] [PubMed] [PubMed Central]
- Papadopoulos, S.; Vidovic, G.; Neid, M.; Abdallah, A. Using Fat Grafting to Treat Breast Implant Capsular Contracture. Plast. Reconstr. Surg. Glob. Open 2018, 6, e1969. [Google Scholar] [CrossRef] [PubMed] [PubMed Central]
- Sue, G.R.; Sun, B.J.; Lee, G.K. Complications After Two-Stage Expander Implant Breast Reconstruction Requiring Reoperation: A Critical Analysis of Outcomes. Ann. Plast. Surg. 2018, 80 (Suppl. S5), S292–S294. [Google Scholar] [CrossRef] [PubMed]
- Suga, H.; Shiraishi, T.; Tsuji, N.; Takushima, A. Risk Factors for Complications in Expander-Based Breast Reconstruction: Multivariate Analysis in Asian Patients. Plast. Reconstr. Surg. Glob. Open 2017, 5, e1563. [Google Scholar] [CrossRef] [PubMed] [PubMed Central]
- Fischer, J.P.; Nelson, J.A.; Serletti, J.M.; Wu, L.C. Peri-operative risk factors associated with early tissue expander (TE) loss following immediate breast reconstruction (IBR): A review of 9305 patients from the 2005–2010 ACS-NSQIP datasets. J. Plast. Reconstr. Aesthet. Surg. 2013, 66, 1504–1512. [Google Scholar] [CrossRef] [PubMed]
- Cason, R.W.; Shammas, R.L.; Broadwater, G.; Glener, A.D.; Sergesketter, A.R.; Vernon, R.; Le, E.; Wickenheisser, V.A.; Marks, C.E.; Orr, J.; et al. The Influence of Fat Grafting on Breast Imaging after Postmastectomy Reconstruction: A Matched Cohort Analysis. Plast. Reconstr. Surg. 2020, 146, 1227–1236. [Google Scholar] [CrossRef] [PubMed]
- Knackstedt, R.W.; Gatherwright, J.; Ataya, D.; Duraes, E.F.R.; Schwarz, G.S. Fat Grafting and the Palpable Breast Mass in Implant-Based Breast Reconstruction: Incidence and Implications. Plast. Reconstr. Surg. 2019, 144, 265–275. [Google Scholar] [CrossRef] [PubMed]
- Parikh, R.P.; Doren, E.L.; Mooney, B.; Sun, W.V.; Laronga, C.; Smith, P.D. Differentiating fat necrosis from recurrent malignancy in fat-grafted breasts: An imaging classification system to guide management. Plast. Reconstr. Surg. 2012, 130, 761–772. [Google Scholar] [CrossRef] [PubMed]
- Razzouk, K.; Fitoussi, A.; Al Khori, N.; Pasquier, J.; Chouchane, L.; Tabrizi, A.R. Breast Reconstruction Combining Lipofilling and Prepectoral Prosthesis after Radiotherapy. Plast. Reconstr. Surg. Glob. Open 2020, 8, e2659. [Google Scholar] [CrossRef] [PubMed] [PubMed Central]
- Taj, S.; Chandavarkar, R.; Vidya, R. Current Global Trends in Prepectoral Breast Reconstruction. Medicina 2024, 60, 431. [Google Scholar] [CrossRef] [PubMed] [PubMed Central]
- de Blacam, C.; Momoh, A.O.; Colakoglu, S.; Tobias, A.M.; Lee, B.T. Evaluation of clinical outcomes and aesthetic results after autologous fat grafting for contour deformities of the reconstructed breast. Plast. Reconstr. Surg. 2011, 128, 411e–418e. [Google Scholar] [CrossRef] [PubMed]
- Kling, R.E.; Mehrara, B.J.; Pusic, A.L.; Young, V.L.; Hume, K.M.; Crotty, C.A.; Rubin, J.P. Trends in autologous fat grafting to the breast: A national survey of the american society of plastic surgeons. Plast. Reconstr. Surg. 2013, 132, 35–46. [Google Scholar] [CrossRef] [PubMed]
- Katzel, E.B.; Bucky, L.P. Fat Grafting to the Breast: Clinical Applications and Outcomes for Reconstructive Surgery. Plast. Reconstr. Surg. 2017, 140, 69S–76S. [Google Scholar] [CrossRef] [PubMed]
- Hörl, H.W.; Feller, A.M.; Biemer, E. Technique for liposuction fat reimplantation and long-term volume evaluation by magnetic resonance imaging. Ann. Plast. Surg. 1991, 26, 248–258. [Google Scholar] [CrossRef] [PubMed]
- Kim, H.Y.; Jung, B.K.; Lew, D.H.; Lee, D.W. Autologous Fat Graft in the Reconstructed Breast: Fat Absorption Rate and Safety based on Sonographic Identification. Arch. Plast. Surg. 2014, 41, 740–747. [Google Scholar] [CrossRef] [PubMed] [PubMed Central]
- Anderson, L.; Nguyen, C.D.T.; Trinh, K.; Dorfman, R.; Tandon, V.; Do, N.; Lambros, V.; Grotting, J.; Song, D.; Delong, M. Facial Hypertrophy as a Complication of Weight Gain in Autologous Fat Graft Patients: Considerations and Recommendations. Aesthet. Surg. J. 2023, 43, NP738–NP747. [Google Scholar] [CrossRef] [PubMed]
- Taupin, A.; Labbé, D.; Nicolas, J.; Debout, C.; Benateau, H. Lipomodelage et prise de poids. A propos d’un cas et revue de la littérature [Lipofilling and weight gain. Case report and review of the literature]. Ann. Chir. Plast. Esthet. 2010, 55, 238–242. (In French) [Google Scholar] [CrossRef] [PubMed]
- Wilkins, E.G.; Hamill, J.B.; Kim, H.M.; Kim, J.Y.; Greco, R.J.; Qi, J.; Pusic, A.L. Complications in Postmastectomy Breast Reconstruction: One-year Outcomes of the Mastectomy Reconstruction Outcomes Consortium (MROC) Study. Ann. Surg. 2018, 267, 164–170. [Google Scholar] [CrossRef] [PubMed] [PubMed Central]
- Bennett, K.G.; Qi, J.; Kim, H.M.; Hamill, J.B.; Pusic, A.L.; Wilkins, E.G. Comparison of 2-Year Complication Rates Among Common Techniques for Postmastectomy Breast Reconstruction. JAMA Surg. 2018, 153, 901–908. [Google Scholar] [CrossRef] [PubMed] [PubMed Central]





| Clinical Demographic Data | Values |
|---|---|
| No. of patients | 25 |
| No. of breasts (Ref.) | 50 |
| Diagnosis | |
| IDC/ILC: n (%) | 14, t11/3 (28) |
| DCIS/LCIS: n (%) | 8 (16) |
| Risk reducing (BRCA-1, BRCA-2, high risk): n (%) | 24–6/7/11 (48) |
| Others (siliconome, fat necrosis): n (%) | 4 (8) |
| Mean age at mastectomy ± SD: (yr) | 48 ± 8 |
| Mastectomy type: n (%) | |
| NSM | 34 (68) |
| SSM | 4 (8) |
| SRM (with NAC preservation/without NAC preservation) | 12–6/6 (24) |
| Mean mastectomy weight ± SD: (g) | 320 ± 170 |
| Mean BMI ± SD: (kg/m2) | |
| At mastectomy | 23 ± 4 |
| Before first session of FG | 24 ± 4 |
| After final reconstruction | 24 ± 4 |
| Treatment-Related Data | Values |
|---|---|
| Additional treatment: n patients (%) | |
| Hormonal therapy/immunotherapy | 11 (44) |
| Chemotherapy | 10 (40) |
| Adjuvant | 6 (24) |
| Neo-adjuvant | 4 (16) |
| Reverse expansion, i.e., >1 fat grafting session: n patients (%) | 22 (88) |
| Mean number of FG sessions ± SD: n | 2.5 ± 0.6 |
| Mean volume of fat injected per breast ± SD (mL) | 170 ± 60 |
| Type of final implant | |
| Round ergonomic (Motiva, Establishment Labs): n (%) | 38 (76) |
| Anatomical (Polytech Health & Aesthetics): n (%) | 12 (24) |
| Mean volume of final implant ± SD: (mL) | 360 ± 90 |
| Mean time between surgical stages ± SD: (months) | |
| Mastectomy to first AFG session | 5.8 ± 3.3 |
| First to second AFG session | 4.1 ± 1.5 |
| Second to third AFG session | 5.2 ± 3.0 |
| Third to fourth AFG session | 3.0 ± 0.0 |
| Mean duration of reconstructive procedure ± SD: (months) | 12 ± 5 |
| Mean follow-up time ± SD: (months) | 17 ± 8 |
| Use of synthetic mesh: n (%) | |
| None | 38 (76) |
| Inner bra (TILOOP Bra Pocket, pfm medical) | 12 (24) |
| Type of Complication | Values n (%) |
|---|---|
| General complications requiring surgical intervention | 8 (16) |
| Hematoma | 1 (2) |
| Infection | 2 (4) |
| Expander rupture | 3 (6) |
| Seroma | 0 (0) |
| Volume asymmetry | 1 (2) |
| Unaesthetic scar | 1 (2) |
| Implant-related complications (two breasts required surgical revision) | |
| Breast animation | 0 (0) |
| Rippling | 2 (4) |
| Grade of capsular contracture | |
| IA | 38 (76) |
| IB | 10 (20) |
| II | 2 (4) |
| III | 0 (0) |
| IV | 0 (0) |
| Fat grafting-related complication (one breast required biopsy) | |
| Painful nodule of fat necrosis | 1 (2) |
Disclaimer/Publisher’s Note: The statements, opinions and data contained in all publications are solely those of the individual author(s) and contributor(s) and not of MDPI and/or the editor(s). MDPI and/or the editor(s) disclaim responsibility for any injury to people or property resulting from any ideas, methods, instructions or products referred to in the content. |
© 2025 by the authors. Licensee MDPI, Basel, Switzerland. This article is an open access article distributed under the terms and conditions of the Creative Commons Attribution (CC BY) license (https://creativecommons.org/licenses/by/4.0/).
Share and Cite
Costa, L.; Weinzierl, A.; Andreoli, S.; Schiaffino, S.; Catanese, C.M.L.; Harder, Y. Repeated Autologous Fat Grafting Significantly Increases Mastectomy Flap Thickness in Pre-Pectoral Multi-Stage Composite Expander-to-Implant Breast Reconstruction: Exploring the Concept of a Reverse Expansion. J. Clin. Med. 2025, 14, 337. https://doi.org/10.3390/jcm14020337
Costa L, Weinzierl A, Andreoli S, Schiaffino S, Catanese CML, Harder Y. Repeated Autologous Fat Grafting Significantly Increases Mastectomy Flap Thickness in Pre-Pectoral Multi-Stage Composite Expander-to-Implant Breast Reconstruction: Exploring the Concept of a Reverse Expansion. Journal of Clinical Medicine. 2025; 14(2):337. https://doi.org/10.3390/jcm14020337
Chicago/Turabian StyleCosta, Lorenzo, Andrea Weinzierl, Stefano Andreoli, Simone Schiaffino, Carola M. L. Catanese, and Yves Harder. 2025. "Repeated Autologous Fat Grafting Significantly Increases Mastectomy Flap Thickness in Pre-Pectoral Multi-Stage Composite Expander-to-Implant Breast Reconstruction: Exploring the Concept of a Reverse Expansion" Journal of Clinical Medicine 14, no. 2: 337. https://doi.org/10.3390/jcm14020337
APA StyleCosta, L., Weinzierl, A., Andreoli, S., Schiaffino, S., Catanese, C. M. L., & Harder, Y. (2025). Repeated Autologous Fat Grafting Significantly Increases Mastectomy Flap Thickness in Pre-Pectoral Multi-Stage Composite Expander-to-Implant Breast Reconstruction: Exploring the Concept of a Reverse Expansion. Journal of Clinical Medicine, 14(2), 337. https://doi.org/10.3390/jcm14020337

