Caries Experience and Oral Health-Related Habits in Blind and Low-Vision Individuals in Croatia
Abstract
1. Introduction
2. Materials and Methods
3. Results
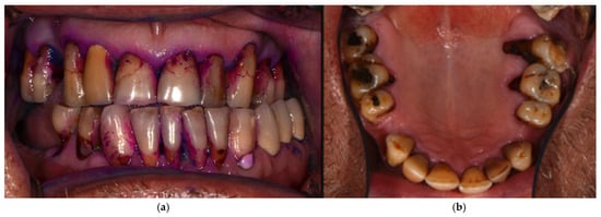
3.1. Caries Experience in Study and Control Groups
3.2. Study Group Comparison in DMFT by Categories of Visual Impairment, Sex, Age, Place of Residence, and Education
3.3. Oral Health-Related Habits—Questionnaire Results
3.4. Correlation of DMFT with Oral Health-Related Habits
4. Discussion
4.1. Caries Experience
4.2. Questionnaire Results on Oral Health-Related Habits
5. Conclusions
Supplementary Materials
Author Contributions
Funding
Institutional Review Board Statement
Informed Consent Statement
Data Availability Statement
Acknowledgments
Conflicts of Interest
Abbreviations
| D | Number of decayed teeth |
| DMFT | Decayed, Missing, and Filled Teeth |
| F | Number of filled teeth |
| ICC | Intraclass Correlation Coefficient |
| M | Number of missing teeth |
| UK | United Kingdom |
| WHO | World Health Organization |
References
- World Health Organization. Constitution. Available online: https://www.who.int/about/governance/constitution (accessed on 20 August 2021).
- Watt, R.G.; Listl, S.; Peres, M.; Heilmann, A. Social Inequalities in Oral Health: From Evidence to Action; UCL: London, UK, 2015; pp. 1–44. [Google Scholar]
- Larkin, M. Vulnerable Groups in Health and Social Care; SAGE Publications Ltd.: Thousand Oaks, CA, USA, 2009; pp. 1–208. [Google Scholar]
- World Health Organization. Blindness and Vision Impairment. Available online: https://www.who.int/news-room/fact-sheets/detail/blindness-and-visual-impairment (accessed on 24 February 2025).
- University of Pittsburgh, Department of Ophtalmology. What Is Vision Impairment? Available online: https://ophthalmology.pitt.edu/vision-impairment/what-vision-impairment (accessed on 24 February 2025).
- European Blind Union. About Blindness and Partial Sight. Available online: https://www.euroblind.org/about-blindness-and-partial-sight/facts-and-figures (accessed on 25 February 2025).
- Croatian Institute of Public Health. Register on Persons with Disabilities (Excel Table); Division for Public Health, Department for Health Protection of Vulnerable Groups: Zagreb, Croatia, 2024. [Google Scholar]
- Klauke, S.; Sondocie, C.; Fine, I. The Impact of Low Vision on Social Function: The Potential Importance of Lost Visual Social Cues. J. Optom. 2023, 16, 3–11. [Google Scholar] [CrossRef]
- National Academies of Sciences, Engineering, and Medicine; Health and Medicine Division; Board on Population Health and Public Health Practice; Committee on Public Health Approaches to Reduce Vision Impairment and Promote Eye Health. Making Eye Health a Population Health Imperative: Vision for Tomorrow; Welp, A., Woodbury, R.B., McCoy, M.A., Teutsch, S.M., Eds.; National Academies Press: Washington, DC, USA, 2016. [Google Scholar]
- World Health Organization. Global Report on Health Equity for Persons with Disabilities. Available online: https://www.who.int/teams/noncommunicable-diseases/sensory-functions-disability-and-rehabilitation/global-report-on-health-equity-for-persons-with-disabilities (accessed on 25 February 2025).
- Rocha, L.L.; De Lima Saintrain, M.V.; Vieira-Meyer, A.P.G.F. Access to Dental Public Services by Disabled Persons. BMC Oral Health 2015, 15, 35. [Google Scholar] [CrossRef]
- da Rosa, S.V.; Moysés, S.J.; Theis, L.C.; Soares, R.C.; Moysés, S.T.; Werneck, R.I.; Rocha, J.S. Barriers in Access to Dental Services Hindering the Treatment of People with Disabilities: A Systematic Review. Int. J. Dent. 2020, 2020, 9074618. [Google Scholar] [CrossRef]
- Ummer-Christian, R.; Iacono, T.; Grills, N.; Pradhan, A.; Hughes, N.; Gussy, M. Access to Dental Services for Children with Intellectual and Developmental Disabilities—A Scoping Review. Res. Dev. Disabil. 2018, 74, 1–13. [Google Scholar] [CrossRef]
- Lim, M.A.W.T.; Liberali, S.A.C.; Calache, H.; Parashos, P.; Borromeo, G.L. Perceived Barriers Encountered by Oral Health Professionals in the Australian Public Dental System Providing Dental Treatment to Individuals with Special Needs. Spec. Care Dent. 2021, 41, 381–390. [Google Scholar] [CrossRef]
- United Nations. Convention on the Rights of Persons with Disabilities and Optional Protocol; United Nations: New York, NY, USA, 2006; Available online: https://www.un.org/disabilities/documents/convention/convoptprot-e.pdf (accessed on 24 February 2025).
- Faulks, D.; Freedman, L.; Thompson, S.; Sagheri, D.; Dougall, A. The Value of Education in Special Care Dentistry as a Means of Reducing Inequalities in Oral Health. Eur. J. Dent. Educ. 2012, 16, 195–201. [Google Scholar]
- Dougall, A.; Pani, S.C.; Thompson, S.; Faulks, D.; Romer, M.; Nunn, J. Developing a Dental Undergraduate Curriculum in Special Care Dentistry—By Consensus. Eur. J. Dent. Educ. 2013, 17, 46–56. [Google Scholar]
- Thompson, S.; Griffiths, J.; Hunter, L.; Jagger, R.; Korszun, A.; McLaughlin, W. Development of an Undergraduate Curriculum in Special Care Dentistry. J. Disab. Oral Health 2001, 2, 71–77. [Google Scholar]
- López, M.A.B.; Freitas, M.D.; Posse, J.L.; Hernández-Vallejo, G.; López-Pintor, R.M. Oral Health Status and Dental Care for Individuals with Visual Impairment: A Narrative Review. Spec. Care Dent. 2023, 43, 221–231. [Google Scholar]
- Watson, E.K.; Moles, D.R.; Kumar, N.; Porter, S.R. The Oral Health Status of Adults with a Visual Impairment, Their Dental Care and Oral Health Information Needs. Br. Dent. J. 2010, 208, E15. [Google Scholar]
- Schembri, A.; Borg, W.; Santucci, D.; Attard, N. The Impact of Blindness on the Oral Health and the Perceived Need to Seek Treatment in a Community of Maltese Older Adults. Biomed. J. Sci. Tech. Res. 2018, 5, 4621–4629. [Google Scholar]
- John, J.R.; Daniel, B.; Paneerselvam, D.; Rajendran, G. Prevalence of Dental Caries, Oral Hygiene Knowledge, Status, and Practices Among Visually Impaired Individuals in Chennai, Tamil Nadu. Int. J. Dent. 2017, 2017, 9419648. [Google Scholar] [CrossRef]
- Schembri, A.; Fiske, J. The Implications of Visual Impairment in an Elderly Population in Recognizing Oral Disease and Maintaining Oral Health. Spec. Care Dent. 2001, 21, 222–226. [Google Scholar]
- Lim, H.J.; Im, A.; Cho, H.A. The Association Between Visual Impairment and Dental Care Utilization in the Korean Elderly. Arch. Gerontol. Geriatr. 2019, 81, 18–24. [Google Scholar]
- Vozza, I.; Luisa, B.; Corridore, D.; Salvatore, S.; Francesco, O.D.; Guerra, F.; Ottolenghi, L. Oral Hygiene Management in Patients with Visual Sensory Disabilities. Senses Sci. 2016, 3, 215–220. [Google Scholar]
- Alshatrat, S.; AL Bakri, I.; AL Omari, W.; Tabnjh, A. Oral Health Knowledge, Behaviour, and Access to Dental Care in Visually Impaired Individuals in Jordan: A Case-Control Study. Open Dent. J. 2021, 15, 33–40. [Google Scholar]
- Fantaye, W.; Nur, A.; Kifle, G.; Engida, F. Oral Health Knowledge and Oral Hygiene Practice Among Visually Impaired Subjects in Addis Ababa, Ethiopia. BMC Oral Health 2022, 22, 167. [Google Scholar] [CrossRef]
- World Health Organization. Global Strategy and Action Plan on Oral Health 2023–2030. Available online: https://www.who.int/publications/i/item/9789240090538 (accessed on 1 July 2025).
- Denis, F.; Clement, C. Oral Health: A Major Global Public Health Concern. J. Clin. Med. 2025, 14, 4101. [Google Scholar] [CrossRef]
- Dumančić, J.; Čuković-Bagić, I.; Lončar Brzak, B.; Negovetić Vranić, D. Caries Prevalence in Blind and Visually Impaired Individuals in Croatia. Int. Dent. J. 2015, 65, 166. [Google Scholar]
- Dumančić, J. Promocija Oralnog Zdravlja Slijepih i Slabovidnih Osoba: Projekt Stomatološkog Fakulteta Sveučilišta u Zagrebu. Available online: https://www.vecernji.hr/lifestyle/promocija-oralnog-zdravlja-slijepih-i-slabovidnih-osoba-1222851 (accessed on 22 February 2023).
- World Health Organization. Oral Health Surveys: Basic Methods; WHO: Geneva, Switzerland, 2013; Available online: https://iris.who.int/bitstream/handle/10665/97035/9789241548649_eng.pdf?sequence=1 (accessed on 22 February 2023).
- Maciel, M.A.S.; Cordeiro, P.M.; d’Ávila, S.; Godoy, G.P.; Alves, R.D.; Lins, R.D.A.U. Assessing the Oral Condition of Visually Impaired Individuals Attending the Paraíba Institute of the Blind. Rev. Odonto Cienc. 2009, 24, 354–360. [Google Scholar]
- Garbin, C.A.S.; Bottós, A.M.; Ortega, M.M.; Garbin, A.J.I.; Moimaz, S.A.S. Perception and Oral Health Status of Visually Impaired People in the City of São José do Rio Preto—São Paulo. Res. Soc. Dev. 2021, 10, e47210817499. [Google Scholar] [CrossRef]
- Chan, A.K.Y.; Tamrakar, M.; Jiang, C.M.; Lo, E.C.M.; Leung, K.C.M.; Chu, C.H. A Systematic Review on Caries Status of Older Adults. Int. J. Environ. Res. Public Health 2021, 18, 10662. [Google Scholar] [CrossRef]
- Lee, J.K.Y.; Yuen, A.W.T.; Leung, K.P.Y.; Li, J.T.W.; Bae, S.Y.; Chan, Y.Y.; Ip, C.K.; Lau, S.H.; Lau, Y.N.; Lo, H.Y.; et al. Oral Health Status and Oral Health-Related Behaviours of Hong Kong Students with Vision Impairment. Healthcare 2024, 12, 391. [Google Scholar] [CrossRef]
- Selwitz, R.H.; Ismail, A.I.; Pitts, N.B. Dental Caries. Lancet 2007, 369, 51–59. [Google Scholar]
- Beklen, A.; Sali, N.; Yavuz, M.B. The Impact of Smoking on Periodontal Status and Dental Caries. Tob. Induc. Dis. 2022, 20, 72. [Google Scholar] [CrossRef]
- Kongstad, J.; Ekstrand, K.; Qvist, V.; Christensen, L.B.; Cortsen, B.; Grønbaek, M.; Holm-Pedersen, P.; Holmstrup, P.; Bardow, A.; Twetman, S.; et al. Findings from the Oral Health Study of the Danish Health Examination Survey 2007–2008. Acta Odontol. Scand. 2013, 71, 1560–1569. [Google Scholar] [CrossRef]
- Skaleric, E.; Fidler, A.; Skaleric, U. A Longitudinal Study of DMFT Counts in a Population of Ljubljana over a Thirty Year Period. Oral Health Prev. Dent. 2020, 18, 693–699. [Google Scholar] [CrossRef]
- World Bank. Macro Poverty Outlook for Croatia: April 2025. Available online: https://thedocs.worldbank.org/en/doc/d5f32ef28464d01f195827b7e020a3e8-0500022021/related/mpo-hrv.pdf (accessed on 24 April 2025).
- Axelsson, P. Preventive Materials, Methods and Programs; Quintessence Publishing: Carol Stream, IL, USA, 2004; p. 651. [Google Scholar]
- Simon, F.; Szabó, G.; Orsós, M.; Mijiritsky, E.; Németh, O. The Effectiveness of Individualized Oral Hygiene Education in Preventing Dental Diseases: A Clinical Study. J. Clin. Med. 2024, 13, 5481. [Google Scholar] [CrossRef]
- Scambler, S.; Curtis, S.A. Contextualising Disability and Dentistry: Challenging Perceptions and Removing Barriers. Br. Dent. J. 2019, 227, 55–57. [Google Scholar] [CrossRef]
- Alamri, H. Oral Care for Children with Special Healthcare Needs in Dentistry: A Literature Review. J. Clin. Med. 2022, 11, 5557. [Google Scholar] [CrossRef]
- Phlypo, I.; Palmers, E.; Janssens, L.; Marks, L.; Jacquet, W.; Declerck, D. The perception of oral health and oral care needs, barriers and current practices as perceived by managers and caregivers in organizations for people with disabilities in Flanders, Belgium. Clin. Oral. Investig. 2020, 24, 2061–2070. [Google Scholar] [CrossRef]
- Bhadauria, U.S.; Purohit, B.; Priya, H. Access to Dental Care in Individuals with Disability: A Systematic Review. Evid. Based Dent. 2024, 25, 111. [Google Scholar] [CrossRef]
- Vahdati, A.; Khadivi, G.; Ghorbani, Z.; Vahdati Helan, E.; Ranjbar, A.; Azimi, S. Accessibility of Special Care Dentistry Across Countries: A Scoping Review. Healthcare 2024, 12, 2376. [Google Scholar] [CrossRef]
- Phadraig, C.M.G.; Nunn, J.H.; Tornsey, O.; Timms, M. Does Special Care Dentistry undergraduate teaching improve dental student attitudes towards people with disabilities? Eur. J. Dent. Educ. 2015, 19, 107–112. [Google Scholar] [CrossRef]
- Sigal, J.M. Mount Sinai Hospital Dental Program for Persons with Disabilities: Role in Undergraduate Dental Education. J. Can. Dent. Assoc. 2010, 76, a8. [Google Scholar]
- Schnabl, D.; Strohm, M.M.; Schummer, P.E.; Sigwart, L.; Kapferer-Seebacher, I. Retrospective Evaluation of 20 Years of Outpatient Dental Services to Adults with Disabilities at the Dental Hospitals of the Medical University of Innsbruck, Austria. Healthcare 2024, 12, 503. [Google Scholar] [CrossRef]
- Dumančić, J.; Savić Pavičin, I.; Lončar Brzak, B.; Čuković-Bagić, I.; Kurpez, T. Dental Anxiety in Blind and Visually Impaired Individuals in Croatia. Community Dent. Health 2024, 41, S46–S47. [Google Scholar] [CrossRef]


| Visual Impairment Category | Age of Onset | Blind | Low Vision |
|---|---|---|---|
| Blindness | At birth | 8 | 0 |
| Progressive visual impairment | At birth | 18 | 11 |
| 3–10 years | 5 | 4 | |
| 11–20 years | 5 | 5 | |
| 21–30 years | 3 | 2 | |
| 31–40 years | 3 | 3 | |
| 41–50 years | 1 | 3 | |
| 51–65 years | 5 | 2 | |
| 66+ years | 2 | 3 | |
| No answer | 0 | 2 | |
| Total | 50 | 35 |
| N | % | ||
|---|---|---|---|
| Study Group | Blind | 50 | 58.8 |
| Low vision | 35 | 41.2 | |
| Sex | Male Female | 43 42 | 50.6 49.4 |
| Age groups (Years) | 18–34 | 21 | 24.7 |
| 35–44 | 9 | 10.6 | |
| 45–64 | 25 | 29.4 | |
| 65–74 | 22 | 25.9 | |
| 75+ | 8 | 9.4 | |
| Place of residence | Urban | 70 | 82.4 |
| Peri urban | 10 | 11.8 | |
| Rural | 5 | 5.9 | |
| Education level | No formal schooling | 0 | 0.0 |
| Unfinished primary school | 1 | 1.2 | |
| Primary school | 9 | 10.6 | |
| Secondary school | 44 | 51.8 | |
| High school (gymnasium) | 5 | 5.9 | |
| College/University Postgraduate (MS/PhD) | 23 3 | 27.1 3.5 |
| Percentile | ||||||||||
|---|---|---|---|---|---|---|---|---|---|---|
| Group | N | Mean | SD | Min | Max | 25th | 50th (Median) | 75th | p | |
| D | Study | 85 | 1.7 | 2.0 | 0.0 | 12.0 | 0.0 | 1.0 | 3.0 | 0.85 |
| Control | 85 | 1.8 | 2.1 | 0.0 | 9.0 | 0.0 | 1.0 | 3.0 | ||
| F | Study | 85 | 6.7 | 5.3 | 0.0 | 19.0 | 2.0 | 6.0 | 10.0 | 0.63 |
| Control | 85 | 6.1 | 4.9 | 0.0 | 17.0 | 2.0 | 5.0 | 10.0 | ||
| M | Study | 85 | 8.6 | 8.1 | 0.0 | 32.0 | 2.0 | 7.0 | 14.0 | 0.69 |
| Control | 85 | 8.4 | 8.5 | 0.0 | 32.0 | 1.0 | 7.0 | 11.5 | ||
| DMFT | Study | 85 | 17.1 | 7.0 | 1.0 | 32.0 | 12.5 | 17.0 | 22.0 | 0.55 |
| Control | 85 | 16.4 | 6.9 | 0.0 | 32.0 | 12.0 | 16.0 | 21.0 | ||
| D | F | M | DMFT | ||
|---|---|---|---|---|---|
| Median (IQR) | Median (IQR) | Median (IQR) | Median (IQR) | ||
| Study Group 1 | Blind (n = 50) | 1.0 (0.0–3.0) | 6.0 (1.7–11.0) | 6.5 (2.0–14.0) | 17.0 (12.7–22.2) |
| Low vision (n = 35) | 1.0 (0.0–2.0) | 7.0 (2.0–10.0) | 7.0 (1.0–15.0) | 17.0 (12.0–22.0) | |
| p | 0.621 | 0.754 | 0.890 | 0.947 | |
| Sex 1 | Male (n = 43) | 1.0 (0.0–3.0) | 7.0 (2.0–11.0) | 7.0 (3.0–15.0) | 18.0 (14.0–23.0) |
| Female (n = 42) | 1.0 (0.0–3.0) | 6.0 (1.0–9.2) | 5.5 (1.0–12.2) | 16.0 (11.0–20.0) | |
| p | 0.595 | 0.402 | 0.354 | 0.177 | |
| Age Groups 2 (yrs) | 18–34 (n = 21) | 2.0 (0.0–4.5) | 7.0 (2.5–8.5) | 0.0 (0.0–2.0) | 11.0 (5.0–14.5) |
| 35–44 (n = 9) | 1.0 (1.0–2.5) | 7.0 (4.0–13.0) | 4.0 (1.0–7.5) | 16.0 (11.5–18.5) | |
| 45–64 (n = 25) | 2.0 (0.0–3.0) | 10.0 (2.0–13.0) | 9.0 (3.0–11.0) | 20.0 (15.0–23.0) | |
| 65–74 (n = 22) | 1.0 (0.0–2.2) | 4.5 (0.0–9.2) | 14.5 (6.7–16.2) | 17.5 (15.5–22.5) | |
| 75+ (n = 8) | 0.0 (0.0–0.7) | 2.5 (0.0–9.7) | 22.0 (10.5–25.7) | 25.0 (22.5–29.7) | |
| p | 0.151 | 0.076 | <0.001 | <0.001 | |
| Place of residence 2 | Urban (n = 70) | 1.0 (0.0–2.2) | 6.5 (2.0–11.0) | 6.0 (2.0–13.0) | 17.0 (12.7–20.0) |
| Periurban (n = 10) | 2.0 (0.7–3.5) | 6.0 (1.5–8.2) | 10.0 (3.0–20.2) | 23.0 (11.7–25.0) | |
| Rural (n = 5) | 2.0 (0.5–5.5) | 10.0 (0.0–10.5) | 9.0 (4.5–18.0) | 19.0 (14.5–25.5) | |
| p | 0.192 | 0.753 | 0.407 | 0.337 | |
| Education level 2 | Primary school (n = 9) | 2.0 (0.5–5.0) | 0.0 (0.0–8.0) | 15.0 (1.5–23.5) | 17.0 (14.5–25.5) |
| Secondary school (n = 44) | 1.0 (0.0–2.7) | 6.0 (2.0–10.7) | 9.0 (5.0–13.0) | 18.0 (14.2–22.0) | |
| High school/Gymnasium (n = 5) | 0.0 (0.0–2.5) | 7.0 (3.5–8.0) | 0.0 (0.0–2.0) | 8.0 (4.00–11.50) | |
| College/University (n = 23) | 2.0 (0.0–3.0) | 8.0 (1.0–13.0) | 3.0 (0.0–14.0) | 16.0 (11.0–23.0) | |
| Postgraduate (MS/PhD) (n = 3) | 2.0 (0.0–3.0) | 7.0 (6.0–14.0) | 3.0 (2.0–10.0) | 17.0 (11.0–19.0) | |
| p | 0.589 | 0.303 | 0.078 | 0.069 |
| Study Group | Control Group | |||||
|---|---|---|---|---|---|---|
| N | % | N | % | p | ||
| Toothache or discomfort during past 12 months | No answers | 0 | 0.0% | 0 | 0.0% | 0.323 |
| Yes (often, occasionally, rarely) | 49 | 57.6% | 58 | 68.2% | ||
| Never | 34 | 40.0% | 25 | 29.4% | ||
| Do not know | 2 | 2.4% | 2 | 2.4% | ||
| Frequency of toothbrushing | Never | 1 | 1.2% | 0 | 0.0% | 0.505 |
| Once a month | 0 | 0.0% | 0 | 0.0% | ||
| 2–3 times a month | 0 | 0.0% | 0 | 0.0% | ||
| Once a week | 1 | 1.2% | 0 | 0.0% | ||
| 2–6 times a week | 3 | 3.5% | 1 | 1.2% | ||
| Once a day | 18 | 21.2% | 22 | 25.9% | ||
| 2 or more times a day | 62 | 72.9% | 62 | 72.9% | ||
| Use of fluoridated toothpaste | Yes | 48 | 56.5% | 22 | 25.9% | <0.001 |
| No | 5 | 5.9% | 7 | 8.2% | ||
| Do not know | 32 | 37.6% | 56 | 65.9% | ||
| Use of dental floss | Yes | 24 | 28.2% | 33 | 38.8% | 0.193 |
| No | 61 | 71.8% | 52 | 61.2% | ||
| Last visit to the dentist | <6 months | 35 | 41.2% | 42 | 49.4% | 0.157 |
| 6–12 months | 18 | 21.2% | 19 | 22.4% | ||
| 1–2 years | 17 | 20.0% | 9 | 10.6% | ||
| 2–5 years | 7 | 8.2% | 12 | 14.1% | ||
| >5 years | 8 | 9.4% | 3 | 3.5% | ||
| No visit | 0 | 0.0% | 0 | 0.0% | ||
| Reason of the last visit to the dentist | Consultation/advise | 6 | 7.1% | 5 | 5.9% | 0.798 |
| Pain/troubles with teeth or gums | 32 | 37.6% | 27 | 31.8% | ||
| Dental treatment or ongoing treatment | 32 | 37.6% | 38 | 44.7% | ||
| Regular dental visit | 15 | 17.6% | 14 | 16.5% | ||
| Do not know/Do not remember | 0 | 0.0% | 1 | 1.2% |
| Study Group | Control Group | |||||
|---|---|---|---|---|---|---|
| N | % | N | % | p | ||
| Fresh fruits | Never | 1 | 1.2% | 1 | 1.2% | 0.788 |
| Several times per month | 7 | 8.2% | 8 | 9.4% | ||
| Once per week | 4 | 4.7% | 5 | 5.9% | ||
| Several times per week | 23 | 27.1% | 30 | 35.3% | ||
| Every day | 40 | 47.1% | 35 | 41.2% | ||
| Several times per day | 10 | 11.8% | 6 | 7.1% | ||
| Biscuits, cakes | Never | 5 | 5.9% | 9 | 10.6% | 0.869 |
| Several times per month | 21 | 24.7% | 19 | 22.4% | ||
| Once per week | 13 | 15.3% | 14 | 16.5% | ||
| Several times per week | 30 | 35.3% | 26 | 30.6% | ||
| Every day | 15 | 17.6% | 15 | 17.6% | ||
| Several times per day | 1 | 1.2% | 2 | 2.4% | ||
| Pies, buns | Never | 12 | 14.3% | 11 | 12.9% | 0.758 |
| Several times per month | 28 | 33.3% | 26 | 30.6% | ||
| Once per week | 12 | 14.3% | 19 | 22.4% | ||
| Several times per week | 25 | 29.8% | 22 | 25.9% | ||
| Every day | 7 | 8.3% | 7 | 8.2% | ||
| Several times per day | 0 | 0.0% | 0 | 0.0% | ||
| Jam, honey | Never | 14 | 16.5% | 22 | 25.9% | 0.146 |
| Several times per month | 29 | 34.1% | 25 | 29.4% | ||
| Once per week | 5 | 5.9% | 12 | 14.1% | ||
| Several times per week | 21 | 24.7% | 15 | 17.6% | ||
| Every day | 16 | 18.8% | 11 | 12.9% | ||
| Several times per day | 0 | 0.0% | 0 | 0.0% | ||
| Chewing gum (containing sugar) | Never | 57 | 67.1% | 67 | 78.8% | 0.219 |
| Several times per month | 14 | 16.5% | 8 | 9.4% | ||
| Once per week | 2 | 2.4% | 4 | 4.7% | ||
| Several times per week | 8 | 9.4% | 5 | 5.9% | ||
| Every day | 3 | 3.5% | 0 | 0.0% | ||
| Several times per day | 1 | 1.2% | 1 | 1.2% | ||
| Sweets, candies | Never | 21 | 24.7% | 20 | 23.5% | 0.616 |
| Several times per month | 30 | 35.3% | 23 | 27.1% | ||
| Once per week | 5 | 5.9% | 10 | 11.8% | ||
| Several times per week | 19 | 22.4% | 21 | 24.7% | ||
| Every day | 10 | 11.8% | 10 | 11.8% | ||
| Several times per day | 0 | 0.0% | 1 | 1.2% | ||
| Soft drinks, lemonade | Never | 25 | 29.4% | 29 | 34.1% | 0.442 |
| Several times per month | 32 | 37.6% | 24 | 28.2% | ||
| Once per week | 3 | 3.5% | 8 | 9.4% | ||
| Several times per week | 19 | 22.4% | 17 | 20.0% | ||
| Every day | 6 | 7.1% | 6 | 7.1% | ||
| Several times per day | 0 | 0.0% | 1 | 1.2% | ||
| Milk with sugar | Never | 70 | 82.4% | 70 | 82.4% | 0.138 |
| Several times per month | 8 | 9.4% | 2 | 2.4% | ||
| Once per week | 1 | 1.2% | 2 | 2.4% | ||
| Several times per week | 4 | 4.7% | 3 | 3.5% | ||
| Every day | 2 | 2.4% | 6 | 7.1% | ||
| Several times per day | 0 | 0.0% | 2 | 2.4% | ||
| Tea/coffee with sugar | Never | 43 | 50.6% | 58 | 68.2% | 0.152 |
| Several times per month | 16 | 18.8% | 9 | 10.6% | ||
| Once per week | 6 | 7.1% | 2 | 2.4% | ||
| Several times per week | 11 | 12.9% | 8 | 9.4% | ||
| Every day | 9 | 10.6% | 8 | 9.4% | ||
| Several times per day | 0 | 0.0% | 0 | 0.0% | ||
| Study Group | Control Group | |||||
|---|---|---|---|---|---|---|
| N | % | N | % | p | ||
| Tobacco use | Never | 69 | 81.2% | 61 | 71.8% | 0.554 |
| Rarely | 0 | 0.0% | 1 | 1.2% | ||
| Several times per month | 1 | 1.2% | 1 | 1.2% | ||
| Once per week | 0 | 0.0% | 1 | 1.2% | ||
| Several times per week | 0 | 0.0% | 0 | 0.0% | ||
| Every day | 15 | 17.6% | 21 | 24.7% | ||
| Alcohol use per day | <1 drink | 4 | 4.7% | 1 | 1.2% | 0.399 |
| One drink | 21 | 24.7% | 27 | 31.8% | ||
| Two drinks | 15 | 17.6% | 10 | 11.8% | ||
| Three drinks | 8 | 9.4% | 11 | 12.9% | ||
| Four drinks | 1 | 1.2% | 4 | 4.7% | ||
| >5 drinks | 4 | 4.7% | 2 | 2.4% | ||
| No alcohol during past month | 32 | 37.6% | 30 | 35.3% | ||
| D | F | M | DMFT | ||
|---|---|---|---|---|---|
| Toothache or discomfort during past 12 months | Correlation Coefficient | 0.082 | −0.105 | −0.133 | −0.098 |
| p | 0.460 | 0.346 | 0.231 | 0.379 | |
| Frequency of toothbrushing | Correlation Coefficient | −0.070 | −0.082 | −0.061 | −0.093 |
| p | 0.526 | 0.456 | 0.577 | 0.397 | |
| Fluoridated toothpaste | Correlation Coefficient | 0.056 | −0.134 | 0.198 | 0.139 |
| p | 0.608 | 0.221 | 0.070 | 0.204 | |
| Last visit to dentist | Correlation Coefficient | 0.003 | −0.453 | 0.114 | −0.103 |
| p | 0.976 | 0.000 *** | 0.297 | 0.347 | |
| Reason of dental visit | Correlation Coefficient | −0.269 | 0.207 | −0.245 | −0.115 |
| p | 0.013 * | 0.058 | 0.024 * | 0.295 | |
| Fresh fruit | Correlation Coefficient | −0.135 | −0.049 | 0.026 | −0.027 |
| p | 0.218 | 0.655 | 0.817 | 0.807 | |
| Biscuits, cakes | Correlation Coefficient | 0.024 | 0.163 | 0.021 | 0.041 |
| p | 0.830 | 0.135 | 0.849 | 0.711 | |
| Pies, buns | Correlation Coefficient | 0.183 | 0.103 | 0.025 | 0.033 |
| p | 0.095 | 0.353 | 0.823 | 0.766 | |
| Jam, honey | Correlation Coefficient | −0.071 | −0.062 | 0.148 | 0.113 |
| p | 0.516 | 0.571 | 0.177 | 0.304 | |
| Chewing gum (containing sugar) | Correlation Coefficient | 0.045 | 0.080 | −0.205 | −0.186 |
| p | 0.684 | 0.469 | 0.060 | 0.089 | |
| Sweets, candies | Correlation Coefficient | 0.113 | −0.023 | 0.165 | 0.156 |
| p | 0.305 | 0.835 | 0.132 | 0.155 | |
| Soft drinks, lemonade | Correlation Coefficient | 0.374 | 0.015 | −0.110 | −0.042 |
| p | 0.000 *** | 0.890 | 0.318 | 0.703 | |
| Milk with sugar | Correlation Coefficient | −0.082 | −0.009 | 0.195 | 0.144 |
| p | 0.456 | 0.938 | 0.073 | 0.190 | |
| Coffee/Tea with sugar | Correlation Coefficient | −0.036 | 0.008 | 0.105 | 0.096 |
| p | 0.745 | 0.944 | 0.339 | 0.383 | |
| Smoking | Correlation Coefficient | 0.265 | −0.031 | −0.031 | −0.023 |
| p | 0.014 * | 0.779 | 0.780 | 0.837 | |
| Alcohol | Correlation Coefficient | 0.015 | −0.124 | −0.037 | −0.018 |
| p | 0.892 | 0.258 | 0.734 | 0.870 |
Disclaimer/Publisher’s Note: The statements, opinions and data contained in all publications are solely those of the individual author(s) and contributor(s) and not of MDPI and/or the editor(s). MDPI and/or the editor(s) disclaim responsibility for any injury to people or property resulting from any ideas, methods, instructions or products referred to in the content. |
© 2025 by the authors. Licensee MDPI, Basel, Switzerland. This article is an open access article distributed under the terms and conditions of the Creative Commons Attribution (CC BY) license (https://creativecommons.org/licenses/by/4.0/).
Share and Cite
Dumančić, J.; Radić Vuleta, M.; Lončar Brzak, B.; Savić Pavičin, I.; Kurpez, T.; Striber, N.; Čuković-Bagić, I. Caries Experience and Oral Health-Related Habits in Blind and Low-Vision Individuals in Croatia. J. Clin. Med. 2025, 14, 5576. https://doi.org/10.3390/jcm14155576
Dumančić J, Radić Vuleta M, Lončar Brzak B, Savić Pavičin I, Kurpez T, Striber N, Čuković-Bagić I. Caries Experience and Oral Health-Related Habits in Blind and Low-Vision Individuals in Croatia. Journal of Clinical Medicine. 2025; 14(15):5576. https://doi.org/10.3390/jcm14155576
Chicago/Turabian StyleDumančić, Jelena, Marijana Radić Vuleta, Božana Lončar Brzak, Ivana Savić Pavičin, Tara Kurpez, Neda Striber, and Ivana Čuković-Bagić. 2025. "Caries Experience and Oral Health-Related Habits in Blind and Low-Vision Individuals in Croatia" Journal of Clinical Medicine 14, no. 15: 5576. https://doi.org/10.3390/jcm14155576
APA StyleDumančić, J., Radić Vuleta, M., Lončar Brzak, B., Savić Pavičin, I., Kurpez, T., Striber, N., & Čuković-Bagić, I. (2025). Caries Experience and Oral Health-Related Habits in Blind and Low-Vision Individuals in Croatia. Journal of Clinical Medicine, 14(15), 5576. https://doi.org/10.3390/jcm14155576

