The Art of Interpreting Antinuclear Antibodies (ANAs) in Everyday Practice
Abstract
1. Introduction
2. Gold Standard and Methodological Considerations
2.1. Clinical Significance of Specific Autoantibodies
2.2. Repeat Testing of Antinuclear Antibodies
2.3. Classification of ANA Fluorescence Patterns
2.4. Main Nuclear Patterns
- The homogeneous pattern is more closely linked to connective tissue diseases (CTDs) than the speckled pattern. It is frequently associated with SLE or drug-induced lupus erythematosus (DILE). In antigen-specific tests, this type of fluorescence often correlates with the presence of anti-dsDNA [13,14].
- The nuclear dense fine speckled pattern is frequently observed in healthy individuals who possess DFS-70 autoantibodies. This pattern, characterized by speckles of varying sizes, intensities and distributions, is scattered across the interphase nucleus [14].
- The centromere pattern is a kind of specific speckled staining that is usually connected with the presence of antibodies against centromeres. These antibodies are strongly associated with CREST syndrome, a subset of scleroderma with a generally favourable prognosis. The key features of CREST syndrome include calcinosis (deposition of calcium in soft tissues), Raynaud’s phenomenon (increased sensitivity of fingers and toes to cold), oesophageal dysfunction (often leading to difficulty swallowing), sclerodactyly (skin thickening on the fingers) and telangiectasia (dilated capillaries visible on the skin). Such antibodies are rare in systemic scleroderma and are infrequently detected in other connective tissue disorders [14].
- Nucleolar fluorescence is characterized by large coarse speckled staining within the nucleus, less than six in number per cell. The nucleolus is a spherical structure found in the nucleus, whose primary function is to produce and assemble ribosomes. This pattern is more common for patients with scleroderma, less frequent in Sjögren’s syndrome or mixed connective tissue disease and is sometimes noted in healthy people with ANAs. Nucleolar autoantibodies react with PM-Scl, RNA polymerase I, NOR-90, RNase P, nucleolin, URNP, U3-RNP, To/Th and B23 phosphoprotein/numatrin [15].
- The nuclear large/coarse speckled pattern is characterized by the presence of large or coarse speckles distributed across the nucleoplasm. Staining of the nucleoli may or may not occur in this pattern. Examples include antibodies such as anti-Sm and anti-U1 RNP, which are indicative of mixed connective tissue disease (MCTD) [15].
2.5. Among the Cytoplasmic Character of Fluorescence, Filamentous, Speckled, AMA, Golgi and Rods and Rings Are Observed Most Often
- Filamentous fluorescence staining is used to highlight microtubules and intermediate filaments radiating outward from the nuclear rim. Examples of such antibodies include anti-cytokeratin, anti-vimentin and anti-tropomyosin. Anti-cytokeratin antibodies are often detected in patients with pulmonary conditions such as idiopathic pulmonary fibrosis. Autoantibodies targeting vimentin have been associated with neurofibromatosis type 1 and are considered a potential risk factor for tumour development [16].
- The speckled cytoplasmic fluorescence pattern is characterized by distinct speckles scattered throughout the cytoplasm. This pattern is frequently associated with autoantibodies directed against cytoplasmic components such as anti-Jo-1 [14].
- Rod and ring structures can be identified within the cytoplasm of interphase cells. These patterns were historically associated with patients with hepatitis C virus (HCV) undergoing combination therapy with pegylated interferon-α and ribavirin. The key autoantigen recognized by these antibodies has been identified as nucleotide biosynthetic enzyme inosine monophosphate dehydrogenase (IMPDH). Recent research suggests that these antibodies can be found in individuals from diverse populations and may depend on unidentified internal or external factors [21].
2.6. Limitations and Pitfalls of ANA Testing
2.6.1. Anti DFS-70 Antibodies
2.6.2. Anti-nRNP Antibodies
2.6.3. Anti-Sm Antibodies
2.6.4. Anti-dsDNA Antibodies
2.6.5. Anti-Ro/SS-A and Anti-La/SS-B Antibodies
2.6.6. Anti-Scl-70
2.6.7. Anti-PM/Scl Antibodies
2.6.8. Anti-Ribosomal P Protein
2.6.9. Anti-Jo-1 Antibodies
2.6.10. Anti-Centromere B Protein
2.6.11. Anti-Nucleosome Antibodies—ANuAs
2.6.12. Anti-Histone Antibodies (AHAs)
2.6.13. Antibodies Directed Against Proliferating Cell Nuclear Antigen (PCNA)
2.6.14. Anti-Mitochondrial Antibodies (AMAM2)
3. Conclusions
Author Contributions
Funding
Conflicts of Interest
Abbreviations
| ANAs | Antinuclear antibodies |
| SLE | Systemic lupus erythematosus |
| IIF | Indirect immunofluorescence assay |
| ELISA | Enzyme-linked immunosorbent assay |
| ICAP | The International Consensus on ANA Patterns |
| CTDs | Connective tissue diseases |
| DILE | Drug-induced lupus erythematosus |
| PBC | Primary biliary cholangitis |
| PM/DM | Polymyositis/dermatomyositis |
| SSc | Systemic scleroderma |
| RA | Rheumatoid arthritis |
| RIA | Radioimmunoassay |
| CLIFT | Crithidia luciliae immunofluorescence test |
| ASS | Antisynthetase syndrome |
| ACAs | Anti-centromere antibodies |
| AHAs | Anti-histone antibodies |
| DAMPs | Damage-associated molecular patterns |
| PCNA | Antibodies directed against proliferating cell nuclear antigen |
| AMAs | Anti-mitochondrial antibodies |
References
- Nosal, R.S.; Varacallo, M. Biochemistry, Antinuclear Antibodies (ANA); StatPearls Publishing: Treasure Island, FL, USA, 2025. Available online: https://www.ncbi.nlm.nih.gov/books/NBK537071/ (accessed on 20 July 2025).
- Damoiseaux, J.; Andrade, L.E.C.; Carballo, O.G.; Conrad, K.; Francescantonio, P.L.C.; Fritzler, M.J.; de la Torre, I.G.; Herold, M.; Klotz, W.; de Melo Cruvinel, W.; et al. Clinical relevance of HEp-2 indirect immunofluorescent patterns: The International Consensus on ANA patterns (ICAP) perspective. Ann. Rheum. Dis. 2019, 78, 879–889. [Google Scholar] [CrossRef]
- Mahler, M.; Meroni, P.L.; Bossuyt, X.; Fritzler, M.J. Current concepts and future directions for the assessment of autoantibodies to cellular antigens referred to as anti-nuclear antibodies. J. Immunol. Res. 2014, 2014, 315179. [Google Scholar] [CrossRef] [PubMed]
- Murdjeva, M.A.; Ryasheva, N.P.; Draganov, M.M.; Paunov, L.D. A comparative study of immunological methods for determination of serum antinuclear antibodies. Folia Med. 2011, 53, 4. [Google Scholar] [CrossRef] [PubMed]
- Tan, E.M.; Feltkamp, T.E.W.; Smolen, J.S.; Butcher, B.; Dawkins, R.; Fritzler, M.J. Range of antinuclear antibodies in “healthy” individuals. Arthritis Rheum. 1997, 40, 1601–1611. [Google Scholar] [CrossRef]
- Saikia, B.; Rawat, A.; Vignesh, P. Autoantibodies and their Judicious Use in Pediatric Rheumatology Practice. Indian J. Pediatr. 2016, 83, 53–62. [Google Scholar] [CrossRef]
- Bonaguri, C.; Melegari, A.; Ballabio, A.; Parmeggiani, M.; Russo, A.; Battistelli, L. Italian multicentre study for application of a diagnostic algorithm in autoantibody testing for autoimmune rheumatic disease: Conclusive results. Autoimmun. Rev. 2011, 11, 1–5. [Google Scholar] [CrossRef] [PubMed]
- Aringer, M. EULAR/ACR classification criteria for SLE. Semin. Arthritis Rheum. 2019, 49, 3. [Google Scholar] [CrossRef]
- Leuchten, N.; Hoyer, A.; Brinks, R.; Schoels, M.; Schneider, M.; Smolen, J. Performance of Antinuclear Antibodies for Classifying Systemic Lupus Erythematosus: A Systematic Literature Review and Meta-Regression of Diagnostic Data. Arthritis Care Res. 2018, 70, 428–438. [Google Scholar] [CrossRef]
- Aringer, M.; Costenbader, K.; Daikh, D.; Brinks, R.; Mosca, M.; Ramsey-Goldman, R. 2019 European League Against Rheumatism/American College of Rheumatology Classification Criteria for Systemic Lupus Erythematosus. Arthritis Rheumatol. 2019, 71, 9. [Google Scholar] [CrossRef]
- Bossuyt, X.; De Langhe, E.; Borghi, M.O.; Meroni, P.L. Understanding and interpreting antinuclear antibody tests in systemic rheumatic diseases. Nat. Rev. Rheumatol. 2020, 16, 715–726. [Google Scholar] [CrossRef]
- Chan, E.K.L.; Von Mühlen, C.A.; Fritzler, M.J.; Damoiseaux, J.; Infantino, M.; Klotz, W. The International Consensus on ANA Patterns (ICAP) in 2021—The 6thWorkshop and Current Perspectives. J. Appl. Lab. Med. 2022, 7, 322–330. [Google Scholar] [CrossRef]
- Andrade, L.E.C.; Klotz, W.; Herold, M.; Conrad, K.; Rönnelid, J.; Fritzler, M.J. International consensus on antinuclear antibody patterns: Definition of the AC-29 pattern associated with antibodies to DNA topoisomerase I. Clin. Chem. Lab. Med. 2018, 56, 1783–1788. [Google Scholar] [CrossRef]
- Conrad, K.; Schößler, W.; Hiepe, F.; Fritzler, M.J. Autoantibodies in Systemic Autoimmune Diseases. In Autoantigens, Autoantibodies, Autoimmunity; PABST: Los Angeles, CA, USA, 2025; Volume 2, p. 2. [Google Scholar]
- Mahler, M.; Fritzler, M.J.; Satoh, M. Autoantibodies to the mitochondrial RNA processing (MRP) complex also known as Th/To autoantigen. Autoimmun. Rev. 2015, 14, 254–257. [Google Scholar] [CrossRef]
- Kotaška, K.; Petrak, B.; Kukacka, J.; Kraus, J.; Prusa, R. Anti-vimentin antibodies and neuron-specific enolase in children with neurofibromatosis type-1. Neuroendocrinol. Lett. 2007, 28, 761–764. [Google Scholar]
- Shuai, Z.; Wang, J.; Badamagunta, M.; Choi, J.; Yang, G.; Zhang, W. The fingerprint of antimitochondrial antibodies and the etiology of primary biliary cholangitis. Hepatology 2017, 65, 1670–1682. [Google Scholar] [CrossRef]
- Hirschfield, G.M.; Beuers, U.; Corpechot, C.; Invernizzi, P.; Jones, D.; Marzioni, M. EASL Clinical Practice Guidelines: The diagnosis and management of patients with primary biliary cholangitis. J. Hepatol. 2017, 67, 145–172. [Google Scholar] [CrossRef]
- Salman, E.; Dinç, B. Elevated levels of anti-Golgi antibodies: An early sign of seronegative rheumatoid arthritis. Scand J. Immunol. 2024, 100, 13369. [Google Scholar] [CrossRef]
- Ma, L.; Zeng, A.; Chen, Y.; Chen, B.; Zhou, R. Anti-golgi antibodies: Prevalence and disease association in Chinese population. Clin. Chim. Acta. 2019, 496, 121–124. [Google Scholar] [CrossRef] [PubMed]
- Calise, S.J.; Chan, E.K.L. Anti-rods/rings autoantibody and IMPDH filaments: An update after fifteen years of discovery. Autoimmun. Rev. 2020, 19, 102643. [Google Scholar] [CrossRef] [PubMed]
- Abeles, A.M.; Abeles, M. The clinical utility of a positive antinuclear antibody test result. Am. J. Med. 2013, 126, 342–348. [Google Scholar] [CrossRef] [PubMed]
- Arbuckle, M.R.; McClain, M.T.; Rubertone, M.V.; Scofield, R.H.; Dennis, G.J.; James, J.A. Development of autoantibodies before the clinical onset of systemic lupus erythematosus. N. Engl. J. Med. 2000, 349, 1526–1533. [Google Scholar] [CrossRef] [PubMed]
- Dinse, G.E.; Parks, C.G.; Meier, H.C.S.; Co, C.A.; Chan, E.K.L.; Jusko, T.A. Prescription medication use and antinuclear antibodies in the United States, 1999–2004. J. Autoimmun. 2018, 92, 93–103. [Google Scholar] [CrossRef] [PubMed]
- Mahler, M.; Hanly, J.G.; Fritzler, M.J. Importance of the dense fine speckled pattern on HEp-2 cells and anti-DFS70 antibodies for the diagnosis of systemic autoimmune diseases. Autoimmun. Rev. 2012, 11, 642–645. [Google Scholar] [CrossRef] [PubMed]
- Petzelbauer, P.; Binder, M.; Nikolakis, P.; Ortel, B.; Hönigsmann, H. Severe sun sensitivity and the presence of antinuclear antibodies in patients with polymorphous light eruption-like lesions: A forme fruste of photosensitive lupus erythematosus? J. Am. Acad. Dermatol. 1992, 26, 68–74. [Google Scholar] [CrossRef] [PubMed]
- Ochs, R.L.; Mahler, M.; Basu, A.; Rios-Colon, L.; Sanchez, T.W.; Andrade, L.E. The significance of autoantibodies to DFS70/LEDGFp75 in health and disease: Integrating basic science with clinical understanding. Clin. Exp. Med. 2016, 16, 273–293. [Google Scholar] [CrossRef]
- Cheng, C.F.; Shih, M.C.; Lan, T.Y.; Li, K.J. Anti-dfs70 antibodies for differentiating systemic autoimmune rheumatic disease in patients with positive ana tests: A systematic review and meta-analysis. Diagnostics 2021, 11, 1592. [Google Scholar] [CrossRef] [PubMed]
- Santler, B.; Wimmer, L.; Schlueter, B.; Ehrchen, J. Anti-DFS70 antibodies are associated with atopic dermatitis and can cause misdiagnosis of connective tissue disease. JDDG—J. Ger. Soc. Dermatol. 2023, 21, 464–470. [Google Scholar] [CrossRef]
- Migliorini, P.; Baldini, C.; Rocchi, V.; Bombardieri, S. Anti-Sm and anti-RNP antibodies. Autoimmunity 2005, 38, 47–54. [Google Scholar] [CrossRef]
- Sharp, G.C.; Irvin, W.S.; May, C.M.; Holman, H.R.; McDuffie, F.C.; Hess, E.V.; Schmid, F.R. Association of Antibodies to Ribonucleoprotein and Sm Antigens with Mixed Connective-Tissue Disease, Systemic Lupus Erythematosus and Other Rheumatic Diseases. N. Engl. J. Med. 1976, 295, 1149–1154. [Google Scholar] [CrossRef]
- Sharp, G.C.; Irvin, W.S.; Tan, E.M.; Gould, R.G.; Holman, H.R. Mixed connective tissue disease-an apparently distinct rheumatic disease syndrome associated with a specific antibody to an extractable nuclear antigen (ENA). Am. J. Med. 1972, 52, 148–159. [Google Scholar] [CrossRef]
- Sharp, G.C. Subsets of SLE and mixed connective tissue disease. Am. J. Kidney Dis. 1982, 2, 201–205. [Google Scholar]
- Jones, M.B.; Osterholm, R.K.; Wilson, R.B.; Martin, F.H.; Commers, J.R.; Bachmayer, J.D. Fatal pulmonary hypertension and resolving immune-complex glomerulonephritis in mixed connective tissue disease: A case report and review of the literature. Am. J. Med. 1978, 65, 855–863. [Google Scholar] [CrossRef]
- ter Borg, E.J.; Groen, H.; Horst, G.; Limburg, P.C.; Wouda, A.A.; Kallenberg, C.G.M. Clinical associations of antiribonucleoprotein antibodies in patients with systemic lupus erythematosus. Semin. Arthritis Rheum. 1990, 20, 164–173. [Google Scholar] [CrossRef]
- Ling, M.; Murali, M. Antinuclear Antibody Tests. Clin. Lab. Med. 2019, 39, 513–524. [Google Scholar] [CrossRef] [PubMed]
- Benito-Garcia, E.; Schur, P.H.; Lahita, R.; Kavanaugh, A.F.; Solomon, D.H.; Reveille, J.D. Guidelines for immunologic laboratory testing in the rheumatic diseases: Anti-Sm and anti-RNP antibody tests. Arthritis Rheum. 2004, 5, 1030–1044. [Google Scholar] [CrossRef] [PubMed]
- Flynn, A.; Gilhooley, E.; O’Shea, F.; Wynne, B. The use of SLICC and ACR criteria to correctly label patients with cutaneous lupus and systemic lupus erythematosus. Clin. Rheumatol. 2018, 37, 817–818. [Google Scholar] [CrossRef] [PubMed]
- Barada, F.A.; Andrews, B.S.; Davisiv, J.S.; Taylor, R.P. Antibodies to Sm in patients with systemic lupus erythematosus. Correlation of Sm antibody titers with disease activity and other laboratory parameters. Arthritis Rheum. 1981, 24, 1236–1244. [Google Scholar] [CrossRef]
- Hirohata, S.; Sakuma, Y.; Yanagida, T.; Yoshio, T. Association of cerebrospinal fluid anti-Sm antibodies with acute confusional state in systemic lupus erythematosus. Arthritis Res. Ther. 2014, 16, 450. [Google Scholar] [CrossRef] [PubMed]
- Janwityanuchit, S.; Verasertniyom, O.; Vanichapuntu, M.; Vatanasuk, M. Anti-Sm: Its predictive value in systemic lupus erythematosus. Clin. Rheumatol. 1993, 12, 350–353. [Google Scholar] [CrossRef] [PubMed]
- Gripenberg, M.; Teppo, A.M.; Friman, C. Antibodies to Sm and SS-A demonstrated by enzyme immunoassay—Correlation to clinical manifestations and disease activity in patients with systemic lupus erythematosus. Rheumatol. Int. 1991, 11, 4–5. [Google Scholar] [CrossRef]
- Zamora-Medina Mdel, C.; Hinojosa-Azaola, A.; Nuñez-Alvarez, C.A.; Vargas-Ruiz, A.G.; Romero-Diaz, J. Anti-RNP/Sm antibodies in patients with systemic lupus erythematosus and its role in thrombosis: A case-control study. Clin. Rheumatol. 2019, 38, 885–893. [Google Scholar] [CrossRef] [PubMed]
- Evans, A.S.; Rothfield, N.F.; Niederman, J.C. Raised antibody titres to E.B. virus in systemic lupus erythematosus. Lancet 1971, 297, 167–168. [Google Scholar] [CrossRef]
- Orme, M.E.; Voreck, A.; Aksouh, R.; Ramsey-Goldman, R.; Schreurs, M.W.J. Systematic review of anti-dsDNA testing for systemic lupus erythematosus: A meta-analysis of the diagnostic test specificity of an anti-dsDNA fluorescence enzyme immunoassay. Autoimmun. Rev. 2021, 20, 102943. [Google Scholar] [CrossRef]
- Manson, J.J.; Ma, A.; Rogers, P.; Mason, L.J.; Berden, J.H.; van der Vlag, J. Relationship between anti-dsDNA, anti-nucleosome and anti-alpha-actinin antibodies and markers of renal disease in patients with lupus nephritis: A prospective longitudinal study. Arthritis Res. Ther. 2009, 11, R154. [Google Scholar] [CrossRef]
- Rekvig, O.P. Autoimmunity and SLE: Factual and Semantic Evidence-Based Critical Analyses of Definitions, Etiology, and Pathogenesis. Front. Immunol. 2020, 11, 569234. [Google Scholar] [CrossRef]
- Pisetsky, D.S. Anti-DNA antibodies—Quintessential biomarkers of SLE. Nat. Rev. Rheumatol. 2016, 12, 102–110. [Google Scholar] [CrossRef]
- Smeenk, R.; Swaak, T.; Smeenk, R. Clinical significance of antibodies to double stranded DNA (dsDNA) for systemic lupus erythematosus (SLE). Clin. Rheumatol. 1987, 6, 56–73. [Google Scholar] [CrossRef]
- Bernstein, K.A.; Valerio, R.D.; Lefkowith, J.B. Glomerular binding activity in MRL lpr serum consists of antibodies that bind to a DNA/histone/type IV collagen complex. J. Immunol. 1995, 154, 2424–2433. [Google Scholar] [CrossRef] [PubMed]
- Katz, J.B.; Limpanasithikul, W.; Diamond, B. Mutational analysis of an autoantibody: Differential binding and pathogenicity. J. Exp. Med. 1994, 180, 925–932. [Google Scholar] [CrossRef]
- Sundar, K.; Jacques, S.; Gottlieb, P.; Villars, R.; Benito, M.E.; Taylor, D.K. Expression of the Epstein-Barr virus nuclear antigen-1 (EBNA-1) in the mouse can elicit the production of anti-dsDNA and anti-Sm antibodies. J. Autoimmun. 2004, 23, 127–140. [Google Scholar] [CrossRef] [PubMed]
- Rekvig, O.P.; Bendiksen, S.; Moens, U. Immunity and autoimmunity induced by polyomaviruses: Clinical, experimental and theoretical aspects. Adv. Exp. Med. Biol. 2006, 577, 117–147. [Google Scholar]
- Wozencraft, A.O.; Staines, N.A. DNA-binding antibodies and parasitic diseases. Parasitol. Today 1990, 6, 254–259. [Google Scholar] [CrossRef]
- Ghirardello, A.; Villalta, D.; Morozzi, G.; Afeltra, A.; Galeazzi, M.; Gerli, R. Evaluation of current methods for the measurement of serum anti-double-stranded DNA antibodies. Ann. N. Y. Acad. Sci. 2007, 1109, 401–406. [Google Scholar] [CrossRef]
- Admou, B.; Eddehbi, F.-E.; Elmoumou, L.; Elmojadili, S.; Salami, A.; Oujidi, M. Anti-double stranded DNA antibodies: A rational diagnostic approach in limited-resource settings. Pract. Lab. Med. 2022, 31, e00285. [Google Scholar] [CrossRef]
- Compagno, M.; Jacobsen, S.; Rekvig, O.P.; Truedsson, L.; Heegaard, N.H.; Nossent, J. Low diagnostic and predictive value of anti-dsDNA antibodies in unselected patients with recent onset of rheumatic symptoms: Results from a long-term follow-up Scandinavian multicentre study. Scand J. Rheumatol. 2013, 42, 311–316. [Google Scholar] [CrossRef] [PubMed]
- Anderson, J.R.; Gray, K.G.; Beck, J.S.; Kinnear, W.F. Precipitating autoantibodies in Sjogren’s disease. Lancet 1961, 7200, 456–460. [Google Scholar] [CrossRef]
- Clark, G.; Reichlin, M.; Tomasi, T.B. Characterization of a Soluble Cytoplasmic Antigen Reactive with Sera from Patients with Systemic Lupus Erythmatosus. J. Immunol. 1969, 102, 117–122. [Google Scholar] [CrossRef] [PubMed]
- Mattioli, M.; Reichlin, M. Heterogeneity of RNA protein antigens reactive with sera of patients with systemic lupus erythematosus description of a cytoplasmic nonribosomal antigen. Arthritis Rheum. 1974, 17, 421–429. [Google Scholar] [CrossRef]
- Hendrick, J.P.; Wolin, S.L.; Rinke, J.; Lerner, M.R.; Steitz, J.A. Ro small cytoplasmic ribonucleoproteins are a subclass of La ribonucleoproteins: Further characterization of the Ro and La small ribonucleoproteins from uninfected mammalian cells. Mol. Cell. Biol. 1981, 12, 1138–1149. [Google Scholar]
- Ben-Chetrit, E.; Chan, E.K.L.; Sullivan, K.F.; Tan, E.M. A 52-kD protein is a novel component of the SS-A/Ro antigenic particle. J. Exp. Med. 1988, 167, 1560–1571. [Google Scholar] [CrossRef] [PubMed]
- Brouwer, R.; Hengstman, G.J.D.; Vree Egberts, W.; Ehrfeld, H.; Bozic, B.; Ghirardello, A. Autoantibody profiles in the sera of European patients with myositis. Ann. Rheum. Dis. 2001, 60, 116–123. [Google Scholar] [CrossRef] [PubMed]
- Sordet, C.; Goetz, J.; Sibilia, J. Contribution of autoantibodies to the diagnosis and nosology of inflammatory muscle disease. Jt. Bone Spine 2006, 73, 646–654. [Google Scholar] [CrossRef]
- Novak, G.V.; Marques, M.; Balbi, V.; Gormezano, N.W.S.; Kozu, K.; Sakamoto, A.P. Anti-RO/SSA and anti-La/SSB antibodies: Association with mild lupus manifestations in 645 childhood-onset systemic lupus erythematosus. Autoimmun. Rev. 2016, 2, 132–135. [Google Scholar] [CrossRef]
- Fauchais, A.L.; Martel, C.; Gondran, G.; Lambert, M.; Launay, D.; Jauberteau, M.O. Immunological profile in primary Sjögren syndrome: Clinical significance, prognosis and long-term evolution to other auto-immune disease. Autoimmun. Rev. 2010, 9, 595–599. [Google Scholar] [CrossRef]
- Manoussakis, M.N.; Tzioufas, A.G.; Pange, P.J.E.; Moutsopoulos, H.M. Serological profiles in subgroups of patients with Sjogren’s syndrome. Scand J. Rheumatol. 1986, 15, 89–92. [Google Scholar] [CrossRef]
- Alexander, E.L.; Arnett, F.C.; Provost, T.T.; Stevens, M.B. Sjögren’s syndrome: Association of anti-Ro(SS-A) antibodies with vasculitis, hematologic abnormalities, and serologic hyperreactivity. Ann. Intern. Med. 1983, 98, 155–159. [Google Scholar] [CrossRef]
- Buyon, J.P.; Rupel, A.; Clancy, R.M. Neonatal lupus syndromes. Lupus 2004, 13, 705–712. [Google Scholar] [CrossRef]
- Zuppa, A.A.; Riccardi, R.; Frezza, S.; Gallini, F.; Luciano, R.M.P.; Alighieri, G. Neonatal lupus: Follow-up in infants with anti-SSA/Ro antibodies and review of the literature. Autoimmun. Rev. 2017, 16, 427–432. [Google Scholar] [CrossRef] [PubMed]
- Yoshimi, R.; Ueda, A.; Ozato, K.; Ishigatsubo, Y. Clinical and pathological roles of Ro/SSA autoantibody system. Clin. Dev. Immunol 2012, 2012, 606195. [Google Scholar] [CrossRef]
- Cavazzana, I.; Vojinovic, T.; Airo’, P.; Fredi, M.; Ceribelli, A.; Pedretti, E. Systemic Sclerosis-Specific Antibodies: Novel and Classical Biomarkers. Clin. Rev. Allergy Immunol. 2023, 64, 412–430. [Google Scholar] [CrossRef] [PubMed]
- Puszczewicz, M. Review paper Antinuclear antibodies in systemic sclerosis—Antigen specificity and clinical significance. Reumatologia 2006, 44, 169–175. [Google Scholar]
- Muruganandam, M.; Ariza-Hutchinson, A.; Patel, R.A.; Sibbitt, W.L. Biomarkers in the Pathogenesis, Diagnosis, and Treatment of Systemic Sclerosis. J. Inflamm. Res. 2023, 16, 4633–4660. [Google Scholar] [CrossRef]
- Watad, A.; McGonagle, D.; Bragazzi, N.L.; Tiosano, S.; Comaneshter, D.; Shoenfeld, Y. Autoantibody status in systemic sclerosis patients defines both cancer risk and survival with ANA negativity in cases with concomitant cancer having a worse survival. Oncoimmunology 2019, 8, e1588084. [Google Scholar] [CrossRef] [PubMed]
- Gelber, A.C.; Manno, R.L.; Shah, A.A.; Woods, A.; Le, E.N.; Boin, F. Race and association with disease manifestations and mortality in scleroderma: A 20-year experience at the johns hopkins scleroderma center and review of the literature. Medicine 2013, 92, 191–205. [Google Scholar] [CrossRef]
- Wangkaew, S.; Euathrongchit, J.; Wattanawittawas, P.; Kasitanon, N.; Louthrenoo, W. Incidence and predictors of interstitial lung disease (ILD) in Thai patients with early systemic sclerosis: Inception cohort study. Mod. Rheumatol. 2016, 26, 588–593. [Google Scholar] [CrossRef] [PubMed]
- Boonstra, M.; Bakker, J.A.; Grummels, A.; Ninaber, M.K.; Ajmone Marsan, N.; Wortel, C.M.; Huizinga, T.W.; Jordan, S.; Hoffman-Vold, A.M.; Distler, O.; et al. Association of Anti-Topoisomerase I Antibodies of the IgM Isotype with Disease Progression in Anti-Topoisomerase I-Positive Systemic Sclerosis. Arthritis Rheumatol. 2020, 72, 1897–1904. [Google Scholar] [CrossRef]
- Markusse, I.M.; Meijs, J.; de Boer, B.; Bakker, J.A.; Schippers, H.P.C.; Schouffoer, A.A.; Ajmone Marsan, N.; Kroft, L.J.; Ninaber, M.K.; Huizinga, T.W.; et al. Predicting cardiopulmonary involvement in patients with systemic sclerosis: Complementary value of nailfold videocapillaroscopy patterns and disease-specific autoantibodies. Rheumatology 2017, 56, 1081–1088. [Google Scholar] [CrossRef][Green Version]
- Mahler, M.; Raijmakers, R. Novel aspects of autoantibodies to the PM/Scl complex: Clinical, genetic and diagnostic insights. Autoimmun. Rev. 2007, 6, 432–437. [Google Scholar] [CrossRef]
- Wielosz, E.; Dryglewska, M.; Majdan, M. The prevalence and significance of anti-pm/scl antibodies in systemic sclerosis. Ann. Agric. Environ. Med. 2021, 28, 189–192. [Google Scholar] [CrossRef] [PubMed]
- Raijmakers, R.; Renz, M.; Wiemann, C.; Egberts, W.V.; Seelig, H.P.; Van Venrooij, W.J.; Pruijn, G.J. PM-Scl-75 Is the Main Autoantigen in Patients with the Polymyositis/Scleroderma Overlap Syndrome. Arthritis Rheum. 2004, 50, 565–569. [Google Scholar] [CrossRef]
- De Lorenzo, R.; Pinal-Fernandez, I.; Huang, W.; Albayda, J.; Tiniakou, E.; Johnson, C.; Milisenda, J.C.; Casal-Dominguez, M.; Corse, A.M.; Danoff, S.K.; et al. Muscular and extramuscular clinical features of patients with anti-PM/Scl autoantibodies. Neurology 2018, 90, e2068–e2076. [Google Scholar] [CrossRef] [PubMed]
- Hanke, K.; Brückner, C.S.; Dähnrich, C.; Huscher, D.; Komorowski, L.; Meyer, W.; Janssen, A.; Backhaus, M.; Becker, M.; Kill, A.; et al. Antibodies against PM/Scl-75 and PM/Scl-100 are independent markers for different subsets of systemic sclerosis patients. Arthritis Res Ther. 2009, 11, R22. [Google Scholar] [CrossRef]
- Ge, Y.; Shu, X.; He, L.; Li, C.; Lu, X.; Wang, G. Interstitial Lung Disease Is a Major Characteristic of Patients Who Test Positive for Anti-PM/Scl Antibody. Front. Med. 2022, 8, 778211. [Google Scholar] [CrossRef]
- Antiribosomal P Protein Antibodies—UpToDate. Available online: https://www.uptodate.com/contents/antiribosomal-p-protein-antibodies (accessed on 2 March 2025).
- Li, J.; Shen, Y.; He, J.; Jia, R.; Wang, X.; Chen, X.; Wang, D.; Han, L.; Zhu, L.; Chi, X.; et al. Significance of Antibodies Against the Native Ribosomal P Protein Complex and Recombinant P0, P1, and P2 Proteins in the Diagnosis of Chinese Patients with Systemic Lupus Erythematosus. J. Clin. Lab. Anal. 2013, 27, 2. [Google Scholar] [CrossRef]
- Sarfaraz, S.; Anis, S.; Ahmed, E.; Muzaffar, R. Clinical Significance of Anti-Ribosomal P Protein Antibodies in Patients with Lupus Nephritis. Rev. Recent Clin. Trials. 2018, 13, 4. [Google Scholar] [CrossRef]
- Shi, Z.R.; Han, Y.F.; Yin, J.; Zhang, Y.P.; Jiang, Z.X.; Zheng, L.; Tan, G.Z.; Wang, L. The diagnostic benefit of antibodies against ribosomal proteins in systemic lupus erythematosus. Adv. Rheumatol. 2020, 60, 45. [Google Scholar] [CrossRef]
- Mileti, L.M.; Strek, M.E.; Niewold, T.B.; Curran, J.J.; Sweiss, N.J. Clinical Characteristics of Patients with Anti-Jo-1 Antibodies. JCR J. Clin. Rheumatol. 2009, 15, 254–255. [Google Scholar] [CrossRef]
- Yang, H.; Chen, Q.; Sun, C.; Jin, Q.; Zhang, L.; Liu, Q. Clinical and prognostic associations of anti-Jo-1 antibody levels in patients with antisynthetase syndrome. Respir. Res. 2024, 25, 222. [Google Scholar] [CrossRef] [PubMed]
- Jobanputra, P.; Malick, F.; Derrett-Smith, E.; Plant, T.; Richter, A. What does it mean if a patient is positive for anti-Jo-1 in routine hospital practice? A retrospective nested case-control study. F1000Research 2018, 7, 698. [Google Scholar] [CrossRef]
- Gomard-Mennesson, E.; Fabien, N.; Cordier, J.F.; Ninet, J.; Tebib, J.; Rousset, H. Clinical significance of anti-histidyl-tRNA synthetase (Jo1) autoantibodies. Ann. N. Y. Acad. Sci. 2007, 1109, 414–420. [Google Scholar] [CrossRef] [PubMed]
- Aggarwal, R.; Cassidy, E.; Fertig, N.; Koontz, D.C.; Lucas, M.; Ascherman, D.P. Patients with non-Jo-1 anti-tRNA-synthetase autoantibodies have worse survival than Jo-1 positive patients. Ann. Rheum. Dis. 2014, 73, 227–232. [Google Scholar] [CrossRef] [PubMed]
- Miller, F.W.; Twitty, S.A.; Biswas, T.; Plotz, P.H. Origin and regulation of a disease-specific autoantibody response: Antigenic epitopes, spectrotype stability, and isotype restriction of anti-Jo-1 autoantibodies. J. Clin. Investig. 1990, 85, 468–475. [Google Scholar] [CrossRef]
- Derk, C.T.; Jimenez, S.A. Systemic sclerosis: Current views of its pathogenesis. Autoimmun. Rev. 2003, 2, 181–191. [Google Scholar] [CrossRef]
- Kajio, N.; Takeshita, M.; Suzuki, K.; Kaneda, Y.; Yamane, H.; Ikeura, K. Anti-centromere antibodies target centromere-kinetochore macrocomplex: A comprehensive autoantigen profiling. Ann. Rheum. Dis. 2021, 80, 651–659. [Google Scholar] [CrossRef]
- Nakano, M.; Ohuchi, Y.; Hasegawa, H.; Kuroda, T.; Ito, S.; Gejyo, F. Clinical significance of anticentromere antibodies in patients with systemic lupus erythematosus. J. Rheumatol. 2000, 27, 1403–1407. [Google Scholar]
- Mehra, S.; Walker, J.; Patterson, K.; Fritzler, M.J. Autoantibodies in systemic sclerosis. Autoimmun. Rev. 2013, 12, 340–354. [Google Scholar] [CrossRef]
- Atalay, C.; Atalay, G.; Yilmaz, K.B.; Altinok, M. The role of anti-CENP-B and anti-SS-B antibodies in breast cancer. Neoplasma 2005, 52, 32–35. [Google Scholar]
- Atalay, C.; Dogan, L.; Atalay, G. Anti-CENP-B antibodies are associated with prolonged survival in breast cancer. Future Oncol. 2010, 6, 471–477. [Google Scholar] [CrossRef]
- Tomonaga, T.; Matsushita, K.; Yamaguchi, S.; Oohashi, T.; Shimada, H.; Ochiai, T. Overexpression and mistargeting of centromere protein-A in human primary colorectal cancer. Cancer Res. 2003, 63, 3511–3516. [Google Scholar] [PubMed]
- Obaid, R.F.; Mahmaud, T.D.; Obaid, R.F.; Mohamed, K.G. Antinucleosome antibodies as new marker in early diagnosis of systemic lupus erythematosus (SLE) in comparison with other autoantibodies. J. Phys. Conf. Ser. 2020, 1660, 012015. [Google Scholar] [CrossRef]
- Szewczyk, A.; Kołacińska-Strasz, Z.; Gliński, W. Diagnostic value of anti-nucleosome antibodies in systemic lupus erythematosus and other connective tissue diseases. Dermatol. Rev. Przegląd Dermatol. 2009, 96, 309–317. [Google Scholar]
- Suleiman, S.; Kamaliah, D.; Nadeem, A.; Naing, N.N.; Che Maraina, C.H. Anti-nucleosome antibodies as a disease activity marker in patients with systemic lupus erythematosus. Int. J. Rheum. Dis. 2009, 12, 100–106. [Google Scholar] [CrossRef]
- Koutouzov, S.; Jeronimo, A.L.; Campos, H.; Amoura, Z. Nucleosomes in the pathogenesis of systemic lupus erythematosus. Rheum. Dis. Clin. N. Am. 2004, 30, 529–558. [Google Scholar] [CrossRef]
- Ghirardello, A.; Doria, A.; Zampieri, S.; Tarricone, E.; Tozzoli, R.; Villalta, D. Antinucleosome antibodies in SLE: A two-year follow-up study of 101 patients. J. Autoimmun. 2004, 22, 235–240. [Google Scholar] [CrossRef] [PubMed]
- Simón, J.A.; Cabiedes, J.; Ortiz, E.; Alcocer-Varela, J.; Sánchez-Guerrero, J. Anti-nucleosome antibodies in patients with systemic lupus erythematosus of recent onset. Potential utility as a diagnostic tool and disease activity marker. Rheumatology 2004, 43, 220–224. [Google Scholar] [CrossRef] [PubMed]
- Cairns, A.P.; McMillan, S.A.; Crockard, A.D.; Meenagh, G.K.; Duffy, E.M.; Armstrong, D.J. Antinucleosome antibodies in the diagnosis of systemic lupus erythematosus. Ann. Rheum. Dis. 2003, 62, 272–273. [Google Scholar] [CrossRef]
- Peng, S.L.; Craft, J.E. Antinuclear Antibodies. In Kelley’s Textbook of Rheumatology; Elsevier: Amsterdam, The Netherlands, 2009; Volume 1, pp. 741–754. [Google Scholar]
- Anti-Histone Antibodies in Systemic Lupus Erythematosus|Musculoskeletal Key. Available online: https://musculoskeletalkey.com/anti-histone-antibodies-in-systemic-lupus-erythematosus (accessed on 2 March 2025).
- Lee, A.Y.S. Clinical use of anti-histone antibodies in idiopathic and drug-induced lupus. Immunol. Med. 2022, 45, 180–185. [Google Scholar] [CrossRef] [PubMed]
- Zirwas, M.J.; Kress, D.W.; Deng, J.S. The Utility of Antihistone Antibody Screening in the Diagnosis of Drug-Induced Lupus Erythematosu. Arch. Dermatol. 2004, 140, 494–495. [Google Scholar] [CrossRef]
- Sui, M.; Lin, Q.; Xu, Z.; Han, X.; Xie, R.; Jia, X. Simultaneous positivity for anti-DNA, anti-nucleosome and anti-histone antibodies is a marker for more severe lupus nephritis. J. Clin. Immunol. 2013, 33, 378–387. [Google Scholar] [CrossRef]
- Cortés-Hernández, J.; Ordi-Ros, J.; Labrador, M.; Buján, S.; Balada, E.; Segarra, A.; Vilardell-Tarrés, M. Antihistone and anti-double-stranded deoxyribonucleic acid antibodies are associated with renal disease in systemic lupus erythematosus. Am. J. Med. 2004, 116, 165–173. [Google Scholar] [CrossRef]
- Yang, J.; Xu, Z.; Sui, M.; Han, J.; Sun, L.; Jia, X. Co-Positivity for Anti-dsDNA,-nucleosome and-histone antibodies in lupus nephritis is indicative of high serum levels and severe nephropathy. PLoS ONE 2015, 10, e0140441. [Google Scholar] [CrossRef]
- Vieson, M.D.; Gojmerac, A.M.; Khan, D.; Dai, R.; van Duzer, J.H.; Mazitschek, R. Treatment with a selective histone deacetylase 6 inhibitor decreases lupus nephritis in NZB/W mice. Histol. Histopathol. 2017, 32, 1317–1332. [Google Scholar] [CrossRef]
- Beyne-Rauzy, O.; Thébault, S.; Adoue, D.; Fortenfant, F. Anti-PCNA antibodies: Prevalence and predictive value. Jt. Bone Spine 2005, 11, 432–435. [Google Scholar] [CrossRef]
- Mahler, M.; Miyachi, K.; Peebles, C.; Fritzler, M.J. The clinical significance of autoantibodies to the proliferating cell nuclear antigen (PCNA). Autoimmun. Rev. 2012, 11, 771–775. [Google Scholar] [CrossRef]
- Cozzani, E.; Drosera, M.; Gasparini, G.; Parodi, A. Serology of Lupus Erythematosus: Correlation between Immunopathological Features and Clinical Aspects. Autoimmune Dis. 2014, 2014, 321359. [Google Scholar] [CrossRef]
- Ye, X.; Ling, B.; Xu, H.; Li, G.; Zhao, X.; Xu, J. Clinical significance of high expression of proliferating cell nuclear antigen in non-small cell lung cancer. Medicine 2020, 99, e19755. [Google Scholar] [CrossRef] [PubMed]
- Shukri, N.D.M.; Yahya, N.K. Positivity of anti-proliferating cell nuclear antigen (PCNA) antibodies in systemic lupus erythematosus (SLE): Case series and mini review. Int. Med. J. 2021, 28, 127–128. [Google Scholar]
- Takasaki, Y. Clinical significance of antibodies to PCNA. Jpn. J. Rheumatol. 1998, 8, 1–12. [Google Scholar] [CrossRef]
- Miyachi, K.; Fritzler, M.J.; Tan, E.M. Autoantibody to a Nuclear Antigen in Proliferating Cells. J. Immunol. 1978, 121, 2228–2234. [Google Scholar] [CrossRef]
- Asero, R.; Origgi, L.; Crespi, S.; Bertetti, E.; D’Agostino, P.; Riboldi, P. Autoantibody to proliferating cell nuclear antigen (PCNA) in SLE: A clinical and serological study. Clin. Exp. Rheumatol. 1987, 5, 241–246. [Google Scholar]
- Fritzler, M.J.; Mccarty, G.A.; Paul Ryan, J.; Douglas Kinsella, T. Clinical features of patients with antibodies directed against proliferating cell nuclear antigen. Arthritis Rheum. 1983, 26, 140–145. [Google Scholar] [CrossRef] [PubMed]
- Calise, S.J.; Zheng, B.; Hasegawa, T.; Satoh, M.; Isailovic, N.; Ceribelli, A. Reference standards for the detection of anti-mitochondrial and anti-rods/rings autoantibodies. Clin. Chem. Lab. Med. 2018, 56, 1789–1798. [Google Scholar] [CrossRef]
- Han, E.; Jo, S.J.; Lee, H.; Choi, A.R.; Lim, J.; Jung, E.S. Clinical relevance of combined anti-mitochondrial M2 detection assays for primary biliary cirrhosis. Clin. Chim. Acta. 2017, 464, 113–117. [Google Scholar] [CrossRef]
- Hu, S.; Zhao, F.; Wang, Q.; Chen, W.X. The accuracy of the anti-mitochondrial antibody and the M2 subtype test for diagnosis of primary biliary cirrhosis: A meta-analysis. Clin. Chem. Lab. Med. 2014, 52, 1533–1542. [Google Scholar] [CrossRef]
- Colapietro, F.; Lleo, A.; Generali, E. Antimitochondrial Antibodies: From Bench to Bedside. Clin. Rev. Allergy Immunol. 2022, 63, 166–177. [Google Scholar] [CrossRef]
- Xu, Q.; Zhu, W.; Yin, Y. Diagnostic value of anti-mitochondrial antibody in patients with primary biliary cholangitis: A systemic review and meta-analysis. Medicine 2023, 102, e36039. [Google Scholar] [CrossRef] [PubMed]
- Nagai, A.; Nagai, T.; Yaguchi, H.; Fujii, S.; Uwatoko, H.; Shirai, S.; Horiuchi, K.; Iwata, I.; Matsushima, M.; Ura, S.; et al. Clinical features of anti-mitochondrial M2 antibody-positive myositis: Case series of 17 patients. J. Neurol. Sci. 2022, 442, 120391. [Google Scholar] [CrossRef] [PubMed]
| Fluorescence Pattern | Associated Specificities | |
|---|---|---|
![]() 1:600 | Homogeneous pattern (AC-1) Homogeneously dispersed nuclear fluorescence can be distinguished in the preparation by an intensely and uniformly stained chromatin mass in mitotic cells. | Anti-dsDNA 1 Anti-histone Anti-nucleosome |
![]() 1:600 | Nuclear dense fine speckled pattern (AC-2) A grainy pattern evenly dispersed in the nucleus, characterized by different sizes, fluorescence intensity and speckled distribution. The metaphase plate shows a strongly mottled pattern with thick spots. | Anti-DFS-70 2 |
1:600 | Centromere pattern (AC-3) Discrete coarse speckles scattered in interphase cells and aligned at the chromatin mass on mitotic cells. | Anti-Centromere A protein Anti-Centromere B protein |
1:600 ![]() | Nuclear fine speckled (AC-4) Fine-grained fluorescence dispersed evenly throughout the nucleus of the cell. In addition, an unstained chromatin mass of mitotic cells can be observed in the preparation. | Anti-SS-A/Ro 3 Anti-SS-B/La 4 Anti-Mi-2 5 Anti-TIF1γ 6 Anti-TIF1β 7 Anti-Ku 8 |
1:600 | Nuclear large/coarse speckled pattern (AC-5) Coarse speckles across all nucleoplasm. The nucleoli may be stained or not stained. The chromatin mass in mitotic cells (metaphase, anaphase and telophase) is not stained. | Anti-Sm 9 Anti-U1 RNP 10 Anti-RNA polymerase III |
1:600 | Multiple nuclear dot pattern (AC-6) Countable discrete nuclear speckles | Anti-Sp-100 11 Anti-PML antibodies 12 Anti-MJ/NXP-2 antibodies 13 |
![]() 1:600 | Nucleolar pattern Characteristic staining of nucleoli in the cell, which, depending on the antigens in their structures, show differentiated fluorescence. We can distinguish three types of nucleolus fluorescence—homogeneous (AC-8), clumpy (AC-9), punctate (AC-10). The homogeneous type is characterized by diffuse, intense coloration of the nucleoli. The clumpy type shows irregular fluorescence in terms of intensity and uniformity. In the punctate nucleolar, there are distinct, densely distributed grains | Anti PM/Scl-75 14 Anti PM/Scl-100 15 Anti Th/To 16 Anti mU3-snoRNP 17 RNA polymerase I, Anti hUBF/NOR-90 18 |
![]() 1:600 | Speckled cytoplasmic pattern (AC-18) Characterized by distinct speckles scattered throughout the cytoplasm. This pattern is frequently associated with autoantibodies directed against cytoplasmic components. | Anti-Jo-1 19 Anti-SRP 20 |
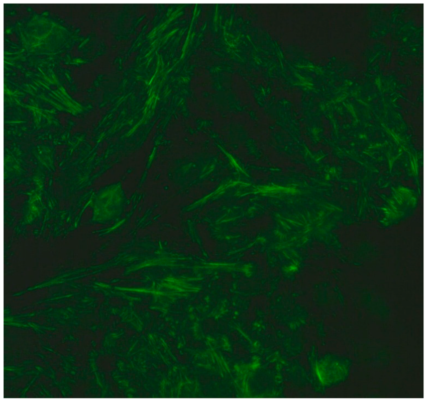
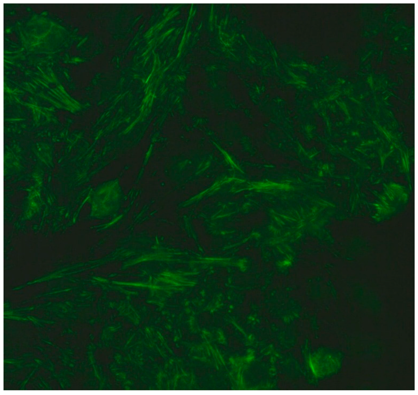
1:600 | Cytoplasmic fibrillar linear pattern (AC-15) Characterized by decorated cytoskeletal filaments, sometimes with small, discontinuous granular deposits. Typical staining shows striated actin cables spanning the long axis of the cells. | Anti-actin Anti-non-muscle myosin |
![]() 1:600 | Rod and ring pattern (AC-23) Visible intracellular polymer structures in the form of rings and rods are located within the cytoplasm of cells. | anti-IMPDH2 21 |
![]() 1:600 1:600 | Cytoplasmic dense fine speckled pattern (AC-19) The pattern appears cloudy, almost homogeneous throughout the cytoplasm. | Anti-PL-7 22 Anti-PL-12 23 Anti-ribosomal p protein |
1:600 | Cytoplasmic reticular/AMA pattern (AC-21) Coarse granular filamentous staining extending throughout the cytoplasm. | Anti-mitochondrial |
| Autoantibody | Associated Diseases | Clinical Importance | Sensitivity | Specificity |
|---|---|---|---|---|
| Anti-dsDNA | SLE (mainly lupus nephritis) | Disease activity marker; renal involvement; included in ACR/EULAR criteria | 20–90% (method-dependent) | High (often >95%) |
| Anti-Sm | SLE | Highly specific diagnostic marker; associated with CNS involvement | 5–40% | 96–98% |
| Anti-nRNP | MCTD, SLE | Key marker for MCTD (95%); milder CNS/renal involvement in SLE | 30% in SLE; 95% in MCTD | Moderate |
| Anti-SSA/Ro | SS, SCLE, NLE, SLE, SSc | Common in SS and SCLE; risk of neonatal lupus and congenital heart block | ~48% in SS | Moderate |
| Anti-SSB/La | SS, SLE | Often co-occurs with SSA/Ro; early disease marker | Lower than SSA | Moderate |
| Anti-Scl-70 | Diffuse SSc | Diffuse cutaneous SSc; ILD risk; associated with worse prognosis | ~60% in SSc | High (~95%) |
| Anti-centromere B protein | Limited SSc (CREST) | Associated with CREST syndrome; slow disease progression | ~80% in lcSSc | High |
| Anti-PM/Scl | PM/Scl overlap, SSc, DM | ILD, muscle involvement, overlap syndromes | 2–31% (varies by disease) | High |
| Anti-Jo-1 | ASS, PM/DM | ILD and myositis marker; poor prognosis; classic antisynthetase syndrome | 15–30% in IIM | High |
| Anti-Ribosomal P protein | SLE, autoimmune hepatitis | CNS involvement, juvenile SLE; adjunct marker when dsDNA/Sm negative | 10–40% in SLE | High (~95%) |
| Anti-PCNA | SLE, cancers | Controversial; possibly associated with severe SLE and malignancy | Low | High |
| Anti-histone | DILE, SLE | Key marker in DILE; also seen in SLE; renal involvement | 55–92% in SLE | 69–95% |
| Anti-nucleosome (ANuA) | SLE, DILE, MCTD | Early SLE marker; better correlation with disease activity than dsDNA; nephritis predictor | 52–80% in SLE | 97–98% |
| Anti-DFS70 | Healthy individuals, dermatitis, mild CTD | Exclusion marker for systemic autoimmunity when isolated | Detected in many healthy individuals | Low for CTD |
| AMA-M2 | Primary biliary cholangitis, SLE, IIM | Specific marker for PBC; rare in SLE without liver symptoms | ~95% in PBC | Very High |
Disclaimer/Publisher’s Note: The statements, opinions and data contained in all publications are solely those of the individual author(s) and contributor(s) and not of MDPI and/or the editor(s). MDPI and/or the editor(s) disclaim responsibility for any injury to people or property resulting from any ideas, methods, instructions or products referred to in the content. |
© 2025 by the authors. Licensee MDPI, Basel, Switzerland. This article is an open access article distributed under the terms and conditions of the Creative Commons Attribution (CC BY) license (https://creativecommons.org/licenses/by/4.0/).
Share and Cite
Kądziela, M.; Fijałkowska, A.; Kraska-Gacka, M.; Woźniacka, A. The Art of Interpreting Antinuclear Antibodies (ANAs) in Everyday Practice. J. Clin. Med. 2025, 14, 5322. https://doi.org/10.3390/jcm14155322
Kądziela M, Fijałkowska A, Kraska-Gacka M, Woźniacka A. The Art of Interpreting Antinuclear Antibodies (ANAs) in Everyday Practice. Journal of Clinical Medicine. 2025; 14(15):5322. https://doi.org/10.3390/jcm14155322
Chicago/Turabian StyleKądziela, Marcelina, Aleksandra Fijałkowska, Marzena Kraska-Gacka, and Anna Woźniacka. 2025. "The Art of Interpreting Antinuclear Antibodies (ANAs) in Everyday Practice" Journal of Clinical Medicine 14, no. 15: 5322. https://doi.org/10.3390/jcm14155322
APA StyleKądziela, M., Fijałkowska, A., Kraska-Gacka, M., & Woźniacka, A. (2025). The Art of Interpreting Antinuclear Antibodies (ANAs) in Everyday Practice. Journal of Clinical Medicine, 14(15), 5322. https://doi.org/10.3390/jcm14155322














