Analysis of the Correlation Between Postoperative MRI Findings, Patient-Reported Outcome Measures, and Residual Pain After Arthroscopic TFCC Repair—A Pilot Study
Abstract
1. Introduction
2. Materials and Methods
2.1. Study Population and Data Collection
2.2. Patient Characteristics
2.3. Demographic Target Parameters
2.4. Surgery
2.5. Magnet Resonance Imaging
2.6. Patient-Reported Outcome Measures (PROM)
2.7. Evaluation of Pain
3. Results
3.1. Follow-Up
3.2. Classification According to Palmer
3.3. Pain
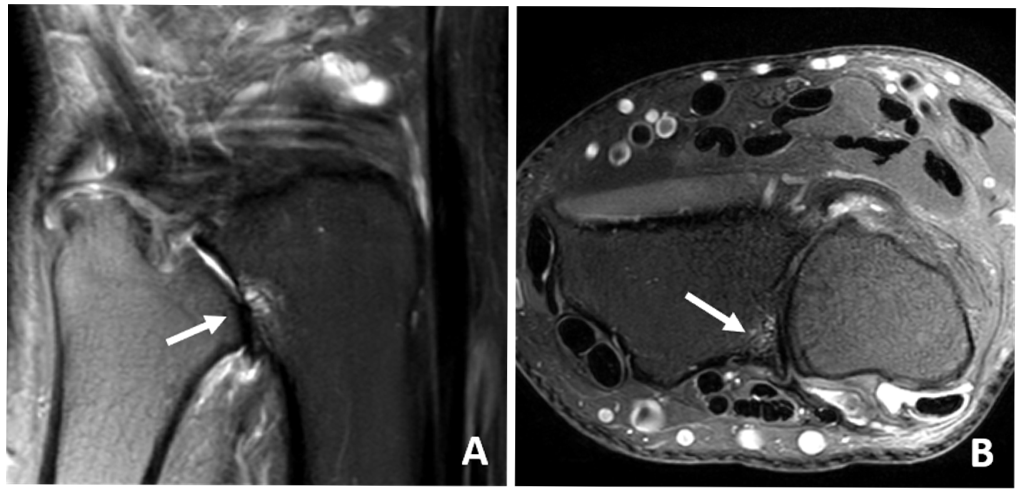
3.4. MRI Scan
3.5. PROM MWQ
4. Discussion
5. Conclusions
Author Contributions
Funding
Institutional Review Board Statement
Informed Consent Statement
Data Availability Statement
Conflicts of Interest
Abbreviations
| TFCC | Triangular fibrocartilage complex |
| PROM | Patient-reported outcome measurement |
| MRI | Magnet resonance imaging |
| MWQ | Munich Wrist Questionnaire |
| DRUJ | distal radioulnar joint |
References
- Unglaub, J.M.; Bruckner, T.; Heyse, T.J.; Eysel, P.; Langer, M.F.; Spies, C.K. Long-term results of more than 13 years after ar-throscopic repair of triangular fibrocartilage complex (TFCC) Palmer 1B tears: A comparison with short- and mid-term results. Eur. J. Trauma Emerg. Surg. 2021, 48, 2309–2317. [Google Scholar] [CrossRef] [PubMed]
- Wu, M.; Miller, P.E.; Waters, P.M.; Bae, D.S. Early Results of Surgical Treatment of Triangular Fibrocartilage Complex Tears in Children and Adolescents. J. Hand Surg. 2020, 45, 449-e1–449-e9. [Google Scholar] [CrossRef] [PubMed]
- Lee, J.K.; Hwang, J.Y.; Lee, S.Y.; Kwon, B.C. What is the Natural History of the Triangular Fibrocartilage Complex Tear Without Distal Radioulnar Joint Instability? Clin. Orthop. Relat. Res. 2019, 477, 442–449. [Google Scholar] [CrossRef] [PubMed]
- Feitz, R.; Khoshnaw, S.; van der Oest, M.J.W.; Souer, J.S.; Slijper, H.P.; Hovius, S.E.R.; Selles, R.W. Long-term patient-reported outcomes for open surgery of the triangular fibrocartilage complex. Bone Jt. Open 2021, 2, 981–987. [Google Scholar] [CrossRef] [PubMed]
- Selles, C.A.; d’Ailly, P.N.; Schep, N.W.L. Patient-Reported Outcomes following Arthroscopic Triangular Fibrocartilage Complex Repair. J. Wrist Surg. 2020, 9, 58–62. [Google Scholar] [CrossRef] [PubMed]
- Bayoumy, M.A.; Elkady, H.A.; Said, H.G.; El-Sayed, A.; Saleh, W.R. Short-term evaluation of arthroscopic outside-in repair of ulnar side TFCC tear with vertical mattress suture. J. Orthop. 2016, 13, 455–460. [Google Scholar] [CrossRef] [PubMed]
- Soreide, E.; Husby, T.; Haugstvedt, J.R. A long-term (20 years’) follow-up after arthroscopically assisted repair of the TFCC. J. Plast. Surg. Hand Surg. 2017, 51, 296–300. [Google Scholar] [CrossRef] [PubMed]
- Moloney, M.; Farnebo, S.; Adolfsson, L. 20-Year outcome of TFCC repairs. J. Plast. Surg. Hand Surg. 2018, 52, 193–197. [Google Scholar] [CrossRef] [PubMed]
- Thalhammer, G.; Haider, T.; Lauffer, M.; Tunnerhoff, H.G. Mid- and Long-Term Outcome After Arthroscopically Assisted Transosseous Triangular Fibrocartilage Complex Refixation-Good to Excellent Results in Spite of Some Loss of Stability of the Distal Radioulnar Joint. Arthrosc. J. Arthrosc. Relat. Surg. Off. Publ. Arthrosc. Assoc. N. Am. Int. Arthrosc. Assoc. 2021, 37, 1458–1466. [Google Scholar] [CrossRef] [PubMed]
- Wolf, J.M.; Dukas, A.; Pensak, M. Advances in wrist arthroscopy. J. Am. Acad. Orthop. Surg. 2012, 20, 725–734. [Google Scholar] [CrossRef] [PubMed]
- Beirer, M.; Serly, J.; Vester, H.; Pforringer, D.; Cronlein, M.; Deiler, S.; Biberthaler, P.; Kirchhoff, C. The Munich Wrist Questionnaire (MWQ)—De-velopment and validation of a new patient-reported outcome measurement tool for wrist disorders. BMC Musculoskelet. Disord. 2016, 17, 167. [Google Scholar] [CrossRef] [PubMed][Green Version]
- Srinivasan, R.C.; Shrouder-Henry, J.J.; Richard, M.J.; Ruch, D.S. Open and Arthroscopic Triangular Fibrocartilage Complex (TFCC) Repair. J. Am. Acad. Orthop. Surg. 2021, 29, 518–525. [Google Scholar] [CrossRef] [PubMed]
- Liu, E.H.; Suen, K.; Tham, S.K.; Ek, E.T. Surgical Repair of Triangular Fibrocartilage Complex Tears: A Systematic Review. J. Wrist Surg. 2021, 10, 70–83. [Google Scholar] [CrossRef] [PubMed]
- Dunn, J.C.; Polmear, M.M.; Nesti, L.J. Surgical Repair of Acute TFCC Injury. Hand 2020, 15, 674–678. [Google Scholar] [CrossRef] [PubMed]
- van der Post, A.S.; Jens, S.; Smithuis, F.F.; Obdeijn, M.C.; Oostra, R.J.; Maas, M. The triangular fibrocartilage complex on high-resolution 3 T MRI in healthy adolescents: The thin line between asymptomatic findings and pathology. Skelet. Radiol. 2021, 50, 2195–2204. [Google Scholar] [CrossRef]







| Sequence | Axial IM/SPIR | Sagittal IM/SPIR | Coronal IM/SPIR | Coronal T1 |
|---|---|---|---|---|
| Echo time (ms) | 50 | 50 | 50 | 20 |
| Repetition time (ms) | 2419 | 2567 | 2500 | 614 |
| Flip angle | 90 | 90 | 90 | 90 |
| Field of view (mm3) | 80 × 60 × 60 | 80 × 60 × 80 | 100 × 40 × 40 | 100 × 40 × 40 |
| Slice Thickness (mm) | 2 | 2 | 2 | 2 |
| Slice number | 28 | 20 | 27 | 18 |
| Gender | Time After Surgery (Months) | Age | Pathological Findings on MR Images | Pain Score | MWQ (%) | |
|---|---|---|---|---|---|---|
| Patient 1 | Female | 36 | 45 |
| 25 | 59 |
| Patient 2 | Female | 19 | 24 | \ | 16 | 58 |
| Patients with Pain n = 7 (41%) [n] | Patients Without Pain n = 10 (59%) [n] | Percentage of the Study Population n = 17 [n] | |
|---|---|---|---|
| Edema lunate | 3 (43%) | 2 (20%) | 5 (29%) |
| Effusion recessus ularis | 3 (43%) | 6 (60%) | 9 (53%) |
| Radioulnar arthrosis | 2 (29%) | 2 (20%) | 4 (24%) |
| Scar tissue TFCC | 4 (57%) | 6 (60%) | 10 (59%) |
| SL ligament rupture | 2 (29%) | 3 (30%) | 5 (29%) |
| LT ligament rupture | 2 (29%) | 2 (20%) | 4 (24%) |
| DRUJ cartilage thinning | 2 (29%) | 5 (50%) | 7 (41%) |
| DRUJ cartilage defects | 2 (29%) | 2 (20%) | 4 (24%) |
| DRUJ bone edema | 1 (14%) | 0 | 1 (6%) |
| DRUJ fracture | 1 (14%) | 1 (10%) | 2 (12%) |
| DRUJ bone cysts | 0 | 3 (30%) | 3 (18%) |
Disclaimer/Publisher’s Note: The statements, opinions and data contained in all publications are solely those of the individual author(s) and contributor(s) and not of MDPI and/or the editor(s). MDPI and/or the editor(s) disclaim responsibility for any injury to people or property resulting from any ideas, methods, instructions or products referred to in the content. |
© 2025 by the authors. Licensee MDPI, Basel, Switzerland. This article is an open access article distributed under the terms and conditions of the Creative Commons Attribution (CC BY) license (https://creativecommons.org/licenses/by/4.0/).
Share and Cite
von Matthey, F.; Hampel, F.; Feuerriegel, G.; Woertler, K.; Gersing, A.; Abel, H. Analysis of the Correlation Between Postoperative MRI Findings, Patient-Reported Outcome Measures, and Residual Pain After Arthroscopic TFCC Repair—A Pilot Study. J. Clin. Med. 2025, 14, 3729. https://doi.org/10.3390/jcm14113729
von Matthey F, Hampel F, Feuerriegel G, Woertler K, Gersing A, Abel H. Analysis of the Correlation Between Postoperative MRI Findings, Patient-Reported Outcome Measures, and Residual Pain After Arthroscopic TFCC Repair—A Pilot Study. Journal of Clinical Medicine. 2025; 14(11):3729. https://doi.org/10.3390/jcm14113729
Chicago/Turabian Stylevon Matthey, Francesca, Franziska Hampel, Georg Feuerriegel, Klaus Woertler, Alexandra Gersing, and Helen Abel. 2025. "Analysis of the Correlation Between Postoperative MRI Findings, Patient-Reported Outcome Measures, and Residual Pain After Arthroscopic TFCC Repair—A Pilot Study" Journal of Clinical Medicine 14, no. 11: 3729. https://doi.org/10.3390/jcm14113729
APA Stylevon Matthey, F., Hampel, F., Feuerriegel, G., Woertler, K., Gersing, A., & Abel, H. (2025). Analysis of the Correlation Between Postoperative MRI Findings, Patient-Reported Outcome Measures, and Residual Pain After Arthroscopic TFCC Repair—A Pilot Study. Journal of Clinical Medicine, 14(11), 3729. https://doi.org/10.3390/jcm14113729

