Next Article in Journal
The Impact of LDL Cholesterol, HDL Cholesterol, Triglycerides, and Vitamin D on Short-Term Implant Survival Rate: A Prospective Observational Study
Next Article in Special Issue
Multiple Self-Made Side Holes in a Fully Covered Metal Stent Prevent Intrahepatic Bile Duct Occlusion Following Endoscopic Ultrasound-Guided Hepaticogastrostomy: A Retrospective Study in Japan
Previous Article in Journal
Apigenin Attenuates Hepatic Ischemia–Reperfusion-Induced Lung Injury via Downregulation of MMP-3 and MCP-1: An Experimental Study in Rats
Previous Article in Special Issue
Impact of GLP-1 Receptor Agonists in Gastrointestinal Endoscopy: An Updated Review
 
 
Font Type:
Arial Georgia Verdana
Font Size:
Aa Aa Aa
Line Spacing:
Column Width:
Background:
Review

Endoscopic Management of Ampullary Adenomas: A Comprehensive Review

by
Minh Thu T. Nguyen
1,
Ruchir Paladiya
2,
Dushyant Singh Dahiya
3,* and
Murali Dharan
1
1
Division of Gastroenterology and Hepatology, Department of Internal Medicine, University of Connecticut Health Center, Farmington, CT 06030, USA
2
Department of Internal Medicine, University of Connecticut Health Center, Farmington, CT 06030, USA
3
Division of Gastroenterology, Hepatology and Motility, The University of Kansas School of Medicine, Kansas City, KS 66160, USA
*
Author to whom correspondence should be addressed.
J. Clin. Med. 2025, 14(10), 3532; https://doi.org/10.3390/jcm14103532
Submission received: 29 March 2025 / Revised: 10 May 2025 / Accepted: 16 May 2025 / Published: 18 May 2025

Abstract

Ampullary adenomas are rare outgrowths at the ampulla of Vater that may progress into cancer via the adenoma-to-carcinoma sequence, particularly in individuals with hereditary polyposis syndrome. Many are diagnosed incidentally or once the lesion becomes large enough to cause obstruction. Traditionally managed surgically with high morbidity and mortality, advances in imaging and therapy have made endoscopic ampullectomy the first-line treatment for noninvasive lesions. Despite its high success rate and favorable safety profile, complications such as pancreatitis, ductal stenosis, bleeding, recurrence, and perforation can occur. Recommendations for optimal endoscopic techniques and surveillance intervals are largely based on expert opinion in interventional endoscopy and findings from small-scale studies. This review provides an updated framework for the diagnosis and management of ampullary adenomas.

1. Introduction

Ampullary adenomas are glandular, dysplastic polyps that arise in the ampullary complex of the duodenum, just distal to the confluence of the common bile duct (CBD) and pancreatic duct (PD). They may originate from the pancreas, CBD, duodenum, or structures of the ampulla of Vater itself, including the sphincter of Oddi and papilla of Vater. The risk of malignancy increases with lesions larger than 10 mm, with up to half potentially harboring small foci of adenocarcinoma [1]. The malignant potential of these neoplasms, combined with their remote location, makes their identification and staging challenging.
Over the past decade, the treatment for ampullary adenomas has shifted from surgery to endoscopic ampullectomy (EA). However, variations in diagnosis, staging, resection, and surveillance persist due to the rarity of the pathology and lack of large studies. Complications from EA are more significant than those seen with other endoscopic procedures, highlighting the need for expertise. This review aims to provide an updated overview of diagnosis and management of ampullary adenomas.

2. Ampullary Adenomas

2.1. Epidemiology

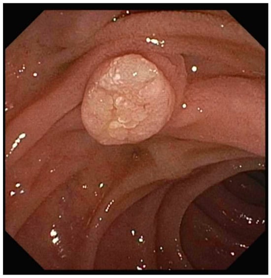
Neoplasms are more common in the ampullary region than in any other area of the small intestine (Figure 1) [2]. Ampullary adenomas have an estimated incidence of 0.04–0.12%, based on post-mortem autopsy series [3]. Sporadic ampullary adenomas are most commonly detected in patients over 40 years old, with peak prevalence occurring in the sixth to seventh decades of life [4]. In cases of genetic predisposition observed in familial adenomatous polyposis (FAP), hereditary nonpolyposis colorectal cancer (HNPCC), and mutY DNA glycosylase (MUTYH)-associated polyposis, they are often identified earlier because of heightened screening recommendations (Figure 2) [4]. Although adenomas account for most ampullary masses, a range of non-neoplastic, benign, and malignant lesions must also be considered (Table 1) [5].

2.2. Premalignant Potential

Ampullary adenomas are premalignant lesions, with cancer foci present in 15–60% of cases (Figure 3) [6]. They can progress to ampullary adenocarcinomas, which make up about 0.5% of gastrointestinal neoplasms (Figure 4 and Figure 5) [4]. Ampullary adenocarcinoma most commonly arises in an analogous fashion to colorectal cancer, following a well-documented adenoma–carcinoma sequence [2]. Patients with FAP have an autosomal dominant mutation in the adenomatous polyposis coli (APC) gene that predisposes them to developing numerous adenomas [7]. This population has a lifetime risk of developing duodenal adenomas approaching 90%, with a cumulative possibility of adenocarcinoma up to 10% [7]. Since many undergo early proctocolectomy for cancer prevention, ampullary adenocarcinoma is the leading cause of death in post-colectomy FAP patients [7].

2.3. Clinical Manifestations

Ampullary adenomas are typically discovered incidentally during endoscopy or imaging, as most patients are asymptomatic [2]. Symptomatic cases usually result from mass effect due to compression of the nearby biliary and pancreatic ducts [2]. Common clinical manifestations include jaundice and epigastric pain. Less typical symptoms include nausea, vomiting, weight loss, early satiety, abdominal distension, biliary colic, pruritis, or cholangitis [8]. Rarely, patients may present with acute pancreatitis, iron deficiency anemia, or upper gastrointestinal bleeding [8].

3. Endoscopic Ampullectomy (EA)

3.1. Surgery

Ampullary adenomas were traditionally treated with the Whipple procedure (pancreaticoduodenectomy), which involves removal of the pancreatic head, duodenum, jejunum, gallbladder, and gastric antrum [9]. Given its extensive nature, the Whipple procedure is associated with high morbidity and mortality (50–65% and 0–9%, respectively) [10,11]. The benefit of radical resection is that it removes local lymph node metastases, which may remain undetected, and eliminates the need for endoscopic surveillance in patients without adenomatous polyposis syndrome [9]. It is curative for patients with sporadic adenomas or non-metastatic periampullary cancers [9].
Transduodenal surgical ampullectomy (TSA) is a minimally invasive surgery [9,11]. Its morbidity and mortality rates are lower than those of pancreaticoduodenectomy but remain significant (14–27% and 0–4%, respectively) [10,11]. Recurrence rates are high (5–30%), warranting continued endoscopic surveillance [3,9,10].
A study of 30 patients found that EA was associated with shorter intervention times, less blood loss, fewer complications, lower morbidity, and shorter hospital stays compared to surgery. However, re-intervention rates were higher in the endoscopic group [12]. A meta-analysis reported a complete resection rate of 76.6% (R0) and a recurrence rate of 13.0% for EA, compared to a 96.4% R0 rate and a 9.4% recurrence rate for TSA [13]. Another multicenter study found higher R0 resection rates in the TSA group (90.5% vs. 73.1%; p < 0.001) than in the EA group, even after additional ablation in the latter [14]. The study also reported a higher recurrence rate (16%) in the EA group than in the TSA group [14].
Despite these limitations, EA is recommended for benign lesions due to its favorable safety profile and shorter recovery time [14]. Surgery, while associated with higher morbidity (28.3%) and longer recovery, is considered when EA is not feasible or has failed [13]. A pooled analysis of three datasets showed that pancreaticoduodenectomy had the highest R0 resection rate (98.9%) and recurrence rate (14.2%) but also the highest morbidity (44.7%) and mortality [13]. It is typically reserved for high-risk or malignant lesions because of its extensive nature and high complication rate [14]. However, existing studies are heterogeneous and difficult to compare, which leaves room for informed discussion between the clinician and the patient.

3.2. Emergence of EA

EA was first described in 1983 and later detailed in a case series by Binmoeller et al. in 1993 [15]. Since then, EA has become the first-line therapy for excision of ampullary adenomas [16]. It requires advanced endoscopy training, limiting its availability in academic and tertiary referral centers. “Endoscopic ampullectomy” and “endoscopic papillectomy” are often used interchangeably, although the latter is technically more precise [16].

4. Pre-Operative Imaging

Abdominal ultrasound (US) is the first choice for evaluating obstructive jaundice due to its speed, cost, and availability. However, it often misses ampullary adenomas, relying on secondary signs such as duct dilation, and is limited by gas interference, making it inadequate for staging [17]. Contrast-enhanced abdominal computed tomography (CT) can detect soft tissue masses, including those at the ampulla, irregular margins, and dilated ducts [18]. However, CT has low sensitivity for smaller neoplasms, with a reported accuracy of only 20% [17]. Although not sensitive enough for local staging, helical CT is useful for detecting regional lymphadenopathy and distant metastases [19].
Magnetic resonance imaging (MRI) and magnetic resonance computed tomography (MRCP) are often used as noninvasive methods to investigate ductal abnormalities observed on US or CT [18]. They can distinguish ampullary adenomas as filling defects or a dilated CBD with distal focal stricture [18]. However, these imaging methods are non-diagnostic, as they cannot directly visualize the ampulla or allow for tissue sampling. Although liver function tests may indicate cholestatic injury from obstruction, no specific laboratory test or tumor marker for ampullary adenomas currently exists.

5. Diagnostic Testing

Diagnosis is confirmed through histopathology using a high-definition side-viewing endoscope and should be established before resection [20]. Direct macroscopic inspection alone is insufficient, as adenomas and adenocarcinomas may visually resemble other ampullary lesions [21]. Benign polyps typically have regular margins, soft consistency, and no ulcerations or bleeding [4,22]. Features of malignancy include induration, rigidity of the papilla upon probing, mucosal ulceration, and erythema [23]. In one study of 56 patients, failure to achieve an uplifted cleavage plane with submucosal injection was the strongest predictor of malignancy [24].
Several forceps biopsies should be obtained to maximize diagnostic accuracy [4]. If the lesion contains multiple folds, orienting the forceps parallel to the folds can decrease reactive fibrosis [25]. Random ampullary biopsies are also recommended, as normal-appearing papillae may harbor precancerous changes. To avoid inducing pancreatitis, tissue should ideally be sampled at the 10–12 o’clock position, away from the pancreatic orifice [4,26]. Biopsies can also be obtained from pancreatic and biliary intraductal segments. If the patient is undergoing concomitant endoscopic retrograde cholangiopancreatography (ERCP), obtaining biopsies after sphincterotomy improves diagnostic yield [16]. Brush cytology and fine-needle aspiration (FNA) may be used alongside forceps biopsies, but there are no data to support their standalone use in this setting [27]. A consensus guideline reported diagnostic rates (adenoma or adenocarcinoma) of 45–80% among ampullary biopsies, with false-negative results seen in 16–60% of patients with adenocarcinoma [3,28,29]. Complete resection definitively rules out foci of malignancy; one study reported a 64% diagnostic agreement between pre-ampullectomy biopsy and ampullectomy pathology [30].
Some endoscopists apply chromoendoscopy with non-absorptive dyes (most commonly indigo carmine) to help determine the margins of flat lesions, although this is not routine practice [16,20]. When available, optical enhancements with white light, magnification, and narrow-band imaging (NBI) allow for direct visualization of underlying irregular microvessels and mucosal microstructures, further complementing diagnostic precision [31,32]. Biopsy samples may be subjected to immunohistochemical staining for the p53 tumor suppressor gene, polymerase chain reaction (PCR) for the K-ras gene mutation, microRNA expression analysis, and flow cytometry to enhance diagnostic accuracy [16,33,34]. It is important to have an experienced pathologist to review the specimen, as intra-observer variability is common [19]. Patients with biopsies positive for adenocarcinoma should be promptly referred to an oncologic or hepatobiliary surgeon.

6. Staging

Small, non-malignant lesions less than 20 mm in size can generally be resected without extensive evaluation. However, comprehensive multimodal staging is crucial before endoscopic removal. Various imaging modalities, such as endoscopic ultrasound (EUS), MRCP, and ERCP, can be used to define the type and extent of the lesion. These modalities are particularly effective for evaluating submucosal invasion, lymph node metastasis, and the extent of intraductal invasion [35].

6.1. Endoscopic Retrograde Cholangiopancreatography (ERCP)

ERCP is important for local staging and can be performed immediately before EA [36]. It allows for visualization of any intraductal spread of the ampullary lesion into the pancreatic and biliary ducts using fluoroscopy [36]. ERCP may also serve as a therapeutic option for biliary decompression following stent placement if there is evidence of obstruction.

6.2. Endoscopic Ultrasound (EUS)

EUS is reserved for evaluating large ampullary adenomas (≥2 cm) or lesions with malignant features on endoscopy [26,37]. It is used for preoperative staging of ampullary cancers [37]. EUS has been shown to be superior to CT, MRI, and US for this purpose, although not significantly superior to IDUS [38]. In one study, the sensitivity and specificity of EUS for detecting intraductal extension were 80% and 93%, respectively, comparable to 83% and 93% for ERCP [39]. Using a linear echoendoscope, EUS can also assess lesion depth and local lymph node involvement [40].

6.3. Intraductal Ultrasound (IDUS)

Endoscopy alone faces many challenges in precise staging, including difficulty distinguishing adenomatous tissue from normal papillary tissue, optical distortions that skew diameter measurements, and partial visual occlusion of adenomas by the rim of the papilla [41]. IDUS is useful for the detailed evaluation of narrow ductal cavities and neighboring structures because of its higher-frequency waves (12–30 MHz), which produce high-resolution images within a 2 cm radius [42]. IDUS is performed using a small, thin-caliber probe that can be inserted during cannulation in ERCP, usually after sphincterotomy [42]. This modality is superior to ERCP alone for staging ampullary adenomas [26,43]. The diagnostic accuracy of T staging in ampullary cancers ranges from 62–90% for EUS and 78–93% for IDUS [41,43]. However, IDUS is not available at many institutions, increases the risk of pancreatitis, and may overestimate tumor staging [43]. It is recommended only when there is strong clinical suspicion of tumor extension, as its use could guide the decision between surgical and endoscopic management.

7. EA Techniques

7.1. Indications

EA techniques depend on lesion size, intraductal involvement, spread, polyposis syndrome, and endoscopist’s preference. Risks and benefits should be discussed with patients, considering age, comorbidities, life expectancy, and follow-up ability. For those not opting for intervention, close observation with imaging, alone or combined with endoscopy, is a reasonable approach. Alternatively, patients who are too ill or have a limited prognosis for any reason may be best served by foregoing endoscopic ampullectomy or surgery altogether.
Ampullary adenomas can generally be removed endoscopically if they are ≤3 cm in size, have ≤1 cm extension into the bile or pancreatic duct, possess benign histology, and show no signs of advanced duodenal polyposis [26]. Exceptions may apply for experienced endoscopists, with some ampullary adenomas >3 cm safely resected [44]. While endoscopic resection of well-differentiated ampullary adenocarcinoma is increasingly performed, it should be performed only by experts due to the risk of residual neoplasia in surrounding structures and lymph nodes [45,46]. Lesions with moderately to poorly differentiated adenocarcinoma should not be treated with EA and should instead be referred for surgery [1].

7.2. Procedure Set-Up

Similar to other endoscopic procedures, patients must fast overnight and usually require moderate-to-deep sedation. General anesthesia may be needed if prolonged procedure time is anticipated for complex lesions. Prior clearance from cardiology or pulmonology is recommended for patients with cardiopulmonary comorbidities.
A standard therapeutic duodenoscope can be used in most cases, though some experts prefer a larger one to allow easier passage of snare and thermal probes, as well as for aspirating air and argon gas [16]. Features such as NBI and high-definition optics enhance lesion inspection.
At the start of the procedure, the lesion is first inspected for signs of malignancy and probed for firmness and mobility. The pancreatic and bile ducts are cannulated and partially filled with contrast to assess ductal extension and anatomy, and to prepare for possible stent placement. Optionally, diluted methylene blue is injected to outline the pancreatic duct for easier post-resection identification [47].

7.3. Endoscopic Resection

Lesions located solely in the papilla with clear margins should be resected en bloc to ensure complete resection and preserve the specimen integrity for histopathology [48]. This also reduces procedural time, minimizes cauterization, and decreases reactive fibrosis [48]. Both standard braided polypectomy snares and fine-wire snares can be used, though thin, rigid snare wires may offer better resection depth, especially when incising the sphincter of Oddi [49]. Snare positioning can be cephalad-to-caudal or caudal-to-cephalad. The snare tip is anchored above the papilla before snaring the entire mass. Once the mobility is confirmed, the snare is firmly closed for en bloc resection.
Complete resection is deemed successful if no residual lesion is visible or confirmed histologically during initial follow-up. Lesions larger than 2 cm, with irregular shapes or lateral spread, may require piecemeal resection with endoscopic mucosal resection (EMR) or endoscopic submucosal dissection (ESD), often necessitating multiple attempts [50].
If a lateral spread is present, it is first removed to isolate the ampullary lesion [50]. Case reports have described cold snare polypectomy (CSP) for resecting lateral spreading ampullary growths, as opposed to hot snare [50,51]. This approach can potentially reduce the incidence of thermal injury complications, delayed hemorrhage, and perforation risk [51,52]. However, CSP of a laterally spreading component may carry a risk of residual disease [53].

7.4. Submucosal Injection

Submucosal injection separates the targeted lesion from the underlying muscular layer, allowing for easier removal, reduced thermal injury, and a decreased risk of bleeding or perforation [54]. This technique is commonly used for large or laterally spreading growths, typically during EMR or ESD [54]. However, there is no consensus on the routine use of submucosal injections in EA. Similarly, the injection volume and type of solution are not standardized.
A prospective multicenter study by Hyun et al. found that injection with 1:10,000 diluted epinephrine prior to EA offered no advantage in terms of achieving complete resection or reducing the incidence of adverse events such as bleeding [55]. Administering epinephrine via injection at the inferior (caudal) aspect of the ampullary lesions can clearly delineate the inferior margin. Elevating the caudal component may facilitate the “fulcrum technique”, in which the tip of an open snare, embedded superficially in the duodenal mucosa at the cranial aspect of the lesion, engages the entire ampullary lesion flush with the duodenal wall [56,57].
Submucosal injections for lifting are particularly challenging and problematic at the ampulla due to its complex anatomy. The duodenal papilla contains the ampulla of Vater, which is a confluence of the biliary and pancreatic ducts that terminates in the muscularis propria of the duodenal wall [58,59]. Ampullary adenomas are tethered to the ducts and may develop ballooning and mushroom effects with injection, which can misalign the snare and hinder complete excision [58]. There are reports of increased rates of post-resection pancreatitis with injections [10]. We do not recommend submucosal injection unless there is evidence of extra-ampullary extension or lateral spread beyond the ductal openings. When necessary, we prefer to restrict lifting injections to the areas surrounding the ampulla, avoiding direct injection into the center.

7.5. Electrocautery Settings

The optimal electrocautery settings have not been firmly established. Before the widespread availability of the blended current ENDOCUT® (Erbe), pure cutting current AUTOCUT® (Erbe) was preferred, as it enabled swift lesion removal with less collateral damage to the ducts. Now preferred at many institutions, the ENDOCUT® setting combines cutting and coagulation currents in short, alternating bursts with pauses, automatically adjusting output to overcome tissue resistance [60]. Exact parameters may vary depending on the specific equipment; however, a commonly used preset includes a pure cut current with an output limit of 120 W and a soft coagulation current with an output limit of 30 W [60]. One study recommends using an ENDOCUT® setting of effect 1, duration 4, and interval 1 [49].
A prospective, single-blind trial by Iwasaki et al. demonstrated that both pure cutting and blended current modes have similar efficacy and safety; however, the blended current reduces the risk of immediate bleeding in patients with large lesions (≥14 mm diameter) [61]. Conversely, the ENDOCUT® mode may increase the risk of postoperative pancreatitis by causing thermal tissue damage, as well as blurring tumor margins and hindering the assessment of vertical invasion depth [60].

7.6. Retrieval of Resected Specimen

The resected specimen should be promptly retrieved using a snare or Roth net to prevent it from migrating distally into the jejunum due to peristalsis [10]. Air insufflation and aspiration should be avoided to prevent specimen fragmentation and potential loss of malignant foci. Antispasmodics such as glucagon and scopolamine-butyl may help prevent specimen loss. Positioning the patient prone encourages the specimen to move toward the duodenal bulb due to gravity.

7.7. Ablative Therapies

After specimen collection, the duodenoscope is reinserted at the papillary site to carefully inspect for bleeding or residual polyp tissue. While ablation is not routinely recommended, it may be used in cases of evident residual tissue or recurrence. Argon plasma coagulation (APC) is the preferred method, though other options include laser therapy, photodynamic therapy, and monopolar/bipolar electrocoagulation.
A disadvantage of ablation is that it can destroy lesion margins, making it technically difficult to obtain clean biopsy specimens. To date, studies have not shown a significant benefit from adjunctive therapy. In one study involving 103 patients, the success rates of EA with (81%) and without (78%) thermal ablation were comparable [48]. Furthermore, thermal therapy is not recommended as a standalone method for resection.
Radiofrequency ablation (RFA) has been studied for recurrent ampullary adenomas, especially in cases with residual neoplasia after EA. A multicenter study by Camus et al. evaluated intraductal RFA in 20 patients with confirmed endobiliary adenoma remnants, showing a 70% dysplasia eradication rate at 12 months with a good safety profile [62]. Adverse events occurred in 40% of patients, but none were major [62]. Rustagi et al. found a 92% treatment success rate in 14 patients with ampullary neoplasms and intraductal extension, with 100% success in those treated solely with RFA; ductal strictures were common but manageable with stent therapy [63].

7.8. Pancreatic and Biliary Stenting

Experts recommend PD stenting shortly after excision as a prophylaxis against post-ampullectomy pancreatitis. Prophylactic stenting is considered anecdotally effective and is based on small-scale studies. Pancreatic stenting may also reduce the risk of reactive stenosis in the PD orifice. We always perform PD stenting unless contraindicated, usually with a 5 French, 3 cm plastic stent. As an additional measure, we administer a one-time dose of rectal indomethacin suppository (100 mg). Rectal indomethacin is well-proven to significantly reduce the incidence of post-ERCP pancreatitis. The PD stent is then retrieved 1–2 weeks later via EGD using rat-tooth grasping forceps, if it has not fallen out already (usually seen on abdominal X-ray). We recommend routine placement of PD stents in patients without pancreatic divisum.
Since postprocedural cholangitis is rare, prophylactic biliary stenting is recommended only on a case-by-case basis—typically when there are concerns about inadequate biliary drainage or the presence of biliary stones or sludge. For instance, biliary stenting may be beneficial in the event of major bleeding to facilitate bile drainage or when there is concern for microperforation. These plastic stents are usually removed after 2–3 weeks. During EA, resection of any biliary intraductal ingrowth should generally be avoided to minimize excessive manipulation and reduce the risk of shearing the resection site, which could lead to immediate hemorrhage.

7.9. Pancreatic and Biliary Sphincterotomy

Routine sphincterotomy of either duct is not recommended. When intraductal extension of the lesion is visualized, a small sphincterotomy may be performed to expose the distal CBD. A balloon-tipped catheter can then be used to evert the intraductal segment outward into the CBD, facilitating resection. Aggressive sphincterotomy may cause tissue injury to the pancreatic and biliary orifices, increasing the risk of ductal stenosis, bleeding, or infection.
Some centers prefer performing a biliary sphincterotomy before EA, as it allows the PD guidewire to remain in place and facilitates passage of the snare over the wire for polyp resection [64]. Biliary sphincterotomy also helps prevent the specimen from dislodging before placement of the PD stent, enabling immediate retrieval. Additionally, biliary sphincterotomy may mitigate the risk of obstruction caused by reactive edema or clots. Maintaining a PD guidewire after resection ensures continued ductal access and supports timely placement of a PD stent [64].

7.10. Post-Procedural Care

After EA, post-procedural care is influenced by lesion location, procedure duration, and the endoscopist’s experience. One group with extensive experience observed patients for 4 h before discharging them the same day [65]. More commonly, patients are admitted overnight to an observation unit, kept on nothing by mouth for 4 h, and started on maintenance intravenous fluid for hydration. An oral proton pump inhibitor (PPI), typically pantoprazole 40 mg twice daily, is prescribed for 4–8 weeks [4]. Antiplatelet agents are usually held for 7 days. The diet is advanced as tolerated, starting with clear liquid the following morning. If no complications are observed, patients may be discharged with close follow-up in the GI clinic a month later. Patients are also instructed to avoid non-steroidal anti-inflammatory drugs (NSAIDs) for one week to reduce the risk of post-procedural bleeding.

8. Adverse Events

Although endoscopic approaches have a safer profile compared to surgical alternatives, endoscopists must be aware of potential complications, including immediate or delayed bleeding, pancreatitis, cholangitis, stenosis, perforation, recurrence, and the need for emergency surgery.

8.1. Pancreatitis

Pancreatitis is a common potential complication of EA, primarily due to direct irritation of the pancreatic orifice, with an incidence ranging from 3 to 25%. It typically occurs within the first 12 h after the procedure. Special care should be taken when sampling small lesions near the pancreatic orifice (at 5 o’clock position with the papilla is viewed en face), especially in patients with FAP. Pancreatitis classically presents as moderate-to-severe epigastric pain, accompanied by at least a threefold elevation in amylase and lipase levels or radiographic evidence of pancreatic inflammation.
The mainstay treatment is supportive and includes aggressive intravenous hydration, bowel rest, pain alleviation, and nausea control. Current consensus recommends placement of a prophylactic PD stent shortly after polyp removal, along with a single 100 mg dose of rectal indomethacin. A study evaluating PD-wire-guided EA reported a 90% complete resection rate and an 8% incidence of mild pancreatitis, with no procedure-related mortality [46]. However, this technique requires technical expertise and may not be feasible in all patients [66].

8.2. Bleeding

Immediate bleeding occurs in 0 to 25% of cases, depending on the lesion size, techniques, and endoscopist’s experience [67,68]. It can be managed using standard hemostatic methods, such as hemoclipping and thermocoagulation. Delayed bleeding, requiring ED evaluation or hospitalization within 14 days, is treated with monitoring, bowel rest, intravenous PPIs, transfusions, and repeat endoscopy, if needed. Most patients were managed endoscopically; however, severe or refractory bleeding may require interventional radiology with embolization of the gastroduodenal artery [68].
Lateral spreading growth larger than 3 cm has a higher potential of delayed gastrointestinal bleeding, with reported rates of up to 30% [52,68]. Recent studies have also supported the use of hemostatic sprays for mucosal defects associated with large lateral spreading growths [52].
A multicenter randomized controlled trial reported a decreased incidence of delayed bleeding in the prophylactic clipping group compared to the no-clipping group (15.0% vs. 31.6%), although the results were not statistically significant [69]. Furthermore, a small prospective study demonstrated that prophylactic closure of the frenulum following EA reduced delayed bleeding without increasing procedure duration, pancreatitis risk, or perforation rates [70]. Another study recommended avoiding prophylactic hemostatic clipping unless complete mucosal closure could be achieved, as it might promote shearing of the mucosal defect and lead to immediate bleeding. Additionally, there is a potential risk of perforation due to the fixed nature of the duodenum at this location and the increased likelihood of tearing the muscularis propria fibers [52].

8.3. Cholangitis

Acute cholangitis following EA is uncommon (0–2%) and may be secondary to poor bile duct emptying, procedural manipulation, or stent dysfunction due to migration or obstruction [71,72,73,74]. Therefore, prophylactic biliary stenting is not routinely recommended. Cholangitis typically develops within the first few days following EA. In most cases, conservative management with intravenous hydration and a course of broad-spectrum antibiotics is sufficient to resolve the complication [75]. However, if imaging reveals biliary tract obstruction or dilation, urgent biliary decompression is required.

8.4. Stenosis

Stenosis of the pancreatic, biliary, or common duct can occur following procedural manipulation. Reported rates of orifice stenosis after EA range from 0–8% [74,76,77]. One study found higher odds of papillary stenosis in patients who did not undergo PD stent placement compared to those who did (15.4% vs. 1.1%) [78]. Patients who develop obstructive symptoms may require additional interventions such as sphincterotomy, stent placement, or balloon dilation via ERCP [15,75].

8.5. Perforation

As with all endoscopic procedures, perforation is a rare but potential complication, with reported rates ranging from 0–8% [76,79]. The thinness of the duodenal wall makes it more prone to perforation, especially at deep resection sites, which require close monitoring. Endoscopic visualization is less reliable for assessing these areas; therefore, a high index of clinical suspicion should remain high post procedure. Larger lesions and patient-related factors—such as age and comorbidities—may increase the risk of perforation, although data quantifying this risk are limited [80]. If perforation is suspected, fluoroscopy with contrast injection may be performed for evaluation; however, retroperitoneal perforations may be missed [80,81]. Persistent postoperative pain warrants radiological assessment.
The gold-standard imaging modality is CT of the abdomen and pelvis with oral contrast, due to its high sensitivity and specificity in identifying intraperitoneal or retroperitoneal gas [82]. Isolated retroperitoneal gas is more indicative of periampullary perforation, whereas intraperitoneal gas represents an uncontained leak [83,84]. Carbon dioxide insufflation may be used to reduce the risk of tension pneumoperitoneum by absorbing escaped gas [25]. As with any upper gastrointestinal perforation, the patient should be admitted, receive intravenous fluids, be kept on nothing by mouth, administered broad-spectrum antibiotics (covering Gram-negative and anaerobic organisms), and surgery should be consulted as needed.
Recent studies have reported the use of fully covered self-expanding metal stents (FCSEMS) in the CBD, instead of plastic stents, for managing microperforations in the papillary region following resection [85,86]. These stents are usually left in place for two weeks, although the optimal duration remains unclear. Standard endoscopic closure techniques, such as through-the-scope or over-the-scope clips, can also be utilized. A nasoduodenal tube may be used for larger perforations, while nasobiliary tubes are rarely used. A multidisciplinary approach, including potential surgery, is crucial for achieving optimal outcomes [35].

8.6. Death

The procedure-associated mortality rate following EA is very low, typically under 1% [67]. In a study by Tringali et al., a mortality rate of 0.7% was reported in a cohort of 135 patients [67].

9. Endoscopic Outcomes

9.1. Success Rate

Reported technical success rates of EA vary widely, ranging from 46–92%, and are primarily derived from retrospective and heterogeneous case series [68]. Factors predicting success include the experience of the interventional endoscopist, the techniques used, and the characteristics of the adenoma, such as size and lateral spread [68].

9.2. Recurrence

Recurrence of sporadic ampullary adenomas is common even after suspected complete endoscopic removal. The pooled recurrence rates for EA were 13.0% at 1 year, 12.5% at 2 years, 13.3% at 3 years, and 15.7% at 5 years [87]. According to one study, the 5-year recurrence rate was 16.9% (22 cases), with 5.9% (5 cases) requiring surgery; intraductal extension on preoperative diagnosis was the only significant risk factor for both recurrence (p < 0.001) and surgical intervention (p = 0.005) [1]. Other risk factors for recurrence include piecemeal resection and a diagnosis of FAP [1]. Therefore, periodic endoscopic follow-up and surveillance are recommended, provided they align with the patient’s care goals.

10. Surveillance

Patients who undergo excision of ampullary adenomas should have an endoscopic surveillance plan to assess for recurrence. For sporadic ampullary adenomas, there are no standardized surveillance intervals [16]. For patients with a large adenoma (defined as ≥2 cm) or high-grade dysplasia, we recommend duodenoscopy without ERCP within 1–3 months of excision. If there is no evidence of recurrence, surveillance may be performed every 6 months to every 2 years. For individuals with smaller adenomas (<2 cm) or low-grade dysplasia, the initial follow-up can be up to 6 months after excision. In the absence of recurrence, surveillance can be performed every 1–2 years. The interval duration should consider factors such as dysplasia grade, resection completeness, involvement, age, family history, and recurrence risk. Beyond the first two years, clinical benefits and optimal surveillance intervals remain unclear; therefore, it is important for the endoscopist to have an informed discussion with the patient about their preferences [10,16].
For patients who undergo endoscopic or surgical treatment for sporadic ampullary adenomas, we recommend surveillance with upper endoscopy every 6–12 months, including cold forceps biopsy of the papilla. Studies have shown an increased risk of colorectal neoplasia in these patients; therefore, a screening colonoscopy should be performed if not already performed [88]. For those who are too unfit for intervention, further imaging or procedures may be avoided.
We recommend using the modified Spigelman score for staging duodenal polyposis secondary to hereditary syndromes such as FAP (Table 2) [89]. The stage determines the surveillance interval (Table 3) [89]. In the case of FAP, small and asymptomatic ampullary adenomas < 1 cm in size can undergo surveillance only [7]. Individuals with FAP should begin screening for gastric and duodenal abnormalities with a duodenoscope at the age of 20–25 years or prior to colectomy [7].

11. Conclusions

Ampullary adenomas are rare and generally asymptomatic polyps that are increasingly detected, particularly during surveillance for polyposis syndrome. Due to their precancerous nature, careful diagnostic evaluation and preoperative staging are essential. EA is now the first-line treatment for noninvasive ampullary masses, offering a less invasive alternative to surgery. EA is a technically challenging procedure due to the complex anatomy, thin duodenal wall, and highly vascular tissue layers, and can lead to complications when performed by inexperienced endoscopists. Given the rarity of these lesions and the variability in endoscopic methods, collaborative, multicenter studies are needed. Future research should focus on improving diagnosis, staging, endoscopic techniques, and surveillance guidelines to monitor recurrence in sporadic lesions.

Author Contributions

M.T.T.N. conceived the idea and conducted the initial literature search for this review. M.T.T.N., R.P., and D.S.D. synthesized the initial draft of the manuscript. M.T.T.N. and M.D. created figures and tables. All authors have read and agreed to the published version of the manuscript.

Funding

The authors declare no financial interests related to the research described in this paper.

Institutional Review Board Statement

Not applicable.

Informed Consent Statement

Not applicable.

Data Availability Statement

Not applicable.

Conflicts of Interest

The authors declare that they have no competing interests.

Abbreviations

CBD common bile duct
PD pancreatic duct
EA endoscopic ampullectomy
FAP familial adenomatous polyposis
HNPCC hereditary nonpolyposis colorectal cancer
MUTYH mutY DNA glycosylase
APC adenomatous polyposis coli
RFA radiofrequency ablation
TSA transduodenal surgical ampullectomy
US ultrasound
CT computed tomography
MRI magnetic resonance imaging
MRCP magnetic resonance computed tomography
ERCP endoscopic retrograde cholangiopancreatography
FNA fine-needle aspiration
NBI narrow band imaging
PCR polymerase chain reaction
EUS endoscopic ultrasound
IDUS intraductal ultrasound
EMR endoscopic mucosal resection
ESD endoscopic submucosal dissection
CSP cold snare polypectomy
PPI proton pump inhibitor
NSAIDs nonsteroidal anti-inflammatory drugs
FCSEMS fully covered self-expanding metal stents

References

  1. Kawashima, H.; Ohno, E.; Ishikawa, T.; Iida, T.; Tanaka, H.; Furukawa, K.; Nakamura, M.; Honda, T.; Hashimoto, S. Endoscopic papillectomy for ampullary adenoma and early adenocarcinoma: Analysis of factors related to treatment outcome and long-term prognosis. Dig. Endosc. Off. J. Jpn. Gastroenterol. Endosc. Soc. 2021, 33, 858–869. [Google Scholar] [CrossRef] [PubMed]
  2. Karam, E.; Hollenbach, M.; Abou Ali, E.; Auriemma, F.; Gulla, A.; Heise, C.; Regner, S.; Gaujoux, S.; Regimbeau, J.M.; Kähler, G.; et al. Outcomes of rescue procedures in the management of locally recurrent ampullary tumors: A Pancreas 2000/EPC study. Surgery 2023, 173, 1254–1262. [Google Scholar] [CrossRef]
  3. Martin, J.A.; Haber, G.B. Ampullary adenoma: Clinical manifestations, diagnosis, and treatment. Gastrointest. Endosc. Clin. N. Am. 2003, 13, 649–669. [Google Scholar] [CrossRef]
  4. Poley, J.W.; Campos, S. Methods and outcome of the endoscopic treatment of ampullary tumors. Ther. Adv. Gastrointest. Endosc. 2020, 13, 2631774519899786. [Google Scholar] [CrossRef] [PubMed]
  5. Gaspar, J.P.; Stelow, E.B.; Wang, A.Y. Approach to the endoscopic resection of duodenal lesions. World J. Gastroenterol. 2016, 22, 600–617. [Google Scholar] [CrossRef] [PubMed]
  6. Kim, J.H.; Kim, J.H.; Han, J.H.; Yoo, B.M.; Kim, M.W.; Kim, W.H. Is endoscopic papillectomy safe for ampullary adenomas with high-grade dysplasia? Ann. Surg. Oncol. 2009, 16, 2547–2554. [Google Scholar] [CrossRef]
  7. Yang, J.; Gurudu, S.R.; Koptiuch, C.; Agrawal, D.; Buxbaum, J.L.; Abbas Fehmi, S.M.; Fishman, D.S.; Khashab, M.A.; Jamil, L.H.; Jue, T.L.; et al. American Society for Gastrointestinal Endoscopy guideline on the role of endoscopy in familial adenomatous polyposis syndromes. Gastrointest. Endosc. 2020, 91, 963–982.e962. [Google Scholar] [CrossRef]
  8. Li, S.-L.; Li, W.; Yin, J.; Wang, Z.-K. Endoscopic papillectomy for ampullary adenomatous lesions: A literature review. World J. Gastrointest. Oncol. 2021, 13, 1466–1474. [Google Scholar] [CrossRef]
  9. Winter, J.M.; Cameron, J.L.; Olino, K.; Herman, J.M.; de Jong, M.C.; Hruban, R.H.; Wolfgang, C.L.; Eckhauser, F.; Edil, B.H.; Choti, M.A.; et al. Clinicopathologic analysis of ampullary neoplasms in 450 patients: Implications for surgical strategy and long-term prognosis. J. Gastrointest. Surg. 2010, 14, 379–387. [Google Scholar] [CrossRef]
  10. El, H., II; Cote, G.A. Endoscopic diagnosis and management of ampullary lesions. Gastrointest. Endosc. Clin. N. Am. 2013, 23, 95–109. [Google Scholar] [CrossRef]
  11. de Castro, S.M.; van Heek, N.T.; Kuhlmann, K.F.; Busch, O.R.; Offerhaus, G.J.; van Gulik, T.M.; Obertop, H.; Gouma, D.J. Surgical management of neoplasms of the ampulla of Vater: Local resection or pancreatoduodenectomy and prognostic factors for survival. Surgery 2004, 136, 994–1002. [Google Scholar] [CrossRef]
  12. Dubois, M.; Labgaa, I.; Dorta, G.; Halkic, N. Endoscopic and surgical ampullectomy for non-invasive ampullary tumors: Short-term outcomes. Biosci. Trends 2017, 10, 507–511. [Google Scholar] [CrossRef] [PubMed]
  13. Heise, C.; Abou Ali, E.; Hasenclever, D.; Auriemma, F.; Gulla, A.; Regner, S.; Gaujoux, S.; Hollenbach, M. Systematic Review with Meta-Analysis: Endoscopic and Surgical Resection for Ampullary Lesions. J. Clin. Med. 2020, 9, 3622. [Google Scholar] [CrossRef]
  14. Hollenbach, M.; Heise, C.; Abou-Ali, E.; Gulla, A.; Auriemma, F.; Soares, K.; Leung, G.; Schattner, M.A.; Jarnagin, W.R.; Wang, T.; et al. Endoscopic papillectomy versus surgical ampullectomy for adenomas and early cancers of the papilla: A retrospective Pancreas2000/European Pancreatic Club analysis. Gut 2024, 74, 397–409. [Google Scholar] [CrossRef] [PubMed]
  15. Binmoeller, K.F.; Boaventura, S.; Ramsperger, K.; Soehendra, N. Endoscopic snare excision of benign adenomas of the papilla of Vater. Gastrointest. Endosc. 1993, 39, 127–131. [Google Scholar] [CrossRef] [PubMed]
  16. Committee, A.S.o.P.; Chathadi, K.V.; Khashab, M.A.; Acosta, R.D.; Chandrasekhara, V.; Eloubeidi, M.A.; Faulx, A.L.; Fonkalsrud, L.; Lightdale, J.R.; Salztman, J.R.; et al. The role of endoscopy in ampullary and duodenal adenomas. Gastrointest. Endosc. 2015, 82, 773–781. [Google Scholar] [CrossRef]
  17. Skordilis, P.; Mouzas, I.A.; Dimoulios, P.D.; Alexandrakis, G.; Moschandrea, J.; Kouroumalis, E. Is endosonography an effective method for detection and local staging of the ampullary carcinoma? A prospective study. BMC Surg. 2002, 2, 1. [Google Scholar] [CrossRef]
  18. Singh, A.; Mann, H.S.; Thukral, C.L.; Singh, N.R. Diagnostic Accuracy of MRCP as Compared to Ultrasound/CT in Patients with Obstructive Jaundice. J. Clin. Diagn. Res. 2014, 8, 103–107. [Google Scholar] [CrossRef]
  19. Chini, P.; Draganov, P.V. Diagnosis and management of ampullary adenoma: The expanding role of endoscopy. World J. Gastrointest. Endosc. 2011, 3, 241–247. [Google Scholar] [CrossRef]
  20. Dekker, E.; Boparai, K.S.; Poley, J.W.; Mathus-Vliegen, E.M.; Offerhaus, G.J.; Kuipers, E.J.; Fockens, P.; Dees, J. High resolution endoscopy and the additional value of chromoendoscopy in the evaluation of duodenal adenomatosis in patients with familial adenomatous polyposis. Endoscopy 2009, 41, 666–669. [Google Scholar] [CrossRef]
  21. Nikolaidis, P.; Hammond, N.A.; Day, K.; Yaghmai, V.; Wood, C.G., 3rd; Mosbach, D.S.; Harmath, C.B.; Taffel, M.T.; Horowitz, J.M.; Berggruen, S.M.; et al. Imaging features of benign and malignant ampullary and periampullary lesions. Radiographics 2014, 34, 624–641. [Google Scholar] [CrossRef] [PubMed]
  22. Baron, T.H. Ampullary adenoma. Curr. Treat. Options Gastroenterol. 2008, 11, 96–102. [Google Scholar] [CrossRef]
  23. Lee, H.S.; Jang, J.S.; Lee, S.; Yeon, M.H.; Kim, K.B.; Park, J.G.; Lee, J.Y.; Kim, M.J.; Han, J.H.; Sung, R.; et al. Diagnostic Accuracy of the Initial Endoscopy for Ampullary Tumors. Clin. Endosc. 2015, 48, 239–246. [Google Scholar] [CrossRef]
  24. Kahaleh, M.; Shami, V.M.; Brock, A.; Conaway, M.R.; Yoshida, C.; Moskaluk, C.A.; Adams, R.B.; Tokar, J.; Yeaton, P. Factors predictive of malignancy and endoscopic resectability in ampullary neoplasia. Am. J. Gastroenterol. 2004, 99, 2335–2339. [Google Scholar] [CrossRef] [PubMed]
  25. Bourke, M.J. Endoscopic resection in the duodenum: Current limitations and future directions. Endoscopy 2013, 45, 127–132. [Google Scholar] [CrossRef] [PubMed]
  26. Kandler, J.; Neuhaus, H. How to Approach a Patient With Ampullary Lesion. Gastroenterology 2018, 155, 1670–1676. [Google Scholar] [CrossRef]
  27. Ogura, T.; Hara, K.; Hijioka, S.; Mizuno, N.; Imaoka, H.; Niwa, Y.; Tajika, M.; Kondo, S.; Tanaka, T.; Shimizu, Y.; et al. Can endoscopic ultrasound-guided fine needle aspiration offer clinical benefit for tumors of the ampulla of vater?—An initial study. Endosc. Ultrasound 2012, 1, 84–89. [Google Scholar] [CrossRef]
  28. Elek, G.; Gyôri, S.; Tóth, B.; Pap, A. Histological evaluation of preoperative biopsies from ampulla vateri. Pathol. Oncol. Res. 2003, 9, 32–41. [Google Scholar] [CrossRef]
  29. Vanbiervliet, G.; Strijker, M.; Arvanitakis, M.; Aelvoet, A.; Arnelo, U.; Beyna, T.; Busch, O.; Deprez, P.H.; Kunovsky, L.; Larghi, A.; et al. Endoscopic management of ampullary tumors: European Society of Gastrointestinal Endoscopy (ESGE) Guideline. Endoscopy 2021, 53, 429–448. [Google Scholar] [CrossRef]
  30. Bellizzi, A.M.; Kahaleh, M.; Stelow, E.B. The assessment of specimens procured by endoscopic ampullectomy. Am. J. Clin. Pathol. 2009, 132, 506–513. [Google Scholar] [CrossRef]
  31. Park, J.S.; Seo, D.W.; Song, T.J.; Park, D.H.; Lee, S.S.; Lee, S.K.; Kim, M.H. Usefulness of white-light imaging-guided narrow-band imaging for the differential diagnosis of small ampullary lesions. Gastrointest. Endosc. 2015, 82, 94–101. [Google Scholar] [CrossRef] [PubMed]
  32. Uchiyama, Y.; Imazu, H.; Kakutani, H.; Hino, S.; Sumiyama, K.; Kuramochi, A.; Tsukinaga, S.; Matsunaga, K.; Nakayoshi, T.; Goda, K.; et al. New approach to diagnosing ampullary tumors by magnifying endoscopy combined with a narrow-band imaging system. J. Gastroenterol. 2006, 41, 483–490. [Google Scholar] [CrossRef]
  33. Wagner, P.L.; Chen, Y.T.; Yantiss, R.K. Immunohistochemical and molecular features of sporadic and FAP-associated duodenal adenomas of the ampullary and nonampullary mucosa. Am. J. Surg. Pathol. 2008, 32, 1388–1395. [Google Scholar] [CrossRef] [PubMed]
  34. Asano, E.; Okano, K.; Oshima, M.; Kagawa, S.; Kushida, Y.; Munekage, M.; Hanazaki, K.; Watanabe, J.; Takada, Y.; Ikemoto, T.; et al. Phenotypic characterization and clinical outcome in ampullary adenocarcinoma. J. Surg. Oncol. 2016, 114, 119–127. [Google Scholar] [CrossRef]
  35. Bassan, M.; Bourke, M. Endoscopic ampullectomy: A practical guide. J. Interv. Gastroenterol. 2012, 2, 23–30. [Google Scholar] [CrossRef] [PubMed]
  36. Dacha, S.; Chawla, S.; Lee, J.E.; Keilin, S.A.; Cai, Q.; Willingham, F.F. Endoscopic retrograde cholangiopancreatography with ampullary biopsy vs ERCP alone: A matched-pairs controlled evaluation of outcomes and complications. Gastroenterol. Rep. 2017, 5, 277–281. [Google Scholar] [CrossRef][Green Version]
  37. Patel, V.; Jowell, P.; Obando, J.; Guy, C.D.; Burbridge, R.A. Does ampullary adenoma size predict invasion on EUS? Does invasion on EUS predict presence of malignancy? Endosc. Int. Open 2016, 4, E1313–E1318. [Google Scholar] [CrossRef]
  38. Chen, C.H.; Tseng, L.J.; Yang, C.C.; Yeh, Y.H.; Mo, L.R. The accuracy of endoscopic ultrasound, endoscopic retrograde cholangiopancreatography, computed tomography, and transabdominal ultrasound in the detection and staging of primary ampullary tumors. Hepatogastroenterology 2001, 48, 1750–1753. [Google Scholar]
  39. Ridtitid, W.; Schmidt, S.E.; Al-Haddad, M.A.; LeBlanc, J.; DeWitt, J.M.; McHenry, L.; Fogel, E.L.; Watkins, J.L.; Lehman, G.A.; Sherman, S.; et al. Performance characteristics of EUS for locoregional evaluation of ampullary lesions. Gastrointest. Endosc. 2015, 81, 380–388. [Google Scholar] [CrossRef]
  40. Ang, T.L.; Kwek, A.B.E.; Wang, L.M. Diagnostic Endoscopic Ultrasound: Technique, Current Status and Future Directions. Gut Liver 2018, 12, 483–496. [Google Scholar] [CrossRef]
  41. Menzel, J.; Hoepffner, N.; Sulkowski, U.; Reimer, P.; Heinecke, A.; Poremba, C.; Domschke, W. Polypoid tumors of the major duodenal papilla: Preoperative staging with intraductal US, EUS, and CT—A prospective, histopathologically controlled study. Gastrointest. Endosc. 1999, 49, 349–357. [Google Scholar] [CrossRef] [PubMed]
  42. Fujita, N.; Noda, Y.; Kobayashi, G.; Ito, K.; Horaguchi, J.; Koshita, S.; Kanno, Y. Intraductal ultrasonography (IDUS) for the diagnosis of biliopancreatic diseases. Best. Pract. Res. Clin. Gastroenterol. 2009, 23, 729–742. [Google Scholar] [CrossRef] [PubMed]
  43. Ito, K.; Fujita, N.; Noda, Y.; Kobayashi, G.; Horaguchi, J.; Takasawa, O.; Obana, T. Preoperative evaluation of ampullary neoplasm with EUS and transpapillary intraductal US: A prospective and histopathologically controlled study. Gastrointest. Endosc. 2007, 66, 740–747. [Google Scholar] [CrossRef]
  44. Eswaran, S.L.; Sanders, M.; Bernadino, K.P.; Ansari, A.; Lawrence, C.; Stefan, A.; Mattia, A.; Howell, D.A. Success and complications of endoscopic removal of giant duodenal and ampullary polyps: A comparative series. Gastrointest. Endosc. 2006, 64, 925–932. [Google Scholar] [CrossRef]
  45. Katsinelos, P.; Kountouras, J.; Chatzimavroudis, G.; Zavos, C.; Paroutoglou, G.; Kotakidou, R.; Panagiotopoulou, K.; Papaziogas, B. A case of early depressed-type ampullary carcinoma treated by wire-guided endoscopic resection. Surg. Laparosc. Endosc. Percutan Tech. 2007, 17, 533–537. [Google Scholar] [CrossRef] [PubMed]
  46. Kim, H.N.; Kim, K.M.; Shin, J.U.; Lee, J.K.; Lee, K.T.; Lee, K.H.; Kim, K.M.; Lim, J.H. Prediction of carcinoma after resection in subjects with ampullary adenomas on endoscopic biopsy. J. Clin. Gastroenterol. 2013, 47, 346–351. [Google Scholar] [CrossRef]
  47. Ardengh, J.C.; Kemp, R.; Lima-Filho, E.R.; Dos Santos, J.S. Endoscopic papillectomy: The limits of the indication, technique and results. World J. Gastrointest. Endosc. 2015, 7, 987–994. [Google Scholar] [CrossRef]
  48. Espinel, J.; Pinedo, E.; Ojeda, V.; Del Rio, M.G. Endoscopic management of adenomatous ampullary lesions. World J. Methodol. 2015, 5, 127–135. [Google Scholar] [CrossRef]
  49. Yamamoto, K.; Itoi, T.; Nagata, N.; Sofuni, A.; Tsuchiya, T.; Ishii, K.; Tanaka, R.; Tonozuka, R.; Mukai, S.; Nagai, K.; et al. Optimal mode and power output of electrosurgical units for endoscopic papillectomy based on animal experiments and a preliminary clinical study (with videos). Gastrointest. Endosc. 2022, 95, 760–776. [Google Scholar] [CrossRef]
  50. Yamamoto, K.; Sofuni, A.; Tsuchiya, T.; Ishii, K.; Tsuji, S.; Tanaka, R.; Tonozuka, R.; Honjo, M.; Mukai, S.; Fujita, M.; et al. Clinical Impact of Piecemeal Resection Concerning the Lateral Spread of Ampullary Adenomas. Intern. Med. 2019, 58, 901–906. [Google Scholar] [CrossRef]
  51. Nakshabendi, R.; James, T.W.; Baron, T.H. Cold snare piecemeal resection of a large ampullary adenoma. Endoscopy 2021, 53, E3–E4. [Google Scholar] [CrossRef] [PubMed]
  52. Hourigan, L. Evolution of Endoscopic Ampullectomy and Considerations for a Contemporary Approach. Arch. Gastroenterol. Res. 2020, 1, 29–33. [Google Scholar]
  53. Gupta, S.; Craciun, A.; Wang, H.; Whitfield, A.; Gauci, J.; O’Sullivan, T.; Cronin, O.; Arisha, M.A.; Klein, A.; Lee, E.Y.T.; et al. Hybrid resection versus conventional resection for laterally spreading lesions of the papilla. Gastrointest. Endosc. 2024, 99, 428–436. [Google Scholar] [CrossRef]
  54. Castro, R.; Libanio, D.; Pita, I.; Dinis-Ribeiro, M. Solutions for submucosal injection: What to choose and how to do it. World J. Gastroenterol. 2019, 25, 777–788. [Google Scholar] [CrossRef]
  55. Hyun, J.J.; Lee, T.H.; Park, J.S.; Han, J.H.; Jeong, S.; Park, S.M.; Lee, H.S.; Moon, J.H.; Park, S.H. A prospective multicenter study of submucosal injection to improve endoscopic snare papillectomy for ampullary adenoma. Gastrointest. Endosc. 2017, 85, 746–755. [Google Scholar] [CrossRef] [PubMed]
  56. Hopper, A.D.; Bourke, M.J.; Williams, S.J.; Swan, M.P. Giant laterally spreading tumors of the papilla: Endoscopic features, resection technique, and outcome (with videos). Gastrointest. Endosc. 2010, 71, 967–975. [Google Scholar] [CrossRef]
  57. Klein, A.; Tutticci, N.; Bourke, M.J. Endoscopic resection of advanced and laterally spreading duodenal papillary tumors. Dig. Endosc. 2016, 28, 121–130. [Google Scholar] [CrossRef]
  58. Carr-Locke, D.L. Endoscopic papillectomy for adenoma: To inject or not to inject? That is no longer the question. Gastrointest. Endosc. 2017, 85, 756–757. [Google Scholar] [CrossRef]
  59. Horiguchi, S.; Kamisawa, T. Major duodenal papilla and its normal anatomy. Dig. Surg. 2010, 27, 90–93. [Google Scholar] [CrossRef]
  60. Miyamoto, S.; Serikawa, M.; Ishii, Y.; Tatsukawa, Y.; Nakamura, S.; Ikemoto, J.; Tamura, Y.; Nakamura, K.; Furukawa, M.; Yamashita, Y.; et al. The Significance of Histopathological Findings on Clinical Outcomes in Endoscopic Papillectomy with Endocut. J. Clin. Med. 2023, 12, 6853. [Google Scholar] [CrossRef]
  61. Iwasaki, E.; Minami, K.; Itoi, T.; Yamamoto, K.; Tsuji, S.; Sofuni, A.; Tsuchiya, T.; Tanaka, R.; Tonozuka, R.; Machida, Y.; et al. Impact of electrical pulse cut mode during endoscopic papillectomy: Pilot randomized clinical trial. Dig. Endosc. 2020, 32, 127–135. [Google Scholar] [CrossRef] [PubMed]
  62. Camus, M.; Napoléon, B.; Vienne, A.; Le Rhun, M.; Leblanc, S.; Barret, M.; Chaussade, S.; Robin, F.; Kaddour, N.; Prat, F. Efficacy and safety of endobiliary radiofrequency ablation for the eradication of residual neoplasia after endoscopic papillectomy: A multicenter prospective study. Gastrointest. Endosc. 2018, 88, 511–518. [Google Scholar] [CrossRef]
  63. Rustagi, T.; Irani, S.; Reddy, N.; Dayyeh, B.K.A.; Baron, T.H.; Gostout, C.J.; Levy, M.J.; Martin, J.; Petersen, B.T.; Ross, A.; et al. Radiofrequency ablation for intraductal extension of ampullary neoplasms. Gastrointest. Endosc. 2017, 86, 170–176. [Google Scholar] [CrossRef] [PubMed]
  64. Kim, G.E.; Siddiqui, U.D. Endoscopic Resection Techniques for Duodenal and Ampullary Adenomas. VideoGIE 2023, 8, 330–335. [Google Scholar] [CrossRef]
  65. Fanning, S.B.; Bourke, M.J.; Williams, S.J.; Chung, A.; Kariyawasam, V.C. Giant laterally spreading tumors of the duodenum: Endoscopic resection outcomes, limitations, and caveats. Gastrointest. Endosc. 2012, 75, 805–812. [Google Scholar] [CrossRef]
  66. Kobayashi, M.; Ryozawa, S.; Iwano, H.; Araki, R.; Tanisaka, Y.; Fujita, A.; Kobatake, T. The usefulness of wire-guided endoscopic snare papillectomy for tumors of the major duodenal papilla. PLoS ONE 2019, 14, e0211019. [Google Scholar] [CrossRef]
  67. Tringali, A.; Valerii, G.; Boškoski, I.; Familiari, P.; Landia, R.; Perri, V.; Costamagna, G. Endoscopic snare papillectomy for adenoma of the ampulla of vater: Long-term results in 135 consecutive patients. Dig. Liver Dis. Off. J. Ital. Soc. Gastroenterol. Ital. Assoc. Study Liver 2020, 52, 1033–1038. [Google Scholar] [CrossRef] [PubMed]
  68. Wiel, S.E.v.d.; Poley, J.-W.; Koch, A.D.; Bruno, M.J. Endoscopic resection of advanced ampullary adenomas: A single-center 14-year retrospective cohort study. Surg. Endosc. 2018, 33, 1180–1188. [Google Scholar] [CrossRef]
  69. Park, S.W.; Song, T.J.; Park, J.S.; Jun, J.H.; Park, T.Y.; Oh, D.W.; Lee, S.S.; Kim, M.H. Effect of prophylactic endoscopic clipping for prevention of delayed bleeding after endoscopic papillectomy for ampullary neoplasm: A multicenter randomized trial. Endoscopy 2022, 54, 787–794. [Google Scholar] [CrossRef]
  70. Kagawa, K.; Kubota, K.; Kurita, Y.; Takagi, Y.; Ishii, K.; Hasegawa, S.; Iwasaki, A.; Sato, T.; Fujita, Y.; Kato, S.; et al. Effect of preventive closure of the frenulum after endoscopic papillectomy: A prospective pilot study. J. Gastroenterol. Hepatol. 2020, 35, 374–379. [Google Scholar] [CrossRef]
  71. Tran, T.C.; Vitale, G.C. Ampullary tumors: Endoscopic versus operative management. Surg. Innov. 2004, 11, 255–263. [Google Scholar] [CrossRef] [PubMed]
  72. Okano, N.; Igarashi, Y.; Miura, T.; Miki, K. The study of early complications of endoscopic papillectomy of the tumor with duodenal major papilla. J.-Stage 2007, 21, 623–629. [Google Scholar] [CrossRef]
  73. Hirooka, Y.; Itoh, A.; Goto, H. EUS/IDUS and endoscopic papillectomy. Dig. Endosc. 2004, 16, S176–S177. [Google Scholar] [CrossRef]
  74. Ito, K.; Fujita, N.; Noda, Y. Endoscopic diagnosis and treatment of ampullary neoplasm (with video). Dig. Endosc. 2011, 23, 113–117. [Google Scholar] [CrossRef]
  75. Nguyen, N.Q.; Binmoeller, K.F. Endoscopic ampullectomy. Tech. Gastrointest. Endosc. 2010, 12, 53–60. [Google Scholar] [CrossRef]
  76. Norton, I.D.; Gostout, C.J.; Baron, T.H.; Geller, A.; Petersen, B.T.; Wiersema, M.J. Safety and outcome of endoscopic snare excision of the major duodenal papilla. Gastrointest. Endosc. 2002, 56, 239–243. [Google Scholar] [CrossRef]
  77. Irani, S.; Arai, A.; Ayub, K.; Biehl, T.; Brandabur, J.J.; Dorer, R.; Gluck, M.; Jiranek, G.; Patterson, D.; Schembre, D.; et al. Papillectomy for ampullary neoplasm: Results of a single referral center over a 10-year period. Gastrointest. Endosc. 2009, 70, 923–932. [Google Scholar] [CrossRef] [PubMed]
  78. Catalano, M.F.; Linder, J.D.; Chak, A.; Sivak, M.V.; Raijman, I.; Geenen, J.E.; Howell, D.A. Endoscopic management of adenoma of the major duodenal papilla. Gastrointest. Endosc. 2004, 59, 225–232. [Google Scholar] [CrossRef] [PubMed]
  79. Maguchi, H.; Takahashi, K.; Katanuma, A.; Hayashi, T.; Yoshida, A. Indication of Endoscopic Papillectomy for Tumors of the Papilla of Vater and Its Problems. Dig. Endosc. 2003, 15, S33–S35. [Google Scholar] [CrossRef]
  80. Lee, J.H.; Kedia, P.; Stavropoulos, S.N.; Carr-Locke, D. AGA Clinical Practice Update on Endoscopic Management of Perforations in Gastrointestinal Tract: Expert Review. Clin. Gastroenterol. Hepatol. 2021, 19, 2252–2261.e2252. [Google Scholar] [CrossRef]
  81. Motomura, Y.; Akahoshi, K.; Gibo, J.; Kanayama, K.; Fukuda, S.; Hamada, S.; Otsuka, Y.; Kubokawa, M.; Kajiyama, K.; Nakamura, K. Immediate detection of endoscopic retrograde cholangiopancreatography-related periampullary perforation: Fluoroscopy or endoscopy? World J. Gastroenterol. 2014, 20, 15797–15804. [Google Scholar] [CrossRef] [PubMed]
  82. Chandrasekhara, V.; Khashab, M.A.; Muthusamy, V.R.; Acosta, R.D.; Agrawal, D.; Bruining, D.H.; Eloubeidi, M.A.; Fanelli, R.D.; Faulx, A.L.; Gurudu, S.R.; et al. Adverse events associated with ERCP. Gastrointest. Endosc. 2017, 85, 32–47. [Google Scholar] [CrossRef] [PubMed]
  83. Krishna, R.P.; Singh, R.K.; Behari, A.; Kumar, A.; Saxena, R.; Kapoor, V.K. Post-endoscopic retrograde cholangiopancreatography perforation managed by surgery or percutaneous drainage. Surg. Today 2011, 41, 660–666. [Google Scholar] [CrossRef]
  84. Avgerinos, D.V.; Llaguna, O.H.; Lo, A.Y.; Voli, J.; Leitman, I.M. Management of endoscopic retrograde cholangiopancreatography: Related duodenal perforations. Surg. Endosc. 2009, 23, 833–838. [Google Scholar] [CrossRef] [PubMed]
  85. Donatelli, G.; Dumont, J.L.; Derhy, S.; Meduri, B.; Dritsas, S.; Gayet, B.; Fuks, D. New indications for fully covered lumen-apposing metal stents: Biliary stenting to treat post-sphincterotomy bleeding or ampullary stenosis. Endoscopy 2018, 50, E36–E37. [Google Scholar] [CrossRef]
  86. Fritzsche, J.A.; Fockens, P.; Barthet, M.; Bruno, M.J.; Carr-Locke, D.L.; Costamagna, G.; Coté, G.A.; Deprez, P.H.; Giovannini, M.; Haber, G.B.; et al. Expert consensus on endoscopic papillectomy using a Delphi process. Gastrointest. Endosc. 2021, 94, 760–773.e718. [Google Scholar] [CrossRef]
  87. Garg, R.; Thind, K.; Bhalla, J.; Simonson, M.T.; Simons-Linares, C.R.; Singh, A.; Joyce, D. Long-term recurrence after endoscopic versus surgical ampullectomy of sporadic ampullary adenomas: A systematic review and meta-analysis. Surg. Endosc. 2023, 37, 5022–5044. [Google Scholar] [CrossRef]
  88. Murray, M.A.; Zimmerman, M.J.; Ee, H.C. Sporadic duodenal adenoma is associated with colorectal neoplasia. Gut 2004, 53, 261–265. [Google Scholar] [CrossRef]
  89. Campos, F.G.; Sulbaran, M.; Safatle-Ribeiro, A.V.; Martinez, C.A. Duodenal adenoma surveillance in patients with familial adenomatous polyposis. World J. Gastrointest. Endosc. 2015, 7, 950–959. [Google Scholar] [CrossRef]
Figure 1. Example of an ampullary lesion.
Figure 1. Example of an ampullary lesion.
Jcm 14 03532 g001
Figure 2. Example of an ampullary adenoma (yellow box) in a patient with familial adenomatous polyposis (FAP), accompanied by multiple other duodenal adenomas (yellow arrows).
Figure 2. Example of an ampullary adenoma (yellow box) in a patient with familial adenomatous polyposis (FAP), accompanied by multiple other duodenal adenomas (yellow arrows).
Jcm 14 03532 g002
Figure 3. Example of a large ampullary adenoma with predominant intraductal extension.
Figure 3. Example of a large ampullary adenoma with predominant intraductal extension.
Jcm 14 03532 g003
Figure 4. An ampullary adenoma with intraductal extension was identified. Following surgical intervention, the final pathology revealed an ampullary adenocarcinoma staged as pT2 N0 (Stage 1B).
Figure 4. An ampullary adenoma with intraductal extension was identified. Following surgical intervention, the final pathology revealed an ampullary adenocarcinoma staged as pT2 N0 (Stage 1B).
Jcm 14 03532 g004
Figure 5. Example of an ampullary adenocarcinoma presenting as a large, irregular, friable mass prone to bleeding.
Figure 5. Example of an ampullary adenocarcinoma presenting as a large, irregular, friable mass prone to bleeding.
Jcm 14 03532 g005
Table 1. Differential diagnosis of ampullary lesions.
Table 1. Differential diagnosis of ampullary lesions.
Non-NeoplasticBenignMalignant
  • Impacted gallstone
  • Hyperplasia
  • Hamartoma
  • Adenomyoma
  • Choledochocele
  • Lymphocele
  • Duodenal duplication
  • Gastric heterotopia
  • Sporadic ampullary adenoma
  • Ampullary adenoma associated with polyposis syndrome
  • Lipoma
  • Neurofibroma
  • Granular cell tumor
  • Lymphangioma
  • Leiomyoma
  • Leiomyofibroma
  • Ampullary adenocarcinoma
  • Metastatic cancer
  • Carcinoid tumor
  • Sarcoma
  • Leiomyosarcoma
  • Gangliocytic paraganglioma
  • Gastrointestinal stromal tumor (GIST)
Table 2. Modified Spigelman score for staging duodenal polyposis.
Table 2. Modified Spigelman score for staging duodenal polyposis.
Factor1 Point2 Points3 Points
Number of polyps<45–20>20
Polyp size (mm)1–45–10>10
HistologyTubularTubulovillousVillous
DysplasiaLow-gradeNot applicableHigh-grade
Table 3. Surveillance intervals based on modified Spigelman stage.
Table 3. Surveillance intervals based on modified Spigelman stage.
Modified Spigelman StageTotal PointsFrequency of Surveillance
00Every 4 years
I<4Every 2–3 years
II5–6Every 1–3 years
III7–8Every 6–12 months
IV9–12Every 3–6 months
Consider surgical evaluation
Disclaimer/Publisher’s Note: The statements, opinions and data contained in all publications are solely those of the individual author(s) and contributor(s) and not of MDPI and/or the editor(s). MDPI and/or the editor(s) disclaim responsibility for any injury to people or property resulting from any ideas, methods, instructions or products referred to in the content.

Share and Cite

MDPI and ACS Style

Nguyen, M.T.T.; Paladiya, R.; Dahiya, D.S.; Dharan, M. Endoscopic Management of Ampullary Adenomas: A Comprehensive Review. J. Clin. Med. 2025, 14, 3532. https://doi.org/10.3390/jcm14103532

AMA Style

Nguyen MTT, Paladiya R, Dahiya DS, Dharan M. Endoscopic Management of Ampullary Adenomas: A Comprehensive Review. Journal of Clinical Medicine. 2025; 14(10):3532. https://doi.org/10.3390/jcm14103532

Chicago/Turabian Style

Nguyen, Minh Thu T., Ruchir Paladiya, Dushyant Singh Dahiya, and Murali Dharan. 2025. "Endoscopic Management of Ampullary Adenomas: A Comprehensive Review" Journal of Clinical Medicine 14, no. 10: 3532. https://doi.org/10.3390/jcm14103532

APA Style

Nguyen, M. T. T., Paladiya, R., Dahiya, D. S., & Dharan, M. (2025). Endoscopic Management of Ampullary Adenomas: A Comprehensive Review. Journal of Clinical Medicine, 14(10), 3532. https://doi.org/10.3390/jcm14103532

Note that from the first issue of 2016, this journal uses article numbers instead of page numbers. See further details here.

Article Metrics

Back to TopTop