Predictive Value of FDG Uptake on PET for Future Immune Checkpoint Inhibitor-Mediated Colitis: A Case Series
Abstract
1. Introduction
2. Materials and Methods
2.1. IMC Screening and Clinical Information
2.2. Identification of Colon FDG Uptake on PET/CT
2.3. Data Analysis
3. Results
3.1. Patient Characteristics
3.2. Colitis-Related Characteristics
3.3. Clinical Outcomes
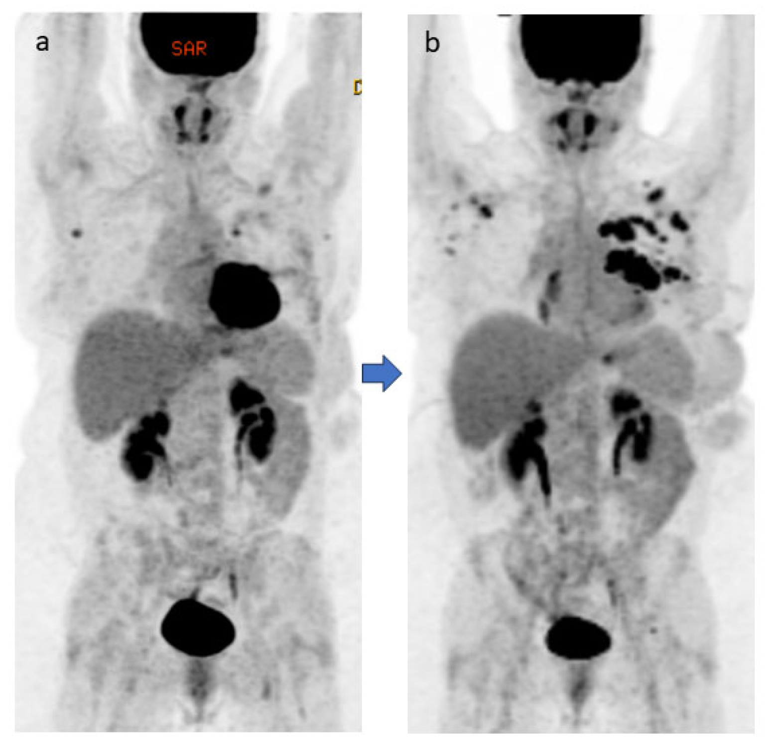
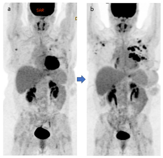
4. Representative Cases
4.1. Case #1
4.2. Case #2
5. Discussion
6. Conclusions
Author Contributions
Funding
Institutional Review Board Statement
Informed Consent Statement
Data Availability Statement
Acknowledgments
Conflicts of Interest
References
- Schneider, B.J.; Naidoo, J.; Santomasso, B.D.; Lacchetti, C.; Adkins, S.; Anadkat, M.; Atkins, M.B.; Brassil, K.J.; Caterino, J.M.; Chau, I.; et al. Management of Immune-Related Adverse Events in Patients Treated With Immune Checkpoint Inhibitor Therapy: ASCO Guideline Update. J. Clin. Oncol. 2021, 39, 4073–4126. [Google Scholar] [CrossRef] [PubMed]
- Michot, J.; Bigenwald, C.; Champiat, S.; Collins, M.; Carbonnel, F.; Postel-Vinay, S.; Berdelou, A.; Varga, A.; Bahleda, R.; Hollebecque, A.; et al. Immune-related adverse events with immune checkpoint blockade: A comprehensive review. Eur. J. Cancer 2016, 54, 139–148. [Google Scholar] [CrossRef] [PubMed]
- Bellaguarda, E.; Hanauer, S. Checkpoint Inhibitor-Induced Colitis. Am. J. Gastroenterol. 2020, 115, 202–210. [Google Scholar] [CrossRef] [PubMed]
- Thoeni, R.F.; Cello, J.P. CT imaging of colitis. Radiology 2006, 240, 623–638. [Google Scholar] [CrossRef]
- Durbin, S.M.; Mooradian, M.J.; Fintelmann, F.J.; Zubiri, L.; Chute, D.F.; Kambadakone, A.; Pisuchpen, N.; Reynolds, K.L.; Dougan, M. Diagnostic utility of CT for suspected immune checkpoint inhibitor enterocolitis. J. Immunother. Cancer 2020, 8, e001329. [Google Scholar] [CrossRef]
- Ibarra Rovira, J.; Thirumurthi, S.; Taggart, M.; Yilmaz, B.; Lin, H.; Zhong, L.L.; Ejezie, C.L.; Akhmedzhanov, F.O.; Zarifa, A.; Leung, C.H.; et al. Role of Abdominal and Pelvic CT Scans in Diagnosis of Patients with Immunotherapy-Induced Colitis. J. Immunother. Precis. Oncol. 2022, 5, 32–36. [Google Scholar] [CrossRef]
- Fonti, R.; Conson, M.; Del Vecchio, S. PET/CT in radiation oncology. Semin. Oncol. 2019, 46, 202–209. [Google Scholar] [CrossRef]
- Pijl, J.P.; Nienhuis, P.H.; Kwee, T.C.; Glaudemans, A.; Slart, R.; Gormsen, L.C. Limitations and Pitfalls of FDG-PET/CT in Infection and Inflammation. Semin. Nucl. Med. 2021, 51, 633–645. [Google Scholar] [CrossRef]
- Lang, N.; Dick, J.; Slynko, A.; Schulz, C.; Dimitrakopoulou-Strauss, A.; Sachpekidis, C.; Enk, A.H.; Hassel, J.C. Clinical significance of signs of autoimmune colitis in 18F-fluorodeoxyglucose positron emission tomography-computed tomography of 100 stage-IV melanoma patients. Immunotherapy 2019, 11, 667–676. [Google Scholar] [CrossRef]
- Gee, M.S.; Harisinghani, M.G. MRI in patients with inflammatory bowel disease. J. Magn. Reson. Imaging 2011, 33, 527–534. [Google Scholar] [CrossRef]
- Gelston, D.; Brosler, S.C.; Vazquez, J.; Sorci, O.; Griffith, A.H.; Chatterjee, S.; Buchner, A.; Høilund-Carlsen, P.F.; Alavi, A.; Rajapakse, C.S. Utility of FDG PET/CT in assessing bowel inflammation. Am. J. Nucl. Med. Mol. Imaging 2021, 11, 271–279. [Google Scholar] [PubMed]
- Nawwar, A.A.; Searle, J.; Lyburn, I.D. Pembrolizumab-Induced Thyroiditis and Colitis-Presentation and Resolution on Serial FDG PET/CT. Clin. Nucl. Med. 2021, 46, e121–e122. [Google Scholar] [CrossRef] [PubMed]
- Lyall, A.; Vargas, H.A.; Carvajal, R.D.; Ulaner, G. Ipilimumab-induced colitis on FDG PET/CT. Clin. Nucl. Med. 2012, 37, 629–630. [Google Scholar] [CrossRef]
- Bhattaru, A.; Pundyavana, A.; Raynor, W.; Chinta, S.; Werner, T.J.; Alavi, A. 18F-FDG-PET and other imaging modalities in the diagnosis and management of inflammatory bowel disease. Am. J. Nucl. Med. Mol. Imaging 2024, 14, 295–305. [Google Scholar] [CrossRef]
- Castillo, R.M.; Sandefur, B.J.; Finch, A.S.; Richter, M.D.; Thanarajasingam, U. Clinical Presentations and Outcomes of Patients Receiving Immune Checkpoint Inhibitors Presenting to the Emergency Department. Mayo Clin. Proc. Innov. Qual. Outcomes 2021, 5, 1029–1035. [Google Scholar] [CrossRef]
- Schierz, J.H.; Sarikaya, I.; Wollina, U.; Unger, L.; Sarikaya, A. Immune Checkpoint Inhibitor-Related Adverse Effects and 18F-FDG PET/CT Findings. J. Nucl. Med. Technol. 2021, 49, 324–329. [Google Scholar] [CrossRef]
- Chennamadhavuni, A.; Abushahin, L.; Jin, N.; Presley, C.J.; Manne, A. Risk Factors and Biomarkers for Immune-Related Adverse Events: A Practical Guide to Identifying High-Risk Patients and Rechallenging Immune Checkpoint Inhibitors. Front. Immunol. 2022, 13, 779691. [Google Scholar] [CrossRef]
- Abu-Sbeih, H.; Ali, F.S.; Luo, W.; Qiao, W.; Raju, G.S.; Wang, Y. Importance of endoscopic and histological evaluation in the management of immune checkpoint inhibitor-induced colitis. J. Immunother. Cancer 2018, 6, 95. [Google Scholar] [CrossRef]
- Eshghi, N.; Garland, L.L.; Nia, E.; Betancourt, R.; Krupinski, E.; Kuo, P.H. 18F-FDG PET/CT Can Predict Development of Thyroiditis Due to Immunotherapy for Lung Cancer. J. Nucl. Med. Technol. 2018, 46, 260–264. [Google Scholar] [CrossRef]
- Hribernik, N.; Huff, D.T.; Studen, A.; Zevnik, K.; Klanecek, Z.; Emamekhoo, H.; Škalic, K.; Jeraj, R.; Reberšek, M. Quantitative imaging biomarkers of immune-related adverse events in immune-checkpoint blockade-treated metastatic melanoma patients: A pilot study. Eur. J. Nucl. Med. Mol. Imaging 2022, 49, 1857–1869. [Google Scholar] [CrossRef]
- Dougan, M.; Wang, Y.; Rubio-Tapia, A.; Lim, J.K. AGA Clinical Practice Update on Diagnosis and Management of Immune Checkpoint Inhibitor Colitis and Hepatitis: Expert Review. Gastroenterology 2021, 160, 1384–1393. [Google Scholar] [CrossRef] [PubMed]
- Mooradian, M.J.; Wang, D.Y.; Coromilas, A.; Lumish, M.; Chen, T.; Giobbie-Hurder, A.; Johnson, D.B.; Sullivan, R.J.; Dougan, M. Mucosal inflammation predicts response to systemic steroids in immune checkpoint inhibitor colitis. J. Immunother. Cancer 2020, 8, e000451. [Google Scholar] [CrossRef] [PubMed]
- Wang, Y.; Abu-Sbeih, H.; Mao, E.; Ali, N.; Qiao, W.; Trinh, V.A.; Zobniw, C.; Johnson, D.H.; Samdani, R.; Lum, P.; et al. Endoscopic and Histologic Features of Immune Checkpoint Inhibitor-Related Colitis. Inflamm. Bowel Dis. 2018, 24, 1695–1705. [Google Scholar] [CrossRef] [PubMed]
- Hughes, M.S.; Molina, G.E.; Chen, S.T.; Zheng, H.; Deshpande, V.; Fadden, R.; Sullivan, R.J.; Dougan, M. Budesonide treatment for microscopic colitis from immune checkpoint inhibitors. J. Immunother. Cancer 2019, 7, 292. [Google Scholar] [CrossRef]
- Wang, Y.; Abu-Sbeih, H.; Tang, T.; Shatila, M.; Faleck, D.; Harris, J.; Dougan, M.; Olsson-Brown, A.; Johnson, D.B.; Shi, C.; et al. Novel endoscopic scoring system for immune mediated colitis: A multicenter retrospective study of 674 patients. Gastrointest. Endosc. 2024, 100, 273–282.e4. [Google Scholar] [CrossRef]



| Characteristic | No. (%) |
|---|---|
| Age, years, median (IQR) | 62 (52–76) |
| Sex, female | 20 (60.6%) |
| Race, White | 29 (87.9%) |
| Cancer type | |
| Melanoma | 8 (26.7%) |
| Lung | 14 (46.7%) |
| Head and neck | 3 (10.0%) |
| Other * | 5 (16.7%) |
| Medical History | |
| Hypertension | 16 (48.5%) |
| Diabetes Mellitus | 3 (9.1%) |
| End-Stage Renal Disease | 0 (0%) |
| Cirrhosis | 0 (0%) |
| ICI type | |
| Anti–PD-1/-L1 | 14 (42.4%) |
| Anti–CTLA-4 | 2 (6.1%) |
| Combination | 17 (51.5%) |
| Duration of ICI treatment, months, median (IQR) | 6.5 (2.8–12.2) |
| Vital status | 19 (59.4%) |
| Duration of follow-up, years, median (IQR) | 0.9 (0.3–2.7) |
| Characteristic | Negative PET/CT (n = 24) | Positive PET/CT (n = 9) |
|---|---|---|
| Other irAEs | 9 (39.1%) | 3 (37.5%) |
| Days from ICI to IMC, median (IQR) | 133 (22–307) | 140 (109–186) |
| Time from initial PET/CT to colitis, days, median (IQR) 1 | 46 (42–58) | 39 (37–46) |
| Highest CTCAE grade for diarrhea | ||
| 1 | 9 (39.1%) | 4 (50.0%) |
| 2 | 7 (30.4%) | 2 (25.0%) |
| 3 | 7 (30.4%) | 2 (25.0%) |
| Highest CTCAE grade for colitis, no. (%) [N = 30] | ||
| 1 | 10 (45.5%) | 5 (62.5%) |
| 2 | 11 (50.0%) | 3 (37.5%) |
| 3 | 1 (4.5%) | 0 (0%) |
| Inflammation found in colonoscopy | 7 (29.2%) | 5 (55.6%) |
| Diarrhea/colitis treatment | ||
| Supportive | 17 (73.9%) | 8 (88.9%) |
| Corticosteroids | 16 (69.6%) | 6 (66.7%) |
| SIT | 8 (34.8%) | 6 (66.7%) |
| Days of corticosteroids, median (IQR) | 34 (14–55) | 31 (14–122) |
| No. of SIT doses, median (IQR) | 1 (1–1.5) | 1 (1–2) |
| Outcome of colitis | ||
| Response/remission | 18 (81.8%) | 5 (71.4%) |
| Colitis recurrence after medical treatment | 4 (18.2%) | 2 (28.6%) |
| Hospitalization | 14 (60.9%) | 4 (44.4%) |
| Time from colitis onset to follow-up PET/CT, days, median (IQR) | 85 (44–127) | 95 (60–122) |
| Positive PET after colitis treatment | 5 (25.0%) | 4 (57.1%) |
| ICI held for colitis | 18 (78.3%) | 5 (55.5%) |
| ICI resumption | 10 (43.5%) | 5 (62.5%) |
| Cancer outcome | ||
| Remission/stable disease | 10 (43.4%) | 5 (55.5%) |
| Cancer progression | 13 (56.6%) | 4 (44.4%) |
| Other irAEs | 9 (39.1%) | 3 (37.5%) |
Disclaimer/Publisher’s Note: The statements, opinions and data contained in all publications are solely those of the individual author(s) and contributor(s) and not of MDPI and/or the editor(s). MDPI and/or the editor(s) disclaim responsibility for any injury to people or property resulting from any ideas, methods, instructions or products referred to in the content. |
© 2025 by the authors. Licensee MDPI, Basel, Switzerland. This article is an open access article distributed under the terms and conditions of the Creative Commons Attribution (CC BY) license (https://creativecommons.org/licenses/by/4.0/).
Share and Cite
Shatila, M.; Takigawa, K.; Lu, Y.; Urias Rivera, A.C.; Mittal, N.; Aleem, A.S.; Ngo, S.; Lu, E.; Wu, D.; Sperling, G.; et al. Predictive Value of FDG Uptake on PET for Future Immune Checkpoint Inhibitor-Mediated Colitis: A Case Series. J. Clin. Med. 2025, 14, 256. https://doi.org/10.3390/jcm14010256
Shatila M, Takigawa K, Lu Y, Urias Rivera AC, Mittal N, Aleem AS, Ngo S, Lu E, Wu D, Sperling G, et al. Predictive Value of FDG Uptake on PET for Future Immune Checkpoint Inhibitor-Mediated Colitis: A Case Series. Journal of Clinical Medicine. 2025; 14(1):256. https://doi.org/10.3390/jcm14010256
Chicago/Turabian StyleShatila, Malek, Kei Takigawa, Yang Lu, Andres Caleb Urias Rivera, Nitish Mittal, Abdullah Sagar Aleem, Sean Ngo, Eric Lu, Deanna Wu, Gabriel Sperling, and et al. 2025. "Predictive Value of FDG Uptake on PET for Future Immune Checkpoint Inhibitor-Mediated Colitis: A Case Series" Journal of Clinical Medicine 14, no. 1: 256. https://doi.org/10.3390/jcm14010256
APA StyleShatila, M., Takigawa, K., Lu, Y., Urias Rivera, A. C., Mittal, N., Aleem, A. S., Ngo, S., Lu, E., Wu, D., Sperling, G., Naz, S., Schneider, B., Shirwaikar Thomas, A., & Wang, Y. (2025). Predictive Value of FDG Uptake on PET for Future Immune Checkpoint Inhibitor-Mediated Colitis: A Case Series. Journal of Clinical Medicine, 14(1), 256. https://doi.org/10.3390/jcm14010256

