Limb Axis Disorder During Leg Length Discrepancy Treatment with Temporary Epiphysiodesis Using Eight-Plate Implants
Abstract
1. Introduction
2. Materials and Methods
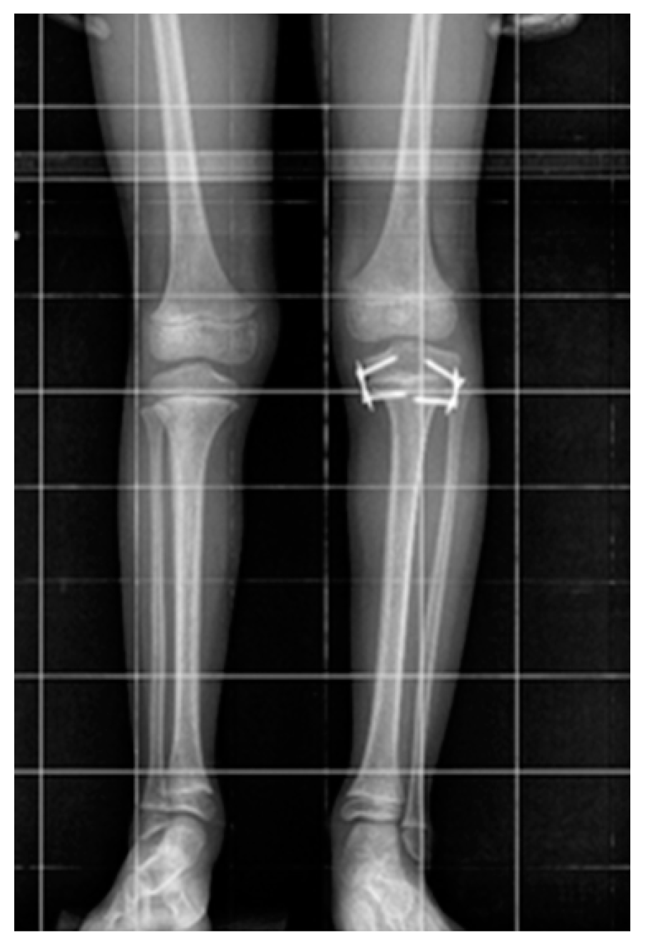
2.1. Research Material
2.2. Investigated Parameters
2.3. Statistical Analysis
3. Results
3.1. Changes in the Investigated Parameters After the Treatment
3.2. Changes in the Investigated Parameters Evaluated in Different Treatment Period
4. Discussion
Limitations of the Study
5. Conclusions
Author Contributions
Funding
Institutional Review Board Statement
Informed Consent Statement
Data Availability Statement
Conflicts of Interest
References
- Johari, A.; Maheshwari, R.; Maheshwari, S. Limb-Length Discrepancy. In Passport for the Orthopedic Boards and FRCS Examination; Mauffrey, C., Hak, D.J., Eds.; Springer: Paris, France, 2015; pp. 463–467. [Google Scholar] [CrossRef]
- Grill, F.; Dungl, P. Lengthening for Congenital Short Femur. Results of Different Methods. J. Bone Joint Surg. Br. 1991, 73-B, 439–447. [Google Scholar] [CrossRef] [PubMed]
- Alfuth, M.; Fichter, P.; Knicker, A. Leg Length Discrepancy: A Systematic Review on the Validity and Reliability of Clinical Assessments and Imaging Diagnostics Used in Clinical Practice. PLoS ONE 2021, 16, e0261457. [Google Scholar] [CrossRef] [PubMed]
- Baylis, W.J.; Rzonca, E.C. Functional and Structural Limb Length Discrepancies: Evaluation and Treatment. Clin. Podiatr. Med. Surg. 1988, 5, 509–520. [Google Scholar] [CrossRef] [PubMed]
- Danbert, R.J. Clinical Assessment and Treatment of Leg Length Inequalities. J. Manip. Physiol. Ther. 1988, 11, 290–295. [Google Scholar]
- Sekiya, T.; Aota, Y.; Yamada, K.; Kaneko, K.; Ide, M.; Saito, T. Evaluation of Functional and Structural Leg Length Discrepancy in Patients with Adolescent Idiopathic Scoliosis Using the EOS Imaging System: A Prospective Comparative Study. Scoliosis Spinal Disord. 2018, 13, 7. [Google Scholar] [CrossRef]
- Beals, R.K. Hemihypertrophy and Hemihypotrophy. Clin. Orthop. 1982, 166, 199–203. [Google Scholar] [CrossRef]
- Gurney, B. Leg Length Discrepancy. Gait Posture 2002, 15, 195–206. [Google Scholar] [CrossRef] [PubMed]
- McCaw, S.T.; Bates, B.T. Biomechanical Implications of Mild Leg Length Inequality. Br. J. Sports Med. 1991, 25, 10–13. [Google Scholar] [CrossRef] [PubMed]
- Kakushima, M.; Miyamoto, K.; Shimizu, K. The Effect of Leg Length Discrepancy on Spinal Motion During Gait: Three-Dimensional Analysis in Healthy Volunteers. Spine 2003, 28, 2472–2476. [Google Scholar] [CrossRef]
- Di Gennaro, G.L.; Trisolino, G.; Stallone, S.; Ramella, M.; Rocca, G.; Gallone, G. Guided Growth Technique for Epiphysiodesis and Hemiepiphysiodesis: Safety and Performance Evaluation. Children 2023, 11, 49. [Google Scholar] [CrossRef]
- Starobrat, G.; Danielewicz, A.; Szponder, T.; Wójciak, M.; Sowa, I.; Różańska-Boczula, M.; Latalski, M. The Influence of Temporary Epiphysiodesis of the Proximal End of the Tibia on the Shape of the Knee Joint in Children Treated for Leg Length Discrepancy. J. Clin. Med. 2024, 13, 1458. [Google Scholar] [CrossRef]
- Vogt, B.; Gosheger, G.; Wirth, T.; Horn, J.; Rödl, R. Leg Length Discrepancy—Treatment Indications and Strategies. Dtsch. Ärztebl. Int. 2020, 117, 405–411. [Google Scholar] [CrossRef] [PubMed]
- Althobaiti, M.S.; Aloraini, L.I.; Alamri, S.; Binsaddik, O.K.; Alobaysi, Y.M.Y.; Alabdulrahman, F.K.; Al Shahrani, O.A.S.; Al-Awn, R.M.M.; Shafiy, G.A. Updates in the Management of Leg Length Discrepancy: A Systematic Review. Cureus 2024, 16, e62599. [Google Scholar] [CrossRef] [PubMed]
- Raab, P.; Wild, A.; Seller, K.; Krauspe, R. Correction of Length Discrepancies and Angular Deformities of the Leg by Blount’s Epiphyseal Stapling. Eur. J. Pediatr. 2001, 160, 668–674. [Google Scholar] [CrossRef] [PubMed]
- Courvoisier, A.; Eid, A.; Merloz, P. Epiphyseal Stapling of the Proximal Tibia for Idiopathic Genu Valgum. J. Child. Orthop. 2009, 3, 217–221. [Google Scholar] [CrossRef] [PubMed]
- Blount, W.P.; Clarke, G.R. Control of Bone Growth by Epiphyseal Stapling; a Preliminary Report. J. Bone Joint Surg. Am. 1949, 31A, 464–478. [Google Scholar] [CrossRef] [PubMed]
- Gorman, T.M.; Vanderwerff, R.; Pond, M.; MacWilliams, B.; Santora, S.D. Mechanical Axis Following Staple Epiphysiodesis for Limb-Length Inequality. J. Bone Joint Surg. Am. 2009, 91, 2430–2439. [Google Scholar] [CrossRef]
- Schroerlucke, S.; Bertrand, S.; Clapp, J.; Bundy, J.; Gregg, F.O. Failure of Orthofix Eight-Plate for the Treatment of Blount Disease. J. Pediatr. Orthop. 2009, 29, 57–60. [Google Scholar] [CrossRef]
- Wiemann, J.M.; Tryon, C.; Szalay, E.A. Physeal Stapling versus 8-Plate Hemiepiphysiodesis for Guided Correction of Angular Deformity about the Knee. J. Pediatr. Orthop. 2009, 29, 481–485. [Google Scholar] [CrossRef] [PubMed]
- Métaizeau, J.P.; Wong-Chung, J.; Bertrand, H.; Pasquier, P. Percutaneous Epiphysiodesis Using Transphyseal Screws (PETS). J. Pediatr. Orthop. 1998, 18, 363–369. [Google Scholar] [CrossRef]
- Stevens, P.M. Guided Growth for Angular Correction: A Preliminary Series Using a Tension Band Plate. J. Pediatr. Orthop. 2007, 27, 253–259. [Google Scholar] [CrossRef] [PubMed]
- Lauge-Pedersen, H.; Hägglund, G. Eight Plate Should Not Be Used for Treating Leg Length Discrepancy. J. Child. Orthop. 2013, 7, 285–288. [Google Scholar] [CrossRef] [PubMed]
- Siedhoff, M.; Ridderbusch, K.; Breyer, S.; Stücker, R.; Rupprecht, M. Temporary Epiphyseodesis for Limb-Length Discrepancy: 8- to 15-Year Follow-up of 34 Children. Acta Orthop. 2014, 85, 626–632. [Google Scholar] [CrossRef]
- Borbas, P.; Agten, C.A.; Rosskopf, A.B.; Hingsammer, A.; Eid, K.; Ramseier, L.E. Guided Growth with Tension Band Plate or Definitive Epiphysiodesis for Treatment of Limb Length Discrepancy? J. Orthop. Surg. 2019, 14, 99. [Google Scholar] [CrossRef]






| Parameter | Group I (n = 24) | Group II (n = 24) | Group III (n = 12) | |||
|---|---|---|---|---|---|---|
| Age y.m average/(range) | 13.2/(12.2–13.8) | 10.11/(10.2–11.1) | 9.0/(8.6–9.6) | |||
| LLD cm average/(range) | 2.0/(1.5–2.8) | 2.6/(1.4–3.6) | 2.4/(1.6–3.6) | |||
| Boys | Girls | Boys | Girls | Boys | Girls | |
| Number of patients | 12 | 12 | 18 | 6 | 6 | 6 |
| Age y.m average | 13.0 | 13.3 | 11.3 | 10.6 | 9.2 | 8.11 |
| Age y.m range | 12.2–13.1 | 2.1–13.1 | 10.7–11.1 | 10.2–10.1 | 9.0–9.6 | 8.1–9.6 |
| LLD cm average | 2.1 | 2.0 | 2.6 | 2.6 | 2.5 | 2.4 |
| LLD cm range | 1.5–2.8 | 1.5–2.6 | 1.5–2.8 | 1.4–3.6 | 2.0–3.2 | 1.6–3.6 |
| Parameter | G I (0–18 Months) | G II (0–30 Months) | G III (0–42 Months) | |||
|---|---|---|---|---|---|---|
| Girls | Boys | Girls | Boys | Girls | Boys | |
| M/at l | 0.9576 | 0.4784 | 0.5188 | 0.0758 | 0.0001 | 0.7236 |
| M/at k | 0.1896 | 0.6942 | 0.0026 | 0.0247 | 0.0087 | 0.0636 |
| mMPTA l | 0.6172 | 0.0042 | 0.7209 | 0.0599 | 0.0671 | 0.3032 |
| mMPTA k | 0.5582 | 0.0002 | 0.8931 | 0.1449 | 0.2271 | 0.5084 |
| MAD l | 0.0061 | 0.0012 | 0.0003 | 0.0066 | 0.0001 | 0.0001 |
| MAD k | 0.0001 | 0.3618 | 0.0001 | 0.1369 | 0.0004 | 0.0001 |
| Group | Girls | Boys | ||||
|---|---|---|---|---|---|---|
| Δ M/at | Δ mMPTA | Δ MAD | Δ M/at | Δ mMPTA | Δ MAD | |
| I | 0.1579 | 0.2094 | 0.8753 | 0.1167 | 0.0022 | 0.9375 |
| II | 0.0679 | 0.0678 | 0.0277 | 0.3271 | 0.0222 | 0.0582 |
| III | 0.0277 | 0.9165 | 0.0277 | 0.9165 | 0.9165 | 0.9165 |
| Period | Girls | Boys | ||||
|---|---|---|---|---|---|---|
| Δ M/at | Δ mMPTA | Δ MAD | Δ M/at | Δ mMPTA | Δ MAD | |
| 0–6 m | 0.6379 | 0.0995 | 0.8753 | 0.0994 | 0.4327 | 0.6379 |
| 6–12 m | 0.0357 | 0.8139 | 0.0228 | 0.8139 | 0.0047 | 0.9375 |
| 12–18 m | 0.5076 | 0.2094 | 0.0022 | 0.1579 | 0.0022 | 0.0597 |
| Period | Girls | Boys | ||||
|---|---|---|---|---|---|---|
| Δ M/at | Δ mMPTA | Δ MAD | Δ M/at | Δ mMPTA | Δ MAD | |
| 0–6 m | 0.0277 | 0.2851 | 0.0277 | 0.1627 | 0.0209 | 0.0033 |
| 6–12 m | 0.0679 | 0.6547 | 0.9165 | 0.0010 | 0.0209 | 0.1989 |
| 12–18 m | 0.9165 | 0.1797 | 0.0277 | 0.1446 | 0.3139 | 0.0277 |
| 18-24 m | 0.0277 | 0.0399 | 0.9165 | 0.0113 | 0.9527 | 0.0778 |
| 24-30 m | 0.0277 | 0.0117 | 0.9165 | 0.4742 | 0.5147 | 0.1221 |
| Period | Girls | Boys | ||||
|---|---|---|---|---|---|---|
| Δ M/at | Δ mMPTA | Δ MAD | Δ M/at | Δ mMPTA | Δ MAD | |
| 0–6 m | 0.1797 | 0.1158 | 0.0277 | 0.9165 | 0.9165 | 0.1158 |
| 6–12 m | 0.9165 | 0.9165 | 0.0277 | 0.9165 | 0.9165 | 0.1158 |
| 12–18 m | 0.0277 | 0.1158 | 0.1158 | 0.4631 | 0.1158 | 0.0277 |
| 18-24 m | 0.0679 | 0.4631 | 0.9165 | 0.1158 | 0.4631 | 0.0277 |
| 24-30 m | 0.9165 | 0.0277 | 0.0277 | 0.4631 | 0.0277 | 0.0277 |
| 30-36 m | 0.9165 | 0.9165 | 0.0277 | 0.1158 | 0.9165 | 0.1158 |
| 36-42 m | 0.0277 | 0.0277 | 0.9165 | 0.1158 | 0.0277 | 0.0277 |
Disclaimer/Publisher’s Note: The statements, opinions and data contained in all publications are solely those of the individual author(s) and contributor(s) and not of MDPI and/or the editor(s). MDPI and/or the editor(s) disclaim responsibility for any injury to people or property resulting from any ideas, methods, instructions or products referred to in the content. |
© 2025 by the authors. Licensee MDPI, Basel, Switzerland. This article is an open access article distributed under the terms and conditions of the Creative Commons Attribution (CC BY) license (https://creativecommons.org/licenses/by/4.0/).
Share and Cite
Starobrat, G.; Danielewicz, A.; Szponder, T.; Wójciak, M.; Sowa, I.; Różańska-Boczula, M.; Latalski, M. Limb Axis Disorder During Leg Length Discrepancy Treatment with Temporary Epiphysiodesis Using Eight-Plate Implants. J. Clin. Med. 2025, 14, 258. https://doi.org/10.3390/jcm14010258
Starobrat G, Danielewicz A, Szponder T, Wójciak M, Sowa I, Różańska-Boczula M, Latalski M. Limb Axis Disorder During Leg Length Discrepancy Treatment with Temporary Epiphysiodesis Using Eight-Plate Implants. Journal of Clinical Medicine. 2025; 14(1):258. https://doi.org/10.3390/jcm14010258
Chicago/Turabian StyleStarobrat, Grzegorz, Anna Danielewicz, Tomasz Szponder, Magdalena Wójciak, Ireneusz Sowa, Monika Różańska-Boczula, and Michał Latalski. 2025. "Limb Axis Disorder During Leg Length Discrepancy Treatment with Temporary Epiphysiodesis Using Eight-Plate Implants" Journal of Clinical Medicine 14, no. 1: 258. https://doi.org/10.3390/jcm14010258
APA StyleStarobrat, G., Danielewicz, A., Szponder, T., Wójciak, M., Sowa, I., Różańska-Boczula, M., & Latalski, M. (2025). Limb Axis Disorder During Leg Length Discrepancy Treatment with Temporary Epiphysiodesis Using Eight-Plate Implants. Journal of Clinical Medicine, 14(1), 258. https://doi.org/10.3390/jcm14010258

