Waves of Precision: A Practical Guide for Reviewing New Tools to Evaluate Mechanical In-Exsufflation Efficacy in Neuromuscular Disorders
Abstract
1. Introduction
- (1)
- A deep inspiration, up to 85–90% of total lung capacity [3].
- (2)
- Intact bulbar function so that there is rapid closure of the glottis for approximately 0.2 s, coupled with contraction of abdominal and intercostal (expiratory) muscles to generate intrapleural pressures of >190 cm H2O [3].
- (3)
- Upon glottic opening, an explosive decompression that generates transient cough peak flows (CPF) [4].

2. Clinical and Functional Options to Evaluate Mechanical Insufflation-Exsufflation (MI-E)
2.1. Cough Peak Flow for the Analysis of MI-E Efficay
2.2. Mechanical Insufflation-Exsufflation Volumes for the Analysis of MI-E Efficay
2.3. Graphic Analysis, Waveform Evaluation of Cough Mechanics during MI-E for the Analysis of MI-E Efficay
2.3.1. The Normal MI-E Waveform: Variants of Normality; Identification of Points of Interest in Normal Waveforms
2.3.2. The Abnormal MI-E Curve
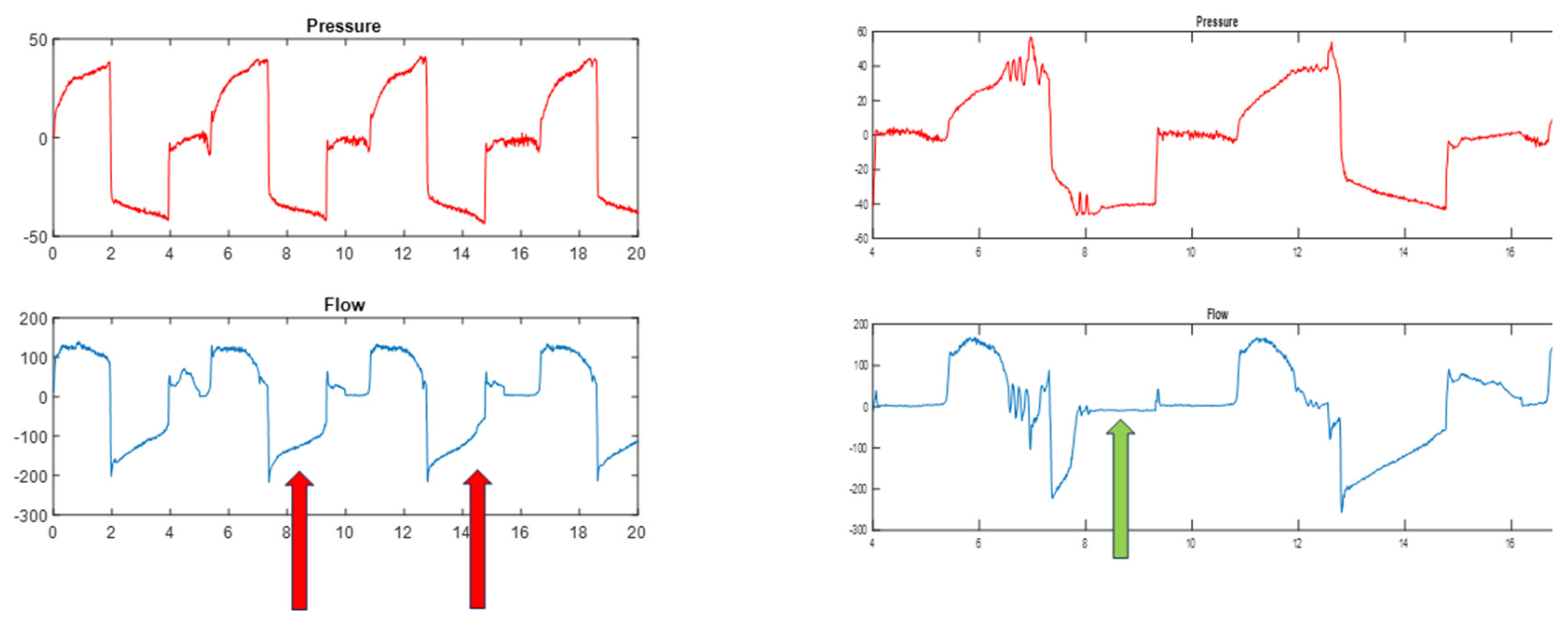
- Lack of synchronization between coughing maneuvers and MI-E transition. This is likely to be a very common problem due to the difficulty of synchronizing the patient with the MI-E device in automatic mode and the carer with the patient in manual mode. Active coughing by the patient can occur at any point in the cycle, including inspiration (usually just before the transition to expiration). When it occurs during expiration, it is preceded by a brief period of zero flow, which would correspond to physiological glottic closure.
- Inspiratory timing discordance. The aim of the inspiratory phase during MI-E is to get as close as possible to total lung capacity. Therefore, if a prolonged plateau at zero flow or close to zero is reached at the end of inspiration, it means that the total lung capacity has been reached earlier and that this excess time at zero flow may be uncomfortable for the patient, resulting in an excessively long inspiratory time. The patient may also react to this excess time with an active exhalation during this inspiratory phase. Conversely, if the patient’s flow rate is well above zero at the transition to exhalation (having ruled out leaks), this may indicate that the inspiratory time can be extended further (see Figure 11).
- 3.
- Expiratory timing discordance. The same criteria as in the previous section would apply to the interpretation of the expiratory time: a plateau close to zero flow at the end of expiration would indicate an excessive expiratory time (differential diagnosis with expiratory collapse is mandatory), whereas a flow far from zero at the end of expiration would indicate a short expiratory time (see Figure 12).
2.4. Auscultation to Detect the Upper Airway and Laryngeal Closure during MI-E, for the Analysis of MI-E Efficay
2.5. Direct Visualization of the Upper Airway, Nasal Fiberoptic Laryngoscopy
2.6. Computed Tomography to Detect MI-E Efficay
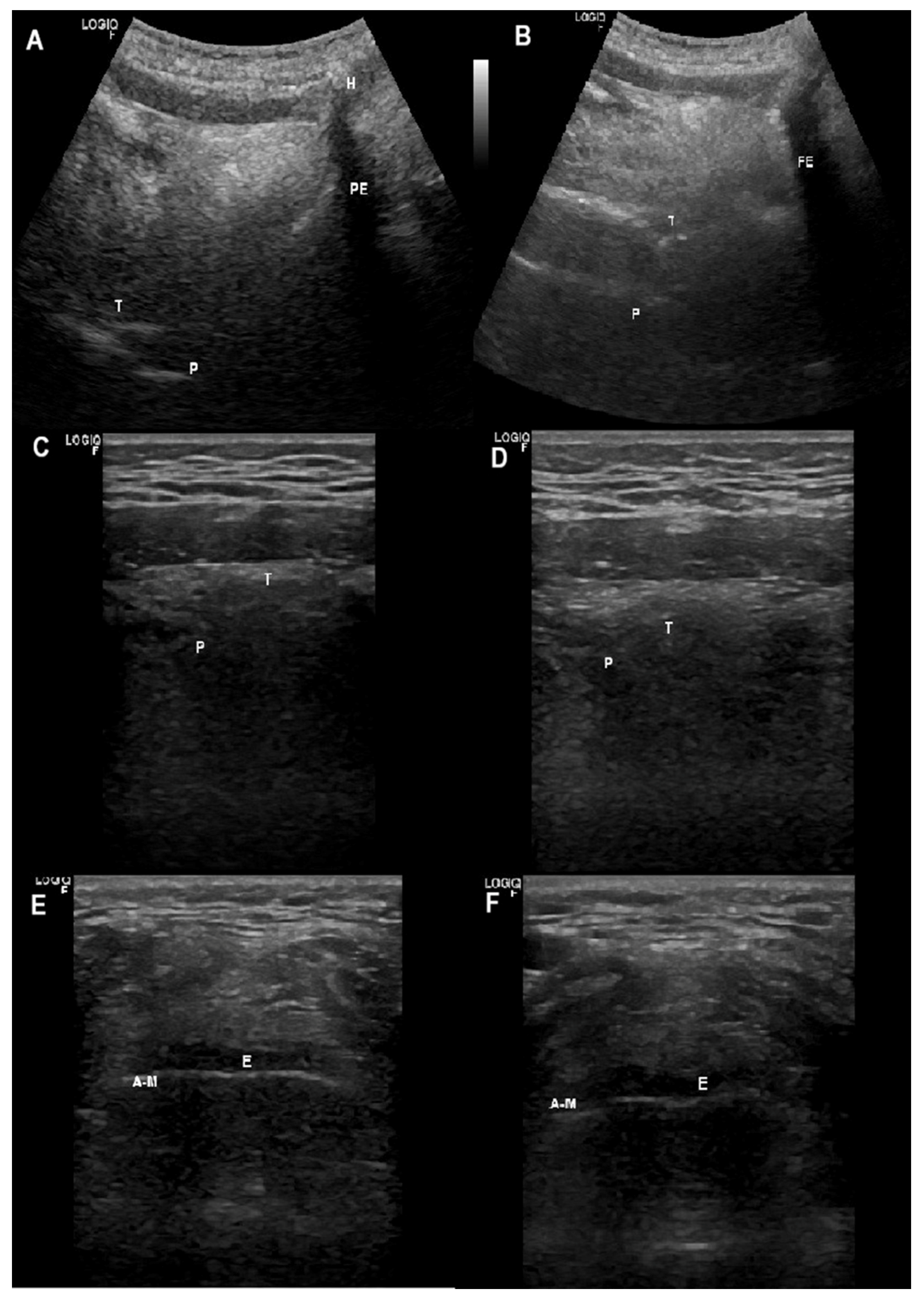
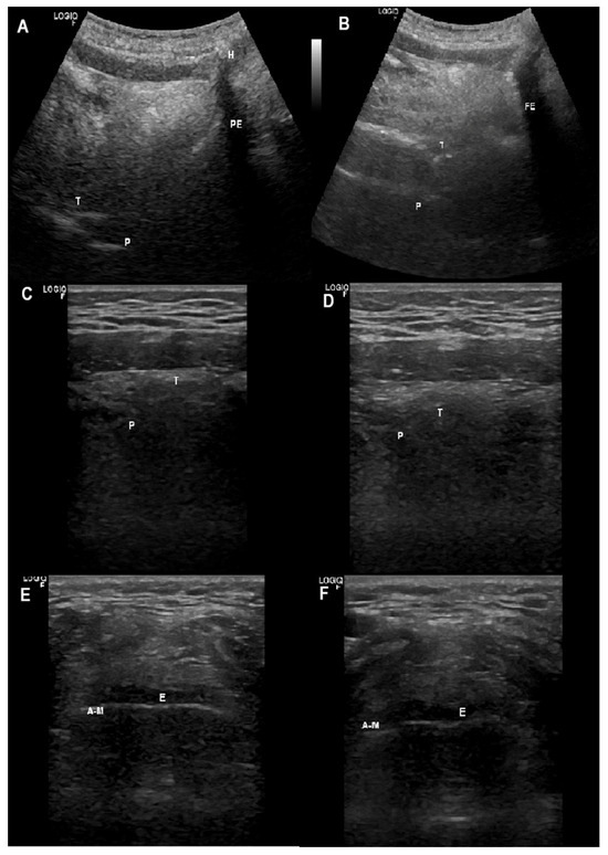
2.7. Point of Care Ultrasound (POCUS) to Evaluate the Upper Airway and MI-E Efficay
2.7.1. Ultrasonographic Upper Airway Structures
Glottis
Supra-Glottis
Oropharynx
2.8. Other Options to Evaluate MI-E Efficacy
3. Future Directions
4. Conclusions
Author Contributions
Funding
Institutional Review Board Statement
Informed Consent Statement
Data Availability Statement
Acknowledgments
Conflicts of Interest
References
- Camela, F.; Gallucci, M.; Ricci, G. Cough and airway clearance in Duchenne muscular dystrophy. Paediatr. Respir. Rev. 2019, 31, 35–39. [Google Scholar] [CrossRef] [PubMed]
- Bach, J.R.; Turcios, N.L.; Wang, L. Respiratory Complications of Pediatric Neuromuscular Diseases. Pediatr. Clin. N. Am. 2021, 68, 177–191. [Google Scholar] [CrossRef] [PubMed]
- Leith, D.E. The development of cough. Am. Rev. Respir. Dis. 1985, 131, S39–S42. [Google Scholar]
- Chaudri, M.B.; Liu, C.; Hubbard, R.; Jefferson, D.; Kinnear, W.J. Relationship between supramaximal flow during cough and mortality in motor neurone disease. Eur. Respir. J. 2002, 19, 434–438. [Google Scholar] [CrossRef] [PubMed]
- Gibson, N.; Blackmore, A.M.; Chang, A.B.; Cooper, M.S.; Jaffe, A.; Kong, W.R.; Langdon, K.; Moshovis, L.; Pavleski, K.; Wilson, A.C. Prevention and management of respiratory disease in young people with cerebral palsy: Consensus statement. Dev. Med. Child. Neurol. 2021, 63, 172–182. [Google Scholar] [CrossRef] [PubMed]
- Szeinberg, A.; Tabachnik, E.; Rashed, N.; McLaughlin, F.J.; England, S.; Bryan, C.A.; Levison, H. Cough capacity in patients with muscular dystrophy. Chest 1988, 94, 1232–1235. [Google Scholar] [CrossRef]
- Chatwin, M.; Toussaint, M.; Goncalves, M.R.; Sheers, N.; Mellies, U.; Gonzales-Bermejo, J.; Sancho, J.; Fauroux, B.; Andersen, T.; Hov, B.; et al. Airway clearance techniques in neuromuscular disorders: A state of the art review. Respir. Med. 2018, 136, 98–110. [Google Scholar] [CrossRef]
- American Thoracic Society/European Respiratory Society. ATS/ERS Statement on respiratory muscle testing. Am. J. Respir. Crit. Care Med. 2002, 166, 518–624. [Google Scholar] [CrossRef] [PubMed]
- Kulnik, S.T.; MacBean, V.; Birring, S.S.; Moxham, J.; Rafferty, G.F.; Kalra, L. Accuracy of portable devices in measuring peak cough flow. Physiol. Meas. 2015, 36, 243. [Google Scholar] [CrossRef]
- Bianchi, C.; Baiardi, P. Cough Peak Flows: Standard Values for Children and Adolescents. Am. J. Phys. Med. Rehabil. 2008, 87, 461–467. [Google Scholar] [CrossRef]
- Leith, D.E. Lung Biology in Health and Disease: Respiratory Defense Mechanisms; Marcel Deckker: New York, NY, USA, 1977; pp. 545–592. [Google Scholar]
- Bach, J.R.; Saporito, L.R. Criteria for extubation and tracheostomy tube removal for patients with ventilatory failure. A different approach to weaning. Chest 1996, 110, 1566–1571. [Google Scholar] [CrossRef]
- Tzeng, A.C.; Bach, J.R. Prevention of Pulmonary Morbidity for Patients with Neuromuscular Disease. Chest 2000, 118, 1390–1396. [Google Scholar] [CrossRef] [PubMed]
- Toussaint, M.; Chatwin, M.; Gonzales, J.; Berlowitz, D.J. 228th ENMC International Workshop: Airway clearance techniques in neuromuscular disorders Naarden, The Netherlands, 3–5 March 2017. Neuromuscul. Disord. 2018, 28, 289–298. [Google Scholar] [CrossRef] [PubMed]
- Recasens, B.B.; Balañá Corberó, A.; Llorens, J.M.M.; Guillen-Sola, A.; Moreno, M.V.; Escobar, G.G.; Umayahara, Y.; Soh, Z.; Tsuji, T.; Rubio, M. Sound-based cough peak flow estimation in patients with neuromuscular disorders. Muscle Nerve 2024, 69, 213–217. [Google Scholar] [CrossRef]
- Tabor-Gray, L.C.; Gallestagui, A.; Vasilopoulos, T.; Plowman, E.K. Characteristics of impaired voluntary cough function in individuals with amyotrophic lateral sclerosis. Amyotroph. Lateral Scler. Front. Degener. 2019, 20, 37–42. [Google Scholar] [CrossRef] [PubMed]
- Winck, J.C.; Goncalves, M.R.; Lourenco, C.; Viana, P.; Almeida, J.; Bach, J.R. Effects of mechanical insufflation-exsufflation on respiratory parameters for patients with chronic airway secretion encumbrance. Chest 2004, 126, 774–780. [Google Scholar] [CrossRef]
- Bach, J.R. Mechanical insufflation-exsufflation. Comparison of peak expiratory flows with manually assisted and unassisted coughing techniques. Chest 1993, 104, 1553–1562. [Google Scholar] [CrossRef]
- Chatwin, M.; Simonds, A.K. Long-Term Mechanical Insufflation-Exsufflation Cough Assistance in Neuromuscular Disease: Patterns of Use and Lessons for Application. Respir. Care 2020, 65, 135–143. [Google Scholar] [CrossRef] [PubMed]
- Goncalves, M.R.; Honrado, T.; Winck, J.C.; Paiva, J.A. Effects of mechanical insufflation-exsufflation in preventing respiratory failure after extubation: A randomized controlled trial. Crit. Care 2012, 16, R48. [Google Scholar] [CrossRef]
- Terzi, N.; Vaugier, I.; Guerin, C.; Prigent, H.; Boussaid, G.; Leroux, K.; Delorme, M.; Lofaso, F.; Louis, B. Comparison of Four Mechanical Insufflation-Exsufflation Devices: Effect of Simulated Airway Collapse on Cough Peak Flow. Respir. Care 2023, 68, 462–469. [Google Scholar] [CrossRef]
- Porot, V.; Guerin, C. Bench assessment of a new insufflation-exsufflation device. Respir. Care 2013, 58, 1536–1540. [Google Scholar] [CrossRef] [PubMed]
- Sancho, J.; Servera, E.; Diaz, J.; Marin, J. Efficacy of mechanical insufflation-exsufflation in medically stable patients with amyotrophic lateral sclerosis. Chest 2004, 125, 1400–1405. [Google Scholar] [CrossRef] [PubMed]
- Andersen, T.; Sandnes, A.; Brekka, A.K.; Hilland, M.; Clemm, H.; Fondenes, O.; Tysnes, O.B.; Heimdal, J.H.; Halvorsen, T.; Vollsaeter, M.; et al. Laryngeal response patterns influence the efficacy of mechanical assisted cough in amyotrophic lateral sclerosis. Thorax 2017, 72, 221–229. [Google Scholar] [CrossRef] [PubMed]
- Sancho, J.; Ferrer, S.; Bures, E.; Fernandez-Presa, L.; Banuls, P.; Gonzalez, M.C.; Signes-Costa, J. Waveforms Analysis in Patients with Amyotrophic Lateral Sclerosis for Enhanced Efficacy of Mechanically Assisted Coughing. Respir. Care 2022, 67, 1226–1235. [Google Scholar] [CrossRef]
- Masselli, G.M.; Silvestri, S.; Sciuto, S.A.; Cappa, P. Circuit compliance compensation in lung protective ventilation. Conf. Proc. IEEE Eng. Med. Biol. Soc. 2006, 2006, 5603–5606. [Google Scholar] [PubMed]
- Lalmolda, C.; Prados, H.; Mateu, G.; Noray, M.; Pomares, X.; Lujan, M. Titration of Mechanical Insufflation-Exsufflation Optimal Pressure Combinations in Neuromuscular Diseases by Flow/Pressure Waveform Analysis. Arch. Bronconeumol. 2019, 55, 246–251. [Google Scholar] [CrossRef]
- Troxell, D.A.; Bach, J.R.; Nilsestuen, J.O. Mechanical Insufflation-Exsufflation Implementation and Management, Aided by Graphics Analysis. Chest 2023, 164, 1505–1511. [Google Scholar] [CrossRef] [PubMed]
- Gonzalez-Bermejo, J.; Janssens, J.P.; Rabec, C.; Perrin, C.; Lofaso, F.; Langevin, B.; Carlucci, A.; Lujan, M.; Somno, N.I.V.g. Framework for patient-ventilator asynchrony during long-term non-invasive ventilation. Thorax 2019, 74, 715–717. [Google Scholar] [CrossRef]
- Gonzalez-Bermejo, J.; Perrin, C.; Janssens, J.P.; Pepin, J.L.; Mroue, G.; Leger, P.; Langevin, B.; Rouault, S.; Rabec, C.; Rodenstein, D.; et al. Proposal for a systematic analysis of polygraphy or polysomnography for identifying and scoring abnormal events occurring during non-invasive ventilation. Thorax 2012, 67, 546–552. [Google Scholar] [CrossRef]
- Chatwin, M.; Wakeman, R.H. Mechanical Insufflation-Exsufflation: Considerations for Improving Clinical Practice. J. Clin. Med. 2023, 12, 2626. [Google Scholar] [CrossRef] [PubMed] [PubMed Central]
- Marrara, J.L.; Duca, A.P.; Dantas, R.O.; Trawitzki, L.V.; Lima, R.A.; Pereira, J.C. Swallowing in children with neurologic disorders: Clinical and videofluoroscopic evaluations. Pró-Fono Rev. Atualização Científica 2008, 20, 231–236. [Google Scholar] [CrossRef]
- Andersen, T.M.; Sandnes, A.; Fondenes, O.; Nilsen, R.M.; Tysnes, O.B.; Heimdal, J.H.; Clemm, H.H.; Halvorsen, T.; Vollsaeter, M.; Roksund, O.D. Laryngeal Responses to Mechanically Assisted Cough in Progressing Amyotrophic Lateral Sclerosis. Respir. Care 2018, 63, 538–549. [Google Scholar] [CrossRef]
- Andersen, T.; Sandnes, A.; Hilland, M.; Halvorsen, T.; Fondenes, O.; Heimdal, J.H.; Tysnes, O.B.; Roksund, O.D. Laryngeal response patterns to mechanical insufflation-exsufflation in healthy subjects. Am. J. Phys. Med. Rehabil. 2013, 92, 920–929. [Google Scholar] [CrossRef]
- Vollsaeter, M.; Skjoldmo, A.; Roksund, O.; Hilland, M.; Andersen, T. Tailoring NIV by dynamic laryngoscopy in a child with spinal muscular atrophy type I. Clin. Case Rep. 2021, 9, 1925–1928. [Google Scholar] [CrossRef]
- Andersen, T.; Fondenes, O.; Roksund, O.D.; Clemm, H.; Halvorsen, T.; Vollsaeter, M. From bedside to bench—In vivo and in vitro evaluation of mechanically assisted cough treatment in a patient with bulbar Amyotrophic Lateral Sclerosis. Respir. Med. Case Rep. 2022, 37, 101649. [Google Scholar] [CrossRef]
- Brekka, A.K.; Vollsaeter, M.; Ntoumenopoulos, G.; Clemm, H.H.; Halvorsen, T.; Roksund, O.D.; Andersen, T.M. Adjustments of non-invasive ventilation and mechanically assisted cough by combining ultrasound imaging of the larynx with transnasal fibre-optic laryngoscopy: A protocol for an experimental study. BMJ Open 2022, 12, e059234. [Google Scholar] [CrossRef]
- Singh, M.; Chin, K.J.; Chan, V.W.; Wong, D.T.; Prasad, G.A.; Yu, E. Use of sonography for airway assessment: An observational study. J. Ultrasound Med. 2010, 29, 79–85. [Google Scholar] [CrossRef]
- Beale, T.; Twigg, V.M.; Horta, M.; Morley, S. High-Resolution Laryngeal US: Imaging Technique, Normal Anatomy, and Spectrum of Disease. Radiographics 2020, 40, 775–790. [Google Scholar] [CrossRef]
- Pigatto, A.V.; Kao, T.J.; Mueller, J.L.; Baker, C.D.; DeBoer, E.M.; Kupfer, O. Electrical impedance tomography detects changes in ventilation after airway clearance in spinal muscular atrophy type I. Respir. Physiol. Neurobiol. 2021, 294, 103773. [Google Scholar] [CrossRef]
- Shah, N.M.; Apps, C.; Kaltsakas, G.; Madden-Scott, S.; Suh, E.S.; D’Cruz, R.F.; Arbane, G.; Patout, M.; Lhuillier, E.; Hart, N.; et al. The Effect of Pressure Changes during Mechanical Insufflation-Exsufflation on Respiratory and Airway Physiology. Chest 2023, 165, 929–941. [Google Scholar] [CrossRef] [PubMed]
- Swingwood, E.; Voss, S.; Tume, L.N.; Bewley, J.; Turner, N.; Ntoumenopoulos, G.; Rose, L.; Cramp, F. Mechanical insufflation-exsufflation to promote extubation success in critically ill adults on intensive care: Protocol for a randomised controlled feasibility trial. Pilot. Feasibility Stud. 2023, 9, 129. [Google Scholar]
















| Assessment | Description | Outcome |
|---|---|---|
| Patient reported cough efficacy | Patients should be asked whether their cough is effective when well or unwell and if there are any positions the patient clears better with. | Effective or ineffective cough data |
| Sputum cleared | The ability to clear secretions or not can be used to evaluate cough effectiveness. Either the patient can or cannot clear secretions into the mouth to be cleared independently or orally suctioned from the back of the mouth. | Secretions cleared or retained |
| Audibility | The auditability of patient’s cough can be used to deem whether it is effective or not. The patient is asked to cough and depending on the strength sound of the cough the cough is deemed as effective or ineffective. | Effective or ineffective cough |
| Lung function (flow and volume) | Flow volume loops can be performed during a cough. This will give an indication of the inspiratory and expiratory volume as well as the flows achieved. In addition to this transient expiratory flow spikes indicates dynamic compression of the flexible airways. | Production of transient flow spikes indicates an effective cough. |
| Maximum expiratory pressure (MEP) | This test measures the expiratory muscle strength of the patient. | A MEP > 60 cm H2O has been shown to determine an effective cough [6] |
| Cough peak flow (CPF) | This test will measure the peak expiratory flow during a cough. | A normal cough will generate flows of >360 L/min [10]. An assisted cough that is unable to generate flows < 160 L/min can lead to secretion encumbrance [12]. |
| Cough peak sound via app [15] | This is a smart phone app that is placed close to the patient, and they are asked to cough. It negates the need for a peak flow meter and mask. It estimates the CPF based on the CPS. It has a 94.4% sensitivity and 100% specificity to detect patients with CPF < 270 L/min. | A normal cough will generate flows of >360 L/min [10]. CPF < 270 L/min can identify those at risk of deterioration to a CPF [13]. |
| Auscultation | Auscultation over the trachea can allow the clinician to hear the air flow into the lungs and out. It can be used to determine if there is any upper airway limitation or closure during a spontaneous cough or during mechanical insufflation-exsufflation (MI-E). | Can be used to evaluate whether there is upper airway closure during a cough maneuver. |
| Pressure Difference | Max Negative Flow |
|---|---|
| 40 cm H2O (20/−20) | 55 L/min |
| 60 cm H2O (30/−30) | 88.1 L/min |
| 80 cm H2O (40/−40) | 123.6 L/min |
Disclaimer/Publisher’s Note: The statements, opinions and data contained in all publications are solely those of the individual author(s) and contributor(s) and not of MDPI and/or the editor(s). MDPI and/or the editor(s) disclaim responsibility for any injury to people or property resulting from any ideas, methods, instructions or products referred to in the content. |
© 2024 by the authors. Licensee MDPI, Basel, Switzerland. This article is an open access article distributed under the terms and conditions of the Creative Commons Attribution (CC BY) license (https://creativecommons.org/licenses/by/4.0/).
Share and Cite
Chatwin, M.; Sancho, J.; Lujan, M.; Andersen, T.; Winck, J.-C. Waves of Precision: A Practical Guide for Reviewing New Tools to Evaluate Mechanical In-Exsufflation Efficacy in Neuromuscular Disorders. J. Clin. Med. 2024, 13, 2643. https://doi.org/10.3390/jcm13092643
Chatwin M, Sancho J, Lujan M, Andersen T, Winck J-C. Waves of Precision: A Practical Guide for Reviewing New Tools to Evaluate Mechanical In-Exsufflation Efficacy in Neuromuscular Disorders. Journal of Clinical Medicine. 2024; 13(9):2643. https://doi.org/10.3390/jcm13092643
Chicago/Turabian StyleChatwin, Michelle, Jesus Sancho, Manel Lujan, Tiina Andersen, and Joao-Carlos Winck. 2024. "Waves of Precision: A Practical Guide for Reviewing New Tools to Evaluate Mechanical In-Exsufflation Efficacy in Neuromuscular Disorders" Journal of Clinical Medicine 13, no. 9: 2643. https://doi.org/10.3390/jcm13092643
APA StyleChatwin, M., Sancho, J., Lujan, M., Andersen, T., & Winck, J.-C. (2024). Waves of Precision: A Practical Guide for Reviewing New Tools to Evaluate Mechanical In-Exsufflation Efficacy in Neuromuscular Disorders. Journal of Clinical Medicine, 13(9), 2643. https://doi.org/10.3390/jcm13092643

